Oral Manifestations and Maxillo-Facial Features in the Acromegalic Patient: A Literature Review
Abstract
1. Introduction
2. Methods
3. Acromegaly
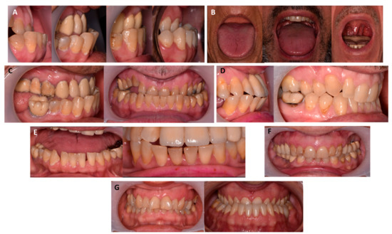
4. Oral Manifestations and Maxillo-Facial Features
5. Conclusions
Author Contributions
Funding
Institutional Review Board Statement
Informed Consent Statement
Data Availability Statement
Conflicts of Interest
References
- Chanson, P.; Salenave, S. Acromegaly. Orphanet J. Rare Dis. 2008, 3, 17. [Google Scholar] [CrossRef] [PubMed]
- Valkusz, Z.; Tóth, M.; Boda, J.; Nagy, E.; Julesz, J. Az acromegalia korai felismerésének jelentosége. Orv. Hetil. 2011, 152, 696–702. [Google Scholar] [CrossRef] [PubMed]
- Colao, A.; Grasso, L.F.S.; Giustina, A.; Melmed, S.; Chanson, P.; Pereira, A.M.; Pivonello, R. Acromegaly. Nat. Rev. Dis. Primers 2019, 5, 20. [Google Scholar] [CrossRef] [PubMed]
- Scheithauer, B.W.; Kovacs, K.; Randall, R.V.; Horvath, E.; Laws, E.R. 10 Pathology of excessive production of growth hormone. Clin. Endocrinol. Metab. 1986, 15, 655–681. [Google Scholar] [CrossRef]
- de Herder, W.W. The History of Acromegaly. Neuroendocrinology 2016, 103, 7–17. [Google Scholar] [CrossRef]
- Vilar, L.; Vilar, C.F.; Lyra, R.; Lyra, R.; Naves, L.A. Acromegaly: Clinical features at diagnosis. Pituitary 2017, 20, 22–32. [Google Scholar] [CrossRef]
- Dineen, R.; Stewart, P.M.; Sherlock, M. Acromegaly. QJM 2017, 110, 411–420. [Google Scholar]
- Zahr, R.; Fleseriu, M. Updates in Diagnosis and Treatment of Acromegaly. Eur. Endocrinol. 2018, 14, 57. [Google Scholar] [CrossRef]
- Chanson, P.; Salenave, S.; Kamenicky, P.; Cazabat, L.; Young, J. Acromegaly. Best Pract. Res. Clin. Endocrinol. Metab. 2009, 23, 555–574. [Google Scholar] [CrossRef]
- Guo, X.; Wang, K.; Yu, S.; Gao, L.; Wang, Z.; Zhu, H.; Xing, B.; Zhang, S.; Dong, D. Patient Characteristics, Diagnostic Delays, Treatment Patterns, Treatment Outcomes, Comorbidities, and Treatment Costs of Acromegaly in China: A Nationwide Study. Front. Endocrinol. 2020, 11, 932. [Google Scholar] [CrossRef]
- Akirov, A.; Asa, S.L.; Amer, L.; Shimon, I.; Ezzat, S. The Clinicopathological Spectrum of Acromegaly. J. Clin. Med. 2019, 8, 1962. [Google Scholar] [CrossRef] [PubMed]
- Beckers, A.; Petrossians, P.; Hanson, J.; Daly, A.F. The causes and consequences of pituitary gigantism. Nat. Rev. Endocrinol. 2018, 14, 705–720. [Google Scholar] [CrossRef]
- Scacchi, M.; Cavagnini, F.; Scacchi, M.; Cavagnini, F. Acromegaly. Pituitary 2006, 9, 297–303. [Google Scholar] [CrossRef] [PubMed]
- Daly, A.F.; Rixhon, M.; Adam, C.; Dempegioti, A.; Tichomirowa, M.A.; Beckers, A. High prevalence of pituitary adenomas: A cross-sectional study in the province of Liège, Belgium. J. Clin. Endocrinol. Metab. 2006, 91, 4769–4775. [Google Scholar] [CrossRef] [PubMed]
- Ramírez, C.; Hernández-Ramirez, L.C.; Espinosa-De-Los-Monteros, A.L.; Franco, J.M.; Guinto, G.; Mercado, M. Ectopic acromegaly due to a GH-secreting pituitary adenoma in the sphenoid sinus: A case report and review of the literature. BMC Res. Notes 2013, 6, 411. [Google Scholar] [CrossRef] [PubMed]
- Gigantism and Acromegaly-StatPearls-NCBI Bookshelf. Available online: https://www.ncbi.nlm.nih.gov/books/NBK538261 (accessed on 30 January 2022).
- Mete, O.; Lopes, M.B. Overview of the 2017 WHO Classification of Pituitary Tumors. Endocr. Pathol. 2017, 28, 228–243. [Google Scholar] [CrossRef]
- Gadelha, M.R.; Kasuki, L.; Korbonits, M. The genetic background of acromegaly. Pituitary 2017, 20, 10–21. [Google Scholar] [CrossRef]
- Kreitschmann-Andermahr, I.; Kohlmann, J.; Kleist, B.; Hirschfelder, U.; Buslei, R.; Buchfelder, M.; Siegel, S. Oro-dental pathologies in acromegaly. Endocrine 2018, 60, 323–328. [Google Scholar] [CrossRef] [PubMed]
- Agrawal, M.; Maitin, N.; Rastogi, K.; Bhushan, R. Seeing the unseen: Diagnosing acromegaly in a dental setup. BMJ Case Rep. 2013, 2013, bcr2013200266. [Google Scholar] [CrossRef] [PubMed]
- Prencipe, N.; Floriani, I.; Guaraldi, F.; di Giacomo, S.V.; Cannavo, S.; Arnaldi, G.; Berton, A.; Torri, V.; Spinello, M.; Arvat, E.; et al. ACROSCORE: A new and simple tool for the diagnosis of acromegaly, a rare and underdiagnosed disease. Clin. Endocrinol. 2016, 84, 380–385. [Google Scholar] [CrossRef]
- Roumeau, S.; Thevenon, J.; Ouchchane, L.; Maqdasy, S.; Batisse-Lignier, M.; Duale, C.; Dang, N.P.; Caron, P.; Tauveron, I.; Devoize, L. Assessment of oro-dental manifestations in a series of acromegalic patients, the acrodent study. Endocr. Connect. 2020, 9, 824–833. [Google Scholar] [CrossRef] [PubMed]
- Kashyap, R.R.; Babu, G.S.; Shetty, S.R. Dental patient with acromegaly: A case report. J. Oral Sci. 2011, 53, 133–136. [Google Scholar] [CrossRef] [PubMed]
- John, H.; Jayalekshmy, R.; Mahesh, B.S.; Padmashree, S.; Rema, J. Acromegaly: Oral Diagnostician’s Role in Diagnosis: A Case Report. IJSS Case Rep. Rev. 2016, 2, 8–11. [Google Scholar]
- Abreu, A.; Tovar, A.P.; Castellanos, R.; Valenzuela, A.; Giraldo, C.M.G.; Pinedo, A.C.; Guerrero, D.B.; Barrera, C.A.B.; Franco, H.I.; Ribeiro-Oliveira, A.; et al. Challenges in the diagnosis and management of acromegaly: A focus on comorbidities. Pituitary 2016, 19, 448–457. [Google Scholar] [CrossRef]
- Dostálová, S.; Šonka, K.; Šmahel, Z.; Weiss, V.; Marek, J. Cephalometric assessment of cranial abnormalities in patients with acromegaly. J. Cranio-Maxillofac. Surg. 2003, 31, 80–87. [Google Scholar] [CrossRef]
- Atreja, G.; Jain, N.; Atreja, S.H.; Sukhija, U. Oral manifestations in growth hormone disorders. Indian J. Endocrinol. Metab. 2012, 16, 381–383. [Google Scholar] [CrossRef]
- Tonetti, M.S.; Greenwell, H.; Kornman, K.S. Staging and grading of periodontitis: Framework and proposal of a new classification and case definition. J. Periodontol. 2018, 89, S159–S172. [Google Scholar] [CrossRef]
- Weinberger, A. The clinical significance of hypercementosis. Oral Surg. Oral Med. Oral Pathol. 1954, 7, 79–87. [Google Scholar] [CrossRef]
- Karakis, D.; Aktas-Yilmaz, B.; Dogan, A.; Yetkin, I.; Bek, B. The bite force and craniofacial morphology in patients with acromegaly: A pilot study. Med. Oral Patol. Oral Cir. Bucal 2014, 19, e1–e7. [Google Scholar] [CrossRef]
- Manetti, L.; Bogazzi, F.; Brogioni, S.; Grasso, L.; Lupi, I.; Genovesi, M.; Cecconi, E.; Gasperi, M.; Martino, E. Submandibular salivary gland volume is increased in patients with acromegaly. Clin. Endocrinol. 2002, 57, 97–100. [Google Scholar] [CrossRef]
- Thomson, J.A.; McCrossan, J.; Mason, D.K. Salivary Gland Enlargement In Acromegaly. Clin. Endocrinol. 1974, 3, 1–4. [Google Scholar] [CrossRef]
- Sober, A.J.; Gorden, P.; Roth, J.; Avruskin, T.W. Visceromegaly in Acromegaly: Evidence that Clinical Hepatomegaly or Splenomegaly (but not Sialomegaly) Are Manifestations of a Second Disease. Arch. Intern. Med. 1974, 134, 415–417. [Google Scholar] [CrossRef] [PubMed]
- Mandel, L.; Zeng, Q.; Silberthau, K.R. Parotid Gland Enlargement in Acromegaly: A Case Report of This Rare Finding. J. Oral Maxillofac. Surg. 2020, 78, 564–567. [Google Scholar] [CrossRef] [PubMed]
- Pantanetti, P.; Sonino, N.; Arnaldi, G.; Boscaro, M. Self image and quality of life in acromegaly. Pituitary 2002, 5, 17–19. [Google Scholar] [CrossRef]
- Kasuki, L.; Da, P.; Rocha, S.; Lamback, E.B.; Gadelha, M.R. Determinants of morbidities and mortality in acromegaly. Arch. Endocrinol. Metab. 2019, 63, 630–637. [Google Scholar] [CrossRef] [PubMed]
- Jayasena, C.N.; Comninos, A.N.; Clarke, H.; Donaldson, M.; Meeran, K.; Dhillo, W.S. The effects of long-term growth hormone and insulin-like growth factor-1 exposure on the development of cardiovascular, cerebrovascular and metabolic co-morbidities in treated patients with acromegaly. Clin. Endocrinol. 2011, 75, 220–225. [Google Scholar] [CrossRef]
- Pivonello, R.; Auriemma, R.S.; Grasso, L.F.S.; Pivonello, C.; Simeoli, C.; Patalano, R.; Galdiero, M.; Colao, A. Complications of acromegaly: Cardiovascular, respiratory and metabolic comorbidities. Pituitary 2017, 20, 46–62. [Google Scholar] [CrossRef]
- Colao, A.; Ferone, D.; Marzullo, P.; Lombardi, G. Systemic Complications of Acromegaly: Epidemiology, Pathogenesis, and Management. Endocr. Rev. 2004, 25, 102–152. [Google Scholar] [CrossRef] [PubMed]
- Gadelha, M.R.; Kasuki, L.; Lim, D.S.T.; Fleseriu, M. Systemic Complications of Acromegaly and the Impact of the Current Treatment Landscape: An Update. Endocr. Rev. 2018, 40, 268–332. [Google Scholar] [CrossRef]
- Cozzi, R.; Ambrosio, M.R.; Attanasio, R.; Bozzao, A.; De Marinis, L.; De Menis, E.; Guastamacchia, E.; Lania, A.; Lasio, G.; Logoluso, F.; et al. Italian Association of Clinical Endocrinologists (AME) and Italian AACE Chapter Position Statement for Clinical Practice: Acromegaly-Part 1: Diagnostic and Clinical Issues. Endocr. Metab. Immune Disord.-Drug Targets 2020, 20, 1133–1143. [Google Scholar] [CrossRef]
- Herrmann, B.L.; Mortsch, F.; Berg, C.; Weischer, T.; Mohr, C.; Mann, K. Acromegaly: A Cross-Sectional Analysis of the Oral and Maxillofacial Pathologies. Exp. Clin. Endocrinol. Diabetes 2011, 119, 9–14. [Google Scholar] [CrossRef] [PubMed]
- Tuncer, B.B.; Bavbek, N.C.; Ozkan, C.; Tuncer, C.; Altinova, A.E.; Gungor, K.; Akturk, M.; Toruner, F.B. Craniofacial and pharyngeal airway morphology in patients with acromegaly. Acta Odontol. Scand. 2015, 73, 433–440. [Google Scholar] [CrossRef] [PubMed]
- Takakura, M.; Kuroda, T. Morphologic analysis of dentofacial structure in patients with acromegaly. Int. J. Adult Orthodon. Orthognath. Surg. 1998, 13, 277–288. [Google Scholar] [PubMed]
- Nagaraj, T.; Shruthi, R.; James, L.; Keerthi, I.; Balraj, L.; Goswami, R.D. The size and morphology of sella turcica: A lateral cephalometric study. Radiol. Pathol. Surg. 2015, 1, 3–7. [Google Scholar] [CrossRef]
- Lee, S.-C.; Kuang, S.-H.; Yen, Y.-S.; Wu, T.-Y. Unusual Skeletal Growth of an Adult Patient with Acromegaly: A 12 Year Follow-up After Orthognathic Surgery. Taiwan J. Orthod. 2020, 31, 3. [Google Scholar]
- Kaur, M.; Shailaja, S.; Chandra, S.; Mamatha, B. Acromegaly-A Case Report with Dentist’s Perspectives and Review of Literature. J. Adv. Oral Res. 2012, 3, 11–14. [Google Scholar] [CrossRef]
- Künzler, A.; Farmand, M. Typical changes in the viscerocranium in acromegaly. J. Cranio-Maxillofac. Surg. 1991, 19, 332–340. [Google Scholar] [CrossRef]
- Zarool-Hassan, R.; Conaglen, H.M.; Conaglen, J.V.; Elston, M.S. Symptoms and signs of acromegaly: An ongoing need to raise awareness among healthcare practitioners. J. Prim. Health Care 2016, 8, 157–163. [Google Scholar] [CrossRef]
- Aydin, K.; Cınar, N.; Dagdelen, S.; Erbas, T. Diagnosis of acromegaly: Role of the internist and the other medical professionals. Eur. J. Intern. Med. 2014, 25, e25–e26. [Google Scholar] [CrossRef]
- Keskin, F.E.; Yetkin, D.O.; Ozkaya, H.M.; Haliloglu, O.; Sadri, S.; Gazioglu, N.; Tanrıover, N.; Ak, H.; Hatipoglu, E.; Kadıoglu, P.; et al. The problem of unrecognized acromegaly: Surgeries patients undergo prior to diagnosis of acromegaly. J. Endocrinol. Investig. 2015, 38, 695–700. [Google Scholar] [CrossRef]
- Kohlmann, J.; Starz, D.; Siegel, S.; Schlaffer, S.; Hirschfelder, U.; Buslei, R.; Buchfelder, M.; Kreitschmann-Andermahr, I. Oral and dental symptoms in patients with acromegaly. Exp. Clin. Endocrinol. 2013, 121, P10. [Google Scholar] [CrossRef]
- Preo, G.; De Stefani, A.; Dassie, F.; Wennberg, A.; Vettor, R.; Maffei, P.; Gracco, A.; Bruno, G. The role of the dentist and orthodontist in recognizing oro-facial manifestations of acromegaly: A questionnaire-based study. Pituitary 2022, 25, 159–166. [Google Scholar] [CrossRef] [PubMed]



| Symptoms/Signs | Diagnosis | Possible Treatments |
|---|---|---|
| Third-class malocclusion | Dental evaluation | No treatment or orthodontic treatment—if necessary, orthodontic-surgical treatment—in the inactive phase of the disease |
| Dental diastema | Dental evaluation | Possible conservative treatment in any phase of the disease, or orthodontic treatment, preferably not in the active phase of the disease |
| Macroglossia | Mallampati or Modified-Mallampati evaluation | Medical therapy for the control of acromegalic syndrome; possible surgical or conservative treatment of OSAS with special dental appliances |
| Osseous tori or exostoses | Dental evaluation | No treatment; surgical treatment in the event that the exostoses hinder the insertion of dental prostheses |
| Incongruity of mobile prostheses or implant-based prostheses, and possible breakage | Dental evaluation | Adjustment of the prosthetic bases or replacement of the same; in case of prostheses fixed on implants, verification and possible adjustment of the intraosseous pillars, preferably not in the active phase of the disease |
| Frontal elements inclination | Orthodontic evaluation | No treatment or orthodontic treatment in the inactive phase of the disease |
| Hypercementosis | Fortuitous, following routine radiographic examinations | No treatment |
| Clicks and TMJ pains | Dental and gnatologic evaluation, radiographic deepening with RM | Functional treatment with gymnastics for the temporomandibular joint or application of a customized bite The BruxApp app can be adopted under the control of the dentist to monitor and correct incorrect or flawed positions maintained during the day by the patient and to guide postural re-education |
| Thickening of gingival tissues | Dental evaluation | No treatment or surgical treatment in the inactive phase of the disease |
Publisher’s Note: MDPI stays neutral with regard to jurisdictional claims in published maps and institutional affiliations. |
© 2022 by the authors. Licensee MDPI, Basel, Switzerland. This article is an open access article distributed under the terms and conditions of the Creative Commons Attribution (CC BY) license (https://creativecommons.org/licenses/by/4.0/).
Share and Cite
De Stefani, A.; Dassie, F.; Wennberg, A.; Preo, G.; Muneratto, A.; Fabris, R.; Maffei, P.; Gracco, A.; Bruno, G. Oral Manifestations and Maxillo-Facial Features in the Acromegalic Patient: A Literature Review. J. Clin. Med. 2022, 11, 1092. https://doi.org/10.3390/jcm11041092
De Stefani A, Dassie F, Wennberg A, Preo G, Muneratto A, Fabris R, Maffei P, Gracco A, Bruno G. Oral Manifestations and Maxillo-Facial Features in the Acromegalic Patient: A Literature Review. Journal of Clinical Medicine. 2022; 11(4):1092. https://doi.org/10.3390/jcm11041092
Chicago/Turabian StyleDe Stefani, Alberto, Francesca Dassie, Alexandra Wennberg, Giorgia Preo, Alice Muneratto, Roberto Fabris, Pietro Maffei, Antonio Gracco, and Giovanni Bruno. 2022. "Oral Manifestations and Maxillo-Facial Features in the Acromegalic Patient: A Literature Review" Journal of Clinical Medicine 11, no. 4: 1092. https://doi.org/10.3390/jcm11041092
APA StyleDe Stefani, A., Dassie, F., Wennberg, A., Preo, G., Muneratto, A., Fabris, R., Maffei, P., Gracco, A., & Bruno, G. (2022). Oral Manifestations and Maxillo-Facial Features in the Acromegalic Patient: A Literature Review. Journal of Clinical Medicine, 11(4), 1092. https://doi.org/10.3390/jcm11041092

