Possible Advantages of S53P4 Bioactive Glass in the Treatment of Septic Osteoarthritis of the First Metatarsophalangeal Joint in the Diabetic Foot
Abstract
1. Introduction
2. Patients and Methods
2.1. Study Design
2.2. Inclusion and Exclusion Criteria
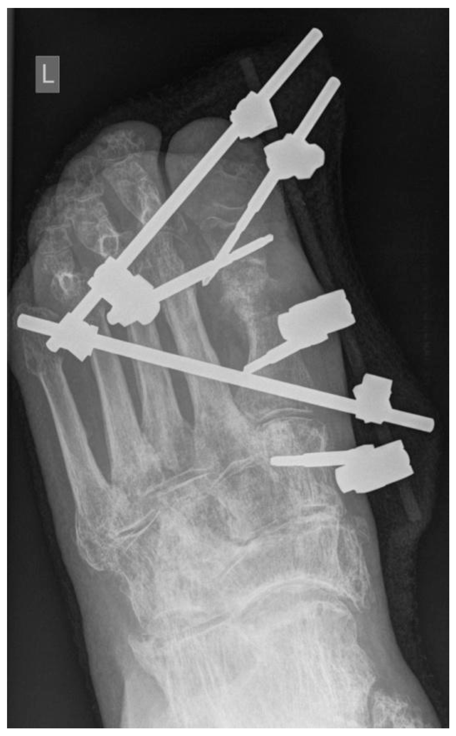
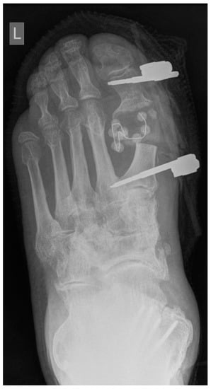
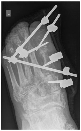
2.3. Surgical Technique
2.4. Outcome Measures
2.5. Statistical Analysis
3. Results
4. Discussion
Author Contributions
Funding
Institutional Review Board Statement
Informed Consent Statement
Data Availability Statement
Conflicts of Interest
References
- Fernando, M.E.; Crowther, R.G.; Cunningham, M.; Lazzarini, P.A.; Sangla, K.S.; Golledge, J. Lower limb biomechanical characteristics of patients with neuropathic diabetic foot ulcers: The diabetes foot ulcer study protocol. BMC Endocr. Disord. 2015, 15, 1–11. [Google Scholar] [CrossRef] [PubMed]
- Dalla Paola, L.; Carone, A.; Morisi, C.; Cardillo, S.; Pattavina, M. Conservative Surgical Treatment of Infected Ulceration of the First Metatarsophalangeal Joint With Osteomyelitis in Diabetic Patients. J. Foot Ankle Surg. 2015, 54, 536–540. [Google Scholar] [CrossRef] [PubMed]
- Quebedeaux, T.L.; Lavery, L.A.; Lavery, D.C. The development of foot deformities and ulcers after great toe amputation in diabetes. Diabetes Care 1996, 19, 165–167. [Google Scholar] [CrossRef] [PubMed]
- Lavery, L.A.; Lavery, D.C.; Quebedeax-Farnham, T.L. Increased foot pressures after great toe amputation in diabetes. Diabetes Care 1995, 18, 1460–1462. [Google Scholar] [CrossRef] [PubMed]
- Murdoch, D.P.; Armstrong, D.G.; Dacus, J.B.; Laughlin, T.J.; Morgan, C.B.; Lavery, L.A. The natural history of great toe amputations. J. Foot Ankle Surg. 1997, 36, 204–208. [Google Scholar] [CrossRef]
- Chan, Y.C.; Morales, J.P.; Burnand, K.G. Excision of metatarsal bone and metatarsophalangeal (MTP) joint in neuropathic diabetic foot ulcer. Ann. R. Coll. Surg. Engl. 2007, 89, 431–432. [Google Scholar] [CrossRef] [PubMed]
- De Giglio, R.; Stefani, I.; Mondello, T.; De Filippis, G.; Mazzone, A. BIOACTIVE GLASS S53P4: A new opportunity for the treatment in the diabetic foot osteomyelitis. Eur. J. Intern. Med. 2018, 54, e15–e16. [Google Scholar] [CrossRef] [PubMed]
- Hench, L.L.; Splinter, R.J.; Allen, W.C.; Greenlee, T.K. Bonding mechanisms at the interface of ceramic prosthetic materials. J. Biomed. Mater. Res. 1971, 5, 117–141. [Google Scholar] [CrossRef]
- De Giglio, R.; Di Vieste, G.; Mondello, T.; Balduzzi, G.; Masserini, B.; Formenti, I.; Lodigiani, S.; Pallavicini, D.; Pintaudi, B.; Mazzone, A. Efficacy and Safety of Bioactive Glass S53P4 as a Treatment for Diabetic Foot Osteomyelitis. J. Foot Ankle Surg. 2020, 60, 292–296. [Google Scholar] [CrossRef] [PubMed]
- Iacopi, E.; Pieruzzi, L.; Goretti, C.; Piaggesi, A. Pilot Experience on the Use of S54P4 Bioactive Glass in the Surgical Management of Diabetic Foot Osteomyelitis. Int. J. Low Extrem. Wounds 2020. [Google Scholar] [CrossRef] [PubMed]
- Schaper, N.C.; van Netten, J.J.; Apelqvist, J.; Bus, S.A.; Hinchliffe, R.J.; Lipsky, B.A. IWGDF Guidelines on the Prevention and Management of Diabetic Foot Disease. Available online: https://iwgdfguidelines.org/wp-content/uploads/2019/05/IWGDF-Guidelines-2019.pdf (accessed on 29 November 2020).
- Colen, L.B.; Kim, C.J.; Grant, W.P.; Yeh, J.T.; Hind, B. Achilles tendon lengthening: Friend or foe in the diabetic foot? Plast. Reconstr. Surg. 2013, 131, 37e–43e. [Google Scholar] [CrossRef] [PubMed]
- Senneville, E.; Robineau, O. Treatment options for diabetic foot osteomyelitis. Expert Opin. Pharmacother. 2017, 18, 759–765. [Google Scholar] [CrossRef] [PubMed]
- Spellberg, B.; Lipsky, B.A. Systemic antibiotic therapy for chronic osteomyelitis in adults. Clin. Infect. Dis. 2012, 54, 393–407. [Google Scholar] [CrossRef] [PubMed]
- Lesens, O.; Desbiez, F.; Theïs, C.; Ferry, T.; Bensalem, M.; Laurichesse, H.; Tauveron, I.; Beytout, J.; Aragón Sánchez, J.; Working Group on Diabetic Osteomyelitis. Staphylococcus aureus-Related Diabetic Osteomyelitis: Medical or Surgical Management? A French and Spanish Retrospective Cohort. Int. J. Low Extrem. Wounds 2015, 14, 284–290. [Google Scholar] [CrossRef] [PubMed]
- Pino, A.E.; Taghva, S.; Chapman, C.; Bowker, J.H. Lower-limb amputations in patients with diabetes mellitus. Orthopedics 2011, 34, e885–e892. [Google Scholar] [CrossRef] [PubMed]


| Characteristics | Group A | Group B | p |
|---|---|---|---|
| S53P4 BG (N = 10) | (N = 12) | ||
| Gender (male/female) | 8/2 | 9/3 | 0.781 |
| Age (mean ± SD) | 62.1 ± 13.88 | 57.0 ± 14.69 | 0.416 |
| Comorbidities | |||
| Diabetic neuropathy | 10 | 12 | 1 |
| Arterial hypertension | 7 | 5 | 0.369 |
| Hyperlipidemia | 4 | 3 | 0.652 |
| Coronary artery disease | 1 | 2 | 1 |
| Chronic renal failure | 0 | 1 | 1 |
| Stroke | 1 | 0 | 0.454 |
| Rheumatoid arthritis | 1 | 2 | 1 |
| PAD * (La Fontaine) | |||
| I | 4 (40%) | 6 (50%) | 0.689 |
| IIa | 5 (50%) | 5 (41.7%) | |
| IIb | 1 (10%) | 1 (8.3%) |
| Isolated Pathogen, N (%) | Group A | Group B | p |
|---|---|---|---|
| Staphylococcus aureus methicillin-sensitive | 5 (29%) | 8 (33%) | ns |
| Staphylococcus aureus methicillin-resistant | 1 (6%) | 1 (4%) | ns |
| Beta hemolytic streptococcus | 2 (12%) | 1 (4%) | ns |
| Pseudomonas aeruginosa | 0 | 1 (4%) | ns |
| Proteus spp | 1 (6%) | 0 | ns |
| Coagulase negative staphylococci | 1 (6%) | 3 (13%) | ns |
| Other anaerobic bacteria | 6 (35%) | 10 (42%) | ns |
| Other bacteria | 1 (6%) | 0 | ns |
| Total N | 17 | 24 |
Publisher’s Note: MDPI stays neutral with regard to jurisdictional claims in published maps and institutional affiliations. |
© 2021 by the authors. Licensee MDPI, Basel, Switzerland. This article is an open access article distributed under the terms and conditions of the Creative Commons Attribution (CC BY) license (http://creativecommons.org/licenses/by/4.0/).
Share and Cite
Kastrin, M.; Urbančič Rovan, V.; Frangež, I. Possible Advantages of S53P4 Bioactive Glass in the Treatment of Septic Osteoarthritis of the First Metatarsophalangeal Joint in the Diabetic Foot. J. Clin. Med. 2021, 10, 1208. https://doi.org/10.3390/jcm10061208
Kastrin M, Urbančič Rovan V, Frangež I. Possible Advantages of S53P4 Bioactive Glass in the Treatment of Septic Osteoarthritis of the First Metatarsophalangeal Joint in the Diabetic Foot. Journal of Clinical Medicine. 2021; 10(6):1208. https://doi.org/10.3390/jcm10061208
Chicago/Turabian StyleKastrin, Matevž, Vilma Urbančič Rovan, and Igor Frangež. 2021. "Possible Advantages of S53P4 Bioactive Glass in the Treatment of Septic Osteoarthritis of the First Metatarsophalangeal Joint in the Diabetic Foot" Journal of Clinical Medicine 10, no. 6: 1208. https://doi.org/10.3390/jcm10061208
APA StyleKastrin, M., Urbančič Rovan, V., & Frangež, I. (2021). Possible Advantages of S53P4 Bioactive Glass in the Treatment of Septic Osteoarthritis of the First Metatarsophalangeal Joint in the Diabetic Foot. Journal of Clinical Medicine, 10(6), 1208. https://doi.org/10.3390/jcm10061208

