MR Imaging Biomarkers for Clinical Impairment and Disease Progression in Patients with Shoulder Adhesive Capsulitis: A Prospective Study
Abstract
:1. Introduction
2. Material and Methods
2.1. Study Group
2.2. Shoulder Function Assessment
- 1 = less than 6 weeks
- 2 = between 6 weeks and 3 months
- 3 = between 3 and 6 months
- 4 = between 6 months and 1 year
- 5 = over 1 year
2.3. Clinical Follow-Up
2.4. Mri Examination
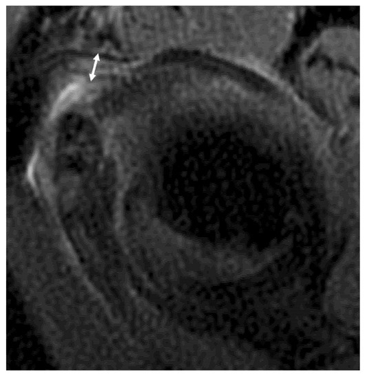
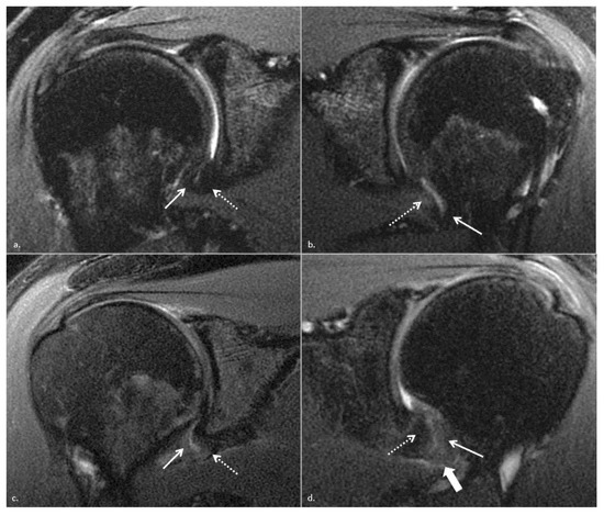
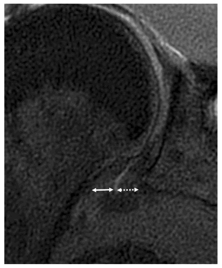
2.5. Image Analysis
- 1: normal homogenous low signal intensity
- 2: partial or foci of signal hyperintensity
- 3: global signal hyperintensity
- 4: linear hyperintensity of the peri-articular soft tissues
2.6. Statistical Analysis
3. Results
4. Discussion
Supplementary Materials
Author Contributions
Funding
Institutional Review Board Statement
Informed Consent Statement
Conflicts of Interest
Abbreviations
| AC | adhesive capsulitis |
| CHL | coracohumeral ligament |
| CMS | Constant-Murlay Score |
| ETL | echo-train length |
| FOV | field of view |
| FSE | fast spin-echo |
| IGHL | inferior glenohumeral ligament |
| NEX | number of excitations -ROM: range of motion |
References
- Kelley, M.J.; Shaffer, M.A.; Kuhn, J.E.; Michener, L.A.; Seitz, A.L.; Uhl, T.L.; Godges, J.J.; McClure, P. Shoulder Pain and Mobility Deficits: Adhesive Capsulitis: Clinical Practice Guidelines Linked to the International Classification of Functioning, Disability, and Health From the Orthopaedic Section of the American Physical Therapy Association. J. Orthop. Sports Phys. Ther. 2013, 43, A1–A31. [Google Scholar] [CrossRef] [Green Version]
- Brue, S.; Valentin, A.; Forssblad, M.; Werner, S.; Mikkelsen, C.; Cerulli, G. Idiopathic adhesive capsulitis of the shoulder: A review. Knee Surg. Sports Traumatol. Arthrosc. 2007, 15, 1048–1054. [Google Scholar] [CrossRef]
- D’Orsi, G.M.; Via, A.G.; Frizziero, A.; Oliva, F. Treatment of adhesive capsulitis: A review. Muscles Ligaments Tendons J. 2012, 2, 70–78. [Google Scholar]
- Sano, H.; Hatori, M.; Mineta, M.; Hosaka, M.; Itoi, E. Tumors masked as frozen shoulders: A retrospective analysis. J. Shoulder Elbow Surg. 2010, 19, 262–266. [Google Scholar] [CrossRef]
- Zappia, M.; Di Pietto, F.; Aliprandi, A.; Pozza, S.; De Petro, P.; Muda, A.; Sconfienza, L.M. Multi-modal imaging of adhesive capsulitis of the shoulder. Insights Imaging 2016, 7, 365–371. [Google Scholar] [CrossRef] [PubMed] [Green Version]
- Teixeira, P.A.G.; Balaj, C.; Chanson, A.; Lecocq, S.; Louis, M.; Blum, A. Adhesive Capsulitis of the Shoulder: Value of Inferior Glenohumeral Ligament Signal Changes on T2-Weighted Fat-Saturated Images. Am. J. Roentgenol. 2012, 198, W589–W596. [Google Scholar] [CrossRef]
- Suh, C.H.; Yun, S.J.; Jin, W.; Lee, S.H.; Park, S.Y.; Park, J.S.; Ryu, K.N. Systematic review and meta-analysis of magnetic resonance imaging features for diagnosis of adhesive capsulitis of the shoulder. Eur. Radiol. 2019, 29, 566–577. [Google Scholar] [CrossRef] [PubMed]
- Song, K.D.; Kwon, J.W.; Yoon, Y.C.; Choi, S.-H. Indirect MR Arthrographic Findings of Adhesive Capsulitis. Am. J. Roentgenol. 2011, 197, W1105–W1109. [Google Scholar] [CrossRef]
- Mengiardi, B.; Pfirrmann, C.W.A.; Gerber, C.; Hodler, J.; Zanetti, M. Frozen Shoulder: MR Arthrographic Findings. Radiology 2004, 233, 486–492. [Google Scholar] [CrossRef] [PubMed]
- Lefevre-Colau, M.-M.; Drapé, J.-L.; Fayad, F.; Rannou, F.; Diche, T.; Minvielle, F.; Demaille-Wlodyka, S.; Mayoux-Benhamou, M.-A.; Fermanian, J.; Poiraudeau, S.; et al. Magnetic resonance imaging of shoulders with idiopathic adhesive capsulitis: Reliability of measures. Eur. Radiol. 2005, 15, 2415–2422. [Google Scholar] [CrossRef] [PubMed]
- Harris, G.; Bou-Haidar, P.; Harris, C. Adhesive capsulitis: Review of imaging and treatment: Adhesive capsulitis: Review of imaging and treatment. J. Med. Imaging Radiat. Oncol. 2013, 57, 633–643. [Google Scholar] [CrossRef]
- Jung, J.-Y.; Jee, W.-H.; Chun, H.J.; Kim, Y.-S.; Chung, Y.G.; Kim, J.-M. Adhesive capsulitis of the shoulder: Evaluation with MR arthrography. Eur. Radiol. 2006, 16, 791–796. [Google Scholar] [CrossRef] [PubMed]
- Chi, A.S.; Kim, J.; Long, S.S.; Morrison, W.B.; Zoga, A.C. Non-contrast MRI diagnosis of adhesive capsulitis of the shoulder. Clin. Imaging 2017, 44, 46–50. [Google Scholar] [CrossRef]
- Ahn, K.-S.; Kang, C.H.; Kim, Y.; Jeong, W.-K. Diagnosis of adhesive capsulitis: Comparison of contrast-enhanced MRI with noncontrast-enhanced MRI. Clin. Imaging 2015, 39, 1061–1067. [Google Scholar] [CrossRef] [PubMed]
- Lee, K.H.; Park, H.J.; Lee, S.Y.; Youn, I.Y.; Kim, E.; Park, J.H.; Park, S.J. Adhesive Capsulitis of the Shoulder Joint: Value of Glenohumeral Distance on Magnetic Resonance Arthrography. J. Comput. Assist. Tomogr. 2017, 41, 116–120. [Google Scholar] [CrossRef]
- Kim, K.C.; Rhee, K.J.; Shin, H.D. Adhesive capsulitis of the shoulder: Dimensions of the rotator interval measured with magnetic resonance arthrography. J. Shoulder Elb. Surg. 2009, 18, 437–442. [Google Scholar] [CrossRef] [PubMed]
- Connell, D.; Padmanabhan, R.; Buchbinder, R. Adhesive capsulitis: Role of MR imaging in differential diagnosis. Eur. Radiol. 2002, 12, 2100–2106. [Google Scholar] [CrossRef]
- Binder, A.I.; Bulgen, D.Y.; Hazleman, B.L.; Roberts, S. Frozen shoulder: A long-term prospective study. Ann. Rheum. Dis. 1984, 43, 361–364. [Google Scholar] [CrossRef] [Green Version]
- Constant, C.R.; Murley, A.H. A clinical method of functional assessment of the shoulder. Clin. Orthop. Relat. Res. 1987, 160–164. [Google Scholar] [CrossRef]
- Sofka, C.M.; Ciavarra, G.A.; Hannafin, J.A.; Cordasco, F.A.; Potter, H.G. Magnetic Resonance Imaging of Adhesive Capsulitis: Correlation with Clinical Staging. HSS J. 2008, 4, 164–169. [Google Scholar] [CrossRef] [Green Version]
- Yoon, J.P.; Chung, S.W.; Lee, B.J.; Kim, H.S.; Yi, J.H.; Lee, H.-J.; Jeong, W.-J.; Moon, S.G.; Oh, K.-S.; Yoon, S.T. Correlations of magnetic resonance imaging findings with clinical symptom severity and prognosis of frozen shoulder. Knee Surg. Sports Traumatol. Arthrosc. 2017, 25, 3242–3250. [Google Scholar] [CrossRef] [PubMed]
- Park, S.; Lee, D.-H.; Yoon, S.-H.; Lee, H.Y.; Kwack, K.-S. Evaluation of Adhesive Capsulitis of the Shoulder With Fat-Suppressed T2-Weighted MRI: Association Between Clinical Features and MRI Findings. Am. J. Roentgenol. 2016, 207, 135–141. [Google Scholar] [CrossRef] [PubMed]
- Park, G.-Y.; Park, J.H.; Kwon, D.R.; Kwon, D.G.; Park, J. Do the Findings of Magnetic Resonance Imaging, Arthrography, and Ultrasonography Reflect Clinical Impairment in Patients With Idiopathic Adhesive Capsulitis of the Shoulder? Arch. Phys. Med. Rehabil. 2017, 98, 1995–2001. [Google Scholar] [CrossRef] [PubMed]
- Lee, Y.-T.; Chun, K.-S.; Yoon, K.J.; Park, H.-J.; Lee, S.-Y.; Kim, E.; Park, Y.S.; Seo, K.-H. Correlation of Joint Volume and Passive Range of Motion With Capsulo-Synovial Thickness Measured by Contrast-Enhanced Magnetic Resonance Imaging in Adhesive Capsulitis. PM&R 2018, 10, 137–145. [Google Scholar] [CrossRef]
- Lee, S.-Y.; Park, J.; Song, S.-W. Correlation of MR Arthrographic Findings and Range of Shoulder Motions in Patients With Frozen Shoulder. Am. J. Roentgenol. 2012, 198, 173–179. [Google Scholar] [CrossRef]
- Ahn, K.-S.; Kang, C.H.; Oh, Y.-W.; Jeong, W.-K. Correlation between magnetic resonance imaging and clinical impairment in patients with adhesive capsulitis. Skelet. Radiol. 2012, 41, 1301–1308. [Google Scholar] [CrossRef]
- Kim, D.H.; Cho, C.-H.; Sung, D.H. Ultrasound measurements of axillary recess capsule thickness in unilateral frozen shoulder: Study of correlation with MRI measurements. Skelet. Radiol. 2018, 47, 1491–1497. [Google Scholar] [CrossRef]
- Emig, E.W.; Schweitzer, M.E.; Karasick, D.; Lubowitz, J. Adhesive capsulitis of the shoulder: MR diagnosis. Am. J. Roentgenol. 1995, 164, 1457–1459. [Google Scholar] [CrossRef]
- Koo, T.K.; Li, M.Y. A Guideline of Selecting and Reporting Intraclass Correlation Coefficients for Reliability Research. J. Chiropr. Med. 2016, 15, 155–163. [Google Scholar] [CrossRef] [Green Version]
- Fine, P.G. Long-term consequences of chronic pain: Mounting evidence for pain as a neurological disease and parallels with other chronic disease states. Pain Med. 2011, 12, 996–1004. [Google Scholar] [CrossRef]
- Haack, M.; Simpson, N.; Sethna, N.; Kaur, S.; Mullington, J. Sleep deficiency and chronic pain: Potential underlying mechanisms and clinical implications. Neuropsychopharmacology 2020, 45, 205–216. [Google Scholar] [CrossRef]
- Fritz, B.; Del Grande, F.; Sutter, R.; Beeler, S.; Peterson, C.K.; Pfirrmann, C.W.A. Value of MR arthrography findings for pain relief after glenohumeral corticosteroid injections in the short term. Eur. Radiol. 2019, 29, 6416–6424. [Google Scholar] [CrossRef]
- Wang, W.; Shi, M.; Zhou, C.; Shi, Z.; Cai, X.; Lin, T.; Yan, S. Effectiveness of corticosteroid injections in adhesive capsulitis of shoulder: A meta-analysis. Medicine 2017, 96, e7529. [Google Scholar] [CrossRef]
- Sun, Y.; Lu, S.; Zhang, P.; Wang, Z.; Chen, J. Steroid Injection Versus Physiotherapy for Patients With Adhesive Capsulitis of the Shoulder: A PRIMSA Systematic Review and Meta-Analysis of Randomized Controlled Trials. Medicine 2016, 95, e3469. [Google Scholar] [CrossRef]
- Swenson, C.; Swärd, L.; Karlsson, J. Cryotherapy in sports medicine. Scand. J. Med. Sci. Sports 1996, 6, 193–200. [Google Scholar] [CrossRef]
- Gooch, J.L.; Geiringer, S.R.; Akau, C.K. Sports medicine. 3. Lower extremity injuries. Arch. Phys. Med. Rehabil. 1993, 74, S438–S442. [Google Scholar] [PubMed]
- Anjum, R.; Aggarwal, J.; Gautam, R.; Pathak, S.; Sharma, A. Evaluating the Outcome of Two Different Regimes in Adhesive Capsulitis: A Prospective Clinical Study. Med. Princ. Pract. 2020, 29, 225–230. [Google Scholar] [CrossRef] [PubMed]
- Park, Y.H.; Park, Y.S.; Chang, H.J.; Kim, Y. Correlations between MRI findings and outcome of capsular distension in adhesive capsulitis of the shoulder. J. Phys. Ther. Sci. 2016, 28, 2798–2802. [Google Scholar] [CrossRef] [PubMed] [Green Version]
- Bunker, T.D.; Anthony, P.P. The pathology of frozen shoulder. A Dupuytren-like disease. J. Bone Joint Surg. Br. 1995, 77, 677–683. [Google Scholar] [CrossRef] [PubMed]
- Kraal, T.; Lübbers, J.; van den Bekerom, M.P.J.; Alessie, J.; van Kooyk, Y.; Eygendaal, D.; Koorevaar, R.C.T. The puzzling pathophysiology of frozen shoulders—A scoping review. J. Exp. Orthop. 2020, 7, 91. [Google Scholar] [CrossRef]
- Pandey, V.; Madi, S. Clinical Guidelines in the Management of Frozen Shoulder: An Update! Indian J. Orthop. 2021, 55, 299–309. [Google Scholar] [CrossRef]
- Favejee, M.M.; Huisstede, B.M.A.; Koes, B.W. Frozen shoulder: The effectiveness of conservative and surgical interventions—Systematic review. Br. J. Sports Med. 2011, 45, 49–56. [Google Scholar] [CrossRef] [Green Version]
- Griggs, S.M.; Ahn, A.; Green, A. Idiopathic adhesive capsulitis. A prospective functional outcome study of nonoperative treatment. J. Bone Joint Surg Am. 2000, 82, 1398–1407. [Google Scholar] [CrossRef] [PubMed] [Green Version]
- Small, K.M.; Adler, R.S.; Shah, S.H.; Roberts, C.C.; Bencardino, J.T.; Appel, M.; Gyftopoulos, S.; Metter, D.F.; Mintz, D.N.; Morrison, W.B.; et al. ACR Appropriateness Criteria® Shoulder Pain-Atraumatic. J. Am. Coll. Radiol. 2018, 15, S388–S402. [Google Scholar] [CrossRef] [PubMed] [Green Version]
- Pessis, E.; Mihoubi, F.; Feydy, A.; Campagna, R.; Guerini, H.; Roren, A.; Rannou, F.; Drapé, J.-L.; Lefèvre-Colau, M.-M. Usefulness of intravenous contrast-enhanced MRI for diagnosis of adhesive capsulitis. Eur. Radiol. 2020, 30, 5981–5991. [Google Scholar] [CrossRef] [PubMed]
- Jung, J.H.; Kim, D.H.; Yi, J.; Kim, D.-H.; Cho, C.-H. Determination of magnetic resonance imaging criteria for diagnosis of adhesive capsulitis. Rheumatol. Int. 2019, 39, 453–460. [Google Scholar] [CrossRef] [PubMed]
- Gokalp, G.; Algin, O.; Yildirim, N.; Yazici, Z. Adhesive capsulitis: Contrast-enhanced shoulder MRI findings: Adhesive capsulitis: MRI. J. Med Imaging Radiat. Oncol. 2011, 55, 119–125. [Google Scholar] [CrossRef]






| Parameter | Minimum | Maximum | Mean | Standard Deviation |
|---|---|---|---|---|
| Patient Age | ||||
| All patients (n = 132) | 22 | 78 | 54.1 | 9.3 |
| Men (n = 55) | 22 | 70 | 53.5 | 8.8 |
| Women (n = 77) | 22 | 78 | 54.4 | 10.8 |
| Modified Constant-Murray score | 2 | 69 | 31.3 | 14.2 |
| Pain Intensity Score | 0 | 15 | 4 | 3.8 |
| Activity Score | 0 | 20 | 9.8 | 4.5 |
| Mobility Score | 0 | 40 | 17.7 | 9.3 |
| Pain Duration Grade | 1 | 5 | 3.5 | 1.1 |
| Parameter | Effective |
|---|---|
| Pain Duration Grade | n = 112 * |
| 1 | 4.5% (n = 5) |
| 2 | 13.4% (n = 15) |
| 3 | 32.1% (n = 36) |
| 4 | 24.1% (n = 27) |
| 5 | 25.9% (n = 29) |
| Diurnal Pain | 94.7% (n = 127) |
| Night Pain | 87.3% (n = 117) |
| Predominance of Night Pain | 46.2% (n = 62) |
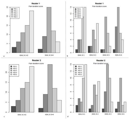
| IGHL Signal Intensity | Pain Duration Grade | ||||
|---|---|---|---|---|---|
| Reader 1 | Reader 2 | Reader 1 | Reader 2 | ||
| 1 | (n = 34) | 1 | (n = 34) | 3.9 ± 1.1 | 3.8 ± 1.2 |
| 2 | (n = 24) | 2 | (n = 25) | 3.6 ± 1.3 | 3.7 ± 1.1 |
| 3 | (n = 21) | 3 | (n = 34) | 3.3 ± 0.9 | 3.2 ± 0.9 |
| 4 | (n = 33) | 4 | (n = 19) | 3.1 ± 1 | 3.1 ± 1 |
| Parameter | Minimum | Maximum | Mean | Standard Deviation | ||||
|---|---|---|---|---|---|---|---|---|
| R1 | R2 | R1 | R2 | R1 | R2 | R1 | R2 | |
| IGHL thickness (glenoidal side) | 2 | 2 | 10 | 8 | 4.3 | 4.5 | 1.3 | 1.2 |
| IGHL thickness (humeral side) | 2 | 2 | 8 | 7 | 3.8 | 3.7 | 1.3 | 1.2 |
| CHL thickness | 1.5 | 1 | 5 | 4 | 2.5 | 2.2 | 0.6 | 0.6 |
Publisher’s Note: MDPI stays neutral with regard to jurisdictional claims in published maps and institutional affiliations. |
© 2021 by the authors. Licensee MDPI, Basel, Switzerland. This article is an open access article distributed under the terms and conditions of the Creative Commons Attribution (CC BY) license (https://creativecommons.org/licenses/by/4.0/).
Share and Cite
Gillet, R.; Zhu, F.; Padoin, P.; Rauch, A.; Hossu, G.; Teixeira, P.A.G.; Blum, A. MR Imaging Biomarkers for Clinical Impairment and Disease Progression in Patients with Shoulder Adhesive Capsulitis: A Prospective Study. J. Clin. Med. 2021, 10, 3882. https://doi.org/10.3390/jcm10173882
Gillet R, Zhu F, Padoin P, Rauch A, Hossu G, Teixeira PAG, Blum A. MR Imaging Biomarkers for Clinical Impairment and Disease Progression in Patients with Shoulder Adhesive Capsulitis: A Prospective Study. Journal of Clinical Medicine. 2021; 10(17):3882. https://doi.org/10.3390/jcm10173882
Chicago/Turabian StyleGillet, Romain, François Zhu, Pierre Padoin, Aymeric Rauch, Gabriela Hossu, Pedro Augusto Gondim Teixeira, and Alain Blum. 2021. "MR Imaging Biomarkers for Clinical Impairment and Disease Progression in Patients with Shoulder Adhesive Capsulitis: A Prospective Study" Journal of Clinical Medicine 10, no. 17: 3882. https://doi.org/10.3390/jcm10173882
APA StyleGillet, R., Zhu, F., Padoin, P., Rauch, A., Hossu, G., Teixeira, P. A. G., & Blum, A. (2021). MR Imaging Biomarkers for Clinical Impairment and Disease Progression in Patients with Shoulder Adhesive Capsulitis: A Prospective Study. Journal of Clinical Medicine, 10(17), 3882. https://doi.org/10.3390/jcm10173882
