Treatment of Various Ocular Manifestation of Systemic Lupus Erythematosus with Therapeutic Plasma Exchange
Abstract
1. Introduction
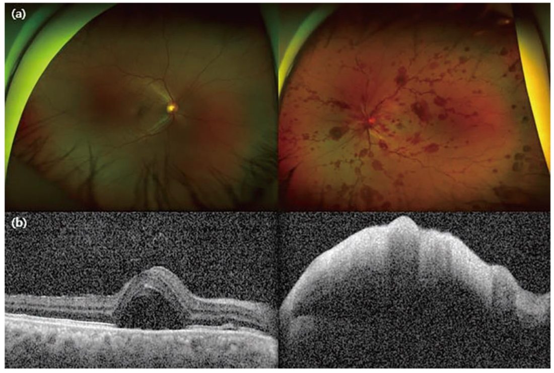
2. Case Report
3. Discussion
3.1. Anterior Segment
3.2. Posterior Segment
4. Conclusions
Author Contributions
Funding
Institutional Review Board Statement
Informed Consent Statement
Data Availability Statement
Conflicts of Interest
References
- Silpa-archa, S.; Lee, J.J.; Foster, C.S. Ocular manifestations in systemic lupus erythematosus. Br. J. Ophthalmol. 2016, 100, 135–141. [Google Scholar] [CrossRef] [PubMed]
- Dammacco, R. Systemic lupus erythematosus and ocular involvement: An overview. Clin. Exp. Med. 2018, 18, 135–149. [Google Scholar] [CrossRef] [PubMed]
- El-Shereef, R.R.; Mohamed, A.S.; Hamdy, L. Ocular manifestation of systemic lupus erythematosus. Rheumatol. Int. 2013, 33, 1637–1642. [Google Scholar] [CrossRef] [PubMed]
- Stephen, C.; Foster, A.B. Ocular Manifestations of Systemic Lupus Erythematosus. J. Clin. Cell. Immunol. 2014, 5, 191. [Google Scholar] [CrossRef]
- Kharel Sitaula, R.; Shah, D.N.; Singh, D. Role of lupus retinopathy in systemic lupus erythematosus. J. Ophthalmic Inflamm. Infect. 2016, 6, 15. [Google Scholar] [CrossRef] [PubMed]
- Davies, J.B.; Rao, P.K. Ocular manifestations of systemic lupus erythematosus. Curr. Opin. Ophthalmol. 2008, 19, 512–518. [Google Scholar] [CrossRef] [PubMed]
- Jabs, D.A.; Fine, S.L.; Hochberg, M.C.; Newman, S.A.; Heiner, G.G.; Stevens, M.B. Severe retinal vaso-occlusive disease in systemic lupus erythematous. Arch. Ophthalmol. 1986, 104, 558–563. [Google Scholar] [CrossRef] [PubMed]
- Jensen, J.L.; Bergem, H.O.; Gilboe, I.M.; Husby, G.; Axéll, T. Oral and ocular sicca symptoms and findings are prevalent in systemic lupus erythematosus. J. Oral Pathol. Med. 1999, 28, 317–322. [Google Scholar] [CrossRef] [PubMed]
- Heron, E.; Gutzwiller, F.M.; Bourcier, T. Scleritis and episcleritis: Diagnosis and treatment. Rev. Med. Interne 2014, 35, 577–585. [Google Scholar] [PubMed]
- Ushiyama, O.; Ushiyama, K.; Koarada, S.; Tada, Y.; Suzuki, N.; Ohta, A.; Oono, S.; Nagasawa, K. Retinal disease in patients with systemic lupus erythematosus. Ann. Rheum. Dis. 2000, 59, 705–708. [Google Scholar] [CrossRef] [PubMed]
- Stafford-Brady, F.J.; Urowitz, M.B.; Gladman, D.D.; Easterbrook, M. Lupus retinopathy. Patterns, associations, and prognosis. Arthritis Rheum. 1988, 31, 1105–1110. [Google Scholar] [CrossRef] [PubMed]
- Damato, E.; Chilov, M.; Lee, R.; Singh, A.; Harper, S.; Dick, A. Plasma exchange and rituximab in the management of acute occlusive retinal vasculopathy secondary to systemic lupus erythematosus. Ocul. Immunol. Inflamm. 2011, 19, 379–381. [Google Scholar] [CrossRef] [PubMed]
- Papadaki, T.G.; Zacharopoulos, I.P.; Papaliodis, G.; Iaccheri, B.; Fiore, T.; Foster, C.S. Plasmapheresis for lupus retinal vasculitis. Arch. Ophthalmol. 2006, 124, 1654–1656. [Google Scholar] [CrossRef] [PubMed]
- Ho, C.M.; Mok, C.C. Therapeutic Plasma Exchange in Patients with Systemic Lupus Erythematosus. J. Clin. Rheumatol. Immunol. 2020, 20, 65–70. [Google Scholar] [CrossRef]
- Gordon, C.; Amissah-Arthur, M.B.; Gayed, M.; Brown, S.; Bruce, I.N.; D’Cruz, D.; Empson, B.; Griffiths, B.; Jayne, D.; Khamashta, M.; et al. The British Society for Rheumatology guideline for the management of systemic lupus erythematosus in adults. Rheumatology 2018, 57, e1–e45. [Google Scholar] [CrossRef]
- Hannouche, D.; Korobelnik, J.F.; Cochereau, I.; Hayem, G.; Beaudreuil, J.; Meyer, O.; Hoang-Xuan, T. Systemic lupus erythematosus with choroidopathy and serous retinal detachment. Int. Ophthalmol. 1995, 19, 125–127. [Google Scholar] [CrossRef] [PubMed]


Publisher’s Note: MDPI stays neutral with regard to jurisdictional claims in published maps and institutional affiliations. |
© 2022 by the authors. Licensee MDPI, Basel, Switzerland. This article is an open access article distributed under the terms and conditions of the Creative Commons Attribution (CC BY) license (https://creativecommons.org/licenses/by/4.0/).
Share and Cite
Lee, J.-H.; Jeon, H.-W.; Moon, S.-J.; Lee, M.-Y. Treatment of Various Ocular Manifestation of Systemic Lupus Erythematosus with Therapeutic Plasma Exchange. J. Clin. Med. 2022, 11, 6632. https://doi.org/10.3390/jcm11226632
Lee J-H, Jeon H-W, Moon S-J, Lee M-Y. Treatment of Various Ocular Manifestation of Systemic Lupus Erythematosus with Therapeutic Plasma Exchange. Journal of Clinical Medicine. 2022; 11(22):6632. https://doi.org/10.3390/jcm11226632
Chicago/Turabian StyleLee, Ji-Hye, Ho-Wook Jeon, Su-Jin Moon, and Mee-Yon Lee. 2022. "Treatment of Various Ocular Manifestation of Systemic Lupus Erythematosus with Therapeutic Plasma Exchange" Journal of Clinical Medicine 11, no. 22: 6632. https://doi.org/10.3390/jcm11226632
APA StyleLee, J.-H., Jeon, H.-W., Moon, S.-J., & Lee, M.-Y. (2022). Treatment of Various Ocular Manifestation of Systemic Lupus Erythematosus with Therapeutic Plasma Exchange. Journal of Clinical Medicine, 11(22), 6632. https://doi.org/10.3390/jcm11226632
