Abdominal Imaging in ADPKD: Beyond Total Kidney Volume
Abstract
1. Introduction
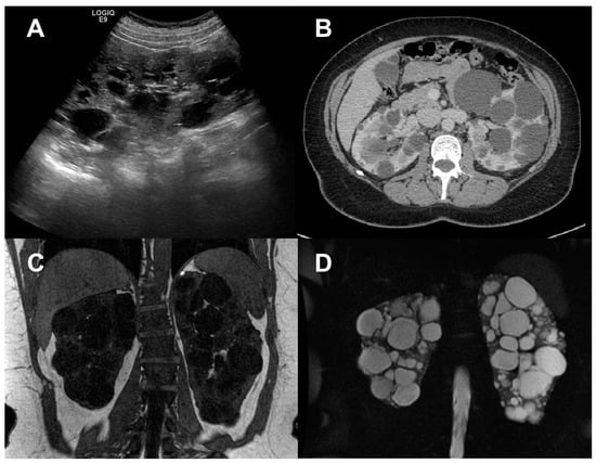
2. Total Kidney Volume
- -
- Disease severity and progression: A more aggressive and fast-progressing disease may warrant more frequent monitoring.
- -
- Age and sex of the patient: The disease progression can vary significantly between different age groups, and between men and women.
- -
- Treatment regimen: Patients on specific therapies may need more frequent TKV monitoring, to evaluate treatment efficacy.
- -
- Resource availability: The availability of resources, such as diagnostic imaging services, trained personnel, and financial resources can affect the frequency of TKV measurement.
- -
- Technical expertise and standardization: It requires a high level of skill to capture and interpret 3D US images correctly. These skills are not as universally prevalent among clinicians as the expertise for 2D US, which can affect the availability and consistency of 3D US-based TKV measurements. The standardization of the technique across different operators and machines is also necessary, to ensure accurate and comparable measurements.
- -
- Accuracy and reliability: While studies have shown promising results, further validation is needed to establish 3D US’s accuracy and reliability compared to MRI and CT, particularly in patients with very large kidneys or a complex cyst morphology.
- -
- Processing time: While obtaining 3D US images may be quicker than with MRI or CT, processing and interpreting these images can be time-consuming. Advances in automated or semi-automated interpretation software could help address this challenge.
3. Cyst Volume
4. Non-Cystic Tissue
5. Multiparametric Magnetic Resonance Imaging
6. Advanced Image Processing
7. Conclusions and Future Directions
Author Contributions
Funding
Conflicts of Interest
References
- Gabow, P.A. Autosomal Dominant Polycystic Kidney Disease. N. Engl. J. Med. 1993, 329, 332–342. [Google Scholar] [CrossRef] [PubMed]
- Cornec-Le Gall, E.; Alam, A.; Perrone, R.D. Autosomal Dominant Polycystic Kidney Disease. Lancet 2019, 393, 919–935. [Google Scholar] [CrossRef] [PubMed]
- Grantham, J.J.; Torres, V.E.; Chapman, A.B.; Guay-Woodford, L.M.; Bae, K.T.; King, B.F.J.; Wetzel, L.H.; Baumgarten, D.A.; Kenney, P.J.; Harris, P.C.; et al. Volume Progression in Polycystic Kidney Disease. N. Engl. J. Med. 2006, 354, 2122–2130. [Google Scholar] [CrossRef]
- Chapman, A.B.; Bost, J.E.; Torres, V.E.; Guay-Woodford, L.; Bae, K.T.; Landsittel, D.; Li, J.; King, B.F.; Martin, D.; Wetzel, L.H.; et al. Kidney Volume and Functional Outcomes in Autosomal Dominant Polycystic Kidney Disease. Clin. J. Am. Soc. Nephrol. 2012, 7, 479–486. [Google Scholar] [CrossRef]
- Grantham, J.J.; Chapman, A.B.; Torres, V.E. Volume Progression in Autosomal Dominant Polycystic Kidney Disease: The Major Factor Determining Clinical Outcomes. Clin. J. Am. Soc. Nephrol. 2006, 1, 148–157. [Google Scholar] [CrossRef] [PubMed]
- Grantham, J.J.; Mulamalla, S.; Swenson-Fields, K.I. Why Kidneys Fail in Autosomal Dominant Polycystic Kidney Disease. Nat. Rev. Nephrol. 2011, 7, 556–566. [Google Scholar] [CrossRef]
- Chapman, A.B.; Guay-Woodford, L.M.; Grantham, J.J.; Torres, V.E.; Bae, K.T.; Baumgarten, D.A.; Kenney, P.J.; King, B.F.J.; Glockner, J.F.; Wetzel, L.H.; et al. Renal Structure in Early Autosomal-Dominant Polycystic Kidney Disease (ADPKD): The Consortium for Radiologic Imaging Studies of Polycystic Kidney Disease (CRISP) Cohort. Kidney Int. 2003, 64, 1035–1045. [Google Scholar] [CrossRef]
- Bae, K.T.; Grantham, J.J. Imaging for the Prognosis of Autosomal Dominant Polycystic Kidney Disease. Nat. Rev. Nephrol. 2010, 6, 96–106. [Google Scholar] [CrossRef]
- Zhang, W.; Blumenfeld, J.D.; Prince, M.R. MRI in Autosomal Dominant Polycystic Kidney Disease. J. Magn. Reson. Imaging 2019, 50, 41–51. [Google Scholar] [CrossRef]
- Odedra, D.; Sabongui, S.; Khalili, K.; Schieda, N.; Pei, Y.; Krishna, S. Autosomal Dominant Polycystic Kidney Disease: Role of Imaging in Diagnosis and Management. Radiographics 2023, 43, e220126. [Google Scholar] [CrossRef]
- Grantham, J.J.; Torres, V.E. The Importance of Total Kidney Volume in Evaluating Progression of Polycystic Kidney Disease. Nat. Rev. Nephrol. 2016, 12, 667–677. [Google Scholar] [CrossRef] [PubMed]
- Yu, A.S.L.; Shen, C.; Landsittel, D.P.; Grantham, J.J.; Cook, L.T.; Torres, V.E.; Chapman, A.B.; Bae, K.T.; Mrug, M.; Harris, P.C.; et al. Long-Term Trajectory of Kidney Function in Autosomal-Dominant Polycystic Kidney Disease. Kidney Int. 2019, 95, 1253–1261. [Google Scholar] [CrossRef] [PubMed]
- Yu, A.S.L.; Shen, C.; Landsittel, D.P.; Harris, P.C.; Torres, V.E.; Mrug, M.; Bae, K.T.; Grantham, J.J.; Rahbari-Oskoui, F.F.; Flessner, M.F.; et al. Baseline Total Kidney Volume and the Rate of Kidney Growth Are Associated with Chronic Kidney Disease Progression in Autosomal Dominant Polycystic Kidney Disease. Kidney Int. 2018, 93, 691–699. [Google Scholar] [CrossRef]
- Roediger, R.; Dieterich, D.; Chanumolu, P.; Deshpande, P. Polycystic Kidney/Liver Disease. Clin. Liver Dis. 2022, 26, 229–243. [Google Scholar] [CrossRef] [PubMed]
- Kim, J.A.; Blumenfeld, J.D.; Chhabra, S.; Dutruel, S.P.; Thimmappa, N.D.; Bobb, W.O.; Donahue, S.; Rennert, H.E.; Tan, A.Y.; Giambrone, A.E.; et al. Pancreatic Cysts in Autosomal Dominant Polycystic Kidney Disease: Prevalence and Association with PKD2 Gene Mutations. Radiology 2016, 280, 762–770. [Google Scholar] [CrossRef]
- Zhang, W.; Stephens, C.J.; Blumenfeld, J.D.; Behzadi, A.H.; Donahue, S.; Bobb, W.O.; Newhouse, J.H.; Rennert, H.; Zhao, Y.; Prince, M.R. Relationship of Seminal Megavesicles, Prostate Median Cysts, and Genotype in Autosomal Dominant Polycystic Kidney Disease. J. Magn. Reson. Imaging 2019, 49, 894–903. [Google Scholar] [CrossRef]
- Yin, X.; Prince, W.K.; Blumenfeld, J.D.; Zhang, W.; Donahue, S.; Bobb, W.O.; Rennert, H.; Askin, G.; Barash, I.; Prince, M.R. Spleen Phenotype in Autosomal Dominant Polycystic Kidney Disease. Clin. Radiol. 2019, 74, 975.e17–975.e24. [Google Scholar] [CrossRef]
- Liu, J.; Yin, X.; Dev, H.; Luo, X.; Blumenfeld, J.D.; Rennert, H.; Prince, M.R. Pleural Effusions on MRI in Autosomal Dominant Polycystic Kidney Disease. J. Clin. Med. 2023, 12, 386. [Google Scholar] [CrossRef]
- Liu, J.; Fujikura, K.; Dev, H.; Riyahi, S.; Blumenfeld, J.; Kim, J.; Rennert, H.; Prince, M.R. Pericardial Effusion on MRI in Autosomal Dominant Polycystic Kidney Disease. J. Clin. Med. 2022, 11, 1127. [Google Scholar] [CrossRef]
- King, B.F.; Reed, J.E.; Bergstralh, E.J.; Sheedy, P.F., 2nd; Torres, V.E. Quantification and Longitudinal Trends of Kidney, Renal Cyst, and Renal Parenchyma Volumes in Autosomal Dominant Polycystic Kidney Disease. J. Am. Soc. Nephrol. 2000, 11, 1505–1511. [Google Scholar] [CrossRef]
- Sise, C.; Kusaka, M.; Wetzel, L.H.; Winklhofer, F.; Cowley, B.D.; Cook, L.T.; Gordon, M.; Grantham, J.J. Volumetric Determination of Progression in Autosomal Dominant Polycystic Kidney Disease by Computed Tomography. Kidney Int. 2000, 58, 2492–2501. [Google Scholar] [CrossRef] [PubMed][Green Version]
- Grantham, J.J.; Cook, L.T.; Torres, V.E.; Bost, J.E.; Chapman, A.B.; Harris, P.C.; Guay-Woodford, L.M.; Bae, K.T. Determinants of Renal Volume in Autosomal-Dominant Polycystic Kidney Disease. Kidney Int. 2008, 73, 108–116. [Google Scholar] [CrossRef] [PubMed]
- Irazabal, M.V.; Rangel, L.J.; Bergstralh, E.J.; Osborn, S.L.; Harmon, A.J.; Sundsbak, J.L.; Bae, K.T.; Chapman, A.B.; Grantham, J.J.; Mrug, M.; et al. Imaging Classification of Autosomal Dominant Polycystic Kidney Disease: A Simple Model for Selecting Patients for Clinical Trials. J. Am. Soc. Nephrol. 2015, 26, 160–172. [Google Scholar] [CrossRef] [PubMed]
- Irazabal, M.V.; Abebe, K.Z.; Bae, K.T.; Perrone, R.D.; Chapman, A.B.; Schrier, R.W.; Yu, A.S.; Braun, W.E.; Steinman, T.I.; Harris, P.C.; et al. Prognostic Enrichment Design in Clinical Trials for Autosomal Dominant Polycystic Kidney Disease: The HALT-PKD Clinical Trial. Nephrol. Dial. Transpl. 2017, 32, 1857–1865. [Google Scholar] [CrossRef] [PubMed]
- Borrego Utiel, F.J.; Espinosa Hernández, Y.M. How to Estimate Kidney Growth in Patients with Autosomal Dominant Polycystic Kidney Disease. J. Am. Soc. Nephrol. 2023, 34, 944–950. [Google Scholar] [CrossRef]
- Brosnahan, G.M.; Abebe, K.Z.; Moore, C.G.; Rahbari-Oskoui, F.F.; Bae, K.T.; Grantham, J.J.; Schrier, R.W.; Braun, W.E.; Chapman, A.B.; Flessner, M.F.; et al. Patterns of Kidney Function Decline in Autosomal Dominant Polycystic Kidney Disease: A Post Hoc Analysis From the HALT-PKD Trials. Am. J. Kidney Dis. 2018, 71, 666–676. [Google Scholar] [CrossRef]
- Irazabal, M.V.; Blais, J.D.; Perrone, R.D.; Gansevoort, R.T.; Chapman, A.B.; Devuyst, O.; Higashihara, E.; Harris, P.C.; Zhou, W.; Ouyang, J.; et al. Prognostic Enrichment Design in Clinical Trials for Autosomal Dominant Polycystic Kidney Disease: The TEMPO 3:4 Clinical Trial. Kidney Int. Rep. 2016, 1, 213–220. [Google Scholar] [CrossRef]
- Borrego Utiel, F.J.; Esteban de la Rosa, R.J.; Merino García, E.; Medina Benítez, A.; Polo Moyano, A.; Moriana Domínguez, C.; Morales García, A.I.; Bravo Soto, J.A. Predicting Future Renal Function Decline in Patients with Autosomal Dominant Polycystic Kidney Disease Using Mayo Clinic Classification. Am. J. Nephrol. 2021, 52, 630–641. [Google Scholar] [CrossRef]
- Girardat-Rotar, L.; Braun, J.; Puhan, M.A.; Abraham, A.G.; Serra, A.L. Temporal and Geographical External Validation Study and Extension of the Mayo Clinic Prediction Model to Predict EGFR in the Younger Population of Swiss ADPKD Patients. BMC Nephrol. 2017, 18, 241. [Google Scholar] [CrossRef]
- Torres, V.E.; Chapman, A.B.; Devuyst, O.; Gansevoort, R.T.; Grantham, J.J.; Higashihara, E.; Perrone, R.D.; Krasa, H.B.; Ouyang, J.; Czerwiec, F.S. Tolvaptan in Patients with Autosomal Dominant Polycystic Kidney Disease. N. Engl. J. Med. 2012, 367, 2407–2418. [Google Scholar] [CrossRef]
- Walz, G.; Budde, K.; Mannaa, M.; Nürnberger, J.; Wanner, C.; Sommerer, C.; Kunzendorf, U.; Banas, B.; Hörl, W.H.; Obermüller, N.; et al. Everolimus in Patients with Autosomal Dominant Polycystic Kidney Disease. N. Engl. J. Med. 2010, 363, 830–840. [Google Scholar] [CrossRef]
- Serra, A.L.; Poster, D.; Kistler, A.D.; Krauer, F.; Raina, S.; Young, J.; Rentsch, K.M.; Spanaus, K.S.; Senn, O.; Kristanto, P.; et al. Sirolimus and Kidney Growth in Autosomal Dominant Polycystic Kidney Disease. N. Engl. J. Med. 2010, 363, 820–829. [Google Scholar] [CrossRef] [PubMed]
- Caroli, A.; Perico, N.; Perna, A.; Antiga, L.; Brambilla, P.; Pisani, A.; Visciano, B.; Imbriaco, M.; Messa, P.; Cerutti, R.; et al. Effect of Longacting Somatostatin Analogue on Kidney and Cyst Growth in Autosomal Dominant Polycystic Kidney Disease (ALADIN): A Randomised, Placebo-Controlled, Multicentre Trial. Lancet 2013, 382, 1485–1495. [Google Scholar] [CrossRef]
- Perico, N.; Ruggenenti, P.; Perna, A.; Caroli, A.; Trillini, M.; Sironi, S.; Pisani, A.; Riccio, E.; Imbriaco, M.; Dugo, M.; et al. Octreotide-LAR in Later-Stage Autosomal Dominant Polycystic Kidney Disease (ALADIN 2): A Randomized, Double-Blind, Placebo-Controlled, Multicenter Trial. PLoS Med. 2019, 16, e1002777. [Google Scholar] [CrossRef] [PubMed]
- Trillini, M.; Caroli, A.; Perico, N.; Remuzzi, A.; Brambilla, P.; Villa, G.; Perna, A.; Peracchi, T.; Rubis, N.; Martinetti, D.; et al. Effects of Octreotide-Long-Acting Release Added-on Tolvaptan in Patients with Autosomal Dominant Polycystic Kidney Disease: Pilot, Randomized, Placebo-Controlled, Cross-Over Trial. Clin. J. Am. Soc. Nephrol. 2023, 18, 223–233. [Google Scholar] [CrossRef]
- Meijer, E.; Visser, F.W.; van Aerts, R.M.M.; Blijdorp, C.J.; Casteleijn, N.F.; D’Agnolo, H.M.A.; Dekker, S.E.I.; Drenth, J.P.H.; de Fijter, J.W.; van Gastel, M.D.A.; et al. Effect of Lanreotide on Kidney Function in Patients with Autosomal Dominant Polycystic Kidney Disease: The DIPAK 1 Randomized Clinical Trial. JAMA 2018, 320, 2010–2019. [Google Scholar] [CrossRef]
- Perrone, R.D.; Abebe, K.Z.; Watnick, T.J.; Althouse, A.D.; Hallows, K.R.; Lalama, C.M.; Miskulin, D.C.; Seliger, S.L.; Tao, C.; Harris, P.C.; et al. Primary Results of the Randomized Trial of Metformin Administration in Polycystic Kidney Disease (TAME PKD). Kidney Int. 2021, 100, 684–696. [Google Scholar] [CrossRef]
- Gansevoort, R.T.; Hariri, A.; Minini, P.; Ahn, C.; Chapman, A.B.; Horie, S.; Knebelmann, B.; Mrug, M.; Ong, A.C.M.; Pei, Y.P.C.; et al. Venglustat, a Novel Glucosylceramide Synthase Inhibitor, in Patients at Risk of Rapidly Progressing ADPKD: Primary Results of a Double-Blind, Placebo-Controlled, Phase 2/3 Randomized Clinical Trial. Am. J. Kidney Dis 2022, 81, 517–527. [Google Scholar] [CrossRef] [PubMed]
- Perrone, R.D.; Mouksassi, M.-S.; Romero, K.; Czerwiec, F.S.; Chapman, A.B.; Gitomer, B.Y.; Torres, V.E.; Miskulin, D.C.; Broadbent, S.; Marier, J.F. Total Kidney Volume Is a Prognostic Biomarker of Renal Function Decline and Progression to End-Stage Renal Disease in Patients With Autosomal Dominant Polycystic Kidney Disease. Kidney Int. Rep. 2017, 2, 442–450. [Google Scholar] [CrossRef]
- European Medicines Agency. Total Kidney Volume (TKV) as a Prognostic Biomarker for Use in Clinical Trials Evaluating Patients with Autosomal Dominant Polycystic Kidney Disease (ADPKD). Qualification Opinion Number EMA/CHMP/SAWP/473433/2015. Available online: http://www.ema.europa.eu/docs/en_gb/document_library/regulatory_and_procedural_guideline/2015/11/WC500196569.Pdf (accessed on 30 March 2023).
- US Food and Drug Administration. Qualification of Biomarker—Total Kidney Volume in Studies for Treatment of Autosomal Dominant Polycystic Kidney Disease. Guidance for Industry. Available online: https://www.regulations.gov/document/FDA-2015-D-2843-0004 (accessed on 30 March 2023).
- US Food and Drug Administration. Table of Surrogate Endpoints That Were the Basis of Drug Approval or Licensure. Available online: https://www.fda.gov/drugs/development-resources/table-surrogate-endpoints-were-basis-drug-approval-or-licensure (accessed on 30 March 2023).
- Sharma, K.; Caroli, A.; Quach, L.V.; Petzold, K.; Bozzetto, M.; Serra, A.L.; Remuzzi, G.; Remuzzi, A. Kidney Volume Measurement Methods for Clinical Studies on Autosomal Dominant Polycystic Kidney disease. PLoS ONE 2017, 12, e0178488. [Google Scholar] [CrossRef]
- Edwards, M.E.; Blais, J.D.; Czerwiec, F.S.; Erickson, B.J.; Torres, V.E.; Kline, T.L. Standardizing Total Kidney Volume Measurements for Clinical Trials of Autosomal Dominant Polycystic Kidney Disease. Clin. Kidney J. 2019, 12, 71–77. [Google Scholar] [CrossRef]
- Magistroni, R.; Corsi, C.; Martí, T.; Torra, R. A Review of the Imaging Techniques for Measuring Kidney and Cyst Volume in Establishing Autosomal Dominant Polycystic Kidney Disease Progression. Am. J. Nephrol. 2018, 48, 67–78. [Google Scholar] [CrossRef]
- Bae, K.T.; Commean, P.K.; Lee, J. Volumetric Measurement of Renal Cysts and Parenchyma Using MRI: Phantoms and Patients with Polycystic Kidney Disease. J. Comput. Assist. Tomogr. 2000, 24, 614–619. [Google Scholar] [CrossRef]
- Bae, K.T.; Tao, C.; Wang, J.; Kaya, D.; Wu, Z.; Bae, J.T.; Chapman, A.B.; Torres, V.E.; Grantham, J.J.; Mrug, M.; et al. Novel Approach to Estimate Kidney and Cyst Volumes Using Mid-Slice Magnetic Resonance Images in Polycystic Kidney Disease. Am. J. Nephrol. 2013, 38, 333–341. [Google Scholar] [CrossRef] [PubMed]
- Sharma, K.; Rupprecht, C.; Caroli, A.; Aparicio, M.C.; Remuzzi, A.; Baust, M.; Navab, N. Automatic Segmentation of Kidneys Using Deep Learning for Total Kidney Volume Quantification in Autosomal Dominant Polycystic Kidney Disease. Sci. Rep. 2017, 7, 2049. [Google Scholar] [CrossRef] [PubMed]
- Spithoven, E.M.; van Gastel, M.D.A.; Messchendorp, A.L.; Casteleijn, N.F.; Drenth, J.P.H.; Gaillard, C.A.; de Fijter, J.W.; Meijer, E.; Peters, D.J.M.; Kappert, P.; et al. Estimation of Total Kidney Volume in Autosomal Dominant Polycystic Kidney Disease. Am. J. Kidney Dis. 2015, 66, 792–801. [Google Scholar] [CrossRef] [PubMed]
- Shi, B.; Akbari, P.; Pourafkari, M.; Iliuta, I.-A.; Guiard, E.; Quist, C.F.; Song, X.; Hillier, D.; Khalili, K.; Pei, Y. Prognostic Performance of Kidney Volume Measurement for Polycystic Kidney Disease: A Comparative Study of Ellipsoid vs. Manual Segmentation. Sci. Rep. 2019, 9, 10996. [Google Scholar] [CrossRef]
- Demoulin, N.; Nicola, V.; Michoux, N.; Gillion, V.; Ho, T.A.; Clerckx, C.; Pirson, Y.; Annet, L. Limited Performance of Estimated Total Kidney Volume for Follow-up of ADPKD. Kidney Int. Rep. 2021, 6, 2821–2829. [Google Scholar] [CrossRef]
- Cohen, B.A.; Barash, I.; Kim, D.C.; Sanger, M.D.; Babb, J.S.; Chandarana, H. Intraobserver and Interobserver Variability of Renal Volume Measurements in Polycystic Kidney Disease Using a Semiautomated MR Segmentation Algorithm. AJR Am. J. Roentgenol. 2012, 199, 387–393. [Google Scholar] [CrossRef]
- Kline, T.L.; Edwards, M.E.; Korfiatis, P.; Akkus, Z.; Torres, V.E.; Erickson, B.J. Semiautomated Segmentation of Polycystic Kidneys in T2-Weighted MR Images. AJR Am. J. Roentgenol. 2016, 207, 605–613. [Google Scholar] [CrossRef]
- Kline, T.L.; Korfiatis, P.; Edwards, M.E.; Warner, J.D.; Irazabal, M.V.; King, B.F.; Torres, V.E.; Erickson, B.J. Automatic Total Kidney Volume Measurement on Follow-up Magnetic Resonance Images to Facilitate Monitoring of Autosomal Dominant Polycystic Kidney Disease Progression. Nephrol. Dial. Transpl. 2016, 31, 241–248. [Google Scholar] [CrossRef] [PubMed]
- Kline, T.L.; Korfiatis, P.; Edwards, M.E.; Blais, J.D.; Czerwiec, F.S.; Harris, P.C.; King, B.F.; Torres, V.E.; Erickson, B.J. Performance of an Artificial Multi-Observer Deep Neural Network for Fully Automated Segmentation of Polycystic Kidneys. J. Digit. Imaging 2017, 30, 442–448. [Google Scholar] [CrossRef] [PubMed]
- Jagtap, J.M.; Gregory, A.V.; Homes, H.L.; Wright, D.E.; Edwards, M.E.; Akkus, Z.; Erickson, B.J.; Kline, T.L. Automated Measurement of Total Kidney Volume from 3D Ultrasound Images of Patients Affected by Polycystic Kidney Disease and Comparison to MR Measurements. Abdom. Radiol. 2022, 47, 2408–2419. [Google Scholar] [CrossRef]
- Potretzke, T.A.; Korfiatis, P.; Blezek, D.J.; Edwards, M.E.; Klug, J.R.; Cook, C.J.; Gregory, A.V.; Harris, P.C.; Chebib, F.T.; Hogan, M.C.; et al. Clinical Implementation of an Artificial Intelligence Algorithm for Magnetic Resonance-Derived Measurement of Total Kidney Volume. Mayo. Clin. Proc. 2023, 98, 689–700. [Google Scholar] [CrossRef]
- Goel, A.; Shih, G.; Riyahi, S.; Jeph, S.; Dev, H.; Hu, R.; Romano, D.; Teichman, K.; Blumenfeld, J.D.; Barash, I.; et al. Deployed Deep Learning Kidney Segmentation for Polycystic Kidney Disease MRI. Radiol. Artif. Intell. 2022, 4, e210205. [Google Scholar] [CrossRef]
- Caroli, A.; Perico, N. An Artificial Intelligence Algorithm for ADPKD: Are We Close to Successful Clinical Implementation? Mayo. Clin. Proc. 2023, 98, 650–652. [Google Scholar] [CrossRef] [PubMed]
- Harris, P.C.; Bae, K.T.; Rossetti, S.; Torres, V.E.; Grantham, J.J.; Chapman, A.B.; Guay-Woodford, L.M.; King, B.F.; Wetzel, L.H.; Baumgarten, D.A.; et al. Cyst Number but Not the Rate of Cystic Growth Is Associated with the Mutated Gene in Autosomal Dominant Polycystic Kidney Disease. J. Am. Soc. Nephrol. 2006, 17, 3013–3019. [Google Scholar] [CrossRef]
- Bae, K.; Park, B.; Sun, H.; Wang, J.; Tao, C.; Chapman, A.B.; Torres, V.E.; Grantham, J.J.; Mrug, M.; Bennett, W.M.; et al. Segmentation of Individual Renal Cysts from MR Images in Patients with Autosomal Dominant Polycystic Kidney Disease. Clin. J. Am. Soc. Nephrol. 2013, 8, 1089–1097. [Google Scholar] [CrossRef]
- Bae, K.T.; Sun, H.; Lee, J.G.; Bae, K.; Wang, J.; Tao, C.; Chapman, A.B.; Torres, V.E.; Grantham, J.J.; Mrug, M.; et al. Novel Methodology to Evaluate Renal Cysts in Polycystic Kidney Disease. Am. J. Nephrol. 2014, 39, 210–217. [Google Scholar] [CrossRef]
- Bae, K.T.; Shi, T.; Tao, C.; Yu, A.S.L.; Torres, V.E.; Perrone, R.D.; Chapman, A.B.; Brosnahan, G.; Steinman, T.I.; Braun, W.E.; et al. Expanded Imaging Classification of Autosomal Dominant Polycystic Kidney Disease. J. Am. Soc. Nephrol. 2020, 31, 1640–1651. [Google Scholar] [CrossRef]
- Kline, T.L.; Edwards, M.E.; Fetzer, J.; Gregory, A.V.; Anaam, D.; Metzger, A.J.; Erickson, B.J. Automatic Semantic Segmentation of Kidney Cysts in MR Images of Patients Affected by Autosomal-Dominant Polycystic Kidney Disease. Abdom. Radiol. 2021, 46, 1053–1061. [Google Scholar] [CrossRef] [PubMed]
- Rombolotti, M.; Sangalli, F.; Cerullo, D.; Remuzzi, A.; Lanzarone, E. Automatic Cyst and Kidney Segmentation in Autosomal Dominant Polycystic Kidney Disease: Comparison of U-Net Based Methods. Comput. Biol. Med. 2022, 146, 105431. [Google Scholar] [CrossRef] [PubMed]
- Raj, A.; Tollens, F.; Hansen, L.; Golla, A.-K.; Schad, L.R.; Nörenberg, D.; Zöllner, F.G. Deep Learning-Based Total Kidney Volume Segmentation in Autosomal Dominant Polycystic Kidney Disease Using Attention, Cosine Loss, and Sharpness Aware Minimization. Diagnostics 2022, 12, 1159. [Google Scholar] [CrossRef]
- Cui, H.; Ma, Y.; Yang, M.; Lu, Y.; Zhang, M.; Fu, L.; Fu, C.; Su, B.; He, C.; Xue, C.; et al. Automatic Segmentation of Kidney Volume Using Multi-Module Hybrid Based U-Shape in Polycystic Kidney Disease. IEEE Access 2023, 11, 58113–58124. [Google Scholar] [CrossRef]
- Gregory, A.V.; Anaam, D.A.; Vercnocke, A.J.; Edwards, M.E.; Torres, V.E.; Harris, P.C.; Erickson, B.J.; Kline, T.L. Semantic Instance Segmentation of Kidney Cysts in MR Images: A Fully Automated 3D Approach Developed Through Active Learning. J. Digit. Imaging 2021, 34, 773–787. [Google Scholar] [CrossRef]
- Gregory, A.V.; Chebib, F.T.; Poudyal, B.; Holmes, H.L.; Yu, A.S.L.; Landsittel, D.P.; Bae, K.T.; Chapman, A.B.; Frederic, R.-O.; Mrug, M.; et al. Utility of New Image-Derived Biomarkers for Autosomal Dominant Polycystic Kidney Disease Prognosis Using Automated Instance Cyst Segmentation. Kidney Int. 2023, 104, 334–342. [Google Scholar] [CrossRef]
- Riyahi, S.; Dev, H.; Blumenfeld, J.D.; Rennert, H.; Yin, X.; Attari, H.; Barash, I.; Chicos, I.; Bobb, W.; Donahue, S.; et al. Hemorrhagic Cysts and Other MR Biomarkers for Predicting Renal Dysfunction Progression in Autosomal Dominant Polycystic Kidney Disease. J. Magn. Reson. Imaging 2021, 53, 564–576. [Google Scholar] [CrossRef]
- Antiga, L.; Piccinelli, M.; Fasolini, G.; Ene-Iordache, B.; Ondei, P.; Bruno, S.; Remuzzi, G.; Remuzzi, A. Computed Tomography Evaluation of Autosomal Dominant Polycystic Kidney Disease Progression: A Progress Report. Clin. J. Am. Soc. Nephrol. 2006, 1, 754–760. [Google Scholar] [CrossRef]
- Caroli, A.; Antiga, L.; Conti, S.; Sonzogni, A.; Fasolini, G.; Ondei, P.; Perico, N.; Remuzzi, G.; Remuzzi, A. Intermediate Volume on Computed Tomography Imaging Defines a Fibrotic Compartment That Predicts Glomerular Filtration Rate Decline in Autosomal Dominant Polycystic Kidney Disease Patients. Am. J. Pathol. 2011, 179, 619–627. [Google Scholar] [CrossRef]
- Lai, S.; Mastroluca, D.; Letizia, C.; Petramala, L.; Perrotta, A.M.; DiGaeta, A.; Ferrigno, L.; Ciccariello, M.; D’Angelo, A.R.; Panebianco, V. Magnetic Resonance Imaging 3T and Total Fibrotic Volume in Autosomal Dominant Polycystic Kidney Disease. Intern. Med. J. 2018, 48, 1505–1513. [Google Scholar] [CrossRef]
- Xie, Y.; Xu, M.; Chen, Y.; Zhu, X.; Ju, S.; Li, Y. The Predictive Value of Renal Parenchymal Information for Renal Function Impairment in Patients with ADPKD: A Multicenter Prospective Study. Abdom. Radiol. 2022, 47, 2845–2857. [Google Scholar] [CrossRef] [PubMed]
- Caroli, A.; Villa, G.; Brambilla, P.; Trillini, M.; Sharma, K.; Sironi, S.; Remuzzi, G.; Perico, N.; Remuzzi, A. Diffusion Magnetic Resonance Imaging for Kidney Cyst Volume Quantification and Non-Cystic Tissue Characterisation in ADPKD. Eur. Radiol. 2023. [Google Scholar] [CrossRef] [PubMed]
- Woo, D. Apoptosis and Loss of Renal Tissue in Polycystic Kidney Diseases. N. Engl. J. Med. 1995, 333, 18–25. [Google Scholar] [CrossRef] [PubMed]
- Grantham, J.J.; Winklhofer, F.T. Cystic Diseases of the Kidney. In The Kidney; Brenner, B.M., Ed.; W.B. Saunders Company: Philadelphia, PA, USA, 1996; pp. 1743–1757. [Google Scholar]
- Chang, M.Y.; Parker, E.; Ibrahim, S.; Shortland, J.R.; Nahas, M.E.; Haylor, J.L.; Ong, A.C.M. Haploinsufficiency of Pkd2 Is Associated with Increased Tubular Cell Proliferation and Interstitial Fibrosis in Two Murine Pkd2 Models. Nephrol. Dial. Transpl. 2006, 21, 2078–2084. [Google Scholar] [CrossRef]
- Hassane, S.; Leonhard, W.N.; van der Wal, A.; Hawinkels, L.J.; Lantinga-van Leeuwen, I.S.; ten Dijke, P.; Breuning, M.H.; de Heer, E.; Peters, D.J. Elevated TGFbeta-Smad Signalling in Experimental Pkd1 Models and Human Patients with Polycystic Kidney Disease. J. Pathol. 2010, 222, 21–31. [Google Scholar] [CrossRef]
- Park, E.Y.; Seo, M.J.; Park, J.H. Effects of Specific Genes Activating RAGE on Polycystic Kidney Disease. Am. J. Nephrol. 2010, 32, 169–178. [Google Scholar] [CrossRef]
- Zeier, M.; Fehrenbach, P.; Geberth, S.; Möhring, K.; Waldherr, R.; Ritz, E. Renal Histology in Polycystic Kidney Disease with Incipient and Advanced Renal Failure. Kidney Int. 1992, 42, 1259–1265. [Google Scholar] [CrossRef]
- Norman, J. Fibrosis and Progression of Autosomal Dominant Polycystic Kidney Disease (ADPKD). Biochim. Biophys. Acta 2011, 1812, 1327–1336. [Google Scholar] [CrossRef]
- Xue, C.; Mei, C.-L. Polycystic Kidney Disease and Renal Fibrosis. Adv. Exp. Med. Biol. 2019, 1165, 81–100. [Google Scholar] [CrossRef]
- Okada, H.; Ban, S.; Nagao, S.; Takahashi, H.; Suzuki, H.; Neilson, E.G. Progressive Renal Fibrosis in Murine Polycystic Kidney Disease: An Immunohistochemical Observation. Kidney Int. 2000, 58, 587–597. [Google Scholar] [CrossRef]
- Fragiadaki, M.; Macleod, F.M.; Ong, A.C.M. The Controversial Role of Fibrosis in Autosomal Dominant Polycystic Kidney Disease. Int. J. Mol. Sci. 2020, 21, 8936. [Google Scholar] [CrossRef]
- Caroli, A.; Schneider, M.; Friedli, I.; Ljimani, A.; De Seigneux, S.; Boor, P.; Gullapudi, L.; Kazmi, I.; Mendichovszky, I.A.; Notohamiprodjo, M.; et al. Diffusion-Weighted Magnetic Resonance Imaging to Assess Diffuse Renal Pathology: A Systematic Review and Statement Paper. Nephrol. Dial. Transpl. 2018, 33, ii29–ii40. [Google Scholar] [CrossRef] [PubMed]
- Kline, T.L.; Edwards, M.E.; Garg, I.; Irazabal, M.V.; Korfiatis, P.; Harris, P.C.; King, B.F.; Torres, V.E.; Venkatesh, S.K.; Erickson, B.J. Quantitative MRI of Kidneys in Renal Disease. Abdom. Radiol. 2018, 43, 629–638. [Google Scholar] [CrossRef]
- Caroli, A.; Pruijm, M.; Burnier, M.; Selby, N.M. Functional Magnetic Resonance Imaging of the Kidneys: Where Do We Stand? The Perspective of the European COST Action PARENCHIMA. Nephrol. Dial. Transpl. 2018, 33, ii1–ii3. [Google Scholar] [CrossRef]
- Selby, N.M.; Blankestijn, P.J.; Boor, P.; Combe, C.; Eckardt, K.-U.; Eikefjord, E.; Garcia-Fernandez, N.; Golay, X.; Gordon, I.; Grenier, N.; et al. Magnetic Resonance Imaging Biomarkers for Chronic Kidney Disease: A Position Paper from the European Cooperation in Science and Technology Action PARENCHIMA. Nephrol. Dial. Transpl. 2018, 33, ii4–ii14. [Google Scholar] [CrossRef] [PubMed]
- Villa, G.; Ringgaard, S.; Hermann, I.; Noble, R.; Brambilla, P.; Khatir, D.S.; Zöllner, F.G.; Francis, S.T.; Selby, N.M.; Remuzzi, A.; et al. Phase-Contrast Magnetic Resonance Imaging to Assess Renal Perfusion: A Systematic Review and Statement Paper. MAGMA 2020, 33, 3–21. [Google Scholar] [CrossRef] [PubMed]
- Wolf, M.; de Boer, A.; Sharma, K.; Boor, P.; Leiner, T.; Sunder-Plassmann, G.; Moser, E.; Caroli, A.; Jerome, N.P. Magnetic Resonance Imaging T1- and T2-Mapping to Assess Renal Structure and Function: A Systematic Review and Statement Paper. Nephrol. Dial. Transpl. 2018, 33, ii41–ii50. [Google Scholar] [CrossRef]
- Pruijm, M.; Mendichovszky, I.A.; Liss, P.; Van der Niepen, P.; Textor, S.C.; Lerman, L.O.; Krediet, C.T.P.; Caroli, A.; Burnier, M.; Prasad, P.V. Renal Blood Oxygenation Level-Dependent Magnetic Resonance Imaging to Measure Renal Tissue Oxygenation: A Statement Paper and Systematic Review. Nephrol. Dial. Transpl. 2018, 33, ii22–ii28. [Google Scholar] [CrossRef]
- Odudu, A.; Nery, F.; Harteveld, A.A.; Evans, R.G.; Pendse, D.; Buchanan, C.E.; Francis, S.T.; Fernández-Seara, M.A. Arterial Spin Labelling MRI to Measure Renal Perfusion: A Systematic Review and Statement Paper. Nephrol. Dial. Transpl. 2018, 33, ii15–ii21. [Google Scholar] [CrossRef]
- Venkatesh, S.K.; Ehman, R.L. Magnetic Resonance Elastography of Abdomen. Abdom. Imaging 2015, 40, 745–759. [Google Scholar] [CrossRef]
- Bokacheva, L.; Rusinek, H.; Chen, Q.; Oesingmann, N.; Prince, C.; Kaur, M.; Kramer, E.; Lee, V.S. Quantitative Determination of Gd-DTPA Concentration in T1-Weighted MR Renography Studies. Magn. Reson. Med. 2007, 57, 1012–1018. [Google Scholar] [CrossRef] [PubMed]
- King, B.F.; Torres, V.E.; Brummer, M.E.; Chapman, A.B.; Bae, K.T.; Glockner, J.F.; Arya, K.; Felmlee, J.P.; Grantham, J.J.; Guay-Woodford, L.M.; et al. Magnetic Resonance Measurements of Renal Blood Flow as a Marker of Disease Severity in Autosomal-Dominant Polycystic Kidney Disease. Kidney Int. 2003, 64, 2214–2221. [Google Scholar] [CrossRef] [PubMed]
- Torres, V.E.; King, B.F.; Chapman, A.B.; Brummer, M.E.; Bae, K.T.; Glockner, J.F.; Arya, K.; Risk, D.; Felmlee, J.P.; Grantham, J.J.; et al. Magnetic Resonance Measurements of Renal Blood Flow and Disease Progression in Autosomal Dominant Polycystic Kidney Disease. Clin. J. Am. Soc. Nephrol. 2007, 2, 112–120. [Google Scholar] [CrossRef]
- Irazabal, M.V.; Torres, V.E.; Hogan, M.C.; Glockner, J.; King, B.F.; Ofstie, T.G.; Krasa, H.B.; Ouyang, J.; Czerwiec, F.S. Short-Term Effects of Tolvaptan on Renal Function and Volume in Patients with Autosomal Dominant Polycystic Kidney Disease. Kidney Int. 2011, 80, 295–301. [Google Scholar] [CrossRef]
- Spithoven, E.M.; Meijer, E.; Borns, C.; Boertien, W.E.; Gaillard, C.A.J.M.; Kappert, P.; Greuter, M.J.W.; van der Jagt, E.; Vart, P.; de Jong, P.E.; et al. Feasibility of Measuring Renal Blood Flow by Phase-Contrast Magnetic Resonance Imaging in Patients with Autosomal Dominant Polycystic Kidney Disease. Eur. Radiol. 2016, 26, 683–692. [Google Scholar] [CrossRef][Green Version]
- Suwabe, T.; Ubara, Y.; Ueno, T.; Hayami, N.; Hoshino, J.; Imafuku, A.; Kawada, M.; Hiramatsu, R.; Hasegawa, E.; Sawa, N.; et al. Intracystic Magnetic Resonance Imaging in Patients with Autosomal Dominant Polycystic Kidney Disease: Features of Severe Cyst Infection in a Case-Control Study. BMC Nephrol. 2016, 17, 170. [Google Scholar] [CrossRef]
- Lupica, R.; Mormina, E.; Lacquaniti, A.; Trimboli, D.; Bianchimano, B.; Marino, S.; Bramanti, P.; Longo, M.; Buemi, M.; Granata, F. 3 Tesla-Diffusion Tensor Imaging in Autosomal Dominant Polycystic Kidney Disease: The Nephrologist’s Point of View. Nephron 2016, 134, 73–80. [Google Scholar] [CrossRef]
- Franke, M.; Baeßler, B.; Vechtel, J.; Dafinger, C.; Höhne, M.; Borgal, L.; Göbel, H.; Koerber, F.; Maintz, D.; Benzing, T.; et al. Magnetic Resonance T2 Mapping and Diffusion-Weighted Imaging for Early Detection of Cystogenesis and Response to Therapy in a Mouse Model of Polycystic Kidney Disease. Kidney Int. 2017, 92, 1544–1554. [Google Scholar] [CrossRef]
- Siedek, F.; Grundmann, F.; Weiss, K.; Pinto Dos Santos, D.; Arjune, S.; Haneder, S.; Persigehl, T.; Müller, R.-U.; Baessler, B. Magnetic Resonance Kidney Parenchyma-T2 as a Novel Imaging Biomarker for Autosomal Dominant Polycystic Kidney Disease. Invest. Radiol. 2020, 55, 217–225. [Google Scholar] [CrossRef]
- Cox, E.F.; Buchanan, C.E.; Bradley, C.R.; Prestwich, B.; Mahmoud, H.; Taal, M.; Selby, N.M.; Francis, S.T. Multiparametric Renal Magnetic Resonance Imaging: Validation, Interventions, and Alterations in Chronic Kidney Disease. Front. Physiol. 2017, 8, 696. [Google Scholar] [CrossRef]
- Dev, H.; Zhu, C.; Sharbatdaran, A.; Raza, S.I.; Wang, S.J.; Romano, D.J.; Goel, A.; Teichman, K.; Moghadam, M.C.; Shih, G.; et al. Effect of Averaging Measurements From Multiple MRI Pulse Sequences on Kidney Volume Reproducibility in Autosomal Dominant Polycystic Kidney Disease. J. Magn. Reson. Imaging 2023. [Google Scholar] [CrossRef] [PubMed]
- Zhu, C.; Dev, H.; Sharbatdaran, A.; He, X.; Shimonov, D.; Chevalier, J.M.; Blumenfeld, J.D.; Wang, Y.; Teichman, K.; Shih, G.; et al. Clinical Quality Control of MRI Total Kidney Volume Measurements in Autosomal Dominant Polycystic Kidney Disease. Tomography 2023, 9, 1341–1355. [Google Scholar] [CrossRef] [PubMed]
- Kline, T.L.; Korfiatis, P.; Edwards, M.E.; Bae, K.T.; Yu, A.; Chapman, A.B.; Mrug, M.; Grantham, J.J.; Landsittel, D.; Bennett, W.M.; et al. Image Texture Features Predict Renal Function Decline in Patients with Autosomal Dominant Polycystic Kidney Disease. Kidney Int. 2017, 92, 1206–1216. [Google Scholar] [CrossRef]
- Cong, L.; Hua, Q.-Q.; Huang, Z.-Q.; Ma, Q.-L.; Wang, X.-M.; Huang, C.-C.; Xu, J.-X.; Ma, T. A Radiomics Method Based on MR FS-T2WI Sequence for Diagnosing of Autosomal Dominant Polycystic Kidney Disease Progression. Eur. Rev. Med. Pharmacol. Sci. 2021, 25, 5769–5780. [Google Scholar] [CrossRef]
- Li, X.; Liu, Q.; Xu, J.; Huang, C.; Hua, Q.; Wang, H.; Ma, T.; Huang, Z. A MRI-Based Radiomics Nomogram for Evaluation of Renal Function in ADPKD. Abdom. Radiol. 2022, 47, 1385–1395. [Google Scholar] [CrossRef] [PubMed]
- Kremer, L.E.; Fosso, B.; Groothuis, L.; Chapman, A.B.; Armato III, S.G. Radiomics-Based Classification of Autosomal Dominant Polycystic Kidney Disease (ADPKD) Mayo Imaging Classification (MIC) and the Effect of Gray-Level Discretization. SPIE Proc. 2023, 12465. [Google Scholar] [CrossRef]
- Akbari, P.; Nasri, F.; Deng, S.X.; Khowaja, S.; Lee, S.H.; Warnica, W.; Lu, H.; Rattansingh, A.; Atri, M.; Khalili, K.; et al. Total Kidney Volume Measurements in ADPKD by 3D and Ellipsoid Ultrasound in Comparison with Magnetic Resonance Imaging. Clin. J. Am. Soc. Nephrol. 2022, 17, 827–834. [Google Scholar] [CrossRef]
- Hammoud, S.; Tissier, A.-M.; Elie, C.; Pousset, M.; Knebelman, B.; Joly, D.; Hélénon, O.; Correas, J.-M. Ultrasonographic Renal Volume Measurements in Early Autosomal Dominant Polycystic Disease: Comparison with CT-Scan Renal Volume Calculations. Diagn. Interv. Imaging 2015, 96, 65–71. [Google Scholar] [CrossRef]
- Gimpel, C.; Bergmann, C.; Bockenhauer, D.; Breysem, L.; Cadnapaphornchai, M.A.; Cetiner, M.; Dudley, J.; Emma, F.; Konrad, M.; Harris, T.; et al. International Consensus Statement on the Diagnosis and Management of Autosomal Dominant Polycystic Kidney Disease in Children and Young People. Nat. Rev. Nephrol. 2019, 15, 713–726. [Google Scholar] [CrossRef]
- Breysem, L.; De Rechter, S.; De Keyzer, F.; Smet, M.H.; Bammens, B.; Van Dyck, M.; Hofmans, M.; Oyen, R.; Levtchenko, E.; Mekahli, D. 3DUS as an Alternative to MRI for Measuring Renal Volume in Children with Autosomal Dominant Polycystic Kidney Disease. Pediatr. Nephrol. 2018, 33, 827–835. [Google Scholar] [CrossRef]
- İmamoğlu, H.; Zararsız, G.; Doğan, S.; Koçyiğit, İ.; Eroğlu, E.; Öztürk, A.; Erdoğan, N. Autosomal Dominant Polycystic Kidney Disease: New Role for Ultrasound. Eur. Radiol. 2019, 29, 5991–5998. [Google Scholar] [CrossRef] [PubMed]
- Messchendorp, A.L.; Meijer, E.; Boertien, W.E.; Engels, G.E.; Casteleijn, N.F.; Spithoven, E.M.; Losekoot, M.; Burgerhof, J.G.M.; Peters, D.J.M.; Gansevoort, R.T. Urinary Biomarkers to Identify Autosomal Dominant Polycystic Kidney Disease Patients with a High Likelihood of Disease Progression. Kidney Int. Rep. 2018, 3, 291–301. [Google Scholar] [CrossRef] [PubMed]
- Dekker, S.E.I.; Verhoeven, A.; Soonawala, D.; Peters, D.J.M.; de Fijter, J.W.; Mayboroda, O.A. Urinary Metabolites Associate with the Rate of Kidney Function Decline in Patients with Autosomal Dominant Polycystic Kidney Disease. PLoS ONE 2020, 15, e0233213. [Google Scholar] [CrossRef] [PubMed]






| MRI Measure | Description |
|---|---|
| Diffusion weighted imaging (DWI) | Provides information about the kidney microstructure by detecting the displacement of water molecules (Brownian motion) within the architecture of tissues [86]. |
| Phase-contrast (PC-MRI) | Measures the blood flow in the renal arteries [90]. |
| T1 mapping | Provides a quantitative map over the whole kidney for the T1 values, giving information on the kidney microstructure [91]. |
| T2 mapping | Provides the quantification of T2 as a tissue-specific time parameter [91]. |
| Blood-oxygen-level-dependent (BOLD) MRI | Indirectly assesses renal oxygenation, exploiting the paramagnetic properties of deoxygenated hemoglobin [92]. |
| Arterial spin labelling (ASL) | Measures tissue perfusion using magnetically labelled water protons in the blood [93]. |
| Magnetization transfer imaging (MTI) | Provides information about the tissue composition and microstructure by measuring the magnetization transfer ratio. |
| Magnetic resonance elastography (MRE) | Provides information about the kidney tissue stiffness, using shear waves propagating in the tissues [94]. |
| Dynamic contrast-enhanced MRI | Measures renal perfusion and provides a direct measure of the GFR, although it requires the administration of an exogenous contrast agent [95]. |
| US | Non-Contrast Enhanced CT | Contrast Enhanced CT | Traditional MRI | Advanced/ mp MRI | |
|---|---|---|---|---|---|
| Availability | Very high | High | High | Average | Low |
| Radiation exposure | No | No | Yes | No | No |
| Contrast agent | No | No | Iodinated contrast media. Rare allergic reaction. Few side-effects. Risk of contrast-induced nephropathy (GFR < 60 mL/min) | No | Gd-based contrast media (for DCE and molecular MRI only). Very rare allergic reactions. Risk of NSF, older-generation agents contraindicated in patients with GFR < 30 mL/min. Gd retention in the brain |
| Acquisition time | Short | Very short | Short | Average | Very long |
| Spatial resolution | Very low | High | Very high | High | High |
| Versatility | Low | Low | Low | Low | Very high |
| Clinical contraindications | None | Pregnancy, claustrophobia | Pregnancy, hyperthyroidism, claustrophobia | Metal implants or devices, presence of foreign bodies, claustrophobia | Metal implants or devices, presence of foreign bodies, claustrophobia |
| Cost | Very low | Average | Average | High | High |
| Patient weight limit | No | Yes | Yes | Yes | Yes |
| Operator-dependence | Very high | Low | Low | Quite low | Quite low |
| Patient comfort | Very high | Quite high | Quite high | Quite low | Low |
| Diagnosis | Staging | Monitoring (Disease Progression/ Response to Therapy) | Prognosis | |
|---|---|---|---|---|
| US | Identification and counting of cysts and rough estimation of TKV | Rough estimation of TKV | Not accurate (low resolution) | Not accurate (low resolution) |
| Non-contrast-enhanced CT | Reliable quantification of TKV but not of cyst number | Reliable quantification of TKV | Reliable assessment of TKV change over time | Reliable quantification of TKV (validated prognostic marker) |
| Contrast- enhanced CT | Reliable quantification of TKV and accurate cyst counting | Reliable quantification of TKV, TCV, and the volume of non-cystic pathologic/fibrotic component | Reliable assessment of TKV, TCV, and non-cystic pathologic/fibrotic volume change over time | Reliable quantification of TKV (validated prognostic marker), as well as TCV and non-cystic pathologic/fibrotic volume (showing potential as prognostic markers) |
| Traditional MRI | Reliable quantification of TKV and accurate cyst counting | Reliable quantification of TKV and TCV | Reliable assessment of TKV and TCV change over time | Reliable quantification of TKV (validated prognostic marker), as well as TCV |
| Advanced/ mp MRI | Reliable quantification of TKV and accurate cyst counting. | Reliable quantification of TKV and TCV, and identification and characterization of the non-cystic pathologic/fibrotic component (both microstructure and function) | Reliable assessment of TKV, TCV, and non-cystic pathologic/fibrotic volume change over time | Reliable quantification of TKV (validated prognostic marker) and TCV, as well as characterization of the non-cystic pathologic/fibrotic volume (showing potential as prognostic marker) |
Disclaimer/Publisher’s Note: The statements, opinions and data contained in all publications are solely those of the individual author(s) and contributor(s) and not of MDPI and/or the editor(s). MDPI and/or the editor(s) disclaim responsibility for any injury to people or property resulting from any ideas, methods, instructions or products referred to in the content. |
© 2023 by the authors. Licensee MDPI, Basel, Switzerland. This article is an open access article distributed under the terms and conditions of the Creative Commons Attribution (CC BY) license (https://creativecommons.org/licenses/by/4.0/).
Share and Cite
Caroli, A.; Kline, T.L. Abdominal Imaging in ADPKD: Beyond Total Kidney Volume. J. Clin. Med. 2023, 12, 5133. https://doi.org/10.3390/jcm12155133
Caroli A, Kline TL. Abdominal Imaging in ADPKD: Beyond Total Kidney Volume. Journal of Clinical Medicine. 2023; 12(15):5133. https://doi.org/10.3390/jcm12155133
Chicago/Turabian StyleCaroli, Anna, and Timothy L. Kline. 2023. "Abdominal Imaging in ADPKD: Beyond Total Kidney Volume" Journal of Clinical Medicine 12, no. 15: 5133. https://doi.org/10.3390/jcm12155133
APA StyleCaroli, A., & Kline, T. L. (2023). Abdominal Imaging in ADPKD: Beyond Total Kidney Volume. Journal of Clinical Medicine, 12(15), 5133. https://doi.org/10.3390/jcm12155133

