Long-Term Pregnancy Outcomes of Patients with Diffuse Adenomyosis after Double-Flap Adenomyomectomy
Abstract
:1. Introduction
2. Materials and Methods
2.1. Patients
2.2. Management Strategy after Adenomyomectomy
2.3. Statistical Analysis
3. Results
3.1. Comparison of Baseline Characteristics between Pregnant and Non-Pregnant Patients
3.2. Reproductive Outcomes after Fertility-Sparing Surgery
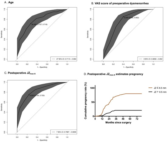
3.3. Possible Indicators for Predicting Pregnancy after Surgery
4. Discussion
5. Conclusions
Author Contributions
Funding
Institutional Review Board Statement
Informed Consent Statement
Data Availability Statement
Acknowledgments
Conflicts of Interest
References
- Devlieger, R.; D’Hooghe, T.; Timmerman, D. Uterine adenomyosis in the infertility clinic. Hum. Reprod. Update 2003, 9, 139–147. [Google Scholar] [CrossRef] [PubMed] [Green Version]
- Mikos, T.; Lioupis, M.; Anthoulakis, C.; Grimbizis, G.F. The Outcome of Fertility-Sparing and Nonfertility-Sparing Surgery for the Treatment of Adenomyosis. A Systematic Review and Metaanalysis. J. Minim. Invasive Gynecol. 2020, 27, 309–331. [Google Scholar] [CrossRef] [PubMed]
- Liu, X.; Ding, D.; Ren, Y.; Guo, S.W. Transvaginal elastosonography as an imaging technique for diagnosing adenomyosis. Reprod. Sci. 2018, 25, 498–514. [Google Scholar] [CrossRef]
- Horton, J.; Sterrenburg, M.; Lane, S.; Maheshwari, A.; Li, T.C.; Cheong, Y. Reproductive, obstetric, and perinatal outcomes of women with adenomyosis and endometriosis: A systematic review and meta- analysis. Hum. Reprod. Update 2019, 25, 592–632. [Google Scholar] [CrossRef] [PubMed]
- Dueholm, M. Uterine adenomyosis and infertility, review of reproductive outcome after in vitro fertilization and surgery. Acta Obstet. Gynecol. Scand. 2017, 96, 715–726. [Google Scholar] [CrossRef]
- Wang, P.H.; Fu, J.L.; Chao, H.T.; Liu, W.M.; Cheng, M.H.; Chao, K.C. Is the surgical approach beneficial to subfertile women with symptomatic extensive adenomyosis? J. Obs. Gynaecol. Res. 2009, 35, 495–502. [Google Scholar] [CrossRef]
- Jama, F.E. Management of adenomyosis in subfertile women and pregnancy outcome. Oman Med. J. 2011, 26, 178–181. [Google Scholar] [CrossRef]
- Huang, Y.F.; Deng, J.; Wei, X.L.; Sun, X.; Xue, M.; Zhu, X.G.; Liang Deng, X. A comparison of reproductive outcomes of patients with adenomyosis and infertility treated with High-Intensity focused ultrasound and laparoscopic excision. Int. J. Hyperth. 2020, 37, 301–307. [Google Scholar] [CrossRef] [Green Version]
- Keserci, B.; Duc, N.M. Magnetic resonance imaging features influencing high-intensity focused ultrasound ablation of adenomyosis with a nonperfused volume ratio of 90% as a measure of clinical treatment success: Retrospective multivariate analysis. Int. J. Hyperth. 2018, 35, 626–636. [Google Scholar] [CrossRef] [Green Version]
- Hai, N.; Hou, Q.; Ding, X.; Dong, X.; Jin, M. Ultrasound-guided transcervical radiofrequency ablation for symptomatic uterine adenomyosis. Br. J. Radiol. 2017, 90, 20160119. [Google Scholar] [CrossRef] [Green Version]
- Rocha, T.P.; Anders, M.P.; Anders, M.P.; Abrão, M.S. Fertility-sparing treatment of adenomyosis in patients with infertility: A systematic review of current options. Reprod. Sci. 2018, 25, 480–486. [Google Scholar] [CrossRef] [PubMed]
- Osada, H.; Silber, S.; Kakinuma, T.; Nagaishi, M.; Kato, K.; Kato, O. Surgical procedure to conserve the uterus for future pregnancy in patients suffering from massive adenomyosis. Reprod. Biomed. Online 2011, 22, 94–99. [Google Scholar] [CrossRef] [PubMed] [Green Version]
- Kishi, Y.; Yabuta, M.; Taniguchi, F. Who will benefit from uterus-sparing surgery in adenomyosis-associated subfertility? Fertil. Steril. 2014, 102, 802–807. [Google Scholar] [CrossRef] [PubMed]
- Tan, J.; Moriarty, S.; Taskin, O.; Allaire, C.; Williams, C.; Yong, P.; Bedaiwy, M.A. Reproductive outcomes after fertility-sparing surgery for focal and diffuse adenomyosis: A systematic review. J. Minim. Invasive Gynecol. 2018, 25, 608–621. [Google Scholar] [CrossRef]
- Huang, X.; Huang, Q.; Chen, S.; Zhang, J.; Lin, K.; Zhang, X. Efficacy of laparoscopic adenomyomectomy using double-flap method for diffuse uterine adenomyosis. BMC Womens Health 2015, 15, 24. [Google Scholar] [CrossRef] [Green Version]
- Zhu, L.; Chen, S.; Che, X.; Xu, P.; Huang, X.; Zhang, X. Comparisons of the efficacy and recurrence of adenomyomectomy for severe uterine diffuse adenomyosis via laparotomy versus laparoscopy: A long-term result in a single institution. J. Pain Res. 2019, 12, 1917–1924. [Google Scholar] [CrossRef] [Green Version]
- Tellum, T.; Matic, G.V.; Dormagen, J.B.; Dormagen, J.B.; Nygaard, S.; Viktil, E.; Qvigstad, E.; Lieng, M. Diagnosing adenomyosis with MRI: A prospective study revisiting the junctional zone thickness cutoff of 12 mm as a diagnostic marker. Eur. Radiol. 2019, 29, 6971–6981. [Google Scholar] [CrossRef]
- Fujimoto, C.; Morimoto, Y.; Hosokawa, Y.; Hasegawa, A. Suturing method as a factor for uterine vascularity after laparoscopic myomectomy. Eur. J. Obs. Gynecol. Reprod. Biol. 2017, 211, 146–149. [Google Scholar] [CrossRef] [Green Version]
- Morimatsu, Y.; Matsubara, S.; Higashiyama, N.; Kuwata, T.; Ohkuchi, A.; Izumi, A.; Shibahara, H.; Suzuki, M. Uterine rupture during pregnancy soon after a laparoscopic adenomyomectomy. Reprod. Med. Biol. 2007, 6, 175–177. [Google Scholar] [CrossRef] [Green Version]
- Vercellini, P.; Consonni, D.; Dridi, D.; Bracco, B.; Frattaruolo, M.P.; Somigliana, E. Uterine adenomyosis and in vitro fertilization outcome: A systematic review and meta-analysis. Hum. Reprod. 2014, 29, 964–977. [Google Scholar] [CrossRef] [Green Version]
- Saremi, A.; Bahrami, H.; Salehian, P.; Hakak, N.; Pooladi, A. Treatment of adenomyomectomy in women with severe uterine adenomyosis using a novel technique. Reprod. Biomed. Online 2014, 28, 753–760. [Google Scholar] [CrossRef] [PubMed] [Green Version]
- Sharma, S.; Bathwal, S.; Agarwal, N.; Chattopadhyay, R.; Saha, I.; Chakravarty, B. Does presence of adenomyosis affect reproductive outcome in IVF cycles? A retrospective analysis of 973 patients. Reprod. BioMed Online 2019, 38, 13–21. [Google Scholar] [CrossRef] [PubMed]
- Atabekoğlu, C.S.; Şükür, Y.E.; Kalafat, E.; Özmen, B.; Berker, B.; Aytaç, R.; Sönmezer, M. The association between adenomyosis and recurrent miscarriage. Eur. J. Obs. Gynecol. Reprod. Biol. 2020, 250, 107–111. [Google Scholar] [CrossRef] [PubMed]
- Puente, J.M.; Fabris, A.; Patel, J.; Patel, A.; Cerrillo, M.; Requena, A.; Garcia-Velasco, J.A. Adenomyosis in infertile women: Prevalence and the role of 3D ultrasound as a marker of severity of the disease. Reprod. Biol. Endocrinol. 2016, 14, 60. [Google Scholar] [CrossRef] [Green Version]
- Nybo Andersen, A.M.; Wohlfahrt, J.; Christens, P.; Olsen, J.; Melbye, M. Maternal age and fetal loss: Population based register linkage study. BMJ 2000, 320, 1708–1712. [Google Scholar] [CrossRef] [Green Version]
- Menken, J.; Trussell, J.; Larsen, U. Age and infertility. Science 1986, 233, 1389–1394. [Google Scholar] [CrossRef]
- Dunson, D.B.; Colombo, B.; Baird, D.D. Changes with age in the level and duration of fertility in the menstrual cycle. Hum. Reprod. 2002, 17, 1399–1403. [Google Scholar] [CrossRef]



| Variables | Pregnant Patients (n = 56) | Non-Pregnant Patients (n = 81) | p/X2 Value | 95%CI |
|---|---|---|---|---|
| Age at surgery, years | 34 (25, 42) | 37 (27, 45) | 0.007 | 2.94~5.54 |
| BMI, kg/m2 | 22.75 (18.10, 24.50) | 23.10 (18.50, 25.50) | 0.658 | 0.24~0.76 |
| Preoperative dysmenorrhea (VAS score) | 5.69 ± 2.44 | 7.89 ± 1.45 | 0.021 | 1.53~2.85 |
| Previous history | ||||
| Uterine surgery | 7/56 (12.5%) | 16/81 (19.8%) | 0.264 | 0.22~1.52 |
| Pelvic surgery | 7/56 (12.5%) | 14/81 (17.3%) | 0.445 | 0.26~1.82 |
| Miscarriage | 29/56 (76.8%) | 49/81 (87.7%) | 0.312 | 0.23~0.99 |
| Infertility | 43/56 (76.8%) | 71/81 (87.7%) | 0.094 | 0.19~1.15 |
| Length of infertility, years | 5.05 ± 1.96 | 5.92 ± 2.51 | 0.031 | 0.15~2.13 |
| Gravidity | 43/56 (76.8%) | 55/81 (67.9%) | 0.257 | 0.72~3.40 |
| Parity | 19/56 (33.9%) | 13/81 (16.0%) | 0.015 | 1.19~6.05 |
| Medication | 9/56 (30.4%) | 15/81 (28.4%) | 0.711 | 0.34~2.09 |
| ART failure | 17/56 (30.4%) | 23/81 (28.4%) | 0.854 | 0.52~2.32 |
| Coexist with myoma | 3/56 (5.4%) | 11/81 (13.6%) | 0.118 | 0.10~1.37 |
| Coexist with endometriosis | 24/56 (42.9%) | 34/81 (42.0%) | 0.918 | 0.52~2.07 |
| The JZmax-A,mm | ||||
| Preoperative | 44.36 ± 1.06 | 46.22 ± 0.89 | 0.911 | −0.86~4.62 |
| Postoperative | 8.14 ± 1.91 | 11.23 ± 2.34 | 0.039 | 2.26~3.72 |
| Corrected postoperative | 7.23 ± 0.29 | 10.23 ± 0.24 | 0.001 | 1.76~6.54 |
| Length of corpus uteri,cm | ||||
| Preoperative | 9.16 ± 8.91 | 8.91 ± 0.12 | 0.086 | −0.67~0.16 |
| Postoperative | 6.13 ± 0.13 | 6.39 ± 0.11 | 0.783 | −0.08~0.60 |
| Corrected postoperative | 6.04 ± 0.09 | 6.45 ± 0.07 | 0.118 | 0.31~0.65 |
| Variables | Aged < 35 Years (n = 35) | Aged ≥ 35 Years (n = 21) | p/X2 Value | 95%CI |
|---|---|---|---|---|
| BMI, kg/m2 | 23.00 (19.60, 24.50) | 22.10 (18.10, 25.50) | 0.184 | −1.30~0.25 |
| Preoperative pregnancy outcomes | ||||
| ART failure | 5/35 (14.3%) | 12/21 (57.1%) | 0.001 | 0.04~0.45 |
| Miscarriage | 20/35 (57.1%) | 9/21 (42.9%) | 0.300 | 0.60~5.31 |
| Infertility | 27/35 (77.1%) | 16/21 (76.2%) | 0.935 | 0.29~3.78 |
| Gravidity experience | 26/35 (74.3%) | 17/21 (81.0%) | 0.567 | 0.18~2.56 |
| Parity experience | 14/35 (40.0%) | 5/21 (23.8%) | 0.027 | 0.64~7.16 |
| Postoperative pregnancy outcomes | ||||
| Natural conception | 22/38 (57.9%) | 13/24 (54.2%) | 0.773 | 0.42~3.26 |
| ART conception | 16/38 (42.1%) | 11/24 (45.8%) | 0.773 | 0.31~2.41 |
| Miscarriage | 5/38 (13.2%) | 9/24 (37.5%) | 0.026 | 0.07~0.88 |
| In gestation period | 1/38 (2.6%) | 2/24 (8.3%) | 0.308 | 0.03~−3.47 |
| Live birth | ||||
| Preterm | 2/38 (5.3%) | 0 | ||
| Term | 30/38 (78.9%) | 13/24 (54.2%) | 0.100 | 1.04~9.72 |
| Gestational age | 37.99 ± 0.13 | 38.11 ± 0.11 | 0.575 | −0.32~0.57 |
| Variables | β | Exp(β) | 95%CI | p |
|---|---|---|---|---|
| Age of surgery | −0.082 | 0.921 | 0.809~1.049 | 0.014 |
| Preoperative dysmenorrhea (VAS score) | −0.672 | 0.511 | 0.473~0.697 | 0.001 |
| Preoperative parity | 0.485 | 1.623 | 0.515~5.121 | 0.408 |
| Length of infertility | −0.177 | 0.838 | 0.674~1.042 | 0.112 |
| Postoperative JZmax-A | −0.608 | 0.545 | 0.424~0.701 | 0.001 |
Publisher’s Note: MDPI stays neutral with regard to jurisdictional claims in published maps and institutional affiliations. |
© 2022 by the authors. Licensee MDPI, Basel, Switzerland. This article is an open access article distributed under the terms and conditions of the Creative Commons Attribution (CC BY) license (https://creativecommons.org/licenses/by/4.0/).
Share and Cite
Zhou, Y.; Shen, L.; Wang, Y.; Yang, M.; Chen, Z.; Zhang, X. Long-Term Pregnancy Outcomes of Patients with Diffuse Adenomyosis after Double-Flap Adenomyomectomy. J. Clin. Med. 2022, 11, 3489. https://doi.org/10.3390/jcm11123489
Zhou Y, Shen L, Wang Y, Yang M, Chen Z, Zhang X. Long-Term Pregnancy Outcomes of Patients with Diffuse Adenomyosis after Double-Flap Adenomyomectomy. Journal of Clinical Medicine. 2022; 11(12):3489. https://doi.org/10.3390/jcm11123489
Chicago/Turabian StyleZhou, Yong, Li Shen, Yuan Wang, Mengjia Yang, Zhengyun Chen, and Xinmei Zhang. 2022. "Long-Term Pregnancy Outcomes of Patients with Diffuse Adenomyosis after Double-Flap Adenomyomectomy" Journal of Clinical Medicine 11, no. 12: 3489. https://doi.org/10.3390/jcm11123489
APA StyleZhou, Y., Shen, L., Wang, Y., Yang, M., Chen, Z., & Zhang, X. (2022). Long-Term Pregnancy Outcomes of Patients with Diffuse Adenomyosis after Double-Flap Adenomyomectomy. Journal of Clinical Medicine, 11(12), 3489. https://doi.org/10.3390/jcm11123489

