Chiari 1 Malformation and Epilepsy in Children: A Missing Relationship
Abstract
1. Introduction
2. Materials and Methods
3. Results
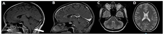
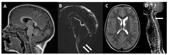
3.1. Patients’ Characteristics
3.2. Treatment and Outcome
3.3. Comparison between the Two Groups
4. Discussion
Limitations of the Study
Author Contributions
Funding
Institutional Review Board Statement
Informed Consent Statement
Conflicts of Interest
References
- Ciaramitaro, P.; Garbossa, D.; Peretta, P.; Piatelli, G.; Massimi, L.; Valentini, L.; Migliaretti, G.; Baldovino, S.; Roccatello, D.; Kodra, Y.; et al. Syringomyelia and Chiari Syndrome Registry: Advances in Epidemiology, Clinical Phenotypes and Natural History Based on a Northwestern Italy Cohort. Ann. Dell’Istituto Super. Sanita 2020, 56, 48–58. [Google Scholar] [CrossRef]
- Saletti, V.; Farinotti, M.; Peretta, P.; Massimi, L.; Ciaramitaro, P.; Motta, S.; Solari, A.; Valentini, L.G. The Management of Chiari Malformation Type 1 and Syringomyelia in Children: A Review of the Literature. Neurol. Sci. 2021, 42, 4965–4995. [Google Scholar] [CrossRef] [PubMed]
- Massimi, L.; Peretta, P.; Erbetta, A.; Solari, A.; Farinotti, M.; Ciaramitaro, P.; Saletti, V.; Caldarelli, M.; Canheu, A.C.; Celada, C.; et al. Diagnosis and Treatment of Chiari Malformation Type 1 in Children: The International Consensus Document. Neurol. Sci. 2022, 43, 1311–1326. [Google Scholar] [CrossRef] [PubMed]
- Massimi, L.; Thompson, D.N.P. Introduction to the Special Edition from the Editors Pediatric Chiari I Malformation-Searching for Clarity amidst Myth, Misnomer, and Misunderstanding. Childs Nerv. Syst. 2019, 35, 1651–1652. [Google Scholar] [CrossRef] [PubMed]
- Bell, G.S.; Sander, J.W. The Epidemiology of Epilepsy: The Size of the Problem. Seizure 2001, 10, 306–314; quiz 315–316. [Google Scholar] [CrossRef]
- Sadr, S.S.; Javanbakht, J.; Javidan, A.N.; Ghaffarpour, M.; Khamse, S.; Naghshband, Z. Descriptive Epidemiology: Prevalence, Incidence, Sociodemographic Factors, Socioeconomic Domains, and Quality of Life of Epilepsy: An Update and Systematic Review. Arch. Med. Sci. 2018, 14, 717–724. [Google Scholar] [CrossRef]
- Scheffer, I.E.; Berkovic, S.; Capovilla, G.; Connolly, M.B.; French, J.; Guilhoto, L.; Hirsch, E.; Jain, S.; Mathern, G.W.; Moshé, S.L.; et al. ILAE Classification of the Epilepsies: Position Paper of the ILAE Commission for Classification and Terminology. Epilepsia 2017, 58, 512–521. [Google Scholar] [CrossRef]
- Ciaramitaro, P.; Massimi, L.; Bertuccio, A.; Solari, A.; Farinotti, M.; Peretta, P.; Saletti, V.; Chiapparini, L.; Barbanera, A.; Garbossa, D.; et al. Correction to: Diagnosis and Treatment of Chiari Malformation and Syringomyelia in Adults: International Consensus Document. Neurol. Sci. 2022, 43, 1483–1484. [Google Scholar] [CrossRef]
- Buoni, S.; Zannolli, R.; di Bartolo, R.M.; Donati, P.A.; Mussa, F.; Giordano, F.; Genitori, L. Surgery Removes EEG Abnormalities in Patients with Chiari Type I Malformation and Poor CSF Flow. Clin. Neurophysiol. 2006, 117, 959–963. [Google Scholar] [CrossRef]
- Brill, C.B.; Gutierrez, J.; Mishkin, M.M. Chiari I Malformation: Association with Seizures and Developmental Disabilities. J. Child. Neurol. 1997, 12, 101–106. [Google Scholar] [CrossRef]
- Elia, M.; Biondi, R.; Sofia, V.; Musumeci, S.A.; Ferri, R.; Capovilla, G.; Curatolo, P. Seizures in Chiari I Malformation: A Clinical and Electroencephalographic Study. J. Child. Neurol. 1999, 14, 446–450. [Google Scholar] [CrossRef] [PubMed]
- Grosso, S.; Scattolini, R.; Paolo, G.; Di Bartolo, R.M.; Morgese, G.; Balestri, P. Association of Chiari I Malformation, Mental Retardation, Speech Delay, and Epilepsy: A Specific Disorder? Neurosurgery 2001, 49, 1099–1103; discussion 1103–1104. [Google Scholar] [CrossRef] [PubMed]
- Iannetti, P.; Spalice, A.; De Felice Ciccoli, C.; Bruni, O.; Festa, A.; Maini, C.L. Seizures in Paediatric Chiari Type I Malformation: The Role of Single-Photon Emission Computed Tomography. Acta Paediatr. 2002, 91, 313–317. [Google Scholar] [CrossRef] [PubMed]
- Elster, A.D.; Chen, M.Y. Chiari I Malformations: Clinical and Radiologic Reappraisal. Radiology 1992, 183, 347–353. [Google Scholar] [CrossRef]
- Granata, T.; Valentini, L.G. Epilepsy in Type 1 Chiari Malformation. Neurol. Sci. 2011, 32 (Suppl. S3), S303–S306. [Google Scholar] [CrossRef] [PubMed]
- Tubbs, R.S.; McGirt, M.J.; Oakes, W.J. Surgical Experience in 130 Pediatric Patients with Chiari I Malformations. J. Neurosurg. 2003, 99, 291–296. [Google Scholar] [CrossRef] [PubMed]
- Marianayagam, N.J.; Shalom, N.B.; Zarchi, O.; Michowiz, S.; Margalit, N.; Rajz, G. Conservative Management for Pediatric Patients with Chiari 1 Anomaly: A Retrospective Study. Clin. Neurol. Neurosurg. 2020, 189, 105615. [Google Scholar] [CrossRef]
- Tirrito, F.; Cozzi, F.; Bonaldi, M.; Corazzo, S.; Contiero, B.; Lombardo, R. Ventriculomegaly in Cavalier King Charles Spaniels with Chiari-like Malformation: Relationship with Clinical and Imaging Findings. J. Vet. Med. Sci. 2022, 84, 1185–1193. [Google Scholar] [CrossRef]
- Sarkis, R.; Wyllie, E.; Burgess, R.C.; Loddenkemper, T. Neuroimaging Findings in Children with Benign Focal Epileptiform Discharges. Epilepsy Res. 2010, 90, 91–98. [Google Scholar] [CrossRef]
- Massimi, L.; Pennisi, G.; Frassanito, P.; Tamburrini, G.; Di Rocco, C.; Caldarelli, M. Chiari Type I and Hydrocephalus. Childs Nerv. Syst. 2019, 35, 1701–1709. [Google Scholar] [CrossRef]
- Massimi, L.; Pravatà, E.; Tamburrini, G.; Gaudino, S.; Pettorini, B.; Novegno, F.; Colosimo, C.; Di Rocco, C. Endoscopic Third Ventriculostomy for the Management of Chiari I and Related Hydrocephalus: Outcome and Pathogenetic Implications. Neurosurgery 2011, 68, 950–956. [Google Scholar] [CrossRef] [PubMed]
- Di Rocco, C.; Massimi, L.; Tamburrini, G. Shunts vs Endoscopic Third Ventriculostomy in Infants: Are There Different Types and/or Rates of Complications? A Review. Childs Nerv. Syst. 2006, 22, 1573–1589. [Google Scholar] [CrossRef] [PubMed]
- Schubert-Bast, S.; Berghaus, L.; Filmann, N.; Freiman, T.; Strzelczyk, A.; Kieslich, M. Risk and Risk Factors for Epilepsy in Shunt-Treated Children with Hydrocephalus. Eur. J. Paediatr. Neurol. 2019, 23, 819–826. [Google Scholar] [CrossRef] [PubMed]
- Wężyk, K.; Słowik, A.; Bosak, M. Predictors of Remission in Patients with Epilepsy. Neurol. Neurochir. Pol. 2020, 54, 434–439. [Google Scholar] [CrossRef] [PubMed]
- Pang, L.; Fan, B.; Chen, Z.; Chen, Z.; Lv, C.; Zheng, J. Disruption of Cerebellar-Cerebral Functional Connectivity in Temporal Lobe Epilepsy and the Connection to Language and Cognitive Functions. Front. Neurosci. 2022, 16, 871128. [Google Scholar] [CrossRef]
- Hsieh, H.-Y.; Fung, H.-C.; Wang, C.-J.; Chin, S.-C.; Wu, T. Epileptic Seizures in Neurofibromatosis Type 1 Are Related to Intracranial Tumors but Not to Neurofibromatosis Bright Objects. Seizure 2011, 20, 606–611. [Google Scholar] [CrossRef]
- Sánchez Marco, S.B.; López Pisón, J.; Calvo Escribano, C.; González Viejo, I.; Miramar Gallart, M.D.; Samper Villagrasa, P. Neurological Manifestations of Neurofibromatosis Type 1: Our Experience. Neurologia 2022, 37, 325–333. [Google Scholar] [CrossRef]
- Nicita, F.; Verrotti, A.; Pruna, D.; Striano, P.; Capovilla, G.; Savasta, S.; Spartà, M.V.; Parisi, P.; Parlapiano, G.; Tarani, L.; et al. Seizures in Fetal Alcohol Spectrum Disorders: Evaluation of Clinical, Electroencephalographic, and Neuroradiologic Features in a Pediatric Case Series. Epilepsia 2014, 55, e60–e66. [Google Scholar] [CrossRef]
- Galarza, M.; Martínez-Lage, J.F.; Ham, S.; Sood, S. Cerebral Anomalies and Chiari Type 1 Malformation. Pediatr. Neurosurg. 2010, 46, 442–449. [Google Scholar] [CrossRef]
- Spalice, A.; Parisi, P.; Mastrangelo, M.; De Luca, F.; Verrotti, A.; Iannetti, P. Bilateral Perysilvian Polymicrogyria in Chiari I Malformation. Childs Nerv. Syst. 2006, 22, 1635–1637. [Google Scholar] [CrossRef]
- Liang, J.H.; Alevy, J.; Akhanov, V.; Seo, R.; Massey, C.A.; Jiang, D.; Zhou, J.; Sillitoe, R.V.; Noebels, J.L.; Samuel, M.A. Kctd7 Deficiency Induces Myoclonic Seizures Associated with Purkinje Cell Death and Microvascular Defects. Dis. Model. Mech. 2022, 15, dmm049642. [Google Scholar] [CrossRef]
- Pappas, J.; Rabin, R. SETD2 Neurodevelopmental Disorders. In GeneReviews®; Adam, M.P., Everman, D.B., Mirzaa, G.M., Pagon, R.A., Wallace, S.E., Bean, L.J., Gripp, K.W., Amemiya, A., Eds.; University of Washington, Seattle: Seattle, WA, USA, 1993. [Google Scholar]
- Saletti, V.; Esposito, S.; Maccaro, A.; Giglio, S.; Valentini, L.G.; Chiapparini, L. Chiari I Malformation in a Child with PTEN Hamartoma Tumor Syndrome: Association or Coincidence? Eur. J. Med. Genet. 2017, 60, 261–264. [Google Scholar] [CrossRef]
- Fountas, K.N.; Kapsalaki, E.; Hadjigeorgiou, G. Cerebellar Stimulation in the Management of Medically Intractable Epilepsy: A Systematic and Critical Review. Neurosurg. Focus 2010, 29, E8. [Google Scholar] [CrossRef]
- Miterko, L.N.; Baker, K.B.; Beckinghausen, J.; Bradnam, L.V.; Cheng, M.Y.; Cooperrider, J.; DeLong, M.R.; Gornati, S.V.; Hallett, M.; Heck, D.H.; et al. Consensus Paper: Experimental Neurostimulation of the Cerebellum. Cerebellum 2019, 18, 1064–1097. [Google Scholar] [CrossRef]
- Chae, J.H.; Kim, S.K.; Wang, K.C.; Kim, K.J.; Hwang, Y.S.; Cho, B.K. Hemifacial Seizure of Cerebellar Ganglioglioma Origin: Seizure Control by Tumor Resection. Epilepsia 2001, 42, 1204–1207. [Google Scholar] [CrossRef]
- Mesiwala, A.H.; Kuratani, J.D.; Avellino, A.M.; Roberts, T.S.; Sotero, M.A.; Ellenbogen, R.G. Focal Motor Seizures with Secondary Generalization Arising in the Cerebellum. Case Report and Review of the Literature. J. Neurosurg. 2002, 97, 190–196. [Google Scholar] [CrossRef]
- Woźniak, M.M.; Zbroja, M.; Matuszek, M.; Pustelniak, O.; Cyranka, W.; Drelich, K.; Kopyto, E.; Materniak, A.; Słomka, T.; Cebula, M.; et al. Epilepsy in Pediatric Patients-Evaluation of Brain Structures’ Volume Using VolBrain Software. J. Clin. Med. 2022, 11, 4657. [Google Scholar] [CrossRef]
- Losurdo, A.; Dittoni, S.; Testani, E.; Di Blasi, C.; Scarano, E.; Mariotti, P.; Paternoster, G.; Di Rocco, C.; Massimi, L.; Della Marca, G. Sleep Disordered Breathing in Children and Adolescents with Chiari Malformation Type I. J. Clin. Sleep Med. 2013, 9, 371–377. [Google Scholar] [CrossRef]
- Pandey, A.; Robinson, S.; Cohen, A.R. Cerebellar Fits in Children with Chiari I Malformation. Neurosurg. Focus 2001, 11, E4. [Google Scholar] [CrossRef]




| Patients (No and Sex) | Age (Years) | Seizures | Interictal EEG | Developmental Problems | Tonsils Ectopia (mm) | Spinal Cord and Other Findings | C1M/Syringomyelia Symptoms |
|---|---|---|---|---|---|---|---|
| 1, F | 7 | FM | bilateral S and SW | No | 9 | Normal | no |
| 2, F | 1 | GT | bouffées of slow W with S (parieto-occipital region bilaterally) | No | 13 | cervico-thoracic syringomyelia | cough, headache, ataxia |
| 3, F | 5 | GTC | frequent S, PS and SW (temporal and parieto-occipital region bilaterally) | Autism | 6 | hydromyelia (ventriculomegaly) | cough, headache, ataxia, dysphagia |
| 4, M | 6 | FGTC | isolated or couple of S and SW (right central and temporal regions) | behavioral disturbance | 12 | Normal | no |
| 5, F | 5 | A | frequent, bilateral SW and PSW | No | 6 | Normal | no |
| 6, M | 15 | GT | left hemispheric S and SW | Autism | 10 | cervico-thoracic syringomyelia | no |
| 7, M | 12 | GTC | fronto-central epileptiform activity with generalization | language delay | 8 | normal | no |
| 8, F | 6 | FM | right posterior regions PSW | psychomotor delay | 6 | cervico-thoracic syringomyelia | central apneas |
| 9, M | 4 | A | PSW | No | 5 | normal | no |
| 10, M | 2 | A | right occipital epileptiform activity | psychomotor delay | 6 | hydromyelia | cough, headache |
| 11, M | 1 | FM | focal right fronto-central epileptiform activity | language delay | 10 | normal | no |
| 12, M | 6 | FNM | bilateral PSW | No | 5 | normal | no |
| 13, F | 7 | M | slow W with S and myoclonic activity | behavioral disturbance | 13 | normal | cough, headache |
| 14, F | 9 | GT | left temporal and posterior regions slow W and slow SW | No | 6 | syringomyelia (ventriculomegaly) | cough, headache, dizziness |
| 15, M | 7 | FNM | right frontal SW | psychomotor delay | 5 | normal | cough, headache, lower limbs paresthesia |
| 16, F | 8 | A | fronto-central sharp W | behavioral disturbance | 5 | normal | no |
| 17, F | 7 | FNM | right posterior regions slow W | No | 5 | normal | neck pain, upper and lower limbs paresthesia |
| 18, F | 6 | FM | left frontal SW | No | 8.5 | cervico-thoracic syringomyelia | cough, headache, neck pain |
| 19, M | 4 | GT | bilateral epileptiform activity | No | 6 | normal | cough, headache |
| 20, F | 5 | FM | right fronto-central sharp W | No | 5 | normal | no |
| 21, F | 6 | FNM | left temporal slow W | No | 6.5 | normal | no |
| 22, M | 4 | FM | right central SW and theta activity | No | 10 | normal | cough, headache, upper limbs paresthesia |
| 23, M | 8 | FGTC | posterior regions biphasic S and sharp W | No | 11 | cervical syringomyelia | cough, headache, neck pain |
| 24, F | 7 | FGTC | right frontal and temporal SW | psychomotor delay | 6 | normal | no |
| 25, M | 8 | FM | left centro-temporal slow W and theta activity | No | 5 | normal | no |
| 26, M | 5 | FGTC | right posterior regions slow W and S | Autism | 5 | normal | no |
| 27, M | 8 | FNM | right centro-temporal slow W | behavioral disturbance | 9 | normal | no |
| 28, F | 3 | FM | right central slow W | No | 10 | normal | no |
| 29, F | 10 | FNM | left fronto-temporal S and PS | No | 6 | normal | no |
| Patients No | Sex | Age (Years) | Signs/Symptoms | Tonsils Ectopia (mm) | Spinal Cord and Other Findings | EEG Anomalies |
|---|---|---|---|---|---|---|
| 1 | M | 7 | psychomotor delay, dizziness, ataxia | 8 | cervico-thoracic hydromyelia | theta activity |
| 2 | F | 14 | headache, dizziness, ataxia, dysphagia | 11 | normal | / |
| 3 | F | 10 | headache, dysphagia, dizziness | 12 | cervical hydromyelia | / |
| 4 | M | 5 | headache, upper limbs paresthesia | 20 | normal | / |
| 5 | F | 16 | cough, headache, upper limbs paresthesia | 15 | cervico-thoracic syryngomyelia | / |
| 6 | M | 10 | None | 5 | normal | / |
| 7 | F | 15 | headache | 15 | normal | / |
| 8 | M | 6 | None | 14 | cervical hydromyelia | / |
| 9 | F | 5 | psychomotor delay | 13 | normal | slow waves |
| 10 | M | 5 | psychomotor delay | 11 | cervico-thoracic hydromyelia | slow waves |
| 11 | F | 7 | psychomotor delay | 13 | ventriculomegaly | / |
| 12 | M | 7 | headache, ataxia, dysphagia | 10 | normal | slow waves |
| 13 | F | 6 | headache, neck pain | 7 | normal | / |
| 14 | M | 3 | Ataxia | 10 | normal | / |
| 15 | M | 6 | left hemiparesis | 15 | cervical syringomyelia | / |
| 16 | M | 11 | cough, headache upper and lower limbs paresthesia | 10 | cervico-thoracic syryngomyelia | / |
| 17 | F | 3 | cough, headache | 7 | normal | / |
| 18 | F | 4 | cough, headache, psychomotor delay | 11 | cervical hydromyelia | sharp waves, spike-waves, and poly-spikes |
| 19 | M | 5 | cough, headache, dizziness | 11 | normal | / |
| 20 | F | 12 | cough, headache, drop attacks | 20 | normal | / |
| 21 | M | 7 | cough, headache, psychomotor delay | 9 | normal | / |
| 22 | M | 13 | ataxia, dysphagia, dizziness, snoring | 10 | cervico-thoracic syryngomyelia | / |
| 23 | F | 10 | dyplopia, nystagmus, | 12 | cervico-thoracic syryngomyelia | / |
| 24 | M | 4 | None | 5 | normal | / |
| 25 | F | 6 | dizziness | 5 | normal | isolated spikes |
| 26 | M | 18 | hand tremors | 19 | cervico-thoracic syryngomyelia | / |
| 27 | F | 7 | cough, headache | 18 | normal | / |
| 28 | M | 17 | headache, dizziness | 8 | normal | / |
| 29 | F | 6 | cough, headache | 21 | normal | / |
| 30 | M | 14 | nystagmus, dysphagia | 10 | syringobulbia | / |
| 31 | M | 6 | dyplopia, right VI cranial nerve palsy | 16 | thoracic syringomyelia | / |
| 32 | F | 4 | ataxia, dysphagia, | 12 | normal | / |
| 33 | F | 18 | neck pain, central sleep apneas | 8 | normal | / |
| 34 | M | 6 | cough, headache | 7 | normal | / |
| 35 | F | 8 | Nystagmus | 9 | cervical hydromyelia | / |
| 36 | M | 16 | nystagmus, ataxia | 20 | normal | / |
| 37 | F | 18 | cough, headache, dizziness | 15 | normal | / |
| 38 | M | 10 | headache, dizziness | 8 | cervical hydromyelia | / |
| 39 | F | 15 | cough, headache, nystagmus | 9 | cervico-thoracic syryngomyelia | theta activity |
| 40 | F | 4 | cough, headache, dizziness | 15 | cervico-thoracic hydromyelia | slow waves |
| 41 | M | 13 | Headache | 7 | normal | / |
| 42 | F | 7 | right lower limb pain | 5 | normal | / |
| 43 | F | 7 | psychomotor delay | 9 | cervico-thoracic syryngomyelia | isolated spikes |
| 44 | M | 5 | None | 7 | normal | / |
| 45 | M | 17 | cough, headache | 14 | normal | / |
| 46 | M | 18 | headache, dizziness, lower limbs weakness | 9 | normal | / |
| 47 | F | 10 | dizziness | 5 | normal | sharp waves and spikes |
| 48 | F | 6 | dizziness | 8 | cervico-thoracic syryngomyelia | / |
| 49 | M | 6 | headache, drop attacks, vomiting | 9 | normal | slow waves |
| 50 | M | 7 | cough, headache, sialorrhoea | 12 | normal | / |
| 51 | F | 12 | Scoliosis | 28 | holocord syringomyelia | / |
| 52 | M | 13 | Headache | 7 | normal | / |
| 53 | F | 5 | headache, dizziness | 11 | normal | / |
| 54 | M | 5 | headache, dizziness | 11 | cervico-thoracic syryngomyelia | / |
| 55 | M | 8 | right hypoacusis | 9 | normal | / |
| 56 | F | 2 | cough, headache, upper limbs paresthesia | 17 | normal | / |
| 57 | M | 3 | cough, headache, central sleep apneas | 5 | normal | / |
| 58 | F | 8 | cough, headache, vomiting | 8 | cervico-thoracic hydromyelia | / |
| 59 | M | 3 | psychomotor delay | 9 | normal | / |
| 60 | M | 15 | headache, neck pain | 12 | ventriculomegaly | / |
| 61 | M | 10 | headache | 10 | normal | / |
| 62 | M | 8 | cough, headache | 10 | normal | / |
| 63 | F | 7 | headache, upper and lower limbs paresthesia | 31 | cervical syringomyelia | / |
| 64 | F | 6 | headache, enuresis | 9 | thoracic syringomyelia | / |
| 65 | M | 14 | cough, headache, lower limbs paresthesia | 9 | thoracic syringomyelia | / |
| 66 | F | 6 | Nystagmus | 6 | normal | / |
| 67 | M | 9 | cough, headache, lower limbs pain | 21 | cervico-thoracic syryngomyelia | / |
| 68 | M | 6 | headache, febrile paroxysms | 12 | normal | theta activity |
| 69 | F | 15 | headache, dizziness | 18 | cervico-thoracic syryngomyelia | / |
| 70 | F | 7 | Scoliosis | 12 | normal | / |
| 71 | M | 16 | central sleep apneas | 18 | normal | slow waves |
| 72 | F | 5 | cough, headache | 13 | normal | / |
| 73 | F | 12 | cough, headache | 15 | cervico-thoracic hydromyelia | / |
| 74 | M | 9 | headache, vomiting | 8 | ventriculomegaly | / |
| 75 | M | 9 | headache, neck pain, ataxia | 7 | cervical syringomyelia | / |
| 76 | M | 7 | ataxia, drop attacks | 11 | normal | / |
| 77 | M | 9 | cough, headache, dizziness | 22 | cervical syringomyelia | / |
| Patients (No) | Age (Years) | Seizures | Tonsils Ectopia (mm) | Spinal Cord and Other Findings | C1M/Syringomyelia Symptoms | Surgery | Epilepsy Outcome | C1M/Syrinx Outcome |
|---|---|---|---|---|---|---|---|---|
| 1 | 7 | FM | 9 | normal | No | none | seizure-free | Stable |
| 2 | 1 | GT | 13 | cervico-dorsal syringomyelia | cough headache, ataxia | PF decompression + tonsils coagulation | seizure-free | C1M, syrinx and headache regressed, ataxia improved |
| 3 | 5 | GTC | 6 | hydromyelia (ventriculomegaly) | cough headache, ataxia, dysphagia | ETV; bony PF decompression + C1 laminectomy | refractory seizures | C1M and symptoms regressed, hydromyelia improved |
| 4 | 6 | FGTC | 12 | normal | No | None | >90% reduction | Stable |
| 5 | 5 | A | 6 | normal | No | none | seizure-free | Stable |
| 6 | 15 | GT | 10 | cervico-dorsal syringomyelia | No | bony PF decompression + C1 laminectomy | seizure-free | C1M and syrinx stable |
| 7 | 12 | GTC | 8 | normal | No | none | seizure-free | Stable |
| 8 | 6 | FM | 6 | cervico-dorsal syringomyelia | central apneas | PF decompression + duraplasty | >90% reduction | C1M improved, syrinx and symptoms regressed |
| 9 | 4 | A | 5 | normal | No | none | >90% reduction | Stable |
| 10 | 2 | A | 6 | hydromyelia | cough headache | bony PF decompression + C1 laminectomy | >90% reduction | C1M, hydromyelia and symptoms regressed |
| 11 | 1 | FM | 10 | normal | No | none | seizure-free | Stable |
| 12 | 6 | FNM | 5 | normal | No | none | seizure-free | Stable |
| 13 | 7 | M | 13 | normal | cough headache | none | >90% reduction | Stable |
| 14 | 9 | GT | 6 | syringomyelia (ventriculomegaly) | cough headache, vertigo | ETV | seizure-free | C1M and syrinx improved, symptoms regressed |
| 15 | 7 | FNM | 5 | normal | cough headache, lower limbs paresthesia | none | >90% reduction | Stable |
| 16 | 8 | A | 5 | normal | No | none | seizure-free | Stable |
| 17 | 7 | FNM | 5 | normal | neck pain, upper and lower limbs paresthesia | none | refractory seizures | Stable |
| 18 | 6 | FM | 8.5 | cervico-dorsal syringomyelia | cough headache, neck pain | PF decompression + duraplasty | seizure-free | C1M improved, syrinx regressed, symptoms stable |
| 19 | 4 | GT | 6 | normal | cough headache | bony PF decompression + C1 laminectomy | seizure-free | C1M improved, symptoms regressed |
| 20 | 5 | FM | 5 | normal | No | none | >90% reduction | Stable |
| 21 | 6 | FNM | 6.5 | normal | No | none | seizure-free | Stable |
| 22 | 4 | FM | 10 | normal | cough headache, upper limbs paresthesia | none | seizure-free | C1M and symptoms spontaneously improved |
| 23 | 8 | FGTC | 11 | cervical syringomyelia | cough headache, neck pain | bony PF decompression + C1 laminectomy | >90% reduction | C1M and symptoms regressed, syrinx improved |
| 24 | 7 | FGTC | 6 | normal | No | none | seizure-free | Stable |
| 25 | 8 | FM | 5 | normal | No | none | seizure-free | Stable |
| 26 | 5 | FGTC | 5 | normal | No | none | >90% reduction | Stable |
| 27 | 8 | FNM | 9 | normal | No | none | seizure-free | C1M spontaneously improved |
| 28 | 3 | FM | 10 | normal | no | none | seizure-free | Stable |
| 29 | 10 | FNM | 6 | normal | no | none | seizure-free | Stable |
| Patients No | Age (Years) | Tonsils Ectopia (mm) | Spinal Cord and Other Findings | EEG Anomalies | Surgery | C1M/Syrinx Outcome | EEG Anomalies Outcome |
|---|---|---|---|---|---|---|---|
| 1 | 7 | 8 | cervico-thoracic hydromyelia | theta activity | bony PF decompression + C1 laminectomy | C1M and syrinx improved, symptoms stable | unchanged |
| 2 | 14 | 11 | normal | / | bony PF decompression + C1 laminectomy | C1M regressed, symptoms improved | / |
| 3 | 10 | 12 | cervical hydromyelia | / | bony PF decompression + C1 laminectomy | C1M stable, syrinx regressed, symptoms improved | / |
| 4 | 5 | 20 | normal | / | bony PF decompression + C1 laminectomy | C1M stable, symptoms regressed | / |
| 5 | 16 | 15 | cervico-thoracic syryngomyelia | / | PF decompression + tonsils coagulation | C1M and syrinx regressed, symptoms stable | / |
| 6 | 10 | 5 | normal | / | none | C1M unchanged | / |
| 7 | 15 | 15 | normal | / | none | C1M unchanged | / |
| 8 | 6 | 14 | cervical hydromyelia | / | ICP monitoring | C1M and syrinx unchanged | / |
| 9 | 5 | 13 | normal | slow waves | none | C1M unchanged | unchanged |
| 10 | 5 | 11 | cervico-thoracic hydromyelia | slow waves | none | C1M and syrinx unchanged | unchanged |
| 11 | 7 | 13 | ventriculomegaly | / | bony PF decompression + C1 laminectomy | C1M unchanged, symptoms improved | / |
| 12 | 7 | 10 | normal | slow waves | bony PF decompression + C1 laminectomy | C1M and symptoms regressed | unchanged |
| 13 | 6 | 7 | normal | / | none | C1M unchanged | / |
| 14 | 3 | 10 | normal | / | none | C1M unchanged | / |
| 15 | 6 | 15 | cervical syringomyelia | / | bony PF decompression + C1 laminectomy | C1M regressed, hydromyelia improved, symptoms improved | / |
| 16 | 11 | 10 | cervico-thoracic syryngomyelia | / | PF decompression + tonsils coagulation | C1M, syrinx and symptoms regressed | / |
| 17 | 3 | 7 | normal | / | none | C1M unchanged | / |
| 18 | 4 | 11 | cervical hydromyelia | sharp waves, spike-waves, and poly-spikes | bony PF decompression + C1 laminectomy | C1M, syrinx and symptoms regressed | unchanged |
| 19 | 5 | 11 | normal | / | bony PF decompression + C1 laminectomy | C1M and symptoms stable | / |
| 20 | 12 | 20 | normal | / | PF decompression + duraplasty | C1M regressed, symptoms improved | / |
| 21 | 7 | 9 | normal | / | bony PF decompression + C1 laminectomy | C1M and symptoms improved | / |
| 22 | 13 | 10 | cervico-thoracic syryngomyelia | / | bony PF decompression + C1 laminectomy + C0–C3 fixation | C1M improved, syrinx and symptoms regressed | / |
| 23 | 10 | 12 | cervico-thoracic syryngomyelia | / | PF decompression + tonsils coagulation | C1M regressed, syrinx and symptoms improved | / |
| 24 | 4 | 5 | normal | / | none | C1M spontaneously improved | / |
| 25 | 6 | 5 | normal | isolated spikes | none | C1M unchanged | disappeared |
| 26 | 18 | 19 | cervico-thoracic syryngomyelia | / | PF decompression + tonsils coagulation | C1M and syrinx regressed, symptoms improved | / |
| 27 | 7 | 18 | normal | / | PF decompression + tonsils coagulation | C1M regressed, symptoms stable | / |
| 28 | 17 | 8 | normal | / | PF decompression + tonsils coagulation | C1M and symptoms stable | / |
| 29 | 6 | 21 | normal | / | bony PF decompression + C1 laminectomy | C1M and symptoms improved | / |
| 30 | 14 | 10 | syringobulbia | / | bony PF decompression + C1 laminectomy | C1M and syringobulbia regressed, symptoms improved | / |
| 31 | 6 | 16 | thoracic syringomyelia | / | PF decompression + tonsils coagulation | C1M, syrinx and symptoms regressed | / |
| 32 | 4 | 12 | normal | / | bony PF decompression + C1 laminectomy | C1M regressed, symptoms improved | / |
| 33 | 18 | 8 | normal | / | bony PF decompression + C1 laminectomy | C1M and symptoms regressed | / |
| 34 | 6 | 7 | normal | / | none | C1M unchanged | / |
| 35 | 8 | 9 | cervical hydromyelia | / | none | C1M unchanged | / |
| 36 | 16 | 20 | normal | / | bony PF decompression + C1 laminectomy | C1M regressed, symptoms improved | / |
| 37 | 18 | 15 | normal | / | bony PF decompression + C1 laminectomy | C1M and symptoms stable | / |
| 38 | 10 | 8 | cervical hydromyelia | / | bony PF decompression + C1 laminectomy | C1M and syrinx regressed, symptoms improved | / |
| 39 | 4 | 9 | cervico-thoracic syryngomyelia | theta activity | bony PF decompression + C1 laminectomy | C1M, syrinx and symptoms improved | unchanged |
| 40 | 15 | 4 | cervico-thoracic hydromyelia | slow waves | bony PF decompression + C1 laminectomy | C1M and syrinx regressed, symptoms improved | disappeared |
| 41 | 13 | 7 | normal | / | none | C1M spontaneously regressed | / |
| 42 | 7 | 5 | normal | / | none | C1M unchanged | / |
| 43 | 7 | 9 | cervico-thoracic syryngomyelia | isolated spikes | 16 Sub + PF decompression + tonsils coagulation | C1M and symptoms worsened, syrinx stable | unchanged |
| 44 | 5 | 7 | normal | / | none | C1M stable, symptoms improved | / |
| 45 | 17 | 14 | normal | / | bony PF decompression + C1 laminectomy | C1M and symptoms improved | / |
| 46 | 18 | 9 | normal | / | bony PF decompression + C1 laminectomy | C1M and symptoms regressed | / |
| 47 | 10 | 5 | normal | sharp waves and spikes | none | C1M unchanged | unhanged |
| 48 | 6 | 15 | cervico-thoracic syryngomyelia | / | PF decompression + duraplasty | C1M improved, syrinx and symptoms regressed | / |
| 49 | 6 | 9 | normal | slow waves | bony PF decompression + C1 laminectomy | C1M improved, symptoms stable | disappeared |
| 50 | 7 | 12 | normal | / | bony PF decompression + C1 laminectomy | C1M stable, symptoms improved | / |
| 51 | 12 | 28 | holocord syringomyelia | / | PF decompression + duraplasty | C1M, syrinx and symptoms improved | / |
| 52 | 13 | 7 | normal | / | none | C1M unchanged | / |
| 53 | 5 | 11 | normal | / | ICP monitoring | C1M unchanged | / |
| 54 | 5 | 11 | cervico-thoracic syryngomyelia | / | PF decompression + duraplasty | C1M and symptoms improved, syrinx unchanged | / |
| 55 | 8 | 9 | normal | / | bony PF decompression + C1 laminectomy + C0-C3 fixation | C1M stable, symptoms regressed | / |
| 56 | 2 | 17 | normal | / | bony PF decompression + C1 laminectomy | C1M and symptoms improved | / |
| 57 | 3 | 5 | normal | / | none | C1M unchanged | / |
| 58 | 8 | 8 | cervico-thoracic hydromyelia | / | bony PF decompression + C1 laminectomy | C1M and hydrocmyelia regressed, symptoms stable | / |
| 59 | 3 | 9 | normal | / | bony PF decompression + C1 laminectomy | C1M regressed, symptoms improved | / |
| 60 | 15 | 12 | ventriculomegaly | / | ETV | C1M and ventriculomegaly improved | / |
| 61 | 10 | 10 | normal | / | bony PF decompression + C1 laminectomy | C1M and symptoms regressed | / |
| 62 | 8 | 10 | normal | / | none | C1M unchanged | / |
| 63 | 7 | 31 | cervical syringomyelia | / | PF decompression + duraplasty | C1M regressed, syrinx improved, symptoms stable | / |
| 64 | 6 | 9 | thoracic syringomyelia | / | none | C1M unchanged | / |
| 65 | 14 | 9 | thoracic syringomyelia | / | bony PF decompression + C1 laminectomy | C1M and symptoms regressed | / |
| 66 | 6 | 6 | normal | / | none | C1M spontaneously regressed | / |
| 67 | 9 | 21 | cervico-thoracic syryngomyelia | / | PF decompression + tonsils coagulation | C1M and syrinx regressed, symptoms improved | / |
| 68 | 6 | 12 | normal | theta activity | bony PF decompression + C1 laminectomy | C1M improved, symptoms stable | unchanged |
| 69 | 15 | 18 | cervico-thoracic syryngomyelia | / | PF decompression + tonsils coagulation | C1M and symptoms regressed, syrinx improved | / |
| 70 | 7 | 12 | normal | / | bony PF decompression + C1 laminectomy | C1M stable, symptoms improved | / |
| 71 | 16 | 18 | normal | slow waves | bony PF decompression + C1 laminectomy | C1M improved, symptoms regressed | disappeared |
| 72 | 5 | 13 | normal | / | bony PF decompression + C1 laminectomy | C1M improved, symptoms regressed | / |
| 73 | 12 | 15 | cervico-thoracic hydromyelia | / | bony PF decompression + C1 laminectomy | C1M and symptoms improved, syrinx regressed | / |
| 74 | 9 | 8 | ventriculomegaly | / | ETV | C1M improved and ventriculomegaly regressed | / |
| 75 | 9 | 7 | cervical syringomyelia | / | bony PF decompression + C1 laminectomy | C1M and symptoms stable | / |
| 76 | 7 | 11 | normal | / | bony PF decompression + C1 laminectomy | C1M regressed, symptoms improved | / |
| 77 | 9 | 22 | cervical syringomyelia | / | PF decompression + duraplasty | C1M and syrinx regressed, symptoms improved | / |
| Group 1 | Group 2 | p-Value | |
|---|---|---|---|
| No patients | 29 | 77 | Not significant |
| Mean age at admission | 6.2 years | 8.9 years | 0.003 |
| M/F ratio | 0.93 | 1.26 | Not significant |
| Presence of seizures | All cases | None | Not calculated (patients’ selection) |
| EEG anomalies | All cases | 17% | <0.00001 |
| Presence of CM1/syrinx symptoms | 27% | 75% | Not calculated (patients’ selection) |
| Mean tonsillar herniation | 7.5 mm | 11.8 mm | <0.00001 |
| Syringomyelia/hydromyelia | 27% | 39% | Not significant |
| Ventriculomegaly | 7% | 4% | Not significant |
| Surgery for CM1/syrinx | 31% | 76.5% | 0.0001 |
| Seizure-free | 62% | / | Not calculated (patients’ selection) |
| Clinical CM1/syrinx improvement | 6/9 cases | 41/54 cases | Not significant |
| Imaging CM1 improvement | 8/9 cases | 41/54 cases | Not significant |
| Imaging syrinx improvement | 7/8 cases | 21/23 cases | Not significant |
Publisher’s Note: MDPI stays neutral with regard to jurisdictional claims in published maps and institutional affiliations. |
© 2022 by the authors. Licensee MDPI, Basel, Switzerland. This article is an open access article distributed under the terms and conditions of the Creative Commons Attribution (CC BY) license (https://creativecommons.org/licenses/by/4.0/).
Share and Cite
Massimi, L.; Palombi, D.; Contaldo, I.; Veredice, C.; Chieffo, D.R.P.; Calandrelli, R.; Tamburrini, G.; Battaglia, D.I. Chiari 1 Malformation and Epilepsy in Children: A Missing Relationship. J. Clin. Med. 2022, 11, 6182. https://doi.org/10.3390/jcm11206182
Massimi L, Palombi D, Contaldo I, Veredice C, Chieffo DRP, Calandrelli R, Tamburrini G, Battaglia DI. Chiari 1 Malformation and Epilepsy in Children: A Missing Relationship. Journal of Clinical Medicine. 2022; 11(20):6182. https://doi.org/10.3390/jcm11206182
Chicago/Turabian StyleMassimi, Luca, Davide Palombi, Ilaria Contaldo, Chara Veredice, Daniela Rosaria Pia Chieffo, Rosalinda Calandrelli, Gianpiero Tamburrini, and Domenica Immacolata Battaglia. 2022. "Chiari 1 Malformation and Epilepsy in Children: A Missing Relationship" Journal of Clinical Medicine 11, no. 20: 6182. https://doi.org/10.3390/jcm11206182
APA StyleMassimi, L., Palombi, D., Contaldo, I., Veredice, C., Chieffo, D. R. P., Calandrelli, R., Tamburrini, G., & Battaglia, D. I. (2022). Chiari 1 Malformation and Epilepsy in Children: A Missing Relationship. Journal of Clinical Medicine, 11(20), 6182. https://doi.org/10.3390/jcm11206182

