Effects of Sex, Age and Height on Symphysis–Ischial Spine Distance Measured on a Pelvic CT
Abstract
:1. Introduction
2. Materials and Methods
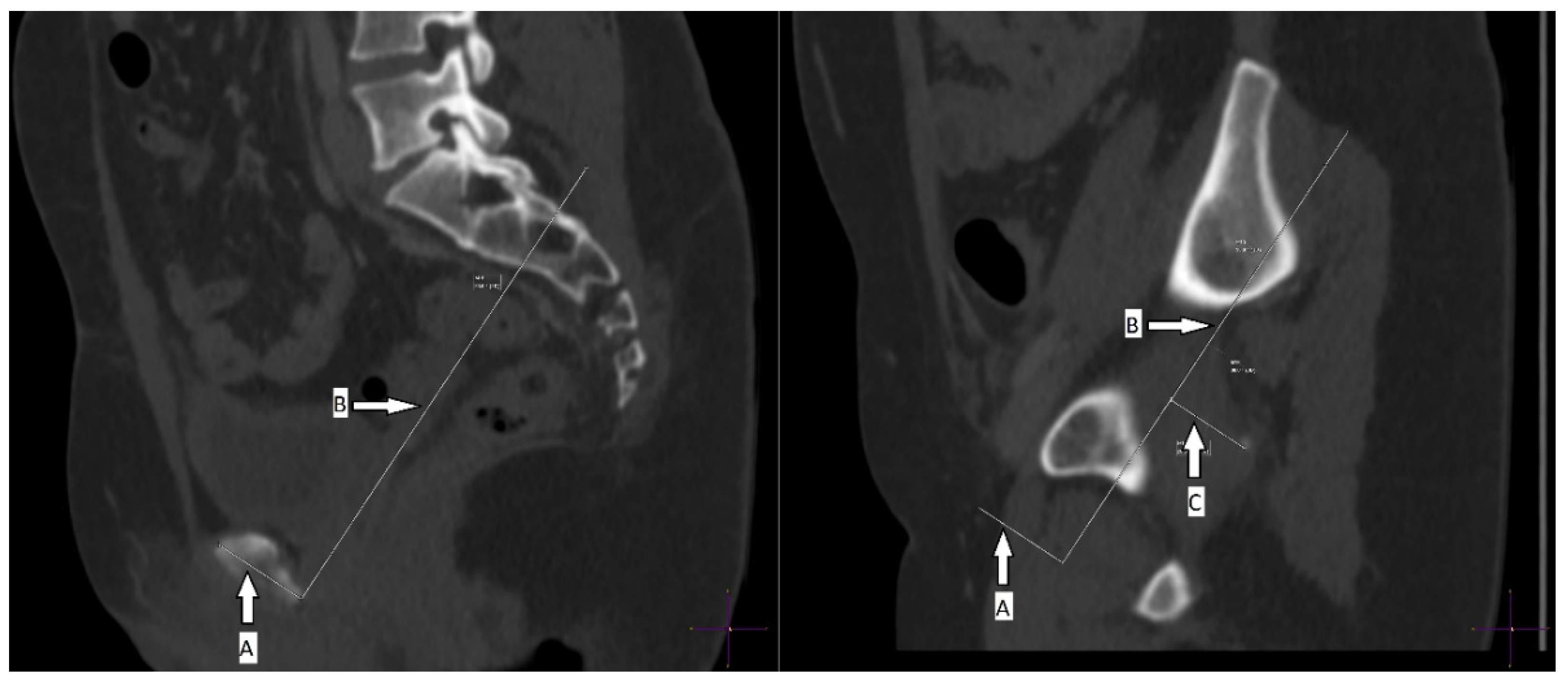
2.1. CT Measurements
2.2. Statistical Analysis
3. Results
4. Discussion
5. Conclusions
Author Contributions
Funding
Institutional Review Board Statement
Informed Consent Statement
Data Availability Statement
Conflicts of Interest
References
- Ghi, T.; Eggebø, T.; Lees, C.; Kalache, K.; Rozenberg, P.; Youssef, A.; Salomon, L.J.; Tutschek, B. ISUOG Practice Guidelines: Intrapartum ultrasound. Ultrasound Obstet. Gynecol. 2018, 52, 128–139. [Google Scholar] [CrossRef] [PubMed] [Green Version]
- Tutschek, B.; Braun, T.; Chantraine, F.; Henrich, W. A study of progress of labour using intrapartum translabial ultrasound, assessing head station, direction, and angle of descent. BJOG 2011, 118, 62–69. [Google Scholar] [CrossRef]
- Henrich, W.; Dudenhausen, J.; Fuchs, I.; Kämena, A.; Tutschek, B. Intrapartum translabial ultrasound (ITU): Sonographic landmarks and correlation with successful vacuum extraction. Ultrasound Obstet. Gynecol. 2006, 28, 753–760. [Google Scholar] [CrossRef]
- Barbera, A.F.; Imani, F.; Becker, T.; Lezotte, D.C.; Hobbins, J.C. Anatomic relationship between the pubic symphysis and ischial spines and its clinical significance in the assessment of fetal head engagement and station during labor. Ultrasound Obstet. Gynecol. 2009, 33, 320–325. [Google Scholar] [CrossRef] [PubMed]
- Ghi, T.; Farina, A.; Pedrazzi, A.; Rizzo, N.; Pelusi, G.; Pilu, G. Diagnosis of station and rotation of the fetal head in the second stage of labor with intrapartum translabial ultrasound. Ultrasound Obstet. Gynecol. 2009, 33, 331–336. [Google Scholar] [CrossRef] [PubMed]
- Gilboa, Y.; Kivilevitch, Z.; Spira, M.; Kedem, A.; Katorza, E.; Moran, O.; Achiron, R. Head progression distance in prolonged second stage of labor: Relationship with mode of delivery and fetal head station. Ultrasound Obstet. Gynecol. 2013, 41, 436–441. [Google Scholar] [CrossRef] [PubMed]
- Eggebø, T.M.; Hassan, W.A.; Salvesen, K.; Lindtjørn, E.; Lees, C.C. Sonographic prediction of vaginal delivery in prolonged labor: A two-center study. Ultrasound Obstet. Gynecol. 2014, 43, 195–201. [Google Scholar] [CrossRef] [PubMed]
- Eggebø, T.M.; Gjessing, L.K.; Heien, C.; Smedvig, E.; Økland, I.; Romundstad, P.; Salvesen, K.Å. Prediction of labor and delivery by transperineal ultrasound in pregnancies with prelabor rupture of membranes at term. Ultrasound Obstet. Gynecol. 2006, 27, 387–391. [Google Scholar] [CrossRef] [PubMed]
- Kalache, K.D.; Dückelmann, A.M.; Michaelis, S.A.M.; Lange, J.; Cichon, G.; Dudenhausen, J.W. Transperineal ultrasound imaging in prolonged second stage of labor with occipitoanterior presenting fetuses: How well does the ‘angle of progression’ predict the mode of delivery? Ultrasound Obstet. Gynecol. 2009, 33, 326–330. [Google Scholar] [CrossRef]
- Dückelmann, A.M.; Bamberg, C.; Michaelis, S.A.M.; Lange, J.; Nonnenmacher, A.; Dudenhausen, J.W.; Kalache, K.D. Measurement of fetal head descent using the ‘angle of progression’ on transperineal ultrasound imaging is reliable regardless of fetal head station or ultrasound expertise. Ultrasound Obstet. Gynecol. 2010, 35, 216–222. [Google Scholar] [CrossRef] [PubMed]
- Dietz, H.P.; Lanzarone, V. Measuring engagement of the fetal head: Validity and reproducibility of a new ultrasound technique. Ultrasound Obstet. Gynecol. 2005, 25, 165–168. [Google Scholar] [CrossRef]
- Yeo, L.; Romero, R. Sonographic evaluation in the second stage of labor to improve the assessment of labor progress and its outcome. Ultrasound Obstet. Gynecol. 2009, 33, 253–258. [Google Scholar] [CrossRef] [PubMed] [Green Version]
- Hadad, S.; Oberman, M.; Ben-Arie, A.; Sacagiu, M.; Vaisbuch, E.; Levy, R. Intrapartum ultrasound at the initiation of the active second stage of labor predicts spontaneous vaginal delivery. Am. J. Obstet. Gynecol. MFM 2021, 3, 100249. [Google Scholar] [CrossRef]
- Dupuis, O.; Silveira, R.; Zentner, A.; Dittmar, A.; Gaucherand, P.; Cucherat, M.; Redarce, T.; Rudigoz, R.-C. Birth simulator: Reliability of transvaginal assessment of fetal head station as defined by the American College of Obstetricians and Gynecologists classification. Am. J. Obstet. Gynecol. 2005, 192, 868–874. [Google Scholar] [CrossRef] [PubMed]
- Buchmann, E.; Libhaber, E. Interobserver agreement in intrapartum estimation of fetal head station. Int. J. Gynecol. Obstet. 2008, 101, 285–289. [Google Scholar] [CrossRef]
- Dupuis, O.; Ruimark, S.; Corinne, D.; Simone, T.; André, D.; René-Charles, R. Fetal head position during the second stage of labor: Comparison of digital vaginal examination and transabdominal ultrasonographic examination. Eur. J. Obstet. Gynecol. Reprod. Biol. 2005, 123, 193–197. [Google Scholar] [CrossRef]
- Akmal, S.; Kametas, N.; Tsoi, E.; Hargreaves, C.; Nicolaides, K.H. Comparison of transvaginal digital examination with intrapartum sonography to determine fetal head position before instrumental delivery. Ultrasound Obstet. Gynecol. 2003, 21, 437–440. [Google Scholar] [CrossRef]
- Tutschek, B.; Torkildsen, E.A.; Eggebø, T.M. Comparison between ultrasound parameters and clinical examination to assess fetal head station in labor. Ultrasound Obstet. Gynecol. 2013, 41, 425–429. [Google Scholar] [CrossRef] [PubMed]
- Simon, E.G.; Arthuis, C.J.; Perrotin, F. Ultrasound in labor monitoring: How to define the plane of ischial spines? Ultrasound Obstet. Gynecol. 2013, 42, 722–723. [Google Scholar] [CrossRef]
- Armbrust, R.; Henrich, W.; Hinkson, L.; Grieser, C.; Siedentopf, J.-P. Correlation of intrapartum translabial ultrasound parameters with computed tomographic 3D reconstruction of the female pelvis. J. Périnat. Med. 2016, 44, 567–571. [Google Scholar] [CrossRef]
- Arthuis, C.J.; Perrotin, F.; Patat, F.; Brunereau, L.; Simon, E.G. Computed tomographic study of anatomical relationship between pubic symphysis and ischial spines to improve interpretation of intrapartum translabial ultrasound. Ultrasound Obstet. Gynecol. 2016, 48, 779–785. [Google Scholar] [CrossRef] [PubMed]
- Tutschek, B.; Braun, T.; Chantraine, F.; Henrich, W. Computed tomography and ultrasound to determine fetal head station. Ultrasound Obstet. Gynecol. 2017, 49, 279–280. [Google Scholar] [CrossRef]
- Egund, N. Measurements and Related Examination Techniques in Orthopedic Radiology. In Orthopedic Imaging. Medical Radiology (Diagnostic Imaging and Radiation Oncology); Davies, A.M., Pettersson, H., Eds.; Springer: Berlin/Heidelberg, Germany, 1998. [Google Scholar]
- Perandini, S.; Faccioli, N.; Zaccarella, A.; Re, T.J.; Mucelli, R.P. The diagnostic contribution of CT volumetric rendering techniques in routine practice. Indian J. Radiol. Imaging 2010, 20, 92–97. [Google Scholar] [CrossRef]
- Dalrymple, N.C.; Prasad, S.R.; Freckleton, M.W.; Chintapalli, K.N. Introduction to the Language of Three-dimensional Imaging with Multidetector CT. Radiographics 2005, 25, 1409–1428. [Google Scholar] [CrossRef] [PubMed]
- Friedman, R.J.; Hawthorne, K.B.; Genez, B.M. The use of computerized tomography in the measurement of glenoid version. J. Bone Jt. Surg. 1992, 74, 1032–1037. [Google Scholar] [CrossRef]
- Mullaji, A.B.; Beddow, F.H.; Lamb, G.H. CT measurement of glenoid erosion in arthritis. J. Bone Joint Surg. Br. 1994, 76, 384–388. [Google Scholar] [CrossRef] [PubMed]
- Cai, Z.; Piao, C.; Zhang, T.; Li, L.; Xiang, L. Accuracy of CT for measuring femoral neck anteversion in children with developmental dislocation of the hip verified using 3D printing technology. J. Orthop. Surg. Res. 2021, 16, 256. [Google Scholar] [CrossRef] [PubMed]
- Del Cura, T. Monografía Seram: Radiología Ortopédica y Radiología Dental: Una Guía Práctica; Editorial Médica Panamericana S.A.: Madrid, Spain, 2007; ISBN 13: 9788479038977. [Google Scholar]
- Lin, L.I.-K. A Concordance Correlation Coefficient to Evaluate Reproducibility. Biometrics 1989, 45, 255–268. [Google Scholar] [CrossRef] [PubMed]
- Bland, J.M.; Altman, D.G. Statistical methods for assessing agreement between two methods of clinical measurement. Lancet 1986, 1, 307–310. [Google Scholar] [CrossRef]
- Rosenberg, H.K.; Markowitz, R.I.; Kolberg, H.; Park, C.; Hubbard, A.; Bellah, R.D. Normal splenic size in infants and children: Sonographic measurements. Am. J. Roentgenol. 1991, 157, 119–121. [Google Scholar] [CrossRef]
- Ozonoff, M.B. Pediatric Orthopedic Radiology; W.B. Saunders Company: Philadelphia, PA, USA, 1992; p. 181. [Google Scholar]
- Kawel-Boehm, N.; Maceira, A.; Valsangiacomo-Buechel, E.R.; Vogel-Claussen, J.; Turkbey, E.B.; Williams, R.; Plein, S.; Tee, M.; Eng, J.; Bluemke, D.A. Normal values for cardiovascular magnetic resonance in adults and children. J. Cardiovasc. Magn. Reson. 2015, 17, 1–33. [Google Scholar] [CrossRef] [PubMed] [Green Version]
- Goldstein, S.A.; Evangelista, A.; Abbara, S.; Arai, A.; Asch, F.M.; Badano, L.P.; Bolen, M.A.; Connolly, H.M.; Cuéllar-Calàbria, H.; Czerny, M.; et al. Multimodality imaging of diseases of the thoracic aorta in adults: From the American Society of Echocardiography and the European Association of Cardiovascular Imaging: Endorsed by the Society of Cardiovascular Computed Tomography and Society for Cardiovascular Magnetic Resonance. J. Am. Soc. Echocardiogr. 2015, 28, 119–182. [Google Scholar] [PubMed]
- Pattinson, R.C.; Cuthbert, A.; Vannevel, V. Pelvimetry for fetal cephalic presentations at or near term for deciding on mode of delivery. Cochrane Database Syst. Rev. 2017, 2020, CD000161. [Google Scholar] [CrossRef] [Green Version]



| Variables | Whole Population (n = 87) | Men (n = 42) | Women (n = 45) | p |
|---|---|---|---|---|
| Age (years) | 31.98 ± 6.20 | 31.98 ± 6.37 | 31.81 ± 6.07 | 0.81 |
| Height (cm) | 169.55 ± 10.53 | 178 ± 7.28 | 162 ± 7.33 | * 0.001 |
| SID (mm) | ||||
| Observer A | 28.20 ± 6.25 | 26.99 ± 6.64 | 29.50 ± 5.67 | 0.07 |
| Observer B | 26.83 ± 6.11 | 25.96 ± 5.91 | 27.59 ± 6.30 | 0.36 |
| Observer C | 28.79 ± 5.48 | 27.94 ± 5.49 | 29.65 ± 5.46 | 0.23 |
| Intraclass Correlation Coefficient | 95% CI | |
|---|---|---|
| Observer A–B | 0.79 | 0.68–0.87 |
| Observer A–C | 0.70 | 0.58–0.79 |
| Observer B–C | 0.70 | 0.52–0.81 |
| Univariate | Coefficient | 95% CI | p |
|---|---|---|---|
| Age | −0.092 | (−0.31 to 0.12) | 0.4 |
| Height | 0.109 | (−0.059 to 0.276) | 0.199 |
| Sex | −2.417 | (−5.047 to 0.214) | 0.07 |
| Multivariate | |||
| Height | 0.34 | (−0.11 to 0.56) | * 0.005 |
| Sex | −6.51 | (−11.30 to−1.72) | * 0.009 |
Publisher’s Note: MDPI stays neutral with regard to jurisdictional claims in published maps and institutional affiliations. |
© 2022 by the authors. Licensee MDPI, Basel, Switzerland. This article is an open access article distributed under the terms and conditions of the Creative Commons Attribution (CC BY) license (https://creativecommons.org/licenses/by/4.0/).
Share and Cite
Sánchez García, D.; Aguado del Hoyo, A.; Sánchez Pérez, M.; Larroca, S.G.-T.; Ruiz Martín, Y.; Gordillo Gutiérrez, I.; Arribas, C.B.; Alvarez-Mon, M.; Ortega, M.A.; De Leon-Luis, J. Effects of Sex, Age and Height on Symphysis–Ischial Spine Distance Measured on a Pelvic CT. J. Clin. Med. 2022, 11, 2395. https://doi.org/10.3390/jcm11092395
Sánchez García D, Aguado del Hoyo A, Sánchez Pérez M, Larroca SG-T, Ruiz Martín Y, Gordillo Gutiérrez I, Arribas CB, Alvarez-Mon M, Ortega MA, De Leon-Luis J. Effects of Sex, Age and Height on Symphysis–Ischial Spine Distance Measured on a Pelvic CT. Journal of Clinical Medicine. 2022; 11(9):2395. https://doi.org/10.3390/jcm11092395
Chicago/Turabian StyleSánchez García, Daniel, Alejandra Aguado del Hoyo, María Sánchez Pérez, Santiago García-Tizón Larroca, Yolanda Ruiz Martín, Isabel Gordillo Gutiérrez, Coral Bravo Arribas, Melchor Alvarez-Mon, Miguel A. Ortega, and Juan De Leon-Luis. 2022. "Effects of Sex, Age and Height on Symphysis–Ischial Spine Distance Measured on a Pelvic CT" Journal of Clinical Medicine 11, no. 9: 2395. https://doi.org/10.3390/jcm11092395
APA StyleSánchez García, D., Aguado del Hoyo, A., Sánchez Pérez, M., Larroca, S. G.-T., Ruiz Martín, Y., Gordillo Gutiérrez, I., Arribas, C. B., Alvarez-Mon, M., Ortega, M. A., & De Leon-Luis, J. (2022). Effects of Sex, Age and Height on Symphysis–Ischial Spine Distance Measured on a Pelvic CT. Journal of Clinical Medicine, 11(9), 2395. https://doi.org/10.3390/jcm11092395

