Amyloid Goiter in Familial Mediterranean Fever: Description of 42 Cases from a French Cohort and from Literature Review
Abstract
1. Introduction
2. Materials and Methods
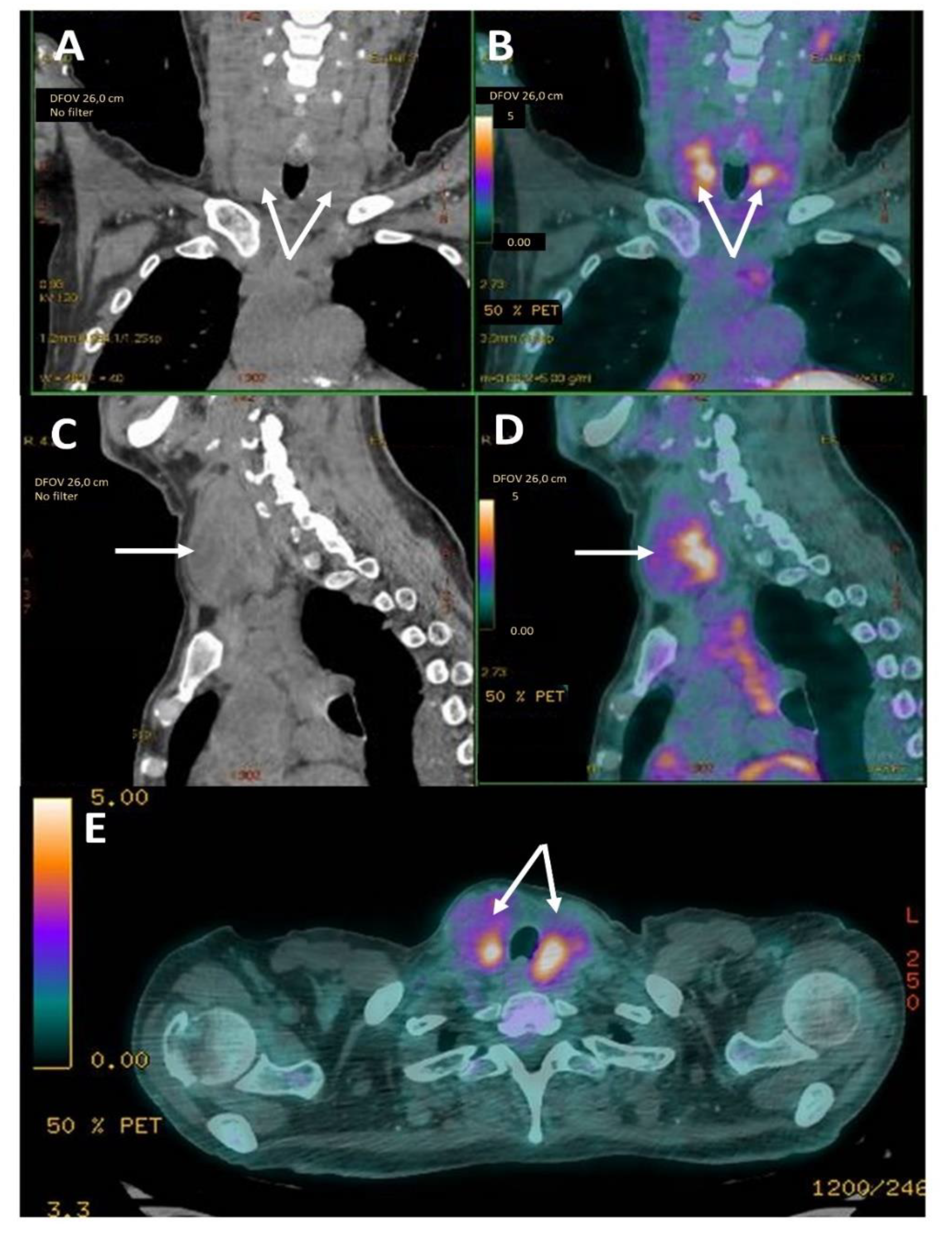
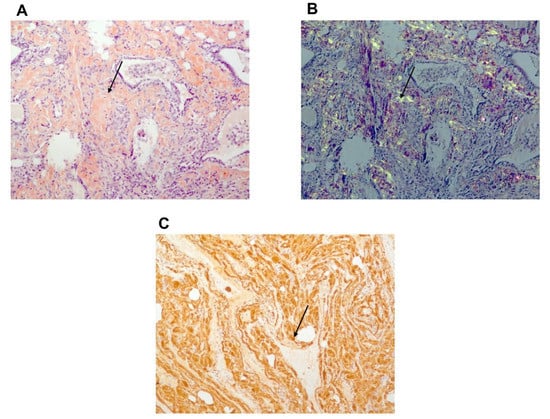
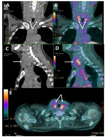
3. Results
4. Discussion
5. Conclusions
Author Contributions
Funding
Institutional Review Board Statement
Informed Consent Statement
Data Availability Statement
Conflicts of Interest
References
- Sohar, E.; Gafni, J.; Pras, M.; Heller, H. Familial Mediterranean fever. A survey of 470 cases and review of the literature. Am. J. Med. 1967, 43, 227–253. [Google Scholar] [CrossRef]
- Özer, F.L.; Kaplaman, E.; Zileli, S. Familial mediterranean fever in Turkey. Am. J. Med. 1971, 50, 336–339. [Google Scholar] [CrossRef]
- von Rokitansky, C. Lehrbuch der Pathologischen Anatomie: Allgemeine Pathologische Anatomie und Anomalien des Blutes; Braumüller: Vienna, Austria, 1855. [Google Scholar]
- Dahlin, D.C. Secondary Amyloidosis. Ann. Intern. Med. 1949, 31, 105. [Google Scholar] [CrossRef] [PubMed]
- Özdemir, B.H.; Akman, B.; Özdemir, F.N. Amyloid goiter in familial mediterranean fever (fmf): A clinicopathologic study of 10 cases. Ren. Fail. 2001, 23, 659–667. [Google Scholar] [CrossRef]
- Altıparmak, M.R.; Pamuk, Ö. N.; Pamuk, G.E.; Apaydın, S.; Ataman, R.; Serdengeçti, K. Amyloid Goitre in Familial Mediterranean Fever: Report on Three Patients and Review of the Literature. Clin. Rheumatol. 2002, 21, 497–500. [Google Scholar] [CrossRef] [PubMed]
- Sbaï, A.; Wechsler, B.; Leenhardt, L.; Beaufils, H.; Hoang, C.; Ménégaux, F.; Piette, J. Amyloid Goiter as the Initial Manifestation of Systemic Amyloidosis due to Familial Mediterranean Fever with Homozygous MEFV Mutation. Thyroid 2001, 11, 397–400. [Google Scholar] [CrossRef] [PubMed]
- Duman, N.; Ateş, K.; Ekinci, C.; Erbay, B.; Karatan, O.; Sak, S.D.; Ertürk, Ş.; Erdoĝan, G.; Ertuĝ, E. Amyloid deposition in the thyroid gland in patients with amyloidosis: An incidence study with fine-needle aspiration biopsy of the thyroid. Nephrol. Dial. Transplant. 1995, 10, 1473. [Google Scholar] [CrossRef]
- Hamed, G.; Heffess, C.S.; Shmookler, B.M.; Wenig, B.M. Amyloid goiter. A clinicopathologic study of 14 cases and review of the literature. Am. J. Clin. Pathol. 1995, 104, 306–312. [Google Scholar] [CrossRef] [PubMed]
- Gharib, H.; Goellner, J.R. Diagnosis of Amyloidosis by Fine-Needle Aspiration Biopsy of the Thyroid. N. Engl. J. Med. 1981, 305, 586. [Google Scholar] [CrossRef]
- Geramizadeh, B.; Akbarzadeh, E.; Nikeghbalian, S. Photoclinic. Amyloid goiter. Arch. Iran Med. 2012, 15, 389–390. [Google Scholar]
- Eren, R.; Sayar, H.; Çiralik, H.; Ezberci, F. Diffuse lipid infiltration and squamous metaplasia accompanying amyloid goiter: Case report. Turk Patoloji Derg. 2013, 29, 146–149. [Google Scholar] [CrossRef] [PubMed][Green Version]
- Emeksiz, H.; Bakkaloglu, S.; Çamurdan, O.; Boyraz, M.; Söylemezoglu, O.; Hasanoğlu, E.; Buyan, N. Acute adrenal crisis mimicking familial Mediterranean fever attack in a renal transplant FMF patient with amyloid goiter. Rheumatol. Int. 2010, 30, 1647–1649. [Google Scholar] [CrossRef] [PubMed]
- Cigerli, O.; Unal, A.D.; Parildar, H.; Demiralay, E.; Tarcin, O. Amyloid Goiter Due to Familial Mediterranean Fever in a Patient with Byler Syndrome: A Case Report. Balk. Med. J. 2014, 31, 261–263. [Google Scholar] [CrossRef] [PubMed]
- Bakan, S.; Kandemirli, S.G.; Akbas, S.; Cingoz, M.; Guzelbey, B.O.; Kantarci, F.; Akman, C. Amyloid Goiter: A Diagnosis to Consider in Diffuse Fatty Infiltration of the Thyroid. J. Ultrasound Med. 2017, 36, 1045–1049. [Google Scholar] [CrossRef] [PubMed]
- Danovitch, G.M.; Le Roith, D.; Sobel, R.; Sikulerd, E.; Straus, R. AMYLOID GOITRE IN FAMILIAL MEDITERRANEAN FEVER. Clin. Endocrinol. 1979, 11, 595–601. [Google Scholar] [CrossRef]
- Turhan İyidir, Ö.; Altay, M.; Konca Degertekin, C.; Altınova, A.; Karakoç, A.; Ayvaz, G.; Arslan, M.; Öneç, K.; Arınsoy, T.; Cesur, N.; et al. Diffuse amyloid deposition in thyroid gland: A cause for concern in familial Mediterranean fever. Amyloid 2012, 19, 161–162. [Google Scholar] [CrossRef]
- Ori, Y.; Halpern, M.; Sadov, R.; Feinmesser, R.; Ramadan, R.; Korzets, A. Familial Mediterranean fever, an amyloid thyroid goiter and an enlarged parathyroid gland. Isr. Med. Assoc. J. IMAJ 2012, 14, 232–233. [Google Scholar]
- Mache, C.; Schwingshandl, J.; Ring, E.; Pfleger, A.; Borkenstein, M. Amyloid Goiter in a Child with Familial Mediterranean Fever. J. Pediatr. Endocrinol. Metab. 1994, 7, 371–372. [Google Scholar] [CrossRef]
- Yildiz, L.; Kefeli, M.; Kose, B.; Baris, S. Amyloid goiter: Two cases and a review of the literature. Ann. Saudi Med. 2009, 29, 138–141. [Google Scholar] [CrossRef] [PubMed]
- Kavukcu, S.; Türkmen, M.; Eroğlu, Y.; Canda, T.; Yörükoğlu, K.; Iğci, E.; Büyükgebiz, A. Renal, gastric and thyroidal amyloidosis due to familial Mediterranean fever. Pediatr. Nephrol. 1997, 11, 210–212. [Google Scholar] [CrossRef]
- Law, J.H.; Dean, D.S.; Scheithauer, B.; Earnest, F.; Sebo, T.J.; Fatourechi, V. Symptomatic Amyloid Goiters: Report of Five Cases. Thyroid 2013, 23, 1490–1495. [Google Scholar] [CrossRef]
- Cotoi, L.; Borcan, F.; Sporea, I.; Amzar, D.; Schiller, O.; Schiller, A.; Dehelean, C.A.; Pop, G.N.; Borlea, A.; Stoian, D. Thyroid Pathology in End-Stage Renal Disease Patients on Hemodialysis. Diagnostics 2020, 10, 245. [Google Scholar] [CrossRef] [PubMed]
- Jusufovic, S.; Hodzic, E. Functional Thyroid Disorders are More Common in Patients on Chronic HemodIalysis Compared with the General Population. Mater. Socio Med. 2011, 23, 206–209. [Google Scholar] [CrossRef] [PubMed]
- Kaptein, E.M. Thyroid Hormone Metabolism and Thyroid Diseases in Chronic Renal Failure. Endocr. Rev. 1996, 17, 19. [Google Scholar] [CrossRef]
- Nelson, S.R.; Tennent, G.A.; Sethi, D.; Gower, P.E.; Ballardie, F.W.; Amatayakul-Chantler, S.; Pepys, M.B. Serum amyloid P component in chronic renal failure and dialysis. Clin. Chim. Acta 1991, 200, 191–199. [Google Scholar] [CrossRef]
- Cobo, G.; Lindholm, B.; Stenvinkel, P. Chronic inflammation in end-stage renal disease and dialysis. Nephrol. Dial. Transplant. 2018, 33, iii35–iii40. [Google Scholar] [CrossRef]
- Kimura, H.; Yamashita, S.; Ashizawa, K.; Yokoyama, N.; Nagataki, S. Thyroid dysfunction in patients with amyloid goitre. Clin. Endocrinol. 1997, 46, 769–774. [Google Scholar] [CrossRef] [PubMed]
- Iglesias, P.; Díez, J.J. Thyroid dysfunction and kidney disease. Eur. J. Endocrinol. 2009, 160, 503–515. [Google Scholar] [CrossRef] [PubMed]
- Aksu, A.O.; Ozmen, M.N.; Oguz, K.K.; Akinci, D.; Yasavun, U.; Firat, P. Diffuse fatty infiltration of the thyroid gland in amyloidosis: Sonographic, computed tomographic, and magnetic resonance imaging findings. J. Ultrasound Med. 2010, 29, 1251–1255. [Google Scholar] [CrossRef] [PubMed]
- Özdemir, B.H.; Uyar, P.; Özdemir, F.N. Diagnosing amyloid goitre with thyroid aspiration biopsy. Cytopathology 2006, 17, 262–266. [Google Scholar] [CrossRef] [PubMed]
- Coca-Pelaz, A.; Vivanco-Allende, B.; Álvarez-Marcos, C.; Suarez-Nieto, C. Multifocal papillary thyroid carcinoma associated with primary amyloid goiter. Auris Nasus Larynx 2012, 39, 549–551. [Google Scholar] [CrossRef] [PubMed]
- Ibanez, M.L.; Russell, W.O.; Albores-Saavedra, J.; Lampertico, P.; White, E.C.; Clark, R.L. Thyroid carcinoma—Biologic behavior and mortality:Postmortem findings in 42 cases, including 27 in which the disease was fatal. Cancer 1966, 19, 1039–1052. [Google Scholar] [CrossRef]






| Patients with FMF and Amyloid Goiter | |
|---|---|
| Males (n = 42), n (%) | 24 (57) |
| Ethnicity (n = 42) | |
| Turkey (n) | 23 |
| Israel (n) | 5 |
| Iran (n) | 1 |
| Georgia (n) | 1 |
| Armenia (n) | 1 |
| Unknow (n) | 11 |
| Disease characteristics | |
| Age at diagnosis of FMF (n = 28), median (IQR) | 10 (8.75–24.75) |
| Age at amyloidosis diagnosis (n = 26), median (IQR) | 23.5 (15.25–36.75) |
| Renal failure (n = 35), n (%) | 34 (97.10) |
| Hemodialysis (n = 31), n (%) | 28 (90) |
| Kidney transplant (n = 32), n (%) | 9 (28) |
| Goiter characteristics | |
| Age at diagnosis of goiter (n = 34), median (IQR) | 30 (23–45) |
| Symptoms (n = 29) | |
| Asymptomatic, n (%) | 8 (27) |
| Dyspnea, n (%) | 17 (58) |
| Dysphagia, n (%) | 13 (44.8) |
| Dyspnea and dysphagia, n (%) | 9 (31) |
| Pain, n (%) | 2 (6.8) |
| Unknow, n | 13 |
| Thyroid function (n = 37) | |
| Euthyroidism, n (%) | 28 (75.6) |
| Hypothyroidism, n (%) | 2 (5.4) |
| Subclinical hypothyroidism, n (%) | 4 (10.8) |
| Hyperthyroidism, n (%) | 2 (5.4) |
| Dysthyroidism with no precision, n (%) | 1 (2.7) |
Publisher’s Note: MDPI stays neutral with regard to jurisdictional claims in published maps and institutional affiliations. |
© 2021 by the authors. Licensee MDPI, Basel, Switzerland. This article is an open access article distributed under the terms and conditions of the Creative Commons Attribution (CC BY) license (https://creativecommons.org/licenses/by/4.0/).
Share and Cite
Vergneault, H.; Terré, A.; Buob, D.; Buffet, C.; Dumont, A.; Ardois, S.; Savey, L.; Pardon, A.; Michel, P.-A.; Boffa, J.-J.; et al. Amyloid Goiter in Familial Mediterranean Fever: Description of 42 Cases from a French Cohort and from Literature Review. J. Clin. Med. 2021, 10, 1983. https://doi.org/10.3390/jcm10091983
Vergneault H, Terré A, Buob D, Buffet C, Dumont A, Ardois S, Savey L, Pardon A, Michel P-A, Boffa J-J, et al. Amyloid Goiter in Familial Mediterranean Fever: Description of 42 Cases from a French Cohort and from Literature Review. Journal of Clinical Medicine. 2021; 10(9):1983. https://doi.org/10.3390/jcm10091983
Chicago/Turabian StyleVergneault, Hélène, Alexandre Terré, David Buob, Camille Buffet, Anael Dumont, Samuel Ardois, Léa Savey, Agathe Pardon, Pierre-Antoine Michel, Jean-Jacques Boffa, and et al. 2021. "Amyloid Goiter in Familial Mediterranean Fever: Description of 42 Cases from a French Cohort and from Literature Review" Journal of Clinical Medicine 10, no. 9: 1983. https://doi.org/10.3390/jcm10091983
APA StyleVergneault, H., Terré, A., Buob, D., Buffet, C., Dumont, A., Ardois, S., Savey, L., Pardon, A., Michel, P.-A., Boffa, J.-J., Grateau, G., & Georgin-Lavialle, S. (2021). Amyloid Goiter in Familial Mediterranean Fever: Description of 42 Cases from a French Cohort and from Literature Review. Journal of Clinical Medicine, 10(9), 1983. https://doi.org/10.3390/jcm10091983

