Twisted Gastric Tube after Laparoscopic Sleeve Gastrectomy—An Unusual but Effective Surgical Approach to Achieve Full Recovery
Abstract
:1. Introduction
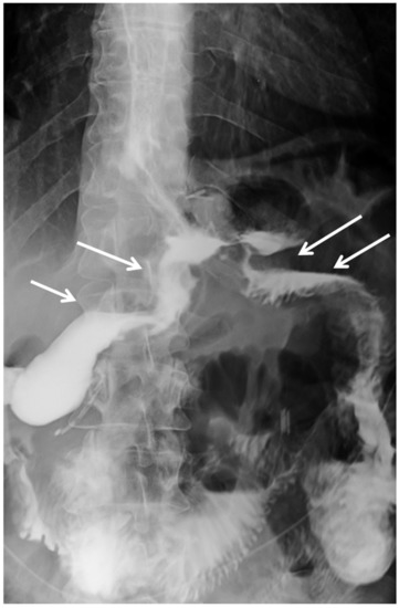
2. Case Presentation
3. Discussion
4. Conclusions
Author Contributions
Funding
Institutional Review Board Statement
Informed Consent Statement
Data Availability Statement
Conflicts of Interest
References
- Barajas-Gamboa, J.S.; Landreneau, J.; Abril, C.; Raza, J.; Corcelles, R.; Kroh, M. Conversion of sleeve gastrectomy to Roux-en-Y gastric bypass for complications: Outcomes from a tertiary referral center in the Middle East. Surg. Obes. Relat. Dis. 2019, 15, 1690–1695. [Google Scholar] [CrossRef] [PubMed]
- Schauer, P.R.; Bhatt, D.L.; Kirwan, J.P.; Wolski, K.; Aminian, A.; Brethauer, S.A.; Navaneethan, S.D.; Singh, R.P.; Pothier, C.E.; Nissen, S.E.; et al. Bariatric Surgery versus Intensive Medical Therapy for Diabetes—5-Year Outcomes. N. Engl. J. Med. 2017, 376, 641–651. [Google Scholar] [CrossRef] [Green Version]
- Angrisani, L.; Santonicola, A.; Iovino, P.; Ramos, A.; Shikora, S.; Kow, L. Bariatric Surgery Survey 2018: Similarities and Disparities Among the 5 IFSO Chapters. Obes. Surg. 2021, 31, 1937–1948. [Google Scholar] [CrossRef]
- Oshiro, T.; Sato, Y.; Nabekura, T.; Kitahara, T.; Sato, A.; Kadoya, K.; Kawamitsu, K.; Takagi, R.; Nagashima, M.; Okazumi, S.; et al. Proximal Gastrectomy with Double Tract Reconstruction Is an Alternative Revision Surgery for Intractable Complications After Sleeve Gastrectomy. Obes. Surg. 2017, 27, 3333–3336. [Google Scholar] [CrossRef] [PubMed]
- Rebibo, L.; Hakim, S.; Dhahri, A.; Yzet, T.; Delcenserie, R.; Regimbeau, J.M. Gastric Stenosis After Laparoscopic Sleeve Gastrectomy: Diagnosis and Management. Obes. Surg. 2016, 26, 995–1001. [Google Scholar] [CrossRef] [PubMed]
- Contival, N.; Gautier, T.; Le Roux, Y.; Alves, A. Stenosis without stricture after sleeve gastrectomy. J. Visc. Surg. 2015, 152, 339–341. [Google Scholar] [CrossRef] [PubMed]
- Iannelli, A.; Treacy, P.; Sebastianelli, L.; Schiavo, L.; Martini, F. Perioperative complications of sleeve gastrectomy: Review of the literature. J. Minimal Access Surg. 2019, 15, 1–7. [Google Scholar] [CrossRef]
- Landreneau, J.P.; Strong, A.T.; Rodriguez, J.H.; Aleassa, E.M.; Aminian, A.; Brethauer, S.; Schauer, P.R.; Kroh, M.D. Conversion of Sleeve Gastrectomy to Roux-en-Y Gastric Bypass. Obes. Surg. 2018, 28, 3843–3850. [Google Scholar] [CrossRef]
- Abd Ellatif, M.E.; Abbas, A.; El Nakeeb, A.; Magdy, A.; Salama, A.F.; Bashah, M.M.; Dawoud, I.; Gamal, M.A.; Sargsyan, D. Management Options for Twisted Gastric Tube after Laparoscopic Sleeve Gastrectomy. Obes. Surg. 2017, 27, 2404–2409. [Google Scholar] [CrossRef]
- Kichler, K.; Rosenthal, R.J.; DeMaria, E.; Higa, K. Reoperative surgery for nonresponders and complicated sleeve gastrectomy operations in patients with severe obesity. An international expert panel consensus statement to define best practice guidelines. Surg. Obes. Relat. Dis. 2019, 15, 173–186. [Google Scholar] [CrossRef]
- Parikh, A.; Alley, J.B.; Peterson, R.M.; Harnisch, M.C.; Pfluke, J.M.; Tapper, D.M.; Fenton, S.J. Management options for symptomatic stenosis after laparoscopic vertical sleeve gastrectomy in the morbidly obese. Surg. Endosc. 2012, 26, 738–746. [Google Scholar] [CrossRef]
- Hajer, A.A.; Wolff, S.; Benedix, F.; Hukauf, M.; Manger, T.; Stroh, C. Trends in Early Morbidity and Mortality after Sleeve Gastrectomy in Patients over 60 Years: Retrospective Review and Data Analysis of the German Bariatric Surgery Registry. Obes. Surg. 2018, 28, 1831–1837. [Google Scholar] [CrossRef]
- Subhas, G.; Gupta, A.; Sabir, M.; Mittal, V.K. Gastric remnant twist in the immediate post-operative period following laparoscopic sleeve gastrectomy. World J. Gastrointest. Surg. 2015, 7, 345–348. [Google Scholar] [CrossRef]
- Murcia, C.H.; Quintero, P.G.; Rabaza, J.; Gonzalez, A. Laparoscopic Management of Gastric Torsion after Sleeve Gastrectomy; CRSLS: Miami, FL, USA, 2014; p. e2014-00143. [Google Scholar]
- Hampel, H.; Abraham, N.S.; El-Serag, H.B. Meta-analysis: Obesity and the risk for gastroesophageal reflux disease and its complications. Ann. Intern. Med. 2005, 143, 199–211. [Google Scholar] [CrossRef] [Green Version]
- Itani, M.I.; Farha, J.; Marrache, M.K.; Fayad, L.; Badurdeen, D.; Kumbhari, V. The Effects of Bariatric Surgery and Endoscopic Bariatric Therapies on GERD: An Update. Curr. Treat. Options Gastroenterol. 2020, 18, 97–108. [Google Scholar] [CrossRef]
- Howard, D.D.; Caban, A.M.; Cendan, J.C.; Ben-David, K. Gastroesophageal reflux after sleeve gastrectomy in morbidly obese patients. Surg. Obes. Relat. Dis. 2011, 7, 709–713. [Google Scholar] [CrossRef]
- Casillas, R.A.; Um, S.S.; Zelada Getty, J.L.; Sachs, S.; Kim, B.B. Revision of primary sleeve gastrectomy to Roux-en-Y gastric bypass: Indications and outcomes from a high-volume center. Surg. Obes. Relat. Dis. 2016, 12, 1817–1825. [Google Scholar] [CrossRef]
- Stefanidis, D.; Hope, W.W.; Kohn, G.P.; Reardon, P.R.; Richardson, W.S.; Fanelli, R.D.; Committee, S.G. Guidelines for surgical treatment of gastroesophageal reflux disease. Surg. Endosc. 2010, 24, 2647–2669. [Google Scholar] [CrossRef]
- Burgos, A.M.; Csendes, A.; Braghetto, I. Gastric stenosis after laparoscopic sleeve gastrectomy in morbidly obese patients. Obes. Surg. 2013, 23, 1481–1486. [Google Scholar] [CrossRef]
- Donatelli, G.; Dumont, J.L.; Pourcher, G.; Tranchart, H.; Tuszynski, T.; Dagher, I.; Catheline, J.M.; Chiche, R.; Marmuse, J.P.; Dritsas, S.; et al. Pneumatic dilation for functional helix stenosis after sleeve gastrectomy: Long-term follow-up (with videos). Surg. Obes. Relat. Dis. 2017, 13, 943–950. [Google Scholar] [CrossRef] [PubMed]
- Santoro, S.; Castro, L.C.; Velhote, M.C.; Malzoni, C.E.; Klajner, S.; Castro, L.P.; Lacombe, A.; Santo, M.A. Sleeve gastrectomy with transit bipartition: A potent intervention for metabolic syndrome and obesity. Ann. Surg. 2012, 256, 104–110. [Google Scholar] [CrossRef] [PubMed]


Publisher’s Note: MDPI stays neutral with regard to jurisdictional claims in published maps and institutional affiliations. |
© 2022 by the authors. Licensee MDPI, Basel, Switzerland. This article is an open access article distributed under the terms and conditions of the Creative Commons Attribution (CC BY) license (https://creativecommons.org/licenses/by/4.0/).
Share and Cite
Sarno, G.; Calabrese, P.; Tramontano, S.; Schiavo, L.; Pilone, V. Twisted Gastric Tube after Laparoscopic Sleeve Gastrectomy—An Unusual but Effective Surgical Approach to Achieve Full Recovery. J. Clin. Med. 2022, 11, 2304. https://doi.org/10.3390/jcm11092304
Sarno G, Calabrese P, Tramontano S, Schiavo L, Pilone V. Twisted Gastric Tube after Laparoscopic Sleeve Gastrectomy—An Unusual but Effective Surgical Approach to Achieve Full Recovery. Journal of Clinical Medicine. 2022; 11(9):2304. https://doi.org/10.3390/jcm11092304
Chicago/Turabian StyleSarno, Gerardo, Pietro Calabrese, Salvatore Tramontano, Luigi Schiavo, and Vincenzo Pilone. 2022. "Twisted Gastric Tube after Laparoscopic Sleeve Gastrectomy—An Unusual but Effective Surgical Approach to Achieve Full Recovery" Journal of Clinical Medicine 11, no. 9: 2304. https://doi.org/10.3390/jcm11092304
APA StyleSarno, G., Calabrese, P., Tramontano, S., Schiavo, L., & Pilone, V. (2022). Twisted Gastric Tube after Laparoscopic Sleeve Gastrectomy—An Unusual but Effective Surgical Approach to Achieve Full Recovery. Journal of Clinical Medicine, 11(9), 2304. https://doi.org/10.3390/jcm11092304

