Aetiology of Primary Spontaneous Pneumothorax
Abstract
1. Historical Perspective
2. Aetiology of Pneumothorax
2.1. Body Mass Index (BMI)
2.2. Smoking
2.3. Abnormal Underlying Lung
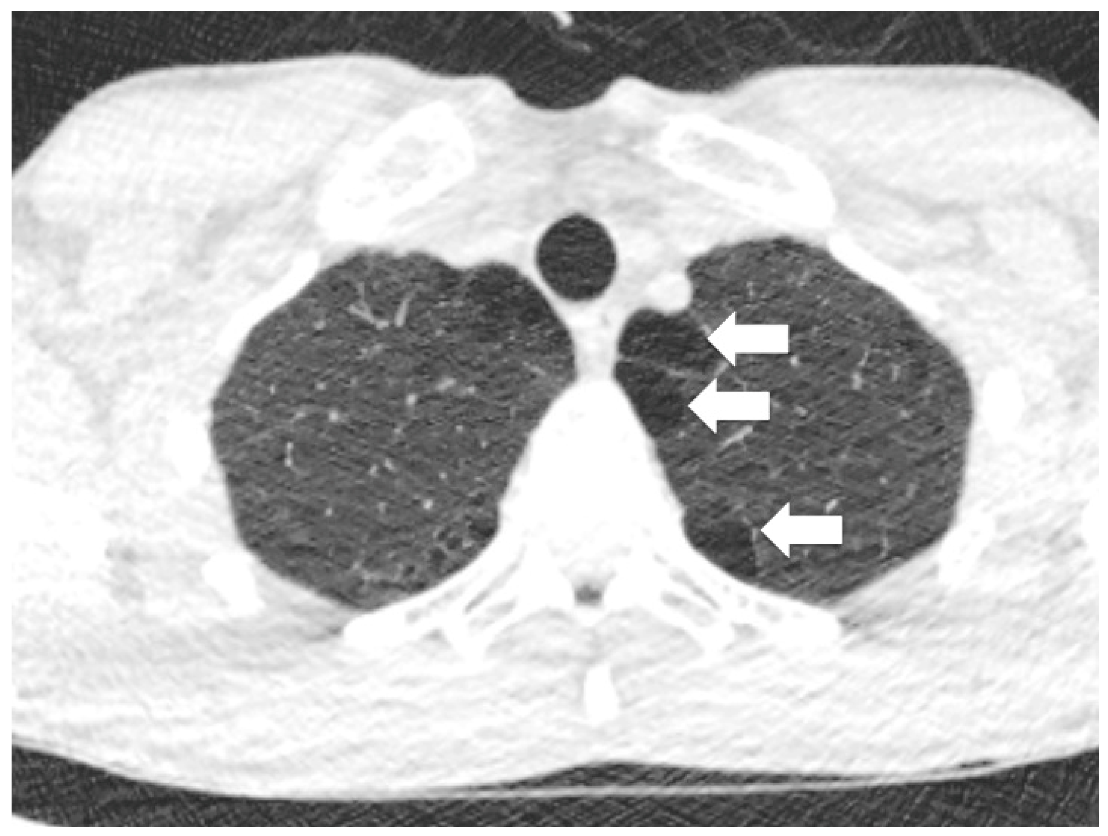
2.4. Blebs and Bullae
2.5. Microscopic Abnormalities—Inflammation
2.6. Pleural Porosity
2.7. Abnormal Elastolysis
2.8. Familial Causes
3. Conclusions
Funding
Institutional Review Board Statement
Informed Consent Statement
Data Availability Statement
Conflicts of Interest
References
- Kaya, S.O.; Karatepe, M.; Tok, T.; Onem, G.; Dursunoglu, N.; Goksin, I. Were Pneumothorax and Its Management Known in 15th-Century Anatolia? Tex. Heart Inst. J. 2009, 36, 152–153. [Google Scholar] [PubMed]
- Laennec, R.; Laennec, M.; Andral, G. Traité de L’auscultation Médiate, et des Maladies des Poumons et du Coeur; Société Typographique Belge: Paris, France, 1937. [Google Scholar]
- Tschopp, J.-M.; Bintcliffe, O.; Astoul, P.; Canalis, E.; Driesen, P.; Janssen, J.; Krasnik, M.; Maskell, N.; Van Schil, P.; Tonia, T.; et al. ERS task force statement: Diagnosis and treatment of primary spontaneous pneumothorax. Eur. Respir. J. 2015, 46, 321–335. [Google Scholar] [CrossRef]
- Bintcliffe, O.J.; Hallifax, R.J.; Edey, A.; Feller-Kopman, D.; Lee, Y.C.G.; Marquette, C.H.; Tschopp, J.-M.; West, D.; Rahman, N.M.; Maskell, N.A. Spontaneous pneumothorax: Time to rethink management? Lancet Respir. Med. 2015, 3, 578–588. [Google Scholar] [CrossRef]
- Sadikot, R.T.; Greene, T.; Meadows, K.; Arnold, A.G. Recurrence of primary spontaneous pneumothorax. Thorax 1997, 52, 805–809. [Google Scholar] [CrossRef] [PubMed]
- Nakamura, H.; Izuchi, R.; Hagiwara, T.; Izumi, S.; Konishiike, J.; Omura, I.; Sakai, S.; Shigematsu, Y.; Akutagawa, M.; Takeno, Y. Physical constitution and smoking habits of patients with idiopathic spontaneous pneumothorax. Jpn. J. Med. 1983, 22, 2–8. [Google Scholar] [CrossRef]
- Fujino, S.; Inoue, S.; Tezuka, N.; Hanaoka, J.; Sawai, S.; Ichinose, M.; Kontani, K. Physical development of surgically treated patients with primary spontaneous pneumothorax. Chest 1999, 116, 899–902. [Google Scholar] [CrossRef] [PubMed]
- Withers, J.N.; Fishback, M.E.; Kiehl, P.V.; Hannon, J.L. Spontaneous pneumothorax: Suggested etiology and comparison of treatment methods. Am. J. Surg. 1964, 108, 772–776. [Google Scholar] [CrossRef][Green Version]
- Bense, L.; Lewander, R.; Eklund, G.; Hedenstierna, G.; Wiman, L.G. Nonsmoking, non-alpha 1-antitrypsin deficiency-induced emphysema in nonsmokers with healed spontaneous pneumothorax, identified by computed tomography of the lungs. Chest 1993, 103, 433–438. [Google Scholar] [CrossRef] [PubMed]
- Walker, S.P.; Bibby, A.C.; Halford, P.; Stadon, L.; White, P.; Maskell, N.A. Recurrence rates in primary spontaneous pneumothorax: A systematic review and meta-analysis. Eur. Respir. J. 2018, 52, 1800864. [Google Scholar] [CrossRef] [PubMed]
- Porcel, J.M.; Lee, P. Thoracoscopy for Spontaneous Pneumothorax. J. Clin. Med. 2021, 10, 3835. [Google Scholar] [CrossRef] [PubMed]
- Miller, W.S. The Pleura (The Lung); Charles C. Thomas: Springfield, IL, USA, 1947. [Google Scholar]
- Reid, L. Bullae (The Pathology of Emphysema); Lloyd-Luke Medical Books: London, UK, 1967. [Google Scholar]
- Lyra, R.D.M. Etiology of primary spontaneous pneumothorax. J. Bras. de Pneumol. 2016, 42, 222–226. [Google Scholar] [CrossRef] [PubMed]
- Amjadi, K.; Alvarez, G.G.; Vanderhelst, E.; Velkeniers, B.; Lam, M.; Noppen, M. The prevalence of blebs or bullae among young healthy adults: A thoracoscopic investigation. Chest 2007, 132, 1140–1145. [Google Scholar] [CrossRef] [PubMed]
- Hansell, D.M.; Bankier, A.A.; MacMahon, H.; McLoud, T.C.; Müller, N.L.; Remy, J. Fleischner Society: Glossary of Terms for Thoracic Imaging. Radiology 2008, 246, 697–722. [Google Scholar] [CrossRef] [PubMed]
- Ohata, M.; Suzuki, H. Pathogenesis of spontaneous pneumothorax. With special reference to the ultrastructure of emphysematous bullae. Chest 1980, 77, 771–776. [Google Scholar] [CrossRef] [PubMed]
- Lichter, I.; Gwynne, J.F. Spontaneous pneumothorax in young subjects. A clinical and pathological study. Thorax 1971, 26, 409–417. [Google Scholar] [CrossRef]
- Cottin, V.; Streichenberger, N.; Gamondès, J.-P.; Thévenet, F.; Loire, R.; Cordier, J.-F. Respiratory bronchiolitis in smokers with spontaneous pneumothorax. Eur. Respir. J. 1998, 12, 702–704. [Google Scholar] [CrossRef]
- Hatz, R.A.; Kaps, M.F.; Meimarakis, G.; Loehe, F.; Müller, C.; Fürst, H. Long-term results after video-assisted thoracoscopic surgery for first-time and recurrent spontaneous pneumothorax. Ann. Thorac. Surg. 2000, 70, 253–257. [Google Scholar] [CrossRef]
- Noppen, M.; Dekeukeleire, T.; Hanon, S.; Stratakos, G.; Amjadi, K.; Madsen, P.; Meysman, M.; D’Haese, J.; Vincken, W. Fluorescein-enhanced autofluorescence thoracoscopy in patients with primary spontaneous pneumothorax and normal subjects. Am. J. Respir. Crit. Care Med. 2006, 174, 26–30. [Google Scholar] [CrossRef] [PubMed]
- Chen, C.-K.; Chen, P.-R.; Huang, H.-C.; Lin, Y.-S.; Fang, H.-Y. Overexpression of Matrix Metalloproteinases in Lung Tissue of Patients with Primary Spontaneous Pneumothorax. Respiration 2014, 88, 418–425. [Google Scholar] [CrossRef]
- Ohbayashi, H. Matrix metalloproteinases in lung diseases. Curr. Protein Pept. Sci. 2002, 3, 409–421. [Google Scholar] [CrossRef]
- Suzuki, R.; Miyazaki, Y.; Takagi, K.; Torii, K.; Taniguchi, H. Matrix metalloproteinases in the pathogenesis of asthma and COPD: Implications for therapy. Treat. Respir. Med. 2004, 3, 17–27. Available online: http://www.ncbi.nlm.nih.gov/pubmed/15174890 (accessed on 14 December 2021). [CrossRef]
- Huang, Y.-F.; Chiu, W.-C.; Chou, S.-H.; Su, Y.-H.; Chen, Y.-W.; Chai, C.-Y.; Huang, C.-J.; Huang, M.-Y.; Yuan, S.-S.; Lee, Y.-C. Association of MMP-2 and MMP-9 expression with recurrences in primary spontaneous pneumothorax. Kaohsiung J. Med. Sci. 2017, 33, 17–23. [Google Scholar] [CrossRef] [PubMed]
- Chen, Y.-W.; Chiu, W.-C.; Chou, S.-H.; Su, Y.-H.; Huang, Y.-F.; Lee, Y.-L.; Yuan, S.-S.; Lee, Y.-C. High Nrf2 expression in alveolar type I pneumocytes is associated with low recurrences in primary spontaneous pneumothorax. Kaohsiung J. Med. Sci. 2017, 33, 496–502. [Google Scholar] [CrossRef] [PubMed]
- Abolnik, I.Z.; Lossos, I.S.; Zlotogora, J.; Brauer, R. On the inheritance of primary spontaneous pneumothorax. Am. J. Med. Genet. 1991, 40, 155–158. [Google Scholar] [CrossRef] [PubMed]
- Ren, H.-Z.; Zhu, C.-C.; Yang, C.; Chen, S.-L.; Xie, J.; Hou, Y.-Y.; Xu, Z.-F.; Wang, D.-J.; Mu, D.-K.; Ma, D.-H.; et al. Mutation analysis of the FLCN gene in Chinese patients with sporadic and familial isolated primary spontaneous pneumothorax. Clin. Genet. 2008, 74, 178–183. [Google Scholar] [CrossRef] [PubMed]
- Loeys, B.L.; Dietz, H.C.; Braverman, A.C.; Callewaert, B.L.; De Backer, J.; Devereux, R.B.; Hilhorst-Hofstee, Y.; Jondeau, G.; Faivre, L.; Milewicz, D.M.; et al. The revised Ghent nosology for the Marfan syndrome. J. Med. Genet. 2010, 47, 476–485. [Google Scholar] [CrossRef]
- Nickerson, M.L.; Warren, M.B.; Toro, J.R.; Matrosova, V.; Glenn, G.; Turner, M.L.; Duray, P.; Merino, M.; Choyke, P.; Pavlovich, C.P.; et al. Mutations in a novel gene lead to kidney tumors, lung wall defects, and benign tumors of the hair follicle in patients with the Birt-Hogg-Dube syndrome. Cancer Cell 2002, 2, 157–164. Available online: http://www.ncbi.nlm.nih.gov/pubmed/12204536 (accessed on 14 December 2021). [CrossRef]
- The Alpha-1-Antitrypsin Deficiency Registry Study Group. Survival and FEV1Decline in Individuals with Severe Deficiency of α1-Antitrypsin. Am. J. Respir. Crit. Care Med. 1998, 158, 49–59. [Google Scholar] [CrossRef] [PubMed]
- Bass, H.N.; Lagrave, D.; Mardach, R.; Cederbaum, S.D.; Fuster, C.D.; Chetty, M. Spontaneous pneumothorax in association with pyridoxine-responsive homocystinuria. J. Inherit. Metab. Dis. 1997, 20, 831–832. [Google Scholar] [CrossRef] [PubMed]
- Scott, R.M.; Henske, E.P.; Raby, B.; Boone, P.M.; A Rusk, R.; Marciniak, S. Familial pneumothorax: Towards precision medicine. Thorax 2017, 73, 270–276. [Google Scholar] [CrossRef]



Publisher’s Note: MDPI stays neutral with regard to jurisdictional claims in published maps and institutional affiliations. |
© 2022 by the author. Licensee MDPI, Basel, Switzerland. This article is an open access article distributed under the terms and conditions of the Creative Commons Attribution (CC BY) license (https://creativecommons.org/licenses/by/4.0/).
Share and Cite
Hallifax, R. Aetiology of Primary Spontaneous Pneumothorax. J. Clin. Med. 2022, 11, 490. https://doi.org/10.3390/jcm11030490
Hallifax R. Aetiology of Primary Spontaneous Pneumothorax. Journal of Clinical Medicine. 2022; 11(3):490. https://doi.org/10.3390/jcm11030490
Chicago/Turabian StyleHallifax, Rob. 2022. "Aetiology of Primary Spontaneous Pneumothorax" Journal of Clinical Medicine 11, no. 3: 490. https://doi.org/10.3390/jcm11030490
APA StyleHallifax, R. (2022). Aetiology of Primary Spontaneous Pneumothorax. Journal of Clinical Medicine, 11(3), 490. https://doi.org/10.3390/jcm11030490
