The Role of Lung Ultrasound in Diagnosing COVID-19-Related Multisystemic Inflammatory Disease: A Preliminary Experience
Abstract
:1. Introduction
2. Materials and Methods
3. Results
4. Discussion
5. Conclusions
Author Contributions
Funding
Institutional Review Board Statement
Informed Consent Statement
Data Availability Statement
Conflicts of Interest
References
- Soldati, G.; Smargiassi, A.; Inchingolo, R.; Buonsenso, D.; Perrone, T.; Briganti, D.F.; Perlini, S.; Torri, E.; Mariani, A.; Mossolani, E.E.; et al. Is there a role for lung ultrasound during the COVID-19 pandemic? J. Ultrasound Med. 2020, 39, 1459–1462. [Google Scholar] [CrossRef] [Green Version]
- Musolino, A.M.; Supino, M.C.; Buonsenso, D.; Ferro, V.; Valentini, P.; Magistrelli, A.; Lombardi, M.H.; Romani, L.; D’Argenio, P.; Campana, A. Lung ultrasound in children with COVID-19: Preliminary findings. Ultrasound Med. Biol. 2020, 46, 2094–2098. [Google Scholar] [CrossRef] [PubMed]
- Huang, C.; Wang, Y.; Li, X.; Ren, L.; Zhao, J.; Hu, Y.; Zhang, L.; Fan, G.; Xu, J.; Gu, X.; et al. Clinical features of patients infected with 2019 novel coronavirus in Wuhan, China. Lancet 2020, 395, 497–506. [Google Scholar] [CrossRef] [Green Version]
- Castagnoli, R.; Votto, M.; Licari, A.; Brambilla, I.; Bruno, R.; Perlini, S.; Rovida, F.; Baldanti, F.; Marseglia, G.L. Severe acute respiratory syndrome coronavirus 2 (SARS- CoV-2) infection in children and adolescents: A systematic review. JAMA Pediatr. 2020, 174, 882–889. [Google Scholar] [CrossRef] [Green Version]
- Royal College of Paediatrics and Child Health. Guidance: Paediatric Multisystem Inflammatory Syndrome Temporally Associated with COVID-19. Available online: https://www.rcpch.ac.uk/sites/default/files/2020-05/COVID-19-Paediatric-multisystem-%20inflammatory%20syndrome-20200501.pdf (accessed on 15 November 2021).
- Centers for Disease Control and Prevention. Emergency Preparedness and Response. Multisystem Inflammatory Syndrome in Children (MIS-C) Associated with Coronavirus Disease 2019 (COVID-19). Available online: https://emergency.cdc.gov/han/2020/han00432.asp (accessed on 15 November 2021).
- World Health Organization Scientific Brief: Multisystem Inflammatory Syndrome in Children and Adolescents with COVID-19. Available online: https://www.who.int/publications/i/item/multisystem-inflammatory-syndrome-in-children-and-adolescents-with-covid-19 (accessed on 15 November 2021).
- Iii, E.P.F.; Chen, S.; Ruzal-Shapiro, C.B.; Jaramillo, D.; Maddocks, A.B.R. Extracardiac imaging findings in COVID-19-associated multisystem inflammatory syndrome in children. Pediatr. Radiol. 2021, 51, 831–839. [Google Scholar] [CrossRef]
- Blumfield, E.; Levin, T.L.; Kurian, J.; Lee, E.Y.; Liszewski, M.C. Imaging Findings in Multisystem Inflammatory Syndrome in Children (MIS-C) Associated with Coronavirus Disease (COVID-19). AJR Am. J. Roentgenol. 2021, 216, 507–517. [Google Scholar] [CrossRef]
- Rostad, B.S.; Shah, J.H.; Rostad, C.A.; Jaggi, P.; Richer, E.J.; Linam, L.E.; Alazraki, A.; Riedesel, E.L.; Milla, S.S. Chest radiograph features of multisystem inflammatory syndrome in children (MIS-C) compared to pediatric COVID-19. Pediatr. Radiol. 2021, 51, 231–238. [Google Scholar] [CrossRef]
- Kennedy, T.M.; Dessie, A.; Kessler, D.O.; Malia, L.; Rabiner, J.E.; Firnberg, M.T.; Ng, L. Point-of-Care Ultrasound Findings in Multisystem Inflammatory Syndrome in Children: A Cross-Sectional Study. Pediatr. Emerg. Care 2021, 37, 334–339. [Google Scholar] [CrossRef] [PubMed]
- Junior, H.S.; Sakano, T.M.S.; Rodrigues, R.M.; Eisencraft, A.P.; Carvalho, V.E.L.; SCHvartsman, C.; Reis, A.G.A.D.C. Multisystem inflammatory syndrome associated with COVID-19 from the pediatric emergency physician’s point of view. J. Pediatr. 2021, 97, 140–159. [Google Scholar] [CrossRef]
- Musolino, A.M.; Supino, M.C. The role of lung ultrasound in diagnosing and follow-up of children with Coronavirus Disease 2019. Pediatr. Crit. Care Med. 2020, 21, 783. [Google Scholar] [CrossRef] [PubMed]
- Sood, M.; Sharma, S.; Sood, I.; Sharma, K.; Kaushik, A. Emerging Evidence on Multisystem Inflammatory Syndrome in Children Associated with SARS-CoV-2 Infection: A Systematic Review with Meta-analysis. SN Compr. Clin. Med. 2021, 1–10. [Google Scholar] [CrossRef]
- Kaushik, A.; Gupta, S.; Sood, M.; Sharma, S.; Verma, S. A Systematic Review of Multisystem Inflammatory Syndrome in Children Associated With SARS-CoV-2 Infection. Pediatr Infect. Dis J. 2020, 39, e340–e346. [Google Scholar] [CrossRef] [PubMed]
- Consiglio, C.R.; Cotugno, N.; Sardh, F.; Pou, C.; Amodio, D.; Rodriguez, L.; Tan, Z.; Zicari, S.; Ruggiero, A.; Pascucci, G.R.; et al. The Immunology of Multisystem Inflammatory Syndrome in Children with COVID-19. Cell 2020, 183, 968–981. [Google Scholar] [CrossRef]
- Ramaswamy, A.; Brodsky, N.N.; Sumida, T.S.; Comi, M.; Asashima, H.; Hoehn, K.B.; Li, N.; Liu, Y.; Shah, A.; Ravindra, N.G.; et al. Immune dysregulation and autoreactivity correlate with disease severity in SARS-CoV-2-associated multisystem inflammatory syndrome in children. Immunity 2021, 54, 1083–1095. [Google Scholar] [CrossRef] [PubMed]
- Winant, A.; Blumfield, E.; Liszewski, M.C.; Kurian, J.; Foust, A.M.; Lee, E.Y. Thoracic Imaging Findings of Multisystem Inflammatory Syndrome in Children Associated with COVID-19: What Radiologists Need to Know Now. Radiol. Cardiothorac. Imaging 2020, 2, e200346. [Google Scholar] [CrossRef]
- Abrams, J.Y.; Godfred-Cato, S.E.; Oster, M.E.; Chow, E.J.; Koumans, E.H.; Bryant, B.; Leung, J.W.; Belay, E.D. Multisystem Inflammatory Syndrome in Children Associated with Severe Acute Respiratory Syndrome Coronavirus 2: A Systematic Review. J. Pediatr. 2020, 226, 45–54.e1. [Google Scholar] [CrossRef]
- Hoste, L.; Van Paemel, R.; Haerynck, F. Multisystem inflammatory syndrome in children related to COVID-19: A systematic review. Eur J. Pediatr. 2021, 1–16. [Google Scholar] [CrossRef]
- Ahmed, M.; Advani, S.; Moreira, A.; Zoretic, S.; Martinez, J.; chorath, K.; Acosta, S.; Naqvi, R.; Burmeister-Morton, F.; Burmeister, F.; et al. Multisystem inflammatory syndrome in children: A systematic review. EClinicalMedicine 2020, 26, 100527. [Google Scholar] [CrossRef]
- Yasuhara, J.; Watanabe, K.K.; Takagi, H.; Sumitomo, N.; Kuno, T. COVID-19 and multisystem inflammatory syndrome in children: A systematic review and meta-analysis. Pediatr. Pulmonol. 2021, 56, 837–848. [Google Scholar] [CrossRef] [PubMed]
- Radia, T.; Williams, N.; Agrawal, P.; Harman, K.; Weale, J.; Cook, J.; Gupta, A. Multi-system inflammatory syndrome in children & adolescents (MIS-C): A systematic review of clinical features and presentation. Paediatr. Respir. Rev. 2021, 38, 51–57. [Google Scholar] [CrossRef]
- Aronoff, S.C.; Hall, A.; Del Vecchio, M.T. The Natural History of Severe Acute Respiratory Syndrome Coronavirus 2–Related Multisystem Inflammatory Syndrome in Children: A Systematic Review. J. Pediatric. Infect. Dis. Soc. 2020, 9, 746–751. [Google Scholar] [CrossRef]
- Rafferty, M.S.; Burrows, H.; Joseph, J.P.; Leveille, J.; Nihtianova, S.; Amirian, E.S. Multisystem inflammatory syndrome in children (MIS-C) and the coronavirus pandemic: Current knowledge and implications for public health. J. Infect. Public Health 2021, 14, 484–494. [Google Scholar] [CrossRef] [PubMed]
- Panigrahy, N.; Policarpio, J.; Ramanathan, R. Multisystem inflammatory syndrome in children and SARS-CoV-2: A scoping review. J. Pediatr. Rehabil. Med. 2020, 13, 301–316. [Google Scholar] [CrossRef]
- Tang, Y.; Li, W.; Baskota, M.; Zhou, Q.; Fu, Z.; Luo, Z.; Shi, Y.; Chen, Y.; Liu, E. Multisystem inflammatory syndrome in children during the coronavirus disease 2019 (COVID-19) pandemic: A systematic review of published case studies. Transl. Pediatr. 2021, 10, 121–135. [Google Scholar] [CrossRef]
- Sperotto, F.; Friedman, K.G.; Son, M.B.F.; VanderPluym, C.J.; Newburger, J.W.; Dionne, A. Cardiac manifestations in SARS-CoV-2-associated multisystem inflammatory syndrome in children: A comprehensive review and proposed clinical approach. Eur J. Pediatr. 2021, 180, 307–322. [Google Scholar] [CrossRef] [PubMed]
- Zhao, Y.; Yin, L.; Patel, J.; Tang, L.; Huang, Y. The inflammatory markers of Multisystem Inflammatory Syndrome in children (MIS-C) and adolescents associated with COVID-19: A Meta-analysis. J. Med. Virol. 2021, 93, 4358–4369. [Google Scholar] [CrossRef]
- Buonsenso, D.; De Rose, C.; Ferro, V.; Morello, R.; Musolino, A.; Valentini, P. Lung ultrasound to detect cardiopulmonary interactions in acutely ill children. Pediatr. Pulmonol. 2021. [Google Scholar] [CrossRef] [PubMed]
- Malviya, A.; Mishra, A. Childhood Multisystem Inflammatory Syndrome: An Emerging Disease with Prominent Cardiovascular Involvement-A Scoping Review. SN Compr. Clin. Med. 2021, 7, 1–12. [Google Scholar] [CrossRef] [PubMed]
- Nakra, N.A.; Blumberg, D.A.; Herrera-Guerra, A.; Lakshminrusimha, S. Multi-System Inflammatory Syndrome in Children (MIS-C) Following SARS-CoV-2 Infection: Review of Clinical Presentation, Hypothetical Pathogenesis, and Proposed Management. Children 2020, 7, 69. [Google Scholar] [CrossRef]
- Hameed, S.; Elbaal, H.; Reid, C.E.L.; Santos, R.M.F.; Shivamurthy, V.; Wrong, J.; Jogeesvaran, K.H. Spectrum of Imaging Findings at Chest Radiography, US, CT, and MRI in Multisystem Inflammatory Syndrome in Children Associated with COVID-19. Radiology 2021, 298, E1–E10. [Google Scholar] [CrossRef]



| Age (years), mean ± SD | 9.01 ± 1.24 |
| Sex, n (%) | |
| Female | 5 (50) |
| Male | 5 (50) |
| Duration of fever (days), at admission, mean ±SD | 5.9 ± 0.77 |
| On antibiotic treatment, n (%) | 8 (80) |
| History of contact with COVID case, n (%) | 4 (40) |
| History of COVID infection, n (%) | 0 |
| Gastrointestinal symptoms (tot), n (%) | 7 (80) |
| Abdominal pain, n (%) | 5 (50) |
| Diarrhea, n (%) | 3 (30) |
| Vomit, n (%) | 3 (30) |
| Respiratory symptoms (tot), n (%) | 4 (40) |
| Cough, n (%) | 3 (30) |
| Dyspnea, n (%) | 2 (20) |
| Sore throat, n (%) | 0 |
| Skin signs, n (%) | 4 (40) |
| Musculoskeletal symptoms (tot), n (%) | 4 (40) |
| Arthralgia, n (%) | 3 (30) |
| Myalgia, n (%) | 2 (20) |
| Conjunctivitis, n (%) | 2 (20) |
| Headache, n (%) | 2 (20) |
| Thorax pain, n (%) | 0 |
| Mean ± SD | |
|---|---|
| White blood cell (/µL) | 8880 ± 1086 |
| Granulocyte count (/μL) | 7023 ± 996 |
| Lymphocytes (/µL) | 1057 ± 112 |
| CRP (mg/dL) | 11.44 ± 1.8 |
| Ferritin (ng/dL) | 2958 ± 2549 |
| Fibrinogen (mg/dL) | 594 ± 48.4 |
| BNP (pg/mL) | 1770 ± 533 |
| Troponin (pg/mL) | 46 ±16 |
| INR | 1.11 ± 0.1 |
| N. Patients (Tot 10; %) | N. Lung Areas (Tot 10; %) | |
|---|---|---|
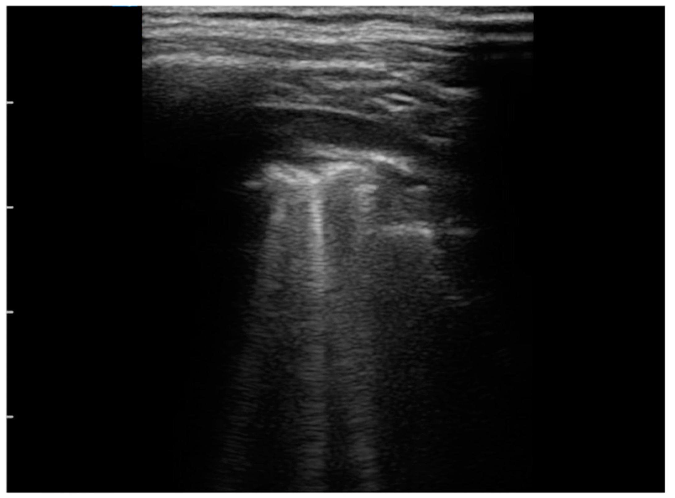
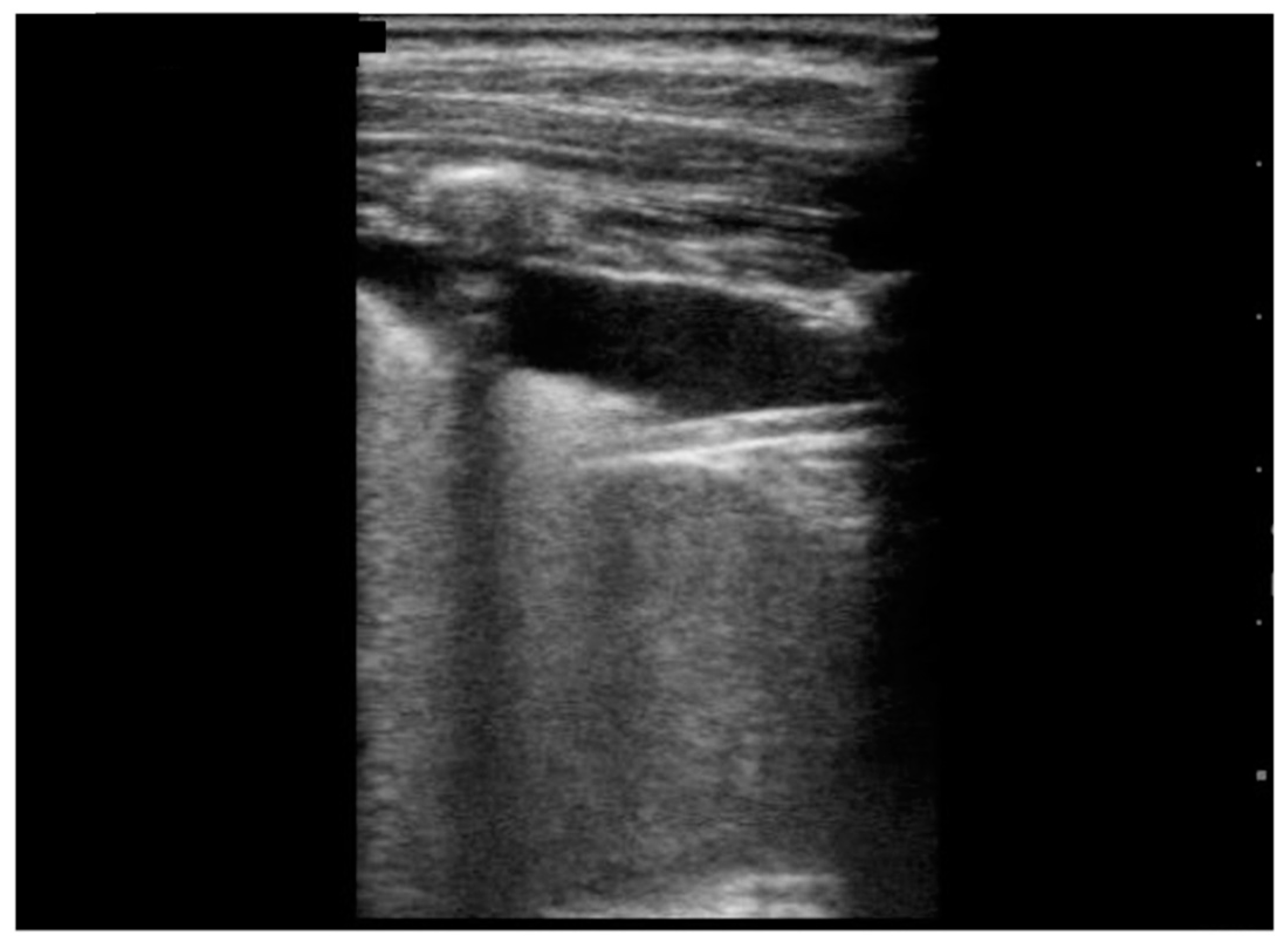
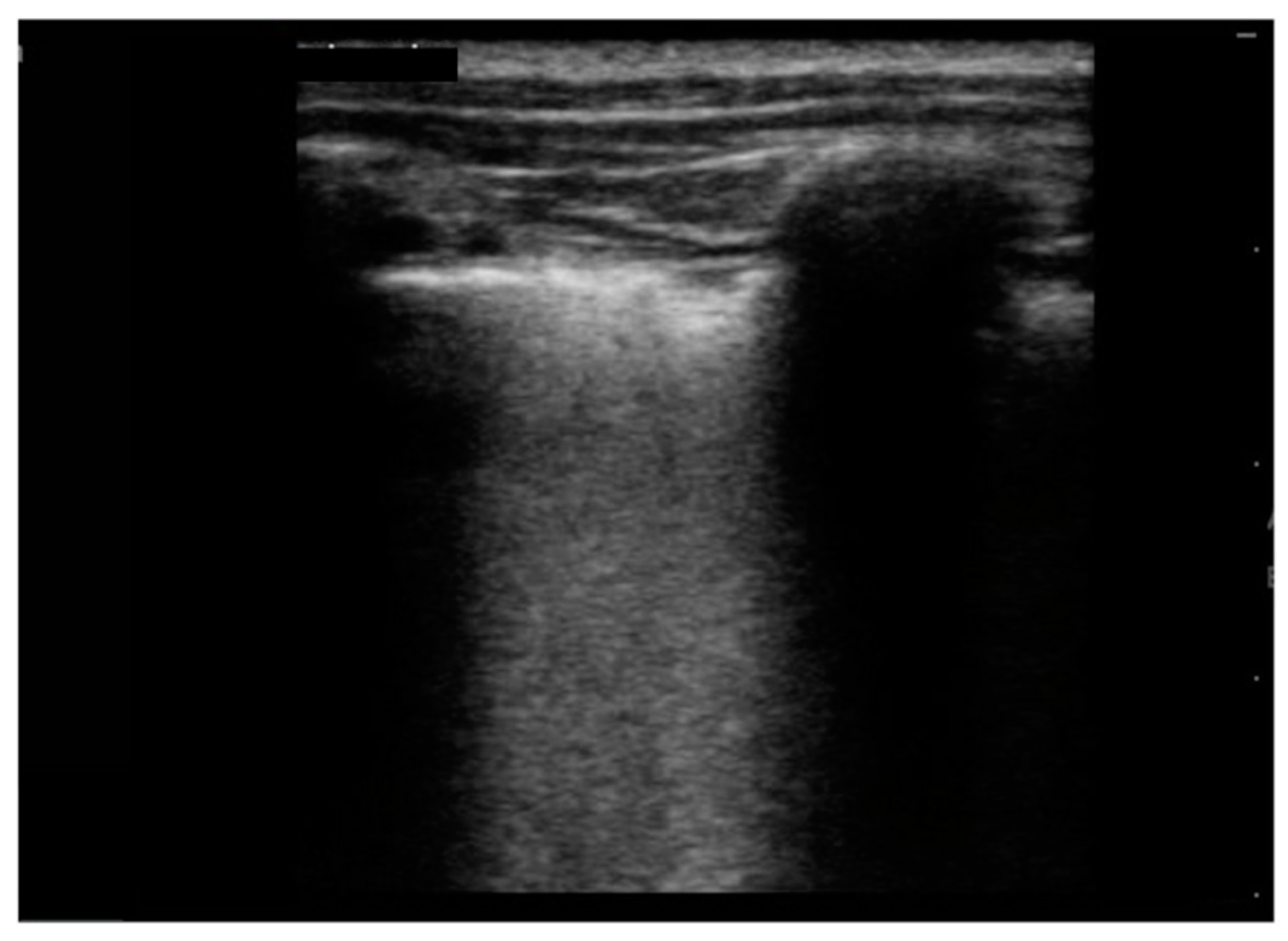
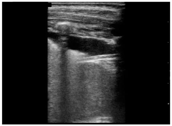
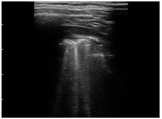
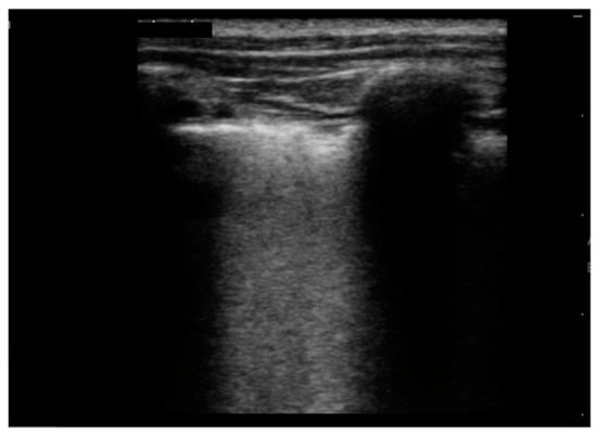
| Irregular/indented/broken pleural line, n (%) | 10 (100) | |
| B-lines, n (%) | 10 (100) | |
| B-lines | 2 (20) | 10 (100) |
| B-lines | 2 (20) | 8 (80) |
| B-lines | 1 (10) | 6 (60) |
| B-lines | 3 (30) | 5 (50) |
| B-lines | 1 (10) | 4 (40) |
| B-lines | 1 (10) | 3 (30) |
| Multiple/several B-lines, n (%) | 8 (80) | |
| White lung, n (%) | 5 (50) | |
| Sub-pleural consolidation, n (%) | 7 (70) | |
| Sub-pleural consolidation | 4 (57.1) | 1 (10) |
| Sub-pleural consolidation | 2 (28.6) | 2 (20) |
| Sub-pleural consolidation | 1 (14.3) | 4 (40) |
| Pleural effusion, n (%) | 9 (90) | |
| LUS score, mean ± SD | 10.5± 1.81 |
Publisher’s Note: MDPI stays neutral with regard to jurisdictional claims in published maps and institutional affiliations. |
© 2022 by the authors. Licensee MDPI, Basel, Switzerland. This article is an open access article distributed under the terms and conditions of the Creative Commons Attribution (CC BY) license (https://creativecommons.org/licenses/by/4.0/).
Share and Cite
Musolino, A.M.; Boccuzzi, E.; Buonsenso, D.; Supino, M.C.; Mesturino, M.A.; Pitaro, E.; Ferro, V.; Nacca, R.; Sinibaldi, S.; Palma, P.; et al. The Role of Lung Ultrasound in Diagnosing COVID-19-Related Multisystemic Inflammatory Disease: A Preliminary Experience. J. Clin. Med. 2022, 11, 234. https://doi.org/10.3390/jcm11010234
Musolino AM, Boccuzzi E, Buonsenso D, Supino MC, Mesturino MA, Pitaro E, Ferro V, Nacca R, Sinibaldi S, Palma P, et al. The Role of Lung Ultrasound in Diagnosing COVID-19-Related Multisystemic Inflammatory Disease: A Preliminary Experience. Journal of Clinical Medicine. 2022; 11(1):234. https://doi.org/10.3390/jcm11010234
Chicago/Turabian StyleMusolino, Anna Maria, Elena Boccuzzi, Danilo Buonsenso, Maria Chiara Supino, Maria Alessia Mesturino, Eugenio Pitaro, Valentina Ferro, Raffaella Nacca, Serena Sinibaldi, Paolo Palma, and et al. 2022. "The Role of Lung Ultrasound in Diagnosing COVID-19-Related Multisystemic Inflammatory Disease: A Preliminary Experience" Journal of Clinical Medicine 11, no. 1: 234. https://doi.org/10.3390/jcm11010234
APA StyleMusolino, A. M., Boccuzzi, E., Buonsenso, D., Supino, M. C., Mesturino, M. A., Pitaro, E., Ferro, V., Nacca, R., Sinibaldi, S., Palma, P., Villani, A., & Tomà, P. (2022). The Role of Lung Ultrasound in Diagnosing COVID-19-Related Multisystemic Inflammatory Disease: A Preliminary Experience. Journal of Clinical Medicine, 11(1), 234. https://doi.org/10.3390/jcm11010234

