Diagnostic Performance of the Radiological Society of North America Consensus Statement for Reporting COVID-19 Chest CT Findings: A Revisit
Abstract
1. Introduction
2. Methodology
2.1. Study Design
2.1.1. Inclusion Criteria
- Clinically suspected COVID-19 infection, including
- -
- Fever with one or more of the following symptoms: dyspnea, cough, and sore throat.
- -
- Contact with a positive case of COVID-19 infection and exhibition of mild symptoms.
- Chest CT scan performed after admission.
- Duration of the interval between the CT examination and RT-PCR of less than 7 days.
2.1.2. Exclusion Criteria
- (a)
- No RT-PCR test results for COVID-19.
- (b)
- The interval between RT-PCR and the CT examination was more than 7 days.
- (c)
- Poor chest CT images (presence of a motion artifact).
- (d)
- Presence of chronic respiratory disease (for example, pulmonary tuberculosis, interstitial lung fibrosis, or chronic obstructive pulmonary disease).
2.2. Clinical Data
2.3. CT Acquisition Technique
2.4. Image Analysis
2.5. RT-PCR Results
- -
- True positive (TP): patients with positive RT-PCR results and typical or indeterminate CT categories.
- -
- False positive (FP): patients with negative RT-PCR results and typical or indeterminate CT categories.
- -
- True negative (TN): patients with negative RT-PCR results and atypical or negative CT categories.
- -
- False negative (FN): patients with positive RT-PCR results and atypical or negative CT categories.
2.6. Statistical Analysis
- -
- Slight agreement: between 1% and 20%
- -
- Fair agreement: between 21% and 40%
- -
- Moderate agreement: between 41% and 60%
- -
- Significant agreement: between 61% and 80%
- -
- Nearly perfect or perfect agreement: between 81% and 100%.
3. Results
3.1. Patients’ Demographic and Clinical Data
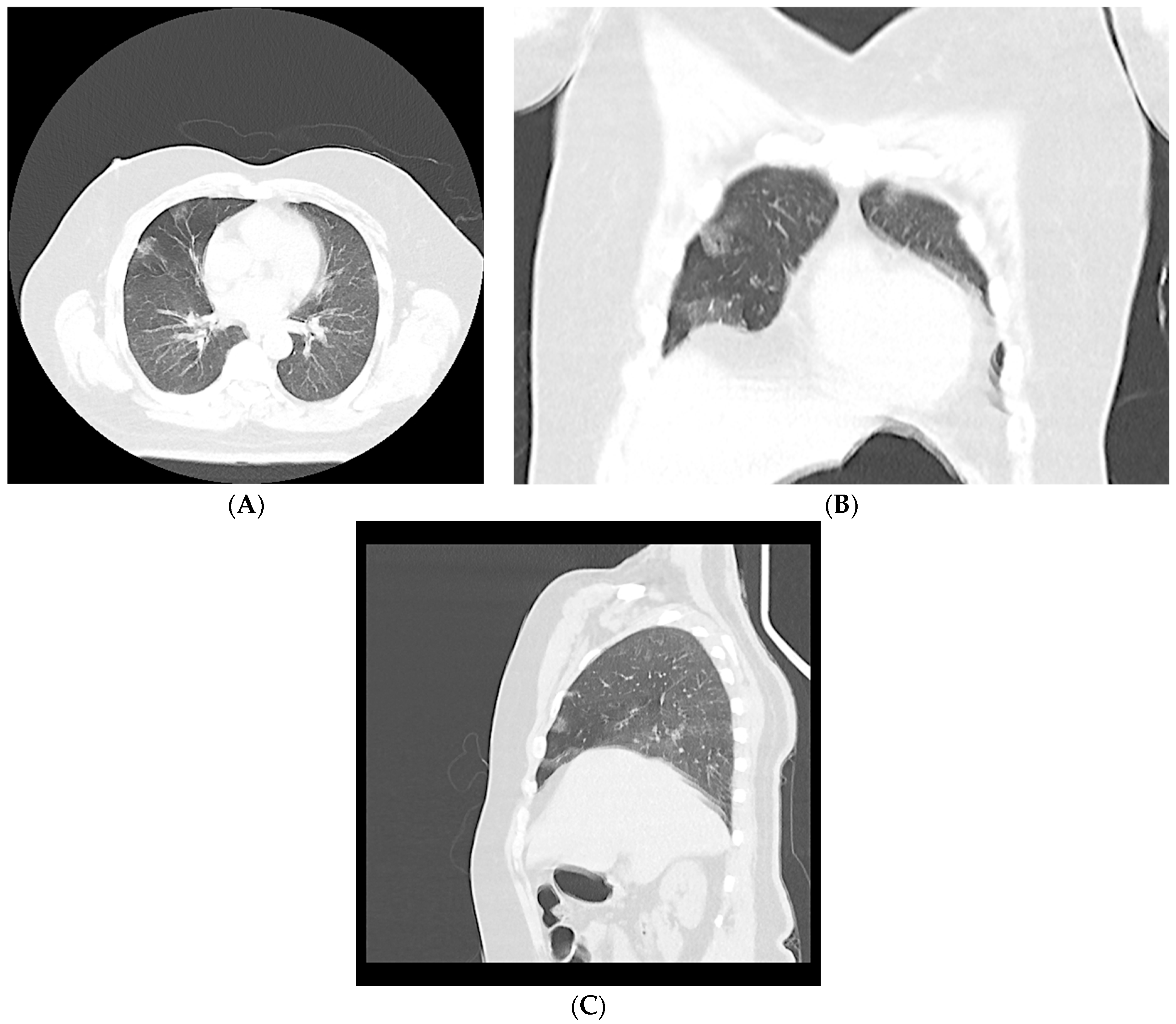
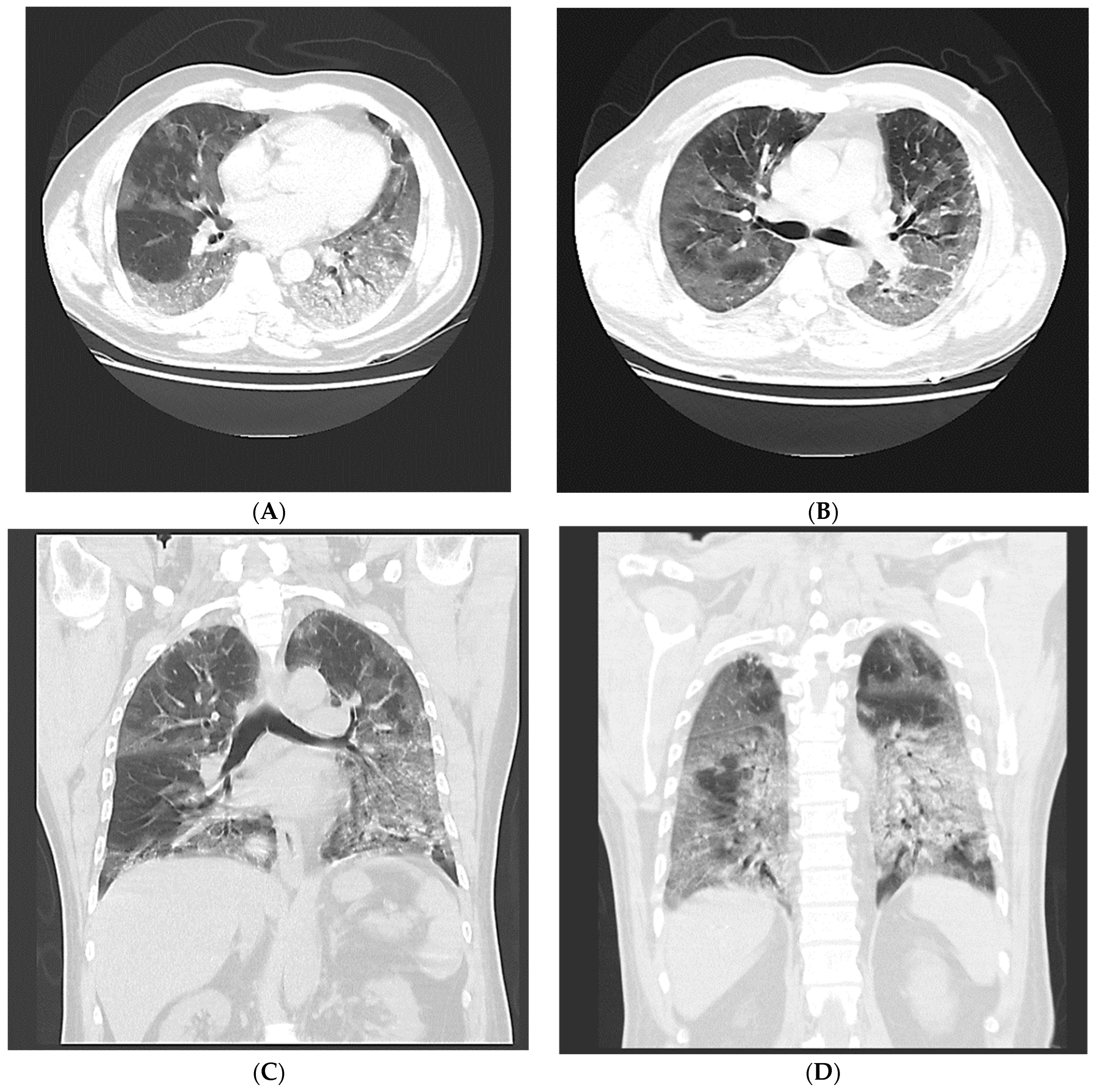
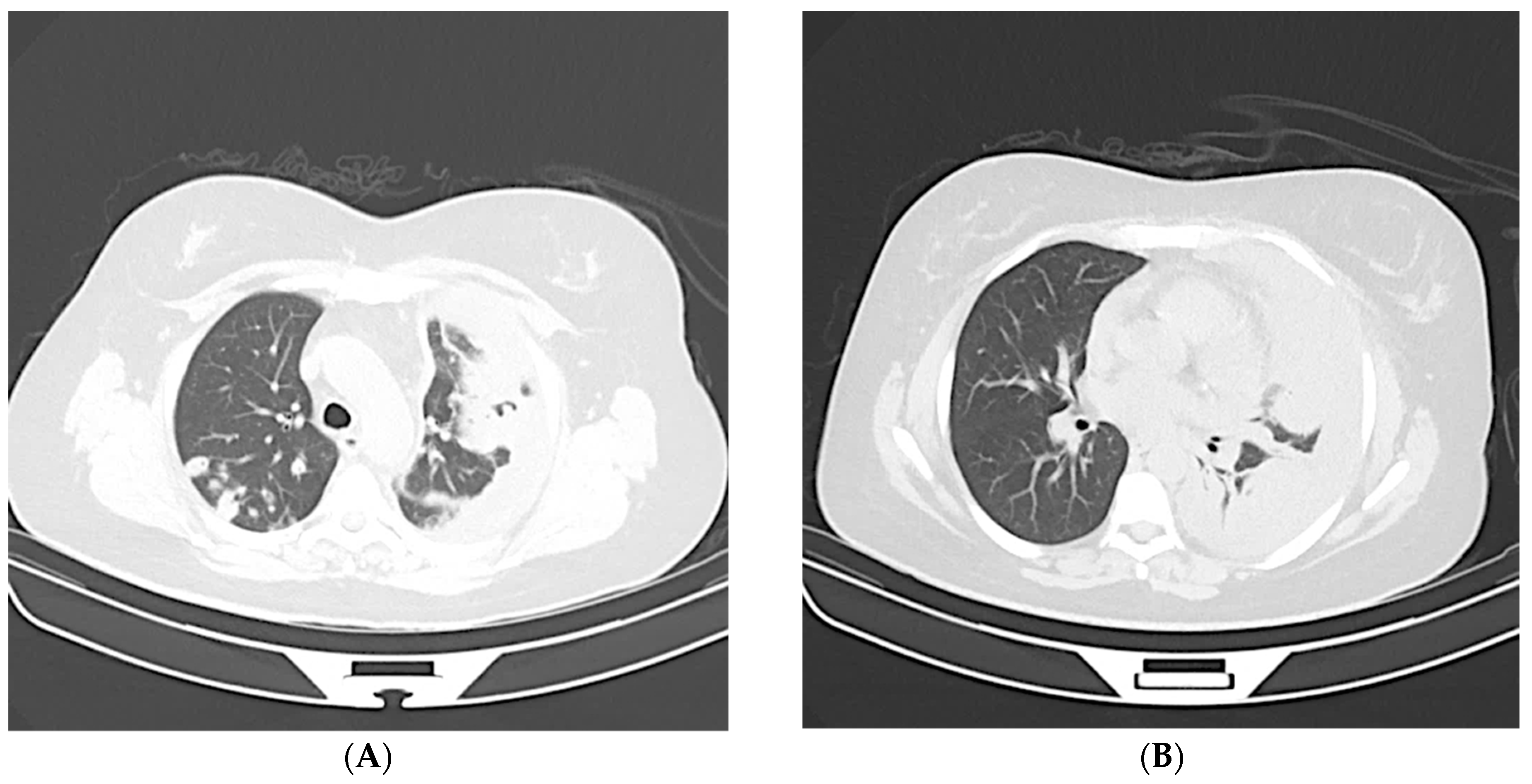
3.2. Analysis of the CT Findings
3.3. Correlation of the CT Categories with the PCR Results
3.4. Diagnostic Performance of the CT Categories
3.5. The Diagnostic Performance of Chest CT Examination for Each Age Group and Sex Compared to the RT-PCR Results as a Gold Standard
4. Exploring FPs, FNs, and TNs
5. Discussion
6. Conclusions
Author Contributions
Funding
Institutional Review Board Statement
Informed Consent Statement
Data Availability Statement
Acknowledgments
Conflicts of Interest
Abbreviations
| RSNA | Radiological Society of North America |
| RT-PCR | reverse transcription polymerase chain reaction |
| COVID-19 | coronavirus disease 2019 |
| PPV | positive predictive value |
| NPV | negative predictive value |
| SARS-CoV-2 | severe acute respiratory syndrome coronavirus 2 |
| GGO | ground-glass opacity |
| IRB | Institutional Review Board |
| STR | Society of Thoracic Radiology |
| ACR | American College of Radiology |
| TP | true positive |
| FP | false positive |
| TN | true negative |
| FN | false negative |
| CI | confidence interval |
References
- Naming the Coronavirus Disease (COVID-19) and the Virus That Causes It. Available online: https://www.who.int/emergencies/diseases/novel-coronavirus-2019/technical-guidance/naming-the-coronavirus-disease-(covid-2019)-and-the-virus-that-causes-it (accessed on 26 November 2022).
- Coronaviridae Study Group of the International Committee on Taxonomy of Viruses the Species Severe Acute Respiratory Syndrome-Related Coronavirus: Classifying 2019-NCoV and Naming It SARS-CoV-2. Nat. Microbiol. 2020, 5, 536–544. [CrossRef] [PubMed]
- Zhu, N.; Zhang, D.; Wang, W.; Li, X.; Yang, B.; Song, J.; Zhao, X.; Huang, B.; Shi, W.; Lu, R.; et al. A Novel Coronavirus from Patients with Pneumonia in China, 2019. N. Engl. J. Med. 2020, 382, 727–733. [Google Scholar] [CrossRef] [PubMed]
- Wang, D.; Hu, B.; Hu, C.; Zhu, F.; Liu, X.; Zhang, J.; Wang, B.; Xiang, H.; Cheng, Z.; Xiong, Y.; et al. Clinical Characteristics of 138 Hospitalized Patients With 2019 Novel Coronavirus–Infected Pneumonia in Wuhan, China. JAMA 2020, 323, 1061–1069. [Google Scholar] [CrossRef]
- WHO Chief Declares End to COVID-19 as a Global Health Emergency|UN News. Available online: https://news.un.org/en/story/2023/05/1136367 (accessed on 21 June 2023).
- Lee, D.W.; Gardner, R.; Porter, D.L.; Louis, C.U.; Ahmed, N.; Jensen, M.; Grupp, S.A.; Mackall, C.L. Current Concepts in the Diagnosis and Management of Cytokine Release Syndrome. Blood 2014, 124, 188–195. [Google Scholar] [CrossRef]
- Tan, W.; Zhao, X.; Ma, X.; Wang, W.; Niu, P.; Xu, W.; Gao, G.F.; Wu, G. A Novel Coronavirus Genome Identified in a Cluster of Pneumonia Cases—Wuhan, China 2019–2020. China CDC Wkly. 2020, 2, 61–62. [Google Scholar] [CrossRef]
- Chen, N.; Zhou, M.; Dong, X.; Qu, J.; Gong, F.; Han, Y.; Qiu, Y.; Wang, J.; Liu, Y.; Wei, Y.; et al. Epidemiological and Clinical Characteristics of 99 Cases of 2019 Novel Coronavirus Pneumonia in Wuhan, China: A Descriptive Study. Lancet 2020, 395, 507–513. [Google Scholar] [CrossRef]
- Xu, X.-W.; Wu, X.-X.; Jiang, X.-G.; Xu, K.-J.; Ying, L.-J.; Ma, C.-L.; Li, S.-B.; Wang, H.-Y.; Zhang, S.; Gao, H.-N.; et al. Clinical Findings in a Group of Patients Infected with the 2019 Novel Coronavirus (SARS-CoV-2) Outside of Wuhan, China: Retrospective Case Series. BMJ 2020, 368, m606. [Google Scholar] [CrossRef] [PubMed]
- Zhang, N.; Wang, L.; Deng, X.; Liang, R.; Su, M.; He, C.; Hu, L.; Su, Y.; Ren, J.; Yu, F.; et al. Recent Advances in the Detection of Respiratory Virus Infection in Humans. J. Med. Virol. 2020, 92, 408–417. [Google Scholar] [CrossRef] [PubMed]
- Lu, R.; Zhao, X.; Li, J.; Niu, P.; Yang, B.; Wu, H.; Wang, W.; Song, H.; Huang, B.; Zhu, N.; et al. Genomic Characterisation and Epidemiology of 2019 Novel Coronavirus: Implications for Virus Origins and Receptor Binding. Lancet 2020, 395, 565–574. [Google Scholar] [CrossRef]
- Guan, W.; Ni, Z.; Hu, Y.; Liang, W.; Ou, C.; He, J.; Liu, L.; Shan, H.; Lei, C.; Hui, D.S.C.; et al. Clinical Characteristics of Coronavirus Disease 2019 in China. N. Engl. J. Med. 2020, 382, 1708–1720. [Google Scholar] [CrossRef]
- Yang, Y.; Yang, M.; Shen, C.; Wang, F.; Yuan, J.; Li, J.; Zhang, M.; Wang, Z.; Xing, L.; Wei, J.; et al. Evaluating the Accuracy of Different Respiratory Specimens in the Laboratory Diagnosis and Monitoring the Viral Shedding of 2019-NCoV Infections 2020. medRxiv 2020, medRxiv:2020.02.11.20021493. [Google Scholar] [CrossRef]
- Bai, H.X.; Hsieh, B.; Xiong, Z.; Halsey, K.; Choi, J.W.; Tran, T.M.L.; Pan, I.; Shi, L.-B.; Wang, D.-C.; Mei, J.; et al. Performance of Radiologists in Differentiating COVID-19 from Viral Pneumonia on Chest CT. Radiology 2020, 296, 200823. [Google Scholar] [CrossRef]
- Rubin, G.D.; Ryerson, C.J.; Haramati, L.B.; Sverzellati, N.; Kanne, J.P.; Raoof, S.; Schluger, N.W.; Volpi, A.; Yim, J.-J.; Martin, I.B.K.; et al. The Role of Chest Imaging in Patient Management During the COVID-19 Pandemic: A Multinational Consensus Statement From the Fleischner Society. Chest 2020, 158, 106–116. [Google Scholar] [CrossRef]
- Wong, H.Y.F.; Lam, H.Y.S.; Fong, A.H.-T.; Leung, S.T.; Chin, T.W.-Y.; Lo, C.S.Y.; Lui, M.M.-S.; Lee, J.C.Y.; Chiu, K.W.-H.; Chung, T.W.-H.; et al. Frequency and Distribution of Chest Radiographic Findings in Patients Positive for COVID-19. Radiology 2020, 296, E72–E78. [Google Scholar] [CrossRef]
- Li, Y.; Xia, L. Coronavirus Disease 2019 (COVID-19): Role of Chest CT in Diagnosis and Management. Am. J. Roentgenol. 2020, 214, 1280–1286. [Google Scholar] [CrossRef]
- Bernheim, A.; Mei, X.; Huang, M.; Yang, Y.; Fayad, Z.A.; Zhang, N.; Diao, K.; Lin, B.; Zhu, X.; Li, K.; et al. Chest CT Findings in Coronavirus Disease-19 (COVID-19): Relationship to Duration of Infection. Radiology 2020, 295, 200463. [Google Scholar] [CrossRef]
- Ye, Z.; Zhang, Y.; Wang, Y.; Huang, Z.; Song, B. Chest CT Manifestations of New Coronavirus Disease 2019 (COVID-19): A Pictorial Review. Eur. Radiol. 2020, 30, 4381–4389. [Google Scholar] [CrossRef]
- Parry, A.H.; Wani, A.H.; Yaseen, M.; Dar, M.I. Demystifying Pulmonary Vascular Complications in Severe Coronavirus Disease-19 Pneumonia (COVID-19) in the Light of Clinico-Radiologic-Pathologic Correlation. Thromb. Res. 2020, 196, 559–560. [Google Scholar] [CrossRef]
- Pan, Y.; Guan, H.; Zhou, S.; Wang, Y.; Li, Q.; Zhu, T.; Hu, Q.; Xia, L. Initial CT Findings and Temporal Changes in Patients with the Novel Coronavirus Pneumonia (2019-NCoV): A Study of 63 Patients in Wuhan, China. Eur. Radiol. 2020, 30, 3306–3309. [Google Scholar] [CrossRef]
- Liu, K.-C.; Xu, P.; Lv, W.-F.; Qiu, X.-H.; Yao, J.-L.; Gu, J.-F.; Wei, W. CT Manifestations of Coronavirus Disease-2019: A Retrospective Analysis of 73 Cases by Disease Severity. Eur. J. Radiol. 2020, 126, 108941. [Google Scholar] [CrossRef]
- Zhu, Y.; Gao, Z.-H.; Liu, Y.-L.; Xu, D.-Y.; Guan, T.-M.; Li, Z.-P.; Kuang, J.-Y.; Li, X.-M.; Yang, Y.-Y.; Feng, S.-T. Clinical and CT Imaging Features of 2019 Novel Coronavirus Disease (COVID-19). J. Infect. 2020, 81, 147–178. [Google Scholar] [CrossRef]
- Li, X.; Zeng, W.; Li, X.; Chen, H.; Shi, L.; Li, X.; Xiang, H.; Cao, Y.; Chen, H.; Liu, C.; et al. CT Imaging Changes of Corona Virus Disease 2019(COVID-19): A Multi-Center Study in Southwest China. J. Transl. Med. 2020, 18, 154. [Google Scholar] [CrossRef]
- Simpson, S.; Kay, F.U.; Abbara, S.; Bhalla, S.; Chung, J.H.; Chung, M.; Henry, T.S.; Kanne, J.P.; Kligerman, S.; Ko, J.P.; et al. Radiological Society of North America Expert Consensus Statement on Reporting Chest CT Findings Related to COVID-19. Endorsed by the Society of Thoracic Radiology, the American College of Radiology, and RSNA–Secondary Publication. J. Thorac. Imaging 2020, 35, 219–227. [Google Scholar] [CrossRef]
- Das, K.M.; Lee, E.Y.; Enani, M.A.; AlJawder, S.E.; Singh, R.; Bashir, S.; Al-Nakshbandi, N.; AlDossari, K.; Larsson, S.G. CT Correlation With Outcomes in 15 Patients With Acute Middle East Respiratory Syndrome Coronavirus. Am. J. Roentgenol. 2015, 204, 736–742. [Google Scholar] [CrossRef]
- Silva, C.F.; Alegria, J.; Ramos, C.; Verdugo, J.; Diaz, J.-C.; Varela, C.; Barbe, M. RSNA-STR-ACR Consensus Statement for COVID-19 CT Patterns: Interreader Agreement in 240 Consecutive Patients and Association With RT-PCR Status. J. Comput. Assist. Tomogr. 2021, 45, 485–489. [Google Scholar] [CrossRef]
- Hu, Q.; Guan, H.; Sun, Z.; Huang, L.; Chen, C.; Ai, T.; Pan, Y.; Xia, L. Early CT Features and Temporal Lung Changes in COVID-19 Pneumonia in Wuhan, China. Eur. J. Radiol. 2020, 128, 109017. [Google Scholar] [CrossRef]
- Zhou, S.; Wang, Y.; Zhu, T.; Xia, L. CT Features of Coronavirus Disease 2019 (COVID-19) Pneumonia in 62 Patients in Wuhan, China. AJR Am. J. Roentgenol. 2020, 214, 1287–1294. [Google Scholar] [CrossRef]
- Som, A.; Lang, M.; Yeung, T.; Carey, D.; Garrana, S.; Mendoza, D.P.; Flores, E.J.; Li, M.D.; Sharma, A.; McDermott, S.; et al. Implementation of the Radiological Society of North America Expert Consensus Guidelines on Reporting Chest CT Findings Related to COVID-19: A Multireader Performance Study. Radiol. Cardiothorac. Imaging 2020, 2, e200276. [Google Scholar] [CrossRef]
- Ciccarese, F.; Coppola, F.; Spinelli, D.; Galletta, G.L.; Lucidi, V.; Paccapelo, A.; De Benedittis, C.; Balacchi, C.; Golfieri, R. Diagnostic Accuracy of North America Expert Consensus Statement on Reporting CT Findings in Patients Suspected of Having COVID-19 Infection: An Italian Single-Center Experience. Radiol. Cardiothorac. Imaging 2020, 2, e200312. [Google Scholar] [CrossRef]
- Ai, T.; Yang, Z.; Hou, H.; Zhan, C.; Chen, C.; Lv, W.; Tao, Q.; Sun, Z.; Xia, L. Correlation of Chest CT and RT-PCR Testing for Coronavirus Disease 2019 (COVID-19) in China: A Report of 1014 Cases. Radiology 2020, 296, E32–E40. [Google Scholar] [CrossRef]
- Kim, D.; Quinn, J.; Pinsky, B.; Shah, N.H.; Brown, I. Rates of Co-Infection Between SARS-CoV-2 and Other Respiratory Pathogens. JAMA 2020, 323, 2085–2086. [Google Scholar] [CrossRef]
- Rocha, C.O.; Prioste, T.A.D.; Faccin, C.S.; Folador, L.; Tonetto, M.S.; Knijnik, P.G.; Mainardi, N.B.; Borges, R.B.; Garcia, T.S. Diagnostic Performance of the RSNA-Proposed Classification for COVID-19 Pneumonia versus Pre-Pandemic Controls. Braz. J. Infect. Dis. 2021, 26, 101665. [Google Scholar] [CrossRef]
- Dangis, A.; Gieraerts, C.; De Bruecker, Y.; Janssen, L.; Valgaeren, H.; Obbels, D.; Gillis, M.; Van Ranst, M.; Frans, J.; Demeyere, A.; et al. Accuracy and Reproducibility of Low-Dose Submillisievert Chest CT for the Diagnosis of COVID-19. Radiol. Cardiothorac. Imaging 2020, 2, e200196. [Google Scholar] [CrossRef]
- Jyoti, D.; Mehta, V. Correlation between Chest CT and RT-PCR Testing in India’s Second COVID–19 Wave: A Retrospective Cohort Study. J. Assoc. Physicians India 2022, 70, 11–12. [Google Scholar]
- Falaschi, Z.; Danna, P.S.C.; Arioli, R.; Pasché, A.; Zagaria, D.; Percivale, I.; Tricca, S.; Barini, M.; Aquilini, F.; Andreoni, S.; et al. Chest CT Accuracy in Diagnosing COVID-19 during the Peak of the Italian Epidemic: A Retrospective Correlation with RT-PCR Testing and Analysis of Discordant Cases. Eur. J. Radiol. 2020, 130, 109192. [Google Scholar] [CrossRef]
- Fang, Y.; Zhang, H.; Xie, J.; Lin, M.; Ying, L.; Pang, P.; Ji, W. Sensitivity of Chest CT for COVID-19: Comparison to RT-PCR. Radiology 2020, 296, E115–E117. [Google Scholar] [CrossRef]
- Corman, V.M.; Landt, O.; Kaiser, M.; Molenkamp, R.; Meijer, A.; Chu, D.K.; Bleicker, T.; Brünink, S.; Schneider, J.; Schmidt, M.L.; et al. Detection of 2019 Novel Coronavirus (2019-NCoV) by Real-Time RT-PCR. Euro Surveill. 2020, 25, 2000045. [Google Scholar] [CrossRef]
- Kucirka, L.M.; Lauer, S.A.; Laeyendecker, O.; Boon, D.; Lessler, J. Variation in False-Negative Rate of Reverse Transcriptase Polymerase Chain Reaction-Based SARS-CoV-2 Tests by Time Since Exposure. Ann. Intern. Med. 2020, 173, 262–267. [Google Scholar] [CrossRef]
- Tahamtan, A.; Ardebili, A. Real-Time RT-PCR in COVID-19 Detection: Issues Affecting the Results. Expert Rev. Mol. Diagn. 2020, 20, 453–454. [Google Scholar] [CrossRef]








| Variable | Total | RT-PCR + VE | RT-PCR − VE | p-Value |
|---|---|---|---|---|
| Demographic data | ||||
| Age (mean ± STD) | 55.56 ± 16.7 | 57.77 ± 16.58 | 52.22 ± 16.44 | 0.027 |
| Male | 119 (64.67%) | 66 (55.46%) | 53 (44.54%) | 0.329 |
| Female | 65 (35.33%) | 45 (69.23%) | 20 (30.77%) | 0.012 |
| Clinical data | ||||
| Hypertension | 79 (42.93%) | 48 (60.76%) | 31 (39.24%) | 0.247 |
| DM | 82 (44.56%) | 64 (78.05%) | 18 (21.95%) | 0.001 |
| Fever | 111 (60.33%) | 77 (69.37%) | 34 (30.63%) | 0.001 |
| Chronic abdominal diseases | 49 (26.63%) | 29 (59.18%) | 20 (40.82%) | 0.402 |
| Dry cough | 115 (62.5%) | 62 (53.91%) | 53 (46.09%) | 0.413 |
| Expectoration | 52 (28.26%) | 28 (53.85%) | 24 (46.15%) | 0.512 |
| Chest pain | 32 (17.39%) | 18 (56.25%) | 14 (43.75%) | 0.216 |
| Fatigue | 34 (18.48%) | 18 (52.94%) | 16 (47.06%) | 0.371 |
| Sore throat | 57 (30.98%) | 34 (59.65%) | 23 (40.35%) | 0.246 |
| Insomnia | 23 (12.5%) | 12 (52.17%) | 11 (47.83%) | 0.811 |
| Loss of taste | 86 (46.74%) | 64 (74.42%) | 22 (25.58%) | 0.0001 |
| Dyspnea | 42 (22.83%) | 31 (73.81%) | 11 (26.19%) | 0.0132 |
| Nausea/vomiting | 42 (22.83%) | 20 (47.62%) | 22 (52.38%) | 0.831 |
| Diarrhea | 29 (15.76%) | 15 (51.72%) | 14 (48.28%) | 0.887 |
| Variable | Total | RT-PCR + VE | RT-PCR − VE | p-Value | |
|---|---|---|---|---|---|
| Pure GGO | 34 (18.48%) | 31 (91.18%) | 3 (8.82%) | 0.0001 | |
| Mixed GGO | 82 (44.57%) | 71 (86.59%) | 11 (13.41%) | 0.0001 | |
| Consolidation | 104 (56.52%) | 75 (72.12%) | 29 (37.88%) | 0.0001 | |
| Distribution | Unilateral | 17 (9.24%) | 9 (52.94%) | 8 (47.06%) | 0.637 |
| Bilateral | 121 (65.76%) | 107 (88.43%) | 14 (11.57%) | 0.0001 | |
| Vascular enlargement | 56 (30.43%) | 51 (91.07%) | 5 (8.93%) | 0.0001 | |
| Pleural effusion | 14 (7.6%) | 6 (42.86%) | 8 (57.14%) | 0.581 | |
| Interlobular septal thickening | 64 (34.78%) | 48 (75%) | 16 (25%) | 0.0001 | |
| Localization | Central | 14 (7.6%) | 6 (42.86%) | 8 (57.14%) | 0.581 |
| Peripheral | 39 (21.19%) | 35 (89.74%) | 4 (10.26%) | 0.0001 | |
| Mixed | 85 (46.2%) | 64 (75.29%) | 21 (24.71%) | 0.0001 | |
| Peri-bronchial thickening | 30 (16.3%) | 17 (56.67%) | 13 (43.33%) | 0.553 | |
| Tree-in-bud | 33 (17.93%) | 4 (12.12%) | 29 (87.88%) | 0.0001 | |
| Reversed halo sign | 25 (13.59%) | 22 (88%) | 3 (12%) | 0.0001 | |
| Bronchial dilatation | 11 (5.98%) | 3 (27.27%) | 8 (72.73%) | 0.137 | |
| Crazy-Paving pattern | 49 (26.63%) | 43 (87.76%) | 6 (12.24%) | 0.0001 | |
| CT Category | Number | RT-PCR Positive | RT-PCR Negative | p-Value |
|---|---|---|---|---|
| Typical appearance | 88 | 83 | 5 | 0.0001 |
| Indeterminate appearance | 28 | 19 | 9 | 0.071 |
| Atypical appearance | 22 | 4 | 18 | 0.018 |
| Negative | 46 | 5 | 41 | 0.0001 |
| CT Categories | Number | Sensitivity % (95% CI) | Specificity % (95% CI) | PPV % (95% CI) | NPP % (95% CI) | Accuracy % (95% CI) |
|---|---|---|---|---|---|---|
| Typical appearance | 88 | 74.8 (65.7–82.5) | 93.2 (84.7–97.7) | 94.3 (87.6–97.5) | 70.8 (63.7–77.1) | 92.5 (88.8–95.3) |
| Indeterminate appearance | 28 | 17.1 (10.6–25.4) | 87.7 (77.9–94.2) | 67.9 (50.3–81.5) | 41 (38.1–44) | 45.1 (37.8–52.6 6) |
| Both (typical and indeterminate) | 116 | 91.9 (85.2–96.2) | 80.8 (69.9–89.1) | 87.9 (81.9–92.1) | 86.8 (77.6–92.5) | 90.7 (87.7–93.2) |
| Atypical appearance | 22 | 24.7 (15.3–36.1) | 96.4 (91.0–99.0) | 81.8 (61.3–92.7) | 66.1 (60.7–74.6) | 82.07 (75.7–87.3) |
| Negative | 46 | 56.2 (44.1–67.8) | 95.5 (89.8–98.5) | 89.1 (77.3–95.2) | 76.8 (71.8–81.2) | 79.9 (73.4–85.4) |
| Groups | Number | Sensitivity % (95% CI) | p-Value | Specificity % (95% CI) | p-Value | PPV % (95% CI) | p-Value | NPP % (95% CI) | p-Value | Accuracy % (95% CI) | p-Value | |
|---|---|---|---|---|---|---|---|---|---|---|---|---|
| Age | <50 | 70 | 86.5 (71.2–95.5) | 0.056 | 78.8 (61.1–91.0) | 0.535 | 82.1 (70.1–89.9) | 0.08 | 83.9 (69.3–92.3) | 0.298 | 82.9 (72.0–90.8) | 0.136 |
| ≥50 | 114 | 94.6 (86.7–98.5) | 82.5 (67.5–98.5) | 90.9 (83.6–95.2) | 89.2 (75.9–95.6) | 90.4 (83.4–95.1) | ||||||
| Sex | Males | 119 | 97 (89.5–99.6) | 0.002 | 81.1 (68.0–90.6) | 0.86 | 86.5 (78.5–91.8) | 0.428 | 95.6 (84.5–98.8) | <0.0001 | 89.9 (83.1–94.7) | 0.184 |
| Females | 65 | 84.4 (70.5–93.5) | 80 (56.3–94.3) | 90.5 (79.7–95.8) | 69.6 (52.8–82.4) | 83.1 (71.7–91.2) | ||||||
Disclaimer/Publisher’s Note: The statements, opinions and data contained in all publications are solely those of the individual author(s) and contributor(s) and not of MDPI and/or the editor(s). MDPI and/or the editor(s) disclaim responsibility for any injury to people or property resulting from any ideas, methods, instructions or products referred to in the content. |
© 2023 by the authors. Licensee MDPI, Basel, Switzerland. This article is an open access article distributed under the terms and conditions of the Creative Commons Attribution (CC BY) license (https://creativecommons.org/licenses/by/4.0/).
Share and Cite
Hazem, M.; Ali, S.I.; AlAlwan, Q.M.; Al Jabr, I.K.; Alshehri, S.A.F.; AlAlwan, M.Q.; Alsaeed, M.I.; Aldawood, M.; Turkistani, J.A.; Amin, Y.A. Diagnostic Performance of the Radiological Society of North America Consensus Statement for Reporting COVID-19 Chest CT Findings: A Revisit. J. Clin. Med. 2023, 12, 5180. https://doi.org/10.3390/jcm12165180
Hazem M, Ali SI, AlAlwan QM, Al Jabr IK, Alshehri SAF, AlAlwan MQ, Alsaeed MI, Aldawood M, Turkistani JA, Amin YA. Diagnostic Performance of the Radiological Society of North America Consensus Statement for Reporting COVID-19 Chest CT Findings: A Revisit. Journal of Clinical Medicine. 2023; 12(16):5180. https://doi.org/10.3390/jcm12165180
Chicago/Turabian StyleHazem, Mohammed, Sayed Ibrahim Ali, Qasem M. AlAlwan, Ibrahim Khalid Al Jabr, Sarah Abdulrahman F. Alshehri, Mohammed Q. AlAlwan, Mohammed Ibrahim Alsaeed, Mohammed Aldawood, Jamela A. Turkistani, and Yasser Abdelkarim Amin. 2023. "Diagnostic Performance of the Radiological Society of North America Consensus Statement for Reporting COVID-19 Chest CT Findings: A Revisit" Journal of Clinical Medicine 12, no. 16: 5180. https://doi.org/10.3390/jcm12165180
APA StyleHazem, M., Ali, S. I., AlAlwan, Q. M., Al Jabr, I. K., Alshehri, S. A. F., AlAlwan, M. Q., Alsaeed, M. I., Aldawood, M., Turkistani, J. A., & Amin, Y. A. (2023). Diagnostic Performance of the Radiological Society of North America Consensus Statement for Reporting COVID-19 Chest CT Findings: A Revisit. Journal of Clinical Medicine, 12(16), 5180. https://doi.org/10.3390/jcm12165180

