Extracorporeal Membrane Oxygenation Use in Thoracic Surgery
Abstract
1. Introduction
2. Cardiopulmonary Bypass
3. Extracorporeal CO2 Removal
4. Extracorporeal Membrane Oxygenation
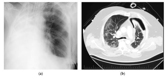
4.1. Case 1
4.2. Case 2
4.3. ECMO Configurations and Indications
5. Management of Anticoagulation
6. Anesthesia
7. Hypoxemia during Surgery
8. Postoperative Management
9. Conclusions
Author Contributions
Funding
Informed Consent Statement
Acknowledgments
Conflicts of Interest
References
- Durkin, C.; Lohser, J. Oxygenation and Ventilation Strategies for Patients Undergoing Lung Resection Surgery After Prior Lobectomy or Pneumonectomy. Curr. Anesthesiol. Rep. 2016, 6, 135–141. [Google Scholar] [CrossRef]
- de Perrot, M.; Fadel, E.; Mercier, O.; Mussot, S.; Chapelier, A.; Dartevelle, P. Long-Term Results after Carinal Resection for Carcinoma: Does the Benefit Warrant the Risk? J. Thorac. Cardiovasc. Surg. 2006, 131, 81–89. [Google Scholar] [CrossRef]
- Rosskopfova, P.; Perentes, J.Y.; Ris, H.-B.; Gronchi, F.; Krueger, T.; Gonzalez, M. Extracorporeal Support for Pulmonary Resection: Current Indications and Results. World J. Surg. Oncol. 2016, 14, 25. [Google Scholar] [CrossRef] [PubMed]
- Hasegawa, S.; Otake, Y.; Bando, T.; Cho, H.; Inui, K.; Wada, H. Pulmonary Dissemination of Tumor Cells after Extended Resection of Thyroid Carcinoma with Cardiopulmonary Bypass. J. Thorac. Cardiovasc. Surg. 2002, 124, 635–636. [Google Scholar] [CrossRef] [PubMed]
- Pinto, C.A.; Marcella, S.; August, D.A.; Holland, B.; Kostis, J.B.; Demissie, K. Cardiopulmonary Bypass Has a Modest Association with Cancer Progression: A Retrospective Cohort Study. BMC Cancer 2013, 13, 519. [Google Scholar] [CrossRef] [PubMed]
- Rao, V.; Todd, T.R.; Weisel, R.D.; Komeda, M.; Cohen, G.; Ikonomidis, J.S.; Christakis, G.T. Results of Combined Pulmonary Resection and Cardiac Operation. Ann. Thorac. Surg. 1996, 62, 342–346; discussion 346–347. [Google Scholar] [CrossRef]
- Anastasiadis, K.; Murkin, J.; Antonitsis, P.; Bauer, A.; Ranucci, M.; Gygax, E.; Schaarschmidt, J.; Fromes, Y.; Philipp, A.; Eberle, B.; et al. Use of Minimal Invasive Extracorporeal Circulation in Cardiac Surgery: Principles, Definitions and Potential Benefits. A Position Paper from the Minimal Invasive Extra-Corporeal Technologies International Society (MiECTiS). Interact. Cardiovasc. Thorac. Surg. 2016, 22, 647–662. [Google Scholar] [CrossRef]
- Biscotti, M.; Yang, J.; Sonett, J.; Bacchetta, M. Comparison of Extracorporeal Membrane Oxygenation versus Cardiopulmonary Bypass for Lung Transplantation. J. Thorac. Cardiovasc. Surg. 2014, 148, 2410–2416. [Google Scholar] [CrossRef] [PubMed]
- Koryllos, A.; Lopez-Pastorini, A.; Galetin, T.; Defosse, J.; Strassmann, S.; Karagiannidis, C.; Stoelben, E. Use of Extracorporeal Membrane Oxygenation for Major Cardiopulmonary Resections. Thorac. Cardiovasc. Surg. 2021, 69, 231–239. [Google Scholar] [CrossRef]
- Bartlett, R.; Zwischenberger, J. Management of blood flow and gas exchange during ECLS. In ECMO: Extracorporeal Cardiopulmonary Support in Critical Care, 4th ed.; Annich, G., Lynch, W., MacLaren, G., Wilson, J., Bartlett, R., Eds.; ELSO: Ann Arbor, MI, USA, 2012. [Google Scholar]
- Wiebe, K.; Poeling, J.; Arlt, M.; Philipp, A.; Camboni, D.; Hofmann, S.; Schmid, C. Thoracic Surgical Procedures Supported by a Pumpless Interventional Lung Assist. Ann. Thorac. Surg. 2010, 89, 1782–1787, discussion 1788. [Google Scholar] [CrossRef]
- Sanchez-Lorente, D.; Iglesias, M.; Rodríguez, A.; Jungebluth, P.; Macchiarini, P. The Pumpless Extracorporeal Lung Membrane Provides Complete Respiratory Support during Complex Airway Reconstructions without Inducing Cellular Trauma or a Coagulatory and Inflammatory Response. J. Thorac. Cardiovasc. Surg. 2012, 144, 425–430. [Google Scholar] [CrossRef][Green Version]
- Akil, A.; Ziegeler, S.; Reichelt, J.; Lavae-Mokhtari, M.; Freermann, S.; Semik, M.; Fichter, J.; Rehers, S.; Dickgreber, N.J.; Richter, L.; et al. Veno-Venous Extracorporeal Lung Support as a Bridge to or Through Lung Volume Reduction Surgery in Patients with Severe Hypercapnia. ASAIO J. 2020, 66, 952–959. [Google Scholar] [CrossRef]
- Redwan, B.; Ziegeler, S.; Freermann, S.; Nique, L.; Semik, M.; Lavae-Mokhtari, M.; Meemann, T.; Dickgreber, N.; Fischer, S. Intraoperative Veno-Venous Extracorporeal Lung Support in Thoracic Surgery: A Single-Centre Experience. Interact. Cardiovasc. Thorac. Surg. 2015, 21, 766–772. [Google Scholar] [CrossRef]
- Lang, G.; Taghavi, S.; Aigner, C.; Charchian, R.; Matilla, J.R.; Sano, A.; Klepetko, W. Extracorporeal Membrane Oxygenation Support for Resection of Locally Advanced Thoracic Tumors. Ann. Thorac. Surg. 2011, 92, 264–270. [Google Scholar] [CrossRef] [PubMed]
- Rinieri, P.; Peillon, C.; Bessou, J.-P.; Veber, B.; Falcoz, P.-E.; Melki, J.; Baste, J.-M. National Review of Use of Extracorporeal Membrane Oxygenation as Respiratory Support in Thoracic Surgery Excluding Lung Transplantation. Eur. J. Cardio-Thoracic Surg. 2015, 47, 87–94. [Google Scholar] [CrossRef] [PubMed]
- Rich, P.B.; Awad, S.S.; Crotti, S.; Hirschl, R.B.; Bartlett, R.H.; Schreiner, R.J. A Prospective Comparison of Atrio-Femoral and Femoro-Atrial Flow in Adult Venovenous Extracorporeal Life Support. J. Thorac. Cardiovasc. Surg. 1998, 116, 628–632. [Google Scholar] [CrossRef]
- Palmér, O.; Palmér, K.; Hultman, J.; Broman, M. Cannula Design and Recirculation during Venovenous Extracorporeal Membrane Oxygenation. ASAIO J. 2016, 62, 737–742. [Google Scholar] [CrossRef] [PubMed]
- Lindholm, J.A. Cannulation for Veno-Venous Extracorporeal Membrane Oxygenation. J. Thorac. Dis. 2018, 10 (Suppl. S5), S606–S612. [Google Scholar] [CrossRef]
- Carretta, A.; Ciriaco, P.; Bandiera, A.; Muriana, P.; Pappalardo, F.; Broman, L.M.; Montisci, A.; Negri, G. Veno-Venous Extracorporeal Membrane Oxygenation in the Surgical Management of Post-Traumatic Intrathoracic Tracheal Transection. J. Thorac. Dis. 2018, 10, 7045–7051. [Google Scholar] [CrossRef]
- Chang, X.; Zhang, X.; Li, X.; Xu, M.; Zhao, H.; Fang, W.; Yao, F. Use of Extracorporeal Membrane Oxygenation in Tracheal Surgery: A Case Series. Perfusion 2014, 29, 159–162. [Google Scholar] [CrossRef]
- Lang, G.; Ghanim, B.; Hötzenecker, K.; Klikovits, T.; Matilla, J.R.; Aigner, C.; Taghavi, S.; Klepetko, W. Extracorporeal Membrane Oxygenation Support for Complex Tracheo-Bronchial Procedures†. Eur. J. Cardio-Thoracic Surg. 2015, 47, 250–255, discussion 256. [Google Scholar] [CrossRef]
- Kim, S.H.; Song, S.; Kim, Y.D.; I, H.; Cho, J.S.; Ahn, H.Y.; Lee, J.; Kim, D.H.; Son, B.S. Outcomes of Extracorporeal Life Support during Surgery for the Critical Airway Stenosis. ASAIO J. 2017, 63, 99–103. [Google Scholar] [CrossRef]
- Kim, C.W.; Kim, D.H.; Son, B.S.; Cho, J.S.; Kim, Y.D.; I, H.; Ahn, H.Y. The Feasibility of Extracorporeal Membrane Oxygenation in the Variant Airway Problems. Ann. Thorac. Cardiovasc. Surg. 2015, 21, 517–522. [Google Scholar] [CrossRef]
- Kim, D.H.; Park, J.M.; Son, J.; Lee, S.K. Multivariate Analysis of Risk Factor for Mortality and Feasibility of Extracorporeal Membrane Oxygenation in High-Risk Thoracic Surgery. Ann. Thorac. Cardiovasc. Surg. 2021. [Google Scholar] [CrossRef]
- Mangoush, O.; Purkayastha, S.; Haj-Yahia, S.; Kinross, J.; Hayward, M.; Bartolozzi, F.; Darzi, A.; Athanasiou, T. Heparin-Bonded Circuits versus Nonheparin-Bonded Circuits: An Evaluation of Their Effect on Clinical Outcomes. Eur. J. Cardio-Thoracic Surg. 2007, 31, 1058–1069. [Google Scholar] [CrossRef] [PubMed]
- Muehrcke, D.D.; McCarthy, P.M.; Kottke-Marchant, K.; Harasaki, H.; Pierre-Yared, J.; Borsh, J.A.; Ogella, D.A.; Cosgrove, D.M. Biocompatibility of Heparin-Coated Extracorporeal Bypass Circuits: A Randomized, Masked Clinical Trial. J. Thorac. Cardiovasc. Surg. 1996, 112, 472–483. [Google Scholar] [CrossRef]
- Urlesberger, B.; Zobel, G.; Rödl, S.; Dacar, D.; Friehs, I.; Leschnik, B.; Muntean, W. Activation of the Clotting System: Heparin-Coated versus Non Coated Systems for Extracorporeal Circulation. Int. J. Artif. Organs 1997, 20, 708–712. [Google Scholar] [CrossRef] [PubMed]
- Pu, H.; Lei, Y.; Yuan, D.; Zhou, Y. Tracheal Reconstruction Surgery Supported by Extracorporeal Membrane Oxygenation for Patients with Traumatic Post-Tracheotomy Tracheal Stenosis. Ann. Thorac. Cardiovasc. Surg. 2020, 26, 327–331. [Google Scholar] [CrossRef] [PubMed]
- Ng, K.T.; Alston, R.P.; Just, G.; McKenzie, C. Assessing the Depth of Isoflurane Anaesthesia during Cardiopulmonary Bypass. Perfusion 2018, 33, 148–155. [Google Scholar] [CrossRef] [PubMed]
- Akhtar, M.I.; Gautel, L.; Lomivorotov, V.; Neto, C.N.; Vives, M.; El Tahan, M.R.; Marczin, N.; Landoni, G.; Rex, S.; Kunst, G. Multicenter International Survey on Cardiopulmonary Bypass Perfusion Practices in Adult Cardiac Surgery. J. Cardiothorac. Vasc. Anesth. 2021, 35, 1115–1124. [Google Scholar] [CrossRef]
- Rand, A.; Zahn, P.K.; Schildhauer, T.A.; Waydhas, C.; Hamsen, U. Inhalative Sedation with Small Tidal Volumes under Venovenous ECMO. J. Artif. Organs 2018, 21, 201–205. [Google Scholar] [CrossRef]
- Meiser, A.; Groesdonk, H.V.; Bonnekessel, S.; Volk, T.; Bomberg, H. Inhalation Sedation in Subjects With ARDS Undergoing Continuous Lateral Rotational Therapy. Respir. Care 2018, 63, 441–447. [Google Scholar] [CrossRef]
- Shekar, K.; Roberts, J.A.; Mcdonald, C.I.; Ghassabian, S.; Anstey, C.; Wallis, S.C.; Mullany, D.V.; Fung, Y.L.; Fraser, J.F. Protein-Bound Drugs Are Prone to Sequestration in the Extracorporeal Membrane Oxygenation Circuit: Results from an Ex Vivo Study. Crit. Care 2015, 19, 164. [Google Scholar] [CrossRef]
- Lemaitre, F.; Hasni, N.; Leprince, P.; Corvol, E.; Belhabib, G.; Fillâtre, P.; Luyt, C.-E.; Leven, C.; Farinotti, R.; Fernan-dez, C.; et al. Propofol, Midazolam, Vancomycin and Cyclosporine Therapeutic Drug Monitoring in Extracorporeal Membrane Oxygenation Circuits Primed with Whole Human Blood. Crit. Care 2015, 19, 40. [Google Scholar] [CrossRef] [PubMed]
- Shekar, K.; Fraser, J.F.; Smith, M.T.; Roberts, J.A. Pharmacokinetic Changes in Patients Receiving Extracorporeal Membrane Oxygenation. J. Crit. Care 2012, 27, 741.e9-18. [Google Scholar] [CrossRef] [PubMed]
- Hammarén, E.; Rosenberg, P.H.; Hynynen, M. Coating of Extracorporeal Circuit with Heparin Does Not Prevent Sequestration of Propofol in Vitro. Br. J. Anaesth. 1999, 82, 38–40. [Google Scholar] [CrossRef]
- Myers, G.J.; Voorhees, C.; Eke, B.; Johnstone, R. The Effect of Diprivan (Propofol) on Phosphorylcholine Surfaces during Cardiopulmonary Bypass—An in Vitro Investigation. Perfusion 2009, 24, 349–355. [Google Scholar] [CrossRef] [PubMed]
- Cheng, V.; Abdul-Aziz, M.-H.; Roberts, J.A.; Shekar, K. Optimising Drug Dosing in Patients Receiving Extracorpore-al Membrane Oxygenation. J. Thorac. Dis. 2018, 10, S629–S641. [Google Scholar] [CrossRef] [PubMed]
- Keeyapaj, W.; Alfirevic, A. Carinal Resection Using an Airway Exchange Catheter-Assisted Venovenous ECMO Technique. Can. J. Anaesth. 2012, 59, 1075–1076. [Google Scholar] [CrossRef] [PubMed]
- Dulu, A.; Pastores, S.M.; Park, B.; Riedel, E.; Rusch, V.; Halpern, N.A. Prevalence and Mortality of Acute Lung Injury and ARDS after Lung Resection. Chest 2006, 130, 73–78. [Google Scholar] [CrossRef]
- Kim, H.J.; Cha, S.I.; Kim, C.-H.; Lee, J.; Cho, J.Y.; Lee, Y.; Kim, G.-J.; Lee, D.H. Risk Factors of Postoperative Acute Lung Injury Following Lobectomy for Nonsmall Cell Lung Cancer. Medicine 2019, 98, e15078. [Google Scholar] [CrossRef]
- Yeo, H.J.; Cho, W.H.; Kim, D. Awake Extracorporeal Membrane Oxygenation in Patients with Severe Postoperative Acute Respiratory Distress Syndrome. J. Thorac. Dis. 2016, 8, 37–42. [Google Scholar] [CrossRef] [PubMed]
- Martucci, G.; Panarello, G.; Bertani, A.; Occhipinti, G.; Pintaudi, S.; Arcadipane, A. Veno-Venous ECMO in ARDS after Post-Traumatic Pneumonectomy. Intensiv. Care Med. 2013, 39, 2235–2236. [Google Scholar] [CrossRef] [PubMed]
- Marek, S.; Martin, S.; Ondrej, Z.; Josef, C.; Cestmir, N.; Vladimir, L. Extracorporeal Membrane Oxygenation in the Management of Post-Pneumonectomy Air Leak and Adult Respiratory Distress Syndrome of the Non-Operated Lung. Perfusion 2017, 32, 416–418. [Google Scholar] [CrossRef] [PubMed]

| Author, Year | Indications for ECMO or ECCO2R | Prevalent Types of Surgery | Number of Patients (Configuration: Cannulation) | Intraoperative Heparin | Time on ECMO or ECCO2R | ECMO-Related Complications | Hospital/30-Day Mortality |
|---|---|---|---|---|---|---|---|
| Wiebe K, 2010 [11] | 6 single lung 4 LLF due to ARDS | 5 tracheal resection or repair 4 lung resection 1 partial decortication | 10 (pumpless ECCO2R: V 19F fem-A 17F fem) | can 500–1000 IU none | 6 intraop. 4 postop. for 6.8 days | 1 retroperitoneal hematoma | 2/10 (20%) in total 0/4 (0%) elective 2/6 (33%) urgent |
| Chang X, 2014 [21] | 7 CTBR | 7 tracheal resection | 7 (VA: V 19F fem-A 17F fem) | can 200 IU/kg ACT 300 s | 10–31 min | none | 0/7 (0%) |
| Redwan B, 2015 [14] | 5 single lung 3 LLF 1 carinal resection | 7 pulmonary resection 2 extended metastasectomy 1 carinal PE | 9 (3 VV: V 25F fem-V 21 IJV; 6 ECCO2R: 24 F DL fem) | 2000–4000 IU none | 129 ± 40 min intraop. only | not reported | 1/9 (11%) |
| Lang G, 2011 [15] Lang G, 2015 [22] | 8 CTBR 2 LLF | 6 carinal resection 3 sleeve (bi)lobectomy 1 sleeve PE | 10 (VA: 7 central RA-AoA + 3 peripheral fem-fem) | can 3000–5000 IU none | 113 ± 17 min intraop. only | none | 0/10 (0%) |
| Rinieri P, 2015 [16] | 23 CTBR 5 single lung 5 LLF including trauma 3 ECMO preoperatively | tracheal/carinal reconstruction, wedge resection to PE, lymphadenectomy | 36 (16 VA: 6 central + 10 peripheral; 20 VV; 5 ECCO2R) | can 50–100 IU/kg ACT 160–200 s | median 65 min for VA and 78 min for VV ECMO, many postop. | 7 reoperations due to bleeding (6 operation site, 1 cannulation site) | 6/36 (17%) in total 1/27 (4%) elective 5/9 (56%) urgent |
| Kim SH, 2017 [23] | 6 post-intubation or post-tracheostomy stenosis | tracheal/carinal reconstruction | 9 (1 VA: peripheral; 8 VV: 6 fem-fem + 2 fem-IJV) | can 50–100 IU/kg ACT 150–180 s | 7 intra-op. for 1.5–4 h, 2 postop | none | 1/9 (11%) 0/6 elective 1/3 (33%) urgent |
| Akil A, 2020 [13] | 65 emphysema with hypercapnia | 65 LVRS | 65 (ECCO2R: 24F DL fem or 22F DL IJV) | none | all postop., mean 3 days | 1 disseminated intravascular coagulopathy | 90-day mortality 5/65 (8%) |
| Kim CW, 2015 [24] Kim DH, 2021 [25] | 27 LLF (pneumonia etc.) 19 airway disease | 27 lung resection 19 airway surgery 17 others | 63 (21 VA: peripheral fem-fem; 42 VV fem-IJV) | can 50–70 IU/kg none | mean 4.5 days postop. | not reported | 17/63 (27 %) in total 9/11 (82%) eCPR |
| Koryllos A, 2021 [9] | 8 CTBR 16 left lung and descending aorta or left atrium resection | sleeve lobectomy or PE, lobectomy or PE with left atrial or aortic resection | 24 (7 VA fem-fem; 9 VV-A fem+IJV-fem; 8 VV: 7 fem-IJV + 1 fem-fem) | APTT-R 1.5 | not reported | 2 reoperations due to bleeding at operation site | 6/24 (25%) mortality of 4 acute cases not reported |
Publisher’s Note: MDPI stays neutral with regard to jurisdictional claims in published maps and institutional affiliations. |
© 2021 by the authors. Licensee MDPI, Basel, Switzerland. This article is an open access article distributed under the terms and conditions of the Creative Commons Attribution (CC BY) license (https://creativecommons.org/licenses/by/4.0/).
Share and Cite
Suk, P.; Šrámek, V.; Čundrle, I., Jr. Extracorporeal Membrane Oxygenation Use in Thoracic Surgery. Membranes 2021, 11, 416. https://doi.org/10.3390/membranes11060416
Suk P, Šrámek V, Čundrle I Jr. Extracorporeal Membrane Oxygenation Use in Thoracic Surgery. Membranes. 2021; 11(6):416. https://doi.org/10.3390/membranes11060416
Chicago/Turabian StyleSuk, Pavel, Vladimír Šrámek, and Ivan Čundrle, Jr. 2021. "Extracorporeal Membrane Oxygenation Use in Thoracic Surgery" Membranes 11, no. 6: 416. https://doi.org/10.3390/membranes11060416
APA StyleSuk, P., Šrámek, V., & Čundrle, I., Jr. (2021). Extracorporeal Membrane Oxygenation Use in Thoracic Surgery. Membranes, 11(6), 416. https://doi.org/10.3390/membranes11060416

