Outcomes of a Pharmacological Protocol with Pentoxifylline and Tocopherol for the Management of Medication-Related Osteonecrosis of the Jaws (MRONJ): A Randomized Study on 202 Osteoporosis Patients
Abstract
1. Introduction
2. Material and Methods
2.1. Study Design
2.2. Patient Selection
- ONJ Stage I patients according to the staging criteria of the AAOMS of 2022 [6];
- Patients that needed surgical removal of the osteonecrosis lesion;
- Intake of BPs for over a period of 3 years for osteoporotic disease;
- Patients with ONJ lesion that developed after tooth/teeth extractions.
- ONJ patients with Stage II and III according to the staging criteria of the AAOMS of 2022 [6];
- Any stage of ONJ related to any other combination or/and type of anti-resorptive other than BPs, such as anti-Rank-L (denosumab), antiangiogenic medications, and any other drug imputed for the development of MRONJ;
- Cancer patients with ONJ;
- Any stage of ONJ related to the association of antiresorptive with or without the combination of other drugs used for the development of MRONJ for the treatment of other patients with dysmetabolic, oncological, and metastatic bone diseases.
2.3. Randomization
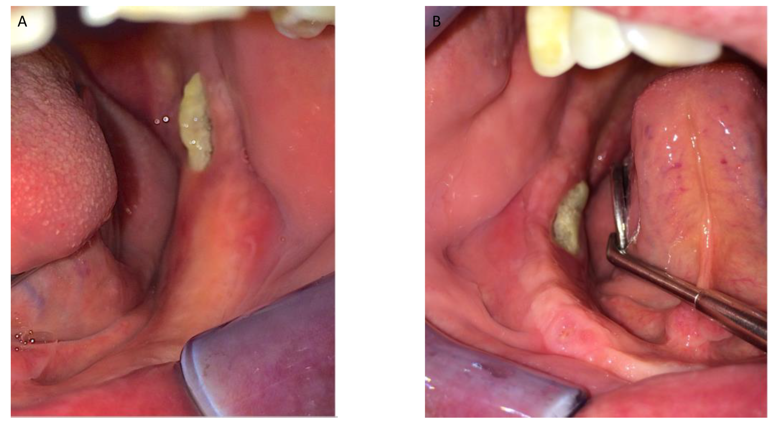
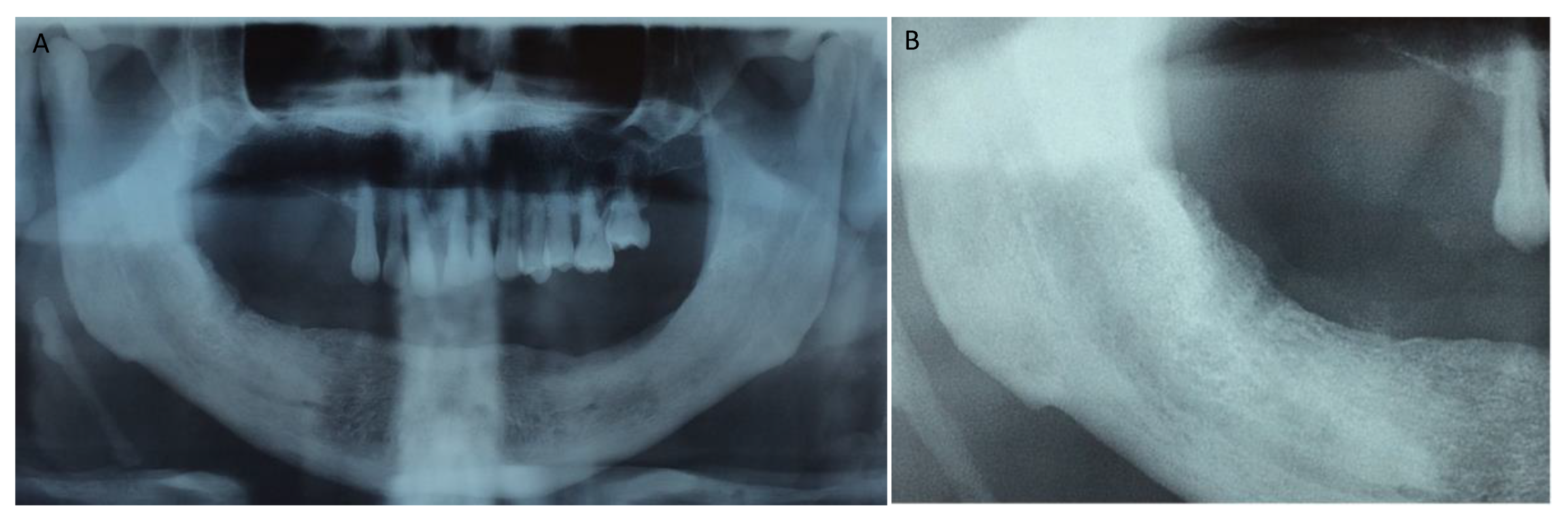
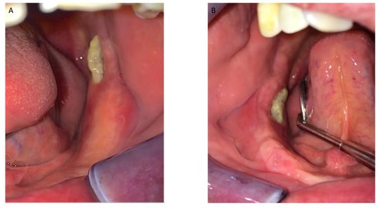
2.4. Pre-Operative Protocol: Diagnosis and Staging
2.5. Standard Pharmacological Protocol
2.6. Surgical Protocol
2.7. Follow-Up Evaluation
2.8. Study Variables
2.9. Data Collection
2.10. Statistical Analysis
3. Results
4. Discussion
5. Conclusions
Author Contributions
Funding
Institutional Review Board Statement
Informed Consent Statement
Data Availability Statement
Conflicts of Interest
References
- Marx, R.E. Oral and Intravenous Biphosphonate-Induced Osteonecrosis of the Jaws, 2nd ed.; Quintessence: Chicago, IL, USA, 2012; pp. 283–289. [Google Scholar]
- Pavelka, K. Osteonecrosis. Best Pract. Res. Clin. Rheumatol. 2000, 14, 399–414. [Google Scholar] [CrossRef] [PubMed]
- Anastasilakis, A.D.; Pepe, J.; Napoli, N.; Palermo, A.; Magopoulos, C.; Khan, A.A.; Zillikens, M.C.; Body, J.J. Osteonecrosis of the Jaw and Antiresorptive Agents in Benign and Malignant Diseases: A Critical Review Organized by the ECTS. J. Clin. Endocrinol. Metab. 2022, 107, 1441–1460. [Google Scholar] [CrossRef]
- Baron, R.; Ferrari, S.; Russell, R.G. Denosumab and bisphosphonates: Different mechanisms of action and effects. Bone 2011, 48, 677–692. [Google Scholar] [CrossRef]
- Campisi, G.; Mauceri, R.; Bertoldo, F.; Bettini, G.; Biasotto, M.; Colella, G.; Consolo, U.; Di Fede, O.; Favia, G.; Fusco, V.; et al. Medication-Related Osteonecrosis of Jaws (MRONJ) Prevention and Diagnosis: Italian Consensus Update 2020. Int. J. Environ. Res. Public Health 2020, 17, 5998. [Google Scholar] [CrossRef] [PubMed]
- Ruggiero, S.L.; Dodson, T.B.; Aghaloo, T.; Carlson, E.R.; Ward, B.B.; Kademani, D. American Association of Oral and Maxillofacial Surgeons’ Position Paper on Medication-Related Osteonecrosis of the Jaws-2022 Update. J. Oral Maxillofac. Surg. 2022, 80, 920–943. [Google Scholar] [CrossRef] [PubMed]
- Russel, R.G. Bisphosphonates: The first 40 years. Bone 2011, 49, 2–19. [Google Scholar] [CrossRef]
- Russell, R.G.; Watts, N.B.; Ebetino, F.H.; Rogers, M.J. Mechanisms of action of bisphosphonates: Similarities and differences and their potential influence on clinical efficacy. Osteoporos. Int. 2008, 19, 733–759. [Google Scholar] [CrossRef]
- Milner, R.J.; Farese, J.; Henry, C.J.; Selting, K.; Fan, T.M.; de Lorimier, L.P. Bisphosphonates and cancer. J. Vet. Intern. Med. 2004, 18, 597–604. [Google Scholar] [CrossRef]
- Cardoso, C.L.; Barros, C.A.; Curra, C.; Fernandes, L.M.; Franzolin, S.O.; Júnior, J.S.; De Antoni, C.C.; Curi, M.M. Radiographic Findings in Patients with Medication-Related Osteonecrosis of the Jaw. Int. J. Dent. 2017, 2017, 3190301. [Google Scholar] [CrossRef]
- Lipton, A.; Fizazi, K.; Stopeck, A.T.; Henry, D.H.; Brown, J.E.; Yardley, D.A.; Richardson, G.E.; Siena, S.; Maroto, P.; Clemens, M.; et al. Superiority of denosumab to zoledronic acid for prevention of skeletal-related events: A combined analysis of 3 pivotal, randomised, phase 3 trials. Eur. J. Cancer 2012, 48, 3082–3092. [Google Scholar] [CrossRef]
- Limones, A.; Sáez-Alcaide, L.M.; Díaz-Parreño, S.A.; Helm, A.; Bornstein, M.M.; Molinero-Mourelle, P. Medication-related osteonecrosis of the jaws (MRONJ) in cancer patients treated with denosumab VS. zoledronic acid: A systematic review and meta-analysis. Med. Oral Patol. Oral Cir. Bucal 2020, 25, e326–e336. [Google Scholar] [CrossRef]
- Otto, S.; Pautke, C.; Van den Wyngaert, T.; Niepel, D.; Schiødt, M. Medication-related osteonecrosis of the jaw: Prevention, diagnosis and management in patients with cancer and bone metastases. Cancer Treat. Rev. 2018, 69, 177–187. [Google Scholar] [CrossRef] [PubMed]
- Fleisher, K.E.; Kontio, R.; Otto, S. Antiresprpitive Drug-Related Osteonecrosis of the Jaw (ARONJ)—A Guide to Research, 1st ed.; Thieme Medical Publishers: Stuggart, Germany, 2016; pp. 45–49. [Google Scholar]
- Marx, R.E.; Sawatari, Y.; Fortin, M.; Broumand, V. Bisphosphonate-induced exposed bone (osteonecrosis/osteopetrosis) of the jaws: Risk factors, recognition, prevention, and treatment. J. Oral Maxillofac. Surg. 2005, 63, 1567–1575. [Google Scholar] [CrossRef] [PubMed]
- Martos-Fernández, M.; Saez-Barba, M.; López-López, J.; Estrugo-Devesa, A.; Balibrea-Del-Castillo, J.M.; Bescós-Atín, C. Pentoxifylline, tocopherol, and clodronate for the treatment of mandibular osteoradionecrosis: A systematic review. Oral Surg. Oral Med. Oral Pathol. Oral Radiol. 2018, 125, 431–439. [Google Scholar] [CrossRef]
- Cavalcante, R.C.; Tomasetti, G. Pentoxifylline and tocopherol protocol to treat medication-related osteonecrosis of the jaw: A systematic literature review. J. Craniomaxillofac. Surg. 2020, 48, 1080–1086. [Google Scholar] [CrossRef] [PubMed]
- Lyons, A.J.; Brennan, P.A. Pentoxifylline—A review of its use in osteoradionecrosis. Br. J. Oral Maxillofac. Surg. 2017, 55, 230–234. [Google Scholar] [CrossRef]
- Neuner, P.; Klosner, G.; Schauer, E.; Pourmojib, M.; Macheiner, W.; Grünwald, C.; Knobler, R.; Schwarz, A.; Luger, T.A.; Schwarz, T. Pentoxifylline in vivo down-regulates the release of IL-1 beta, IL-6, IL-8 and tumour necrosis factor-alpha by human peripheral blood mononuclear cells. Immunology 1994, 83, 262–267. [Google Scholar] [PubMed]
- Magnusson, M.; Gunnarsson, M.; Berntorp, E.; Björkman, S.; Höglund, P. Effects of pentoxifylline and its metabolites on platelet aggregation in whole blood from healthy humans. Eur. J. Pharmacol. 2008, 581, 290–295. [Google Scholar] [CrossRef]
- Delanian, S.; Depondt, J.; Lefaix, J.L. Major healing of refractory mandible osteoradionecrosis after treatment combining pentoxifylline and tocopherol: A phase II trial. Head Neck 2005, 27, 114–123. [Google Scholar] [CrossRef]
- Lombardi, N.; Varoni, E.; Villa, G.; Salis, A.; Lodi, G. Pentoxifylline and tocopherol for prevention of osteoradionecrosis in patients who underwent oral surgery: A clinical audit. Spec. Care Dentist. 2023, 43, 136–143. [Google Scholar] [CrossRef]
- Banjar, A.; Patel, V.; Abed, H. Pentoxifylline and tocopherol (vitamin E) with/without clodronate for the management of osteoradionecrosis: A scoping review. Oral Dis. 2023, 29, 29–39. [Google Scholar] [CrossRef]
- Bell, D.S.H. Are the Protean Effects of Pentoxifylline in the Therapy of Diabetes and Its Complications Still Relevant? Diabetes Ther. 2021, 12, 3025–3035. [Google Scholar] [CrossRef]
- Marjanowski, S.D.; Maldonado, A.; Schaller, B.; Burkhard, J.M. Pentoxifyllin und Tocopherol. Die Bedeutung in der Behandlung der Osteoradionekrose—Literaturreview und Fallbericht [Pentoxifylline and tocopherol—The importance in the treatment of osteoradionecrosis—Literature review and case report]. Swiss Dent. J. 2021, 131, 713–718. (In German) [Google Scholar] [PubMed]
- Soutome, S.; Otsuru, M.; Hayashida, S.; Murata, M.; Yanamoto, S.; Sawada, S.; Kojima, Y.; Funahara, M.; Iwai, H.; Umeda, M.; et al. Relationship between tooth extraction and development of medication-related osteonecrosis of the jaw in cancer patients. Sci. Rep. 2021, 11, 17226. [Google Scholar] [CrossRef] [PubMed]
- Sedghizadeh, P.P.; Kumar, S.K.; Gorur, A.; Schaudinn, C.; Shuler, C.F.; Costerton, J.W. Microbial biofilms in osteomyelitis of the jaw and osteonecrosis of the jaw secondary to bisphosphonate therapy. J. Am. Dent. Assoc. 2009, 140, 1259–1265. [Google Scholar] [CrossRef]
- Panya, S.; Fliefel, R.; Probst, F.; Tröltzsch, M.; Ehrenfeld, M.; Schubert, S.; Otto, S. Role of microbiological culture and polymerase chain reaction (PCR) of actinomyces in medication-related osteonecrosis of the jaw (MRONJ). J. Craniomaxillofac. Surg. 2017, 45, 357–363. [Google Scholar] [CrossRef] [PubMed]
- Guarneri, V.; Miles, D.; Robert, N.; Diéras, V.; Glaspy, J.; Smith, I.; Thomssen, C.; Biganzoli, L.; Taran, T.; Conte, P. Bevacizumab and osteonecrosis of the jaw: Incidence and association with bisphosphonate therapy in three large prospective trials in advanced breast cancer. Breast Cancer Res. Treat. 2010, 122, 181–188. [Google Scholar] [CrossRef] [PubMed]
- Beth-Tasdogan, N.H.; Mayer, B.; Hussein, H.; Zolk, O.; Peter, J.U. Interventions for managing medication-related osteonecrosis of the jaw. Cochrane Database Syst. Rev. 2022, 7, CD012432. [Google Scholar] [CrossRef]
- Rodríguez-Lozano, F.J.; Oñate-Sánchez, R.; Gonzálvez-García, M.; Vallés-Bergadá, M.; Martínez, C.M.; Revilla-Nuin, B.; Guerrero-Gironés, J.; Moraleda, J.M.; García-Bernal, D. Allogeneic Bone Marrow Mesenchymal Stem Cell Transplantation in Tooth Extractions Sites Ameliorates the Incidence of Osteonecrotic Jaw-Like Lesions in Zoledronic Acid-Treated Rats. J. Clin. Med. 2020, 9, 1649. [Google Scholar] [CrossRef] [PubMed]
- Gonzálvez-García, M.; Rodríguez-Lozano, F.J.; Villanueva, V.; Segarra-Fenoll, D.; Rodríguez-González, M.A.; Oñate-Sánchez, R.; Blanquer, M.; Moraleda, J.M. Cell therapy in bisphosphonate-related osteonecrosis of the jaw. J. Craniofac. Surg. 2013, 24, e226–e228. [Google Scholar] [CrossRef]
- Goker, F.; Grecchi, E.; Grecchi, F.; Francetti, L.; Del Fabbro, M. Treatment of medication-related osteonecrosis of the jaw (MRONJ). A systematic review. Eur. Rev. Med. Pharmacol. Sci. 2021, 25, 2662–2673. [Google Scholar] [CrossRef] [PubMed]
- Cicciù, M.; Cervino, G.; Fiorillo, L.; D’Amico, C.; Oteri, G.; Troiano, G.; Zhurakivska, K.; Lo Muzio, L.; Herford, A.S.; Crimi, S.; et al. Early Diagnosis on Oral and Potentially Oral Malignant Lesions: A Systematic Review on the VELscope® Fluorescence Method. Dent. J. 2019, 7, 93. [Google Scholar] [CrossRef] [PubMed]
- Di Fede, O.; Canepa, F.; Panzarella, V.; Mauceri, R.; Del Gaizo, C.; Bedogni, A.; Fusco, V.; Tozzo, P.; Pizzo, G.; Campisi, G.; et al. The Treatment of Medication-Related Osteonecrosis of the Jaw (MRONJ): A Systematic Review with a Pooled Analysis of Only Surgery versus Combined Protocols. Int. J. Environ. Res. Public Health 2021, 18, 8432. [Google Scholar] [CrossRef] [PubMed]
- Ribeiro, G.H.; Chrun, E.S.; Dutra, K.L.; Daniel, F.I.; Grando, L.J. Osteonecrosis of the jaws: A review and update in etiology and treatment. Braz. J. Otorhinolaryngol. 2017, 84, 102–108. [Google Scholar] [CrossRef] [PubMed]
- Owosho, A.A.; Estilo, C.L.; Huryn, J.M.; Yom, S.K. Pentoxifylline and tocopherol in the management of cancer patients with medication-related osteonecrosis of the jaw: An observational retrospective study of initial case series. Oral Surg. Oral Med. Oral Pathol. Oral Radiol. 2016, 122, 455–459. [Google Scholar] [CrossRef] [PubMed]
- Magremanne, M.; Reychler, H. Pentoxifylline and tocopherol in the treatment of yearly zoledronic acid-related osteonecrosis of the jaw in a corticosteroid-induced osteoporosis. J. Oral Maxillofac. Surg. 2014, 72, 334–337. [Google Scholar] [CrossRef] [PubMed]
- De Santis, D.; Gelpi, F.; Luciano, U.; Zarantonello, M.; Poscolere, A.; Modena, N.; Faccioni, P.; Causarano, G.; Finotti, M.; Zotti, F.; et al. New trends in adjunctive treatment and diagnosis in medication-related osteonecrosis of the jaw: A 10-year review. J. Biol. Regul. Homeost. Agents 2020, 34, 37–48. [Google Scholar]
- Delfrate, G.; Mroczek, T.; Mecca, L.E.A.; Andreis, J.D.; Fernandes, D.; Lipinski, L.C.; Claudino, M.; Franco, G.C.N. Effect of pentoxifylline and α-tocopherol on medication-related osteonecrosis of the jaw in rats: Before and after dental extraction. Arch. Oral Biol. 2022, 137, 105397. [Google Scholar] [CrossRef]







| Patients | Test | Control | p-Value | ||
|---|---|---|---|---|---|
| Total patients | 202 | 108 | 94 | ||
| Location of the lesion (arch) | Maxilla Mandible | 69 | 42 | 27 | 0.13 |
| 133 | 66 | 67 | |||
| Distribution according to bone density in maxilla | D1 D2 D3 | 0 | 0 | 0 | 0.43 |
| 50 | 29 | 21 | |||
| 19 | 13 | 6 | |||
| Distribution according to bone density in mandible | D1 D2 D3 | 60 | 36 | 24 | 0.03 |
| 73 | 30 | 43 | |||
| 0 | 0 | 0 | |||
| Location according to quadrant | Quadrant 1 Quadrant 2 Quadrant 3 Quadrant 4 Q3—Q4 | 44 | 29 | 15 | 0.26 * |
| 26 | 14 | 12 | |||
| 72 | 38 | 34 | |||
| 55 | 24 | 31 | |||
| 6 | 4 | 2 | |||
| Type of extraction | Single Multiple | 70 | 31 | 19 | 0.68 |
| 67 | 44 | 23 | |||
| Cyst | 7 | 4 | 3 | 0.85 * | |
| Implant removal | Yes No | 30 | 15 | 15 | 0.68 |
| 172 | 93 | 79 | |||
| Incidence of relapse | Yes No | 68 | 1 | 67 | <0.0001 * |
| 134 | 107 | 27 | |||
| Incidence of healing | Yes No | 186 | 108 | 78 | <0.0001 * |
| 16 | 0 | 16 | |||
| Total failures | Yes No | 84 | 1 | 83 | <0.0001 * |
| 118 | 107 | 11 | |||
| Incidence of complications | Yes No | 7 | 0 | 7 | 0.0004 * |
| 195 | 108 | 87 |
Disclaimer/Publisher’s Note: The statements, opinions and data contained in all publications are solely those of the individual author(s) and contributor(s) and not of MDPI and/or the editor(s). MDPI and/or the editor(s) disclaim responsibility for any injury to people or property resulting from any ideas, methods, instructions or products referred to in the content. |
© 2023 by the authors. Licensee MDPI, Basel, Switzerland. This article is an open access article distributed under the terms and conditions of the Creative Commons Attribution (CC BY) license (https://creativecommons.org/licenses/by/4.0/).
Share and Cite
Colapinto, G.; Goker, F.; Nocini, R.; Albanese, M.; Nocini, P.F.; Sembronio, S.; Argenta, F.; Robiony, M.; Del Fabbro, M. Outcomes of a Pharmacological Protocol with Pentoxifylline and Tocopherol for the Management of Medication-Related Osteonecrosis of the Jaws (MRONJ): A Randomized Study on 202 Osteoporosis Patients. J. Clin. Med. 2023, 12, 4662. https://doi.org/10.3390/jcm12144662
Colapinto G, Goker F, Nocini R, Albanese M, Nocini PF, Sembronio S, Argenta F, Robiony M, Del Fabbro M. Outcomes of a Pharmacological Protocol with Pentoxifylline and Tocopherol for the Management of Medication-Related Osteonecrosis of the Jaws (MRONJ): A Randomized Study on 202 Osteoporosis Patients. Journal of Clinical Medicine. 2023; 12(14):4662. https://doi.org/10.3390/jcm12144662
Chicago/Turabian StyleColapinto, Gianluca, Funda Goker, Riccardo Nocini, Massimo Albanese, Pier Francesco Nocini, Salvatore Sembronio, Francesca Argenta, Massimo Robiony, and Massimo Del Fabbro. 2023. "Outcomes of a Pharmacological Protocol with Pentoxifylline and Tocopherol for the Management of Medication-Related Osteonecrosis of the Jaws (MRONJ): A Randomized Study on 202 Osteoporosis Patients" Journal of Clinical Medicine 12, no. 14: 4662. https://doi.org/10.3390/jcm12144662
APA StyleColapinto, G., Goker, F., Nocini, R., Albanese, M., Nocini, P. F., Sembronio, S., Argenta, F., Robiony, M., & Del Fabbro, M. (2023). Outcomes of a Pharmacological Protocol with Pentoxifylline and Tocopherol for the Management of Medication-Related Osteonecrosis of the Jaws (MRONJ): A Randomized Study on 202 Osteoporosis Patients. Journal of Clinical Medicine, 12(14), 4662. https://doi.org/10.3390/jcm12144662

