Abstract
Background: This study aimed to elucidate the change of body composition in different clinical stages of renal cell carcinoma (RCC) by analyzing computed tomography (CT) images. Methods: We enrolled patients diagnosed with RCC in a tertiary medical center who did not mention body weight loss or symptoms of cachexia. We grouped patients into those with localized RCC and those with metastatic RCC. Analyses of the volume of skeletal muscles tissue (SMT), subcutaneous adipose tissue (SAT), and visceral adipose tissue (VAT) calculated based on CT images were performed and included subgroup analyses by sex and age. The correlation between tumor size and body composition in localized RCC was also examined. Results: A total of 188 patients were enrolled in this study. There was significantly lower VAT (p = 0.015) in the metastatic group than in the localized group. SAT, body weight, and body mass index (BMI) were not significantly different between these two groups. In the subgroup analysis, a significant difference in SMT and VAT was noted in the male and younger subgroups but not in the female and older subgroups. Regarding primary tumor size in localized RCC, VAT was significantly higher in patients with larger tumors (p = 0.003). Conclusions: In localized RCC, VAT volume was significantly larger in those with large primary tumor size. However, the VAT was significantly lower in those with metastatic status comparing to those with localized disease. The clinical course of cancers closely correlates with body composition.
1. Introduction
Tumor growth is an energy-consuming process [1]. During the progression of tumors, appetite loss, starvation, anemia, poor immunity, unexpected weight loss, and other symptoms of cachexia will appear. With respect to body composition, loss of body weight and decreased skeletal muscle and adipose tissue mass appear in the cachexic state [2].
The kidney is an organ with an important role in metabolism, and tumors associated with the kidney may have a significant influence on metabolism. Cancer originating from the renal tubular epithelial cells is known as renal cell carcinoma (RCC) and accounts for up to 90% of cancers in the kidney [3]. RCC accounts for approximately 2% of the all cancer diagnoses worldwide [4]. There are three main subtypes of RCC: clear cell RCC (ccRCC), papillary RCC (pRCC), and chromophobe RCC (chRCC); ccRCC is the most common among them [5].
Body mass index (BMI), as a marker for obesity and body composition, is related to the risk of RCC. In previous observational studies, nearly half of all kidney tumors were linked to obesity (BMI > 30 kg/m2), and the risk of RCC is approximately 20–35% higher for every 5 kg/m2 increase in BMI [6]. In addition to BMI, the visceral adipocyte index has also been used to predict RCC and showed significant correlations with higher nuclear grade and tumor size [7]. In addition to the correlation with the occurrence of RCC, body composition itself can have an influence on the prognosis of RCC. Patients with advanced RCC who have higher amounts of visceral fat had a lower mortality rate after nephrectomy [8], while patients with metastatic RCC with high visceral fat area also had better prognosis after systemic therapy [9]. Skeletal muscle has been shown to have a great influence on the immune system; therefore, it has an influence on tumor progression [10]. The effect of skeletal muscle mass in patients with localized, locally advanced, and metastatic RCC have been investigated in some studies; however, the results have been inconclusive [11,12,13]. Cancer may have impact on body composition, while body composition may also potentially influence the outcome of cancers.
In this study, we measured the body composition variables of patients diagnosed with RCC based on computed tomography (CT) findings and aimed to elucidate the relationship between body composition factors and tumor status in RCC.
2. Materials and Methods
From 2007 to 2014, patients with newly diagnosed RCC in a tertiary medical center were retrospectively identified via electronic medical record and enrolled. Patients with a previous history of cancer or concomitant newly diagnosed cancer were excluded. Patients who had self-reported body weight loss, obvious poor appetite, or other cachexia-related symptoms that were documented on medical records were also excluded. All patients underwent CT of the abdomen for cancer staging. After discussion in our multi-disciplinary uro-oncology board, all patients received adequate treatment, including partial nephrectomy, radical nephrectomy, or systemic target therapy, according to their clinical condition.
This study was approved by the Chang Gung Medical Foundation Institutional Review Board. This study was conducted in accordance with the ethical principles mentioned in the Declaration of Helsinki (2013). The requirement for informed consent was waived due to the retrospective study design.
We collected patients’ general data by reviewing the medical records, including sex, age, height, weight, body mass index (BMI), hemogram, biochemistry laboratory data, and comorbidities. Tumor-related factors, such as TNM staging, histological subtypes, and tumor size, were also collected.
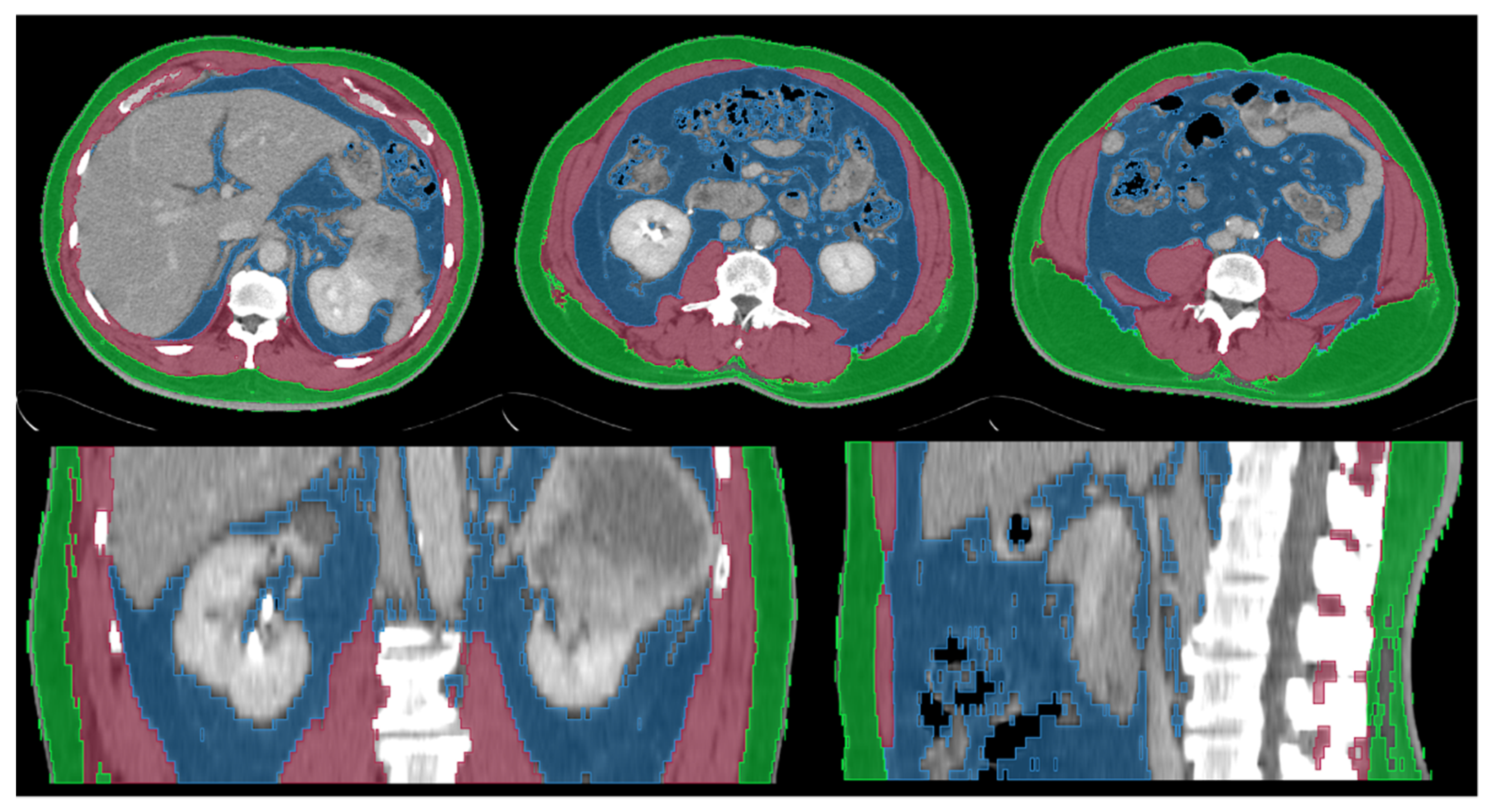
Body composition variables were measured based on the CT images for cancer staging. Abdominal computed tomography (CT) scans were performed with and without intravenous contrast before surgery as routine. The slice thickness and interval ranged from 3 to 10 mm with a median of 5 mm. Body composition analysis was performed using 3D Slicer (www.slicer.org, accessed on 1 January 2015 [14]) using a semiautomatic segmentation method. Abdominal CT images were segmented into three components: skeletal muscle tissue (SMT), subcutaneous adipose tissue (SAT), and visceral adipose tissue (VAT). The CT attenuation value of adipose tissue was defined as −190 to −30 Hounsfield units (HUs) [15]. Three-dimensional (3D) volumes at the level of the costophrenic angle to the iliac crest and two-dimensional (2D) cross-section areas at the level of the third lumbar spine (L3) showing both transversal processes were calculated for SMT, SAT, and VAT. Figure 1 shows an example of body composition analysis on abdominal CT images.
Figure 1.
Example of abdominal computed tomography body composition analysis (upper left: axial plane at the level of costophrenic angle, upper middle: axial plane at the level of L3, upper right: axial plane at the level of iliac crest, lower left: coronal plane, lower right: sagittal plane). Skeletal muscles tissue (red area), subcutaneous adipose tissue (green area), and visceral adipose tissue (blue area) were segmented. Three-dimensional (3D) volumes from the level of costophrenic angle to iliac crest and two-dimensional (2D) cross-section areas at the level of L3 were calculated.
Independent t-test and descriptive statistics were performed using IBM SPSS v22.0 (IBM Corp., Armonk, NY, USA) to compare the difference between patients with localized RCC and metastatic RCC. Subgroup-analysis according to sex, age, and tumor size were also performed. The tumor size subgroup was divided by the median value of 3D tumor volume calculated on CT scan.
3. Results
Among all 188 patients, there were 141 patients with localized RCC and 47 patients with metastatic RCC; ccRCC was the most common histologic subtype (81.4%) among these patients. The mean age (±SD) of all patients was 57.1 ± 13.11 years, mean weight was 67.71 ± 12.68 kg, and mean BMI was 25.17 ± 4.01 kg/m2. The mean weight and BMI were not statistically different between the localized and metastatic groups (68.7 vs. 65.0 kg, p = 0.096; 25.4 vs. 24.4 kg/m2, p = 0.168, respectively). Other detailed clinical characteristics are listed in Table 1.
Table 1.
Patients’ General Characteristics.
The mean SMT volume in the metastatic RCC group was 1735.28 cm3, which is significantly lower than that in the localized RCC group (mean value = 1948.49 cm3, difference = 231.21 cm3, p = 0.015). The VAT volume was significantly lower in the metastatic group than in the localized group (1523.2 cm3 vs. 1986.7 cm3, respectively, p = 0.015). The mean SAT volume was 1879.6 cm3 in the localized group and 1559.8 cm3 in the metastatic, which was not significantly different (p = 0.076).
The result of VAT cross sectional area analysis showed similar significant differences between the two groups. The mean area of VAT-L3 was 146.48 cm2 in the localized group and 118.52 cm2 in the metastatic group (p = 0.037). In multi-variate analysis, only VAT volume was significantly different between localized and metastatic subgroups (p = 0.020). Detailed results are listed in Table 2.
Table 2.
Significant difference analysis between localized and metastatic RCC.
We then performed subgroup analysis by groups according to sex and age. In the sex subgroup analysis, SMT and VAT volume in metastatic RCC were significantly lower than in localized RCC in the male subgroup. The mean SMT volume was 2094.8 cm3 in the localized group and 1856.8 cm3 in the metastatic group in the male subgroup (p = 0.015), and the mean VAT volume was 2137.8 cm3 in the localized group and 1579.8 cm3 in the metastatic group (p = 0.012). However, the SMT and VAT volumes were not significantly lower in the metastatic group in the female subgroup analysis (p = 0.118 and 0.497, respectively).
In the age subgroup analysis, SMT volume was significantly lower in metastatic RCC than in localized RCC in the younger subgroup. A similar pattern was seen in the older subgroup; however, the difference was not significant. The detailed results are listed in Table 3, and the comparison of BMI and body composition factors in the whole group and different subgroups is illustrated in Figure 2.
Table 3.
Subgroup Analysis Between Localized and Metastatic RCC.
Figure 2.
Comparison of body composition factors analysis between localized and metastatic RCC group in overall and subgroup (gender/age) analysis. (A) BMI; (B) SMT; (C) SAT; and (D) VAT. * p-value < 0.05; ** p-value < 0.01.
The relationship between body composition factors and tumor burden was further examined. We divided patients in the localized RCC group by the median tumor volume (19.32 cm3) into small and large tumor groups.
For SMT and VAT, the mean volumes in the large tumor group were significantly higher than those in the small tumor group. However, only VAT remained significantly different in multi-variate analysis. The detailed results are listed in Table 4, while Figure 3 illustrates the difference in body composition factors between the large and small tumor groups.
Table 4.
Correlation Analysis Between Tumor Size and Body Composition in localized RCC.
Figure 3.
Comparison of body composition factors, body weight, and BMI in tumor size subgroup analysis in localized RCC. (A) SMT, SAT, and VAT; (B) body weight; and (C) BMI. * p-value < 0.05; ** p-value < 0.01.
4. Discussion
Loss of adipose tissue occurs earlier than loss of lean mass in patient with metastatic disease [16]. The change in body composition can occur before a noticeable change in BMI or net body weight. In our study, patients with late-stage RCC significantly had lower adipose tissue and lean mass than those with early-stage RCC, but there was no significant difference in body weight or BMI. We divided adipose tissue into VAT and SAT and found significantly lower VAT but not SAT in metastatic RCC, which might imply that VAT is consumed earlier than SAT during the clinical progression of RCC.
In contrast to SAT, VAT is more like to be the driver of metabolic disturbances in obesity [16]. Studies have shown that in cardiometabolic disease or acute cholecystitis VAT but not SAT is associated with disease outcomes [17,18]. A meta-analysis demonstrated that after engaging in exercise and going on a diet, taking weight-promoting drugs, or receiving bariatric surgery, the change in SAT is greater than that in VAT, but the proportional change in VAT is greater than that in SAT [19]. In our study, we observed a significant difference in VAT but not in SAT between patients with metastatic and localized RCC; this is compatible with the previous hypothesis that VAT, even if it is more life-threatening, is more vulnerable than SAT.
In univariate analysis, the SMT volume was also significantly decreased in patients with metastatic disease; however, the significance diminished in multi-variate analysis. Clinical and experimental research has identified mechanisms by which skeletal muscle is affected by tumor cells, such as protein synthesis or muscle cell autophagy [20]. The etiology of cancer-associated muscle wasting is multifactorial. Tumor metabolism requires fuel for energy and amino acids, and tumor-derived molecules will also elicit catabolic pathways at the tissue level in muscle. Moreover, endocrine, neural, and inflammatory derangements provide further catabolic drive [21]. The above metabolic change in patients with diffuse tumor burden agreed with our findings that SMT was lower in patients with metastatic RCC even if they were naïve to systemic therapy for advanced cancer.
In the subgroup analysis, the significant difference in SMT and VAT disappeared in the female and older subgroups. The baseline volume of skeletal muscle and visceral fat correlated with sex and age, and studies have shown that female and older subgroups tend to have small amounts of skeletal muscle and visceral fat [22,23,24]. In our study, we also noted that female and older patients had relatively low baseline SMT and VAT, which might explain the non-significant result in our subgroup analysis.
We further aimed to elucidate the correlation between body composition and localized renal tumors. We found the opposite result: that patients harboring tumors that were larger would have a significantly higher volume of SMT and VAT in univariate analysis when the RCC still remained a localized disease. However, the significance of SMT diminished again in multi-variate analysis.
Skeletal muscle has a great influence on the immune system, and those with sarcopenia show worse immune status [25]. It is possible that reactively increased skeletal muscle acts as a protective factor for the body to deal with tumor cells. Tumor progression depends on the interaction between tumor epithelial cells and surrounding stromal cells, which refers to peri-nephric visceral adipose tissue in RCCs. Visceral adipose tissue presents anatomical, cellular, and expression profiles different from those of subcutaneous adipose tissue [26]. Furthermore, the growth factors and cytokines secreted by adipose tissue may form a microenvironment suitable for tumor growth, which has a significant effect on the progression cancer [27,28]. In previous studies, increased visceral adipose tissue was noted in patients with both clear and non-clear cell renal cell carcinomas [29]. This hypothesis explains why increased SMT and VAT in patients with higher tumor burden are related to the body’s response to tumor progression, owing to either their immune reaction or the endocrine stimulation of the adipose tissue.
Our study has some limitations. First, the relatively small sample size might make it difficult to analyze the body composition differences in some subgroups, such as subgroups defined by tumor stage. Second, since we could not perform a cohort study to trace the change in body composition in patients diagnosed with RCC as tumor progressed, a case-control study design was conducted instead.
5. Conclusions
The body composition of patients in different stages of RCC differs. When the tumor is confined locally, the body tends to have increased VAT volume. However, in those with metastatic disease, VAT volume was significantly lower. This difference of body composition between patients with localized and metastatic disease was detectable earlier than the body weight and BMI. In addition to localized and metastatic status, the body composition also varied when considering different gender and age. The interaction between body composition and cancers required a further larger cohort and basic research studies to discover.
Author Contributions
Conception and design, I.-H.S.; provision of study materials or patients, I.-H.S., Y.-H.C., C.-T.W., C.-K.C. and S.-T.P.; collection and assembly of data, C.-C.T., T.-W.S. and I.-H.S.; MRI image analysis, T.-W.S. and L.-J.W.; data analysis and interpretation, C.-C.T. and I.-H.S.; manuscript writing, C.-C.T. and I.-H.S. All authors have read and agreed to the published version of the manuscript.
Funding
The authors declare that they have no funding.
Institutional Review Board Statement
This study has been conducted in accordance with the ethical principles mentioned in the Declaration of Helsinki (2013). This study was approved by Chang Gung Medical Foundation Institutional Review Board. (IRB No.: 202000989B0).
Informed Consent Statement
Not applicable.
Data Availability Statement
All data generated or analyzed during this study are included in this published article.
Conflicts of Interest
The authors declare that they have no competing interest.
Abbreviations
| BMI | Body mass index |
| CT | Computed tomography |
| SAT | Subcutaneous adipose tissue |
| VAT | Visceral adipose tissue |
| SMT | Skeletal muscle tissue |
| RCC | Renal cell carcinoma |
| ccRCC | Clear cell renal cell carcinoma |
| pRCC | Papillary renal cell carcinoma |
| chRCC | Chromophobe renal cell carcinoma |
References
- DeBerardinis, R.J.; Chandel, N.S. Fundamentals of cancer metabolism. Sci. Adv. 2016, 2, e1600200. [Google Scholar] [CrossRef] [PubMed] [Green Version]
- Baracos, V.E.; Martin, L.; Korc, M.; Guttridge, D.C.; Fearon, K.C. Cancer-associated cachexia. Nat. Rev. Dis. Primers 2018, 4, 17105. [Google Scholar] [CrossRef] [PubMed]
- Moch, H.; Cubilla, A.L.; Humphrey, P.A.; Reuter, V.E.; Ulbright, T.M. The 2016 WHO Classification of tumours of the urinary System and male genital organs-Part A: Renal, penile, and testicu- lar tumours. Eur. Urol. 2016, 70, 93–105. [Google Scholar] [CrossRef] [PubMed]
- Bray, F.; Ferlay, J.; Soerjomataram, I.; Siegel, R.L.; Torre, L.A.; Jemal, A. Global cancer statistics 2018: GLOBOCAN estimates of incidence and mortality worldwide for 36 cancers in 185 countries. CA Cancer J. Clin. 2018, 68, 394–424. [Google Scholar] [CrossRef] [Green Version]
- Hsieh, J.J.; Purdue, M.P.; Signoretti, S.; Swanton, C.; Albiges, L.; Schmidinger, M.; Heng, D.Y.; Larkin, J.; Ficarra, V. Renal cell carcinoma. Nat. Rev. Dis. Primers 2017, 3, 17009. [Google Scholar] [CrossRef] [PubMed]
- Petejova, N.; Martinek, A. Renal cell carcinoma: Review of etiology, pathophysiology and risk factors. Biomed. Pap. Med. Fac. Univ. Palacky Olomouc. Czech Repub. 2016, 160, 183–194. [Google Scholar] [CrossRef] [Green Version]
- Otunctemur, A.; Dursun, M.; Ozer, K.; Horsanali, O.; Ozbek, E. Renal cell carcinoma and visceral adipose index: A new risk parameter. Int. Braz. J. Urol. 2016, 42, 955–959. [Google Scholar] [CrossRef] [PubMed] [Green Version]
- Lee, H.W.; Jeong, B.C.; Seo, S.I.; Jeon, S.S.; Lee, H.M.; Choi, H.Y.; Jeon, H.G. Prognostic significance of visceral obesity in patients with advanced renal cell carcinoma undergoing nephrectomy. Int. J. Urol. 2015, 22, 455–461. [Google Scholar] [CrossRef] [PubMed] [Green Version]
- Mizuno, R.; Miyajima, A.; Hibi, T.; Masuda, A.; Shinojima, T.; Kikuchi, E.; Jinzaki, M.; Oya, M. Impact of baseline visceral fat accumulation on prognosis in patients with metastatic renal cell carcinoma treated with systemic therapy. Med. Oncol. 2017, 34, 47. [Google Scholar] [CrossRef]
- Nelke, C.; Dziewas, R.; Minnerup, J.; Meuth, S.G.; Ruck, T. Skeletal muscle as potential central link between sarcopenia and immune senescence. EBioMedicine 2019, 49, 381–388. [Google Scholar] [CrossRef] [Green Version]
- Buchler, T.; Kopecka, M.; Zemankova, A.; Wiesnerová, M.; Streckova, E.; Rozsypalova, A.; Melichar, B.; Poprach, A.; Richter, I. Sarcopenia in metastatic renal cell carcinoma patients treated with cabozantinib. Target. Oncol. 2020, 15, 673–679. [Google Scholar] [CrossRef] [PubMed]
- Darbas, T.; Forestier, G.; Leobon, S.; Pestre, J.; Jesus, P.; Lachatre, D.; Tubiana-Mathieu, N.; Descazeaud, A.; Deluche, E. Impact of body composition in overweight and obese patients with localised renal cell carcinoma. In Vivo 2020, 34, 2873–2881. [Google Scholar] [CrossRef] [PubMed]
- Watanabe, S.; Ishihara, H.; Takagi, T.; Kondo, T.; Ishiyama, R.; Fukuda, H.; Yoshida, K.; Iizuka, J.; Kobayashi, H.; Ishida, H.; et al. Impact of sarcopenia on post-operative outcomes following nephrectomy and tumor thrombectomy for renal cell carci- noma with inferior vena cava thrombus. Jpn. J. Clin. Oncol. 2021, 51, 819–825. [Google Scholar] [CrossRef] [PubMed]
- Fedorov, A.; Beichel, R.; Kalpathy-Cramer, J.; Finet, J.; Fillion-Robin, J.-C.; Pujol, S.; Bauer, C.; Jennings, D.; Fennessy, F.; Sonka, M.; et al. 3D Slicer as an image computing platform for the Quantitative Imaging Network. Magn. Reson. Imaging 2012, 30, 1323–1341. [Google Scholar] [CrossRef] [Green Version]
- Yoshizumi, T.; Nakamura, T.; Yamane, M.; Islam, A.H.M.W.; Menju, M.; Yamasaki, K.; Arai, T.; Kotani, K.; Funahashi, T.; Yamashita, S.; et al. Abdominal fat: Standardized technique for measurement at CT. Radiology 1999, 211, 283–286. [Google Scholar] [CrossRef] [PubMed]
- Batista, M.L., Jr.; Henriques, F.S.; Neves, R.X.; Olivan, M.R.; Matos-Neto, E.M.; Alcântara, P.S.; Maximiano, L.F.; Otoch, J.P.; Alves, M.J.; Seelaender, M. Cachexia-associated adipose tissue morphological rearrangement in gastrointestinal cancer patients. J. Cachexia Sar- Copenia Muscle 2016, 7, 37–47. [Google Scholar] [CrossRef] [PubMed]
- Leibovitz, E.; Ben-David, N.; Shibanov, L.; Elias, S.; Shimonov, M. Visceral adiposity but not subcutaneous fat associated with improved outcome of patients with acute cholecystitis. J. Surg. Res. 2018, 225, 15–20. [Google Scholar] [CrossRef]
- Sato, F.; Maeda, N.; Yamada, T.; Namazui, H.; Fukuda, S.; Natsukawa, T.; Nagao, H.; Murai, J.; Masuda, S.; Tanaka, Y.; et al. Association of epicardial, visceral, and subcutaneous fat with cardiometabolic diseases. Circ. J. 2018, 82, 502–508. [Google Scholar] [CrossRef] [Green Version]
- Merlotti, C.; Ceriani, V.; Morabito, A.; Pontiroli, A.E. Subcutaneous fat loss is greater than visceral fat loss with diet and exercise, weight-loss promoting drugs and bariatric surgery: A critical review and meta-analysis. Int. J. Obes. 2017, 41, 672–682. [Google Scholar] [CrossRef]
- Baracos, V.E.; Mazurak, V.C.; Bhullar, A.S. Cancer cachexia is defined by an ongoing loss of skeletal muscle mass. Ann Palliat. Med. 2019, 8, 3–12. [Google Scholar] [CrossRef] [PubMed]
- Friesen, D.E.; Baracos, V.E.; Tuszynski, J.A. Modeling the energetic cost of cancer as a result of altered energy metabolism: Implications for cachexia. Theor. Biol. Med. Model. 2015, 12, 17. [Google Scholar] [CrossRef] [PubMed] [Green Version]
- Bal, N.C.; Maurya, S.K.; Sopariwala, D.H.; Sahoo, S.K.; Gupta, S.C.; Shaikh, S.A.; Pant, M.; Rowland, L.A.; Bombardier, E.; Goonasekera, S.A.; et al. Sarcolipin is a newly identified regulator of muscle-based thermogenesis in mammals. Nat. Med. 2012, 18, 1575–1579. [Google Scholar] [CrossRef] [PubMed] [Green Version]
- Reig Garcia-Galbis, M.; Rizo Baeza, M.; Cortes Castell, E. [Predictors of weight loss and fat in the dietary management: Sex, age, BMI and consulting assistance]. Nutr. Hosp. 2015, 32, 1028–1035. [Google Scholar] [PubMed] [Green Version]
- Chang, E.; Varghese, M.; Singer, K. Gender and sex differences in adipose tssue. Curr. Diab. Rep. 2018, 18, 69. [Google Scholar] [CrossRef] [PubMed]
- Pillon, N.J.; Krook, A. Innate immune receptors in skeletal muscle metabolism. Exp. Cell Res. 2017, 360, 47–54. [Google Scholar] [CrossRef]
- Ibrahim, M.M. Subcutaneous and visceral adipose tissue: Structural and functional differences. Obes. Rev. 2010, 11, 11–18. [Google Scholar] [CrossRef]
- Schaffler, A.; Scholmerich, J.; Buechler, C. Mechanisms of disease: Adipokines and breast cancer—endocrine and paracrine mechanisms that connect adiposity and breast cancer. Nat. Clin. Pract. Endocrinol. Metab. 2007, 3, 345–354. [Google Scholar] [CrossRef]
- Park, J.; Euhus, D.M.; Scherer, P.E. Paracrine and endocrine effects of adipose tissue on cancer development and progression. Endocr. Rev. 2011, 32, 550–570. [Google Scholar] [CrossRef] [Green Version]
- Greco, F.; Mallio, C.A.; Grippo, R.; Messina, L.; Vallese, S.; Rabitti, C.; Quarta, L.G.; Grasso, R.F.; Beomonte Zobel, B. Increased visceral adipose tissue in male patients with non-clear cell renal cell carcinoma. Radiol. Med. 2020, 125, 538–543. [Google Scholar] [CrossRef]
Publisher’s Note: MDPI stays neutral with regard to jurisdictional claims in published maps and institutional affiliations. |
© 2022 by the authors. Licensee MDPI, Basel, Switzerland. This article is an open access article distributed under the terms and conditions of the Creative Commons Attribution (CC BY) license (https://creativecommons.org/licenses/by/4.0/).


