Importance of Translabial Ultrasound for the Diagnosis of Pelvic Organ Prolapse and Its Correlation with the POP-Q Examination: Analysis of 363 Cases
Abstract
:1. Introduction
2. Materials and Methods
Statistical Analysis
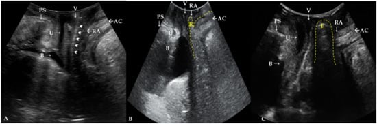
3. Results
4. Discussion
4.1. Correlation of TLUS Findings and the POP-Q Exam Findings
4.2. Role of TLUS in Differentiation of the True POP from Conditions Mimicking POP
4.3. Strengths and Limitations of this Study
5. Conclusions
Author Contributions
Funding
Institutional Review Board Statement
Informed Consent Statement
Data Availability Statement
Conflicts of Interest
References
- Yuk, J.-S.; Lee, J.H.; Hur, J.-Y.; Shin, J.-H. The prevalence and treatment pattern of clinically diagnosed pelvic organ prolapse: A Korean National Health Insurance Database-based cross-sectional study 2009–2015. Sci. Rep. 2018, 8, 1–6. [Google Scholar] [CrossRef] [PubMed] [Green Version]
- Digesu, G.A.; Chaliha, C.; Salvatore, S.; Hutchings, A.; Khullar, V. The relationship of vaginal prolapse severity tosymptoms and quality of life. BJOG Int. J. Obstet. Gynaecol. 2005, 112, 971–976. [Google Scholar] [CrossRef] [PubMed]
- Nygaard, I.; Bradley, C.; Brandt, D. Pelvic organ prolapse in older women: Prevalence and risk factors. Obstet. Gynecol. 2004, 104, 489–497. [Google Scholar] [CrossRef] [PubMed]
- Smith, F.J.; Holman, C.A.J.; Moorin, R.E.; Tsokos, N. Lifetime risk of undergoing surgery for pelvic organ prolapse. Obstet. Gynecol. 2010, 116, 1096–1100. [Google Scholar] [CrossRef] [PubMed]
- Oliphant, S.S.; Jones, K.A.; Wang, L.; Bunker, C.H.; Lowder, J.L. Trends over time with commonly performed obstetric and gynecologic inpatient procedures. Obstet. Gynecol. 2010, 116, 926. [Google Scholar] [CrossRef] [PubMed] [Green Version]
- Subak, L.L.; Waetjen, L.E.; Van Den Eeden, S.; Thom, D.H.; Vittinghoff, E.; Brown, J.S. Cost of pelvic organ prolapse surgery in the United States. Obstet. Gynecol. 2001, 98, 646–651. [Google Scholar] [PubMed]
- Bump, R.C.; Mattiasson, A.; Bø, K.; Brubaker, L.P.; DeLancey, J.O.; Klarskov, P.; Shull, B.L.; Smith, A.R. The standardization of terminology of female pelvic organ prolapse and pelvic floor dysfunction. Am. J. Obstet. Gynecol. 1996, 175, 10–17. [Google Scholar] [CrossRef]
- Nam, G.; Lee, S.R.; Eum, H.R.; Kim, S.H.; Chae, H.D.; Kim, G.J. A Huge Hemorrhagic Epidermoid Cyst of the Perineum with Hypoechoic Semisolid Ultrasonographic Feature Mimicking Scar Endometriosis. Medicina 2021, 57, 276. [Google Scholar] [CrossRef]
- Nam, G.; Lee, S.R.; Choi, S. Clitoromegaly, Vulvovaginal Hemangioma Mimicking Pelvic Organ Prolapse, and Heavy Menstrual Bleeding: Gynecologic Manifestations of Klippel-Trénaunay Syndrome. Medicina 2021, 57, 366. [Google Scholar] [CrossRef]
- Lee, S.R.; Lim, Y.-M.; Jeon, J.H.; Park, M.H. Diagnosis of urethral diverticulum mimicking pelvic organ prolapse with translabial ultrasonography. Am. J. Obstet. Gynecol. 2017, 217, 482. [Google Scholar] [CrossRef]
- Dietz, H.P.; Steensma, A.B. Posterior compartment prolapse on two-dimensional and three-dimensional pelvic floor ultrasound: The distinction between true rectocele, perineal hypermobility and enterocele. Ultrasound Obstet. Gynecol. 2005, 26, 73–77. [Google Scholar] [CrossRef]
- Chang, O.H.; Davidson, E.R.W.; Thomas, T.N.; Paraiso, M.F.R.; Ferrando, C.A. Does concurrent posterior repair for an asymptomatic rectocele reduce the risk of surgical failure in patients undergoing sacrocolpopexy? Int. Urogynecol. J. 2020, 31, 2075–2080. [Google Scholar] [CrossRef] [PubMed]
- Arunachalam, D.; Hale, D.S.; Heit, M.H. Posterior Compartment Surgery Provides No Differential Benefit for Defecatory Symptoms Before or After Concomitant Mesh-Augmented Apical Suspension. Female Pelvic Med. Reconstr. Surg. 2018, 24, 183–187. [Google Scholar] [CrossRef]
- Dietz, H.; Haylen, B.; Broome, J. Ultrasound in the quantification of female pelvic organ prolapse. Ultrasound Obstet. Gynecol. 2001, 18, 511–514. [Google Scholar] [CrossRef] [PubMed]
- Dietz, H. Ultrasound imaging of the pelvic floor. Part I: Two-dimensional aspects. Ultrasound Obstet. Gynecol. 2004, 23, 80–92. [Google Scholar] [CrossRef] [PubMed]
- Dietz, H.; Clarke, B.; Herbison, P. Bladder neck mobility and urethral closure pressure as predictors of genuine stress incontinence. Int. Urogynecol. J. 2002, 13, 289–293. [Google Scholar] [CrossRef] [PubMed]
- Dietz, H. Ultrasound imaging of the pelvic floor. Part II: Three-dimensional or volume imaging. Ultrasound Obstet. Gynecol. 2004, 23, 615–625. [Google Scholar] [CrossRef] [PubMed]
- Samantray, S.R.; Mohapatra, I. Study of the Relationship Between Pelvic Organ Prolapse Quantification (POP-Q) Staging and Decubitus Ulcer in Pelvic Organ Prolapse. Cureus 2021, 13. [Google Scholar] [CrossRef]
- Barber, M.D.; Maher, C. Epidemiology and outcome assessment of pelvic organ prolapse. Int. Urogynecol. J. 2013, 24, 1783–1790. [Google Scholar] [CrossRef] [PubMed]
- Beer-Gabel, M.; Teshler, M.; Schechtman, E.; Zbar, A. Dynamic transperineal ultrasound vs. defecography in patients with evacuatory difficulty: A pilot study. Int. J. Colorectal Dis. 2004, 19, 60–67. [Google Scholar] [CrossRef]
- Dietz, H.P.; Steensma, A. The role of childbirth in the aetiology of rectocele. BJOG Int. J. Obstet. Gynaecol. 2006, 113, 264–267. [Google Scholar] [CrossRef]
- Braga, A.; Soave, I.; Caccia, G.; Regusci, L.; Ruggeri, G.; Pitaku, I.; Bassi, V.; Papadia, A.; Serati, M. What is this vaginal bulge? An atypical case of vaginal paraurethral leiomyoma. A case report and literature systematic review. J. Gynecol. Obstet. Hum. Reprod. 2021, 50, 101822. [Google Scholar] [CrossRef] [PubMed]
- Kenton, K.; Shott, S.; Brubaker, L. The anatomic and functional variability of rectoceles in women. Int. Urogynecol. J. 1999, 10, 96–99. [Google Scholar] [CrossRef]
- Singh, K.; Reid, W.M.; Berger, L.A. Assessment and grading of pelvic organ prolapse by use of dynamic magnetic resonance imaging. Am. J. Obstet. Gynecol. 2001, 185, 71–77. [Google Scholar] [CrossRef] [PubMed]
- Rechi-Sierra, K.; Sánchez-Ballester, F.; García-Ibáñez, J.; Pardo-Duarte, P.; Flores-DelaTorre, M.; Monzó-Cataluña, A.; López-Alcina, E. Magnetic resonance imaging to evaluate anterior pelvic prolapse: H line is the key. Neurourol. Urodyn. 2021, 40, 1042–1047. [Google Scholar] [CrossRef] [PubMed]
- Russo, E.; Giannini, A.; Guevara, M.M.; Mannella, P.; Misasi, G.; Falcone, M.; Simoncini, T. Medium-term outcomes after robotic-assisted lateral suspension with mesh for advanced multi-compartmental prolapse. Int. Urogynecol. J. 2020, 31, 1647–1653. [Google Scholar] [CrossRef] [PubMed] [Green Version]


| Age | n (%) |
|---|---|
| 20–29 | 1 (0.27) |
| 30–39 | 37 (10.27) |
| 40–49 | 53 (14.72) |
| 50–59 | 61 (16.94) |
| 60–69 | 125 (34.72) |
| 70–79 | 66 (18.33) |
| 80–87 | 17 (4.72) |
| POP-Q Coordinate (n = 360) | Mean ± SD | Range |
|---|---|---|
| Aa | 0.89 ± 2.03 | −4 to 5.5 |
| Ba | 2.9 ± 2.54 | −3 to 10 |
| C | 0.63 ± 4.11 | −9 to 10 |
| Ap | −1.65 ± 2.52 | −4 to 10 |
| Bp | 0.23 ± 3.02 | −3 to 10 |
| gh | 5.21 ± 1.27 | −3.5 to 8 |
| pb | 3.57 ± 0.93 | −3 to 9 |
| POP-Q stage | 3.03 ± 0.44 | 2 to 4 |
| Main compartment of POP on POP-Q exam, n (%) | ||
| Anterior | 247 (68.61) | |
| Apical | 139 (38.61) | |
| Posterior | 58 (16.11) |
| POP-Q Coordinate | Correlation Coefficient for Age | p-Value |
|---|---|---|
| Aa | 0.43 † | 0.00 |
| Ba | 0.35 † | 0.00 |
| C | −0.03 † | 0.58 |
| Ap | −0.01 † | 0.92 |
| Bp | 0.12 † | 0.03 |
| gh | 0.06 † | 0.24 |
| pb | −0.13 † | 0.02 |
| POP-Q stage | 0.24 ‡ | 0.00 |
| POP on TLUS | Cohen’s Kappa (p Value) | PPV (%) | NPV (%) | |||
|---|---|---|---|---|---|---|
| No | Yes | |||||
| Anterior compartment POP on POP-Q exam (Ap > −3) | No | 16 | 0 | 0.01 (p = 0.17) | 10.76 | 100 |
| Yes | 307 | 37 | ||||
| Specificity 4.95% | Sensitivity 100% | |||||
| Apical compartment POP on POP-Q exam (C > 0) | No | 117 | 20 | 0.02 (p = 0.54) | 17.04 | 85.40 |
| Yes | 185 | 38 | ||||
| Specificity 38.74% | Sensitivity 65.52% | |||||
| Posterior compartment POP on POP-Q exam (Bp > −3) | No | 108 | 0 | 0.01 (p = 0.11) | 2.38 | 100 |
| Yes | 246 | 6 | ||||
| Specificity 30.51% | Sensitivity 100% | |||||
Publisher’s Note: MDPI stays neutral with regard to jurisdictional claims in published maps and institutional affiliations. |
© 2021 by the authors. Licensee MDPI, Basel, Switzerland. This article is an open access article distributed under the terms and conditions of the Creative Commons Attribution (CC BY) license (https://creativecommons.org/licenses/by/4.0/).
Share and Cite
Nam, G.; Lee, S.-R.; Kim, S.-H.; Chae, H.-D. Importance of Translabial Ultrasound for the Diagnosis of Pelvic Organ Prolapse and Its Correlation with the POP-Q Examination: Analysis of 363 Cases. J. Clin. Med. 2021, 10, 4267. https://doi.org/10.3390/jcm10184267
Nam G, Lee S-R, Kim S-H, Chae H-D. Importance of Translabial Ultrasound for the Diagnosis of Pelvic Organ Prolapse and Its Correlation with the POP-Q Examination: Analysis of 363 Cases. Journal of Clinical Medicine. 2021; 10(18):4267. https://doi.org/10.3390/jcm10184267
Chicago/Turabian StyleNam, Gina, Sa-Ra Lee, Sung-Hoon Kim, and Hee-Dong Chae. 2021. "Importance of Translabial Ultrasound for the Diagnosis of Pelvic Organ Prolapse and Its Correlation with the POP-Q Examination: Analysis of 363 Cases" Journal of Clinical Medicine 10, no. 18: 4267. https://doi.org/10.3390/jcm10184267
APA StyleNam, G., Lee, S.-R., Kim, S.-H., & Chae, H.-D. (2021). Importance of Translabial Ultrasound for the Diagnosis of Pelvic Organ Prolapse and Its Correlation with the POP-Q Examination: Analysis of 363 Cases. Journal of Clinical Medicine, 10(18), 4267. https://doi.org/10.3390/jcm10184267

