Fatty Degeneration of the Autochthonous Muscles Is Significantly Associated with Incidental Non-Traumatic Vertebral Body Fractures of the Lower Thoracic Spine in Elderly Patients
Abstract
1. Introduction
2. Materials and Methods
2.1. Patients and Imaging
2.2. Image Analysis
2.3. Statistics
3. Results
4. Discussion
5. Conclusions
Author Contributions
Funding
Institutional Review Board Statement
Informed Consent Statement
Data Availability Statement
Conflicts of Interest
References
- Musbahi, O.; Ali, A.M.; Hassany, H.; Mobasheri, R. Vertebral compression fractures. Br. J. Hosp. Med. 2018, 79, 36–40. [Google Scholar] [CrossRef] [PubMed]
- Gallucci, M.; Limbucci, N.; Paonessa, A.; Splendiani, A. Degenerative disease of the spine. Neuroimaging Clin. N. Am. 2007, 17, 87–103. [Google Scholar] [CrossRef] [PubMed]
- Kalichman, L.; Kim, D.H.; Li, L.; Guermazi, A.; Hunter, D.J. Computed tomography-evaluated features of spinal degeneration: Prevalence, intercorrelation, and association with self-reported low back pain. Spine J. 2010, 10, 200–208. [Google Scholar] [CrossRef] [PubMed]
- Kim, W.J.; Kim, K.J.; Song, D.G.; Lee, J.S.; Park, K.Y.; Lee, J.W.; Chang, S.H.; Choy, W.S. Sarcopenia and Back Muscle Degeneration as Risk Factors for Back Pain: A Comparative Study. Asian Spine J. 2020, 14, 364–372. [Google Scholar] [CrossRef] [PubMed]
- Deng, D.; Lian, Z.; Cui, W.; Liang, H.; Xiao, L.; Yao, G. Function of low back muscle exercise: Preventive effect of refracture analysis of postoperative vertebral fractures. Orthopade 2019, 48, 337–342. [Google Scholar] [CrossRef] [PubMed]
- de Kam, D.; Smulders, E.; Weerdesteyn, V.; Smits-Engelsman, B.C. Exercise interventions to reduce fall-related fractures and their risk factors in individuals with low bone density: A systematic review of randomized controlled trials. Osteoporos. Int. 2009, 20, 2111–2125. [Google Scholar] [CrossRef]
- Grams, A.E.; Rehwald, R.; Bartsch, A.; Honold, S.; Freyschlag, C.F.; Knoflach, M.; Gizewski, E.R.; Glodny, B. Correlation between degenerative spine disease and bone marrow density: A retrospective investigation. BMC Med. Imaging 2016, 16, 17. [Google Scholar] [CrossRef]
- Takegami, N.; Akeda, K.; Murata, K.; Yamada, J.; Sudo, A. Association between non-traumatic vertebral fractures and adjacent discs degeneration: A cross-sectional study and literature review. BMC Musculoskelet. Disord. 2020, 21, 781. [Google Scholar] [CrossRef]
- Malfair, D.; Beall, D.P. Imaging the degenerative diseases of the lumbar spine. Magn. Reason. Imaging Clin. N Am. 2007, 15, 221–238, vi. [Google Scholar] [CrossRef]
- Sasiadek, M.J.; Bladowska, J. Imaging of degenerative spine disease--the state of the art. Adv. Clin. Exp. Med. 2012, 21, 133–142. [Google Scholar]
- Duitama, I.G.; Toledo, S.C.; Ares, J.; Solano, A.; Agustí, A. Essential Radiology of the degenerative lumbar spine: Updating concepts. Eur. Congr. Radiol.-ECR 2018 2018. [Google Scholar] [CrossRef]
- Lee, S.H.; Park, S.W.; Kim, Y.B.; Nam, T.K.; Lee, Y.S. The fatty degeneration of lumbar paraspinal muscles on computed tomography scan according to age and disc level. Spine J. 2017, 17, 81–87. [Google Scholar] [CrossRef]
- Prasetyo, M.; Nindita, N.; Murdana, I.N.; Prihartono, J.; Setiawan, S.I. Computed tomography evaluation of fat infiltration ratio of the multifidus muscle in chronic low back pain patients. Eur. J. Radiol. Open. 2020, 7, 100293. [Google Scholar] [CrossRef]
- Lumbreras, B.; Donat, L.; Hernández-Aguado, I. Incidental findings in imaging diagnostic tests: A systematic review. Br. J. Radiol. 2010, 83, 276–289. [Google Scholar] [CrossRef]
- Devine, A.S.; Jackson, C.S.; Lyons, L.; Mason, J.D. Frequency of incidental findings on computed tomography of trauma patients. West J. Emerg. Med. 2010, 11, 24–27. [Google Scholar]
- Panda, A.; Das, C.J.; Baruah, U. Imaging of vertebral fractures. Indian J. Endocrinol. Metab. 2014, 18, 295–303, Erratum in Indian J. Endocrinol. Metab. 2014, 18, 581. [Google Scholar] [CrossRef]
- Whitney, E.; Alastra, A.J. Vertebral Fracture. In StatPearls; StatPearls Publishing: Treasure Island, FL, USA, 2022. Available online: https://www.ncbi.nlm.nih.gov/books/NBK547673/ (accessed on 10 April 2023).
- Wáng, Y.X.J.; Santiago, F.R.; Deng, M.; Nogueira-Barbosa, M.H. Identifying osteoporotic vertebral endplate and cortex fractures. Quant. Imaging Med. Surg. 2017, 7, 555–591. [Google Scholar] [CrossRef]
- Burns, J.E.; Yao, J.; Summers, R.M. Vertebral Body Compression Fractures and Bone Density: Automated Detection and Classification on CT Images. Radiology 2017, 284, 788–797. [Google Scholar] [CrossRef]
- Koslosky, E.; Gendelberg, D. Classification in Brief: The Meyerding Classification System of Spondylolisthesis. Clin. Orthop. Relat. Res. 2020, 478, 1125–1130. [Google Scholar] [CrossRef]
- Somerson, J.S.; Hsu, J.E.; Gorbaty, J.D.; Gee, A.O. Classifications in Brief: Goutallier Classification of Fatty Infiltration of the Rotator Cuff Musculature. Clin. Orthop. Relat. Res. 2016, 474, 1328–1332. [Google Scholar] [CrossRef]
- Khil, E.K.; Choi, J.A.; Hwang, E.; Sidek, S.; Choi, I. Paraspinal back muscles in asymptomatic volunteers: Quantitative and qualitative analysis using computed tomography (CT) and magnetic resonance imaging (MRI). BMC Musculoskelet. Disord. 2020, 21, 1–8. [Google Scholar] [CrossRef] [PubMed]
- Tiwari, P.; Kaur, H.; Kaur, H.; Jha, V.; Singh, N.; Ashraf, A. Prevalence of facet joint arthritis and its association with spinal pain in mountain population-A cross-sectional study. J. Craniovertebr. Junction. Spine 2020, 11, 36–45. [Google Scholar] [CrossRef]
- Rahyussalim, A.J.; Zufar, M.L.L.; Kurniawati, T. Significance of the Association between Disc Degeneration Changes on Imaging and Low Back Pain: A Review Article. Asian Spine J. 2020, 14, 245–257. [Google Scholar] [CrossRef] [PubMed]
- Albert, H.B.; Kjaer, P.; Jensen, T.S.; Sorensen, J.S.; Bendix, T.; Manniche, C. Modic changes, possible causes and relation to low back pain. Med. Hypotheses. 2008, 70, 361–368. [Google Scholar] [CrossRef] [PubMed]
- Pollintine, P.; Dolan, P.; Tobias, J.H.; Adams, M.A. Intervertebral disc degeneration can lead to "stress-shielding" of the anterior vertebral body: A cause of osteoporotic vertebral fracture? Spine 2004, 29, 774–782. [Google Scholar] [CrossRef]
- Adams, M.A.; Pollintine, P.; Tobias, J.H.; Wakley, G.K.; Dolan, P. Intervertebral disc degeneration can predispose to anterior vertebral fractures in the thoracolumbar spine. J. Bone. Miner. Res. 2006, 21, 1409–1416. [Google Scholar] [CrossRef]
- Teichtahl, A.J.; Urquhart, D.M.; Wang, Y.; Wluka, A.E.; Wijethilake, P.; O’Sullivan, R.; Cicuttini, F.M. Fat infiltration of paraspinal muscles is associated with low back pain, disability, and structural abnormalities in community-based adults. Spine J. 2015, 15, 1593–1601. [Google Scholar] [CrossRef]
- Pezolato, A.; de Vasconcelos, E.E.; Defino, H.L.; Nogueira-Barbosa, M.H. Fat infiltration in the lumbar multifidus and erector spinae muscles in subjects with sway-back posture. Eur. Spine J. 2012, 21, 2158–2164. [Google Scholar] [CrossRef]
- Faur, C.; Patrascu, J.M.; Haragus, H.; Anglitoiu, B. Correlation between multifidus fatty atrophy and lumbar disc degeneration in low back pain. BMC Musculoskelet. Disord. 2019, 20, 414. [Google Scholar] [CrossRef]
- Prost, S.; Pesenti, S.; Fuentes, S.; Tropiano, P.; Blondel, B. Treatment of osteoporotic vertebral fractures. Orthop. Traumatol. Surg. Res. 2021, 107, 102779. [Google Scholar] [CrossRef]
- Blattert, T.R.; Schnake, K.J.; Gonschorek, O.; Gercek, E.; Hartmann, F.; Katscher, S.; Mörk, S.; Morrison, R.; Müller, M.; Partenheimer, A.; et al. Spine Section of the German Society for Orthopaedics and Trauma. Nonsurgical and Surgical Management of Osteoporotic Vertebral Body Fractures: Recommendations of the Spine Section of the German Society for Orthopaedics and Trauma (DGOU). Global Spine J. 2018, 8 (Suppl. S2), 50S–55S. [Google Scholar] [CrossRef]
- Pietro, S.; Chatterjea, A.; Inge, J.; Tim, K.; Matthias, W.; Sebastian, L.; Stefano, P.; Distefano, D.; Vito, C.; Sam, S.; et al. Percutaneous thoracic-lumbar-sacral pedicle screw placement accuracy results from a multi-center, prospective clinical study using a skin marker-based optical navigation system. Eur. Spine J. 2022, 31, 3098–3108. [Google Scholar] [CrossRef]
- Jang, H.D.; Kim, E.H.; Lee, J.C.; Choi, S.W.; Kim, K.; Shin, B.J. Current Concepts in the Management of Osteoporotic Vertebral Fractures: A Narrative Review. Asian Spine J. 2020, 14, 898–909. [Google Scholar] [CrossRef]
- Heymans, M.W.; van Tulder, M.W.; Esmail, R.; Bombardier, C.; Koes, B.W. Back schools for nonspecific low back pain: A systematic review within the framework of the Cochrane Collaboration Back Review Group. Spine 2005, 30, 2153–2163. [Google Scholar] [CrossRef]
- von Hagen, C.; Hierholzer, G. Back school for patients with vertebral fractures. Arch. Orthop. Trauma. Surg. 1991, 110, 273–276. [Google Scholar] [CrossRef]
- Bradley, S.; Harwell, C.; Kukhareva, P.; Yarbrough, P.; Hall, S.K. Osteoporosis Care Following Incidental Vertebral Fractures: A Retrospective Cohort Study. J. Gen. Intern. Med. 2021, 36, 1797–1798. [Google Scholar] [CrossRef]
- Majumdar, S.R.; Kim, N.; Colman, I.; Chahal, A.M.; Raymond, G.; Jen, H.; Siminoski, K.G.; Hanley, D.A.; Rowe, B.H. Incidental vertebral fractures discovered with chest radiography in the emergency department: Prevalence, recognition, and osteoporosis management in a cohort of elderly patients. Arch. Intern. Med. 2005, 165, 905–909. [Google Scholar] [CrossRef]
- Wong, C.C.; McGirt, M.J. Vertebral compression fractures: A review of current management and multimodal therapy. J. Multidiscip. Healthc. 2013, 6, 205–214. [Google Scholar] [CrossRef]
- Sedaghat, S.; Langguth, P.; Larsen, N.; Campbell, G.; Both, M.; Jansen, O. Diagnostic Accuracy of Dual-Layer Spectral CT Using Electron Density Images to Detect Post-Traumatic Prevertebral Hematoma of the Cervical Spine. Rofo 2021, 193, 1445–1450. [Google Scholar] [CrossRef]
- Battaglia, P.J.; Maeda, Y.; Welk, A.; Hough, B.; Kettner, N. Reliability of the Goutallier classification in quantifying muscle fatty degeneration in the lumbar multifidus using magnetic resonance imaging. J. Manip. Physiol. Ther. 2014, 37, 190–197. [Google Scholar] [CrossRef]




| Vertebral body fractures | Genant Score:
|
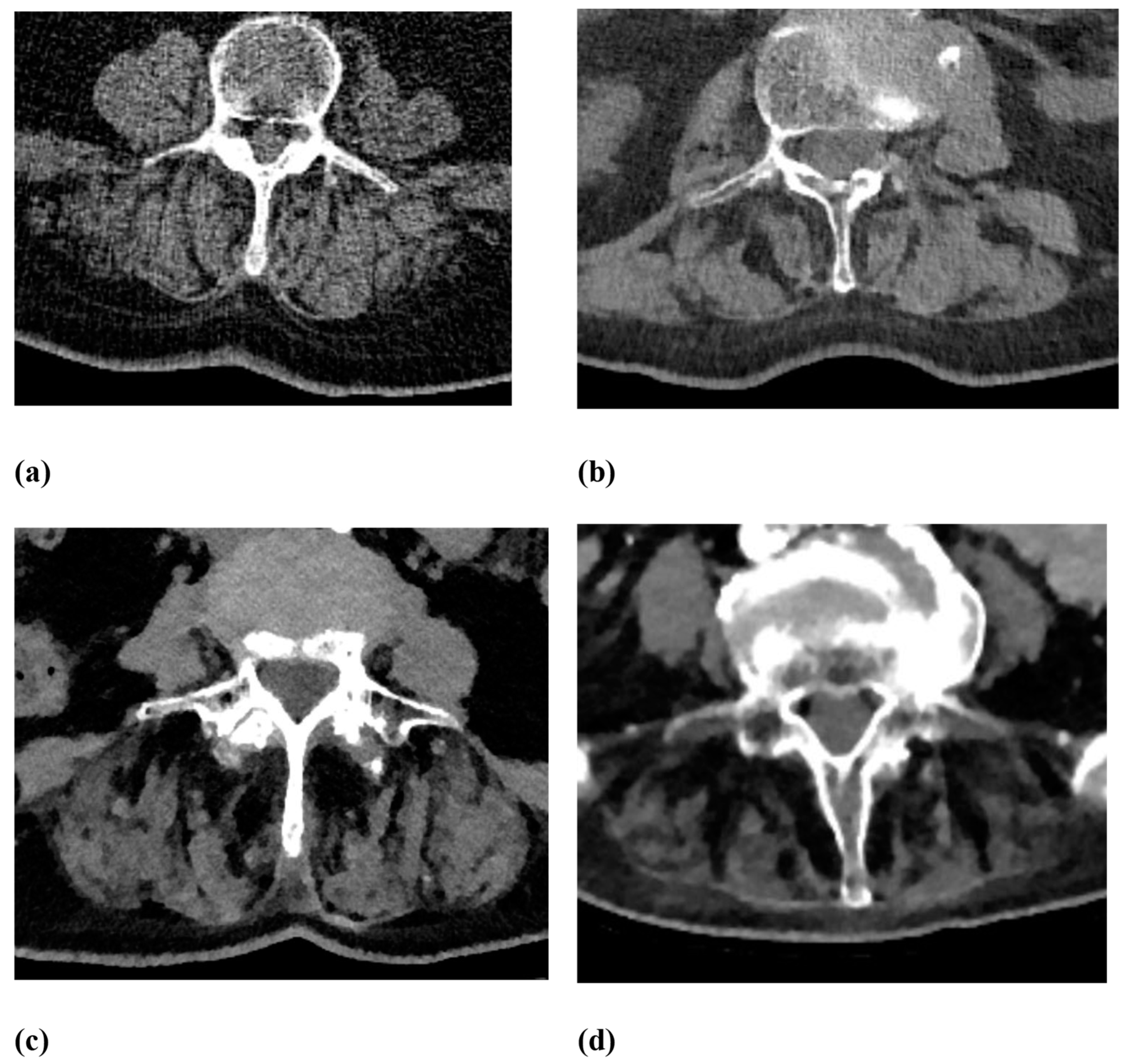
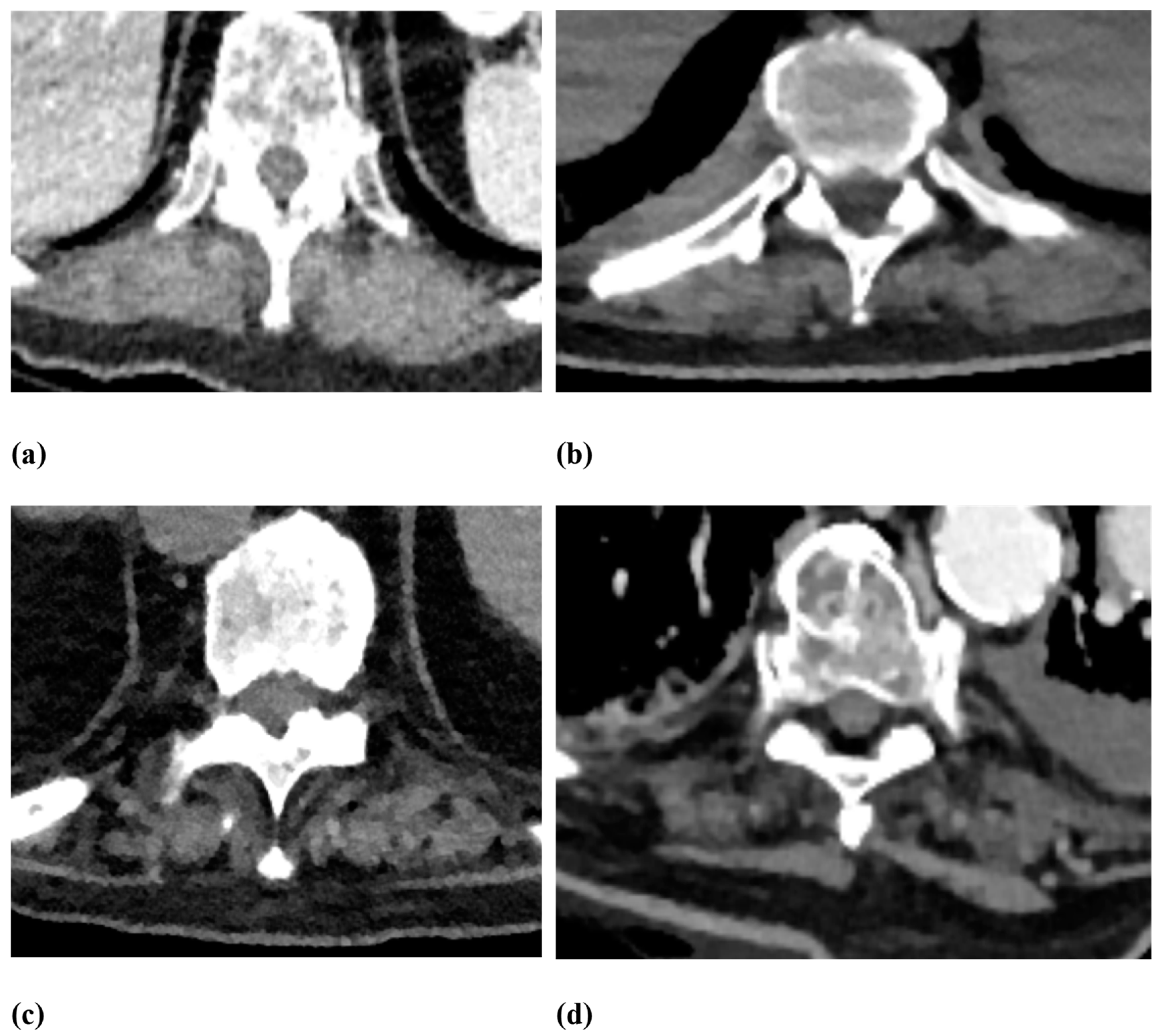
| Fatty degeneration of the autochthonous back muscles | Goutallier score 0–4:
|
| Asymmetry of the autochthonous back muscles |
|
| Facet joint arthrosis |
|
| Facet joint asymmetry |
|
| Intervertebral osteochondrosis |
|
| Spondylolisthesis | Meyerding classification:
|
| Scoliosis |
|
| Criteria | Study Patients (n = 105; Mean Age = 68.7 Years) |
|---|---|
| % | |
| Vertebral body fractures | 23.8 |
| At least one thoracic vertebral body fracture | 16.2 |
| At least one lumbar vertebral body fracture | 19 |
| Fatty depositions of the autochthonous muscles at least Goutallier 1 | 80.9 |
| Fatty depositions of the autochthonous muscles at least Goutallier 2 | 24.7 |
| Asymmetry of the autochthonous muscles | 37.1 |
| At least moderate osteochondrosis of the lower thoracic spine | 64.7 |
| At least moderate osteochondrosis of the lumbar spine | 68.5 |
| At least moderate spondylarthrosis of the lower thoracic spine | 31.4 |
| At least moderate spondylarthrosis of the lumbar spine | 80 |
| At least mild facet joint anisotropy of the lower thoracic spine | 13.3 |
| At least mild facet joint anisotropy of the lumbar spine | 65.7 |
| At least moderate facet joint anisotropy of the lumbar spine | 18 |
| Spondylolisthesis of the lumbar spine | 9.5 |
| Spondylolysis of the lumbar spine | 4.7 |
| Short vertebral height deformity | 2.8 |
| Schmorl nodes of the lower thoracic spine | 52.3 |
| Schmorl nodes of the lumbar spine | 35.2 |
| Scoliosis | 20.9 |
| Thoracic Vertebral Body Fracture | Lumbar Vertebral Body Fracture | |||
|---|---|---|---|---|
| Risk Factor | Relative Risk (RR) | p-Value | Relative Risk (RR) | p-Value |
| Osteochondrosis thoracic spine | 0.94 | 0.314 | 0.94 | 0.327 |
| Osteochondrosis lumbar spine | 0.96 | 0.375 | 0.69 | 0.76 |
| Spondylarthrosis thoracic spine | 0.83 | 0.067 | 0.88 | 0.343 |
| Spondylarthrosis lumbar spine | 1.04 | 0.431 | 0.46 | 0.527 |
| Fatty degeneration autochthonous muscle thoracic and lumbar spine | 4.92 | 0.005 | 2.04 | 0.157 |
| Asymmetry autochthonous muscle thoracic and lumbar spine | 1.54 | 0.439 | 0.732 | 0.444 |
| Spondylolysis lumbar spine | 0.93 | 0.268 | 0.93 | 0.271 |
| Spondylolisthesis lumbar spine | 0.55 | 0.576 | 0.88 | 0.109 |
| Facet joint anisotropy thoracic spine | 2.44 | 0.197 | 2.82 | 0.09 |
| Facet joint anisotropy lumbar spine | 0.95 | 0.18 | 0.96 | 0.589 |
| Short vertebral height thoracic spine | 1.92 | 0.232 | 0.82 | 0.310 |
| Short vertebral height, lumbar spine | 1.35 | 0.576 | 0.73 | 0.394 |
| Schmorl nodes thoracic spine | 1.92 | 0.232 | 1.35 | 0.576 |
| Schmorl nodes lumbar spine | 1.54 | 0.394 | 1.67 | 0.31 |
| Scoliosis | 0.93 | 0.907 | 1.19 | 0.775 |
| Thoracic Vertebral Body Fracture | Lumbar Vertebral Body Fracture | |||
|---|---|---|---|---|
| Risk Factor | Correlation (R) | p-Value | Correlation (R) | p-Value |
| Osteochondrosis thoracic spine | 0.02 | 0.848 | −0.08 | 0.43 |
| Osteochondrosis lumbar spine | −0.04 | 0.718 | 0.05 | 0.625 |
| Spondylarthrosis thoracic spine | 0.16 | 0.104 | 0.11 | 0.257 |
| Spondylarthrosis lumbar spine | 0.12 | 0.223 | 0.03 | 0.767 |
| Fatty degeneration autochthonous muscle thoracic and lumbar spine | 0.34 | <0.001 | 0.18 | 0.066 |
| Asymmetry autochthonous muscle thoracic and lumbar spine | 0.15 | 0.130 | 0.16 | 0.124 |
| Facet joint anisotropy thoracic spine | 0.14 | 0.162 | -0.08 | 0.397 |
| Facet joint anisotropy lumbar spine | 0.16 | 0.107 | -0.07 | 0.471 |
| Scoliosis | 0.068 | 0.49 | -0.015 | 0.883 |
Disclaimer/Publisher’s Note: The statements, opinions and data contained in all publications are solely those of the individual author(s) and contributor(s) and not of MDPI and/or the editor(s). MDPI and/or the editor(s) disclaim responsibility for any injury to people or property resulting from any ideas, methods, instructions or products referred to in the content. |
© 2023 by the authors. Licensee MDPI, Basel, Switzerland. This article is an open access article distributed under the terms and conditions of the Creative Commons Attribution (CC BY) license (https://creativecommons.org/licenses/by/4.0/).
Share and Cite
Backhauß, J.-C.; Jansen, O.; Kauczor, H.-U.; Sedaghat, S. Fatty Degeneration of the Autochthonous Muscles Is Significantly Associated with Incidental Non-Traumatic Vertebral Body Fractures of the Lower Thoracic Spine in Elderly Patients. J. Clin. Med. 2023, 12, 4565. https://doi.org/10.3390/jcm12144565
Backhauß J-C, Jansen O, Kauczor H-U, Sedaghat S. Fatty Degeneration of the Autochthonous Muscles Is Significantly Associated with Incidental Non-Traumatic Vertebral Body Fractures of the Lower Thoracic Spine in Elderly Patients. Journal of Clinical Medicine. 2023; 12(14):4565. https://doi.org/10.3390/jcm12144565
Chicago/Turabian StyleBackhauß, Jan-Christoph, Olav Jansen, Hans-Ulrich Kauczor, and Sam Sedaghat. 2023. "Fatty Degeneration of the Autochthonous Muscles Is Significantly Associated with Incidental Non-Traumatic Vertebral Body Fractures of the Lower Thoracic Spine in Elderly Patients" Journal of Clinical Medicine 12, no. 14: 4565. https://doi.org/10.3390/jcm12144565
APA StyleBackhauß, J.-C., Jansen, O., Kauczor, H.-U., & Sedaghat, S. (2023). Fatty Degeneration of the Autochthonous Muscles Is Significantly Associated with Incidental Non-Traumatic Vertebral Body Fractures of the Lower Thoracic Spine in Elderly Patients. Journal of Clinical Medicine, 12(14), 4565. https://doi.org/10.3390/jcm12144565

