Sign in to use this feature.

Years

Between: -

Subjects

remove_circle_outline
remove_circle_outline

Journals

Article Types

Countries / Regions

Search Results (1)

Search Parameters:
Keywords = partial anomalous pulmonary vein connection

Order results
Result details
Results per page
Select all
Export citation of selected articles as:
8 pages, 1112 KB  
Article
Prenatal Diagnosis and Outcome of Scimitar Syndrome: A Case Series of Six Patients
by Florian Recker, Eva Christin Weber, Brigitte Strizek, Ulrike Herberg, Konrad Brockmaier, Ingo Gottschalk, Annegret Geipel, Ulrich Gembruch and Christoph Berg
J. Clin. Med. 2022, 11(6), 1696; https://doi.org/10.3390/jcm11061696 - 18 Mar 2022
Cited by 3 | Viewed by 3434
Abstract
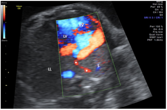
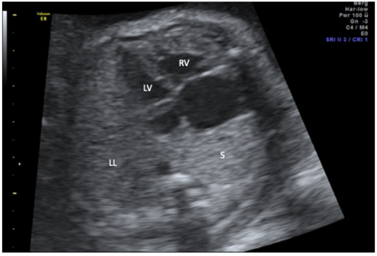
Scimitar syndrome is a rare disease characterized by hypoplasia of the right lung and partial anomalous pulmonary venous drainage to the inferior vena cava. All cases with a prenatal diagnosis of scimitar syndrome with or without associated malformations in an 18-year period (2000–2018) [...] Read more.
Scimitar syndrome is a rare disease characterized by hypoplasia of the right lung and partial anomalous pulmonary venous drainage to the inferior vena cava. All cases with a prenatal diagnosis of scimitar syndrome with or without associated malformations in an 18-year period (2000–2018) in two large tertiary referral centers (University of Bonn and University of Cologne, Germany) were retrospectively reviewed for the intrauterine course and postnatal outcome. Six cases were diagnosed in the study period. All presented with hypoplasia of the right lung, right-sided mediastinal shift, and abnormal pulmonary venous drainage to the inferior vena cava. Systemic arterial blood supply to the right lung, albeit postnatally present in all cases, could not be detected prenatally. Major associated anomalies were present in all cases and included atrial septal defect (n = 5), coarctation (n = 3), diaphragmatic hernia (n = 2), and VACTERL association (n = 1). Half of the cohort died within 6 months after birth and all three survivors suffer from long-term pulmonary sequelae. The primary hint to the prenatal diagnosis of scimitar syndrome is the abnormal position of the heart in the chest. If searched for, abnormal venous drainage can be identified prenatally and confirms the diagnosis. The prognosis depends on the presence of associated major anomalies and the need for neonatal intervention. Full article
(This article belongs to the Section Obstetrics & Gynecology)
Show Figures

Figure 1

Back to TopTop