Identification of Potentially Pathogenic Variants Associated with Recurrence in Medication-Related Osteonecrosis of the Jaw (MRONJ) Patients Using Whole-Exome Sequencing
Abstract
1. Introduction
2. Materials and Methods
2.1. Ethics Statement
2.2. Patient Selections
2.3. DNA Preparation
2.4. Whole-Exome Sequencing (WES) and Individual Variant Calling
2.5. Functional Gene Classification and Pathway Analysis
2.6. Pathogenicity of Variants
3. Results
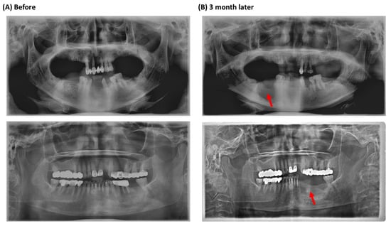
3.1. Clinical Findings
3.2. Whole-Exome Sequencing and Quality Controls
3.3. Identification of Single Nucleotide Polymorphism (SNPs) Related to MRONJ
3.4. Identification of Insertion/Deletions (InDels) Variants Related to MRONJ
3.5. Enrichment and Pathway Analysis
3.6. Pathogenicity Analysis
4. Discussion
5. Conclusions
Supplementary Materials
Author Contributions
Funding
Institutional Review Board Statement
Informed Consent Statement
Data Availability Statement
Acknowledgments
Conflicts of Interest
Abbreviations
References
- Sandro Pereira da Silva, J.; Pullano, E.; Raje, N.S.; Troulis, M.J.; August, M. Genetic predisposition for medication-related osteonecrosis of the jaws: A systematic review. Int. J. Oral Maxillofac. Surg. 2019, 48, 1289–1299. [Google Scholar] [CrossRef] [PubMed]
- Wang, J.; Goodger, N.M.; Pogrel, M.A. Osteonecrosis of the jaws associated with cancer chemotherapy. J. Oral Maxillofac. Surg. 2003, 61, 1104–1107. [Google Scholar] [CrossRef]
- Chang, J.; Hakam, A.E.; McCauley, L.K. Current Understanding of the Pathophysiology of Osteonecrosis of the Jaw. Curr. Osteoporos. Rep. 2018, 16, 584–595. [Google Scholar] [CrossRef] [PubMed]
- Ruggiero, S.L.; Dodson, T.B.; Aghaloo, T.; Carlson, E.R.; Ward, B.B.; Kademani, D. American Association of Oral and Maxillofacial Surgeons’ Position Paper on Medication-Related Osteonecrosis of the Jaw—2022 Update. J. Oral Maxillofac. Surg. 2022; in press. [Google Scholar] [CrossRef]
- He, L.; Sun, X.; Liu, Z.; Qiu, Y.; Niu, Y. Pathogenesis and multidisciplinary management of medication-related osteonecrosis of the jaw. Int. J. Oral Sci. 2020, 12, 30. [Google Scholar] [CrossRef]
- Beaumont, S.; Harrison, S.; Er, J. Review of Myeloma Therapies and Their Potential for Oral and Maxillofacial Side Effects. Cancers 2021, 13, 4479. [Google Scholar] [CrossRef]
- Otto, S.; Pautke, C.; Arens, D.; Poxleitner, P.; Eberli, U.; Nehrbass, D.; Zeiter, S.; Stoddart, M. A Drug Holiday Reduces the Frequency and Severity of Medication-Related Osteonecrosis of the Jaw in a Minipig Model. J. Bone Miner. Res. 2020, 35, 2179–2192. [Google Scholar] [CrossRef]
- Fortunato, L.; Amato, M.; Simeone, M.; Bennardo, F.; Barone, S.; Giudice, A. Numb chin syndrome: A reflection of malignancy or a harbinger of MRONJ? A multicenter experience. J. Stomatol. Oral Maxillofac. Surg. 2018, 119, 389–394. [Google Scholar] [CrossRef]
- Arduino, P.G.; Menegatti, E.; Scoletta, M.; Battaglio, C.; Mozzati, M.; Chiecchio, A.; Berardi, D.; Vandone, A.M.; Donadio, M.; Gandolfo, S.; et al. Vascular endothelial growth factor genetic polymorphisms and haplotypes in female patients with bisphosphonate-related osteonecrosis of the jaws. J. Oral Pathol. Med. 2011, 40, 510–515. [Google Scholar] [CrossRef]
- Katz, J.; Gong, Y.; Salmasinia, D.; Hou, W.; Burkley, B.; Ferreira, P.; Casanova, O.; Langaee, T.Y.; Moreb, J.S. Genetic polymorphisms and other risk factors associated with bisphosphonate induced osteonecrosis of the jaw. Int. J. Oral Maxillofac. Surg 2011, 40, 605–611. [Google Scholar] [CrossRef]
- Lee, K.H.; Kim, S.H.; Kim, C.H.; Min, B.J.; Kim, G.J.; Lim, Y.; Kim, H.S.; Ahn, K.M.; Kim, J.H. Identifying genetic variants underlying medication-induced osteonecrosis of the jaw in cancer and osteoporosis: A case control study. J. Transl. Med. 2019, 17, 381. [Google Scholar] [CrossRef]
- Kim, K.M.; Rhee, Y.; Kwon, Y.D.; Kwon, T.G.; Lee, J.K.; Kim, D.Y. Medication Related Osteonecrosis of the Jaw: 2015 Position Statement of the Korean Society for Bone and Mineral Research and the Korean Association of Oral and Maxillofacial Surgeons. J. Bone Metab. 2015, 22, 151–165. [Google Scholar] [CrossRef] [PubMed]
- Langmead, B.; Salzberg, S.L. Fast gapped-read alignment with Bowtie 2. Nat. Methods 2012, 9, 357–359. [Google Scholar] [CrossRef] [PubMed]
- McKenna, A.; Hanna, M.; Banks, E.; Sivachenko, A.; Cibulskis, K.; Kernytsky, A.; Garimella, K.; Altshuler, D.; Gabriel, S.; Daly, M.; et al. The genome analysis toolkit: A mapreduce framework for analyzing next-generation DNA sequencing data. Genome Res. 2010, 20, 1297–1303. [Google Scholar] [CrossRef]
- Wang, K.; Li, M.; Hakonarson, H. ANNOVAR: Functional annotation of genetic variants from high-throughput sequencing data. Nucleic. Acids Res. 2010, 38, e164. [Google Scholar] [CrossRef] [PubMed]
- Zhou, Y.; Zhou, B.; Pache, L.; Chang, M.; Khodabakhshi, A.H.; Tanaseichuk, O.; Benner, C.; Chanda, S.K. Metascape provides a biologist-oriented resource for the analysis of systems-level datasets. Nat. Commun. 2019, 10, 1523. [Google Scholar] [CrossRef] [PubMed]
- Jumper, J.; Evans, R.; Pritzel, A.; Green, T.; Figurnov, M.; Ronneberger, O.; Tunyasuvunakool, K.; Bates, R.; Zidek, A.; Potapenko, A.; et al. Highly accurate protein structure prediction with AlphaFold. Nature 2021, 596, 583–589. [Google Scholar] [CrossRef]
- Rodrigues, C.H.M.; Pires, D.E.V.; Ascher, D.B. DynaMut2: Assessing changes in stability and flexibility upon single and multiple point missense mutations. Protein Sci. 2021, 30, 60–69. [Google Scholar] [CrossRef]
- Lee, S.; Seo, J.; Park, J.; Nam, J.Y.; Choi, A.; Ignatius, J.S.; Bjornson, R.D.; Chae, J.H.; Jang, I.J.; Lee, S.; et al. Korean Variant Archive (KOVA): A reference database of genetic variations in the Korean population. Sci. Rep. 2017, 7, 4287. [Google Scholar] [CrossRef]
- Kim, J.H.; Ko, Y.J.; Kim, J.Y.; Oh, Y.; Hwang, J.; Han, S.; Kim, S.; Lee, J.H.; Han, D.H. Genetic investigation of bisphosphonate-related osteonecrosis of jaw (BRONJ) via whole exome sequencing and bioinformatics. PLoS ONE 2015, 10, e0118084. [Google Scholar] [CrossRef]
- Cheng, J.; Peng, W.; Cao, X.; Huang, Y.; Lan, X.; Lei, C.; Chen, H. Differential Expression of KCNJ12 Gene and Association Analysis of Its Missense Mutation with Growth Traits in Chinese Cattle. Animals 2019, 9, 273. [Google Scholar] [CrossRef]
- Soufi, M.; Ruppert, V.; Rinne, S.; Mueller, T.; Kurt, B.; Pilz, G.; Maieron, A.; Dodel, R.; Decher, N.; Schaefer, J.R. Increased KCNJ18 promoter activity as a mechanism in atypical normokalemic periodic paralysis. Neurol. Genet. 2018, 4, e274. [Google Scholar] [CrossRef] [PubMed]
- Maggi, L.; Bonanno, S.; Altamura, C.; Desaphy, J.F. Ion Channel Gene Mutations Causing Skeletal Muscle Disorders: Pathomechanisms and Opportunities for Therapy. Cells 2021, 10, 1521. [Google Scholar] [CrossRef] [PubMed]
- Paninka, R.M.; Mazzotti, D.R.; Kizys, M.M.; Vidi, A.C.; Rodrigues, H.; Silva, S.P.; Kunii, I.S.; Furuzawa, G.K.; Arcisio-Miranda, M.; Dias-da-Silva, M.R. Whole genome and exome sequencing realignment supports the assignment of KCNJ12, KCNJ17, and KCNJ18 paralogous genes in thyrotoxic periodic paralysis locus: Functional characterization of two polymorphic Kir2.6 isoforms. Mol. Genet. Genom. 2016, 291, 1535–1544. [Google Scholar] [CrossRef]
- Landesberg, R.; Cozin, M.; Cremers, S.; Woo, V.; Kousteni, S.; Sinha, S.; Garrett-Sinha, L.; Raghavan, S. Inhibition of oral mucosal cell wound healing by bisphosphonates. J. Oral Maxillofac. Surg. 2008, 66, 839–847. [Google Scholar] [CrossRef]
- Donato, R. S100: A multigenic family of calcium-modulated proteins of the EF-hand type with intracellular and extracellular functional roles. Int. J. Biochem. Cell Biol. 2001, 33, 637–668. [Google Scholar] [CrossRef]
- Guo, Y.F.; Su, T.; Yang, M.; Li, C.J.; Guo, Q.; Xiao, Y.; Huang, Y.; Liu, Y.; Luo, X.H. The role of autophagy in bone homeostasis. J. Cell. Physiol. 2021, 236, 4152–4173. [Google Scholar] [CrossRef]
- Mzoughi, S.; Fong, J.Y.; Papadopoli, D.; Koh, C.M.; Hulea, L.; Pigini, P.; Di Tullio, F.; Andreacchio, G.; Hoppe, M.M.; Wollmann, H.; et al. PRDM15 is a key regulator of metabolism critical to sustain B-cell lymphomagenesis. Nat. Commun. 2020, 11, 3520. [Google Scholar] [CrossRef]
- Ishii, J.; Adachi, H.; Aoki, J.; Koizumi, H.; Tomita, S.; Suzuki, T.; Tsujimoto, M.; Inoue, K.; Arai, H. SREC-II, a new member of the scavenger receptor type F family, trans-interacts with SREC-I through its extracellular domain. J. Biol. Chem. 2002, 277, 39696–39702. [Google Scholar] [CrossRef]
- Anastasio, N.; Ben-Omran, T.; Teebi, A.; Ha, K.C.; Lalonde, E.; Ali, R.; Almureikhi, M.; Der Kaloustian, V.M.; Liu, J.; Rosenblatt, D.S.; et al. Mutations in SCARF2 are responsible for Van Den Ende-Gupta syndrome. Am. J. Hum. Genet. 2010, 87, 553–559. [Google Scholar] [CrossRef]
- Kalamajski, S.; Aspberg, A.; Lindblom, K.; Heinegard, D.; Oldberg, A. Asporin competes with decorin for collagen binding, binds calcium and promotes osteoblast collagen mineralization. Biochem. J. 2009, 423, 53–59. [Google Scholar] [CrossRef]
- Aki, T.; Hashimoto, K.; Ogasawara, M.; Itoi, E. A whole-genome transcriptome analysis of articular chondrocytes in secondary osteoarthritis of the hip. PLoS ONE 2018, 13, e0199734. [Google Scholar] [CrossRef]
- Tatsuda, Y.; Iguchi, K.; Usui, S.; Suzui, M.; Hirano, K. Protein kinase C is inhibited by bisphosphonates in prostate cancer PC-3 cells. Eur. J. Pharmacol. 2010, 627, 348–353. [Google Scholar] [CrossRef] [PubMed]
- Nicoletti, P.; Cartsos, V.M.; Palaska, P.K.; Shen, Y.; Floratos, A.; Zavras, A.I. Genomewide pharmacogenetics of bisphosphonate-induced osteonecrosis of the jaw: The role of RBMS3. Oncologist 2012, 17, 279–287. [Google Scholar] [CrossRef]
- Kiel, D.P.; Demissie, S.; Dupuis, J.; Lunetta, K.L.; Murabito, J.M.; Karasik, D. Genome-wide association with bone mass and geometry in the Framingham Heart Study. BMC Med. Genet. 2007, 8 (Suppl. 1), S14. [Google Scholar] [CrossRef] [PubMed]
- Busch, T.; Armacki, M.; Eiseler, T.; Joodi, G.; Temme, C.; Jansen, J.; von Wichert, G.; Omary, M.B.; Spatz, J.; Seufferlein, T. Keratin 8 phosphorylation regulates keratin reorganization and migration of epithelial tumor cells. J. Cell Sci. 2012, 125, 2148–2159. [Google Scholar] [CrossRef] [PubMed]
- Ku, N.O.; Azhar, S.; Omary, M.B. Keratin 8 phosphorylation by p38 kinase regulates cellular keratin filament reorganization: Modulation by a keratin 1-like disease causing mutation. J. Biol. Chem. 2002, 277, 10775–10782. [Google Scholar] [CrossRef]
- Toivola, D.M.; Ku, N.O.; Resurreccion, E.Z.; Nelson, D.R.; Wright, T.L.; Omary, M.B. Keratin 8 and 18 hyperphosphorylation is a marker of progression of human liver disease. Hepatology 2004, 40, 459–466. [Google Scholar] [CrossRef]
- Reszka, A.A.; Halasy-Nagy, J.; Rodan, G.A. Nitrogen-bisphosphonates block retinoblastoma phosphorylation and cell growth by inhibiting the cholesterol biosynthetic pathway in a keratinocyte model for esophageal irritation. Mol. Pharmacol. 2001, 59, 193–202. [Google Scholar] [CrossRef]
- Sharma, D.; Ivanovski, S.; Slevin, M.; Hamlet, S.; Pop, T.S.; Brinzaniuc, K.; Petcu, E.B.; Miroiu, R.I. Bisphosphonate-related osteonecrosis of jaw (bronj): Diagnostic criteria and possible pathogenic mechanisms of an unexpected anti-angiogenic side effect. Vasc. Cell 2013, 5, 1–8. [Google Scholar] [CrossRef]
- George, E.L.; Lin, Y.L.; Saunders, M.M. Bisphosphonate-related osteonecrosis of the jaw: A mechanobiology perspective. Bone Rep. 2018, 8, 104–109. [Google Scholar] [CrossRef] [PubMed]
- Allen, M.R.; Burr, D.B. Mandible matrix necrosis in beagle dogs after 3 years of daily oral bisphosphonate treatment. J. Oral Maxillofac. Surg. 2008, 66, 987–994. [Google Scholar] [CrossRef] [PubMed]
- Roelofs, A.J.; Coxon, F.P.; Ebetino, F.H.; Lundy, M.W.; Henneman, Z.J.; Nancollas, G.H.; Sun, S.; Blazewska, K.M.; Bala, J.L.; Kashemirov, B.A.; et al. Fluorescent risedronate analogues reveal bisphosphonate uptake by bone marrow monocytes and localization around osteocytes in vivo. J. Bone Miner. Res. 2010, 25, 606–616. [Google Scholar] [CrossRef] [PubMed]
- Kimura, M.; Nagao, T.; Machida, J.; Warnakulasuriya, S. Mutation of keratin 4 gene causing white sponge nevus in a Japanese family. Int. J. Oral Maxillofac. Surg. 2013, 42, 615–618. [Google Scholar] [CrossRef]
- Cai, W.; Chen, Z.; Jiang, B.; Yu, F.; Xu, P.; Wang, M.; Wan, R.; Liu, J.; Xue, Z.; Yang, J.; et al. Keratin 13 mutations associated with oral white sponge nevus in two Chinese families. Meta Gene 2014, 2, 374–383. [Google Scholar] [CrossRef]
- Tao, G.Z.; Looi, K.S.; Toivola, D.M.; Strnad, P.; Zhou, Q.; Liao, J.; Wei, Y.; Habtezion, A.; Omary, M.B. Keratins modulate the shape and function of hepatocyte mitochondria: A mechanism for protection from apoptosis. J. Cell Sci. 2009, 122, 3851–3855. [Google Scholar] [CrossRef]
- Toivola, D.M.; Boor, P.; Alam, C.; Strnad, P. Keratins in health and disease. Curr. Opin. Cell Biol. 2015, 32, 73–81. [Google Scholar] [CrossRef]
- Gilbert, S.; Loranger, A.; Daigle, N.; Marceau, N. Simple epithelium keratins 8 and 18 provide resistance to Fas-mediated apoptosis. The protection occurs through a receptor-targeting modulation. J. Cell Biol. 2001, 154, 763–773. [Google Scholar] [CrossRef]
- Kovacic, N.; Grcevic, D.; Katavic, V.; Lukic, I.K.; Marusic, A. Targeting Fas in osteoresorptive disorders. Expert Opin. Targets 2010, 14, 1121–1134. [Google Scholar] [CrossRef][Green Version]
- Galea, G.L.; Meakin, L.B.; Sugiyama, T.; Zebda, N.; Sunters, A.; Taipaleenmaki, H.; Stein, G.S.; van Wijnen, A.J.; Lanyon, L.E.; Price, J.S. Estrogen receptor alpha mediates proliferation of osteoblastic cells stimulated by estrogen and mechanical strain, but their acute down-regulation of the Wnt antagonist Sost is mediated by estrogen receptor beta. J. Biol. Chem. 2013, 288, 9035–9048. [Google Scholar] [CrossRef]
- Hayashi, M.; Nakashima, T.; Yoshimura, N.; Okamoto, K.; Tanaka, S.; Takayanagi, H. Autoregulation of Osteocyte Sema3A Orchestrates Estrogen Action and Counteracts Bone Aging. Cell Metab. 2019, 29, 627–637.e5. [Google Scholar] [CrossRef] [PubMed]
- Camuzard, O.; Santucci-Darmanin, S.; Breuil, V.; Cros, C.; Gritsaenko, T.; Pagnotta, S.; Cailleteau, L.; Battaglia, S.; Panaia-Ferrari, P.; Heymann, D.; et al. Sex-specific autophagy modulation in osteoblastic lineage: A critical function to counteract bone loss in female. Oncotarget 2016, 7, 66416–66428. [Google Scholar] [CrossRef] [PubMed]
- Hansen, T.; Kunkel, M.; Weber, A.; James Kirkpatrick, C. Osteonecrosis of the jaws in patients treated with bisphosphonates—histomorphologic analysis in comparison with infected osteoradionecrosis. J. Oral Pathol. Med. 2006, 35, 155–160. [Google Scholar] [CrossRef]
- Kos, M.; Junka, A.; Smutnicka, D.; Szymczyk, P.; Gluza, K.; Bartoszewicz, M. Bisphosphonates enhance bacterial adhesion and biofilm formation on bone hydroxyapatite. J. Craniomaxillofac. Surg. 2015, 43, 863–869. [Google Scholar] [CrossRef]
- Sedghizadeh, P.P.; Stanley, K.; Caligiuri, M.; Hofkes, S.; Lowry, B.; Shuler, C.F. Oral bisphosphonate use and the prevalence of osteonecrosis of the jaw: An institutional inquiry. J. Am. Dent. Assoc. 2009, 140, 61–66. [Google Scholar] [CrossRef]
- Thumbigere-Math, V.; Michalowicz, B.S.; Hodges, J.S.; Tsai, M.L.; Swenson, K.K.; Rockwell, L.; Gopalakrishnan, R. Periodontal disease as a risk factor for bisphosphonate-related osteonecrosis of the jaw. J. Periodontol. 2014, 85, 226–233. [Google Scholar] [CrossRef] [PubMed]





| Patient No. | Gender | Age | BPs Administered | Duration of Administration (Years) | Affected Area | Type of Dental Intervention | Stage | Smoking |
|---|---|---|---|---|---|---|---|---|
| 1 | Male | 70 | Risedronate | 10 | Maxilla and Mandible | Tooth extraction | III | No |
| 2 | Female | 77 | Risedronate | 10 | Mandible | Tooth extraction | II | No |
| 3 | Female | 86 | Risedronate | 15 | Mandible | Tooth extraction | III | No |
| 4 | Female | 81 | Risedronate | 20 | Maxilla | Tooth extraction | III | No |
| 5 | Female | 80 | Alendronate | 5 | Maxilla | Spontaneous | III | No |
| 6 | Female | 77 | Risedronate | 4 | Mandible | Tooth extraction | III | No |
| 7 | Female | 67 | Risedronate | 5 | Maxilla | Tooth extraction | III | No |
| 8 | Female | 82 | Risedronate | 10 | Mandible | Tooth extraction | III | No |
| 9 | Female | 76 | Risedronate | 20 | Mandible | Tooth extraction | II | No |
| 10 | Female | 80 | Risedronate | 10 | Mandible | Root canal therapy | III | No |
| Variant | SNPs | InDels | ||||||
|---|---|---|---|---|---|---|---|---|
| Saliva; Blood | Saliva; Lesion | Saliva; Blood; Lesion | Lesion-Specific | Saliva; Blood | Saliva; Lesion | Saliva; Blood; Lesion | Lesion-Specific | |
| Intragenic | 157 | 52 | 3199 | 611 | 38 | 202 | 238 | 750 |
| Exonic | 73 | 31 | 1866 | 18 | 4 | 41 | 40 | 46 |
| Intronic | 67 | 16 | 1082 | 556 | 31 | 138 | 180 | 624 |
| Exonic; Splicing | - | - | 1 | - | - | 1 | - | - |
| Splicing | - | - | 8 | - | 1 | 6 | 9 | 2 |
| 5’UTR | 5 | 4 | 144 | 16 | 1 | 12 | 5 | 36 |
| 3’UTR | 12 | 1 | 98 | 21 | 1 | 4 | 4 | 42 |
| 5’UTR;3’UTR | - | - | - | - | - | - | - | - |
| Intergenic | 33 | 15 | 281 | 416 | 4 | 12 | 15 | 213 |
| Upstream; Downstream | - | - | 1 | 1 | - | - | - | 4 |
| Upstream | 2 | 1 | 24 | 19 | - | 4 | 1 | 31 |
| Downstream | - | 1 | 9 | 13 | - | - | 1 | 7 |
| ncRNA exonic | 12 | 7 | 128 | 15 | - | 11 | 4 | 27 |
| ncRNA splicing | - | - | - | 1 | - | - | - | - |
| ncRNA intronic | 12 | 3 | 71 | 75 | 4 | 12 | 6 | 57 |
| ncRNA exonic; splicing | - | - | - | - | - | - | - | - |
| NA | - | - | 163 | - | - | - | - | - |
| Total variants | 216 | 79 | 3876 | 1151 | 46 | 241 | 265 | 1089 |
| (Total Genes) | 142 | 54 | 2125 | 598 | 41 | 205 | 230 | 687 |
| Variant Effects | Single Nucleotide Polymorphisms (SNPs) | Insertion/Deletions (InDels) | |||||||
|---|---|---|---|---|---|---|---|---|---|
| Saliva; Blood | Saliva; Lesion | Saliva; Blood; Lesion | Lesion-Specific | Saliva; Blood | Saliva; Lesion | Saliva; Blood; Lesion | Lesion-Specific | ||
| Missense | 43 | 12 | 882 | 9 | - | - | - | - | |
| Synonymous | 29 | 10 | 925 | 5 | - | - | - | - | |
| Unknown | 1 | 9 | 52 | 4 | 1 | 21 | 22 | 2 | |
| Stop gain | - | - | 8 | - | 1 | - | - | - | |
| Nonframeshift insertion | - | - | - | - | - | 6 | 3 | 13 | |
| Nonframeshift deletion | - | - | - | - | - | 6 | 5 | 20 | |
| Frameshift insertion | - | - | - | - | 2 | 6 | 5 | 5 | |
| Frameshift deletion | - | - | - | - | 3 | 5 | 6 | ||
| Total variants | 73 | 31 | 1866 | 18 | 4 | 42 | 40 | 46 | |
| (Total Genes) | (49) | (21) | (1261) | (12) | (3) | (37) | (38) | (34) | |
| Type | Position | ID | REF | ALT | Gene | Nucleotide Change | Aminoacid Change | Exonic Function | SIFT | Polyphen2 HVAR/HDIV |
|---|---|---|---|---|---|---|---|---|---|---|
| SNPs | Chr1: 145368473 | rs1043749 | G | C | NBPF9 | ./. | ./. | unknown | ./. | ./. |
| Chr1: 145368518 | rs61813437 | C | T | NBPF9 | ./. | ./. | unknown | ./. | ./. | |
| Chr11: 1213275 | rs71251383 | G | A | MUC5AC | ./. | ./. | unknown | ./. | ./. | |
| Chr12: 53343033 | rs78514003 | G | A | KRT18 | c.G76A | p.A26T | missense SNV | 0.549, T | 0.003, B /0.005, B | |
| Chr12: 53343036 | rs77825282 | C | T | KRT18 | c.C79T | p.R27W | missense SNV | 0.032, D | 0.001, B /0.001, B | |
| Chr12: 53343040 | rs74379840 | C | A | KRT18 | c.C83A | p.P28Q | missense SNV | 0.098, T | 0.716, P /0.982, D | |
| Chr12: 53343051 | rs74953757 | G | T | KRT18 | c.G94T | p.A32S | missense SNV | 0.171, T | 0.688, P /0.91, P | |
| Chr12: 53343059 | rs78343594 | C | A | KRT18 | c.C102A | p.S34R | missense SNV | 0.001, D | 0.081, B /0.087, B | |
| Chr12: 53343069 | rs77999286 | G | T | KRT18 | c.G112T | p.G38C | missense SNV | 0.009, D | 0.923, D /0.988, D | |
| Chr12: 53343084 | rs75441140 | G | C | KRT18 | c.G127C | p.G43R | missense SNV | 0.001, D | 0.554, P /0.949, P | |
| Chr12: 53343099 | . | G | A | KRT18 | c.G142A | p.V48M | missense SNV | 0.147, T | 0.11, B /0.642, P | |
| Chr12: 53343105 | rs78479490 | C | T | KRT18 | c.C148T | p.R50C | missense SNV | 0.299, T | 0.004, B /0.003, B | |
| Chr12: 53343124 | rs76183244 | G | A | KRT18 | c.G167A | p.G56D | missense SNV | 0.054, T | 0.015, B /0.017, B | |
| Chr12: 53343148 | . | C | G | KRT18 | c.C191G | p.A64G | missense SNV | 0.718, T | 0.009, B /0.028, B | |
| Chr12: 53343158 | rs77364359 | A | G | KRT18 | c.A201G | p.I67M | missense SNV | 0.493, T | 0.0, B /0.0, B | |
| Chr13: 25670877 | rs112107735 | G | A | PABPC3 | c.G541A | p.A181T | missense SNV | 0.042, D | 0.253, B /0.627, P | |
| Chr13: 25670907 | rs76264750 | C | A | PABPC3 | c.C571A | p.P191T | missense SNV | 1.0, T | 0.0, B /0.0, B | |
| Chr13: 25670919 | rs76861216 | A | G | PABPC3 | c.A583G | p.I195V | missense SNV | 1.0, T | 0.023, B /0.005, B | |
| Chr13: 25670953 | rs74040928 | G | A | PABPC3 | c.G617A | p.R206H | missense SNV | 0.089, T | 0.043, B /0.114, B | |
| Chr13: 25670955 | rs79397892 | C | T | PABPC3 | c.C619T | p.L207F | missense SNV | 0.192, T | 0.978, D /0.999, D | |
| Chr13: 25670988 | rs74564616 | T | G | PABPC3 | c.T652G | p.L218V | missense SNV | 0.287, T | 0.041, B /0.027, B | |
| Chr13: 25671027 | rs78826513 | A | G | PABPC3 | c.A691G | p.K231E | missense SNV | 0.001, D | 0.953, D /0.995, D | |
| Chr13: 25671172 | rs79593984 | C | A | PABPC3 | c.C836A | p.T279K | missense SNV | 1.0, T | 0.0, B /0.0, B | |
| Chr13: 25671214 | rs201081849 | T | G | PABPC3 | c.T878G | p.V293G | missense SNV | 1.0, T | 0.0, B /0.0, B | |
| Indels | Chr1: 17085999 | rs59375146 | CCCCG | C | MST1L | ./. | ./. | frameshift deletion | ./. | ./. |
| Chr9: 95237024 | . | CTCATCA | CTCATCATCA | ASPN | ./. | ./. | Non-frameshift deletion | ./. | ./. | |
| Chr9: 95237024 | . | CTCATCA | CTCA | ASPN | ./. | ./. | Non-frameshift deletion | ./. | ./. | |
| Chr12: 7045891 | rs797045323 | ACAGCAGCAG CAGCAGAGCAG CAGCAG | ACAGCAGCAGCAG | ATN1 | ./. | ./. | Non-frameshift insertion | ./. | ./. | |
| Chr12: 7045891 | rs797045323 | ACAGCAGCAG CAGCAGCAGCA GCAGCAG | ACAGCAGCAG CAGCAGCAGCA GCAGCAGCAGCAG | ATN1 | ./. | ./. | Non-frameshift insertion | ./. | ./. | |
| Chr13: 25671149 | rs368285293 | ACGG | A | PABPC3 | ./. | ./. | Non-frameshift deletion | ./. | ./. | |
| Chr13: 78272267 | rs201380414 | T | TGG | SLAIN1 | ./. | ./. | frameshift insertion | ./. | ./. |
Publisher’s Note: MDPI stays neutral with regard to jurisdictional claims in published maps and institutional affiliations. |
© 2022 by the authors. Licensee MDPI, Basel, Switzerland. This article is an open access article distributed under the terms and conditions of the Creative Commons Attribution (CC BY) license (https://creativecommons.org/licenses/by/4.0/).
Share and Cite
Kim, S.; Mun, S.; Shin, W.; Han, K.; Kim, M.-Y. Identification of Potentially Pathogenic Variants Associated with Recurrence in Medication-Related Osteonecrosis of the Jaw (MRONJ) Patients Using Whole-Exome Sequencing. J. Clin. Med. 2022, 11, 2145. https://doi.org/10.3390/jcm11082145
Kim S, Mun S, Shin W, Han K, Kim M-Y. Identification of Potentially Pathogenic Variants Associated with Recurrence in Medication-Related Osteonecrosis of the Jaw (MRONJ) Patients Using Whole-Exome Sequencing. Journal of Clinical Medicine. 2022; 11(8):2145. https://doi.org/10.3390/jcm11082145
Chicago/Turabian StyleKim, Songmi, Seyoung Mun, Wonseok Shin, Kyudong Han, and Moon-Young Kim. 2022. "Identification of Potentially Pathogenic Variants Associated with Recurrence in Medication-Related Osteonecrosis of the Jaw (MRONJ) Patients Using Whole-Exome Sequencing" Journal of Clinical Medicine 11, no. 8: 2145. https://doi.org/10.3390/jcm11082145
APA StyleKim, S., Mun, S., Shin, W., Han, K., & Kim, M.-Y. (2022). Identification of Potentially Pathogenic Variants Associated with Recurrence in Medication-Related Osteonecrosis of the Jaw (MRONJ) Patients Using Whole-Exome Sequencing. Journal of Clinical Medicine, 11(8), 2145. https://doi.org/10.3390/jcm11082145

