Virtual Bronchoscopy Planner and Radial-EBUS Guided Biopsy for Organizing Pneumonia Diagnosis
Abstract
:1. Introduction
2. Materials and Methods
2.1. Patients
2.2. r-EBUS Procedure
2.3. Statistics
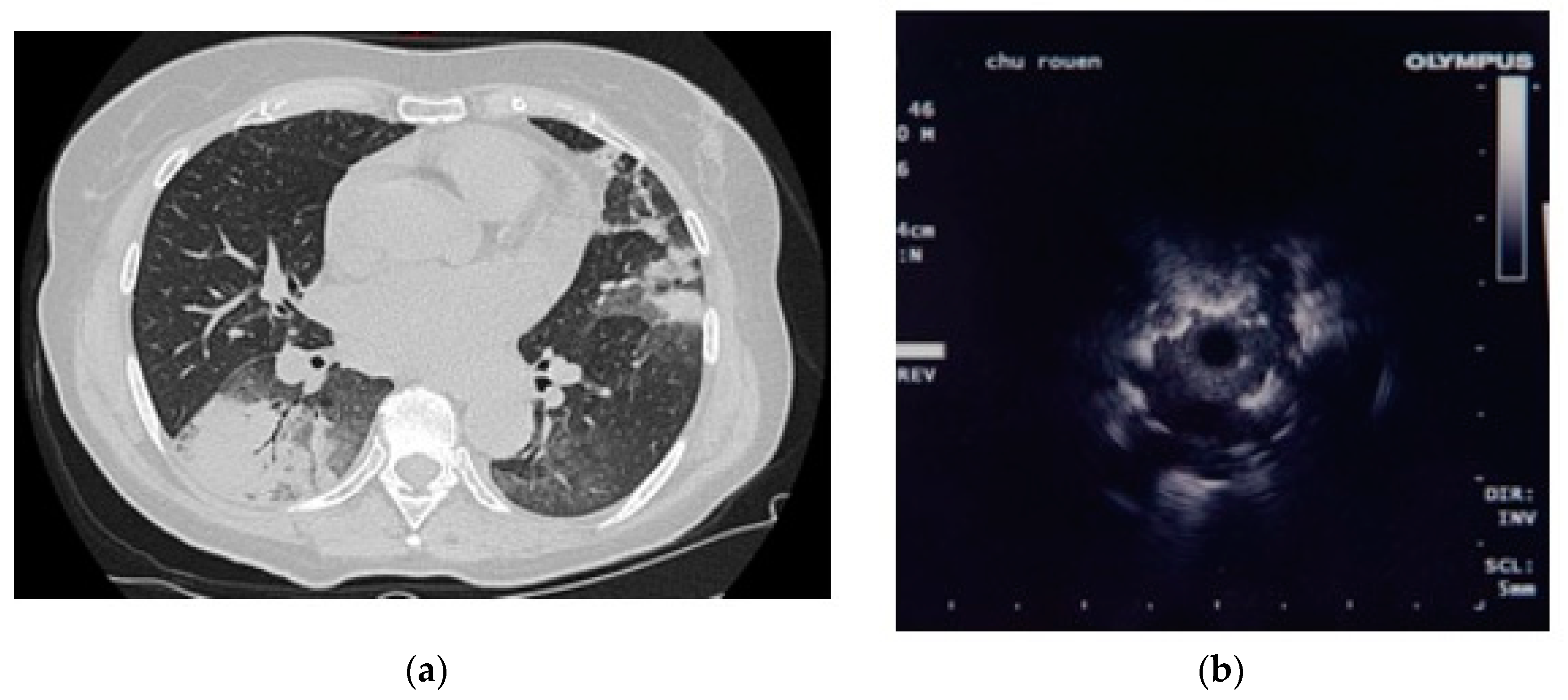
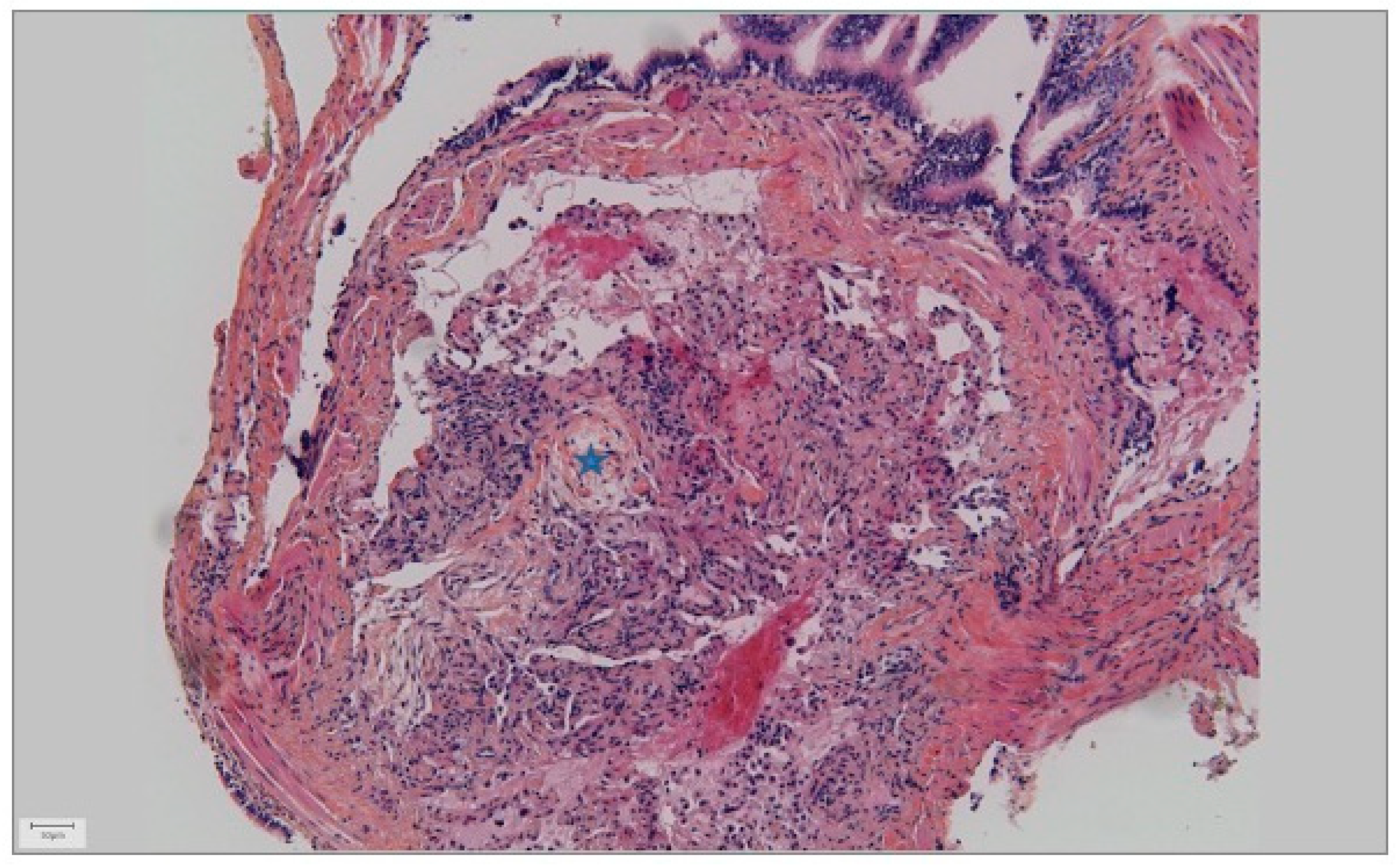
3. Results
3.1. Patients and Lesions
3.2. r-EBUS Procedures
4. Discussion
5. Conclusions
Author Contributions
Funding
Institutional Review Board Statement
Informed Consent Statement
Data Availability Statement
Acknowledgments
Conflicts of Interest
References
- Cordier, J.F.; Cottin, V.; Lazor, R.; Thivolet-Bejui, F. Many faces of bronchiolitis and organizing pneumonia. Semin. Respir. Crit. Care Med. 2016, 37, 421–440. [Google Scholar] [PubMed]
- Maldonado, F.; Daniels, C.E.; Hoffman, E.A.; Yi, E.S.; Ryu, J.H. Focal organizing pneumonia on surgical lung biopsy: Causes, clinicoradiologic features, and outcomes. Chest 2007, 132, 1579–1583. [Google Scholar] [CrossRef] [PubMed]
- Raj, R.; Raparia, K.; Lynch, D.A.; Brown, K.K. Surgical lung biopsy for interstitial lung diseases. Chest 2017, 151, 1131–1140. [Google Scholar] [CrossRef] [PubMed]
- Miao, L.; Wang, Y.; Li, Y.; Ding, J.; Chen, L.; Dai, J.; Cai, H.; Xiao, Y.; Cao, M.; Huang, M.; et al. Lesion with morphologic feature of organizing pneumonia (OP) in CT-guided lung biopsy samples for diagnosis of bronchiolitis obliterans organizing pneumonia (BOOP): A retrospective study of 134 cases in a single center. J. Thorac. Dis. 2014, 6, 1251–1260. [Google Scholar] [PubMed]
- Heerink, W.J.; de Bock, G.H.; de Jonge, G.J.; Groen, H.J.; Vliegenthart, R.; Oudkerk, M. Complication rates of CT-guided transthoracic lung biopsy: Meta-analysis. Eur. Radiol. 2017, 27, 138–148. [Google Scholar] [CrossRef] [PubMed] [Green Version]
- Ali, M.S.; Trick, W.; Mba, B.I.; Mohananey, D.; Sethi, J.; Musani, A.I. Radial endobronchial ultrasound for the diagnosis of peripheral pulmonary lesions: A systematic review and meta-analysis. Respirology 2017, 22, 443–453. [Google Scholar] [CrossRef] [PubMed] [Green Version]
- Wang Memoli, J.S.; Nietert, P.J.; Silvestri, G.A. Meta-analysis of guided bronchoscopy for the evaluation of the pulmonary nodule. Chest 2012, 142, 385–393. [Google Scholar] [CrossRef] [PubMed] [Green Version]
- Kim, E.J.; Kim, K.C. Utility of radial probe endobronchial ultrasound-guided transbronchial lung biopsy in diffuse lung lesions. Tuberc. Respir. Dis. 2019, 82, 201–210. [Google Scholar] [CrossRef] [PubMed]
- Ma, M.; Li, Y.; Cai, H.-R.; Ding, J.-J.; Wang, Y.-S.; Gao, Y.-J.; Dai, J.-H.; Zhao, Q.; Xiao, Y.-L.; Meng, F.-Q.; et al. Radial probe endobronchial ultrasound-guided lung biopsy for histopathological diagnosis of cryptogenic organizing pneumonia. Chin. Med. J. 2017, 130, 236–238. [Google Scholar] [PubMed]
- Cicchitto, G.; Polverino, M.; Capuozzo, A.; Cacace, L.; Cavallera, A.; Mauro, I.; Ferrigno, F.; Polverino, F. RP EBUS as a guide for transbronchial pulmonary biopsy in the diagnosis of organizing pneumonia. Multidiscip. Respir. Med. 2020, 15, 658. [Google Scholar] [CrossRef] [PubMed]
- Kikuchi, E.; Yamazaki, K.; Sukoh, N.; Asahina, H.; Imura, M.; Onodera, Y.; Kurimoto, N.; Kinoshita, I.; Nishimura, M. Endobronchial ultrasonography with guide-sheath for peripheral pulmonary lesions. Eur. Respir. J. 2004, 24, 533–537. [Google Scholar] [CrossRef] [PubMed] [Green Version]
- Lachkar, S.; Guisier, F.; Roger, M.; Obstoy, B.; Bota, S.; Lerouge, D.; Piton, N.; Thiberville, L.; Salaün, M. Assessment of per-endoscopic placement of fiducial gold markers for small peripheral lung nodules < 20 mm before stereotactic radiation therapy. Chest 2018, 153, 387–394. [Google Scholar] [PubMed]
- Izumo, T.; Sasada, S.; Chavez, C.; Matsumoto, Y.; Tsuchida, T. Radial endobronchial ultrasound images for ground-glass opacity pulmonary lesions. Eur. Respir. J. 2015, 45, 1661–1668. [Google Scholar] [CrossRef] [PubMed] [Green Version]
- Dina, R.; Sheppard, M.N. The histological diagnosis of clinically documented cases of cryptogenic organizing pneumonia: Diagnostic features in transbronchial biopsies. Histopathology 1993, 23, 541–545. [Google Scholar] [CrossRef] [PubMed]
- Poletti, V.; Cazzato, S.; Minicuci, N.; Zompatori, M.; Burzi, M.; Schiattone, M.L. The diagnostic value of bronchoalveolar lavage and transbronchial lung biopsy in cryptogenic organizing pneumonia. Eur. Respir. J. 1996, 9, 2513–2516. [Google Scholar] [CrossRef] [PubMed] [Green Version]
- Cottin, V.; Cordier, J.F. Cryptogenic organizing pneumonia. Semin. Respir. Crit. Care Med. 2012, 33, 462–475. [Google Scholar] [PubMed] [Green Version]
- Tay, J.H.; Irving, L.; Antippa, P.; Steinfort, D.P. Radial probe endobronchial ultrasound: Factors influencing visualization yield of peripheral pulmonary lesions. Respirology 2013, 18, 185–190. [Google Scholar] [CrossRef] [PubMed]
- Gnass, M.; Filarecka, A.; Bartczak, A.; Szołkowska, M.; Knapczyk, A.; Lis, M.; Skrobot, M.; Soja, J.; Misiaszek, M.; Barszczok, Ł.; et al. Transbronchial lung cryobiopsy guided by radial mini-probe endobronchial ultrasound in interstitial lung diseases—A multicenter prospective study. Adv. Respir. Med. 2020, 88, 123–128. [Google Scholar] [CrossRef] [PubMed]
- Tiralongo, F.; Palermo, M.; Distefano, G.; Vancheri, A.; Sambataro, G.; Torrisi, S.E.; Galioto, F.; Ferlito, A.; Fazio, G.; Foti, P.V.; et al. Cryptogenic organizing pneumonia: Evolution of morphological patterns assessed by HRCT. Diagnostics 2020, 10, 262. [Google Scholar] [CrossRef] [PubMed]



| r-EBUS + (22) | r-EBUS − (11) | p | |
|---|---|---|---|
| CT scan patterns | |||
| Alveolar opacities | 16 (73%) | 7 (64%) | 0.7 | 
| Masse or pulmonary nodule | 5 (23%) | 3 (27%) | 1 | 
| Diffuse infiltrative opacities | 1 (4%) | 1 (9%) | 1 | 
| Bilateral/unilateral images | 17 (77%)/5 (23%) | 7 (64%)/4 (36%) | 0.4 | 
| Median diameter (± IQR) | |||
| Long axis (mm) | 40 (9–80) | 33 (14–79) | 0.87 | 
| Short axis (mm) | 20 (7–36) | 20 (14–54) | 1 | 
| Median (±IQR) nodule-to-pleura distance (mm) | 0 (0–30) | (0–30) | |
| Bronchus sign | 22 (100%) | 11(100%) | 1 | 
| Lesion location (%) | |||
| Right upper lobe | 2 (9%) | 2 (18%) | 1 | 
| Right middle lobe | 1 (4%) | 0 (0%) | |
| Right lower lobe | 11 (50%) | 4 (36%) | |
| Left upper lobe | 3 (14%) | 1 (10%) | |
| Left lower lobe | 5 (23%) | 4 (36%) | |
| US images | 22 (100%) | 6 (55%) | 0.002 | 
| Invisible | 0 | 5 (45%) | |
| Within the lesion | 22 | 5 | |
| Adjacent to the lesion | 0 | 1 | |
| Etiology of OP | 0.6 | ||
| Cryptogenic | 12 | 5 | |
| Secondary | 10 | 6 | |
| Median (±IQR) time between CT-scan and r-EBUS (Days) | 11.5 days (1–17) | 22 days (8–94) | 0.0001 | 
| Publisher’s Note: MDPI stays neutral with regard to jurisdictional claims in published maps and institutional affiliations. | 
© 2021 by the authors. Licensee MDPI, Basel, Switzerland. This article is an open access article distributed under the terms and conditions of the Creative Commons Attribution (CC BY) license (https://creativecommons.org/licenses/by/4.0/).
Share and Cite
Lachkar, S.; Salaün, M.; Perrot, L.; Gervereau, D.; De Marchi, M.; Le Bouar, G.; Morisse-Pradier, H.; Dominique, S.; Piton, N.; Guisier, F.; et al. Virtual Bronchoscopy Planner and Radial-EBUS Guided Biopsy for Organizing Pneumonia Diagnosis. J. Clin. Med. 2022, 11, 104. https://doi.org/10.3390/jcm11010104
Lachkar S, Salaün M, Perrot L, Gervereau D, De Marchi M, Le Bouar G, Morisse-Pradier H, Dominique S, Piton N, Guisier F, et al. Virtual Bronchoscopy Planner and Radial-EBUS Guided Biopsy for Organizing Pneumonia Diagnosis. Journal of Clinical Medicine. 2022; 11(1):104. https://doi.org/10.3390/jcm11010104
Chicago/Turabian StyleLachkar, Samy, Mathieu Salaün, Loic Perrot, Diane Gervereau, Marielle De Marchi, Gurvan Le Bouar, Helene Morisse-Pradier, Stephane Dominique, Nicolas Piton, Florian Guisier, and et al. 2022. "Virtual Bronchoscopy Planner and Radial-EBUS Guided Biopsy for Organizing Pneumonia Diagnosis" Journal of Clinical Medicine 11, no. 1: 104. https://doi.org/10.3390/jcm11010104
APA StyleLachkar, S., Salaün, M., Perrot, L., Gervereau, D., De Marchi, M., Le Bouar, G., Morisse-Pradier, H., Dominique, S., Piton, N., Guisier, F., & Thiberville, L. (2022). Virtual Bronchoscopy Planner and Radial-EBUS Guided Biopsy for Organizing Pneumonia Diagnosis. Journal of Clinical Medicine, 11(1), 104. https://doi.org/10.3390/jcm11010104
 
         
                                                

 
       