Persistent Left Superior Vena Cava Significance in Prenatal Diagnosis—Case Series
Abstract
1. Introduction
2. Materials and Methods
3. Results
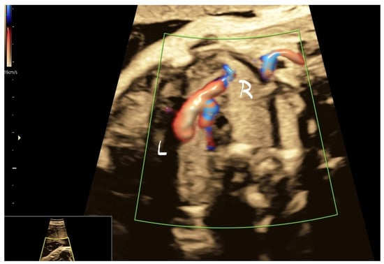
4. Cases—Ultrasound Findings Description
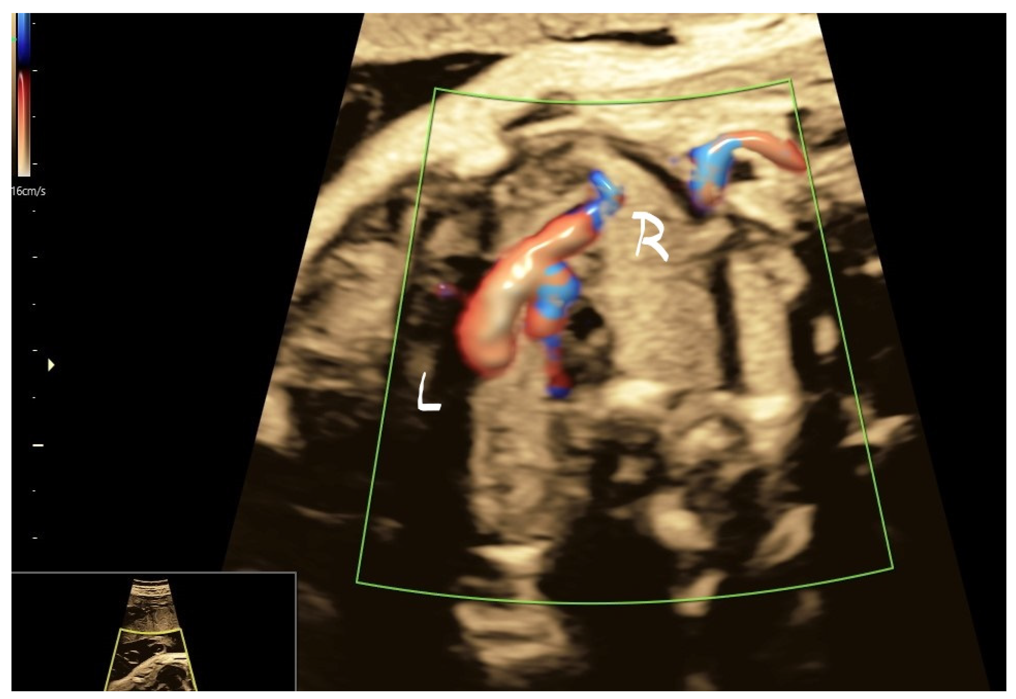
4.1. Case 1
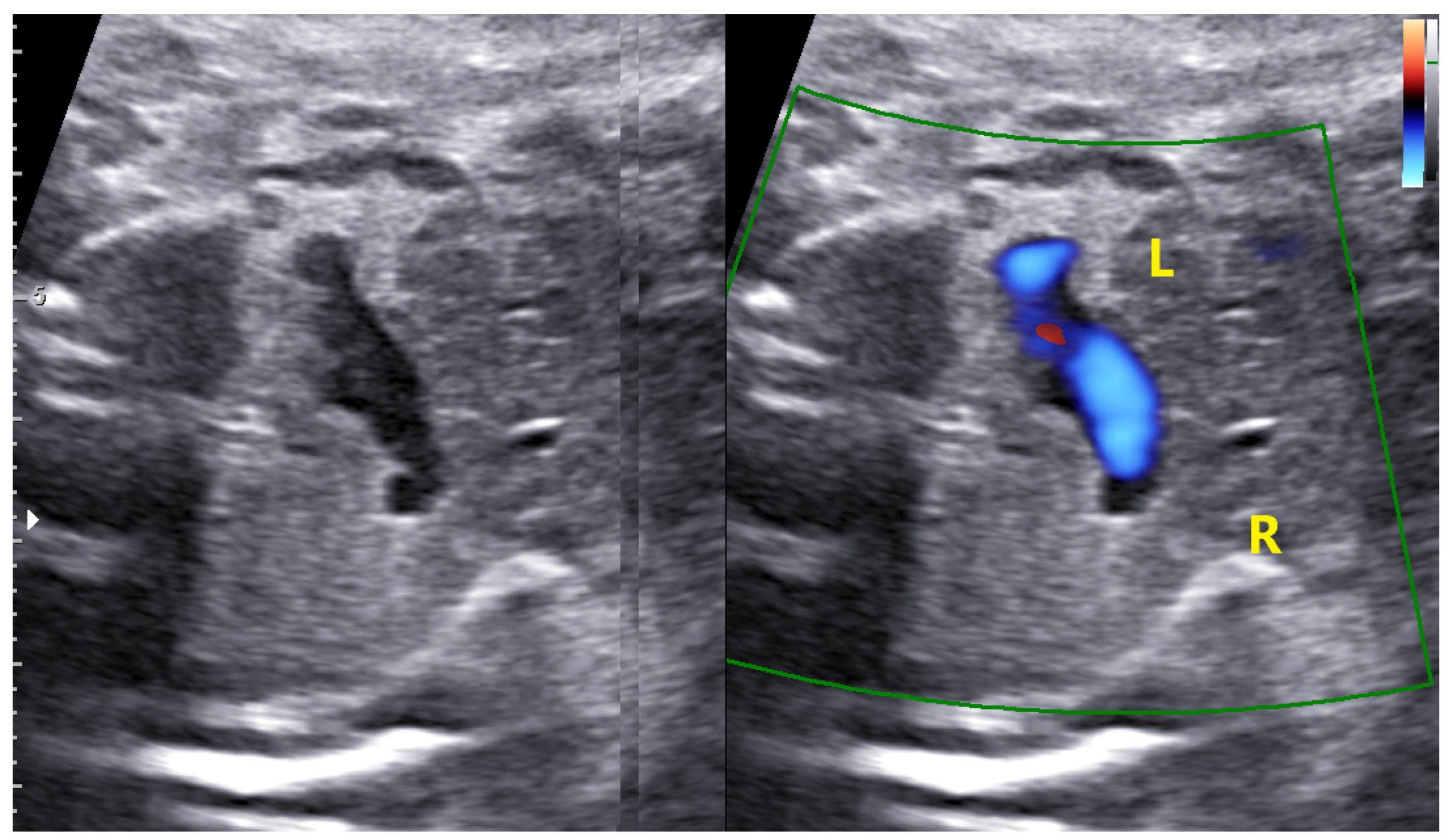
4.2. Case 2
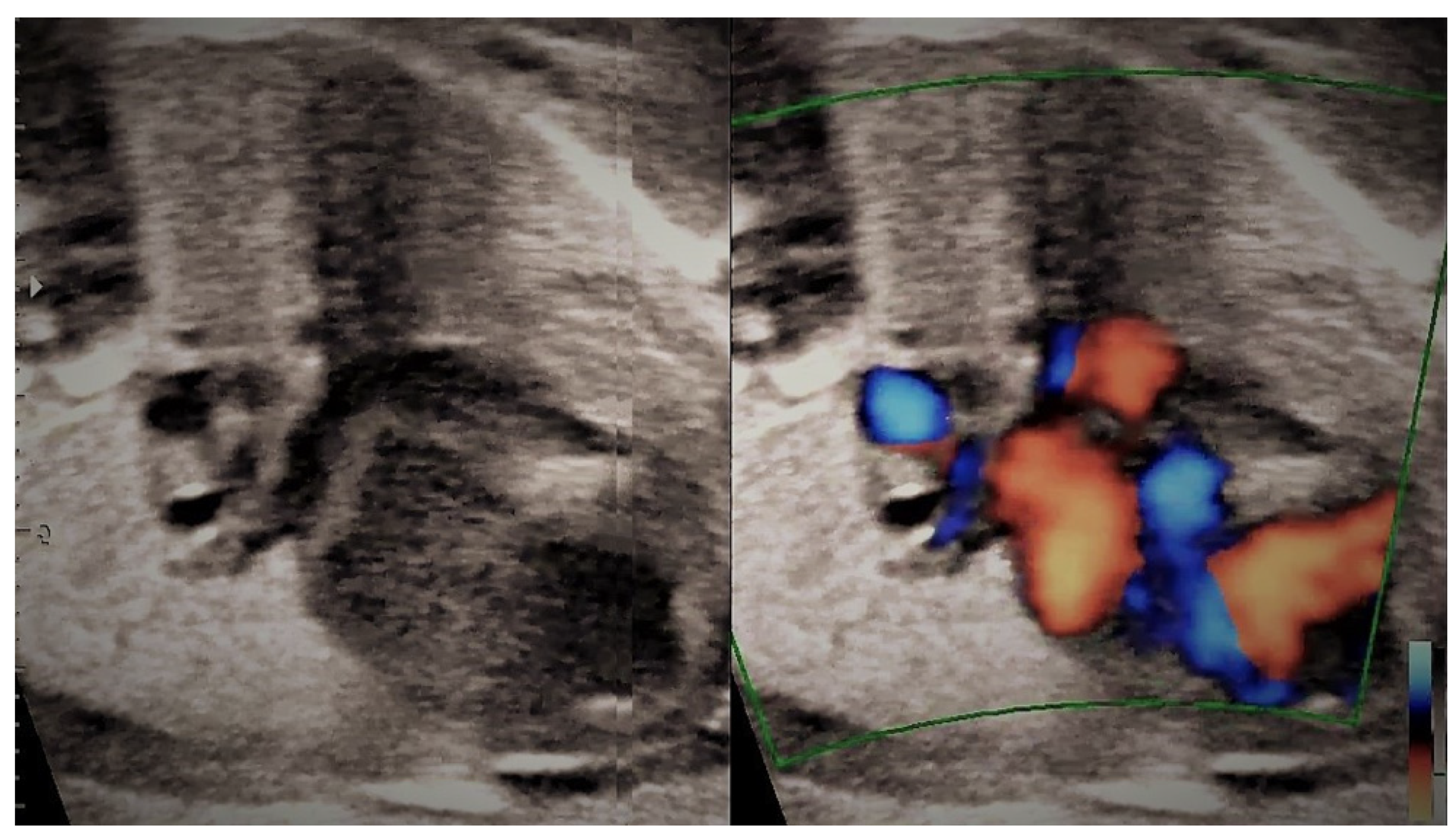
4.3. Case 3
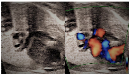
4.4. Case 4
5. Discussion
6. Conclusions
Author Contributions
Funding
Institutional Review Board Statement
Informed Consent Statement
Data Availability Statement
Conflicts of Interest
References
- Berg, C.; Knüppel, M.; Geipel, A.; Kohl, T.; Krapp, M.; Knöpfle, G.; Germer, U.; Hansmann, M.; Gembruch, U. Prenatal diagnosis of persistent left superior vena cava and its associated congenital anomalies. Prenat. Diagn. 2006, 27, 274–280. [Google Scholar] [CrossRef] [PubMed]
- Özsürmeli, M.; Büyükkurt, S.; Sucu, M.; Arslan, E.; Akçabay, Ç.; Mısırlıoğlu, S.; Kayapınar, M.; Özbarlas, N.; Demir, S.C.; Evrüke, C. Prenatal diagnosis of persistent left superior vena cava: A retrospective study of associated congenital anomalies. Turk. J. Obs. Gynecol. 2019, 16, 23–28. [Google Scholar] [CrossRef] [PubMed]
- Yagel, S.; Kivilevitch, Z.; Cohen, S.M.; DV Valsky, D.V.; Messing, B.; Shen, O. The fetal venous system, Part I: Normal embryology. Vol. Ultrasound Obs. Gynecol. 2010, 35, 741–750. [Google Scholar]
- Azizova, A.; Onder, O.; Arslan, S.; Ardali, S.; Hazirolan, T. Persistent left superior vena cava: Clinical importance and differential diagnoses. Insights Imaging 2020, 11, 110. [Google Scholar] [CrossRef] [PubMed]
- Galindo, A.; Gutiérrez-Larraya, F.; Escribano, D.; Arbues, J.; Velasco, J.M. Clinical significance of persistent left superior vena cava diagnosed in fetal life. Ultrasound Obs. Gynecol. 2007, 30, 152–161. [Google Scholar] [CrossRef] [PubMed]
- Rigatelli, G. Congenitally persistent left superior vena cava: A possible unpleasant problem during invasive procedures. J. Cardiovasc. Med. 2007, 8, 483–487. [Google Scholar] [CrossRef] [PubMed]
- Parikh, S.R.; Prasad, K.; Iyer, R.N.; Desai, N.; Mohankrishna, L. Prospective angiographic study of abnormalities of systemic venous connections in congenital and aquired hert disease. Cathet. Cardiovasc. Diagn. 1996, 38, 379–386. [Google Scholar] [CrossRef]
- Ewington, L.J.; Parthasarathy, P. Fetal persistent left superior vena cava: Case report and review of the literature. Vol. Ultrasound Obstet. Gynecol. 2017, 50, 257–399. [Google Scholar] [CrossRef][Green Version]
- Gustapane, S.; Leombroni, M.; Khalil, A.; Giacci, F.; Marrone, L.; Bascietto, F.; Rizzo, G.; Acharias, G.; Liberati, M.; D’Antonio, F. Sistematic review and meta-analysis of persistent left superior vena cava on prenatal ultrasound: Associated anomalies, diagnostic accuracy and postnatal outcome. Vol. Ultrasound Obs. Gynecol. 2016, 48, 701–708. [Google Scholar] [CrossRef]
- Tegnander, E.; Williams, W.; Johansen, O.J.; Blaas, H.G.; Eik-Nes, S.H. Prenatal detection of heart defects in a non-selected population of 30149 fetuses detection rates and outcome. Vol. Ultrasound Obs. Gynecol. 2006, 27, 252–265. [Google Scholar] [CrossRef] [PubMed]
- Jansen, F.A.; Blumenfeld, Y.J.; Fisher, A.; Cobben, J.M.; Odibo, A.O.; Borrell, A.; Haak, M.C. Array comparative genomic hybridization and fetal congenital heart defects: A systematic review and meta-analysis. Vol. Ultrasound Obs. Gynecol. 2015, 45, 27–35. [Google Scholar] [CrossRef] [PubMed]
- Carvalho, J.S.; Allan, L.D.; Chaoui, R.; Copel, J.A.; DeVore, G.R.; Hecher, K.; Lee, W.; Munoz, H.; Paladini, D.; Tutschek, B.; et al. ISUOG Practice Guidelines (updated): Sonographic screening examination of the fetal heart. Ultrasound Obs. Gynecol. 2013, 41, 348–359. [Google Scholar] [CrossRef] [PubMed]
- Pasquini, L.; Belmar, C.; Seale, A.; Gardiner, H.M. Prenatal diagnosis of absent right and persistent left superior vena cava. Prenat. Diagn. 2006, 26, 700–702. [Google Scholar] [CrossRef] [PubMed]
- Chaoui, R.; Heling, K.S.; Kalache, K.D. Caliber of the coronary sinus in fetuses with cardiac defects with and without left persistent superior vena cava and in growth-restricted fetuses with heart-sparing effect. Prenat. Diagn. 2003, 23, 552–557. [Google Scholar] [CrossRef] [PubMed]
- Ghandour, A.; Karuppasamy, K.; Rajiah, P. Congenital Anomalies of the Superior Vena Cava: Embryological Correlation, Imaging Perspectives, and Clinical Relevance. Can. Asoc. Radiol. J. 2017, 68, 456–462. [Google Scholar] [CrossRef] [PubMed]
- Du, L.; Xie, H.N.; Zhu, Y.X.; Li, L.J.; Peng, R.; Zheng, J. Fetal persistent left superior vena cava in cases with and without chromosomal anomalies. Prenat. Diagn. 2014, 34, 797–802. [Google Scholar] [CrossRef]
- Minsart, A.F.; Boucoiran, I.; Delrue, M.A.; Audibert, F.; Abadir, S.; Lapierre, C.; Lemyre, E.; Raboisson, M.J. Left Superior Vena Cava in the Fetus: A Rarely Isolated Anomaly. Pediatr. Cardiol. 2020, 41, 230–236. [Google Scholar] [CrossRef]

















| Case | Maternal Age | Gestational Age at First Diagnosis | Maternal BMI | Smoking Maternal Status | Significant Hystory | Associated Cardiac Anomalies | Extracardiac Anomalies | Cariotype/CMA | Pregnancy Outcome | Postnatal Outcome |
|---|---|---|---|---|---|---|---|---|---|---|
| 1 | 23 | 22 + 1 | 28.7 | No | No | No | Renal dilatation SUA | 46XY | Prematurity (36 weeks) | N |
| 2 | 33 | 21 + 5 | 23.2 | Yes | No | Dilated CS, absent SVC, inversed flow on IV | No | NP | N | N |
| 3 | 29 | 20 + 6 | 31.4 | Yes | Dichorionic twin | Dilated CS, absent SVC, inversed flow on IV, absent infradiaphragmatic IVC and hemiazygos vein | No | NP | Prematurity due to twin pregnancy—35 weeks | Transitory tachypnea not related to venous anomaly |
| 4 | 34 | 22 + 1 | 26.1 | No | No | Total pulmonary vein return anomaly | No | 46XY | N | Transferred in a cardiac surgery unit for TPVA, at 14 weeks, normal outcome at 9 months |
| 5 | 31 | 21 + 2 | 24.7 | No | No | TVPA | No | 46XX | N | Supraventricular tachycardia cardiac surveillance, normal at 3 months check, normal at 12 months |
| 6 | 28 | 31 + 4 | 29.1 | No | No | No | NP | N | N |
Publisher’s Note: MDPI stays neutral with regard to jurisdictional claims in published maps and institutional affiliations. |
© 2022 by the authors. Licensee MDPI, Basel, Switzerland. This article is an open access article distributed under the terms and conditions of the Creative Commons Attribution (CC BY) license (https://creativecommons.org/licenses/by/4.0/).
Share and Cite
Poenaru, M.-O.; Hamoud, B.H.; Sima, R.-M.; Valcea, I.-D.; Chicea, R.; Ples, L. Persistent Left Superior Vena Cava Significance in Prenatal Diagnosis—Case Series. J. Clin. Med. 2022, 11, 4020. https://doi.org/10.3390/jcm11144020
Poenaru M-O, Hamoud BH, Sima R-M, Valcea I-D, Chicea R, Ples L. Persistent Left Superior Vena Cava Significance in Prenatal Diagnosis—Case Series. Journal of Clinical Medicine. 2022; 11(14):4020. https://doi.org/10.3390/jcm11144020
Chicago/Turabian StylePoenaru, Mircea-Octavian, Bashar Haj Hamoud, Romina-Marina Sima, Ionut-Didel Valcea, Radu Chicea, and Liana Ples. 2022. "Persistent Left Superior Vena Cava Significance in Prenatal Diagnosis—Case Series" Journal of Clinical Medicine 11, no. 14: 4020. https://doi.org/10.3390/jcm11144020
APA StylePoenaru, M.-O., Hamoud, B. H., Sima, R.-M., Valcea, I.-D., Chicea, R., & Ples, L. (2022). Persistent Left Superior Vena Cava Significance in Prenatal Diagnosis—Case Series. Journal of Clinical Medicine, 11(14), 4020. https://doi.org/10.3390/jcm11144020

