Long-Term Outcomes of Abdominal Wall Reconstruction with Expanded Polytetrafluoroethylene Mesh in Pediatric Liver Transplantation
Abstract
1. Introduction
2. Materials and Methods
2.1. Surgical Technique for Abdominal Wall Reconstruction with ePTFE (Gore-Tex)
2.2. Postoperative Evaluation and Follow-up after LT
2.3. Statistical Analyses
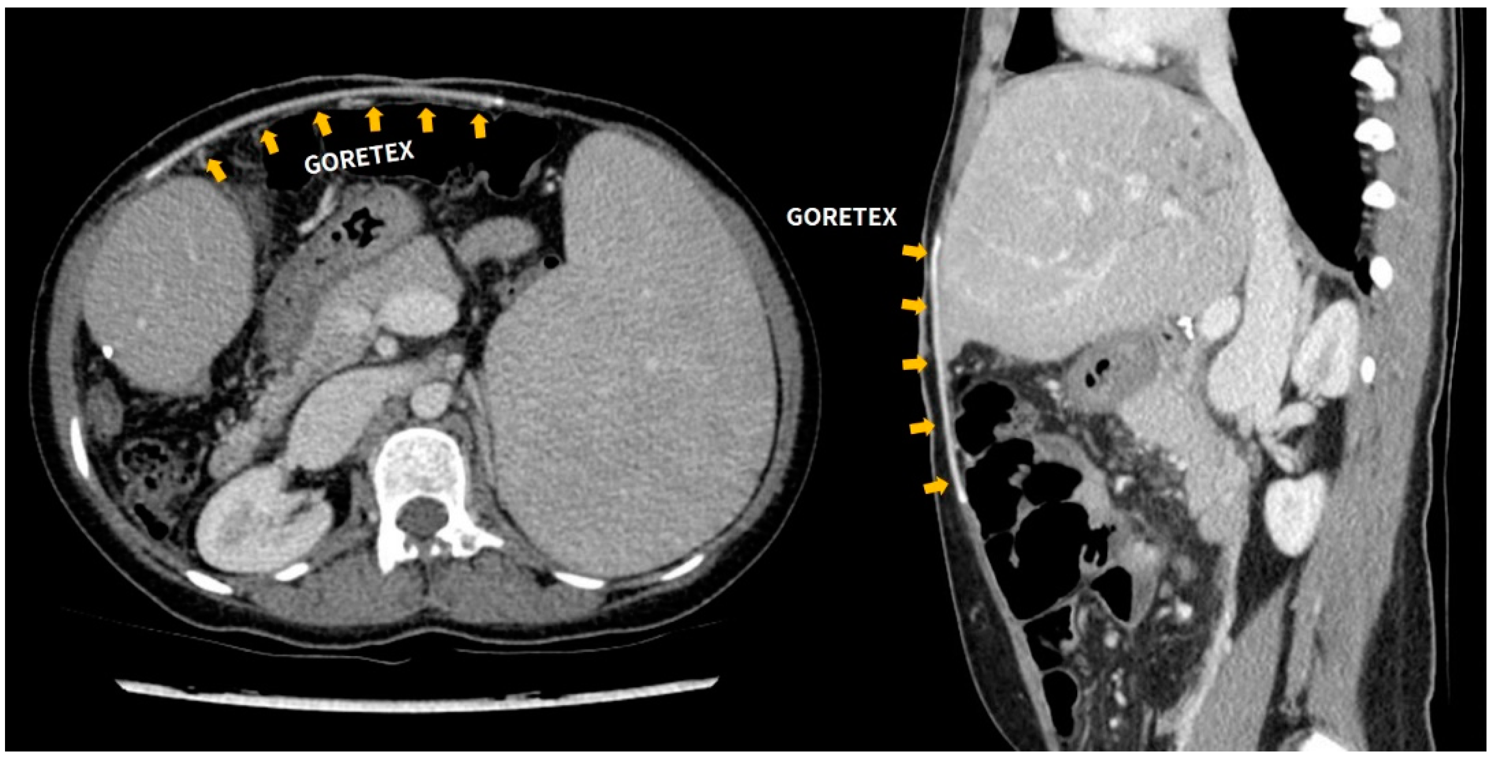
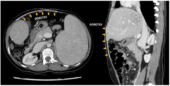
3. Results
4. Discussion
Author Contributions
Funding
Institutional Review Board Statement
Informed Consent Statement
Data Availability Statement
Conflicts of Interest
References
- Yamada, N.; Sanada, Y.; Hirata, Y.; Okada, N.; Wakiya, T.; Ihara, Y.; Miki, A.; Kaneda, Y.; Sasanuma, H.; Urahashi, T.; et al. Selection of living donor liver grafts for patients weighing 6 kg or less. Liver Transplant. 2015, 21, 233–238. [Google Scholar] [CrossRef] [PubMed]
- Alim, A.; Erdogan, Y.; Yuzer, Y.; Tokat, Y.; Oezcelik, A. Graft-to-recipient weight ratio threshold adjusted to the model for end-stage liver disease score for living donor liver transplantation. Liver Transplant. 2016, 22, 1643–1648. [Google Scholar] [CrossRef] [PubMed]
- Dahm, F.; Georgiev, P.; Clavien, P.-A. Small-for-Size Syndrome after Partial Liver Transplantation: Definition, Mechanisms of Disease and Clinical Implications. Arab. Archaeol. Epigr. 2005, 5, 2605–2610. [Google Scholar] [CrossRef] [PubMed]
- Gonzalez, H.D.; Liu, Z.W.; Cashman, S.; Fusai, G.K. Small for size syndrome following living donor and split liver transplantation. World J. Gastrointest. Surg. 2010, 2, 389–394. [Google Scholar] [CrossRef] [PubMed]
- Xu, H.-S.; Pruett, T.L.; Jones, R.S. Study of Donor-Recipient Liver Size Match for Transplantation. Ann. Surg. 1994, 219, 46–50. [Google Scholar] [CrossRef] [PubMed]
- Levesque, E.; Duclos, J.; Ciacio, O.; Adam, R.; Castaing, D.; Vibert, E. Influence of larger graft weight to recipient weight on the post-liver transplantation course. Clin. Transplant. 2013, 27, 239–247. [Google Scholar] [CrossRef] [PubMed]
- Leal, A.J.G.; Tannuri, A.C.A.; Belon, A.R.; Guimarães, R.R.N.; Coelho, M.C.M.; Gonçalves, J.D.O.; Sokol, S.S.; De Melo, E.S.; Otoch, J.P.; Tannuri, U. A simplified experimental model of large-for-size liver transplantation in pigs. Clinics 2013, 68, 1152–1156. [Google Scholar] [CrossRef]
- Moreira, D.D.A.R.; Tannuri, A.C.A.; Belon, A.R.; Coelho, M.C.M.; Gonçalves, J.O.; Serafini, S.; Lima, F.R.; Agostini, L.O.; Guimarães, R.R.; Tannuri, U. Large-for-size liver transplantation: A flowmetry study in pigs. J. Surg. Res. 2014, 189, 313–320. [Google Scholar] [CrossRef] [PubMed]
- Biancofiore, G.; Bindi, M.L.; Romanelli, A.M.; Bisà, M.; Boldrini, A.; Consani, G.; Filipponi, F.; Mosca, F. Postoperative Intra-abdominal Pressure and Renal Function After Liver Transplantation. Arch. Surg. 2003, 138, 703–706. [Google Scholar] [CrossRef] [PubMed]
- Fukazawa, K.; Nishida, S. Size mismatch in liver transplantation. J. Hepato-Biliary-Pancreatic Sci. 2016, 23, 457–466. [Google Scholar] [CrossRef] [PubMed]
- Jafri, M.A.; Tevar, A.D.; Lucia, M.; Thambi-Pillai, T.; Karachristos, A.; Trumbull, L.; Buell, J.F.; Thomas, M.J.; Hanaway, M.J.; Woodle, E.S.; et al. Temporary silastic mesh closure for adult liver transplantation: A safe alternative for the difficult abdomen. Liver Transplant. 2007, 13, 258–265. [Google Scholar] [CrossRef] [PubMed]
- Lafosse, A.; De Magnée, C.; Brunati, A.; Bayet, B.; Vanwijck, R.; Manzanares, J.; Reding, R. Combination of tissue expansion and porcine mesh for secondary abdominal wall closure after pediatric liver transplantation. Pediatr. Transplant. 2011, 16, E150–E152. [Google Scholar] [CrossRef] [PubMed]
- Seaman, D.S.; Newell, K.A.; Piper, J.B.; Bruce, D.S.; Woodle, E.S.; Cronin, D.C.; Alonso, E.M.; Whitington, P.F.; Thistlethwaite, J.R.; Millis, J.M. Use of polytetrafluoroethylene patch for temporary wound closure after pediatric liver transplantation. Transplantation 1996, 62, 1034–1036. [Google Scholar] [CrossRef] [PubMed]
- Kirkpatrick, A.W.; The Pediatric Guidelines Sub-Committee for the World Society of the Abdominal Compartment Syndrome; Roberts, D.J.; De Waele, J.; Jaeschke, R.; Malbrain, M.L.N.G.; De Keulenaer, B.; Duchesne, J.; Bjorck, M.; Leppaniemi, A.; et al. Intra-abdominal hypertension and the abdominal compartment syndrome: Updated consensus definitions and clinical practice guidelines from the World Society of the Abdominal Compartment Syndrome. Intensive Care Med. 2013, 39, 1190–1206. [Google Scholar] [CrossRef] [PubMed]
- Pearson, E.G.; Rollins, M.D.; Vogler, S.A.; Mills, M.K.; Lehman, E.L.; Jacques, E.; Barnhart, D.C.; Scaife, E.R.; Meyers, R.L. Decompressive laparotomy for abdominal compartment syndrome in children: Before it is too late. J. Pediatr. Surg. 2010, 45, 1324–1329. [Google Scholar] [CrossRef] [PubMed]
- Addeo, P.; Noblet, V.; Naegel, B.; Bachellier, P. Large-for-Size Orthotopic Liver Transplantation: A Systematic Review of Definitions, Outcomes, and Solutions. J. Gastrointest. Surg. 2020, 24, 1192–1200. [Google Scholar] [CrossRef] [PubMed]
- Akdur, A.; Kirnap, M.; Ozcay, F.; Sezgin, A.; Soy, H.E.A.; Yarbug, F.K.; Yildirim, S.; Moray, G.; Arslan, G.; Haberal, M. Large-for-size liver transplant: A single-center experience. Exp. Clin. Transplant. 2015, 13, 108–110. [Google Scholar] [PubMed]
- Giele, H.; Vaidya, A.; Reddy, S.; Vrakas, G.; Friend, P. Current state of abdominal wall transplantation. Curr. Opin. Organ. Transplant. 2016, 21, 159–164. [Google Scholar] [CrossRef] [PubMed]
- Divkovic, D.; Kvolik, S.; Sipl, M.; Sego, K.; Pušeljić, S.; Rakipovic-Stojanovic, A.; Kovačić, B. A successful early gore-tex reconstruction of an abdominal wall defect in a neonate with Cantrell pentalogy: A case report and literature review. Clin. Case Rep. 2014, 3, 19–23. [Google Scholar] [CrossRef] [PubMed]



| Case | Sex | Age (mo) at LT | Type of LT | Graft Type | Diagnosis | Blood Type | Retransplantation | PELD | CTP Score | Previous Operation | Ascites before LT |
|---|---|---|---|---|---|---|---|---|---|---|---|
| 1 | F | 12 | DDLT | Whole liver | Glycogen storage disease | AB+ | Y | 6.43 | A | Y | N |
| 2 | M | 6 | DDLT (SLT) | Lt.lat. | Biliary atresia | AB+ | Y | 16.67 | B | Y | N |
| 3 | M | 9 | LDLT | Lt.lat. | Fulminant hepatic failure | B+ | N | 57.72 | C | N | N |
| 4 | F | 17 | LDLT | Rt.liver | Urea cycle metabolism disorder | B+ | Y | 25.04 | B | Y | N |
| 5 | M | 8 | LDLT | Lt.lat. | Intrahepatic cholestasis | A+ | N | 15.05 | B | N | N |
| 6 | F | 19 | DDLT (SLT) | Lt.lat. | Biliary atresia | A+ | N | 22.45 | B | N | N |
| 7 | M | 12 | DDLT (SLT) | Lt.lat. | Biliary atresia | B+ | Y | 23.28 | C | Y | Y |
| 8 | M | 10 | DDLT (SLT) | Lt.lat. | Glycogen storage disease | B+ | N | 1.98 | A | N | N |
| 9 | F | 5 | DDLT (SLT) | Lt.lat. | Fulminant hepatic failure | B+ | N | 36.26 | C | N | Y |
| 10 | F | 144 | LDLT | Lt.liver | Choledochal cyst | A+ | Y | 11.9 | B | Y | N |
| 11 | M | 72 | DDLT (SLT) | Lt.lat. | Hyperoxaluria | A+ | Y | 10.37 | A | Y | N |
| 12 | F | 9 | LDLT | Lt.lat. | Biliary atresia | AB+ | N | 18.85 | C | Y | Y |
| 13 | F | 18 | DDLT (SLT) | Lt.lat. | Progressive familialintrahepatic cholestasis | B+ | N | 20.19 | B | N | N |
| 14 | M | 17 | DDLT (SLT) | Lt.lat. | Hyperoxaluria | B+ | N | 6.61 | A | N | N |
| 15 | M | 5 | LDLT (SLT) | Lt.lat. | Biliary atresia | O+ | Y | 36.04 | C | Y | Y |
| Case | GRWR | ICU Stay (Days) | Operative Time (Minute) | EBL (cc) | Hospital Stay (Days) | Gore-Tex Related Complication | Graft Survival | Patient Survival | OS (Days) |
|---|---|---|---|---|---|---|---|---|---|
| 1 | 1.66 | 21 | 455 | 55 | N | Y | Y | 3926 | |
| 2 | 4.19 | 43 | 300 | 50 | 61 | N | Y | Y | 3735 |
| 3 | 3.41 | 7 | 410 | 210 | 52 | N | Y | Y | 3364 |
| 4 | 1.62 | 41 | 415 | 2500 | 121 | N | Y | Y | 3111 |
| 5 | 2.27 | 11 | 415 | 530 | 16 | N | Y | Y | 2738 |
| 6 | 2.72 | 17 | 405 | 280 | 39 | N | Y | Y | 2591 |
| 7 | 3.75 | 10 | 505 | 300 | 24 | N | Y | Y | 2498 |
| 8 | 1.03 | 7 | 420 | 200 | 23 | N | Y | Y | 1816 |
| 9 | 4.44 | 17 | 325 | 620 | 17 | N | N | N | 17 |
| 10 | 0.96 | 30 | 310 | 1200 | 195 | Y † | Y | Y | 1135 |
| 11 | 1.04 | 18 | 240 | 100 | 97 | Y ‡ | Y | Y | 962 |
| 12 | 2.22 | 5 | 323 | 730 | 25 | N | Y | Y | 312 |
| 13 | 2.06 | 20 | 390 | 100 | 29 | N | Y | Y | 273 |
| 14 | 2.1 | 11 | 360 | 1000 | 32 | N | Y | Y | 150 |
| 15 | 2.6 | 9 | 210 | 300 | 40 | N | Y | Y | 124 |
| 2.42 ± 1.08 | 17.8 ± 11.4 | 365.5 ± 77.6 | 300 a (200–730) | 55.1 ± 47.1 | 2/15 13.3% | 14/15 93.3% | 14/15 93.3% | 1816 a (273–2738) |
Publisher’s Note: MDPI stays neutral with regard to jurisdictional claims in published maps and institutional affiliations. |
© 2021 by the authors. Licensee MDPI, Basel, Switzerland. This article is an open access article distributed under the terms and conditions of the Creative Commons Attribution (CC BY) license (https://creativecommons.org/licenses/by/4.0/).
Share and Cite
Kim, J.; Lee, J.-M.; Yi, N.-J.; Hong, S.K.; Choi, Y.; Hong, K.; Han, E.S.; Lee, K.-W.; Suh, K.-S. Long-Term Outcomes of Abdominal Wall Reconstruction with Expanded Polytetrafluoroethylene Mesh in Pediatric Liver Transplantation. J. Clin. Med. 2021, 10, 1462. https://doi.org/10.3390/jcm10071462
Kim J, Lee J-M, Yi N-J, Hong SK, Choi Y, Hong K, Han ES, Lee K-W, Suh K-S. Long-Term Outcomes of Abdominal Wall Reconstruction with Expanded Polytetrafluoroethylene Mesh in Pediatric Liver Transplantation. Journal of Clinical Medicine. 2021; 10(7):1462. https://doi.org/10.3390/jcm10071462
Chicago/Turabian StyleKim, Jiyoung, Jeong-Moo Lee, Nam-Joon Yi, Suk Kyun Hong, YoungRok Choi, Kwangpyo Hong, Eui Soo Han, Kwang-Woong Lee, and Kyung-Suk Suh. 2021. "Long-Term Outcomes of Abdominal Wall Reconstruction with Expanded Polytetrafluoroethylene Mesh in Pediatric Liver Transplantation" Journal of Clinical Medicine 10, no. 7: 1462. https://doi.org/10.3390/jcm10071462
APA StyleKim, J., Lee, J.-M., Yi, N.-J., Hong, S. K., Choi, Y., Hong, K., Han, E. S., Lee, K.-W., & Suh, K.-S. (2021). Long-Term Outcomes of Abdominal Wall Reconstruction with Expanded Polytetrafluoroethylene Mesh in Pediatric Liver Transplantation. Journal of Clinical Medicine, 10(7), 1462. https://doi.org/10.3390/jcm10071462

