Sign in to use this feature.

Years

Between: -

Subjects

remove_circle_outline
remove_circle_outline
remove_circle_outline

Journals

Article Types

Countries / Regions

Search Results (5)

Search Parameters:
Keywords = primary adrenal lymphoma

Order results
Result details
Results per page
Select all
Export citation of selected articles as:
11 pages, 3538 KB  
Case Report
Long-Term Survival in a Dog After Adrenalectomy and Splenectomy for Two Different Malignancies with Portal Vein Involvement
by Seung-Hyun Kim, Jun-Gyu Park, Jang-Han Yoon, Yeong-Bin Baek and Sang-Ik Park
Animals 2025, 15(21), 3159; https://doi.org/10.3390/ani15213159 - 30 Oct 2025
Viewed by 1207
Abstract
Concurrent occurrence of two independent primary malignancies in a single dog is rare and presents diagnostic and surgical challenges. A 9-year-old neutered male Cocker Spaniel was diagnosed with adrenal pheochromocytoma and splenic diffuse large B-cell lymphoma. Abdominal imaging revealed two distinct masses. Surgical [...] Read more.
Concurrent occurrence of two independent primary malignancies in a single dog is rare and presents diagnostic and surgical challenges. A 9-year-old neutered male Cocker Spaniel was diagnosed with adrenal pheochromocytoma and splenic diffuse large B-cell lymphoma. Abdominal imaging revealed two distinct masses. Surgical management included adrenalectomy, splenectomy, mesenteric lymphadenectomy, and excision of a small mass adherent to the portal vein adventitia. Histopathology confirmed two separate malignancies, with chromogranin A positivity supporting pheochromocytoma and CD20 positivity confirming B-cell lymphoma. No additional metastatic lesions were identified, and the portal vein-associated mass was considered an isolated lesion closely adherent to the vessel wall, with its exact pathogenesis remaining uncertain. To the authors’ knowledge, this represents the first veterinary report describing adrenal pheochromocytoma with portal vein involvement successfully managed by surgical removal. The patient recovered well and remained disease-free for three years without adjuvant therapy. This case emphasizes that, even in technically demanding situations, meticulous surgical planning and comprehensive oncologic assessment can achieve durable remission and inform future approaches to complex veterinary cancers. Full article
(This article belongs to the Special Issue Advances in Small Animal Surgical Oncology)
Show Figures

Figure 1

9 pages, 1979 KB  
Case Report
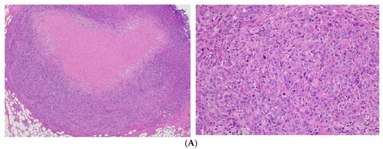
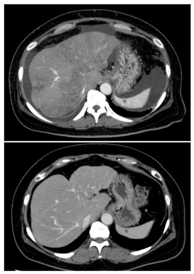
Primary Adrenal Lymphomas with Cushing’s Syndrome: Two Cases with Evidence of Endogeneous Cortisol Production by the Neoplastic Lymphoid Cells
by Sotirios G. Papageorgiou, Ioanna Mavroeidi, Marios Kostakis, Aris Spathis, Danai Leventakou, Evangelia Kritikou, Nikolaos Oikonomopoulos, Chrysoula Kourkouti, Maria Krania, Anthi Bouchla, Thomas Thomopoulos, Zoi Tsakiraki, Konstantinos Markakis, Ioannis G. Panayiotides, Nikolaos Thomaidis, Vasiliki Pappa, Periklis G. Foukas and Melpomeni Peppa
J. Clin. Med. 2023, 12(15), 5032; https://doi.org/10.3390/jcm12155032 - 31 Jul 2023
Cited by 3 | Viewed by 1864
Abstract
Primary adrenal lymphoma (PAL) is a rare entity that presents as unilateral or bilateral rapidly growing adrenal masses, with signs and symptoms most commonly related to adrenal insufficiency due to the mass effect on the surrounding tissues. Although steroeidogenesis has not been previously [...] Read more.
Primary adrenal lymphoma (PAL) is a rare entity that presents as unilateral or bilateral rapidly growing adrenal masses, with signs and symptoms most commonly related to adrenal insufficiency due to the mass effect on the surrounding tissues. Although steroeidogenesis has not been previously described in PAL, we herein report two cases of PAL presenting as adrenal incidentalomas (AIs) that demonstrated autonomous cortisol production. A 52-year-old woman presented with lumbar pain; a computed tomography (CT) scan demonstrated a left AI measuring 8.5 × 15 × 10 cm. Similarly, an 80-year-old woman presented with lumbar pain, demonstrating in a CT scan a bilateral AI (right: 9 × 6.5 cm, left: 3.6 × 3.2 cm). Both cases underwent a full hormonal evaluation according to the algorithm for the investigation of AIs, demonstrating increased 24-h cortisol excretion, suppressed fasting adrenocorticotropic hormone (ACTH) levels, and non-suppressed serum cortisol levels in both the overnight and the low-dose dexamethasone suppression tests, indicating autonomous cortisol secretion and Cushing’s syndrome. In a relatively short time, both patients developed night sweats, and their clinical picture deteriorated, while the CT scans showed increased dimensions of the masses with radiological characteristics compatible to lymphoma. Both patients underwent ultrasound-guided biopsies (FNBs), revealing infiltration of the left adrenal by diffuse large B-cell lymphoma in the first case, whereas bilateral adrenal infiltration from the same histological type was noted in the second case. Subsequently, they were treated with immunochemotherapy, but the second patient died from an infection shortly after the initiation of the treatment. To our knowledge, this is the first report of PAL presenting with Cushing’s syndrome due to autonomous cortisol production, indicating that neoplastic lymphoid cells in PAL might acquire the potential for steroidogenesis; therefore, more cases of PAL should be analyzed so as to further elucidate the complex pathogenesis and the natural course of this entity. Full article
(This article belongs to the Section Hematology)
Show Figures

Figure 1

13 pages, 2633 KB  
Systematic Review
[18F]FDG PET/CT and PET/MR in Patients with Adrenal Lymphoma: A Systematic Review of Literature and a Collection of Cases
by Laura Evangelista, Filippo Crimì, Andrea Visentin, Giacomo Voltan, Livio Trentin, Carmelo Lacognata, Diego Cecchin and Filippo Ceccato
Curr. Oncol. 2022, 29(10), 7887-7899; https://doi.org/10.3390/curroncol29100623 - 18 Oct 2022
Cited by 6 | Viewed by 3616
Abstract
Aim. The present study aimed to assess the existing data about Primary Adrenal Lymphoma (PAL) evaluated with FDG PET and to describe a small monocentric series of cases. A systematic analysis (from 2010 to 2022) was made by using PubMed and Web of [...] Read more.
Aim. The present study aimed to assess the existing data about Primary Adrenal Lymphoma (PAL) evaluated with FDG PET and to describe a small monocentric series of cases. A systematic analysis (from 2010 to 2022) was made by using PubMed and Web of Science databases reporting data about the role of FDG PET/CT in patients with suspicious or known adrenal lymphoma. The quality of the papers was assessed by using QUADAS-2 criteria. Moreover, from a single institutional collection between 2010 and 2021, data from patients affected by adrenal lymphoma and undergoing contrast-enhanced compute tomography (ceCT)/magnetic resonance (MR) and FDG PET/CT or PET/MR were retrieved and singularly described. Seventy-eight papers were available from PubMed and 25 from Web of Science. Forty-seven (Nr. 47) Patients were studied, most of them in the initial staging of disease (n = 42; 90%). Only in one paper, the scan was made before and after therapy. The selected clinical cases were relative to the initial staging of disease, the restaging, and the evaluation of response to therapy. PET/CT and PET/MR always showed a high FDG uptake in the primary adrenal lesions and in metastatic sites. Moreover, PET metrics, such as maximum standardized uptake value (SUVmax) and metabolic tumor volume (MTV), were elevated in all primary adrenal lesions. In conclusions, FDG PET either coupled with CT or MRI can be useful in staging, restaging, and for the evaluation of treatment response in patients affected by PAL Full article
Show Figures

Figure 1

8 pages, 3381 KB  
Case Report
Successful Alectinib Treatment for Carcinoma of Unknown Primary with EML4-ALK Fusion Gene: A Case Report
by Keiji Sugiyama, Ai Izumika, Akari Iwakoshi, Riko Nishibori, Mariko Sato, Kazuhiro Shiraishi, Hiroyoshi Hattori, Rieko Nishimura and Chiyoe Kitagawa
Curr. Oncol. 2021, 28(3), 1938-1945; https://doi.org/10.3390/curroncol28030180 - 21 May 2021
Cited by 1 | Viewed by 2869
Abstract
Gene alteration in anaplastic lymphoma kinase (ALK) is rare, and the efficacy of ALK inhibitors in the treatment of carcinoma of unknown primary (CUP) with ALK alteration remains unclear. The patient was a 56-year-old woman who presented with cervical lymph node swelling. Computed [...] Read more.
Gene alteration in anaplastic lymphoma kinase (ALK) is rare, and the efficacy of ALK inhibitors in the treatment of carcinoma of unknown primary (CUP) with ALK alteration remains unclear. The patient was a 56-year-old woman who presented with cervical lymph node swelling. Computed tomography revealed paraaortic, perigastric, and cervical lymph node swelling; ascites; a liver lesion; and a left adrenal mass. A cervical lymph node biopsy was performed, and pathological diagnosis of an undifferentiated malignant tumor was conducted. Finally, the patient was diagnosed with CUP and treated with chemotherapy. To evaluate actionable mutations, we performed a multigene analysis, using a next-generation sequencer (FoundationOne® CDx). It revealed that the tumor harbored an echinoderm microtubule-associated protein-like 4 (EML4) and ALK fusion gene. Additionally, immunohistochemistry confirmed ALK protein expression. Alectinib, a potent ALK inhibitor, was recommended for the patient at a molecular oncology conference at our institution. Accordingly, alectinib (600 mg/day) was administered, and the multiple lesions and symptoms rapidly diminished without apparent toxicity. The administration of alectinib continued for a period of 10 months without disease progression. Thus, ALK-tyrosine kinase inhibitors should be considered in patients with CUP harboring the EML4-ALK fusion gene. Full article
Show Figures

Figure 1

6 pages, 654 KB  
Article
Extranodal Diffuse Large B-Cell Lymphomas: A Retrospective Case Series and Review of the Literature
by Stergios Boussios, Ioannis Zerdes, Amalia Vassou, Eleni Bareta, Esmeralda Seraj, Alexandra Papoudou-Bai, Nicholas Pavlidis, Anna Batistatou and George Pentheroudakis
Hematol. Rep. 2018, 10(1), 7070; https://doi.org/10.4081/hr.2018.7070 - 3 Apr 2018
Cited by 22 | Viewed by 769
Abstract
Non-Hodgkin lymphomas commonly show extranodal involvement (25–30%) but primary diffuse large B-cell lymphomas (DLBCL) with extranodal localization represent clinically and molecularly distinct entities. The present study involved retrospective analysis of case records of 4 patients who were diagnosed with extranodal DLBCL between 2010 [...] Read more.
Non-Hodgkin lymphomas commonly show extranodal involvement (25–30%) but primary diffuse large B-cell lymphomas (DLBCL) with extranodal localization represent clinically and molecularly distinct entities. The present study involved retrospective analysis of case records of 4 patients who were diagnosed with extranodal DLBCL between 2010 and 2016 at the Medical Oncology and Hematology Departments of the Ioannina University Hospital, Greece. Median age of presentation was 69 years (range 60–77 years). There were 2 males and 2 females. The sites of DLBCL involvement included adrenal gland, mandible, cervix uteri, and ileum. Two patients had B symptoms while none had bone marrow involvement. After staging workup, all the patients fell into IE stage. The treatment approach included chemotherapy combined with rituximab (R), whereas one patient received additionally irradiation therapy. Post-treatment positron emission tomography-computed tomography scan was performed in 3 patients. In terms of the outcome, 3 patients are alive in complete response, whereas one was lost in follow-up. Further prospective data analyses are required so as to better elucidate the biology and course of extranodal DLBCL. Full article
Back to TopTop