Differences in Accuracy and Radiation Dose in Placement of Iliosacral Screws: Comparison between 3D and 2D Fluoroscopy
Abstract
:1. Introduction
2. Materials and Methods
2.1. Population
2.2. Technique Procedures
2.3. Statistical Analysis
3. Results
3.1. Radiation Dose
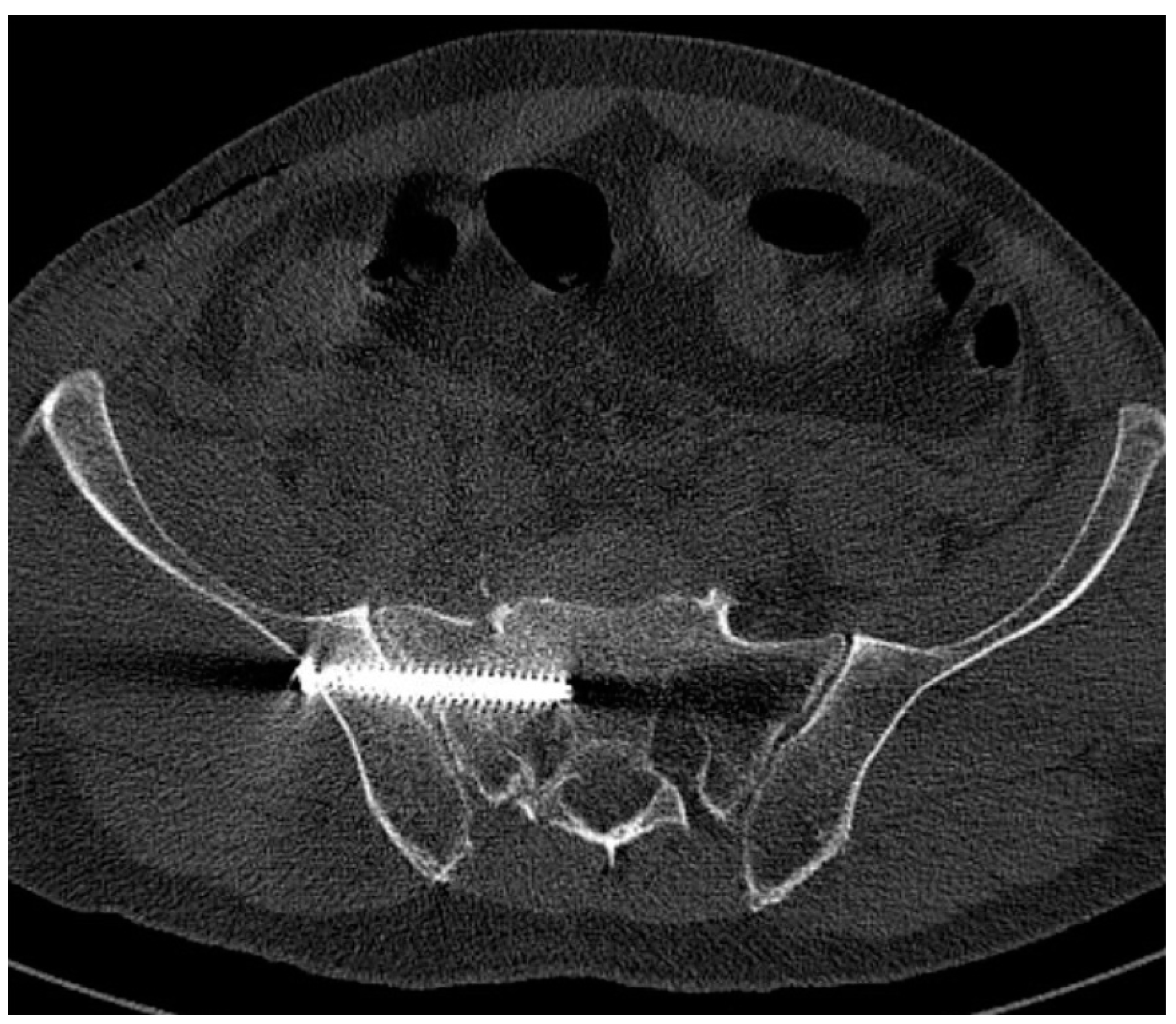
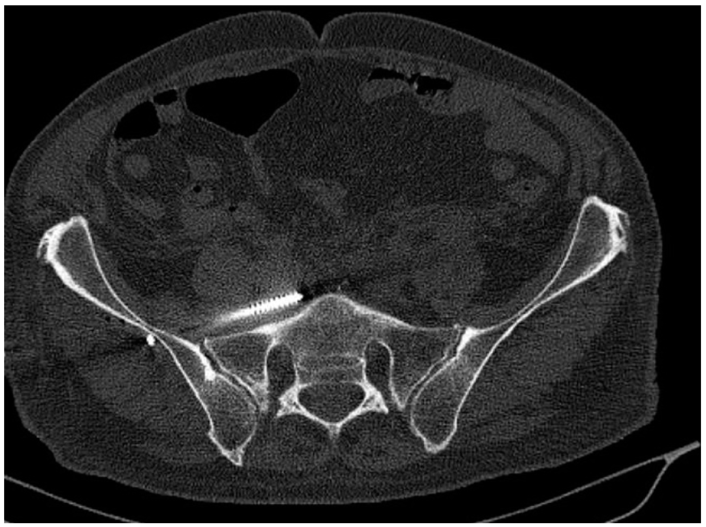
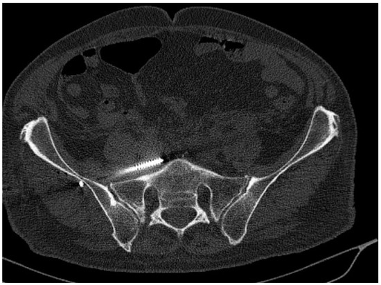
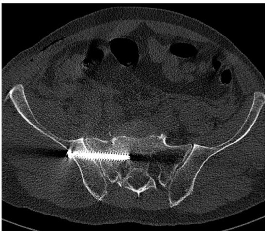
3.2. Number, Localization, and Correct Position of Fixation Screws
3.3. Operative Time
4. Discussion
4.1. Visualization
4.2. Screw Positioning
4.3. Radiation
4.4. Operative Time
4.5. Power Calculation
5. Conclusions
Author Contributions
Funding
Institutional Review Board Statement
Informed Consent Statement
Data Availability Statement
Conflicts of Interest
References
- Melhem, E.; Riouallon, G.; Habboubi, K.; Gabbas, M.; Jouffroy, P. Epidemiology of pelvic and acetabular fractures in France. Orthop. Traumatol. Surg. Res. 2020, 106, 831–839. [Google Scholar] [CrossRef] [PubMed]
- Bakhshayesh, P.; Weidenhielm, L.; Enocson, A. Factors affecting mortality and reoperations in high-energy pelvic fractures. Eur. J. Orthop. Surg. Traumatol. 2018, 28, 1273–1282. [Google Scholar] [CrossRef] [PubMed] [Green Version]
- Routt, M.L., Jr.; Kregor, P.J.; Simonian, P.T.; Mayo, K.A. Early results of percutaneous iliosacral screws placed with the patient in the supine position. J. Orthop. Trauma 1995, 9, 207–214. [Google Scholar] [CrossRef]
- Wenning, K.E.; Yilmaz, E.; Schildhauer, T.A.; Hoffmann, M.F. Comparison of lumbopelvic fixation and iliosacral screw fixation for the treatment of bilateral sacral fractures. J. Orthop. Surg. Res. 2021, 16, 604. [Google Scholar] [CrossRef]
- Kellam, J.F.; Mc Murtry, R.Y.; Paley, D.; Tile, M. The unstable pelvic fractue. Operative treatment. Orthop. Clin. N. Am. 1987, 18, 25–41. [Google Scholar]
- Matta, J.M.; Saucedo, T. Internal fixation of pelvic ring fractures. Clin. Orthop. Relat. Res. 1989, 242, 83–97. [Google Scholar] [CrossRef]
- Jaeblon, T.; Perry, K.J.; Kufera, J.A. Waist-Hip Ratio Surrogate Is More Predictive Than Body Mass Index of Wound Complications After Pelvic and Acetabulum Surgery. J. Orthop. Trauma 2018, 32, 167–173. [Google Scholar] [CrossRef]
- Boudissa, M.; Carmagnac, D.; Kerschbaumer, G.; Ruatti, S.; Tonetti, J. Screw Misplacement in Percutaneous Posterior Pelvic Iliosacral Screwing with and without Navigation: A Prospective Clinical Study of 174 Screws in 127 Patients. J. Orthop. Traumatol. Surg. Res. 2022, 103213. [Google Scholar] [CrossRef]
- San Miguel-Ruiz, J.E.; Polly, D.; Albersheim, M.; Sembrano, J.; Takahashi, T.; Lender, P.; Martin, C.T. Is the Implant in Bone? The Accuracy of CT and Fluoroscopic Imaging for Detecting Malpositioned Pelvic Screw and SI Fusion Implants. Iowa Orthop. J. 2021, 41, 89–94. [Google Scholar]
- Tonetti, J.; Boudissa, M.; Kerschbaumer, G.; Seurat, O. Role of 3D intraoperative imaging in orthopedic and trauma surgery. Orthop. Traumatol. Surg. Res. 2019, 106, S19–S25. [Google Scholar] [CrossRef]
- Quade, J.; Busel, G.; Beebe, M.; Auston, D.; Shah, A.R.; Infante, A.; Maxson, B.; Watson, D.; Sanders, R.W.; Mir, H.R. Symptomatic Iliosacral Screw Removal After Pelvic Trauma-Incidence and Clinical Impact. J. Orthop. Trauma 2019, 33, 351–353. [Google Scholar] [CrossRef] [PubMed]
- Berger-Groch, J.; Lueers, M.; Rueger, J.M.; Lehmann, W.; Thiesen, D.; Kolb, J.P.; Hartel, M.J.; Grossterlinden, L.G. Accuracy of navigated and conventional iliosacral screw placement in B- and C-type pelvic ring fractures. Eur. J. Trauma Emerg. Surg. 2020, 46, 107–113. [Google Scholar] [CrossRef] [PubMed]
- Maslow, J.; Collinge, C.A. Risks to the Superior Gluteal Neurovascular Bundle During Iliosacral and Transsacral Screw Fixation: A Computed Tomogram Arteriography Study. J. Orthop. Trauma 2017, 31, 640–643. [Google Scholar] [CrossRef]
- Giannoudis, P.V.; Papadokostakis, G.; Alpantaki, K.; Kontakis, G.; Chalidis, B. Is the lateral fluoroscopic view essential for accurate percutaneous sacroiliac screw Insertion? An experimental study. Injury 2008, 39, 875–880. [Google Scholar] [CrossRef] [PubMed]
- Smith, H.E.; Yuan, P.S.; Sasso, R.; Papdopolous, S.; Vaccaro, A.R. An evaluation of image-guided technologies in the placement of perutaneous iliosacral screw. Spine (Phila PA 1976) 2006, 32, 234–238. [Google Scholar] [CrossRef] [PubMed]
- Verbeek, J.; Hermans, E.; van Vugt, A.; Frolke, J.P. Correct position-ing of percutaneous iliosacral screw with computer-navigated versus fluoro-scopically guided surgery in traumatic pelvic ring fractures. J. Orthop. Trauma 2016, 30, 331–335. [Google Scholar]
- Araiza, E.T.; Medda, S.; Plate, J.F.; Marquez-Lara, A.; Trammell, A.P.; Aran, F.S.; Lara, D.; Danelson, K.; Halvorson, J.J.; Carroll, E.A.; et al. Comparing the Efficiency, Radiation Exposure, and Accuracy Using C-Arm versus O-Arm With 3D Navigation in Placement of Transiliac-Transsacral and Iliosacral Screws: A Cadaveric Study Evaluating an Early Career Surgeon. J. Orthop. Trauma 2020, 34, 302–306. [Google Scholar] [CrossRef]
- Mendel, T.; Hoser, H.; Wohlrab, D.; Stock, K.; Radetzki, F. The lateral sacral triangle—A decision suport for secure transverse sacroiliac screw insertion. Injury 2011, 42, 1164–1170. [Google Scholar] [CrossRef]
- Eastman, J.G.; Routt, M., Jr. Correlating preoperative imaging with intraoperative fluoroscopy in iliosacral screw placement. J. Orthop. Traumatol. 2015, 16, 309–316. [Google Scholar] [CrossRef] [Green Version]
- Miller, A.; Routt, M., Jr. Variations of sacral morphology and implications for ili-osacral screw fixation. Am. Acad. Orthop. Surg. 2012, 20, 8–16. [Google Scholar] [CrossRef]
- Routt, M.L.; Simonian, P.T.; Agnew, S.G.; Mann, S.A. Radiographic recognition of the sacral alar slope for optimal placement of iliosacral screws. A cadaveric and clinical study. J. Orthop. Trauma 1996, 10, 171–177. [Google Scholar] [PubMed]
- Moed, B.; Geer, B. S2 iliosacral screw fixation for disruptions of the posterior pelvic ring: A report of 49 cases. J. Orthop. Trauma 2006, 20, 378–383. [Google Scholar] [CrossRef] [PubMed]
- Zwingmann, J.; Sudkamp, N.P.; Konig, B.; Culemann, U.; Pohlemann, T.; Ahgayev, E.; Schmal, H. Intra- and postoperative complications of navigated and conventional techniques in percutaneous iliosacral screw fixation after pelvic fractures: Results from German Pelvic Trauma Registry. Injury 2013, 44, 1756–1772. [Google Scholar] [CrossRef] [PubMed]
- Van den Bosch, E.W.; van Zwienen, C.M.; van Vugt, A.B. Fluoroscopic positioning of sacroiliac screws in 88 patients. J. Trauma 2002, 53, 44–48. [Google Scholar] [CrossRef] [Green Version]
- Gras, F.; Marintschev, I.; Wilharm, A.; Klos, K.; Mückley, T.; Hofmann, G.O. 2D-fluoroscopic navigated percutaneous screw fixation of pelvic ring injuries—A case series. BMC Musculoskelet. Disord. 2010, 11, 153. [Google Scholar] [CrossRef] [Green Version]
- Ebraheim, N.A.; Haman, S.P.; Xu, R.; Stanescu, S.; Yeasting, R.A. The lumbosacral nerves in relation to dorsal S1 screw placement and their location on plain radiographs. Orthopedics 2000, 23, 245–247. [Google Scholar] [CrossRef]
- Day, A.C.; Stott, P.M.; Boden, R.A. The accuracy of computer-assisted percutaneous iliosacral screw placement. Clin. Orthop. Relat. Res. 2007, 463, 179–186. [Google Scholar] [CrossRef]
- Rommens, P.M.; Nolte, E.M.; Hopf, J.; Wagner, D.; Hofmann, A.; Hessmann, M. Safety and efficacy of 2D-fluoroscopy-based iliosacral screw osteosynthesis: Results of a retrospective monocentric study. Eur. J. Trauma Emerg. Surg. 2021, 47, 1687–1698. [Google Scholar] [CrossRef] [Green Version]
- Theologis, A.A.; Burch, S.; Pekmezci, M. Placement of iliosacral screw using 3D image-guided (O-Arm) technology and Stealth Navigation. Bone Jt. J. 2016, 98, 696–702. [Google Scholar] [CrossRef]





Publisher’s Note: MDPI stays neutral with regard to jurisdictional claims in published maps and institutional affiliations. |
© 2022 by the authors. Licensee MDPI, Basel, Switzerland. This article is an open access article distributed under the terms and conditions of the Creative Commons Attribution (CC BY) license (https://creativecommons.org/licenses/by/4.0/).
Share and Cite
Kułakowski, M.; Reichert, P.; Elster, K.; Witkowski, J.; Ślęczka, P.; Morasiewicz, P.; Oleksy, Ł.; Królikowska, A. Differences in Accuracy and Radiation Dose in Placement of Iliosacral Screws: Comparison between 3D and 2D Fluoroscopy. J. Clin. Med. 2022, 11, 1466. https://doi.org/10.3390/jcm11061466
Kułakowski M, Reichert P, Elster K, Witkowski J, Ślęczka P, Morasiewicz P, Oleksy Ł, Królikowska A. Differences in Accuracy and Radiation Dose in Placement of Iliosacral Screws: Comparison between 3D and 2D Fluoroscopy. Journal of Clinical Medicine. 2022; 11(6):1466. https://doi.org/10.3390/jcm11061466
Chicago/Turabian StyleKułakowski, Michał, Paweł Reichert, Karol Elster, Jarosław Witkowski, Paweł Ślęczka, Piotr Morasiewicz, Łukasz Oleksy, and Aleksandra Królikowska. 2022. "Differences in Accuracy and Radiation Dose in Placement of Iliosacral Screws: Comparison between 3D and 2D Fluoroscopy" Journal of Clinical Medicine 11, no. 6: 1466. https://doi.org/10.3390/jcm11061466
APA StyleKułakowski, M., Reichert, P., Elster, K., Witkowski, J., Ślęczka, P., Morasiewicz, P., Oleksy, Ł., & Królikowska, A. (2022). Differences in Accuracy and Radiation Dose in Placement of Iliosacral Screws: Comparison between 3D and 2D Fluoroscopy. Journal of Clinical Medicine, 11(6), 1466. https://doi.org/10.3390/jcm11061466

