Risk Factors for Orbital Implant Extrusion after Evisceration
Abstract
1. Introduction
2. Methods
2.1. Subjects
2.2. Surgical Technique
2.3. Statistical Analyses
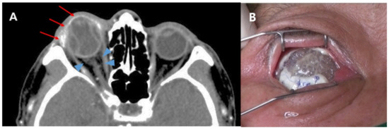
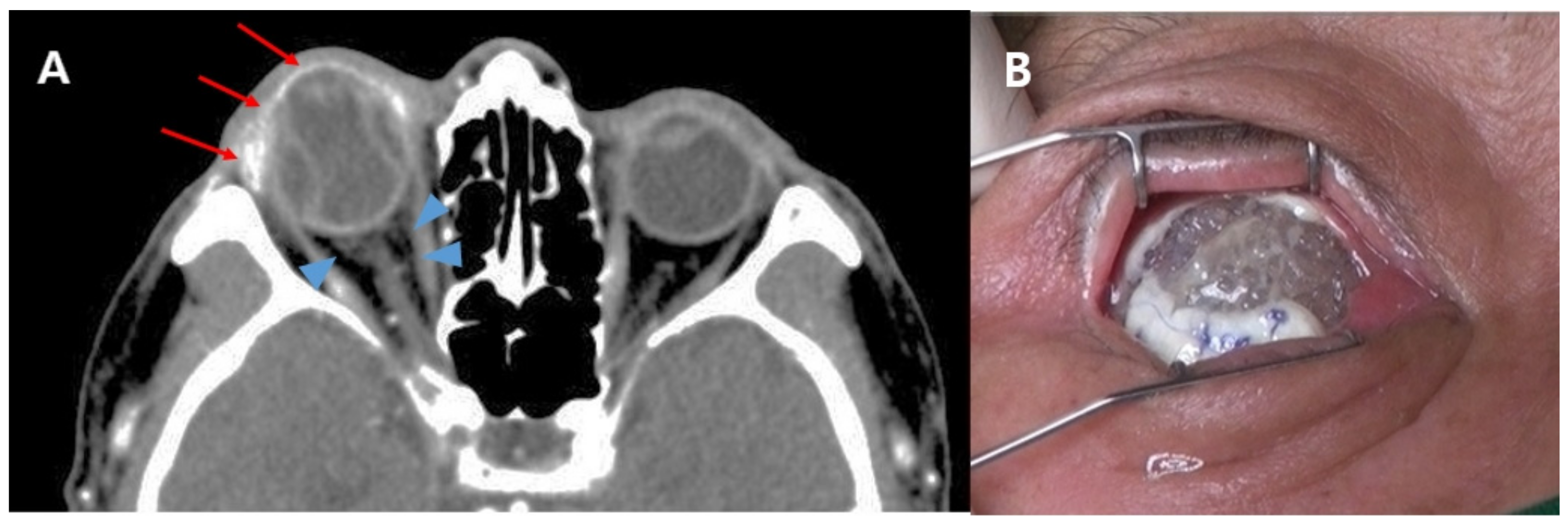
3. Results
3.1. Demographics
3.2. Risk Factors for Orbital Implant Extrusion after Evisceration
4. Discussion
5. Conclusions
Author Contributions
Funding
Institutional Review Board Statement
Informed Consent Statement
Conflicts of Interest
References
- Dortzbach, R.K.; John, J.W. Choice of procedure: Enucleation, evisceration, or prosthetic fitting over globes. Ophthalmology 1985, 92, 1249–1255. [Google Scholar] [CrossRef]
- Hughes, W.L. Evisceration. Arch. Ophthalmol. 1960, 63, 36–40. [Google Scholar] [CrossRef]
- Burch, F.E. Evisceration of the globe with scleral implant and preservation of the cornea. Trans. Am. Ophthalmol. Soc. 1939, 37, 272. [Google Scholar] [CrossRef][Green Version]
- Dada, T.; Ray, M.; Tandon, R.; Vajpayee, R.B. A study of the indications and changing trends of evisceration in north India. Clin. Exp. Ophthalmol. 2002, 30, 120–123. [Google Scholar] [CrossRef]
- Berens, C.; Rosa, F.A. Evisceration with plastic intrascleral implants. Am. J. Ophthalmol. 1953, 36, 356–360. [Google Scholar] [CrossRef]
- Iliff, C.E.; Iliff, W.J.; Iliff, N.T. Evisceration, enucleation and extruded implants. Oculoplastic Surg. 1979, 203–208. [Google Scholar]
- Dresner, S.C.; Karesh, J.W. Primary implant placement with evisceration in patients with endophthalmitis. Ophthalmology 2000, 107, 1661–1664. [Google Scholar] [CrossRef]
- Jung, J.H.; Lee, J.H.; Jeon, H.S.; Choi, H.Y. Comparison of evisceration with primary orbital implant surgery in endophthalmitis and phthisis bulbi. J. Korean Ophthalmol. Soc. 2014, 55, 958–962. [Google Scholar] [CrossRef][Green Version]
- Chaudhry, I.A.; AlKuraya, H.S.; Shamsi, F.A.; Elzaridi, E.; Riley, F.C. Current indications and resultant complications of evisceration. Ophthalmic Epidemiol. 2007, 14, 93–97. [Google Scholar] [CrossRef] [PubMed]
- Timothy, N.H.; Freilich, D.E.; Linberg, J.V. Perspective: Evisceration versus enucleation from the ocularist’s perspective. Ophthalmic Plast. Reconstr. Surg. 2003, 19, 417–420. [Google Scholar] [CrossRef]
- Nakra, T.; Ben Simon, G.J.; Douglas, R.S.; Schwarcz, R.M.; McCann, J.D.; Goldberg, R.A. Comparing outcomes of enucleation and evisceration. Ophthalmology 2006, 113, 2270–2275. [Google Scholar] [CrossRef]
- Shore, J.W.; Dieckert, J.P.; Levine, M.R. Delayed primary wound closure: Use to prevent implant extrusion following evisceration for endophthalmitis. Arch. Ophthalmol. 1988, 106, 1303–1308. [Google Scholar] [CrossRef] [PubMed]
- Gradle, H.S. Concerning removal of the eyeball: Exenteration versus enucleation. Arch. Ophthalmol. 1915, 44, 29–40. [Google Scholar]
- Ruedemann, A.D. Modified Burch type evisceration with scleral implant. Am. J. Ophthalmol. 1960, 49, 41–54. [Google Scholar] [CrossRef]
- Kostick, D.A.; Linberg, J.V. Evisceration with hydroxyapatite implant: Surgical technique and review of 31 case reports. Ophthalmology 1995, 102, 1542–1549. [Google Scholar] [CrossRef]
- Brown, S.E.; Allen, H.H.; Robins, R.N. The use of delayed primary wound closure in preventing wound infections. Am. J. Obstet. Gynecol. 1977, 127, 713–717. [Google Scholar] [CrossRef]
- Holds, J.B.; Anderson, R.L. Primary vs delayed implant in evisceration. Arch. Ophthalmol. 1989, 107, 952. [Google Scholar] [CrossRef] [PubMed]
- Liu, D. A comparison of implant extrusion rates and postoperative pain after evisceration with immediate or delayed implants and after enucleation with implants. Trans. Am. Ophthalmol. Soc. 2005, 103, 568–591. [Google Scholar]
- Liu, D. Evisceration techniques and implant extrusion rates: A retrospective review of two series and a survey of ASOPRS surgeons. Ophthalmic Plast. Reconstr. Surg. 2007, 23, 16–21. [Google Scholar] [CrossRef]
- Tawfik, H.A.; Budin, H. Evisceration with primary implant placement in patients with endophthalmitis. Ophthalmology 2007, 114, 1100–1103. [Google Scholar] [CrossRef]
- Ozgur, O.R.; Akcay, L.; Dogan, O.K. Primary implant placement with evisceration in patients with endophthalmitis. Am. J. Ophthalmol. 2007, 143, 902–904. [Google Scholar] [CrossRef] [PubMed]
- Tripathy, D.; Rath, S. Evisceration with primary orbital implant in fulminant endophthalmitis/panophthalmitis. Orbit 2015, 34, 279–283. [Google Scholar] [CrossRef] [PubMed]
- Kaltreider, S.A.; Newman, S.A. Prevention and management of complications associated with the hydroxyapatite implant. Ophthalmic Plast. Reconstr. Surg. 1996, 12, 18–31. [Google Scholar] [CrossRef]
- Mules, P.H. Evisceration of the globe with artificial vitreous. Adv. Ophthalmic Plast. Reconstr. Surg. 1990, 8, 69–72. [Google Scholar] [PubMed]
- Burnstine, M.A. Primary implant placement with evisceration. Ophthalmology 2000, 107, 1664–1665. [Google Scholar] [CrossRef]
- Karesh, J.W.; Dresner, S.C. High-density porous polyethylene (Medpor) as a successful anophthalmic socket implant. Ophthalmology 1994, 101, 1688–1696. [Google Scholar] [CrossRef]

| No Extrusion (n = 135) | Extrusion (n = 5) | p Value | |
|---|---|---|---|
| Age (years, mean ± SD) | 58.1 ± 17.3 | 71.4 ± 15.9 | 0.093 * |
| Sex (male, %) | 89 (65.9) | 3 (60.0) | 0.999 † |
| Laterality (right, %) | 73 (54.1) | 4 (80.0) | 0.379 † |
| HTN (%) | 31 (23.0) | 1 (20.0) | 0.999 † |
| DM (%) | 32 (23.7) | 1 (20.0) | 0.999 † |
| AXL of fellow eye (mm, mean ± SD) | 23.1 ± 2.7 | 23.8 ± 1.5 | 0.546 * |
| No Extrusion (n = 135) | Extrusion (n = 5) | Extrusion Rate (%) | p Value | |
|---|---|---|---|---|
| Implant size (mm, mean ± SD) | 20.2 ± 1.5 | 18.0 ± 2.5 | 0.001 * | |
| 16 mm (n, %) | 5 (3.7) | 2 (40.0) | 28.6 | 0.020 † |
| 18 mm (n, %) | 13 (9.6) | 2 (40.0) | 13.3 | 0.089 † |
| 20 mm (n, %) | 78 (57.8) | 0 (0.0) | 0.0 | 0.016 † |
| 22 mm (n, %) | 39 (28.9) | 1 (20.0) | 2.5 | 0.999 † |
| Cause of evisceration (n, %) | ||||
| Non-endophthalmitis | 79 (58.5) | 0 (0.0) | 0.0 | 0.014 † |
| Phthisis bulbi | 58 (42.9) | 0 (0.0) | 0.0 | 0.076 † |
| Intractable glaucoma | 21 (15.6) | 0 (0.0) | 0.0 | 0.999 † |
| Endophthalmitis | 56 (41.5) | 5 (100.0) | 8.2 | 0.014 † |
| Non-endogenous | 47 (34.8) | 2 (40.0) | 4.1 | 0.999 † |
| Endogenous | 9 (6.7) | 3 (60.0) | 25.0 | 0.004 † |
| Preoperative CT finding (n, %) | ||||
| No cellulitis | 116 (85.9) | 0 (0.0) | 0.0 | 0.999 † |
| Preseptal cellulitis | 15 (11.1) | 0 (0.0) | 0.0 | 0.999 † |
| Orbital cellulitis | 4 (3.0) | 5 (100.0) | 55.6 | <0.001 † |
| Implant type (n, %) | ||||
| Non-porous silicone | 34 (25.2) | 3 (60.0) | 8.1 | 0.115 † |
| Porous | 101 (74.8) | 2 (40.0) | 1.9 | 0.115 † |
| Hydroxyapatite | 75 (55.6) | 0 (0.0) | 0.0 | 0.020 † |
| Porous polyethylene | 17 (12.6) | 1 (20.0) | 5.5 | 0.503 † |
| Porous silicone | 9 (6.7) | 1 (20.0) | 10.0 | 0.314 † |
| Univariate | Multivariate | |||
|---|---|---|---|---|
| OR (95% CI) | p Value * | OR (95% CI) | p Value * | |
| Age | 1.06 (0.99 to 1.17) | 0.089 | ||
| Sex | 1.38 (0.22 to 7.32) | 0.710 | ||
| HTN | 1.11 (0.11 to 0.16) | 0.918 | ||
| DM | 0.60 (0.06 to 3.35) | 0.583 | ||
| AXL of fellow eye | 1.05 (0.79 to 1.75) | 0.812 | ||
| Implant size | 0.50 (0.30 to 0.79) | 0.004 | 1.20 (0.62 to 2.44) | 0.586 |
| Cause of evisceration | ||||
| Endophthalmitis | 15.49 (1.70 to 2038.56) | 0.010 | 2.86 (0.01 to 671.83) | 0.625 |
| Non-endogenous | 1.34 (0.21 to 7.10) | 0.738 | ||
| Endogenous | 18.73 (3.22 to 125.21) | 0.002 | 0.57 (0.03 to 6.49) | 0.653 |
| Preoperative CT finding | ||||
| Preseptal cellulitis | 0.44 (0.22 to 13.20) | 0.435 | ||
| Orbital cellulitis | 320.54 (29.67 to 44,801.64) | <0.001 | 52.98 (2.18 to 15,367.34) | 0.009 |
| Implant type | ||||
| Non-porous silicone | 4.14 (0.77 to 25.53) | 0.096 | ||
| Hydroxyapatite | 0.07 (0.00 to 0.66) | 0.016 | 0.63 (0.00 to 108.85) | 0.812 |
| Porous polyethylene | 2.25 (0.22 to 13.20) | 0.435 | ||
| Porous silicone | 4.44 (0.41 to 27.39) | 0.184 | ||
Publisher’s Note: MDPI stays neutral with regard to jurisdictional claims in published maps and institutional affiliations. |
© 2021 by the authors. Licensee MDPI, Basel, Switzerland. This article is an open access article distributed under the terms and conditions of the Creative Commons Attribution (CC BY) license (https://creativecommons.org/licenses/by/4.0/).
Share and Cite
Kim, J.-M.; Sung, J.-Y.; Lim, H.-B.; Choi, E.-J.; Lee, S.-B. Risk Factors for Orbital Implant Extrusion after Evisceration. J. Clin. Med. 2021, 10, 3329. https://doi.org/10.3390/jcm10153329
Kim J-M, Sung J-Y, Lim H-B, Choi E-J, Lee S-B. Risk Factors for Orbital Implant Extrusion after Evisceration. Journal of Clinical Medicine. 2021; 10(15):3329. https://doi.org/10.3390/jcm10153329
Chicago/Turabian StyleKim, Ju-Mi, Jae-Yun Sung, Hyung-Bin Lim, Eun-Jung Choi, and Sung-Bok Lee. 2021. "Risk Factors for Orbital Implant Extrusion after Evisceration" Journal of Clinical Medicine 10, no. 15: 3329. https://doi.org/10.3390/jcm10153329
APA StyleKim, J.-M., Sung, J.-Y., Lim, H.-B., Choi, E.-J., & Lee, S.-B. (2021). Risk Factors for Orbital Implant Extrusion after Evisceration. Journal of Clinical Medicine, 10(15), 3329. https://doi.org/10.3390/jcm10153329

