Imaging Techniques for the Study of Fibrosis in Atrial Fibrillation Ablation: From Molecular Mechanisms to Therapeutical Perspectives
Abstract
1. Introduction
2. Atrial Fibrosis as Major Determinant of Atrial Fibrillation Genesis and Sustenance
- (1)
- Replacement fibrosis: the process occurring after myocardial injury (as myocardial acute infarct) when necrotic cells are substituted by collagen and ECM. This is also called reparative fibrosis [14];
- (2)
- Reactive fibrosis: an inflammatory process (mostly triggered by volume or pressure overload or genetic-mediated) of fibrous tissue deposition between cells (interstitial) and/or vessels (perivascular) causing disarray [15].
- (1)
- Interstitial: widening and thickening of the ECM;
- (2)
- Compact: consists of areas of dense collagen, deprived of any myocardial tissue;
- (3)
- Diffuse: involves mixed areas of myocardial and collagen fibers;
- (4)
- Patchy: consists of myocardial and collagen bundles and long strands.
3. Molecular Mechanisms
3.1. Cellular and Molecular Signaling of Fibrogenesis
3.2. Adipose Tissue as a Novel Risk Factor of Fibrosis and Atrial Fibrillation
3.3. From Atrial Fibrosis to Atrial Cardiomyopathy
- (1)
- Primarily cardiomyocytes changes (typical of Lone AF, genetic disease, and diabetes);
- (2)
- Primarily fibroblast changes (due to ageing or smoking);
- (3)
- Combined cardiomyocyte-fibroblast dependent fibrosis (present in valvular disease and chronic heart failure);
- (4)
- Primarily non-collagen deposits (as in isolated atrial amyloidosis, granulomatosis, inflammatory infiltrates, glycosphingolipids).
- (a)
- Structural remodeling, consequence of increases in interstitial fibrosis that result in atrial dilatation;
- (b)
- Functional remodeling, characterized by a left atrial failure;
- (c)
- Electrical remodeling that predisposes to atrial arrhythmias due to modifications to the substrate that promote reentry due to the heterogeneity of current conduction, shortening of action potentials, depolarization of resting cardiomyocytes, and induction of spontaneous phase 4 depolarization [38].
- (a)
- First, it is a potential reversible process. Modifying cardiovascular conditions, including hypertension or heart failure, can reverse the remodeling process, especially in the early stages of LA structural and functional remodeling. Moreover, some medical interventions leading to a reduction in the LA arrhythmic burden, for example, isolation of the pulmonary veins, have been shown to improve LA function [39]. Patients free of AF recurrence after catheter ablation can show a significant reduction in LA fibrosis burden in follow-up cardiac magnetic resonance (CMR) studies [40];
- (b)
- LA remodeling is a prognostic factor. LA volume and function are related to the probability of developing atrial fibrillation [41] and are an independent prognostic marker in patients with heart failure and reduced ejection fraction [42]. Atrial fibrosis has been demonstrated to be associated with stroke and the presence of spontaneous echo contrast [43,44].
4. Evaluation of Fibrosis for Prognosis and Imaging to Guide Ablations
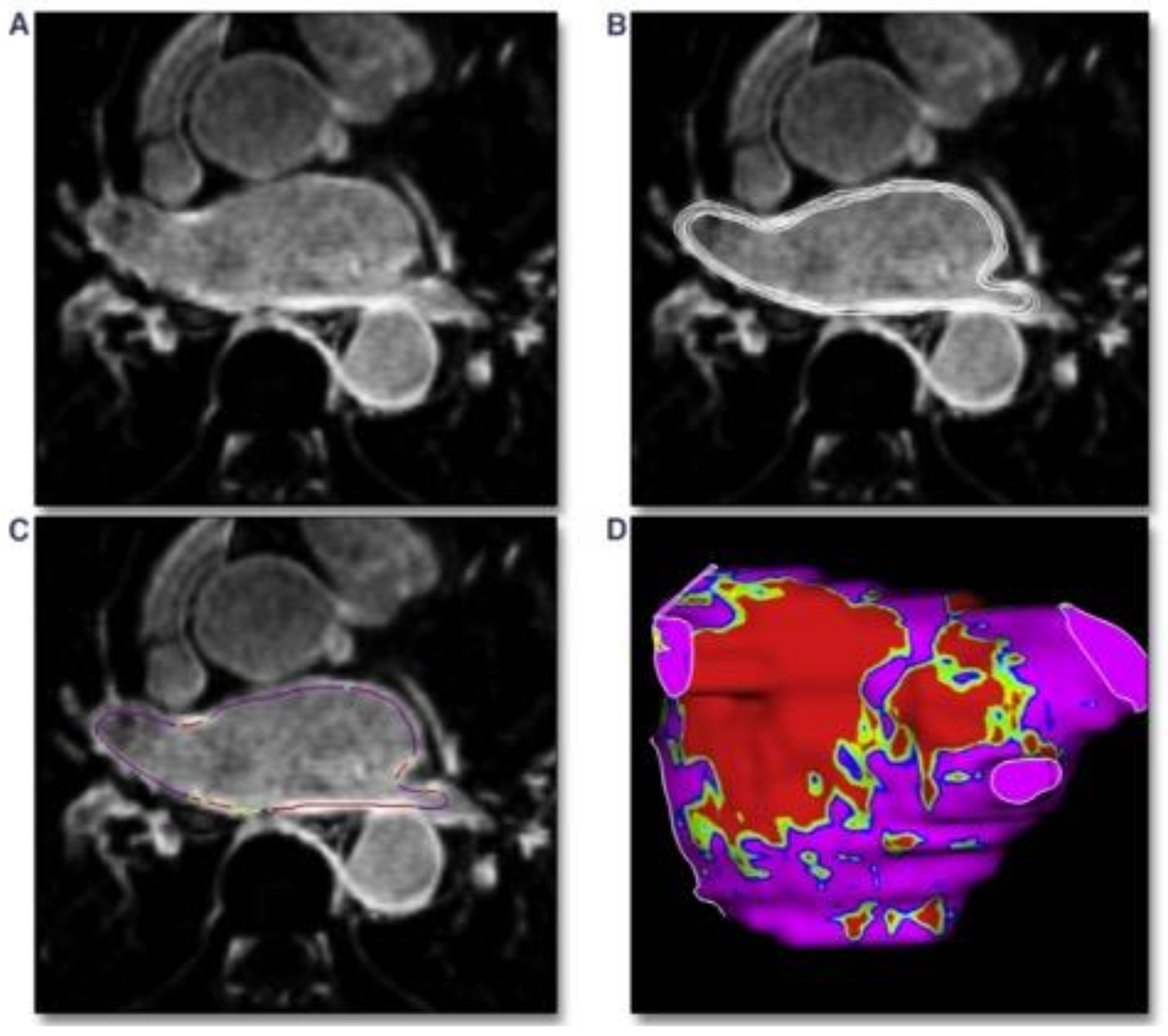
4.1. Late Gadolinium Enhancement Cardiac Magnetic Resonance (LGE-CMR)
4.2. LGE-CMR Image Acquisition
4.3. CMR Left Atrial Fibrosis Characterization
4.4. Multidetector Cardiac Computed Tomography (MDCT)
4.5. Echocardiographic Strain
5. Atrial Substrate Characterization and Its Implications for Clinical Management of the Patient with AF
- (1)
- C = confirm AF (with ECG recordings, cardiac devices or mobile health technology);
- (2)
- C = characterize AF (with the 4S-AF scheme);to
- (3)
- A = avoiding stroke (with anticoagulation or left atrial appendage closure);
- (4)
- B = better symptoms (with rate or rhythm control);
- (5)
- C = Cardiovascular risk and Comorbidity optimization (with aggressive risk factors interventions).
6. Future Perspectives and New Research Areas
- (1)
- Explanation of the single (or multiple) arrhythmia mechanisms in each patient. Often, also during the ablative procedure, it is not possible to discern between ectopic (triggered) activity and/or re-entry. Furthermore, before the procedure, it is not possible to define AF as pulmonary vein (PV)-dependent vs. non-PV-dependent. New technologies, including integration between imaging and ECG and using artificial intelligence, are promising in this sense [69];
- (2)
- Complete understanding of the prevalent molecular pathway leading to atrial fibrosis. In fact, if, in the future, it becomes possible to identify each mechanism in each patient, new therapeutical techniques could be applied to develop a specific therapy targeting that pathway (i.e., genic therapy) [70];
- (3)
- Possible identification of a prevalent etiology of the AF (atrial fibrosis, circadian rhythm, ischaemia, autonomic imbalance, inflammation, and adiposity). Therefore, we have to manage all these factors together, without specificity. Functional methodologies studying atria innervation and perfusion are welcome in this field;
- (4)
- Individuation of a pre-state of AF to carry out a primary prevention of AF development (and its related complication as heart failure and stroke), which, at present, is left to clinical discretion. Studying a score system including clinical and imaging factors to identify people with higher chances of developing AF could be useful. Whether this is reflected by improved atrial fibrosis needs further study.
7. Conclusions
Author Contributions
Funding
Conflicts of Interest
References
- Chugh, S.S.; Havmoeller, R.; Narayanan, K.; Singh, D.; Rienstra, M.; Benjamin, E.J.; Gillum, R.F.; Kim, Y.-H.; McAnulty, J.H., Jr.; Zheng, Z.-J.; et al. Worldwide epidemiology of atrial fibrillation: A global burden of disease 2010 study. Circulation 2014, 129, 837–847. [Google Scholar] [CrossRef] [PubMed]
- Krijthe, B.P.; Kunst, A.; Benjamin, E.J.; Lip, G.Y.H.; Franco, O.H.; Hofman, A.; Witteman, J.C.M.; Stricker, B.H.; Heeringaet, J. Projections on the number of individuals with atrial fibrillation in the European Union, from 2000 to 2060. Eur. Heart, J. 2013, 34, 2746–2751. [Google Scholar] [CrossRef] [PubMed]
- Schnabel, R.B.; Yin, X.; Gona, P.; Larson, M.G.; Beiser, A.S.; McManus, D.D.; Newton-Cheh, C.; Lubitz, S.A.; Magnani, J.W.; Ellinor, P.T.; et al. 50 year trends in atrial fibrillation prevalence, incidence, risk factors, and mortality in the Framingham Heart Study: A cohort study. Lancet 2015, 11, 154–162. [Google Scholar]
- De Sensi, F.; De Potter, T.; Cresti, A.; Severi, S.; Breithardt, G. Atrial fibrillation in patients with diabetes: Molecular mechanisms and therapeutic perspectives. Cardiovasc. Diagn. Ther. 2015, 5, 364–373. [Google Scholar] [PubMed]
- Ruddox, V.; Sandven, I.; Munkhaugen, J.; Skattebu, J.; Edvardsen, T.; Otterstad, J.E. Atrial fibrillation and the risk for myocardial infarction, all-cause mortality and heart failure: A systematic review and meta-analysis. Eur. J. Prev. Cardiol. 2017, 24, 1555–1566. [Google Scholar] [CrossRef] [PubMed]
- Jacobs, V.; Graves, K.G.; Bunch, T.J. Anticoagulant use in atrial fibrillation and risk of dementia: Review of contemporary knowledge. Expert Rev Cardiovasc. Ther. 2017, 15, 897–903. [Google Scholar] [CrossRef] [PubMed]
- Lee, E.; Choi, E.K.; Han, K.D.; Lee, H.; Choe, W.S.; Lee, S.R.; Cha, M.J.; Lim, W.H.; Kim, Y.J.; Oh, S. Mortality and causes of death in patients with atrial fibrillation: A nationwide population-based study. PLoS ONE. 2018, 13, e0209687. [Google Scholar] [CrossRef] [PubMed]
- January, C.T.; Wann, L.S.; Calkins, H.; Chen, L.Y.; Cigarroa, J.E.; Cleveland, J.C., Jr.; Ellinor, P.T.; Ezekowitz, M.D.; Field, M.E.; Furie, K.L.; et al. 2019 AHA/ACC/HRS Focused Update of the 2014 AHA/ACC/HRS Guideline for the Management of Patients With Atrial Fibrillation: A Report of the American College of Cardiology/American Heart Association Task Force on Clinical Practice Guidelines and the Heart Rhythm Society in Collaboration With the Society of Thoracic Surgeons. Circulation 2019, 74, 104–132. [Google Scholar]
- Santangeli, P.; Marchlinski, F.E. Techniques for the provocation, localization, and ablation of non-pulmonary vein triggers for atrial fibrillation. Heart Rhythm 2017, 14, 1087–1096. [Google Scholar] [CrossRef]
- Parkash, R.; Verma, A.; Tang, A.S. Persistent atrial fibrillation: Current approach and controversies. Curr. Opin. Cardiol. 2010, 25, 1–7. [Google Scholar] [CrossRef]
- Lau, D.H.; Linz, D.; Schotten, U.; Mahajan, R.; Sanders, P.; Kalman, J.M. Pathophysiology of Paroxysmal and Persistent Atrial Fibrillation: Rotors, Foci and Fibrosis. Heart Lung Circ. 2017, 26, 887–893. [Google Scholar] [CrossRef]
- De Jong, S.; van Veen, T.A.; van Rijen, H.V.; de Bakker, J.M. Fibrosis and cardiac arrhythmias. J. Cardiovasc. Pharmacol. 2011, 57, 630–638. [Google Scholar] [CrossRef]
- Nattel, S. Molecular and Cellular Mechanisms of Atrial Fibrosis in Atrial Fibrillation. JACC Clin. Electrophysiol. 2017, 3, 425–435. [Google Scholar] [CrossRef]
- Burstein, B.; Nattel, S. Atrial fibrosis: Mechanisms and clinical relevance in atrial fibrillation. J. Am. Coll. Cardiol. 2008, 51, 802–809. [Google Scholar] [CrossRef]
- Kong, P.; Christia, P.; Frangogiannis, N.G. The pathogenesis of cardiac fibrosis. Cell Mol. Life Sci. 2014, 71, 549–574. [Google Scholar] [CrossRef]
- Hansen, B.J.; Zhao, J.; Fedorov, V.V. Fibrosis and Atrial Fibrillation: Computerized and Optical Mapping; A View into the Human Atria at Submillimeter Resolution. JACC Clin. Electrophysiol. 2017, 3, 531–546. [Google Scholar] [CrossRef]
- Fast, V.G.; Kléber, A.G. Cardiac tissue geometry as a determinant of unidirectional conduction block: Assessment of microscopic excitation spread by optical mapping in patterned cell cultures and in a computer model. Cardiovasc. Res. 1995, 29, 697–707. [Google Scholar] [CrossRef]
- De Bakker, J.M.; van Capelle, F.J.; Janse, M.J.; Tasseron, S.; Vermeulen, J.T.; de Jonge, N.; Lahpor, J.R. Slow conduction in the infarcted human heart. ‘Zigzag’ course of activation. Circulation 1993, 88, 915–926. [Google Scholar] [CrossRef]
- Ten Tusscher, K.H.; Panfilov, A.V. Influence of diffuse fibrosis on wave propagation in human ventricular tissue. Europace 2007, 9, vi38–vi45. [Google Scholar] [CrossRef]
- Nezlobinsky, T.; Solovyova, O.; Panfilov, A.V. Anisotropic conduction in the myocardium due to fibrosis: The effect of texture on wave propagation. Sci. Rep. 2020, 10, 1–12. [Google Scholar] [CrossRef]
- Spach, M.S.; Miller, W.T.; Dolber, P.C.; Kootsey, J.M.; Sommer, J.R.; Mosher, C.E., Jr. The functional role of structural complexities in the propagation of depolarization in the atrium of the dog. Cardiac conduction disturbances due to discontinuities of effective axial resistivity. Circ. Res. 1982, 50, 175–191. [Google Scholar] [CrossRef] [PubMed]
- Rahmutula, D.; Marcus, G.M.; Wilson, E.E.; Ding, C.H.; Xiao, Y.; Paquet, A.C.; Barbeau, R.; Barczak, A.J.; Erle, D.J.; Olgin, J.E. Molecular basis of selective atrial fibrosis due to overexpression of transforming growth factor-b1. Cardiovasc. Res. 2013, 99, 769–779. [Google Scholar] [CrossRef] [PubMed]
- Gu, J.; Liu, X.; Wang, Q.X.; Tan, H.W.; Guo, M.; Jiang, W.-F.; Zhou, L. Angiotensin II increases CTGF expression via MAPKs/TGF-B1/TRAF6 pathway in atrial fibroblasts. Exp. Cell Res. 2012, 318, 2105–2115. [Google Scholar] [CrossRef] [PubMed]
- Siwik, D.; Pagano, P.; Colucci, W. Oxidative stress regulates collagen synthesis and matrix metalloproteinase activity in cardiac fibroblasts. Am. J. Physiol. 2001, 280, C53–C60. [Google Scholar] [CrossRef] [PubMed]
- Xu, J.; Wu, H.; Chen, S.; Qi, B.; Zhou, G.; Cai, L.; Zhao, L.; Wei, Y.; Liu, S. MicroRNA-30c suppresses the pro-fibrogenic effects of cardiac fibroblasts induced by TGF-b1 and prevents atrial fibrosis by targeting TGFbRII. J. Cell Mol. Med. 2018, 22, 3045–3057. [Google Scholar] [CrossRef] [PubMed]
- Li, P.-F.; He, R.-H.; Shi, S.-B.; Li, R.; Wang, Q.-T.; Rao, G.-T.; Yang, B. Modulation of miR-10a- mediated TGF-b1/Smads signaling affects atrial fibrillation-induced cardiac fibro- sis and cardiac fibroblast proliferation. Biosci. Rep. 2019, 39. [Google Scholar] [CrossRef]
- De Sensi, F.; Costantino, S.; Limbruno, U.; Paneni, F. Atrial fibrillation in the cardiometabolic patient. Minerva. Med. 2019, 110, 157–167. [Google Scholar] [CrossRef] [PubMed]
- Ogurtsova, K.; da Rocha Fernandes, J.D.; Huang, Y.; Linnenkamp, U.; Guariguata, L.; Cho, N.H.; Cavan, D.; Shaw, J.E.; Makaroff, L.E. IDF diabetes atlas: Global estimates for the prevalence of diabetes for 2015 and 2040. Diabetes Res. Clin. Pract. 2017, 128, 40–50. [Google Scholar] [CrossRef]
- Wang, T.J.; Parise, H.; Levy, D.; D’Agostino, R.B.; Wolf, P.A.; Vasan, R.S.; Benjamin, E.J. Obesity and the risk of new-onset atrial fibrillation. JAMA 2004, 292, 2471–2477. [Google Scholar] [CrossRef]
- Pandit, S.V.; Anumonwo, J.; Jalife, J. Atrial Fibrillation Susceptibility in Obesity: An excess adiposity and Fibrosis complicity? Circ. Res. 2016, 118, 1468–1471. [Google Scholar] [CrossRef]
- Kim, Y.M.; Guzik, T.J.; Zhang, Y.H.; Zhang, M.H.; Kattach, H.; Ratnatunga, C.; Pillai, R.; Channon, K.M.; Casadei, B. A myocardial Nox2 containing Nad(P)H oxidase contributes to oxidative stress in human atrial fibrillation. Circ. Res. 2005, 97, 629–636. [Google Scholar] [CrossRef]
- Guler, N.; Ozkara, C.; Dulger, H.; Kutay, V.; Sahin, M.; Erbilen, E.; Gumrukcuoglu, H.A. Do cardiac neuropeptides play a role in the occurrence of atrial fibrillation after coronary bypass surgery? Ann. Thorac. Surg. 2007, 83, 532–537. [Google Scholar] [CrossRef]
- Mazurek, T.; Zhang, L.; Zalewski, A.; Mannion, J.D.; Diehl, J.T.; Arafat, H.; Sarov-Blat, L.; O’Brien, S.; Keiper, E.A.; Johnson, A.G.; et al. Human epicardial adipose tissue is a source of inflammatory mediators. Circulation 2003, 108, 2460–2466. [Google Scholar] [CrossRef]
- Nalliah, C.J.; Bell, J.R.; Raaijmakers, A.J.A.; Waddell, H.M.; Wells, S.P.; Bernasochi, G.B.; Montgomery, M.K.; Binny, S.; Watts, T.; Joshi, S.B.; et al. Epicardial Adipose Tissue Accumulation Confers Atrial Conduction Abnormality. JACC Coll. Cardiol. 2020, 76, 1197–1211. [Google Scholar] [CrossRef]
- Vyas, V.; Hunter, R.J.; Longhi, P.; Finlay, M.C. Inflammation and adiposity: New frontiers in atrial fibrillation. Europace 2020, 22, 1609–1618. [Google Scholar] [CrossRef]
- Goette, A.; Kalman, J.M.; Aguinaga, L.; Akar, J.; Cabrera, J.A.; Chen, S.A.; Chugh, S.S.; Corradi, D.; D’Avila, A.; Dobrev, D.; et al. EHRA/HRS/APHRS/SOLAECE expert consensus on atrial cardiomyopathies: Definition, characterization, and clinical implication. Europace 2016, 18, 1455–1490. [Google Scholar] [CrossRef]
- Thomas, L.; Abhayaratna, W.P. Left Atrial Reverse Remodeling: Mechanisms, Evaluation, and Clinical Significance. JACC Cardiovasc. Imaging 2017, 10, 65–77. [Google Scholar] [CrossRef]
- Andrade, J.; Khairy, P.; Dobrev, D.; Nattel, S. The clinical profile and pathophysiology of atrial fibrillation: Relationships among clinical features, epidemiology, and mechanisms. Circ. Res. 2014, 114, 1453–1468. [Google Scholar] [CrossRef]
- Machino-Ohtsuka, T.; Seo, Y.; Ishizu, T.; Yanaka, S.; Nakajima, H.; Atsumi, A.; Yamamoto, M.; Kawamura, R.; Koshino, Y.; Machino, T.; et al. Significant improvement of left atrial and left atrial appendage function after catheter ablation for persistent atrial fibrillation. Circ. J. 2013, 77, 1695–1704. [Google Scholar] [CrossRef]
- Gal, P.; Pacchia, C.; Morris, A.; Kholmovski, E.G. Ablation scar recovery is significantly stronger in atrial fibrillation free patients (abstr P258). Europace 2015, 17, iii20–iii29. [Google Scholar] [CrossRef]
- Vaziri, S.M.; Larson, M.G.; Benjamin, E.J.; Levy, D. Echocardiographic predictors of nonrheumatic atrial fibrillation. The Framingham Heart Study. Circulation 1994, 89, 724–730. [Google Scholar] [CrossRef]
- Malagoli, A.; Rossi, L.; Bursi, F.; Zanni, A.; Sticozzi, C.; Piepoli, M.F.; Villani, G.Q. Left Atrial Function Predicts Cardiovascular Events in Patients With Chronic Heart Failure With Reduced Ejection Fraction. J. Am. Soc. Echocardiogr. 2019, 32, 248–256. [Google Scholar] [CrossRef]
- Daccarett, M.; Badger, T.J.; Akoum, N.; Burgon, N.S.; Mahnkopf, C.; Vergara, G.; Kholmovski, E.; McGann, C.J.; Parker, D.; Brachmann, J.; et al. Association of left atrial fibrosis detected by delayed-enhancement magnetic resonance imaging and the risk of stroke in patients with atrial fibrillation. J. Am. Coll. Cardiol. 2011, 57, 831–838. [Google Scholar] [CrossRef]
- Akoum, N.; Fernandez, G.; Wilson, B.; McGann, C.; Kholmovski, E.; Marrouche, N. Association of atrial fibrosis quantified using LGE-MRI with atrial appendage thrombus and spontaneous contrast on transesophageal echocardiography in patients with atrial fibrillation. J. Cardiovasc. Electr. 2013, 24, 1104–1109. [Google Scholar] [CrossRef] [PubMed]
- Vuissoz, P.A.; Odille, F.; Fernandez, B.; Lohezic, M.; Benhadid, A.; Mandry, D.; Felblinger, J. Free-Breathing Imaging of the Heart Using 2D Cine-GRICS (Generalized Reconstruction by Inversion of Coupled Systems) With Assessment of Ventricular Volumes and Function. J. Magn. Reson. Imaging 2012, 35, 340–351. [Google Scholar] [CrossRef]
- Kholmovski, E.G.; Damal, K.; Burgon, N.S.; Vijayakumar, S.; Tek, C.; Mihaylova, A.G.; Marrouche, N.F. A multi-center trial of LGE-MRI of the left atrium. J. Cardiovasc. Magn. Reson. 2013, 15, 1–2. [Google Scholar] [CrossRef]
- Cochet, H.; Mouries, A.; Nivet, H.; Sacher, F.; Derval, N.; Denis, A.; Merle, M.; Relan, J.; Hocini, M.; Haïssaguerre, M.; et al. Age, atrial fibrillation, and structural heart disease are the main determinants of left atrial fibrosis detected by delayed-enhanced magnetic resonance imaging in a general cardiology population. J. Cardiovasc. Electrophysiol. 2015, 26, 484–492. [Google Scholar] [CrossRef] [PubMed]
- Khurram, I.M.; Beinart, R.; Zipunnikov, V.; Dewire, J.; Yarmohammadi, H.; Sasaki, T.; Spragg, D.D.; Marine, J.E.; Berger, R.D.; Halperin, H.R.; et al. Magnetic resonance image intensity ratio, a normalized measure to enable interpatient comparability of left atrial fibrosis. Heart Rhythm 2014, 11, 85–92. [Google Scholar] [CrossRef] [PubMed]
- Bisbal, F.; Guiu, E.; Cabanas-Grandío, P.; Berruezo, A.; Prat-Gonzalez, S.; Vidal, B.; Garrido, C.; Andreu, D.; Fernandez-Armenta, J.; Tolosana, J.M.; et al. CMR-guided approach to localize and ablate gaps in repeat AF ablation procedure. JACC Cardiovasc. Imaging 2014, 7, 653–663. [Google Scholar] [CrossRef] [PubMed]
- Mahnkopf, C.; Badger, T.J.; Burgon, N.S.; Daccarett, M.; Haslam, T.S.; Badger, C.T.; McGann, C.J.; Akoum, N.; Kholmovski, E.; Macleod, R.S.; et al. Evaluation of the left atrial substrate in patients with lone atrial fibrillation using delayed- enhanced MRI: Implications for disease progression and response to catheter ablation. Heart Rhythm 2010, 7, 1475–1481. [Google Scholar] [CrossRef]
- Kuppahally, S.S.; Akoum, N.; Badger, T.J.; Burgon, N.S.; Haslam, T.; Kholmovski, E.; Macleod, R.; McGann, C.; Marrouche, N.F. Echocardiographic left atrial reverse remodeling after catheter ablation of atrial fibrillation is predicted by preablation delayed enhancement of left atrium by magnetic resonance imaging. Am. Heart J. 2010, 160, 877–884. [Google Scholar] [CrossRef]
- Akoum, N.; Wilber, D.; Hindricks, G.; Jais, P.; Cates, J.; Marchlinski, F.; Kholmovski, E.; Burgon, N.; Hu, N.; Mont, L.; et al. MRI assessment of ablation-induced scarring in atrial fibrillation: Analysis from the DECAAF study. J. Cardiovasc. Electrophysiol. 2015, 26, 473–480. [Google Scholar] [CrossRef]
- Kühl, J.T.; Lønborg, J.; Fuchs, A.; Andersen, M.J.; Vejlstrup, N.; Kelbæk, H.; Engstrøm, T.; Møller, J.E.; Kofoed, K.F. Assessment of left atrial volume and function: A comparative study between echocardiography, magnetic resonance imaging and multi slice computed tomography. Int. J. Cardiovasc. Imaging 2012, 28, 1061–1071. [Google Scholar] [CrossRef]
- Mohanty, P.; Salvetti, I.; Gili, S.; Horton, R.; Sanchez, J.E.; Bai, R.; Mohanty, S.; Pump, A.; Brantes, M.C.; Gallinghouse, J.; et al. Does the left atrial appendage morphology correlate with the risk of stroke in patients with atrial fibrillation? Results from a multicenter study. J. Am. Coll. Cardiol. 2012, 60, 531–538. [Google Scholar]
- Kistler, P.M.; Ho, S.Y.; Rajappan, K.; Morper, M.; Harris, S.; Abrams, D.; Sporton, S.; Schilling, R. Electrophysiologic and anatomic characterization of sites resistant to electrical isolation during circumferential pulmonary vein ablation for atrial fibrillation: A prospective study. J. Cardiovasc. Electrophysiol. 2007, 18, 1282–1288. [Google Scholar] [CrossRef]
- Inoue, J.; Skanes, A.C.; Gula, L.J.; Drangova, M. Effect of Left Atrial Wall Thickness on Radiofrequency Ablation Success. J. Cardiovasc. Electrophysiol. 2016, 27, 1298–1303. [Google Scholar] [CrossRef]
- Suenari, K.; Nakano, Y.; Hirai, Y.; Ogi, H.; Oda, N.; Makita, Y.; Ueda, S.; Kajihara, K.; Tokuyama, T.; Motoda, C.; et al. Left atrial thickness under the catheter ablation lines in patients with paroxysmal atrial fibrillation: Insights from 64-slice multidetector computed tomography. Heart Vessels 2013, 28, 360–368. [Google Scholar] [CrossRef]
- Teres, C.; Soto-Iglesias, D.; Penela, D.; Jáuregui, B.; Ordoñez, B.; Chauca, A.; Huguet, M.; Ramírez, C.; Oller, G.; Jornet, A.; et al. Left atrial wall thickness of the pulmonary vein reconnection sites during atrial fibrillation redo procedures. Pacing Clin. Electrophysiol. 2021, 20. [Google Scholar] [CrossRef]
- Boyd, A.C.; Richards, D.A.; Marwick, T.; Thomas, L. Atrial strain rate is a sensitive measure of alterations in atrial phasic function in healthy ageing. Heart 2011, 97, 1513–1519. [Google Scholar] [CrossRef]
- Morris, D.A.; Takeuchi, M.; Krisper, M.; Köhncke, C.; Bekfani, T.; Carstensen, T.; Hassfeld, S.; Dorenkamp, M.; Otani, K.; Takigiku, K.; et al. Normal values and clinical relevance of left atrial myocardial function analysed by speckle-tracking echocardiography: Multicentre study. Eur. Heart J. Cardiovasc. Imaging 2015, 16, 364–372. [Google Scholar] [CrossRef]
- Tops, L.F.; Delgado, V.; Bertini, M.; Marsan, N.A.; Den Uijl, D.W.; Trines, S.A.; Zeppenfeld, K.; Holman, E.; Schalij, M.J.; Bax, J.J. Left atrial strain predicts reverse remodeling after catheter ablation for atrial fibrillation. J. Am. Coll. Cardiol. 2011, 57, 324–331. [Google Scholar] [CrossRef]
- Yoon, Y.E.; Oh, I.Y.; Kim, S.-A.; Park, K.-H.; Kim, S.H.; Park, J.-H.; Kim, J.-E.; Lee, S.-P.; Kim, H.-K.; Kim, Y.-J.; et al. Echocardiographic predictors of progression to persistent or permanent atrial fibrillation in patients with paroxysmal atrial fibrillation (E6P Study). J. Am. Soc. Echocardiogr. 2015, 28, 709–717. [Google Scholar] [CrossRef]
- Yasuda, R.; Murata, M.; Roberts, R.; Tokuda, H.; Minakata, Y.; Suzuki, K.; Tsuruta, H.; Kimura, T.; Nishiyama, N.; Fukumoto, K.; et al. Left atrial strain is a powerful predictor of atrial fibrillation recurrence after catheter ablation: Study of a heterogeneous population with sinus rhythm or atrial fibrillation. Eur. Heart J. Cardiovasc. Imaging 2015, 16, 1008–1014. [Google Scholar] [CrossRef]
- Sade, L.E.; Keskin, S.; Can, U.; Çolak, A.; Yüce, D.; Çiftçi, O.; Özin, B.; Müderrisoğlu, H. Left atrial mechanics for secondary prevention from embolic stroke of undetermined source. Eur. Heart J. Cardiovasc. Imaging 2020, 18, 311. [Google Scholar] [CrossRef]
- Potpara, T.S.; Lip, G.Y.H.; Blomstrom-Lundqvist, C.; Boriani, G.; Van Gelder, I.C.; Heidbuchel, H.; Hindricks, G.; Camm, A.J. The 4S-AF Scheme (Stroke Risk; Symptoms; Severity of Burden; Substrate): A Novel Approach to In-Depth Characterization (Rather than Classification) of Atrial Fibrillation. Thromb Haemost 2021, 121, 270–278. [Google Scholar]
- Proietti, M.; Lip, G.Y.H.; Laroche, C.; Fauchier, L.; Marin, F.; Nabauer, M.; Potpara, T.; Dan, G.A.; Kalarus, Z.; Tavazzi, L.; et al. ESC-EORP Atrial Fibrillation General Long-Term Registry Investigators Group. Relation of outcomes to ABC (Atrial Fibrillation Better Care) pathway adherent care in European patients with atrial fibrillation: An analysis from the ESC-EHRA EORP Atrial Fibrillation General Long-Term (AFGen LT) Registry. Europace 2021, 23, 174–183. [Google Scholar]
- Yoon, M.; Yang, P.S.; Jang, E.; Yu, H.T.; Kim, T.H.; Uhm, J.S.; Kim, J.Y.; Sung, J.H.; Pak, H.N.; Lee, M.H.; et al. Improved Population-Based Clinical Outcomes of Patients with Atrial Fibrillation by Compliance with the Simple ABC (Atrial Fibrillation Better Care) Pathway for Integrated Care Management: A Nationwide Cohort Study. Thromb Haemost 2019, 119, 1695–1703. [Google Scholar] [CrossRef]
- Guo, Y.; Guo, J.; Shi, X.; Yao, Y.; Sun, Y.; Xia, Y.; Yu, B.; Liu, T.; Chen, Y.; Lip, G.Y.H. mAF-App II Trial investigators. Mobile health technology-supported atrial fibrillation screening and integrated care: A report from the mAFA-II trial Long-term Extension Cohort. Eur. J. Intern. Med. 2020, 82, 105–111. [Google Scholar] [CrossRef]
- Luongo, G.; Azzolin, L.; Schuler, S.; Rivolta, M.W.; Almeida, T.P.; Martinez, J.P.; Soriano, D.C.; Luik, A.; Muller-Edenborn, B.; Jadidi, A.; et al. Machine learning enables noninvasive prediction of atrial fibrillation driver location and acute pulmonary vein ablation success using the 12-lead ECG. Cardiovasc. Digit. Health, J. 2021, 2, 126–136. [Google Scholar] [CrossRef]
- Ni, L.; Scott, L., Jr.; Campbell, H.M.; Pan, X.; Alsina, K.M.; Reynolds, J.; Philippen, L.E.; Hulsurkar, M.; Lagor, W.R.; Li, N.; et al. Atrial-specific gene delivery using an adeno-associated viral vector. Circ. Res. 2019, 124, 256–262. [Google Scholar] [CrossRef]




| Stage | % of Fibrosis at MRI | 1-year Recurrences Rate after Ablation |
|---|---|---|
| I | <10% of AW | 15.3% |
| II | 10 > 20% of AW | 32.6% |
| III | 20 > 30% of AW | 45.9% |
| IV | >30% of AW | 51.4% |
Publisher’s Note: MDPI stays neutral with regard to jurisdictional claims in published maps and institutional affiliations. |
© 2021 by the authors. Licensee MDPI, Basel, Switzerland. This article is an open access article distributed under the terms and conditions of the Creative Commons Attribution (CC BY) license (https://creativecommons.org/licenses/by/4.0/).
Share and Cite
De Sensi, F.; Penela, D.; Soto-Iglesias, D.; Berruezo, A.; Limbruno, U. Imaging Techniques for the Study of Fibrosis in Atrial Fibrillation Ablation: From Molecular Mechanisms to Therapeutical Perspectives. J. Clin. Med. 2021, 10, 2277. https://doi.org/10.3390/jcm10112277
De Sensi F, Penela D, Soto-Iglesias D, Berruezo A, Limbruno U. Imaging Techniques for the Study of Fibrosis in Atrial Fibrillation Ablation: From Molecular Mechanisms to Therapeutical Perspectives. Journal of Clinical Medicine. 2021; 10(11):2277. https://doi.org/10.3390/jcm10112277
Chicago/Turabian StyleDe Sensi, Francesco, Diego Penela, David Soto-Iglesias, Antonio Berruezo, and Ugo Limbruno. 2021. "Imaging Techniques for the Study of Fibrosis in Atrial Fibrillation Ablation: From Molecular Mechanisms to Therapeutical Perspectives" Journal of Clinical Medicine 10, no. 11: 2277. https://doi.org/10.3390/jcm10112277
APA StyleDe Sensi, F., Penela, D., Soto-Iglesias, D., Berruezo, A., & Limbruno, U. (2021). Imaging Techniques for the Study of Fibrosis in Atrial Fibrillation Ablation: From Molecular Mechanisms to Therapeutical Perspectives. Journal of Clinical Medicine, 10(11), 2277. https://doi.org/10.3390/jcm10112277
