Did the COVID-19 Pandemic Increase the Incidence of Acute Macular Neuroretinopathy?
Abstract
:1. Introduction
2. Materials and Methods
2.1. Study Design and Patient Selection
2.2. Data Collection
2.3. Statistical Analysis
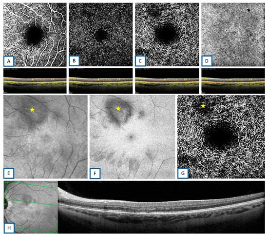
3. Results
4. Discussion
Author Contributions
Funding
Institutional Review Board Statement
Informed Consent Statement
Data Availability Statement
Acknowledgments
Conflicts of Interest
References
- Coronaviridae Study Group of the International Committee on Taxonomy of Viruses. The Species Severe Acute Respiratory Syndrome-Related Coronavirus: Classifying 2019-nCoV and Naming It SARS-CoV-2. Nat. Microbiol. 2020, 5, 536–544. [Google Scholar] [CrossRef] [PubMed] [Green Version]
- Gupta, A.; Madhavan, M.V.; Sehgal, K.; Nair, N.; Mahajan, S.; Sehrawat, T.S.; Bikdeli, B.; Ahluwalia, N.; Ausiello, J.C.; Wan, E.Y.; et al. Extrapulmonary Manifestations of COVID-19. Nat. Med. 2020, 26, 1017–1032. [Google Scholar] [CrossRef] [PubMed]
- Rossi, F.H. Venous Thromboembolism in COVID-19 Patients. J. Vasc. Bras. 2020, 19, e20200107. [Google Scholar] [CrossRef]
- Guerrero, J.I.; Barragán, L.A.; Martínez, J.D.; Montoya, J.P.; Peña, A.; Sobrino, F.E.; Tovar-Spinoza, Z.; Ghotme, K.A. Central and Peripheral Nervous System Involvement by COVID-19: A Systematic Review of the Pathophysiology, Clinical Manifestations, Neuropathology, Neuroimaging, Electrophysiology, and Cerebrospinal Fluid Findings. BMC Infect. Dis. 2021, 21, 515. [Google Scholar] [CrossRef] [PubMed]
- Bahranifard, B.; Mehdizadeh, S.; Hamidi, A.; Khosravi, A.; Emami, R.; Mirzaei, K.; Nemati, R.; Nemati, F.; Assadi, M.; Gholamrezanezhad, A. A Review of Neuroradiological Abnormalities in Patients with Coronavirus Disease 2019 (COVID-19). Neuroradiol. J. 2021. [Google Scholar] [CrossRef]
- Adedara, I.A.; Awogbindin, I.O.; Mohammed, K.A.; Da-Silva, O.F.; Farombi, E.O. Abatement of the Dysfunctional Hypothalamic-Pituitary-Gonadal Axis Due to Ciprofloxacin Administration by Selenium in Male Rats. J. Biochem. Mol. Toxicol. 2021, 35, e22741. [Google Scholar] [CrossRef]
- Barizien, N.; Le Guen, M.; Russel, S.; Touche, P.; Huang, F.; Vallée, A. Clinical Characterization of Dysautonomia in Long COVID-19 Patients. Sci. Rep. 2021, 11, 14042. [Google Scholar] [CrossRef]
- Joly, B.S.; Siguret, V.; Veyradier, A. Understanding Pathophysiology of Hemostasis Disorders in Critically Ill Patients with COVID-19. Intensive Care Med. 2020, 46, 1603–1606. [Google Scholar] [CrossRef]
- Scorcia, V.; Giannaccare, G.; Gatti, V.; Vaccaro, S.; Piccoli, G.; Villì, A.; Toro, M.D.; Yu, A.C.; Iovino, C.; Simonelli, F.; et al. Intravitreal Dexamethasone Implant in Patients Who Did Not Complete Anti-VEGF Loading Dose During the COVID-19 Pandemic: A Retrospective Observational Study. Ophthalmol. Ther. 2021, 5, 1–10. [Google Scholar] [CrossRef]
- Iovino, C.; Peiretti, E.; Giannaccare, G.; Scorcia, V.; Carnevali, A. Evolving Treatment Paradigm in the Management of Diabetic Macular Edema in the Era of COVID-19. Front Pharmacol. 2021, 12, 670468. [Google Scholar] [CrossRef]
- Carnevali, A.; Giannaccare, G.; Gatti, V.; Scuteri, G.; Randazzo, G.; Scorcia, V. Intravitreal injections during COVID-19 outbreak: Real-world experience from an Italian tertiary referral center. Eur. J. Ophthalmol. 2021, 31, 10–12. [Google Scholar] [CrossRef]
- Komro, J.; Bogaard, J.D.; Warren, C.C. Acute Macular Neuroretinopathy as a Manifestation of COVID-19. Ophthalmol. Case Rep. 2021, 5, 1. [Google Scholar] [CrossRef]
- Virgo, J.; Mohamed, M. Paracentral Acute Middle Maculopathy and Acute Macular Neuroretinopathy Following SARS-CoV-2 Infection. Eye 2020, 34, 2352–2353. [Google Scholar] [CrossRef]
- Gascon, P.; Briantais, A.; Bertrand, E.; Ramtohul, P.; Comet, A.; Beylerian, M.; Sauvan, L.; Swiader, L.; Durand, J.M.; Denis, D. COVID-19-Associated Retinopathy: A Case Report. Ocul. Immunol. Inflamm. 2020, 28, 1293–1297. [Google Scholar] [CrossRef]
- Aidar, M.N.; Gomes, T.M.; de Almeida, M.Z.H.; de Andrade, E.P.; Serracarbassa, P.D. Low Visual Acuity Due to Acute Macular Neuroretinopathy Associated with COVID-19: A Case Report. Am. J. Case. Rep. 2021, 22, e931169. [Google Scholar] [CrossRef]
- Preti, R.C.; Zacharias, L.C.; Cunha, L.P.; Monteiro, M.L.R. Acute Macular Neuroretinopathy as the Presenting Manifestation of COVID-19 Infection. Retin. Cases Brief Rep. 2021. [Google Scholar] [CrossRef]
- Giacuzzo, C.; Eandi, C.M.; Kawasaki, A. Bilateral Acute Macular Neuroretinopathy Following COVID-19 Infection. Acta Ophthalmol. 2021. [Google Scholar] [CrossRef] [PubMed]
- Zhang, Y.; Stewart, J.M. Retinal and Choroidal Manifestations of COVID-19. Curr. Opin. Ophthalmol. 2021, 32, 536–540. [Google Scholar] [CrossRef] [PubMed]
- Moura-Coelho, N.; Gaspar, T.; Ferreira, J.T.; Dutra-Medeiros, M.; Cunha, J.P. Paracentral Acute Middle Maculopathy-Review of the Literature. Graefe’s Arch. Clin. Exp. Ophthalmol. 2020, 258, 2583–2596. [Google Scholar] [CrossRef] [PubMed]
- Chen, K.C.; Marsiglia, M.; Dolz-Marco, R.; Zahid, S.; Mrejen, S.; Pulido, J.S.; Cohen, S.Y.; Freilich, B.; Yannuzzi, L.A.; Freund, K.B. Foveal Exudate and Choroidal Neovascularization in Atypical Cases of Multiple Evanescent White Dot Syndrome. Retina 2017, 37, 2025–2034. [Google Scholar] [CrossRef] [PubMed]
- Fawzi, A.A.; Pappuru, R.R.; Sarraf, D.; Le, P.P.; McCannel, C.A.; Sobrin, L.; Goldstein, D.A.; Honowitz, S.; Walsh, A.C.; Sadda, S.R.; et al. Acute Macular Neuroretinopathy: Long-Term Insights Revealed by Multimodal Imaging. Retina 2012, 32, 1500–1513. [Google Scholar] [CrossRef]
- Sarraf, D.; Rahimy, E.; Fawzi, A.A.; Sohn, E.; Barbazetto, I.; Zacks, D.N.; Mittra, R.A.; Klancnik, J.M.; Mrejen, S.; Goldberg, N.R.; et al. Paracentral Acute Middle Maculopathy: A New Variant of Acute Macular Neuroretinopathy Associated with Retinal Capillary Ischemia. JAMA Ophthalmol. 2013, 131, 1275–1287. [Google Scholar] [CrossRef]
- Azar, G.; Wolff, B.; Cornut, P.-L.; Sahel, J.-A.; Mauget-Faÿsse, M. Spectral Domain Optical Coherence Tomography Evolutive Features in Acute Macular Neuroretinopathy. Eur. J. Ophthalmol. 2012, 22, 850–852. [Google Scholar] [CrossRef]
- Bhavsar, K.V.; Lin, S.; Rahimy, E.; Joseph, A.; Freund, K.B.; Sarraf, D.; Cunningham, E.T. Acute Macular Neuroretinopathy: A Comprehensive Review of the Literature. Surv. Ophthalmol. 2016, 61, 538–565. [Google Scholar] [CrossRef] [PubMed]
- Munk, M.R.; Jampol, L.M.; Cunha Souza, E.; de Andrade, G.C.; Esmaili, D.D.; Sarraf, D.; Fawzi, A.A. New Associations of Classic Acute Macular Neuroretinopathy. Br. J. Ophthalmol. 2016, 100, 389–394. [Google Scholar] [CrossRef] [Green Version]
- Deschamps, R.; Vasseur, V.; Shor, N.; Vignal, C.; Salomon, L.; Gout, O.; Mauget-Faÿsse, M. A New Association: Acute Macular Neuroretinopathy in Acute Optic Neuritis. Acta Ophthalmol. 2019, 97, e753–e756. [Google Scholar] [CrossRef] [PubMed]
- Akanda, M.; Gangaputra, S.; Kodati, S.; Melamud, A.; Sen, H.N. Multimodal Imaging in Dengue-Fever-Associated Maculopathy. Ocul. Immunol. Inflamm. 2018, 26, 671–676. [Google Scholar] [CrossRef]
- Ashfaq, I.; Vrahimi, M.; Waugh, S.; Soomro, T.; Grinton, M.E.; Browning, A.C. Acute Macular Neuroretinopathy Associated with Acute Influenza Virus Infection. Ocul. Immunol. Inflamm. 2021, 29, 333–339. [Google Scholar] [CrossRef]
- Liu, J.C.; Nesper, P.L.; Fawzi, A.A.; Gill, M.K. Acute Macular Neuroretinopathy Associated with Influenza Vaccination with Decreased Flow at the Deep Capillary Plexus on OCT Angiography. Am. J. Ophthalmol. Case Rep. 2018, 10, 96–100. [Google Scholar] [CrossRef]
- Shah, P.; Zaveri, J.S.; Haddock, L.J. Acute Macular Neuroretinopathy Following the Administration of an Influenza Vaccination. Ophthalmic Surg. Lasers Imaging Retin. 2018, 49, e165–e168. [Google Scholar] [CrossRef]
- Marinho, P.M.; Marcos, A.A.A.; Romano, A.C.; Nascimento, H.; Belfort, R. Retinal Findings in Patients with COVID-19. Lancet 2020, 395, 1610. [Google Scholar] [CrossRef]
- Haw, Y.-L.; Yu, T.-C.; Yang, C.-S. A CARE-Compliant Article: A Case Report of Possible Association between Recurrence of Multiple Evanescent White Dot Syndrome and the Herpesviridae Family. Medicine 2020, 99, e19794. [Google Scholar] [CrossRef] [PubMed]
- Gaudric, A.; Mrejen, S. Why the Dots Are Black Only in the Late Phase of the Indocyanine Green Angiography in Multiple Evanescent White Dot Syndrome. Retin. Cases Brief Rep. 2017, 11 (Suppl. 1), S81–S85. [Google Scholar] [CrossRef]
- Nemiroff, J.; Kuehlewein, L.; Rahimy, E.; Tsui, I.; Doshi, R.; Gaudric, A.; Gorin, M.B.; Sadda, S.; Sarraf, D. Assessing Deep Retinal Capillary Ischemia in Paracentral Acute Middle Maculopathy by Optical Coherence Tomography Angiography. Am. J. Ophthalmol. 2016, 162, 121–132.e1. [Google Scholar] [CrossRef] [PubMed]
- Zhou, L.; Xu, Z.; Guerra, J.; Rosenberg, A.Z.; Fenaroli, P.; Eberhart, C.G.; Duh, E.J. Expression of the SARS-CoV-2 Receptor ACE2 in Human Retina and Diabetes-Implications for Retinopathy. Investig. Ophthalmol. Vis. Sci. 2021, 62, 6. [Google Scholar] [CrossRef] [PubMed]
- Chen, R.; Wang, K.; Yu, J.; Howard, D.; French, L.; Chen, Z.; Wen, C.; Xu, Z. The Spatial and Cell-Type Distribution of SARS-CoV-2 Receptor ACE2 in the Human and Mouse Brains. Front. Neurol. 2020, 11, 573095. [Google Scholar] [CrossRef] [PubMed]
- Tremblay, M.-E.; Madore, C.; Bordeleau, M.; Tian, L.; Verkhratsky, A. Neuropathobiology of COVID-19: The Role for Glia. Front. Cell. Neurosci. 2020, 14, 592214. [Google Scholar] [CrossRef] [PubMed]
- Reinhold, A.; Tzankov, A.; Matter, M.; Mihic-Probst, D.; Scholl, H.P.N.; Meyer, P. Ocular Pathology and Occasionally Detectable Intraocular SARS-CoV-2 RNA in Five Fatal COVID-19 Cases. Ophthalmic Res. 2021, 64, 785–792. [Google Scholar] [CrossRef]
- May, A. Morphology of the Long and Short Uveal Nerves in the Human Eye. J. Anat. 2004, 205, 113–120. [Google Scholar] [CrossRef] [PubMed]
- Zhou, S.; Jones-Lopez, E.C.; Soneji, D.J.; Azevedo, C.J.; Patel, V.R. Myelin Oligodendrocyte Glycoprotein Antibody-Associated Optic Neuritis and Myelitis in COVID-19. J. Neuroophthalmol. 2020, 40, 398–402. [Google Scholar] [CrossRef]
- Merad, M.; Martin, J.C. Pathological Inflammation in Patients with COVID-19: A Key Role for Monocytes and Macrophages. Nat. Rev. Immunol. 2020, 20, 355–362. [Google Scholar] [CrossRef] [PubMed]
- Delaunay, K.; Khamsy, L.; Kowalczuk, L.; Moulin, A.; Nicolas, M.; Zografos, L.; Lassiaz, P.; Behar-Cohen, F. Glial Cells of the Human Fovea. Mol. Vis. 2020, 26, 235–245. [Google Scholar] [PubMed]
- Awogbindin, I.O.; Ben-Azu, B.; Olusola, B.A.; Akinluyi, E.T.; Adeniyi, P.A.; Di Paolo, T.; Tremblay, M.-È. Microglial Implications in SARS-CoV-2 Infection and COVID-19: Lessons from Viral RNA Neurotropism and Possible Relevance to Parkinson’s Disease. Front. Cell. Neurosci. 2021, 15, 670298. [Google Scholar] [CrossRef]
- Zhang, Y.; Xiao, M.; Zhang, S.; Xia, P.; Cao, W.; Jiang, W.; Chen, H.; Ding, X.; Zhao, H.; Zhang, H.; et al. Coagulopathy and Antiphospholipid Antibodies in Patients with COVID-19. N. Engl. J. Med. 2020, 382, e38. [Google Scholar] [CrossRef] [PubMed]
- Colmenero, I.; Santonja, C.; Alonso-Riaño, M.; Noguera-Morel, L.; Hernández-Martín, A.; Andina, D.; Wiesner, T.; Rodríguez-Peralto, J.L.; Requena, L.; Torrelo, A. SARS-CoV-2 Endothelial Infection Causes COVID-19 Chilblains: Histopathological, Immunohistochemical and Ultraestructural Study of 7 Paediatric Cases. Br. J. Dermatol. 2020, 138, 729–737. [Google Scholar] [CrossRef]


| Prevalence (for 100,000 Visits) | |||
|---|---|---|---|
| 2019 | 2020 | p | |
| MEWDS | 3.95 | 3.26 | >0.99 |
| PAMM | 3.29 | 5.71 | 0.34 |
| AMN | 0.66 | 8.97 | 0.001 |
| Number | Age (Years) | Sex | Laterality | COVID PCR Test | Observation | RE VA | LE VA | Clinical Form | Follow-Up (Days) |
|---|---|---|---|---|---|---|---|---|---|
| 1 | 17 | F | Bilateral | No test | MOG + | 20/20 | 20/20 | Classic | 182 |
| 2 | 21 | M | RE | Positive | 20/2000 | 20/20 | Photoreceptoritis | 70 | |
| 3 | 18 | F | Bilateral | No test | 20/20 | 20/20 | Photoreceptoritis | 259 | |
| 4 | 28 | F | Bilateral | Positive | 20/20 | 20/20 | Classic | 35 | |
| 5 | 38 | F | LE | No test | 20/20 | 20/32 | Photoreceptoritis | LTFU | |
| 6 | 30 | F | RE | No test | 20/20 | 20/20 | Classic | 131 | |
| 7 | 31 | F | LE | No test | Vaccination | 20/20 | 20/40 | Epithelitis | LTFU |
| 8 | 15 | F | RE | No test | MOG + | 20/2000 | 20/2000 | Classic | 159 |
| 9 | 27 | F | Bilateral | Positive | 20/16 | 20/16 | Classic | LTFU | |
| 10 | 38 | F | RE | No test | Diabetic retinopathy | 20/2000 | 20/20 | Epithelitis | LTFU |
| 11 | 22 | F | RE | Positive | 20/20 | 20/20 | Classic | 60 |
Publisher’s Note: MDPI stays neutral with regard to jurisdictional claims in published maps and institutional affiliations. |
© 2021 by the authors. Licensee MDPI, Basel, Switzerland. This article is an open access article distributed under the terms and conditions of the Creative Commons Attribution (CC BY) license (https://creativecommons.org/licenses/by/4.0/).
Share and Cite
Azar, G.; Bonnin, S.; Vasseur, V.; Faure, C.; Salviat, F.; Clermont, C.V.; Titah, C.; Farès, S.; Boulanger, E.; Derrien, S.; et al. Did the COVID-19 Pandemic Increase the Incidence of Acute Macular Neuroretinopathy? J. Clin. Med. 2021, 10, 5038. https://doi.org/10.3390/jcm10215038
Azar G, Bonnin S, Vasseur V, Faure C, Salviat F, Clermont CV, Titah C, Farès S, Boulanger E, Derrien S, et al. Did the COVID-19 Pandemic Increase the Incidence of Acute Macular Neuroretinopathy? Journal of Clinical Medicine. 2021; 10(21):5038. https://doi.org/10.3390/jcm10215038
Chicago/Turabian StyleAzar, Georges, Sophie Bonnin, Vivien Vasseur, Céline Faure, Flore Salviat, Catherine Vignal Clermont, Cherif Titah, Selim Farès, Elise Boulanger, Sabine Derrien, and et al. 2021. "Did the COVID-19 Pandemic Increase the Incidence of Acute Macular Neuroretinopathy?" Journal of Clinical Medicine 10, no. 21: 5038. https://doi.org/10.3390/jcm10215038
APA StyleAzar, G., Bonnin, S., Vasseur, V., Faure, C., Salviat, F., Clermont, C. V., Titah, C., Farès, S., Boulanger, E., Derrien, S., Couturier, A., Duvilliers, A., Manassero, A., Hage, R., Tadayoni, R., Behar-Cohen, F., & Mauget-Faÿsse, M. (2021). Did the COVID-19 Pandemic Increase the Incidence of Acute Macular Neuroretinopathy? Journal of Clinical Medicine, 10(21), 5038. https://doi.org/10.3390/jcm10215038

