Left Ventricular Apex: A “Minimally Invasive Motorway” for Safe Cardiovascular Procedures
Abstract
1. Introduction
2. Transapical TAVR
3. Transapical Transcatheter Mitral Procedures
3.1. Mitral Transcatheter Valve-in-Valve and Valve-in-Ring Replacement
3.2. Transcatheter Native Mitral Valve Replacement
3.3. Transapical Mitral Valve Repair
3.4. Transapical Mitral Paravalvular Leak Repair
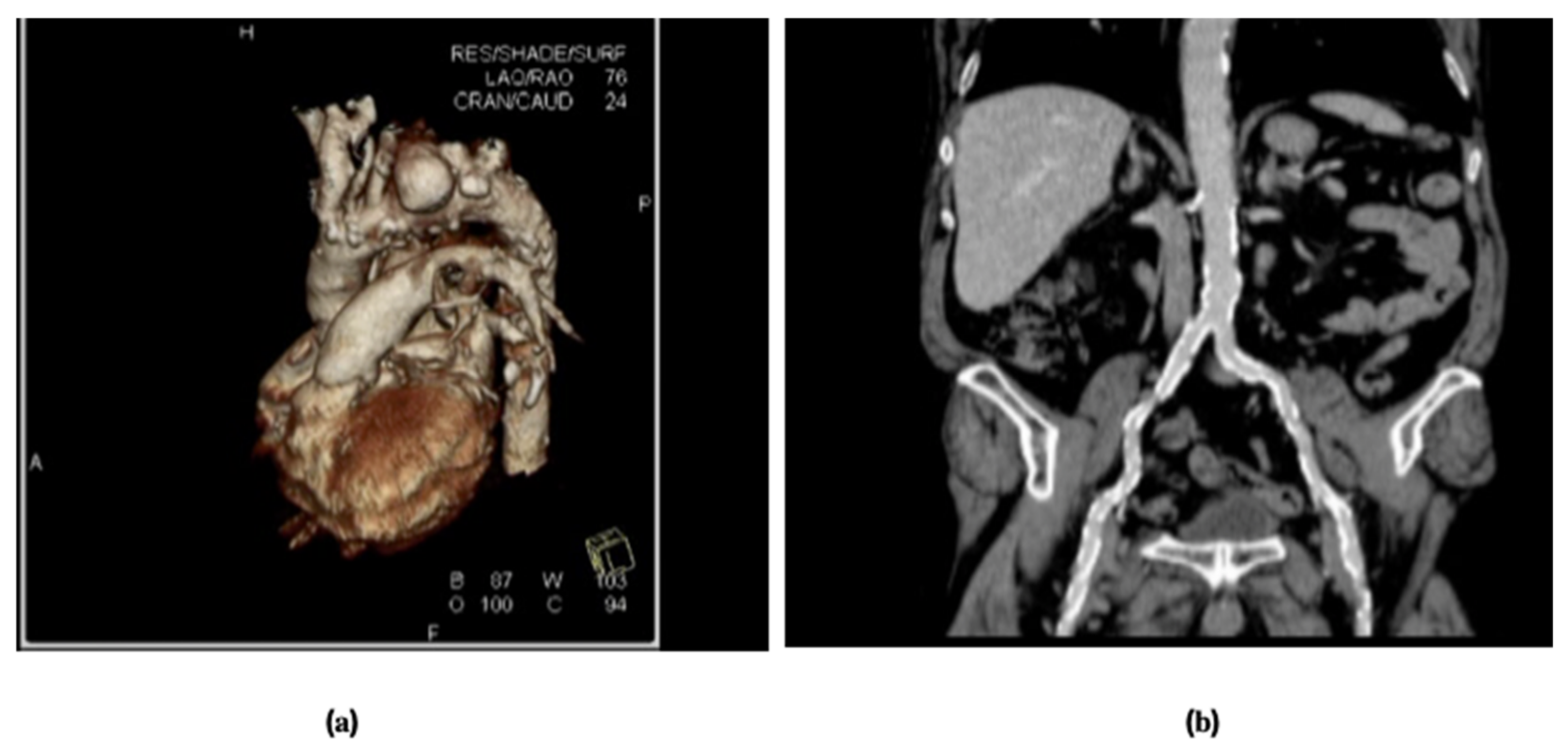
4. Transapical TEVAR
5. Conclusions
Author Contributions
Funding
Institutional Review Board Statement
Informed Consent Statement
Conflicts of Interest
References
- Cribier, A.; Eltchaninoff, H.; Bash, A.; Borenstein, N.; Tron, C.; Bauer, F.; Derumeaux, G.; Anselme, F.; Laboured, F.; Leon, M.B. Percutaneous transcatheter implantation of an aortic valve prosthesis for calcific aortic stenosis: First human case description. Circulation 2002, 106, 3006–3008. [Google Scholar] [CrossRef] [PubMed]
- Lichtenstein, S.V.; Cheung, A.; Ye, J.; Thompson, C.R.; Carere, R.G.; Pasupati, S. Transapical transcatheter aortic valve implantation in humans. Circulation 2006, 114, 591–596. [Google Scholar] [CrossRef]
- D’Onofrio, A.; Rubino, P.; Fusari, M.; Salvador, L.; Musumeci, F.; Rinaldi, M.; Vitali, E.O.; Glauber, M.; Di Bartolomeo, R.; Alfieri, O.R.; et al. Clinical and hemodynamic outcomes of “all comers” undergoing transapical aortic valve implantation: Results from the Italian Registry of Trans-Apical Aortic Valve Implantation (I-TA). J. Thorac. Cardiovasc. Surg. 2011, 142, 768–775. [Google Scholar] [CrossRef]
- D’Onofrio, A.; Salizzoni, S.; Agrifoglio, M.; Cota, L.; Luzi, G.; Tartara, P.M.; Cresce, G.D.; Aiello, M.; Savini, C.; Cassese, M.; et al. Mid term outcomes of transapical aortic valve implantation: Results of the Italian Registry of Transapical Aortic Valve Implantation. Ann. Thorac. Surg. 2013, 96, 830–836. [Google Scholar] [CrossRef] [PubMed]
- Thourani, V.H.; Jensen, H.A.; Babaliaros, V.; Suri, R.; Vemulapalli, S.; Dai, D. Transapical and transaortic transcatheter aortic valve replacement in the United States. Ann. Thorac. Surg. 2015, 100, 1718–1726. [Google Scholar] [CrossRef]
- Leon, M.B.; Smith, C.R.; Mack, M.J.; Makkar, R.R.; Svensson, L.G.; Kodali, S.K.; Thourani, V.H.; Tuzcu, E.M.; Miller, D.C.; Herrmann, H.C.; et al. Transcatheter or surgical aortic valve replacement in intermediate-risk patients. N. Engl. J. Med. 2016, 374, 1609–1620. [Google Scholar] [CrossRef]
- Leon, M.B.; Smith, C.R.; Mack, M.; Miller, D.C.; Moses, J.W.; Svensson, L.G.; Tuzcu, E.M.; Webb, J.G.; Fontana, G.P.; Makkar, R.R.; et al. Transcatheter aortic-valve implantation for aortic stenosis in patients who cannot undergo surgery. N. Engl. J. Med. 2010, 363, 1597–1607. [Google Scholar] [CrossRef] [PubMed]
- Mack, M.J.; Leon, M.B.; Smith, C.R.; Miller, D.C.; Moses, J.W.; Tuzcu, E.M.; Webb, J.G.; Douglas, P.S.; Anderson, W.N.; Blackstone, E.H.; et al. 5-years outcomes of transcatheter aortic valve replacement or surgical aortic valve replacement for high surgical risk patients with aortic stenosis (PARTNER 1): A randomised controlled trial. Lancet 2015, 385, 2477–2484. [Google Scholar] [CrossRef]
- Blackstone, E.H.; Suri, R.M.; Rajeswaran, J.; Babaliaros, V.; Douglas, P.S.; Fearon, W.F.; Miller, D.C.; Hahn, R.T.; Kapadia, S.; Kirtane, A.J.; et al. Propensity-matched comparisons of clinical outcomes after transapical or transfemoral transcatheter aortic valve replacement: A placement of aortic transcatheter valves (PARTNER 1) trial substudy. Circulation 2015, 131, 1989–2000. [Google Scholar] [CrossRef]
- Useini, D.; Beluli, B.; Christ, H.; Schlömicher, M.; Ewais, E.; Patsalis, P.; Haldenwang, P.; Naraghi, H.; Moustafine, V.; Bechtel, M.; et al. Transapical transcatheter aortic valve implantation in patients with aortic diseases. Eur. J. Cardio-Thorac. Surg. 2021, 12, ezab050. [Google Scholar] [CrossRef]
- Ferrari, E.; Eeckhout, E.; Keller, S.; Muller, O.; Tozzi, P.; Berdajs, D.; Von Segesser, L.K. Transfemoral versus transapical approach for transcatheter aortic valve implantation: Hospital outcome and risk factor analysis. J. Cardiothorac. Surg. 2017, 12, 78. [Google Scholar] [CrossRef]
- Schymik, G.; Wurth, A.; Bramlage, P.; Herbinger, T.; Heimehoff, M.; Pilz, L.; Schymik, J.S.; Wondraschek, R.; Süselbeck, T.; Gerhardus, J.; et al. Long-Term results of transapical versus transferral TAVI in a real world population of 1000 patients with severe symptomatic aortic stenosis. Circ. Cardiothorac. Interv. 2015, 8, e000761. [Google Scholar] [CrossRef]
- Ando, T.; Takagi, H.; Grines, L.C. Transfemoral, transapical and transcatheter aortic valve implantation and surgical aortic valve replacement: A meta-analysis of direct and adjusted indirect comparisons of early and nod-term deaths. Interact. Cardiovasc. Thorac. Surg. 2017, 25, 484–492. [Google Scholar] [CrossRef]
- Rents, W.; Barth, S.; Griese, D.P.; Winkler, S.; Babin-Ebel, J.; Kerber, S.; Diegeler, A.; Zacher, M.; Hamm, K. Transferoral versus transapical transcatheter aortic valve implantation: Atingle-centre experience. Eur. J. Cardio-Thorac. Surg. 2019, 55, 744–750. [Google Scholar] [CrossRef]
- Biancari, F.; Valtola, A.; Juvonen, T.; Husso, A.; Dahlbacka, S.; Laakso, T.; Jalava, M.P.; Tauriainen, T.; Ahvenvaara, T.; Kinnunen, E.M.; et al. Trifecta Versus Perimount Magna Ease Aortic Valve Prostheses. Ann. Thorac. Surg. 2020, 110, 879–888. [Google Scholar] [CrossRef]
- Bleiziffer, S.; Piazza, N.; Mazzitelli, D.; Opitz, A.; Bauernshmitt, R.; Lange, R. Apical access related complications associated with transcatheter aortic valve implantation. Eur. J. Cardio-Thorac. Surg. 2011, 40, 469–474. [Google Scholar]
- Imnadze, G.; Hofmann, S.; Billion, M.; Ferdosi, A.; Kowalski, M.; Smith, K.H.; Deutsch, C.; Bramlage, P.; Warnecke, H.; Franz, N. Transapical transcatheter aortic valve implantation in patients with low ejection fraction. Interact. Cardiovasc. Thorac. Surg. 2017, 26, 224–229. [Google Scholar] [CrossRef]
- Al-Hijji, M.A.; Zack, J.C.; Nkomo, V.T.; Pislaru, S.V.; Pellikka, P.; Reeder, G.S.; Greason, K.L.; Rihal, C.S.; Eleid, M.F. Left ventricular remodelling and function after transapical verus transfermoral transcatheter aortic valve replacement. Catheter. Cardiovasc. Interv. 2019, 94, 738–744. [Google Scholar] [CrossRef]
- D’Onofrio, A.; Salizzoni, S.; Filippini, C.; Agrifoglio, M.; Alfieri, O.; Chieffo, A.; Tarantini, G.; Gabbieri, D.; Savini, C.; Immè, S.; et al. Transapical aortic valve replacement is a safe option in patients with poor left ventricular ejection fraction: Results from the Italian Transcarheter Balloon-Expandable Registry (ITER). Eur. J. Cardio-Thorac. Surg. 2017, 52, 874–880. [Google Scholar] [CrossRef]
- Nishimura, R.A.; Otto, C.M.; Bonow, R.O.; Carabello, B.A.; Erwin, J.P., III; Fleisher, L.A.; Hani Jneid, H.; Mack, M.J.; McLeod, C.J.; O’Gara, P.T.; et al. 2017 AHA/ACC Focused update of the 2014 AHA/ACC Guideline for the Management of patients with Valvular Heart Disease: A Report of the American College of Cardiology/American Heart Association Task Force on Clinical Practice Guidelines. Circulation 2017, 135, e1159–e1195. [Google Scholar] [CrossRef]
- Cheung, A.; Webb, J.G.; Wong, D.R.; Ye, Y.; Masson, J.B.; Carere, R.J.; Lichtenstein, S.V. Transapical transcatheter mitral valve-in-valve implantation in a Human. Ann. Thorac. Surg. 2009, 87, 18–20. [Google Scholar] [CrossRef]
- Wilbring, M.; Alexia, K.; Tugtekin, S.M.; Artz, M.; Ibrahim, K.; Matsche, K.; Kapert, U. Pushing the limits-further evolutions of transcatheter valve procedures in the mitral position, including valve-in-valve, valve-in-ring, and valve-in-native-ring. J. Torac. Cardiovasc. Surg. 2014, 147, 210–219. [Google Scholar] [CrossRef] [PubMed]
- Rossi, M.L.; Barbaro, C.; Pagnotta, P.; Cappai, A.; Ornaghi, D.; Belli, G.; Presbitero, P. Transapical transcatheter valve-in-valve replacement for deteriorated mitral valve bioprosthesis without radio-opaque indicators: The “invisible” mitral valve bioprosthesis. Heart Lung Circ. 2015, 24, e19–e20. [Google Scholar] [CrossRef] [PubMed]
- Conrad, L.; Silaschi, M.; Seiffert, M.; Lubos, E.; Blankenberg, S.; Reichenspurner, H.; Schaefer, U.; Treede, H. Transcatheter Valve-in-valve therapy using 6 different devices in 4 anatomic positions: Clinical outcomes and technical considerations. J. Thorac. Cardiovasc. Surg. 2015, 150, 1557–1567. [Google Scholar] [CrossRef] [PubMed]
- Grover, F.L.; Vemulapalli, S.; Carroll, J.D.; Edwards, F.H.; Mack, M.J.; Thourani, V.H.; Brindis, R.G.; Shahian, D.M.; Ruiz, C.E.; Jacobs, J.P.; et al. STS/ACC TVT Registry. 2016 annual report of the Society of Thoracic Surgeons/American College of Cardiology Transcatheter Valve Therapy registry. J. Am. Coll. Cardiol. 2017, 69, 1215–1230. [Google Scholar] [CrossRef]
- Guerrero, M.; Vemulapalli, S.; Xiang, Q.; Wang, D.D.; Eleid, M.; Cabalka, A.K.; Sandhu, G.; Salinger, M.; Russell, H.; Greenbaum, A.; et al. Thirty-day outcomes of transcatheter mitral valve replacement for degenerated mitral bioprosthesis (valve-in-valve), failed surgical rings (valve-in-ring) and native valve with severe mitral annular calcification (valve-in-mitral-annular calcification) in the United States: Data from the Society of Thoracic Surgeons/American College of Cardiology/Transcatheter Vlave Therapy Registry. Circ. Cardiovasc. Interv. 2020, 13, e008425. [Google Scholar] [CrossRef]
- Simonetto, F.; Purita, P.A.; Malerba, M.; Barbierato, M.; Pascotto, A.; Mangino, D.; Zanchettin, C.; Tarantini, G.; Gerosa, G.; D’Onofrio, A.; et al. Surgical redo versus transeptal or transapical transcatheter mitral valve-in-valve implantation for failed mitral valve bioprosthesis. Catheter. Cardiovasc. Interv. 2021, 97, 714–722. [Google Scholar] [CrossRef] [PubMed]
- Whisenant, B.; Kapadia, S.R.; Eleid, M.F.; Kodali, S.K.; McCabe, J.M.; Krishnaswamy, A.; Morse, M.; Smalling, R.W.; Reisman, M.; Mack, M.; et al. One-year outcomes of mitral valve-in-valve using the SAPIEN 3 transcatheter heart valve. JAMA Cardiol. 2020, 5, 1245–1252. [Google Scholar] [CrossRef] [PubMed]
- Kiefer, P.; Noack, T.; Seeburger, J.; Hoyer, A.; Linke, A.; Mangner, N.; Lehmkhul, L.; Mohr, F.W.; Holzhey, D. Transapical mitral valve implantation for native valve stenosis using a bolton-expandable prosthesis. Ann. Thorac. Surg. 2017, 104, 2030–2036. [Google Scholar] [CrossRef][Green Version]
- Del Val, D.; Ferreira-Neto, A.N.; Wintzer-Wehekind, J.; Dagenais, F.; Paradis, J.M.; Bernier, M.; O’Connor, K.; Beaudoin, J.; Freitas-Ferraz, A.B.; Rodés-Cabau, J. Early experience with transcatheter mitral valve replacement: A systematic review. J. Am. Heart Assoc. 2019, 8, e013332. [Google Scholar] [CrossRef]
- Chen, J.; Hu, J.; Wu, S.; Zhang, S.; Wu, K.; Wang, W.; Zhou, Y. Transcatheter mitral valve replacement for treating native valve disease. Tex. Heart Inst. J. 2020, 47, 271–279. [Google Scholar] [CrossRef]
- Bapat, V.; Rajagopal, V.; Meduri, C.; Farivar, R.S.; Walton, A.; Duffy, S.J.; Gooley, R.; Almeida, A.; Reardon, M.J.; Kleiman, N.S.; et al. Early experience with new transcatheter mitral valve replacement. J. Am. Coll. Cardiol. 2018, 71, 12–21. [Google Scholar] [CrossRef]
- Muller, D.W.; Farivar, R.S.; Jansz, P.; Bae, R.; Walters, D.; Clarke, A.; Grayburn, P.A.; Stoler, R.C.; Dahle, G.; Rein, K.A.; et al. Transcatheter mitral valve replacement for patients with symptomatic mitral regurgitation: A global feasibility trial. J. Am. Coll. Cardiol. 2017, 69, 381–391. [Google Scholar] [CrossRef]
- Sorajja, P.; Moat, N.; Badhwar, V.; Walters, D.; Paone, G.; Bethea, B.; Bae, R.; Dahle, G.; Mumtaz, M.; Grayburn, P.; et al. Initial fesibility study of a new transcatheter mitral prosthesis: The first 100 patients. J. Am. Coll. Cardiol. 2019, 73, 1250–1260. [Google Scholar] [CrossRef]
- Colli, A.; Adams, D.; Fiocco, A.; Pradegan, N.; Longinotti, L.; Nadali, M.; Pandis, D.; Gerosa, G. Transapical Neochord mitral valve repair. Ann. Cardiothorac. Surg. 2018, 7, 812–820. [Google Scholar] [CrossRef]
- Ahmed, A.; Abdel-Aziz, T.A.; AlAsaad, M.M.R.; Majthoob, M. Transapical off-pump mitral valve repair with NeoChord implantation: A systematic review. J. Card. Surg. 2021, 36, 1492–1498. [Google Scholar] [CrossRef]
- Jennie, V.; Dudiy, Y.; Einhorn, B.N.; Kronzon, I.; Cohen, H.A.; Ruiz, C.E. Clinical experience with percutaneous left ventricular transapical access for interventions in structural heart defects. A safe access and a secure exit. JACC Cardiovasc. Interv. 2011, 4, 868–874. [Google Scholar]
- Taramasso, M.; Maisano, F.; Latib, A.; Denti, P.; Guidotti, A.; Sticchi, A.; Panoulas, V.; Giustino, G.; Pozzoli, A.; Buzzatti, N.; et al. Conventional surgery and transcatheter closure via surgical transapical approach for paravalvular leak repair in high-risk patients: Results from a single-centre experience. Eur. Heart J. Cardiovasc. Imaging 2014, 15, 1161–1167. [Google Scholar] [CrossRef][Green Version]
- Zorinas, A.; Janušauskas, V.; Davidavičius, G.; Šimakauskas, R.; Puodžiukaitė, L.; Zakarkaitė, D.; Bilkis, V.; Čypienė, R.J.; Samalavičius, R.S.; Onorato, E.M.; et al. Retrospective analysis of single-centre early and midterm results of transapical catheter based mitral paravalvular leak closure with a purpose specific device. Postpy Kardiol. Interwncyjnej 2018, 14, 167–175. [Google Scholar]
- Onorato, E.M.; Muratori, M.; Smolka, G.; Zakarkaite, D.; Mussayev, A.; Christos, C.P.; Bauer, F.; Gandet, T.; Luca, G.; Martinelli, M.D.; et al. Midterm procedural and clinical outcomes of percutaneous paravalvular leak closure with the Occlutech Paravalvular Leak Device. Eurointervention 2020, 15, 1251–1259. [Google Scholar] [CrossRef] [PubMed]
- Grenon, S.M.; MacDonald, S.; Sidhu, R.S.; Reid, J.D.; Cheung, A.; Hsiang, Y.; Clement, J. Successful ventricular transapical thoracic endovascular graft deployment in a pig model. J. Vasc. Surg. 2008, 48, 1301–1305. [Google Scholar] [CrossRef] [PubMed][Green Version]
- MacDonald, S.; Cheung, A.; Sidhu, R.; Rheaume, P.; Grenon, S.M.; Clement, J. Endovascular aortic aneurysm repair via the left ventricular apex of a beating heart. J. Vasc. Surg. 2009, 49, 759–762. [Google Scholar] [CrossRef][Green Version]
- Murakami, T.; Nishimura, M.; Hosono, M.; Nakamura, Y.; Sohgawa, E.; Skai, Y.; Shibata, T. Transapical endovascular repair of thoracic aortic pathology. Ann. Vasc. Surg. 2017, 43, 56–64. [Google Scholar] [CrossRef] [PubMed]
- Borrello, B.; Nicolini, F.; Agostinelli, A.; Gherli, T. Cardiac transapical approach: A new solution for the treatment of complex thoracic aortic disease. J. Thrac. Cardiovasc. Surg. 2012, 144, E123–E125. [Google Scholar] [CrossRef]
- Agostinelli, A.; Carino, D.; Borrello, B.; Romano, G.; Palumbo, A.A.; Marcato, C.; Gherli, T.; Nicolini, F. Thoracic endovascular aortic repair through cardiac apex in the setting of thoracic artic rupture. Ann. Thorac. Surg. 2018, 106, e177–e178. [Google Scholar] [CrossRef] [PubMed]
- Agostinelli, A.; Carino, D.; Borrello, B.; Nicolini, F. Transapical access for thoracic endovascular aortic repair to elephant trunk completion. Interact. Cardiovasc. Thorac. Surg. 2018, 27, 301–303. [Google Scholar] [CrossRef]
- Venturini, J.M.; Milner, R.; Shah, A.P. Percutaneous transapical access to facilitate complex thoracic endovascular aortic repair. J. Vasc. Surg. Cases Innov. Tech. 2019, 21, 205–209. [Google Scholar] [CrossRef]
- Katada, Y.; Ito, J.; Shibaiayama, K.; Nakatsuka, D.; Kawano, Y.; Watanabe, H.; Tabata, M. Transapical transcatheter closure of the pseudoaneurysm in the left ventricular outflow tract after aortic valve replacement. JACC Cardiovasc. Interv. 2016, 9, e181–e183. [Google Scholar]
- Babaliaros, V.C.; Lerakis, S.; Thourani, V.H.; Iturra, S.; Hertlage, G.; Shirazi, F.; Clements, S.D., Jr. Transapical closure of a pseudoaneurysm of the mitral-aotic intervalvular fibrosa. Tex. Heart Inst. J. 2015, 42, 285–288. [Google Scholar] [CrossRef] [PubMed]



| No. of Patients | Hospital Mortality | Neurological Complications | Major Vascular Complications | PPM Implantation | Residual AR (Mild to Severe) | |||||||
|---|---|---|---|---|---|---|---|---|---|---|---|---|
| TA | TF | TA | TF | TA | TF | TA | TF | TA | TF | TA | TF | |
| Ferrari et al. [11] | 90 | 90 | 8 (9%) | 9 (10%) | 2 (2%) | 3 (3%) | 3 (3%) | 10 (11%) | 2 (2%) | 5 (6%) | 5 (6%) | 23 (26%) |
| Schymik et al. [12] § | 354 | 354 | 21 (5.9%) | 30 (8.5%) | 7 (2%) | 8 (2.3%) | 9 (2.5%) | 56 (15.8%) | 41 (11.6%) | 58 (16.4%) | 4 (1.1%) | 13 (3.7%) |
| Rents W. et al. [14] * | 511 | 619 | 34 (6.7%) | 30 (4.8%) | 12 (2.3%) | 10 (1.6%) | 48 (9.4%) | 57 (9.2%) | 94 (18%) | 108 (17%) | 13 (2.5%) | 16 (2.6%) |
| Biancari et al. [15] § | 199 | 199 | 8% | 4% | 2% | 1% | 1% | 7.2% | 8.7% | 13.3% | // | // |
| Blackstone et al. [9] § | 501 | 501 | 9% | 3.4% | 2.8% | 3.2% | 3.8% | 6% | 7.3% | 6.5% | // | // |
Publisher’s Note: MDPI stays neutral with regard to jurisdictional claims in published maps and institutional affiliations. |
© 2021 by the authors. Licensee MDPI, Basel, Switzerland. This article is an open access article distributed under the terms and conditions of the Creative Commons Attribution (CC BY) license (https://creativecommons.org/licenses/by/4.0/).
Share and Cite
Agostinelli, A.; Gallingani, A.; Maestri, F.; Grossi, S.; Gripshi, F.; De Donno, L.; Nicolini, F. Left Ventricular Apex: A “Minimally Invasive Motorway” for Safe Cardiovascular Procedures. J. Clin. Med. 2021, 10, 3857. https://doi.org/10.3390/jcm10173857
Agostinelli A, Gallingani A, Maestri F, Grossi S, Gripshi F, De Donno L, Nicolini F. Left Ventricular Apex: A “Minimally Invasive Motorway” for Safe Cardiovascular Procedures. Journal of Clinical Medicine. 2021; 10(17):3857. https://doi.org/10.3390/jcm10173857
Chicago/Turabian StyleAgostinelli, Andrea, Alan Gallingani, Francesco Maestri, Silvia Grossi, Florida Gripshi, Luca De Donno, and Francesco Nicolini. 2021. "Left Ventricular Apex: A “Minimally Invasive Motorway” for Safe Cardiovascular Procedures" Journal of Clinical Medicine 10, no. 17: 3857. https://doi.org/10.3390/jcm10173857
APA StyleAgostinelli, A., Gallingani, A., Maestri, F., Grossi, S., Gripshi, F., De Donno, L., & Nicolini, F. (2021). Left Ventricular Apex: A “Minimally Invasive Motorway” for Safe Cardiovascular Procedures. Journal of Clinical Medicine, 10(17), 3857. https://doi.org/10.3390/jcm10173857

