Clinical and Biomechanical Study of Laminoplasty for Thoracic and Lumbar Intradural Tumors
Abstract
1. Introduction
2. Materials and Methods
Statistical Analysis
3. Results
3.1. Larger Spinal ROM and Better Stability in Laminoplasty Group
3.2. Better Pain Releif and Improved Neurological Function in Laminoplasty Group
3.3. Less Trauma and Faster Postoperative Recovery in Laminoplasty Group
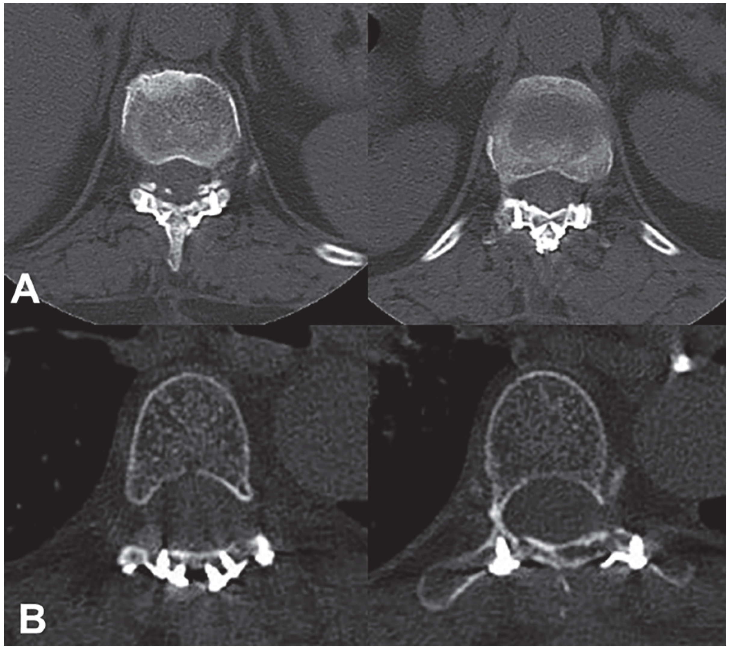
3.4. Reduced Incidence of CSF Leakage in Laminoplasty Group
3.5. Results of the Biomechanical Experiments
4. Discussion
5. Conclusions
Author Contributions
Funding
Institutional Review Board Statement
Informed Consent Statement
Data Availability Statement
Conflicts of Interest
References
- Chamberlain, M.C.; Tredway, T.L. Adult primary intradural spinal cord tumors: A review. Curr. Neurol. Neurosci. Rep. 2011, 11, 320–328. [Google Scholar] [CrossRef] [PubMed]
- Ottenhausen, M.; Ntoulias, G.; Bodhinayake, I.; Ruppert, F.H.; Schreiber, S.; Forschler, A.; Boockvar, J.A.; Jodicke, A. Intradural spinal tumors in adults-update on management and outcome. Neurosurg. Rev. 2019, 42, 371–388. [Google Scholar] [CrossRef] [PubMed]
- McGirt, M.J.; Garces-Ambrossi, G.L.; Parker, S.L.; Sciubba, D.M.; Bydon, A.; Wolinksy, J.P.; Gokaslan, Z.L.; Jallo, G.; Witham, T.F. Short-term progressive spinal deformity following laminoplasty versus laminectomy for resection of intradural spinal tumors: Analysis of 238 patients. Neurosurgery 2010, 66, 1005–1012. [Google Scholar] [CrossRef] [PubMed]
- Nemeiko, I.; Borgstedt-Bakke, J.H.; Wichmann, T.O.; Gudmundsdottir, G.; Rasmussen, M.M. Characteristics and outcomes in patients with primary intraspinal tumours. Dan. Med. J. 2019, 66, 3–7. [Google Scholar]
- Aghayev, K.; Vrionis, F.; Chamberlain, M.C. Adult intradural primary spinal cord tumors. J. Natl. Compr. Cancer Netw. 2011, 9, 434–447. [Google Scholar] [CrossRef]
- Montano, N.; Trevisi, G.; Cioni, B.; Lucantoni, C.; Della Pepa, G.M.; Meglio, M.; Papacci, F. The role of laminoplasty in preventing spinal deformity in adult patients submitted to resection of an intradural spinal tumor. Case series and literature review. Clin. Neurol. Neurosurg. 2014, 125, 69–74. [Google Scholar] [CrossRef]
- Zhou, D.; Nong, L.M.; Gao, G.M.; Jiang, Y.Q.; Xu, N.W. Application of lamina replantation with ARCH plate fixation in thoracic and lumbar intraspinal tumors. Exp. Ther. Med. 2013, 6, 596–600. [Google Scholar] [CrossRef]
- Song, Z.; Zhang, Z.; Ye, Y.; Zheng, J.; Wang, F. Efficacy analysis of two surgical treatments for thoracic and lumbar intraspinal tumours. BMC Surg. 2019, 19, 131. [Google Scholar] [CrossRef]
- Cornaz, F.; Widmer, J.; Snedeker, J.G.; Spirig, J.M.; Farshad, M. Cross-links in posterior pedicle screw-rod instrumentation of the spine: A systematic review on mechanical, biomechanical, numerical and clinical studies. Eur. Spine J. 2021, 30, 34–49. [Google Scholar] [CrossRef]
- Hartmann, F.; Nusselt, T.; Maier, G.; Rommens, P.M.; Gercek, E. Biomechanical testing of different posterior fusion devices on lumbar spinal range of motion. Clin. Biomech. 2019, 62, 121–126. [Google Scholar] [CrossRef]
- Raimondi, A.J.; Gutierrez, F.A.; Di Rocco, C. Laminotomy and total reconstruction of the posterior spinal arch for spinal canal surgery in childhood. J. Neurosurg. 1976, 45, 555–560. [Google Scholar] [CrossRef] [PubMed]
- Zhang, J.T.; Lei, T.; Yang, L.; Lin, Y.S.; Wang, Z.H.; Cao, J.M. Subsection Laminectomy with Pedicle Screw Fixation to Treat Thoracic Ossification of Ligamentum Flavum: A Comparative Analysis with Lamina Osteotomy and the Replantation Technique. Ther. Clin. Risk Manag. 2020, 16, 311–319. [Google Scholar] [CrossRef] [PubMed]
- Yucesoy, K.; Ozer, E. Inverse laminoplasty for the treatment of lumbar spinal stenosis. Spine 2002, 27, E316–E320. [Google Scholar] [CrossRef] [PubMed]
- Wang, Z.C.; Li, S.Z.; Sun, Y.L.; Yin, C.Q.; Wang, Y.L.; Wang, J.; Liu, C.J.; Cao, Z.L.; Wang, T. Application of Laminoplasty Combined with ARCH Plate in the Treatment of Lumbar Intraspinal Tumors. Orthop. Surg. 2020, 12, 1589–1596. [Google Scholar] [CrossRef]
- Menku, A.; Koc, R.K.; Oktem, I.S.; Tucer, B.; Kurtsoy, A. Laminoplasty with miniplates for posterior approach in thoracic and lumbar intraspinal surgery. Turk. Neurosurg. 2010, 20, 27–32. [Google Scholar]
- Sun, S.; Li, Y.; Wang, X.; Lu, G.; She, L.; Yan, Z.; Zhang, H. Safety and Efficacy of Laminoplasty Versus Laminectomy in the Treatment of Spinal Cord Tumors: A Systematic Review and Meta-Analysis. World Neurosurg. 2019, 125, 136–145. [Google Scholar] [CrossRef]
- Onyia, C.U.; Menon, S.K. Laminectomy Versus Laminoplasty in the Surgical Management of Long-Segment Intradural Spinal Tumors: Any Difference in Neurological Outcomes? Asian J. Neurosurg. 2018, 13, 1128–1133. [Google Scholar] [CrossRef]
- McGirt, M.J.; Chaichana, K.L.; Atiba, A.; Bydon, A.; Witham, T.F.; Yao, K.C.; Jallo, G.I. Incidence of spinal deformity after resection of intramedullary spinal cord tumors in children who underwent laminectomy compared with laminoplasty. J. Neurosurg. Pediatr. 2008, 1, 57–62. [Google Scholar] [CrossRef]
- Liu, X.Y.; Zheng, Y.P.; Li, J.M. Laminoplasty for the treatment of extramedullary intradural tumors in the thoracic and lumbar spine: Greater than two-year follow-up. Orthop. Surg. 2009, 1, 275–279. [Google Scholar] [CrossRef]
- Park, S.B.; Jahng, T.A.; Kim, C.H.; Chung, C.K. Thoracic and lumbar laminoplasty using a translaminar screw: Morphometric study and technique. J. Neurosurg. Spine 2009, 10, 603–609. [Google Scholar] [CrossRef]
- Asano, S.; Kaneda, K.; Umehara, S.; Tadano, S. The mechanical properties of the human L4-5 functional spinal unit during cyclic loading. The structural effects of the posterior elements. Spine 1992, 17, 1343–1352. [Google Scholar] [CrossRef] [PubMed]
- Iida, Y.; Kataoka, O.; Sho, T.; Sumi, M.; Hirose, T.; Bessho, Y.; Kobayashi, D. Postoperative lumbar spinal instability occurring or progressing secondary to laminectomy. Spine 1990, 15, 1186–1189. [Google Scholar] [CrossRef] [PubMed]
- LaRocca, H.; Macnab, I. The laminectomy membrane. Studies in its evolution, characteristics, effects and prophylaxis in dogs. J. Bone Jt. Surg. Br. 1974, 56, 545–550. [Google Scholar] [CrossRef]
- Winter, R.B.; Hall, J.E. Kyphosis in childhood and adolescence. Spine 1978, 3, 285–308. [Google Scholar] [CrossRef] [PubMed]
- Yasuoka, S.; Peterson, H.A.; MacCarty, C.S. Incidence of spinal column deformity after multilevel laminectomy in children and adults. J. Neurosurg. 1982, 57, 441–445. [Google Scholar] [CrossRef]
- Denis, F. The three column spine and its significance in the classification of acute thoracolumbar spinal injuries. Spine 1983, 8, 817–831. [Google Scholar] [CrossRef]
- Nakai, O.; Ookawa, A.; Yamaura, I. Long-term roentgenographic and functional changes in patients who were treated with wide fenestration for central lumbar stenosis. J. Bone Jt. Surg. Am. 1991, 73, 1184–1191. [Google Scholar] [CrossRef]
- Mullin, B.B.; Rea, G.L.; Irsik, R.; Catton, M.; Miner, M.E. The effect of postlaminectomy spinal instability on the outcome of lumbar spinal stenosis patients. J. Spinal Disord. 1996, 9, 107–116. [Google Scholar] [CrossRef]
- Papagelopoulos, P.J.; Peterson, H.A.; Ebersold, M.J.; Emmanuel, P.R.; Choudhury, S.N.; Quast, L.M. Spinal column deformity and instability after lumbar or thoracolumbar laminectomy for intraspinal tumors in children and young adults. Spine 1997, 22, 442–451. [Google Scholar] [CrossRef]
- Katz, J.N.; Lipson, S.J.; Chang, L.C.; Levine, S.A.; Fossel, A.H.; Liang, M.H. Seven- to 10-year outcome of decompressive surgery for degenerative lumbar spinal stenosis. Spine 1996, 21, 92–98. [Google Scholar] [CrossRef]
- Scholz, M.; Firsching, R.; Lanksch, W.R. Long-term follow up in lumbar spinal stenosis. Spinal Cord 1998, 36, 200–204. [Google Scholar] [CrossRef] [PubMed]
- Vercellotti, T.; Pollack, A.S. A new bone surgery device: Sinus grafting and periodontal surgery. Compend. Contin. Educ. Dent. 2006, 27, 319–325. [Google Scholar] [PubMed]
- Sanborn, M.R.; Balzer, J.; Gerszten, P.C.; Karausky, P.; Cheng, B.C.; Welch, W.C. Safety and efficacy of a novel ultrasonic osteotome device in an ovine model. J. Clin. Neurosci. 2011, 18, 1528–1533. [Google Scholar] [CrossRef] [PubMed]
- Liu, V.; Gillis, C.; Cochrane, D.; Singhal, A.; Steinbok, P. CSF complications following intradural spinal surgeries in children. Childs Nerv. Syst. 2014, 30, 299–305. [Google Scholar] [CrossRef] [PubMed]
- Woodroffe, R.W.; Nourski, K.V.; Helland, L.C.; Walsh, B.; Noeller, J.; Kerezoudis, P.; Hitchon, P.W. Management of iatrogenic spinal cerebrospinal fluid leaks: A cohort of 124 patients. Clin. Neurol. Neurosurg. 2018, 170, 61–66. [Google Scholar] [CrossRef]
- Bosacco, S.J.; Gardner, M.J.; Guille, J.T. Evaluation and treatment of dural tears in lumbar spine surgery: A review. Clin. Orthop. Relat. Res. 2001, 389, 238–247. [Google Scholar] [CrossRef] [PubMed]
- Arnautovic, K.I.; Kovacevic, M. CSF-Related Complications after Intradural Spinal Tumor Surgery: Utility of an Autologous Fat Graft. Med. Arch. 2016, 70, 460–465. [Google Scholar] [CrossRef]
- Sun, X.; Sun, C.; Liu, X.; Liu, Z.; Qi, Q.; Guo, Z.; Leng, H.; Chen, Z. The frequency and treatment of dural tears and cerebrospinal fluid leakage in 266 patients with thoracic myelopathy caused by ossification of the ligamentum flavum. Spine 2012, 37, E702–E707. [Google Scholar] [CrossRef]




| Laminoplasty (n = 27) | Laminectomy (n = 23) | p | |
|---|---|---|---|
| Age (y) | 47 ± 15 | 51 ± 14 | 0.254 |
| Gender (female) | 12(44%) | 15(65%) | 0.166 |
| Pathological diagnosis (schwannoma/meningioma/others) | 11/6/10 | 13/5/5 | 0.446 |
| Fixation segments (1/2/3/>3) | 2/13/8/4 | 0/7/14/2 | 0.121 |
| Fixation position (thoracic/thoracolumbar/lumbar) | 7/9/11 | 4/6/13 | 0.529 |
| Results | Laminoplasty (n = 27) | Laminectomy (n = 23) | p |
|---|---|---|---|
| Surgical time (min) | 207.2 ± 62.9 | 191.7 ± 59.3 | 0.378 |
| Intraoperative blood loss (mL) | 275.6 ± 146.3 | 363.5 ± 143.2 | 0.038 |
| Mean volume of drainage (mL) | 94.9 ± 44.0 | 154.2 ± 87.3 | 0.003 |
| Color of drainage (clear) | 4(14.8%) | 10(43.5%) | 0.031 |
| Postural headache | 2(7.4%) | 8(34.8%) | 0.030 |
| Hospital stay (days) | 13.1 ± 1.8 | 15.1 ± 2.3 | 0.001 |
| CSF leak | 4(14.8%) | 11(47.8%) | 0.015 |
| VAS | |||
| Before operation | 6.9 ± 2.3 | 6.5 ± 2.0 | 0.516 |
| 3 months after surgery | 2.4 ± 0.8 | 2.2 ± 0.8 | 0.419 |
| 12 months after surgery | 1.0 ± 0.6 | 1.3 ± 0.6 | 0.032 |
| ODI (%) | |||
| Before operation | 68.9 ± 13.4 | 66.1 ± 14.3 | 0.467 |
| 3 months after surgery | 25.2 ± 6.6 | 24.9 ± 6.1 | 0.862 |
| 12 months after surgery | 10.2 ± 3.5 | 12.4 ± 3.3 | 0.026 |
| Cobb angle (°) | |||
| Before operation | 9.1 ± 4.8 | 9.7 ± 5.9 | 0.668 |
| 3 months after surgery | 8.1 ± 3.0 | 11.2 ± 6.8 | 0.040 |
| 12 months after surgery | 9.6 ± 4.3 | 12.5 ± 5.3 | 0.034 |
| Laminoplasty (n = 20) | Laminectomy (n = 19) | p | |
|---|---|---|---|
| ROM (°) | 31.6 ± 12.0 | 21.7 ± 11.8 | 0.013 |
| Intact | Laminoplasty | Laminectomy | |
|---|---|---|---|
| FE | 14.41 ± 1.19 | 12.94 ± 0.67 | 2.93 ± 0.24 |
| LB | 17.26 ± 1.09 | 13.10 ± 0.54 | 3.12 ± 0.24 |
| AR | 13.19 ± 1.22 | 11.11 ± 0.41 | 5.82 ± 0.38 |
Disclaimer/Publisher’s Note: The statements, opinions and data contained in all publications are solely those of the individual author(s) and contributor(s) and not of MDPI and/or the editor(s). MDPI and/or the editor(s) disclaim responsibility for any injury to people or property resulting from any ideas, methods, instructions or products referred to in the content. |
© 2023 by the authors. Licensee MDPI, Basel, Switzerland. This article is an open access article distributed under the terms and conditions of the Creative Commons Attribution (CC BY) license (https://creativecommons.org/licenses/by/4.0/).
Share and Cite
Jiang, L.; Luo, J.; Gong, H.; Zhang, F.; Zhang, L.; Cheng, L.; Gao, X.; Zhang, D.; Liu, T.; Xiao, J. Clinical and Biomechanical Study of Laminoplasty for Thoracic and Lumbar Intradural Tumors. J. Clin. Med. 2023, 12, 355. https://doi.org/10.3390/jcm12010355
Jiang L, Luo J, Gong H, Zhang F, Zhang L, Cheng L, Gao X, Zhang D, Liu T, Xiao J. Clinical and Biomechanical Study of Laminoplasty for Thoracic and Lumbar Intradural Tumors. Journal of Clinical Medicine. 2023; 12(1):355. https://doi.org/10.3390/jcm12010355
Chicago/Turabian StyleJiang, Lijun, Jie Luo, Haiyi Gong, Fei Zhang, Linxiang Zhang, Linfei Cheng, Xin Gao, Dan Zhang, Tielong Liu, and Jianru Xiao. 2023. "Clinical and Biomechanical Study of Laminoplasty for Thoracic and Lumbar Intradural Tumors" Journal of Clinical Medicine 12, no. 1: 355. https://doi.org/10.3390/jcm12010355
APA StyleJiang, L., Luo, J., Gong, H., Zhang, F., Zhang, L., Cheng, L., Gao, X., Zhang, D., Liu, T., & Xiao, J. (2023). Clinical and Biomechanical Study of Laminoplasty for Thoracic and Lumbar Intradural Tumors. Journal of Clinical Medicine, 12(1), 355. https://doi.org/10.3390/jcm12010355

