Glenoid Component Loosening in Anatomic Total Shoulder Arthroplasty: Association between Radiological Predictors and Clinical Parameters—An Observational Study
Abstract
1. Introduction
2. Materials and Methods
2.1. Inclusion Criteria and Follow-Up Time Points
2.2. Implant Description
2.3. Surgical Technique and Postoperative Care
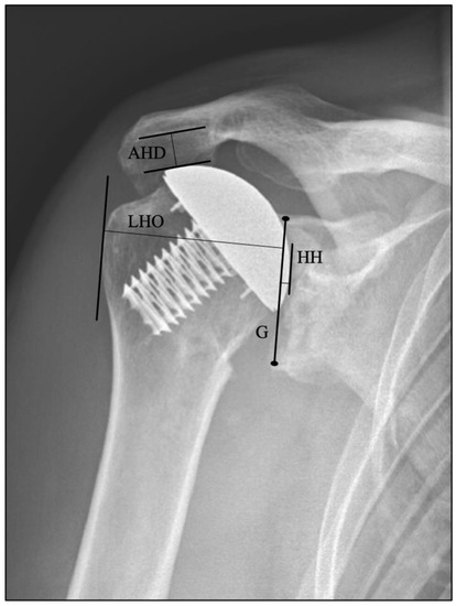
2.4. Clinical and Radiological Evaluations
2.5. Statistical Analysis
3. Results
3.1. Patient Characteristics
3.2. Change in CS and SSV with Time
3.3. Change in Radiographic Parameters with Time
3.4. Association between Radiographic Parameters and CS and SSV across Time Points
3.5. Association between Change in Radiographic Parameters (Δ from Six Months) and Franklin Radiolucency Grade, the CS, and the SSV
3.6. Sensitivity Analysis
4. Discussion
5. Conclusions
Author Contributions
Funding
Institutional Review Board Statement
Informed Consent Statement
Data Availability Statement
Conflicts of Interest
References
- Barrett, W.P.; Franklin, J.L.; Jackins, S.E.; Wyss, C.R.; Matsen, F.A. Total shoulder arthroplasty. J. Bone Jt. Surg. Am. 1987, 69, 865–872. [Google Scholar] [CrossRef]
- Cofield, R.H. Total shoulder arthroplasty with the Neer prosthesis. J. Bone Jt. Surg. Am. 1984, 66, 899–906. [Google Scholar] [CrossRef] [PubMed]
- Neer, C.S. Replacement arthroplasty for glenohumeral osteoarthritis. J. Bone Jt. Surg. Am. 1974, 56, 1–13. [Google Scholar] [CrossRef]
- Torchia, M.E.; Cofield, R.H.; Settergreen, C.R. Total shoulder arthroplasty with the Neer prosthesis: Long-term results. J. Shoulder Elb. Surg. 1997, 6, 495–505. [Google Scholar] [CrossRef]
- Pinkas, D.; Wiater, B.; Wiater, J.M. The glenoid component in anatomic shoulder arthroplasty. J. Am. Acad. Orthop. Surg. 2015, 23, 317–326. [Google Scholar] [CrossRef]
- Matsen, F.A.; Clinton, J.; Lynch, J.; Bertelsen, A.; Richardson, M.L. Glenoid component failure in total shoulder arthroplasty. J. Bone Jt. Surg. Am. 2008, 90, 885–896. [Google Scholar] [CrossRef]
- Papadonikolakis, A.; Neradilek, M.B.; Matsen, F.A. Failure of the glenoid component in anatomic total shoulder arthroplasty: A systematic review of the English-language literature between 2006 and 2012. J. Bone Jt. Surg. Am. 2013, 95, 2205–2212. [Google Scholar] [CrossRef]
- Bohsali, K.I.; Wirth, M.A.; Rockwood, C.A. Complications of total shoulder arthroplasty. J. Bone Jt. Surg. Am. 2006, 88, 2279–2292. [Google Scholar]
- Nagels, J.; Valstar, E.R.; Stokdijk, M.; Rozing, P.M. Patterns of loosening of the glenoid component. J. Bone Jt. Surg. Br. 2002, 84, 83–87. [Google Scholar] [CrossRef]
- Buckingham, B.P.; Parsons, I.M.; Campbell, B.; Titelman, R.M.; Smith, K.L.; Matsen, F.A. Patient functional self-assessment in late glenoid component failure at three to eleven years after total shoulder arthroplasty. J. Shoulder Elb. Surg. 2005, 14, 368–374. [Google Scholar] [CrossRef]
- Kasten, P.; Pape, G.; Raiss, P.; Bruckner, T.; Rickert, M.; Zeifang, F.; Loew, M. Mid-term survivorship analysis of a shoulder replacement with a keeled glenoid and a modern cementing technique. J. Bone Jt. Surg. Br. 2010, 92, 387–392. [Google Scholar] [CrossRef] [PubMed]
- Khan, A.; Bunker, T.D.; Kitson, J.B. Clinical and radiological follow-up of the Aequalis third-generation cemented total shoulder replacement: A minimum ten-year study. J. Bone Jt. Surg. Br. 2009, 91, 1594–1600. [Google Scholar] [CrossRef] [PubMed]
- Fox, T.J.; Cil, A.; Sperling, J.W.; Sanchez-Sotelo, J.; Schleck, C.D.; Cofield, R.H. Survival of the glenoid component in shoulder arthroplasty. J. Shoulder Elb. Surg. 2009, 18, 859–863. [Google Scholar] [CrossRef] [PubMed]
- Godenèche, A.; Boileau, P.; Favard, L.; Le Huec, J.C.; Lévigne, C.; Nové-Josserand, L.; Walch, G.; Edwards, B. Prosthetic replacement in the treatment of osteoarthritis of the shoulder: Early results of 268 cases. J. Shoulder Elb. Surg. 2002, 11, 11–18. [Google Scholar] [CrossRef] [PubMed]
- Wirth, M.A.; Rockwood, C.A. Complications of total shoulder-replacement arthroplasty. J. Bone Jt. Surg. Am. 1996, 78, 603–616. [Google Scholar] [CrossRef]
- Boileau, P.; Avidor, C.; Krishnan, S.G.; Walch, G.; Kempf, J.F.; Molé, D. Cemented polyethylene versus uncemented metal-backed glenoid components in total shoulder arthroplasty: A prospective, double-blind, randomized study. J. Shoulder Elb. Surg. 2002, 11, 351–359. [Google Scholar] [CrossRef]
- Franklin, J.L.; Barrett, W.P.; Jackins, S.E.; Matsen, F.A. Glenoid loosening in total shoulder arthroplasty. Association with rotator cuff deficiency. J. Arthroplast. 1988, 3, 39–46. [Google Scholar] [CrossRef]
- Collins, D.; Tencer, A.; Sidles, J.; Matsen, F.A., 3rd. Edge displacement and deformation of glenoid components in respinse to eccentric loading. The effect of preparation of the glenoid bone. J. Bone Jt. Surg. 1992, 74, 501–507. [Google Scholar] [CrossRef]
- Lazarus, M.D.; Jensen, K.L.; Southworth, C.; Matsen, F.A. The radiographic evaluation of keeled and pegged glenoid component insertion. J. Bone Jt. Surg. Am. 2002, 84, 1174–1182. [Google Scholar] [CrossRef]
- Durchholz, H.; Salomonsson, B.; Moroder, P.; Lambert, S.; Page, R.; Audigé, L. Core Set of Radiographic Parameters for Shoulder Arthroplasty Monitoring: Criteria Defined by an International Delphi Consensus Process. JB JS Open Access 2019, 4, e0025. [Google Scholar] [CrossRef]
- McLendon, P.B.; Schoch, B.S.; Sperling, J.W.; Sánchez-Sotelo, J.; Schleck, C.D.; Cofield, R.H. Survival of the pegged glenoid component in shoulder arthroplasty: Part II. J. Shoulder Elb. Surg. 2017, 26, 1469–1476. [Google Scholar] [CrossRef] [PubMed]
- Hawi, N.; Magosch, P.; Tauber, M.; Lichtenberg, S.; Habermeyer, P. Nine-year outcome after anatomic stemless shoulder prosthesis: Clinical and radiologic results. J. Shoulder Elb. Surg. 2017, 26, 1609–1615. [Google Scholar] [CrossRef] [PubMed]
- Denard, P.J.; Werner, B.C.; Gobezie, R.; Tokish, J.M.; Kissenberth, M.J.; Lederman, E. Lower rates of radiolucency with a hybrid all-polyethylene pegged glenoid component compared to a completely cemented pegged glenoid component. Semin. Arthroplast. JSES 2020, 30, 56–62. [Google Scholar] [CrossRef]
- Constant, C.R.; Murley, A.H. A clinical method of functional assessment of the shoulder. Clin. Orthop. Relat. Res. 1987, 214, 160–164. [Google Scholar] [CrossRef]
- Gilbart, M.K.; Gerber, C. Comparison of the subjective shoulder value and the Constant score. J. Shoulder Elb. Surg. 2007, 16, 717–721. [Google Scholar] [CrossRef] [PubMed]
- Kolk, A.; Overbeek, C.L.; de Groot, J.H.; Nelissen, R.; Nagels, J. Reliability and discriminative accuracy of 5 measures for craniocaudal humeral position: An assessment on conventional radiographs. JSES Int. 2020, 4, 189–196. [Google Scholar] [CrossRef] [PubMed]
- Aronowitz, J.G.; Harmsen, W.S.; Schleck, C.D.; Sperling, J.W.; Cofield, R.H.; Sánchez-Sotelo, J. Radiographs and computed tomography scans show similar observer agreement when classifying glenoid morphology in glenohumeral arthritis. J. Shoulder Elb. Surg. 2017, 26, 1533–1538. [Google Scholar] [CrossRef]
- Sherman, O.H. MR imaging of impingement and rotator cuff disorders. A surgical perspective. Magn. Reson. Imaging Clin. N. Am. 1997, 5, 721–734. [Google Scholar]
- White, C.E.; Dedrick, G.S.; Apte, G.G.; Sizer, P.S.; Brismée, J.M. The effect of isometric shoulder internal and external rotation on the acromiohumeral distance. Am. J. Phys. Med. Rehabil. 2012, 91, 193–199. [Google Scholar] [CrossRef]
- Harris, P.A.; Taylor, R.; Thielke, R.; Payne, J.; Gonzalez, N.; Conde, J.G. Research electronic data capture (REDCap)--a metadata-driven methodology and workflow process for providing translational research informatics support. J. Biomed. Inform. 2009, 42, 377–381. [Google Scholar] [CrossRef]
- Simovitch, R.; Flurin, P.H.; Wright, T.; Zuckerman, J.D.; Roche, C.P. Quantifying success after total shoulder arthroplasty: The minimal clinically important difference. J. Shoulder Elb. Surg. 2018, 27, 298–305. [Google Scholar] [CrossRef] [PubMed]
- Raiss, P.; Bruckner, T.; Rickert, M.; Walch, G. Longitudinal observational study of total shoulder replacements with cement: Fifteen to twenty-year follow-up. J. Bone Jt. Surg. Am. 2014, 96, 198–205. [Google Scholar] [CrossRef] [PubMed]
- Walch, G.; Young, A.A.; Boileau, P.; Loew, M.; Gazielly, D.; Mole, D. Patterns of loosening of polyethylene keeled glenoid components after shoulder arthroplasty for primary osteoarthritis: Results of a multicenter study with more than five years of follow-up. J. Bone Jt. Surg. Am. 2012, 94, 145–150. [Google Scholar] [CrossRef] [PubMed]
- Raiss, P.; Godenèche, A.; Wittmann, T.; Schnetzke, M.; Bruckner, T.; Neyton, L.; Walch, G. Short-term radiographic results of a cemented polyethylene keeled glenoid component with varying backside radiuses of curvature. J. Shoulder Elb. Surg. 2018, 27, 839–845. [Google Scholar] [CrossRef] [PubMed]
- Dauzère, F.; Arboucalot, M.; Lebon, J.; Elia, F.; Bonnevialle, N.; Mansat, P. Evaluation of thirty eight cemented pegged glenoid components with variable backside curvature: Two-year minimum follow-up. Int. Orthop. 2017, 41, 2353–2360. [Google Scholar] [CrossRef]
- Gregory, T.M.; Gregory, J.; Nicolas, E.; Pierrart, J.; Masmejean, E. Shoulder Arthroplasty Imaging: What’s New. Open Orthop. J. 2017, 11, 1126–1132. [Google Scholar] [CrossRef]
- Gregory, T.; Hansen, U.; Khanna, M.; Mutchler, C.; Urien, S.; Amis, A.A.; Bernard, A.; Emery, R. A CT scan protocol for the detection of radiographic loosening of the glenoid component after total shoulder arthroplasty. Acta Orthop. 2014, 85, 91–96. [Google Scholar] [CrossRef]
- Trail, I.A.; Nuttall, D. The results of shoulder arthroplasty in patients with rheumatoid arthritis. J. Bone Jt. Surg. Br. 2002, 84, 1121–1125. [Google Scholar] [CrossRef]
- Zilber, S.; Radier, C.; Goutallier, D. (Eds.) Long term results (15 to 21 years) after total anatomic shoulder arthroplasty: The “floating glenoid” threat. In Proceedings of the 20th Congress of the European Society for Surgery of the Shoulder and the Elbow, Athens, Greece, 20–24 September 2006. [Google Scholar]
- Gregory, T.M.; Sankey, A.; Augereau, B.; Vandenbussche, E.; Amis, A.; Emery, R.; Hansen, U. Accuracy of glenoid component placement in total shoulder arthroplasty and its effect on clinical and radiological outcome in a retrospective, longitudinal, monocentric open study. PLoS ONE 2013, 8, e75791. [Google Scholar] [CrossRef]
- Upfill-Brown, A.; Satariano, N.; Feeley, B. Stemless shoulder arthroplasty: Review of short and medium-term results. JSES Open Access 2019, 3, 154–161. [Google Scholar] [CrossRef]
- Kilian, C.M.; Press, C.M.; Smith, K.M.; O’Connor, D.P.; Morris, B.J.; Elkousy, H.A.; Gartsman, G.M.; Edwards, B. Radiographic and clinical comparison of pegged and keeled glenoid components using modern cementing techniques: Midterm results of a prospective randomized study. J. Shoulder Elb. Surg. 2017, 26, 2078–2085. [Google Scholar] [CrossRef] [PubMed]
- Yian, E.H.; Werner, C.M.L.; Nyffeler, R.W.; Pfirrmann, C.W.; Ramappa, A.; Sukthankar, A.; Gerber, C. Radiographic and computed tomography analysis of cemented pegged polyethylene glenoid components in total shoulder replacement. J. Bone Jt. Surg. 2005, 87, 1928–1936. [Google Scholar] [CrossRef]
- Dillon, M.T.; Chan, P.H.; Prentice, H.A.; Burfeind, W.E.; Yian, E.H.; Singh, A.; Paxton, E.W.; Navarro, R.A. The association between glenoid component design and revision risk in anatomic total shoulder arthroplasty. J. Shoulder Elb. Surg. 2020, 29, 2089–2096. [Google Scholar] [CrossRef] [PubMed]
- Fox, T.J.; Foruria, A.M.; Klika, B.J.; Sperling, J.W.; Schleck, C.D.; Cofield, R.H. Radiographic survival in total shoulder arthroplasty. J. Shoulder Elb. Surg. 2013, 22, 1221–1227. [Google Scholar] [CrossRef]
- Schoch, B.S.; Wright, T.W.; Zuckerman, J.D.; Bolch, C.; Flurin, P.H.; Roche, C.; King, J.J. Glenoid component lucencies are associated with poorer patient-reported outcomes following anatomic shoulder arthroplasty. J. Shoulder Elb. Surg. 2019, 28, 1956–1963. [Google Scholar] [CrossRef]
- Ho, J.C.; Youderian, A.; Davidson, I.U.; Bryan, J.; Iannotti, J.P. Accuracy and reliability of postoperative radiographic measurements of glenoid anatomy and relationships in patients with total shoulder arthroplasty. J. Shoulder Elb. Surg. 2013, 22, 1068–1077. [Google Scholar] [CrossRef]
- Kadum, B.; Sayed-Noor, A.S.; Perisynakis, N.; Baea, S.; Sjoden, G.O. Radiologic assessment of glenohumeral relationship: Reliability and reproducibility of lateral humeral offset. Surg. Radiol. Anat. 2015, 37, 363–368. [Google Scholar] [CrossRef]
- Sarah, J.; Sanjay, G.; Sanjay, S.; Carolyn, A.; Emery, R.; Andrew, A.; Ulrich, H. Failure mechanism of the all-polyethylene glenoid implant. J. Biomech. 2010, 43, 714–719. [Google Scholar] [CrossRef]
- Marzel, A.; Schwyzer, H.K.; Kolling, C.; Moro, F.; Flury, M.; Glanzmann, M.C.; Jung, C.; Wirth, B.; Weber, B.; Simmen, B.; et al. The Schulthess local Shoulder Arthroplasty Registry (SAR): Cohort profile. BMJ Open 2020, 10, e040591. [Google Scholar] [CrossRef]




| N (%) | Mean (SD) | |
|---|---|---|
| Age | 150 | 67 (8) |
| Age category | ||
| ≤60 | 30 (20) | |
| 61–70 | 66 (44) | |
| >70 | 54 (36) | |
| Gender | ||
| Women | 88 (59) | |
| Men | 62 (41) | |
| Smoking | ||
| No | 119 (92) | |
| Yes | 10 (8) | |
| BMI | 68 | 28 (6) |
| ASA Physical Status Classification System | ||
| I. Healthy patient | 18 (12) | |
| II. Mild systemic disease | 78 (52) | |
| III. Severe systemic disease | 52 (35) | |
| IV. Severe systemic disease that is a constant threat to life | 1 (1) | |
| Pre-operative pain (0–10) | 135 | 6 (2) |
| Constant score (0–100) | 130 | 36 (16) |
| Subjective Shoulder Value (0–100) * | 67 | 44 (23) |
| Abduction ° | 135 | 79 (28) |
| Flexion ° | 135 | 96 (28) |
| Abduction strength, affected arm (kg) | 133 | 1 (3) |
| Abduction strength, unaffected arm (kg) | 127 | 7 (3) |
| EQ-VAS (0–100) * | 72 | 68 (19) |
| Walch classification | ||
| A1 | 30 (20) | |
| A2 | 56 (38) | |
| B1 | 19 (13) | |
| B2 | 26 (18) | |
| B3 | 10 (7) | |
| C | 6 (4) | |
| Pegged glenoid component size | ||
| Small | 87 (58) | |
| Medium | 50 (33) | |
| Large | 13 (9) | |
| Humeral Head component size | ||
| 39/16 | 7 (5) | |
| 41/16 | 27 (18) | |
| 43/16 | 36 (24) | |
| 45/17 | 31 (21) | |
| 47/18 | 22 (15) | |
| 49/18 | 16 (11) | |
| 51/19 | 8 (5) | |
| 53/20 | 3 (2) |
| Radiographic Parameter | Six Months | One Year | Two Years | Five Years | p-Value (Two Years vs. Six Months) | p-Value (Five Years vs. Six Months) |
|---|---|---|---|---|---|---|
| Acromiohumeral distance (mm) | 12.7 (0.3) | 12.5 (0.3) | 12.1 (0.3) | 10.4 (0.4) | 0.17 | <0.001 |
| Lateral humeral offset (mm) | 52 (0.3) | 51.9 (0.3) | 51.5 (0.3) | 50.5 (0.4) | 0.02 | <0.001 |
| Joint gap width (mm) | 2.9 (0.1) | 2.8 (0.1) | 2.6 (0.1) | 1.4 (0.2) | 0.17 | <0.001 |
| Franklin radiolucency grade | 2.2 (0.1) | 2.7 (0.1) | 3.1 (0.1) | 3.8 (0.1) | <0.001 | <0.001 |
| Radiographic Parameter | Constant Score | Subjective Shoulder Value | ||
|---|---|---|---|---|
| Beta (SE) | p-Value | Beta (SE) | p-Value | |
| Acromiohumeral distance | 0.03 (0.20) | 0.90 | 0.50 (0.27) | 0.07 |
| Lateral humeral offset | 0.27 (0.23) | 0.23 | 0.34 (0.35) | 0.34 |
| Joint gap width | 0.04 (0.45) | 0.92 | 1.51 (0.70) | 0.03 |
| Franklin grade ≤ 1 (Ref.) | ||||
| Franklin grade 2 | 1.58 (1.94) | 0.42 | 1.45 (2.92) | 0.62 |
| Franklin grade 3 | 0.39 (1.99) | 0.85 | 0.70 (3.13) | 0.82 |
| Franklin grade 4 | 0.27 (2.29) | 0.90 | −1.55 (3.62) | 0.67 |
| Franklin grade 5 | −0.32 (3.27) | 0.92 | −14.48 (4.84) | <0.01 |
| Change in Radiographic Parameter | Franklin Grade | CS | SSV | |||
|---|---|---|---|---|---|---|
| Beta (SE) | p-Value | Beta (SE) | p-Value | Beta (SE) | p-Value | |
| Δ Acromiohumeral distance | −0.02 (0.02) | 0.33 | −0.3 (0.29) | 0.30 | 0.49 (0.37) | 0.18 |
| Δ Lateral humeral offset | −0.06 (0.03) | 0.09 | 0.48 (0.43) | 0.27 | 0.76 (0.65) | 0.24 |
| Δ Joint gap width | −0.14 (0.04) | <0.001 | 0.39 (0.54) | 0.47 | 1.39 (0.75) | 0.06 |
| Variable | Beta (SE) | p-Value |
|---|---|---|
| Women (Ref.) | ||
| Men | −0.97 (0.2) | <0.001 |
| ASA class 1 and 2 (Ref.) | ||
| ASA class 3 and 4 | 0.02 (0.2) | 0.9 |
| Glenoid component: Small (Ref.) | ||
| Glenoid component: Medium | 0.33 (0.2) | 0.1 |
| Glenoid component: Large | 0.2 (0.3) | 0.6 |
Publisher’s Note: MDPI stays neutral with regard to jurisdictional claims in published maps and institutional affiliations. |
© 2021 by the authors. Licensee MDPI, Basel, Switzerland. This article is an open access article distributed under the terms and conditions of the Creative Commons Attribution (CC BY) license (http://creativecommons.org/licenses/by/4.0/).
Share and Cite
Grob, A.; Freislederer, F.; Marzel, A.; Audigé, L.; Schwyzer, H.-K.; Scheibel, M. Glenoid Component Loosening in Anatomic Total Shoulder Arthroplasty: Association between Radiological Predictors and Clinical Parameters—An Observational Study. J. Clin. Med. 2021, 10, 234. https://doi.org/10.3390/jcm10020234
Grob A, Freislederer F, Marzel A, Audigé L, Schwyzer H-K, Scheibel M. Glenoid Component Loosening in Anatomic Total Shoulder Arthroplasty: Association between Radiological Predictors and Clinical Parameters—An Observational Study. Journal of Clinical Medicine. 2021; 10(2):234. https://doi.org/10.3390/jcm10020234
Chicago/Turabian StyleGrob, Alexandra, Florian Freislederer, Alex Marzel, Laurent Audigé, Hans-Kaspar Schwyzer, and Markus Scheibel. 2021. "Glenoid Component Loosening in Anatomic Total Shoulder Arthroplasty: Association between Radiological Predictors and Clinical Parameters—An Observational Study" Journal of Clinical Medicine 10, no. 2: 234. https://doi.org/10.3390/jcm10020234
APA StyleGrob, A., Freislederer, F., Marzel, A., Audigé, L., Schwyzer, H.-K., & Scheibel, M. (2021). Glenoid Component Loosening in Anatomic Total Shoulder Arthroplasty: Association between Radiological Predictors and Clinical Parameters—An Observational Study. Journal of Clinical Medicine, 10(2), 234. https://doi.org/10.3390/jcm10020234

