Long-Term Results after Placing Dental Implants in Patients with Papillon-Lefèvre Syndrome: Results 2.5–20 Years after Implant Insertion
Abstract
:1. Introduction
2. Materials and Methods
Patients and Data Collection
3. Results
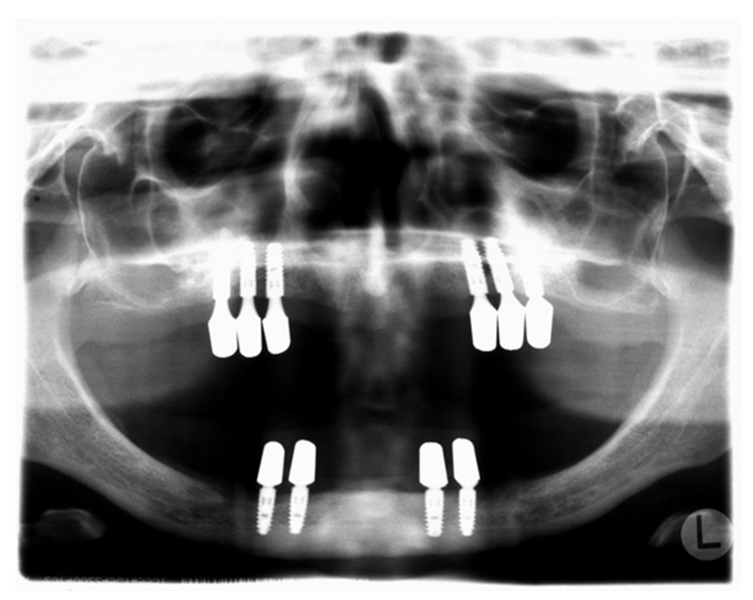
3.1. Implant Therapy
3.2. Clinical, Microbiological and Radiological Findings
4. Discussion
5. Conclusions
Author Contributions
Funding
Institutional Review Board Statement
Informed Consent Statement
Data Availability Statement
Acknowledgments
Conflicts of Interest
References
- Papillon, M.M.; Lefèvre, P. Two cases of symmetrically familiary palmar and plantar hyperkeratosis (Meleda disease) within brother and sister combined with severe dental alterations in both cases (in French). Soc. Franc. Dermat. Syph. 1924, 31, 82–84. [Google Scholar]
- Gorlin, R.J.; Sedano, H.; Anderson, V.E. The syndrome of palmar–plantar hyperkeratosis and premature periodontal destruction of the teeth. J. Pediatr. 1964, 65, 895–906. [Google Scholar] [CrossRef]
- Hart, T.C.; Hart, P.S.; Bowden, D.W.; Michalec, M.D.; Callison, S.A.; Walker, S.J.; Zhang, Y.; Firatli, E. Mutations of the cathepsin C gene are responsible for Papillon-Lefèvre syndrome. J. Med. Genet. 1999, 36, 881–887. [Google Scholar] [PubMed]
- Toomes, C.; James, J.; Wood, A.J.; Wu, C.L.; McCormick, D.; Lench, N.; Hewitt, C.; Moynihan, L.; Roberts, E.; Woods, C.G.; et al. Loss-of-function mutations in the cathepsin C gene result in periodontal disease and palmoplantar keratosis. Nat. Genet. 1999, 23, 421–424. [Google Scholar] [CrossRef] [PubMed]
- Rao, N.V.; Rao, G.V.; Hoidal, J.R. Human Dipeptidyl-peptidase I. J. Biol. Chem. 1997, 272, 10260–10265. [Google Scholar] [CrossRef] [Green Version]
- Bimstein, E.; Lustmann, J.; Sela, M.N.; Ben Neriah, Z.; Soskolne, W.A. Periodontitis Associated with Papillon-Lefèvre Syndrome. J. Periodontol. 1990, 61, 373–377. [Google Scholar] [CrossRef] [PubMed]
- Bullon, P.; Pascual, A.; Fernandez-Novoa, M.C.; Borobio, M.V.; Muniain, M.A.; Camacho, F. Late onset Papillon–Lefèvre syndrome? A chromosomic, neutrophil function and microbiological study. J. Clin. Periodontol. 1993, 20, 662–667. [Google Scholar] [CrossRef]
- de Vree, H.; Steenackers, K.; de Boever, J.A. Periodontal treatment of rapid progressive periodontitis in 2 siblings with Papillon–Lefèvre syndrome: 15-years follow-up. J. Clin. Periodontol. 2000, 27, 354–360. [Google Scholar] [CrossRef]
- Schacher, B.; Baron, F.; Ludwig, B.; Valesky, E.; Noack, B.; Eickholz, P. Periodontal therapy in siblings with Papillon–Lefèvre syndrome and tinea capitis: A report of two cases. J. Clin. Periodontol. 2006, 33, 829–836. [Google Scholar] [CrossRef]
- Nickles, K.; Schacher, B.; Schuster, G.; Valesky, E.; Eickholz, P. Evaluation of Two Siblings with Papillon-Lefèvre Syndrome 5 Years After Treatment of Periodontitis in Primary and Mixed Dentition. J. Periodontol. 2011, 82, 1536–1547. [Google Scholar] [CrossRef]
- Nickles, K.; Schacher, B.; Ratka-Krüger, P.; Krebs, M.; Eickholz, P. Long-term results after treatment of periodontitis in patients with Papillon-Lefèvre syndrome: Success and failure. J. Clin. Periodontol. 2013, 40, 789–798. [Google Scholar] [CrossRef]
- Mengel, R.; Stelzel, M.; Hasse, C.; Flores-de-Jacoby, L. Osseointegrated implants in patients treated for generalized severe adult periodontitis. An interim report. J. Periodontol. 1996, 67, 782–787. [Google Scholar] [CrossRef] [PubMed]
- Swierkot, K.; Lottholz, P.; Flores-De-Jacoby, L.; Mengel, R. Mucositis, Peri-Implantitis, Implant Success, and Survival of Implants in Patients with Treated Generalized Aggressive Periodontitis: 3- to 16-Year Results of a Prospective Long-Term Cohort Study. J. Periodontol. 2012, 83, 1213–1225. [Google Scholar] [CrossRef]
- Ullbro, C.; Crossner, C.G.; Lundgren, T.; Stålblad, P.A.; Renvert, S. Osseointegrated implants in a patient with Papillon–Lefèvre syndrome. A 4 1/2-year follow up. J. Clin. Periodontol. 2000, 27, 951–954. [Google Scholar] [CrossRef]
- Woo, I.; Brunner, D.P.; Yamashita, D.-D.R.; Le, B.T. Dental Implants in a Young Patient with Papillon-Lefevre Syndrome: A Case Report. Implant Dent. 2003, 12, 140–144. [Google Scholar] [CrossRef] [PubMed] [Green Version]
- Toygar, H.U.; Kircelli, C.; Firat, E.; Guzeldemir-Akcakanat, E. Combined Therapy in a Patient with Papillon-Lefèvre Syndrome: A 13-Year Follow-Up. J. Periodontol. 2007, 78, 1819–1824. [Google Scholar] [CrossRef] [PubMed]
- Etöz, O.A.; Ulu, M.; Kesim, B. Treatment of Patient With Papillon-Lefevre Syndrome with Short Dental Implants: A Case Report. Implant Dent. 2010, 19, 394–399. [Google Scholar] [CrossRef] [PubMed]
- Ahmadian, L.; Monzavi, A.; Arbabi, R.; Hashemi, H.M. Full-Mouth Rehabilitation of an Edentulous Patient with Papillon-Lefèvre Syndrome Using Dental Implants: A Clinical Report. J. Prosthodont. 2011, 20, 643–648. [Google Scholar] [CrossRef]
- Senel, F.C.; Altintas, N.Y.; Bagis, B.; Cankaya, M.; Pampu, A.A.; Satıroglu, I.; Senel, A.C. A 3-Year Follow-Up of the Rehabilitation of Papillon-Lefèvre Syndrome by Dental Implants. J. Oral Maxillofac. Surg. 2012, 70, 163–167. [Google Scholar] [CrossRef]
- Al Farraj, A.L.; Dosari, A. Oral rehabilitation of a case of Papillon-Lefevre syndrome with dental implants. Saudi. Med. J. 2013, 34, 424–427. [Google Scholar]
- Rüdiger, S.; Petersilka, G.; Flemming, T.F. Combined systemic and local antimicrobial therapy of periodontal disease in Papillon–Lefèvre syndrome. J. Clin. Periodontol. 1999, 26, 847–854. [Google Scholar] [PubMed]
- Schei, O.; Waerhaug, J.; Lovdal, A.; Arno, A. Alveolar Bone Loss as Related to Oral Hygiene and Age. J. Periodontol. 1959, 30, 7–16. [Google Scholar] [CrossRef]
- Liu, R.; Cao, C.; Meng, H.; Tang, Z. Leukocyte functions in 2 cases of Papillon-Lefèvre syndrome. J. Clin. Periodontol. 2000, 27, 69–73. [Google Scholar] [CrossRef] [PubMed]
- Lundgren, T.; Parhar, R.S.; Renvert, S.; Tatakis, D.N. Impaired cytotoxicity in Papillon–Lefèvre syndrome. J. Dent. Res. 2005, 84, 414–417. [Google Scholar] [CrossRef] [PubMed]
- Khocht, A.; Albandar, J.M. Aggressive forms of periodontitis secondary to systemic disorders. Periodontology 2014, 65, 134–148. [Google Scholar] [CrossRef] [PubMed]
- Roos-Jansaker, A.M.; Lindahl, C.; Renvert, H.; Renvert, S. Nine- to fourteen-year follow-up of implant treatment. Part I: Implant loss and associations to various factors. J. Clin. Periodontol. 2006, 33, 283–289. [Google Scholar] [CrossRef]
- Haas, R.; Mensdorff-Pouilly, N.; Mailath, G.; Watzek, G. Survival of 1920 IMZ implants followed for up to 100 months. Int. J. Oral Maxillofac. Implant. 1996, 11, 581–588. [Google Scholar]
- Willer, J.; Noack, N.; Hoffmann, J. Survival rate of IMZ implants: A prospective 10-year analysis. J. Oral Maxillofac. Surg. 2003, 61, 691–695. [Google Scholar] [CrossRef]
- Krebs, M.; Schmenger, K.; Neumann, K.; Weigl, P.; Moser, W.; Nentwig, G.H. Long-term evaluation of ANKYLOS® dental implants, part i: 20-year life table analysis of a longitudinal study of more than 12,500 implants. Clin. Impl. Dent. Rel. Res. 2015, 17, e275–e286. [Google Scholar] [CrossRef]
- Esposito, M.; Ardebili, Y.; Worthington, H. Interventions for replacing missing teeth: Different types of dental implants. Cochrane Database Syst. Rev. 2014, 22, CD003815. [Google Scholar] [CrossRef]
- Pohl, V.; Thoma, D.S.; Sporniak-Tutak, K. Short dental implants (6 mm) versus long dental implants (11–15 mm) in combination with sinus floor elevation procedures: 3-year results from a multi-center, randomized, controlled clinical trial. J. Clin. Periodontol. 2017, 44, 438–445. [Google Scholar] [CrossRef] [PubMed] [Green Version]
- Sbordone, C.; Sbordone, L.; Toti, P.; Martuscelli, R.; Califano, L.; Guidetti, F. Apical and marginal bone alterations around implants in maxillary sinus augmentation grafted with autogenous bone or bovine bone material and simultaneous or delayed dental implant positioning. Clin. Oral Impl. Res. 2011, 22, 485–491. [Google Scholar] [CrossRef]
- Sbordone, C.; Toti, P.; Guidetti, F.; Califano, L.; Bufo, P.; Sbordone, L. Volume changes of autogenous bone after sinus lifting and grafting procedures: A 6-year computerized tomographic follow-up. J. Cranio-Maxillofac. Surg. 2013, 41, 235–241. [Google Scholar] [CrossRef] [PubMed]
- Sbordone, C.; Toti, P.; Guidetti, F.; Califano, L.; Pannone, G.; Sbordone, L. Volumetric changes after sinus augmentation using blocks of autogenous iliac bone or freeze-dried allogeneic bone. A non-randomized study. J. Craniomaxillofac. Surg. 2014, 42, 113–118. [Google Scholar] [CrossRef] [PubMed]
- Hatano, N.; Shimizu, Y.; Ooya, K. A clinical long-term radiographic evaluation of graft height changes after maxillary sinus floor augmentation with a 2: 1 autogenous bone/xenograft mixture and simultaneous placement of dental implants. Clin. Oral Implant. Res. 2004, 15, 339–345. [Google Scholar] [CrossRef] [PubMed]
- Zijderveld, S.A.; Schulten, E.A.J.M.; Aartman, I.H.A.; ten Bruggenkate, C.M. Long-term changes in graft height after maxillary sinus floor elevation with different grafting materials: Radiographic evaluation with a minimum follow-up of 4.5 years. Clin. Oral Implant. Res. 2009, 20, 691–700. [Google Scholar] [CrossRef]
- Fretwurst, T.; Nack, C.; Al-Ghrairi, M.; Raguse, J.; Stricker, A.; Schmelzeisen, R.; Nelson, K.; Nahles, S. Long-term retrospective evaluation of the peri-implant bone level in onlay grafted patients with iliac bone from the anterior superior iliac crest. J. Cranio-Maxillofac. Surg. 2015, 43, 956–960. [Google Scholar] [CrossRef]
- Roccuzzo, M.; De Angelis, N.; Bonino, L.; Aglietta, M. Ten-year results of a three-arm prospective cohort study on implants in periodontally compromised patients. Part 1: Implant loss and radiographic bone loss. Clin. Oral Implant. Res. 2010, 21, 490–496. [Google Scholar] [CrossRef]
- Atarbashi-Moghadam, F.; Atarbashi-Moghadam, S.; Kazemifard, S.; Sijanivandi, S.; Namdari, M. Oral rehabilitation of Papillon–Lefèvre syndrome patients by dental implants: A systematic review. J. Korean Assoc. Oral Maxillofac. Surg. 2020, 46, 220–227. [Google Scholar] [CrossRef]
- Nazzaro, V.; Blanchet-Bardon, C.; Mimoz, C.; Revuz, J.; Puissant, A. Papillon-Lefèvre Syndrome Ultrastructural Study and Successful Treatment with Acitretin. Arch. Dermatol. 1988, 124, 533–539. [Google Scholar] [CrossRef]
- Gelmetti, C.; Nazzaro, V.; Cerri, D.; Fracasso, L. Long-Term Preservation of Permanent Teeth in a Patient with Papillon-Lefevre Syndrome Treated with Etretinate. Pediatr. Dermatol. 1989, 6, 222–225. [Google Scholar] [CrossRef] [PubMed]
- Lundgren, T.; Renvert, S. Periodontal treatment of patients with Papillon-Lefevre syndrome: A 3-year follow-up. J. Clin. Periodontol. 2004, 31, 933–938. [Google Scholar] [CrossRef] [PubMed]


| Family | Patient | Implants In Situ (Number/Jaw/Type); Year Implants Were Placed; Follow-Up (Years) | Implants Lost (Number) | Bone Grafting (Yes/No/Material) | Prosthetic Restoration | Supportive Therapy (Yes/No/Main Contents) |
|---|---|---|---|---|---|---|
| A | 1 (♀/*1988) | 6× maxilla 4× mandible Ankylos® (Dentsply Friadent, York, PA, USA) (all Ø 3.5 mm, length 11 mm); Placed in 2007; 2.5 years | - | Yes (maxilla) Bio-Oss Block® (Geistlich, Wolhusen, Switzerland), autologous bone (zygomaticum), Bio-Gide® (Geistlich) | Removable telescopic crown-supported restoration (galvano) | no |
| A | 2 (♀/*1991) | 6× maxilla 4× mandible Ankylos® (Dentsply Friadent, York, PA, USA) (all Ø 3.5 mm, length 9.5 and 11 mm); Placed in 2010; 5 years | - | Yes (maxilla) Bio-Oss Block® (Geistlich), autologous bone (zygomaticum), Bio-Gide® (Geistlich) | Removable telescopic crown-supported restoration (galvano) | yes (but irregular): professional dental cleaning once a year; measuring of PPD (irregular), subgingival cleaning (glycine) in case of increased PPD+BOP |
| B | 3 (♀/*1974) | 4× maxilla 8× mandible maxilla: Astra® (Dentsply, York, PA, USA) mandible: Brånemark® (Nobel Biocare, Kloten, Switzerland) Placed in 1992; re-implantation maxilla in 2008 and 2010; 20 years (mandible), 4/2 years (maxilla) | 4 | Yes (maxilla) Autologous bone (iliac crest) | Removable bar-carried restoration | yes: professional dental cleaning every 3 months; no measuring of PPD, no subgingival cleaning; systemic amoxicillin + clavulanic acid and metronidazole for seven days twice a year; no professional supportive therapy |
| B | 4 (♀/*1983) | 1× maxilla 4× mandible 1 disc-shaped implant (unknown manufacturer); all others: Brånemark® (Nobel Biocare, Kloten, Switzerland) implants Placed in 1993; 19 years | 11 | Yes (maxilla) Autologous bone and bone substitute (unknown material) | Removable telescopic crown- and ball-shaped head-supported restoration | yes: professional dental cleaning every 3 months; no measurement of PPD, no subgingival cleaning; systemic amoxicillin + clavulanic acid and metronidazole for seven days twice a year; no professional supportive therapy |
| C | 5 (♂/*1971) | 5× maxilla 6× mandible 1 Biomet® 3i implant, all other: IMZ® implants (Dentsply, York, PA, USA); Placed in 1992; 20 years | Several implants were lost, number unknown | Yes (maxilla) (unknown material) | Removable bar-supported (maxilla) and removable telescopic crown-supported restoration (mandible) | no |
| Patient | PPD 1–3 mm (%) | PPD 4–6 mm (%) | PPD ≥ 7 mm (%) | BOP (%) | Suppuration (Yes/No) | AA +/− |
|---|---|---|---|---|---|---|
| 1 | 55% | 45% | 0% | 38% | no | AA − |
| 2 | 58% | 42% | 0% | 25% | no | AA − |
| 3 | 71% | 22% | 7% | 20% | yes | AA − |
| 4 | 80% | 20% | 0% | 9% | no | - * |
| 5 | 32% | 54% | 14% | 26% | Yes | AA − |
| Patient | Bone Loss 0− < 25% | Bone Loss 25− < 50% | Bone Loss ≥ 50% |
|---|---|---|---|
| 1 | 75% | 25% | 0% |
| 2 | 95% | 5% | 0% |
| 3 | 29% | 46% | 25% |
| 4 | 60% | 20% | 20% |
| 5 | 13% | 55% | 32% |
Publisher’s Note: MDPI stays neutral with regard to jurisdictional claims in published maps and institutional affiliations. |
© 2022 by the authors. Licensee MDPI, Basel, Switzerland. This article is an open access article distributed under the terms and conditions of the Creative Commons Attribution (CC BY) license (https://creativecommons.org/licenses/by/4.0/).
Share and Cite
Nickles, K.; Krebs, M.; Schacher, B.; Petsos, H.; Eickholz, P. Long-Term Results after Placing Dental Implants in Patients with Papillon-Lefèvre Syndrome: Results 2.5–20 Years after Implant Insertion. J. Clin. Med. 2022, 11, 2438. https://doi.org/10.3390/jcm11092438
Nickles K, Krebs M, Schacher B, Petsos H, Eickholz P. Long-Term Results after Placing Dental Implants in Patients with Papillon-Lefèvre Syndrome: Results 2.5–20 Years after Implant Insertion. Journal of Clinical Medicine. 2022; 11(9):2438. https://doi.org/10.3390/jcm11092438
Chicago/Turabian StyleNickles, Katrin, Mischa Krebs, Beate Schacher, Hari Petsos, and Peter Eickholz. 2022. "Long-Term Results after Placing Dental Implants in Patients with Papillon-Lefèvre Syndrome: Results 2.5–20 Years after Implant Insertion" Journal of Clinical Medicine 11, no. 9: 2438. https://doi.org/10.3390/jcm11092438
APA StyleNickles, K., Krebs, M., Schacher, B., Petsos, H., & Eickholz, P. (2022). Long-Term Results after Placing Dental Implants in Patients with Papillon-Lefèvre Syndrome: Results 2.5–20 Years after Implant Insertion. Journal of Clinical Medicine, 11(9), 2438. https://doi.org/10.3390/jcm11092438

