Is MRPI 2.0 More Useful than MRPI and M/P Ratio in Differential Diagnosis of PSP-P with Other Atypical Parkinsonisms?
Abstract
1. Introduction
2. Material and Methods
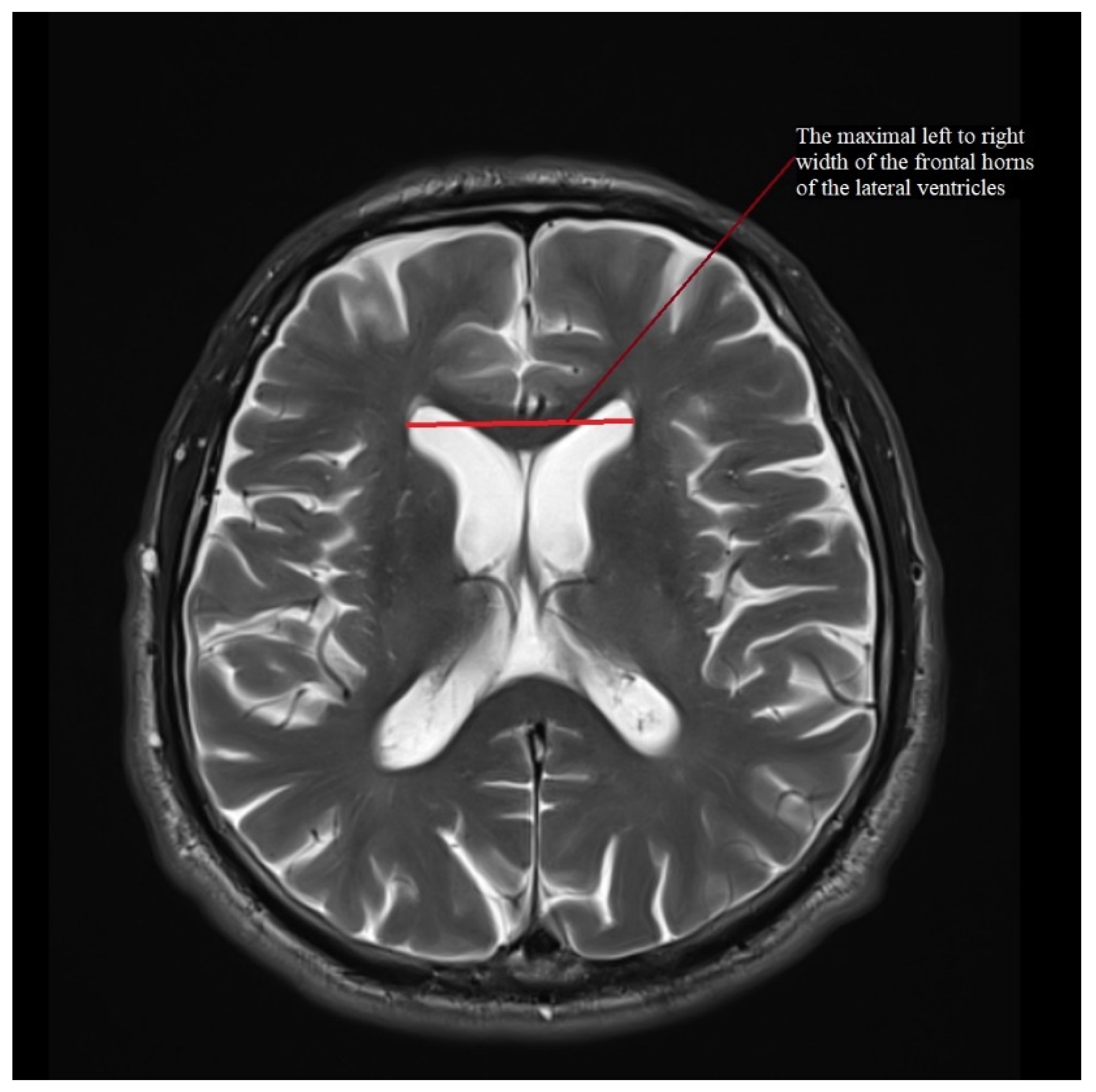
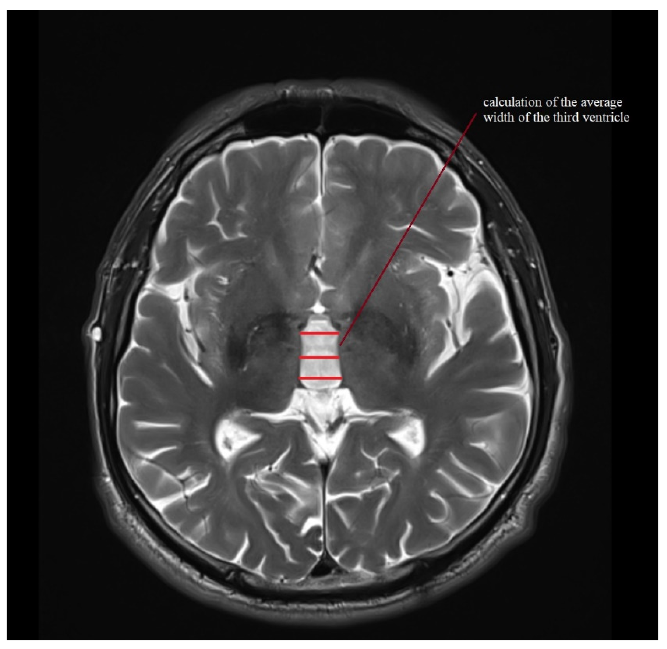
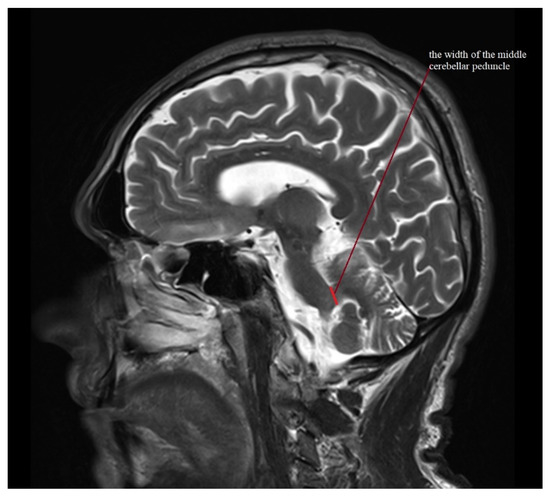
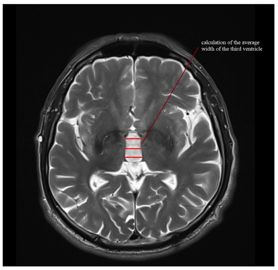
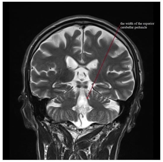
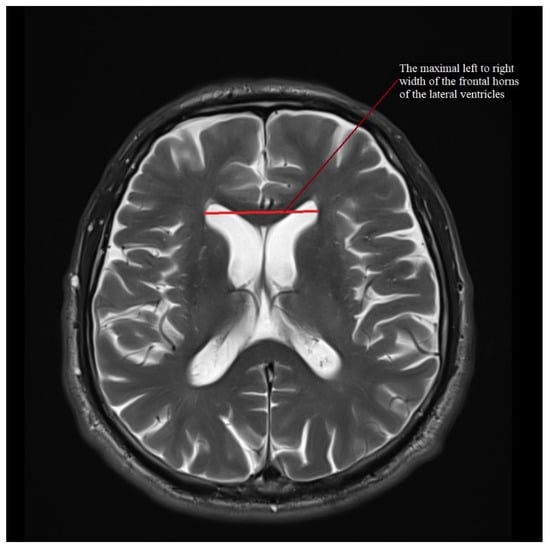
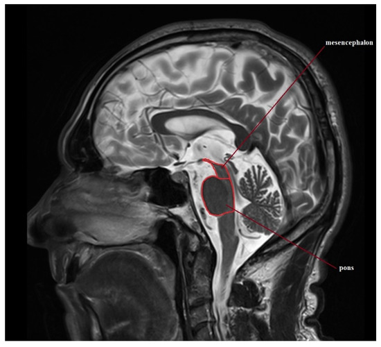
2.1. Magnetic Resonance Imaging
2.2. Statistical Analysis
3. Results
4. Discussion
5. Conclusions
Author Contributions
Funding
Institutional Review Board Statement
Informed Consent Statement
Data Availability Statement
Acknowledgments
Conflicts of Interest
References
- Alster, P.; Madetko, N.; Koziorowski, D.; Friedman, A. Progressive Supranuclear Palsy-Parkinsonism Predominant (PSP-P)—A Clinical Challenge at the Boundaries of PSP and Parkinson’s Disease (PD). Front. Neurol. 2020, 11, 180. [Google Scholar] [CrossRef]
- Höglinger, G.U.; Respondek, G.; Stamelou, M.; Kurz, C.; Josephs, K.A.; Lang, A.E.; Mollenhauer, B.; Müller, U.; Nilsson, C.; Whitwell, J.L.; et al. Clinical diagnosis of progressive supranuclear palsy: The movement disorder society criteria. Mov. Disord. 2017, 32, 853–864. [Google Scholar] [CrossRef] [PubMed]
- Gilman, S.; Wenning, G.K.; Low, P.A.; Brooks, D.J.; Mathias, C.J.; Trojanowski, J.Q.; Wood, N.W.; Colosimo, C.; Dürr, A.; Fowler, C.J.; et al. Second consensus statement on the diagnosis of multiple system atrophy. Neurology 2008, 71, 670–676. [Google Scholar] [CrossRef] [PubMed]
- Armstrong, M.J.; Litvan, I.; Lang, A.E.; Bak, T.H.; Bhatia, K.P.; Borroni, B.; Boxer, A.L.; Dickson, D.W.; Grossman, M.; Hallett, M.; et al. Criteria for the diagnosis of corticobasal degeneration. Neurology 2013, 80, 496–503. [Google Scholar] [CrossRef] [PubMed]
- Quattrone, A.; Bianco, M.G.; Antonini, A.; Vaillancourt, D.E.; Seppi, K.; Ceravolo, R.; Strafella, A.P.; Tedeschi, G.; Tessitore, A.; Cilia, R.; et al. Development and Validation of Automated Magnetic Resonance Parkinsonism Index 2.0 to Distinguish Progressive Supranuclear Palsy-Parkinsonism from Parkinson’s Disease. Mov. Disord. 2022; in press. [Google Scholar] [CrossRef]
- Yamawaki, T. Diagnosis of MSA-P and PSP-P in Early Stage. Brain Nerve. 2020, 72, 331–343. (In Japanese) [Google Scholar] [CrossRef]
- Walter, U.; Dressler, D.; Probst, T.; Wolters, A.; Abu-Mugheisib, M.; Wittstock, M.; Benecke, R. Transcranial brain sonography findings in discriminating between parkinsonism and idiopathic Parkinson disease. Arch. Neurol. 2007, 64, 1635–1640. [Google Scholar] [CrossRef][Green Version]
- Barsottini, O.G.; Ferraz, H.B.; Maia, A.C., Jr.; Silva, C.J.; Rocha, A.J. Differentiation of Parkinson’s disease and progressive supranuclear palsy with magnetic resonance imaging: The first Brazilian experience. Park. Relat. Disord. 2007, 13, 389–393. [Google Scholar] [CrossRef]
- Hellwig, S.; Reinhard, M.; Amtage, F.; Guschlbauer, B.; Buchert, R.; Tüscher, O.; Weiller, C.; Niesen, W.D.; Meyer, P.T. Transcranial sonography and [18F] fluorodeoxyglucose positron emission tomography for the differential diagnosis of parkinsonism: A head-to-head comparison. Eur. J. Neurol. 2014, 21, 860–866. [Google Scholar] [CrossRef]
- Walter, U.; Dressler, D.; Wolters, A.; Probst, T.; Grossmann, A.; Benecke, R. Sonographic discrimination of corticobasal degeneration vs progressive supranuclear palsy. Neurology 2004, 63, 504–509. [Google Scholar] [CrossRef]
- Schonfeld, S.M.; Golbe, L.I.; Sage, J.I.; Safer, J.N.; Duvoisin, R.C. Computed tomographic findings in progressive supranuclear palsy: Correlation with clinical grade. Mov. Disord. 1987, 2, 263–278. [Google Scholar] [CrossRef] [PubMed]
- Morelli, M.; Arabia, G.; Messina, D.; Vescio, B.; Salsone, M.; Chiriaco, C.; Perrotta, P.; Rocca, F.; Cascini, G.L.; Barbagallo, G.; et al. Effect of aging on magnetic resonance measures differentiating progressive supranuclear palsy from Parkinson’s disease. Mov. Disord. 2014, 29, 488–495. [Google Scholar] [CrossRef] [PubMed]
- Quattrone, A.; Morelli, M.; Nigro, S.; Quattrone, A.; Vescio, B.; Arabia, G.; Nicoletti, G.; Nisticò, R.; Salsone, M.; Novellino, F.; et al. A new MR imaging index for differentiation of progressive supranuclear palsy-parkinsonism from Parkinson’s disease. Park. Relat. Disord. 2018, 54, 3–8. [Google Scholar] [CrossRef] [PubMed]
- Quattrone, A.; Nicoletti, G.; Messina, D.; Fera, F.; Condino, F.; Pugliese, P.; Lanza, P.; Barone, P.; Morgante, L.; Zappia, M.; et al. MR imaging index for differentiation of progressive supranuclear palsy from Parkinson disease and the Parkinson variant of multiple system atrophy. Radiology 2008, 246, 214–221. [Google Scholar] [CrossRef] [PubMed]
- Quattrone, A.; Morelli, M.; Williams, D.R.; Vescio, B.; Arabia, G.; Nigro, S.; Nicoletti, G.; Salsone, M.; Novellino, F.; Nisticò, R.; et al. MR parkinsonism index predicts vertical supranuclear gaze palsy in patients with PSP-parkinsonism. Neurology 2016, 87, 1266–1273. [Google Scholar] [CrossRef]
- Morelli, M.; Arabia, G.; Novellino, F.; Salsone, M.; Giofrè, L.; Condino, F.; Messina, D.; Quattrone, A. MRI measurements predict PSP in unclassifiable parkinsonisms: A cohort study. Neurology 2011, 77, 1042–1047. [Google Scholar] [CrossRef]
- Quattrone, A.; Morelli, M.; Quattrone, A.; Vescio, B.; Nigro, S.; Arabia, G.; Nisticò, R.; Novellino, F.; Salsone, M.; Arcuri, P.; et al. Magnetic Resonance Parkinsonism Index for evaluating disease progression rate in progressive supranuclear palsy: A longitudinal 2-year study. Park. Relat. Disord. 2020, 72, 1–6. [Google Scholar] [CrossRef]
- Ugga, L.; Cuocolo, R.; Cocozza, S.; Pontillo, G.; Elefante, A.; Quarantelli, M.; Vicidomini, C.; De Pandis, M.F.; De Michele, G.; D’Amico, A.; et al. Magnetic resonance parkinsonism indices and interpeduncular angle in idiopathic normal pressure hydrocephalus and progressive supranuclear palsy. Neuroradiology 2020, 62, 1657–1665. [Google Scholar] [CrossRef]
- Hwang, M.; Yang, H.; Kim, Y.; Youn, J.; Park, J.; Huh, Y.E.; Kim, H.T.; Cho, J.W. Differential Progression of Midbrain Atrophy in Parkinsonism: Longitudinal MRI Study. Neurodegener. Dis. 2017, 17, 31–37. [Google Scholar] [CrossRef]
- Quattrone, A.; Caligiuri, M.E.; Morelli, M.; Nigro, S.; Vescio, B.; Arabia, G.; Nicoletti, G.; Nisticò, R.; Salsone, M.; Novellino, F.; et al. Imaging counterpart of postural instability and vertical ocular dysfunction in patients with PSP: A multimodal MRI study. Park. Relat. Disord. 2019, 63, 124–130. [Google Scholar] [CrossRef]
- Sakurai, K.; Tokumaru, A.M.; Shimoji, K.; Murayama, S.; Kanemaru, K.; Morimoto, S.; Aiba, I.; Nakagawa, M.; Ozawa, Y.; Shimohira, M.; et al. Beyond the midbrain atrophy: Wide spectrum of structural MRI finding in cases of pathologically proven progressive supranuclear palsy. Neuroradiology 2017, 59, 431–443. [Google Scholar] [CrossRef] [PubMed]









| Control (N = 16) | PSP-P (N = 16) | PSP-RS (N = 19) | MSA-P (N = 21) | CBS (N = 19) | ||||||
|---|---|---|---|---|---|---|---|---|---|---|
| M/F = 7/9 | M/F = 6/10 | M/F = 12/7 | M/F = 8/13 | M/F = 1/18 | ||||||
| Mean (Min–Max) | SD ± 95% CI | Mean (Min–Max) | SD ± 95% CI | Mean (Min–Max) | SD ± 95% CI | Mean (Min–Max) | SD ± 95% CI | Mean (Min–Max) | SD ± 95% CI | |
| Age | 68.9 (52–88) | 10.2 ± 7.6–15.9 | 71.4 (61–81) | 6.9 ± 5.1–10.6 | 74 (62–83) | 5.8 ± 4.4–8.5 | 62.6 (50–81) | 8.9 ± 6.8–12.8 | 72.8 (57–87) | 7.2 ± 5.4–10.6 |
| UPDRS III ON | 32.6 (4–80) | 17 ± 13.7–22.4 | 32.2 (16–63) | 17.9 ± 12.1–34.2 | 36.5 (4–54) | 17 ± 11.9–29.8 | 35 (20–80) | 25.5 ± 15.3–73.1 | 26.9 (14–49) | 11.4 ± 7.7–21.8 |
| UPDRS III OFF | 37.9 (11–87) | 18.3 ± 14.8–24.1 | 38.3 (20–69) | 17.9 ± 12.1–34.3 | 43.6 (11–72) | 17.5 ± 12.2–30.7 | 37.8 (21–87) | 27.8 ± 16.7–79.9 | 30.7 (15–57) | 14 ± 9.5–26.8 |
| Δ UPDRS (%) | 11.2 (0–63.6) | 15.6 ± 13–19.3 | 13.3 (0–53.5) | 17.1 ± 12–30.1 | 20.5 (0–63.6) | 21.1 ± 15.3–34.1 | 3.5 (0–20) | 6.4 ± 4.7–10.4 | 7.6 (0–22.9) | 8.3 ± 5.9–13.7 |
| LEDD | 731.9 (200–3818) | 813.7 ± 618.8–1188.4 | 1209.3 (250–3818) | 1327.2 ± 828.4–3255.1 | 416.1 (250–863) | 229.1 ± 147.7–504.6 | 717 (200–1368) | 561.3 ± 318–2092.7 | 533.3 (300–1000) | 404.1 ± 210.4–2539.9 |
| III ventricle (mm) | 7.6 (4.2–12.5) | 2.2 ± 1.6–3.4 | 11.1 (6–16) | 2.5 ± 1.8–4 | 12.2 (5–19) | 3.1 ± 2.4–4.6 | 9.4 (6–14) | 2.5 ± 1.9–3.6 | 10.3 (7–14) | 2.1 ± 1.6–3.1 |
| PONS (cm2) | 4.96 (3.6–6.6) | 0.73 ± 0.54–1.13 | 4.79 (3.75–5.79) | 0.61 ± 0.44–1.01 | 4.77 (4.08–5.55) | 0.39 ± 0.29–0.58 | 4.59 (2.92–5.55) | 0.65 ± 0.5–0.94 | 4.44 (3.32–5.54) | 0.61 ± 0.46–0.9 |
| MIDBRAIN (cm2) | 1.21 (0.7–1.5) | 0.23 ± 0.17–0.35 | 0.76 (0.57–1.03) | 0.12 ± 0.09–0.21 | 0.76 (0.42–1.66) | 0.32 ± 0.24–0.47 | 1.08 (0.76–1.5) | 0.19 ± 0.14–0.27 | 0.81 (0.4–1.27) | 0.22 ± 0.17–0.32 |
| M/P ratio | 0.245 (0.194–0.313) | 0.034 ± 0.025–0.053 | 0.16 (0.133–0.202) | 0.02 ± 0.014–0.033 | 0.157 (0.098–0.321) | 0.056 ± 0.042–0.083 | 0.239 (0.16–0.344) | 0.054 ± 0.041–0.078 | 0.183 (0.103–0.343) | 0.053 ± 0.04–0.079 |
| MRPI | 11.247 (7.758–15.429) | 1.882 ± 1.39–2.912 | 17.384 (12.025–26.626) | 4.439 ± 3.183–7.327 | 19.366 (9.343–31.303) | 6.944 ± 5.247–10.27 | 10.766 (7.163–17.151) | 2.503 ± 1.915–3.614 | 15.363 (6.582–29.025) | 5.03 ± 3.801–7.439 |
| MRPI 2.0 | 2.342 (1.252–3.463) | 0.619 ± 0.457–0.958 | 4.338 (2.526–6.306) | 1.344 ± 0.964–2.219 | 5.646 (2.595–9.838) | 2.324 ± 1.756–3.436 | 2.558 (1.41–4.549) | 0.91 ± 0.696–1.314 | 4.195 (1.953–9.285) | 1.686 ± 1.274–2.493 |
| Parameter | PSP-P | |||||
|---|---|---|---|---|---|---|
| III Ventricle | PONS (cm2) | MIDBRAIN (cm2) | M/P Ratio | MRPI | MRPI 2.0 | |
| control | 0.9215 | 1.0 | 0.0002 | 0.0001 | 0.0052 * | 0.0006 |
| PSP-RS | 1.0 | 1.0 | 1.0 | 1.0 | 1.0 | 1.0 |
| MSA-P | 0.9115 | 1.0 | 0.0016 | 0.0008 | 0.0003 | 0.0038 * |
| CBS | 1.0 | 1.0 | 1.0 | 1.0 | 1.0 | 1.0 |
| Parameter | Comparison | Cut Off | AUC | AUC 95% CI | p | Sensitivity | Specificity | Accuracy | PPV | NPV |
|---|---|---|---|---|---|---|---|---|---|---|
| MIDBRAIN (cm2) | PSP-P vs. MSA-P | 0.85 | 0.93 | 0.846–1.0 | 0.0000 | 0.846 | 0.905 | 0.882 | 0.846 | 0.905 |
| M/P ratio | 0.177 | 0.934 | 0.856–1.0 | 0.0000 | 0.846 | 0.905 | 0.882 | 0.846 | 0.905 | |
| MRPI | 12.846 | 0.817 | 0.676–0.958 | 0.0000 | 0.923 | 0.619 | 0.735 | 0.6 | 0.929 | |
| MIDBRAIN (cm2) | PSP-P vs. Control | 1.03 | 0.938 | 0.849–1 | 0.0000 | 1 | 0.813 | 0.897 | 0.813 | 1 |
| M/P ratio | 0.202 | 0.995 | 0.98–1 | 0.0000 | 1 | 0.938 | 0.966 | 0.929 | 1 | |
| MRPI | 12.846 | 0.928 | 0.833–1 | 0.0000 | 0.923 | 0.875 | 0.897 | 0.857 | 0.933 | |
| MRPI 2.0 | 3.062 | 0.971 | 0.917–1 | 0.0000 | 1 | 0.875 | 0.931 | 0.867 | 1 |
Publisher’s Note: MDPI stays neutral with regard to jurisdictional claims in published maps and institutional affiliations. |
© 2022 by the authors. Licensee MDPI, Basel, Switzerland. This article is an open access article distributed under the terms and conditions of the Creative Commons Attribution (CC BY) license (https://creativecommons.org/licenses/by/4.0/).
Share and Cite
Madetko, N.; Alster, P.; Kutyłowski, M.; Migda, B.; Nieciecki, M.; Koziorowski, D.; Królicki, L. Is MRPI 2.0 More Useful than MRPI and M/P Ratio in Differential Diagnosis of PSP-P with Other Atypical Parkinsonisms? J. Clin. Med. 2022, 11, 2701. https://doi.org/10.3390/jcm11102701
Madetko N, Alster P, Kutyłowski M, Migda B, Nieciecki M, Koziorowski D, Królicki L. Is MRPI 2.0 More Useful than MRPI and M/P Ratio in Differential Diagnosis of PSP-P with Other Atypical Parkinsonisms? Journal of Clinical Medicine. 2022; 11(10):2701. https://doi.org/10.3390/jcm11102701
Chicago/Turabian StyleMadetko, Natalia, Piotr Alster, Michał Kutyłowski, Bartosz Migda, Michał Nieciecki, Dariusz Koziorowski, and Leszek Królicki. 2022. "Is MRPI 2.0 More Useful than MRPI and M/P Ratio in Differential Diagnosis of PSP-P with Other Atypical Parkinsonisms?" Journal of Clinical Medicine 11, no. 10: 2701. https://doi.org/10.3390/jcm11102701
APA StyleMadetko, N., Alster, P., Kutyłowski, M., Migda, B., Nieciecki, M., Koziorowski, D., & Królicki, L. (2022). Is MRPI 2.0 More Useful than MRPI and M/P Ratio in Differential Diagnosis of PSP-P with Other Atypical Parkinsonisms? Journal of Clinical Medicine, 11(10), 2701. https://doi.org/10.3390/jcm11102701

