Clinical Differences in c-Myc Expression in Early-Stage Gastric Neoplasia: A Retrospective Study Based on the WHO Classification
Abstract
:1. Introduction
2. Materials and Methods
2.1. Study Design
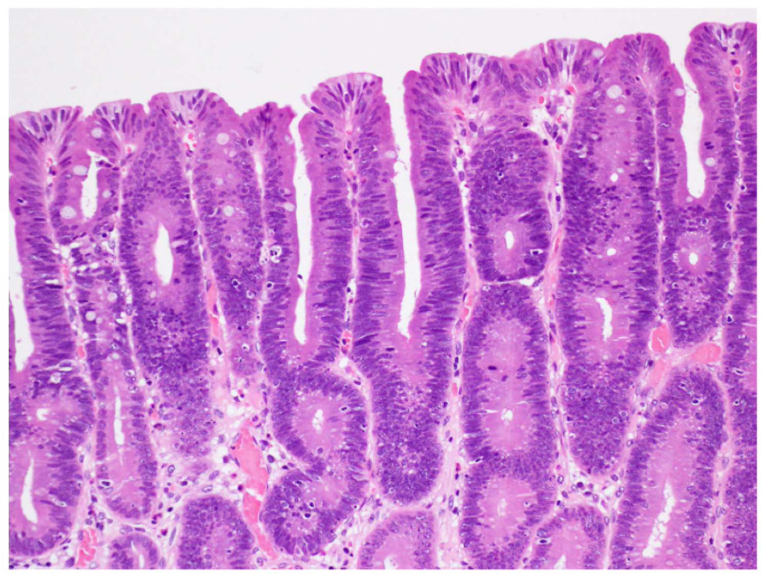
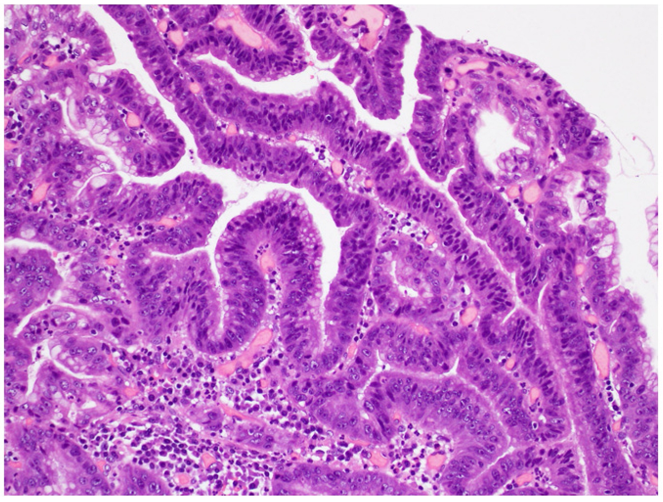
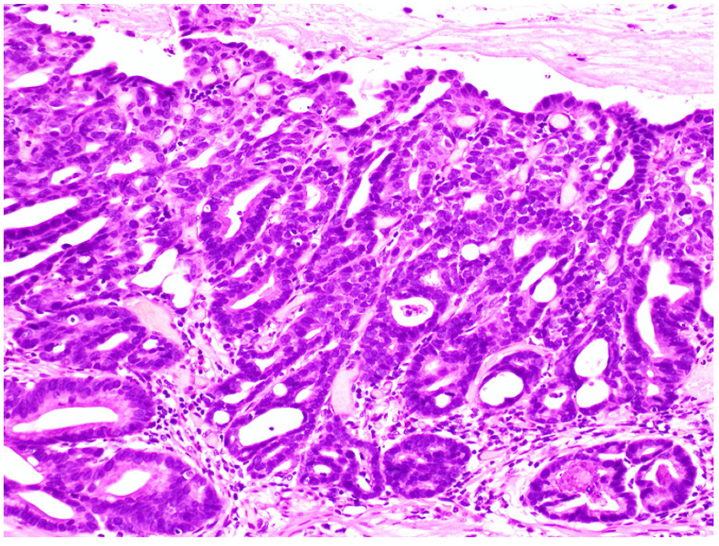
2.1.1. Patients
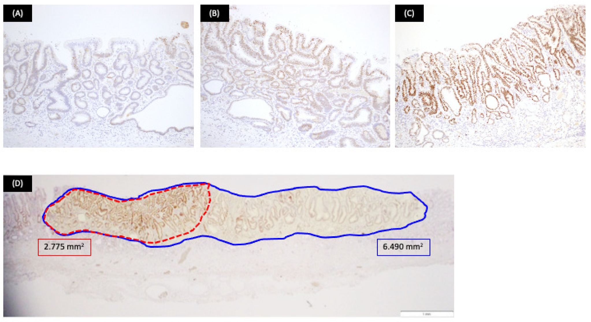
2.1.2. Immunohistochemistry
2.1.3. Statistical Analysis
3. Results
3.1. Clinical Pathological Evaluation
3.2. Hierarchical Cluster Analysis
4. Discussion
5. Conclusions
Author Contributions
Funding
Institutional Review Board Statement
Informed Consent Statement
Data Availability Statement
Acknowledgments
Conflicts of Interest
References
- Cancer Genome Atlas Research Network. Comprehensive Molecular Characterization of Gastric Adenocarcinoma. Nature 2014, 513, 202–209. [Google Scholar] [CrossRef] [Green Version]
- The WHO Classification Tumours Editorial Board. WHO Classification of Tumours: Digestive System Tumours, 5th ed.; IARC Press: Lyon, France, 2019. [Google Scholar]
- Arakawa, N.; Sugai, T.; Habano, W.; Eizuka, M.; Sugimoto, R.; Akasaka, R.; Toya, Y.; Yamamoto, E.; Koeda, K.; Sasaki, A.; et al. Genome-wide analysis of DNA copy number alterations in early and advanced gastric cancers. Mol. Carcinog. 2017, 56, 527–537. [Google Scholar] [CrossRef]
- Sugai, T.; Eizuka, M.; Arakawa, N.; Osakabe, M.; Habano, W.; Fujita, Y.; Yamamoto, E.; Yamano, H.; Endoh, M.; Matsumoto, T.; et al. Molecular profiling and comprehensive genome-wide analysis of somatic copy number alterations in gastric intramucosal neoplasias based on microsatellite status. Gastric Cancer 2018, 21, 765–775. [Google Scholar] [CrossRef] [Green Version]
- Dang, C.V. MYC on the Path to Cancer. Cell 2012, 149, 22–35. [Google Scholar] [CrossRef] [Green Version]
- Eilers, M.; Eisenman, R.N. Myc’s Broad Reach. Genes Dev. 2008, 22, 2755–2766. [Google Scholar] [CrossRef] [Green Version]
- Japanese Gastric Cancer Association. Japanese Classification of Gastric Carcinoma, 15th ed.; Kanehara Shuppan: Tokyo, Japan, 2017. (In Japanese) [Google Scholar]
- Chiurillo, M.A. Role of the Wnt/β-catenin pathway in gastric cancer: An in-depth literature review. World J. Exp. Med. 2015, 5, 84–102. [Google Scholar] [CrossRef]
- Oliveira, L.A.; Oshima, C.T.F.; Soffner, P.A.; Silva, M.S.; Lins, R.R.; Malinverni, A.C.M.; Waisberg, J. The Canonical Wnt Pathway in Gastric Carcinoma. Arq. Bras. Cir. Dig. 2019, 32, e1414. [Google Scholar] [CrossRef]
- Schneider, C.A.; Rasband, W.S.; Eliceiri, K.W. NIH Image to ImageJ: 25 Years of image analysis. Nat. Methods 2012, 9, 671–675. [Google Scholar] [CrossRef]
- Kanda, Y. Investigation of the Freely Available Easy-to-Use Software ‘EZR’ for Medical Statistics. Bone Marrow Transplant. 2013, 48, 452–458. [Google Scholar] [CrossRef] [Green Version]
- Lengauer, C.; Kinzler, K.W.; Vogelstein, B. Genetic instability in colorectal cancers. Nature 1997, 386, 623–627. [Google Scholar] [CrossRef]
- Nanki, K.; Toshimitsu, K.; Takano, A.; Fujii, M.; Shimokawa, M.; Ohta, Y.; Matano, M.; Seino, T.; Nishikori, S.; Ishikawa, K.; et al. Divergent Routes toward Wnt and R-spondin Niche Independency during Human Gastric Carcinogenesis. Cell 2018, 174, 856–869.e17. [Google Scholar] [CrossRef] [Green Version]
- Han, S.; Kim, H.Y.; Park, K.; Cho, H.J.; Lee, M.S.; Kim, H.J.; Kim, Y.D. c-Myc expression is related with cell proliferation and associated with poor clinical outcome in human gastric cancer. J. Korean Med. Sci. 1999, 14, 526–530. [Google Scholar] [CrossRef] [Green Version]
- Sanz-Ortega, J.; Steinberg, S.M.; Moro, E.; Saez, M.; Lopez, J.A.; Sierra, E.; Sanz-Esponera, J.; Merino, M.J. Comparative study of tumor angiogenesis and immunohistochemistry for p53, c-ErbB2, c-myc and EGFr as prognostic factors in gastric cancer. Histol. Histopathol. 2000, 15, 455–462. [Google Scholar]
- Xu, A.-G.; Li, S.-G.; Liu, J.-H.; Gan, A.-H. Function of apoptosis and expression of the proteins Bcl-2, p53 and C-myc in the development of gastric cancer. World J. Gastroenterol. 2001, 7, 403–406. [Google Scholar] [CrossRef] [PubMed] [Green Version]
- Ishii, H.H.; Gobé, G.C.; Pan, W.; Yoneyama, J.; Ebihara, Y. Apoptosis and cell proliferation in the development of gastric carcinomas: Associations with c-myc and p53 protein expression. J. Gastroenterol. Hepatol. 2002, 17, 966–972. [Google Scholar] [CrossRef]
- Raiol, L.C.C.; Silva, E.C.F.; da Fonseca, D.M.; Leal, M.F.; Guimarães, A.C.; Calcagno, D.Q.; Khayat, A.S.; Assumpção, P.P.; de Arruda Cardoso Smith, M.; Burbano, R.R. Interrelationship between MYC gene numerical aberrations and protein expression in individuals from northern Brazil with early gastric adenocarcinoma. Cancer Genet. Cytogenet. 2008, 181, 31–35. [Google Scholar] [CrossRef]
- Calcagno, D.Q.; Freitas, V.M.; Leal, M.F.; De Souza, C.R.T.; Demachki, S.; Montenegro, R.C.; Assumpção, P.P.; Khayat, A.S.; de Smith, M.D.A.C.; dos Santos, A.K.C.R.; et al. MYC, FBXW7 and TP53 copy number variation and expression in Gastric Cancer. BMC Gastroenterol. 2013, 13, 141. [Google Scholar] [CrossRef]
- Khaleghian, M.; Jahanzad, I.; Shakoori, A.; Razavi, A.E.; Azimi, C. Association between Amplification and Expression of C-MYC Gene and Clinicopathological Characteristics of Stomach Cancer. Iran. Red Crescent Med. J. 2016, 18, e21221. [Google Scholar] [CrossRef] [Green Version]
- Nakayama, T.; Ling, Z.Q.; Mukaisho, K.; Hattori, T.; Sugihara, H. Lineage Analysis of Early and Advanced Tubular Adenocarcinomas of the Stomach: Continuous or Discontinuous? BMC Cancer 2010, 10, 311. [Google Scholar] [CrossRef] [Green Version]
- Onoda, N.; Maeda, K.; Chung, Y.S.; Yano, Y.; Matsui-Yuasa, I.; Otani, S.; Sowa, M. Overexpression of c-myc messenger RNA in primary and metastatic lesions of carcinoma of the stomach. J. Am. Coll. Surg. 1996, 182, 55–59. [Google Scholar]
- Lin, C.Y.; Lovén, J.; Rahl, P.B.; Paranal, R.M.; Burge, C.B.; Bradner, J.E.; Lee, T.I.; Young, R.A. Transcriptional Amplification in Tumor Cells with Elevated c-Myc. Cell 2012, 151, 56–67. [Google Scholar] [CrossRef] [Green Version]
- Nie, Z.; Hu, G.; Wei, G.; Cui, K.; Yamane, A.; Resch, W.; Wang, R.; Green, D.R.; Tessarollo, L.; Casellas, R.; et al. c-Myc Is a Universal Amplifier of Expressed Genes in Lymphocytes and Embryonic Stem Cells. Cell 2012, 151, 68–79. [Google Scholar] [CrossRef] [PubMed] [Green Version]
- Whitfield, J.; Beaulieu, M.-E.; Soucek, L. Strategies to Inhibit Myc and Their Clinical Applicability. Front. Cell Dev. Biol. 2017, 5, 10. [Google Scholar] [CrossRef] [PubMed] [Green Version]
- Delmore, J.E.; Issa, G.C.; Lemieux, M.E.; Rahl, P.B.; Shi, J.; Jacobs, H.M.; Kastritis, E.; Gilpatrick, T.; Paranal, R.M.; Qi, J.; et al. BET Bromodomain Inhibition as a Therapeutic Strategy to Target c-Myc. Cell 2011, 146, 904–917. [Google Scholar] [CrossRef] [Green Version]
- Lu, J.; Qian, Y.; Altieri, M.; Dong, H.; Wang, J.; Raina, K.; Hines, J.; Winkler, J.D.; Crew, A.P.; Coleman, K.; et al. Hijacking the E3 Ubiquitin Ligase Cereblon to Efficiently Target BRD4. Chem. Biol. 2015, 22, 755–763. [Google Scholar] [CrossRef] [Green Version]





| LGD | HGD | IMA | p Value | |
|---|---|---|---|---|
| Total | 48 | 36 | 16 | |
| Age (range) | 78 (57–87) | 79.5 (62–94) | 78.5 (64–92) | N.S |
| Sex (Man/Woman) | 30/18 | 22/14 | 12/4 | N.S |
| Locus | ||||
| Upper | 13 | 10 | 4 | N.S |
| Middle | 22 | 8 | 6 | N.S |
| Lower | 13 | 18 | 6 | N.S |
| Depth (%) | ||||
| T1a | 48 (100) | 32 (88.9) | 12 (75) | <0.01, N.S, <0.01 |
| T1b | 0 (0) | 4 (11.1) | 4 (25) | <0.01, N.S, <0.01 |
| Macroscopy (%) | ||||
| elevated | 34 (70.8) | 18 (50) | 2 (12.5) | <0.01, N.S, <0.01 |
| depressed | 14 (29.2) | 14 (38.9) | 14 (87.5) | <0.05, N.S, <0.01 |
| Mixed | 0 (0) | 4 (11.1) | 0 (0) | <0.05, <0.01, N.S |
| c-Myc expression (%) | ||||
| positive | 20 (41.7) | 34 (94.4) | 16 (100) | <0.01, <0.01, <0.01 |
| negative | 28 (58.3) | 2 (5.6) | 0 (0) | <0.01, <0.01, <0.01 |
| Subgroup1 | Subgroup2 | Subgroup3 | p Value | |
|---|---|---|---|---|
| Total | 39 | 39 | 22 | |
| Age (range) | 78 (63–93) | 78 (57–94) | 78 (68–88) | N.S |
| Sex (Man/Woman) | 29/10 | 23/16 | 12/10 | N.S |
| Locus (%) | ||||
| Upper | 16 (41) | 10 (25.6) | 2 (9.1) | <0.05, N.S, <0.05 |
| Middle | 8 (20.5) | 16 (41.0) | 12 (54.5) | <0.01, N.S, <0.01 |
| Lower | 15 (38.5) | 13 (33.3) | 8 (36.4) | N.S, N.S, N.S |
| Depth (%) | ||||
| T1a | 33 (84.6) | 37 (94.9) | 22 (100) | <0.05, N.S, N.S |
| T1b | 6 (15.4) | 2 (5.1) | 0 (0) | <0.05, N.S, N.S |
| Macroscopy (%) | ||||
| elevated | 14 (35.9) | 22 (56.4) | 18 (81.8) | <0.01, N.S, <0.01 |
| depressed | 22 (56.4) | 16 (41.0) | 4 (18.2) | <0.05, N.S, <0.05 |
| Mixed | 3 (7.7) | 1 (2.6) | 0 (0) | N.S, N.S, N.S |
| WHO (%) | ||||
| IMA | 14 (35.9) | 2 (5.1) | 0 (0) | <0.01, <0.05, <0.05 |
| HGD | 17 (43.6) | 17 (43.6) | 2 (9.1) | N.S, N.S, <0.01 |
| LGD | 8 (20.5) | 20 (51.3) | 20 (90.9) | <0.01, N.S, <0.01 |
| c-Myc expression (%) | ||||
| positive | 39 (100) | 31 (79.5) | 0 (0) | <0.01, N.S, <0.01 |
| negative | 0 (0) | 8 (20.5) | 22 (100) | <0.01, N.S, <0.01 |
Publisher’s Note: MDPI stays neutral with regard to jurisdictional claims in published maps and institutional affiliations. |
© 2022 by the authors. Licensee MDPI, Basel, Switzerland. This article is an open access article distributed under the terms and conditions of the Creative Commons Attribution (CC BY) license (https://creativecommons.org/licenses/by/4.0/).
Share and Cite
Arakawa, N.; Irisawa, A.; Ishida, K.; Tsunoda, T.; Yamaguchi, Y.; Shibukawa, G.; Eizuka, M.; Tokioka, S.; Wakabayashi, H. Clinical Differences in c-Myc Expression in Early-Stage Gastric Neoplasia: A Retrospective Study Based on the WHO Classification. J. Clin. Med. 2022, 11, 544. https://doi.org/10.3390/jcm11030544
Arakawa N, Irisawa A, Ishida K, Tsunoda T, Yamaguchi Y, Shibukawa G, Eizuka M, Tokioka S, Wakabayashi H. Clinical Differences in c-Myc Expression in Early-Stage Gastric Neoplasia: A Retrospective Study Based on the WHO Classification. Journal of Clinical Medicine. 2022; 11(3):544. https://doi.org/10.3390/jcm11030544
Chicago/Turabian StyleArakawa, Noriyuki, Atsushi Irisawa, Kazuyuki Ishida, Takuya Tsunoda, Yoshiko Yamaguchi, Goro Shibukawa, Makoto Eizuka, Shunzo Tokioka, and Hiroto Wakabayashi. 2022. "Clinical Differences in c-Myc Expression in Early-Stage Gastric Neoplasia: A Retrospective Study Based on the WHO Classification" Journal of Clinical Medicine 11, no. 3: 544. https://doi.org/10.3390/jcm11030544
APA StyleArakawa, N., Irisawa, A., Ishida, K., Tsunoda, T., Yamaguchi, Y., Shibukawa, G., Eizuka, M., Tokioka, S., & Wakabayashi, H. (2022). Clinical Differences in c-Myc Expression in Early-Stage Gastric Neoplasia: A Retrospective Study Based on the WHO Classification. Journal of Clinical Medicine, 11(3), 544. https://doi.org/10.3390/jcm11030544

