Retrospective 1- to 8-Year Follow-Up Study of Complete Oral Rehabilitation Using Monolithic Zirconia Restorations with Increased Vertical Dimension of Occlusion in Patients with Bruxism
Abstract
:1. Introduction
2. Materials and Methods
2.1. Study Sample
2.2. Inclusion Criteria
2.3. Exclusion Criteria
2.4. Methods
2.5. Clinical and Radiographic Assessments and Classification of Observed Events at the Recall Appointment
2.6. Statistical Methods and Synthesis of Results
3. Results
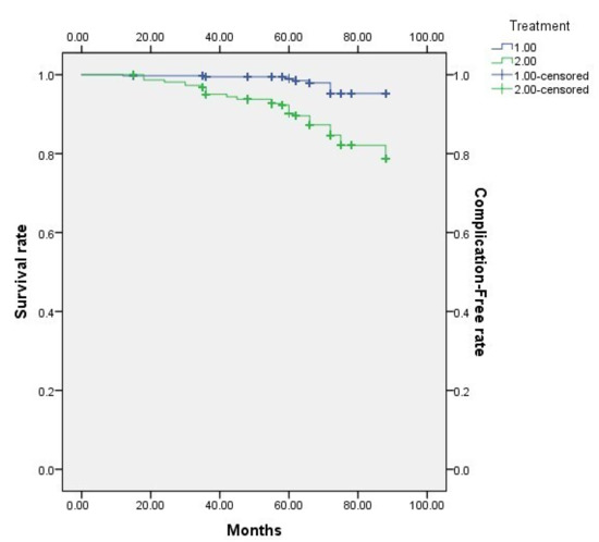
3.1. Biological Findings and Implant Survival Rate
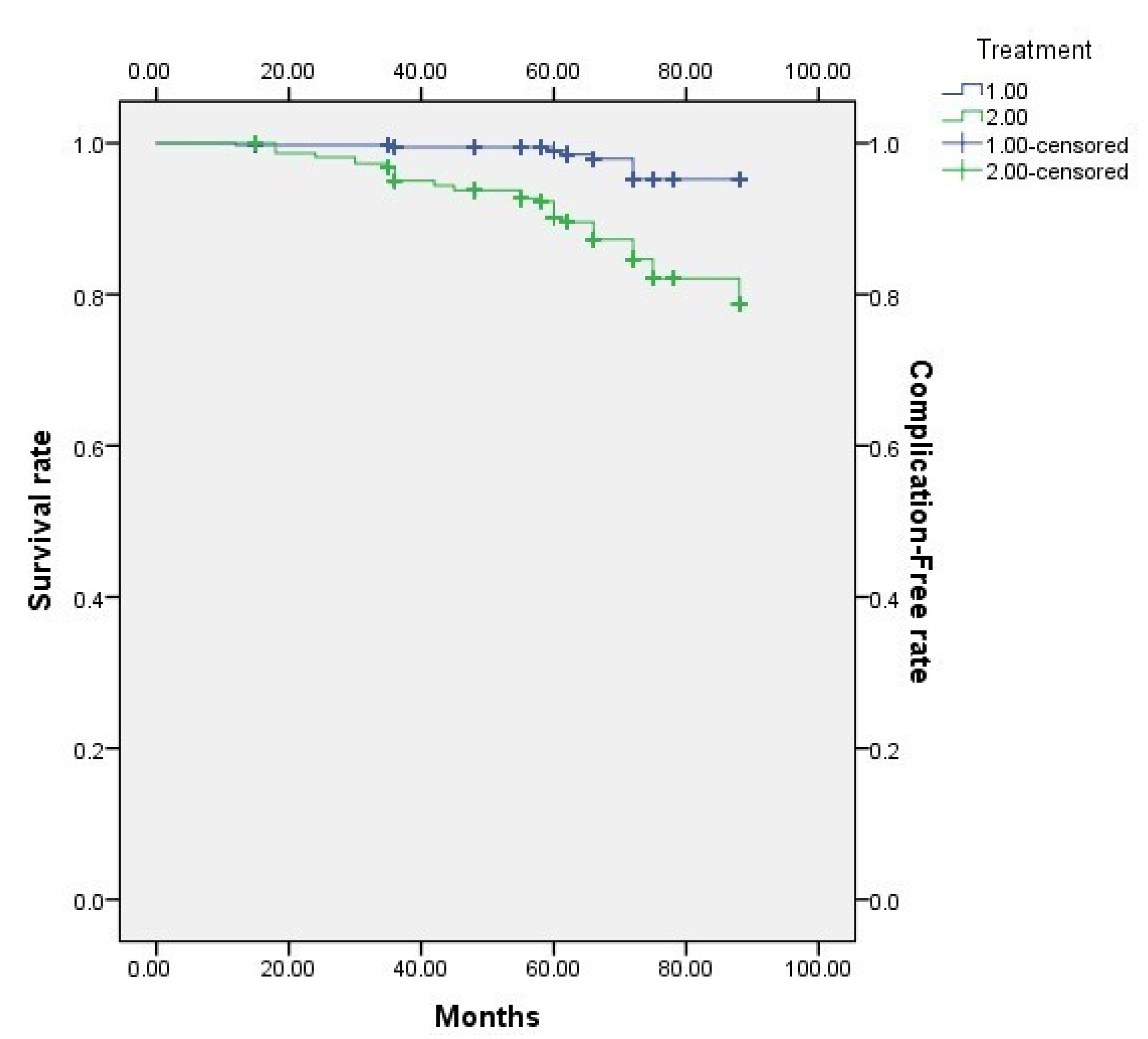
3.2. Absolute Failure and Survival of Zirconia Restorations
3.3. Relative Failure and Success of the Treatments
3.4. California Dental Association Ratings
4. Discussion
5. Conclusions
Author Contributions
Funding
Institutional Review Board Statement
Informed Consent Statement
Data Availability Statement
Conflicts of Interest
References
- Lobbezoo, F.; Ahlberg, J.; Glaros, A.G.; Kato, T.; Koyano, K.; Lavigne, G.J.; De Leeuw, R.; Manfredini, D.; Svensson, P.; Winocur, E. Bruxism defined and graded: An international consensus. J. Oral Rehabil. 2013, 40, 2–4. [Google Scholar] [CrossRef] [PubMed]
- Lobbezoo, F.; Ahlberg, J.; Raphael, K.G.; Wetselaar, P.; Glaros, A.G.; Kato, T.; Santiago, V.; Winocur, E.; De Laat, A.; De Leeuw, R.; et al. International consensus on the assessment of bruxism: Report of a work in progress. J. Oral Rehabil. 2018, 45, 837–844. [Google Scholar] [CrossRef] [PubMed]
- Manfredini, D.; Serra-Negra, J.; Carboncini, F.; Lobbezoo, F. Current concepts of bruxism. Int. J. Prosthodont. 2017, 30, 437–438. [Google Scholar] [CrossRef] [PubMed]
- Van de Sande, F.H.; Opdam, N.J.; Rodolpho, P.A.; Correa, M.B.; Demarco, F.F.; Cenci, M.S. Patient risk factors’ influence on survival of posterior composites. J. Dent. Res. 2013, 92 (Suppl. S7), 78S–83S. [Google Scholar] [CrossRef]
- Demarco, F.F.; Corrêa, M.B.; Cenci, M.S.; Moraes, R.R.; Opdam, N.J.M. Longevity of posterior composite restorations: Not only a matter of materials. Dent. Mater. 2012, 28, 87–101. [Google Scholar] [CrossRef]
- Christel, P.; Meunier, A.; Heller, M.; Torre, J.P.; Peille, C.N. Mechanical properties and short-term in-vivo evaluation of yttriumoxide-partially-stabilized zirconia. J. Biomed. Mater. Res. 1989, 23, 45–61. [Google Scholar] [CrossRef]
- Laumbacher, H.; Strasser, T.; Knüttel, H.; Rosentritt, M. Long-term clinical performance and complications of zirconia-based tooth- and implant-supported fixed prosthodontic restorations: A summary of systematic reviews. J. Dent. 2021, 111, 103723. [Google Scholar] [CrossRef]
- Heller, H.; Sreter, D.; Arieli, A.; Beitlitum, I.; Pilo, R.; Levartovsky, S. Survival and success rates of monolithic zirconia restorations supported by teeth and implants in bruxer versus non-bruxer patients: A retrospective study. Materials 2022, 15, 833. [Google Scholar] [CrossRef]
- Chrcanovic, B.R.; Kisch, J.; Larsson, C. Retrospective evaluation of implant-supported full-arch fixed dental prostheses after a mean follow-up of 10 years. Clin. Oral Implants Res. 2020, 31, 634–645. [Google Scholar] [CrossRef]
- Fabbri, G.; Sorrentino, R.; Cannistraro, G.; Mintrone, F.; Bacherini, L.; Turrini, R.; Bombardelli, T.; Nieri, M.; Fradeani, M. Increasing the vertical dimension of occlusion: A multicenter retrospective clinical comparative study on 100 patients with fixed tooth-supported, mixed, and implant-supported full-arch rehabilitations. Int. J. Periodontics Restor. Dent. 2018, 38, 323–335. [Google Scholar] [CrossRef]
- Levartovsky, S.; Pilo, R.; Shadur, A.; Matalon, S.; Winocur, E. Complete rehabilitation of patients with bruxism by veneered and non-veneered zirconia restorations with an increased vertical dimension of occlusion: An observational case-series study. J. Prosthodont. Res. 2019, 63, 440–446. [Google Scholar] [CrossRef]
- American Academy of Sleep Disorders. International Classification of Sleep Disorders, 3rd ed.; American Academy of Sleep Disorders: Darien, IL, USA, 2014. [Google Scholar]
- Rivera-Morales, W.C.; Mohl, N.D. Relationship of occlusal vertical dimension to the health of the masticatory system. J. Prosthet. Dent. 1991, 65, 547–553. [Google Scholar] [CrossRef]
- Heitz-Mayfield, L.J.; Needleman, I.; Salvi, G.E.; Pjetursson, B.E. Consensus statements and clinical recommendations for prevention and management of biologic and technical implant complications. Int. J. Oral Maxillofac. Implants 2014, 29, 346–350. [Google Scholar] [CrossRef]
- Ryge, G. Clinical criteria. Int. Dent. J. 1980, 30, 347–358. [Google Scholar]
- Håff, A.; Löf, H.; Gunne, J.; Sjögren, G. A retrospective evaluation of zirconia-fixed partial dentures in general practices: An up to 13-year study. Dent. Mater. 2015, 31, 162–170. [Google Scholar] [CrossRef]
- Heintze, S.D.; Rousson, V. Survival of zirconia- and metal-supported fixed dental prostheses: A systematic review. Int. J. Prosthodont. 2010, 23, 493–502. [Google Scholar]
- Anusavice, K.J. Standardizing failure, success, and survival decisions in clinical studies of ceramic and metal-ceramic fixed dental prostheses. Dent. Mater. 2012, 28, 102–111. [Google Scholar] [CrossRef]
- Hawthan, M.; Chrcanovic, B.R.; Larsson, C. Retrospective study comparing clinical outcomes of fixed dental prostheses in matched groups of bruxer and nonbruxer patients. Int. J. Dent. 2022, 2022, 6818170. [Google Scholar] [CrossRef]
- Worni, A.; Katsoulis, J.; Kolgeci, L.; Worni, M.; Mericske-Stern, R. Monolithic zirconia reconstructions supported by teeth and implants: 1- to 3-year results of a case series. Quintessence Int. 2017, 48, 459–467. [Google Scholar]
- Leitão, C.I.M.B.; Fernandes, G.V.O.; Azevedo, L.P.P.A.; Araújo, F.M.; Donato, H.; Correia, A.C.M. Clinical performance of monolithic CAD/CAM tooth-supported zirconia restorations: Systematic review and meta-analysis. J. Prosthodont. Res. 2022, 66, 374–384. [Google Scholar] [CrossRef]
- Guess, P.C.; Att, W.; Strub, J.R. Zirconia in fixed implant prosthodontics. Clin. Implant Dent. Relat. Res. 2012, 14, 633–645. [Google Scholar] [CrossRef] [PubMed]
- Muñoz, E.M.; Longhini, D.; Antonio, S.G.; Adabo, G.L. The effects of mechanical and hydrothermal aging on microstructure and biaxial flexural strength of an anterior and a posterior monolithic zirconia. J. Dent. 2017, 6, 94–102. [Google Scholar] [CrossRef] [PubMed]
- Kwon, S.J.; Lawson, N.C.; McLaren, E.E.; Nejat, A.H.; Burgess, J.O. Comparison of the mechanical properties of translucent zirconia and lithium disilicate. J. Prosthet. Dent. 2018, 120, 132–137. [Google Scholar] [CrossRef] [PubMed]
- Heidari, N.; Amawi, R.; Seweryniak, P.; Bakitian, F.; Vult von Steyern, P. Fracture Resistance and fracture behaviour of monolithic multi-layered translucent zirconia fixed dental prostheses with different placing strategies of connector: An in vitro study. Clin. Cosmet. Investig. Dent. 2022, 14, 61–69. [Google Scholar] [CrossRef] [PubMed]
- Bento, V.A.A.; Gomes, J.M.L.; Lemos, C.A.; Limirio, J.P.J.O.; Rosa, C.D.D.R.D.; Pellizzer, E.P. Prevalence of proximal contact loss between implant-supported prostheses and adjacent natural teeth: A systematic review and meta-analysis. J. Prosthet. Dent. 2021. [Google Scholar] [CrossRef] [PubMed]
- Greenstein, G.; Carpentieri, J.; Cavallaro, J. Open contacts adjacent to dental implant restorations: Etiology, incidence, consequences, and correction. J. Am. Dent. Assoc. 2016, 147, 28–34. [Google Scholar] [CrossRef] [PubMed]
- Zeng, B.J.; Guo, Y.; Yu, R.Y. Effect of the vacuum-formed retainer on preventing the proximal contact loss between implant supported crown and adjacent natural teeth. Beijing Da Xue Xue Bao Yi Xue Ban 2018, 50, 553–559. [Google Scholar]
- Koenig, V.; Wulfman, C.; Bekaert, S.; Dupont, N.; Le Goff, S.; Eldafrawy, M.; Vanheusden, A.; Mainjot, A. Clinical behavior of second-generation zirconia monolithic posterior restorations: Two-year results of a prospective study with ex vivo analyses including patients with clinical signs of bruxism. J. Dent. 2019, 91, 103229. [Google Scholar] [CrossRef]








| Patient Sex | Age at Treatment | VDO Increased (mm) | Follow-Up (Months) | NVZ Restorations | VZ Restorations | Total Restorations | Implants | Occlusal Splint |
|---|---|---|---|---|---|---|---|---|
| 1 (F) | 68 | 3 | 72 | 12 | 10 | 22 | 5 | No |
| 2 (M) | 69 | 3 | 66 | 16 | 10 | 26 | 9 | No |
| 3 (M) | 62 | 2 | 60 | 16 | 10 | 26 | 5 | No |
| 4 (M) | 62 | 7 | 58 | 16 | 10 | 24 | 6 | No |
| 5 (F) | 67 | 2 | 55 | 14 | 10 | 24 | 3 | Yes |
| 6 (M) | 69 | 5 | 72 | 14 | 10 | 26 | 6 | No |
| 7 (M) | 70 | 6 | 88 | 16 | 10 | 23 | 5 | Yes |
| 8 (F) | 70 | 2 | 62 | 13 | 10 | 24 | 1 | Yes |
| 9 (M) | 72 | 3 | 75 | 16 | 8 | 20 | 13 | No |
| 10 (F) | 55 | 3 | 78 | 12 | 8 | 20 | 7 | Yes |
| 11 (M) | 35 | 2 | 48 | 10 | 10 | 22 | 7 | Yes |
| 12 (M) | 43 | 2 | 36 | 14 | 8 | 28 | 2 | No |
| 13 (F) | 35 | 2 | 35 | 18 | 10 | 22 | 0 | Yes |
| 14 (M) | 78 | 5 | 48 | 12 | 10 | 22 | 2 | No |
| 15 (M) | 32 | 3 | 15 | 12 | 10 | 26 | 0 | Yes |
| 16 (F) | 65 | 2 | 72 | 18 | 8 | 26 | 17 | No |
| Total | 229 | 152 | 381 | 88 |
| Interval (Years) | No. of Implants | No. of Failures | Interval Survival Rate (%) | Cumulative Survival Rate (%) |
|---|---|---|---|---|
| 0–1 | 88 | 0 | 100 | 100 |
| 1–2 | 88 | 0 | 100 | 100 |
| 2–3 | 88 | 0 | 100 | 100 |
| 3–4 | 88 | 0 | 100 | 100 |
| 4–5 | 86 | 0 | 100 | 100 |
| 5–6 | 68 | 1 | 98.5 | 98.9 |
| 6–7 | 53 | 1 | 98.1 | 97.7 |
| 7–8 | 3 | 0 | 98.1 | 97.7 |
| Interval (Years) | No. of Zirconia Restorations | No. of Failures | Interval Survival Rate (%) | Cumulative Survival Rate (%) |
|---|---|---|---|---|
| 0–1 year | 381 | 1 | 99.7 | 99.7 |
| 1–2 years | 381 | 0 | 99.7 | 99.7 |
| 2–3 years | 359 | 1 | 99.7 | 99.5 |
| 3–4 years | 331 | 0 | 99.7 | 99.5 |
| 4–5 years | 309 | 1 | 99.7 | 99.2 |
| 5–6 years | 217 | 2 | 99.0 | 98.7 |
| 6–7 years | 142 | 4 | 97.2 | 97.6 |
| 7–8 years | 26 | 0 | 97.2 | 97.6 |
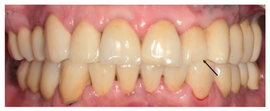
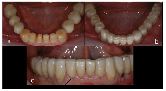
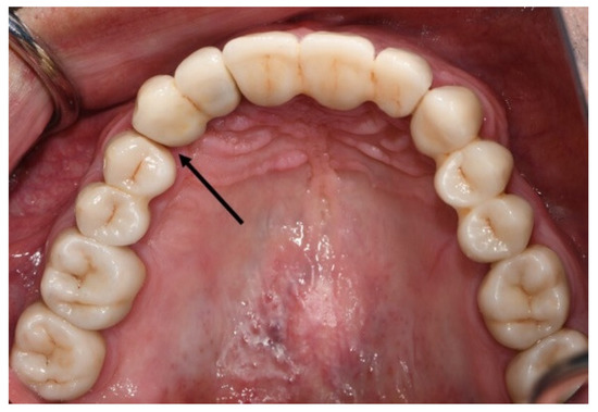
| Pt. # (Sex) | Fractured Tooth | Secondary Caries | Loss of Retention | Loss of Vitality | Porcelain Chipping | Zirconia Fracture (Minor) | Open Proximal Contact | Implant Failure | Occlusal Splint |
|---|---|---|---|---|---|---|---|---|---|
| 1 (F) | 3 * | 1 * | 1 # | No | |||||
| 2 (M) | 2 # | 5 * | 2 ** | No | |||||
| 3 (M) | 2 * | 1 * | No | ||||||
| 4 (M) | 2 * | No | |||||||
| 5 (F) | Yes | ||||||||
| 6 (M) | 3 * | 3 * | Yes | ||||||
| 7 (M) | 3 ** | 1 ** | Yes | ||||||
| 8 (F) | 1 * | 1 ** | Yes | ||||||
| 9 (M) | 1 * | 3 * | 2 * | No | |||||
| 10 (F) | 2 * | 1 * | Yes | ||||||
| 11 (M) | 3 * | Yes | |||||||
| 12 (M) | No | ||||||||
| 13 (F) | Yes | ||||||||
| 14 (M) | 2 * | 2 * | No | ||||||
| 15 (M) | Yes | ||||||||
| 16 (F) | 2 * | 2 * | 1 * | No | |||||
| Total | 3 | 4 | 3 | 1 | 25 | 2 | 12 | 2 |
| Outcome | Zirconia Patient Group | |
|---|---|---|
| Veneer | No Veneer | |
| Absolute failure (survival) | ||
| Secondary caries | 0 | 4 |
| Implant failure | 0 | 2 |
| Fractured tooth | 3 | 0 |
| Total failures | 3 | 6 |
| Relative failure (complications) | ||
| Porcelain chipping | 25 | 0 |
| Zirconia fracture (minor) | 0 | 2 |
| Loss of retention | 0 | 3 |
| Loss of vitality | 0 | 1 |
| Open proximal contact | 2 | 10 |
| Total complications | 27 | 16 |
Publisher’s Note: MDPI stays neutral with regard to jurisdictional claims in published maps and institutional affiliations. |
© 2022 by the authors. Licensee MDPI, Basel, Switzerland. This article is an open access article distributed under the terms and conditions of the Creative Commons Attribution (CC BY) license (https://creativecommons.org/licenses/by/4.0/).
Share and Cite
Matalon, S.; Heller, H.; Beitlitum, I.; Weinberg, E.; Emodi-Perlman, A.; Levartovsky, S. Retrospective 1- to 8-Year Follow-Up Study of Complete Oral Rehabilitation Using Monolithic Zirconia Restorations with Increased Vertical Dimension of Occlusion in Patients with Bruxism. J. Clin. Med. 2022, 11, 5314. https://doi.org/10.3390/jcm11185314
Matalon S, Heller H, Beitlitum I, Weinberg E, Emodi-Perlman A, Levartovsky S. Retrospective 1- to 8-Year Follow-Up Study of Complete Oral Rehabilitation Using Monolithic Zirconia Restorations with Increased Vertical Dimension of Occlusion in Patients with Bruxism. Journal of Clinical Medicine. 2022; 11(18):5314. https://doi.org/10.3390/jcm11185314
Chicago/Turabian StyleMatalon, Shlomo, Hadas Heller, Ilan Beitlitum, Evgeny Weinberg, Alona Emodi-Perlman, and Shifra Levartovsky. 2022. "Retrospective 1- to 8-Year Follow-Up Study of Complete Oral Rehabilitation Using Monolithic Zirconia Restorations with Increased Vertical Dimension of Occlusion in Patients with Bruxism" Journal of Clinical Medicine 11, no. 18: 5314. https://doi.org/10.3390/jcm11185314
APA StyleMatalon, S., Heller, H., Beitlitum, I., Weinberg, E., Emodi-Perlman, A., & Levartovsky, S. (2022). Retrospective 1- to 8-Year Follow-Up Study of Complete Oral Rehabilitation Using Monolithic Zirconia Restorations with Increased Vertical Dimension of Occlusion in Patients with Bruxism. Journal of Clinical Medicine, 11(18), 5314. https://doi.org/10.3390/jcm11185314

