Protection Conferred by Drinking Water Administration of a Nanoparticle-Based Vaccine against Salmonella Enteritidis in Hens
Abstract
1. Introduction
2. Materials and Methods
2.1. Preparation of Antigenic Extract
2.2. Preparation of Nanoparticles
2.3. Characterization of Nanoparticles
2.4. Analysis of Nanoparticles Stability
2.5. Experimental Infections
2.6. Animals and Housing Conditions
2.7. Bacteriological Studies
2.8. Statistical Analysis
3. Results
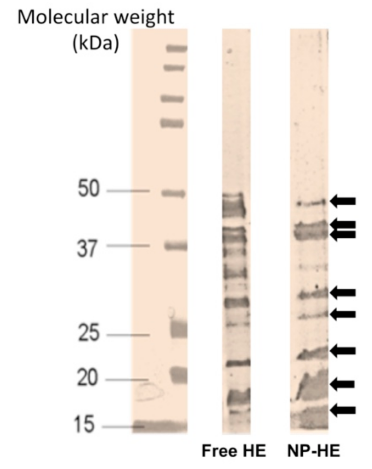
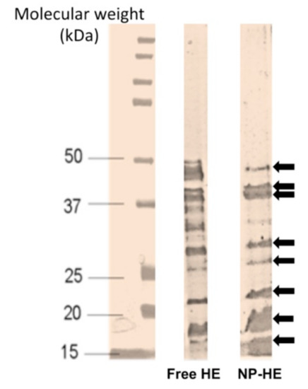
3.1. Characterization of Gantrez AN Nanoparticles with Salmonella HE
3.2. Gantrez AN Nanoparticles Loaded with Salmonella HE Reduce Bacteria Excretion in Hens
4. Discussion
5. Conclusions
Author Contributions
Funding
Institutional Review Board Statement
Informed Consent Statement
Data Availability Statement
Acknowledgments
Conflicts of Interest
References
- Jajere, S.M. A Review of Salmonella Enterica with Particular Focus on the Pathogenicity and Virulence Factors, Host Specificity and Antimicrobial Resistance Including Multidrug Resistance. Vet. World 2019, 12, 504–521. [Google Scholar] [CrossRef]
- Newell, D.G.; Koopmans, M.; Verhoef, L.; Duizer, E.; Aidara-Kane, A.; Sprong, H.; Opsteegh, M.; Langelaar, M.; Threfall, J.; Scheutz, F.; et al. Food-Borne Diseases—The Challenges of 20 Years Ago Still Persist While New Ones Continue to Emerge. Int. J. Food Microbiol. 2010, 139 (Suppl. S1), S3–S15. [Google Scholar] [CrossRef]
- Majowicz, S.E.; Musto, J.; Scallan, E.; Angulo, F.J.; Kirk, M.; O’Brien, S.J.; Jones, T.F.; Fazil, A.; Hoekstra, R.M. The Global Burden of Nontyphoidal Salmonella Gastroenteritis. Clin. Infect. Dis. 2010, 50, 882–889. [Google Scholar] [CrossRef]
- Scallan, E.; Hoekstra, R.M.; Angulo, F.J.; Tauxe, R.V.; Widdowson, M.-A.; Roy, S.L.; Jones, J.L.; Griffin, P.M. Foodborne Illness Acquired in the United States--Major Pathogens. Emerg. Infect. Dis. 2011, 17, 7–15. [Google Scholar] [CrossRef] [PubMed]
- Gayet, R.; Bioley, G.; Rochereau, N.; Paul, S.; Corthésy, B. Vaccination against Salmonella Infection: The Mucosal Way. Microbiol. Mol. Biol. Rev. 2017, 81. [Google Scholar] [CrossRef] [PubMed]
- Ricke, S.C. Application of Molecular Approaches for Understanding Foodborne Salmonella Establishment in Poultry Production. Adv. Biol. 2014, 2014, 1–25. [Google Scholar] [CrossRef]
- Ochoa-Reparaz, J.; Sesma, B.; Álvarez, M.; Jesús Renedo, M.; Irache, J.M.; Gamazo, C. Humoral Immune Response in Hens Naturally Infected with Salmonella Enteritidis against Outer Membrane Proteins and Other Surface Structural Antigens. Vet. Res. 2004, 35, 291–298. [Google Scholar] [CrossRef][Green Version]
- Ochoa-Reparaz, J.; García, B.; Solano, C.; Lasa, I.; Irache, J.M.; Gamazo, C. Protective Ability of Subcellular Extracts from Salmonella Enteritidis and from a Rough Isogenic Mutant against Salmonellosis in Mice. Vaccine 2005, 23, 1491–1501. [Google Scholar] [CrossRef]
- Ochoa, J.; Irache, J.M.; Tamayo, I.; Walz, A.; DelVecchio, V.G.; Gamazo, C. Protective Immunity of Biodegradable Nanoparticle-Based Vaccine against an Experimental Challenge with Salmonella Enteritidis in Mice. Vaccine 2007, 25, 4410–4419. [Google Scholar] [CrossRef] [PubMed]
- van de Reep, L.; Nielen, M.; Verstappen, K.M.H.W.; Broens, E.M.; van den Broek, J.; Velkers, F.C. Response to a Salmonella Enteritidis Challenge in Old Laying Hens with Different Vaccination Histories. Poult. Sci. 2018, 97, 2733–2739. [Google Scholar] [CrossRef]
- McWhorter, A.R.; Chousalkar, K.K. A Long-Term Efficacy Trial of a Live, Attenuated Salmonella Typhimurium Vaccine in Layer Hens. Front. Microbiol. 2018, 9, 1380. [Google Scholar] [CrossRef]
- Huberman, Y.D.; Velilla, A.V.; Terzolo, H.R. Evaluation of Different Live Salmonella Enteritidis Vaccine Schedules Administered during Layer Hen Rearing to Reduce Excretion, Organ Colonization, and Egg Contamination. Poult. Sci. 2019, 98, 2422–2431. [Google Scholar] [CrossRef]
- Renu, S.; Markazi, A.D.; Dhakal, S.; Lakshmanappa, Y.S.; Gourapura, S.R.; Shanmugasundaram, R.; Senapati, S.; Narasimhan, B.; Selvaraj, R.K.; Renukaradhya, G.J. Surface Engineered Polyanhydride-Based Oral Salmonella Subunit Nanovaccine for Poultry. Int. J. Nanomed. 2018, 13, 8195–8215. [Google Scholar] [CrossRef]
- Nandre, R.M.; Eo, S.K.; Park, S.Y.; Lee, J.H. Comparison of a Live Attenuated Salmonella Enteritidis Vaccine Candidate Secreting Escherichia Coli Heat-Labile Enterotoxin B Subunit with a Commercial Vaccine for Efficacy of Protection against Internal Egg Contamination by Salmonella in Hens. Can. J. Vet. Res. 2015, 79, 235–240. [Google Scholar]
- Martinez-Becerra, F.J.; Kumar, P.; Vishwakarma, V.; Kim, J.H.; Arizmendi, O.; Middaugh, C.R.; Picking, W.D.; Picking, W.L. Characterization and Protective Efficacy of Type III Secretion Proteins as a Broadly Protective Subunit Vaccine against Salmonella Enterica Serotypes. Infect. Immun. 2018, 86. [Google Scholar] [CrossRef]
- Han, Y.; Renu, S.; Patil, V.; Schrock, J.; Feliciano-Ruiz, N.; Selvaraj, R.; Renukaradhya, G.J. Immune Response to Salmonella Enteritidis Infection in Broilers Immunized Orally With Chitosan-Based Salmonella Subunit Nanoparticle Vaccine. Front. Immunol. 2020, 11, 935. [Google Scholar] [CrossRef]
- Ferreira, R.B.R.; Valdez, Y.; Coombes, B.K.; Sad, S.; Gouw, J.W.; Brown, E.M.; Li, Y.; Grassl, G.A.; Antunes, L.C.M.; Gill, N.; et al. A Highly Effective Component Vaccine against Nontyphoidal Salmonella Enterica Infections. mBio 2015, 6, e01421-15. [Google Scholar] [CrossRef]
- Tennant, S.M.; MacLennan, C.A.; Simon, R.; Martin, L.B.; Khan, M.I. Nontyphoidal Salmonella Disease: Current Status of Vaccine Research and Development. Vaccine 2016, 34, 2907–2910. [Google Scholar] [CrossRef]
- Arbós, P.; Wirth, M.; Arangoa, M.A.; Gabor, F.; Irache, J.M. Gantrez® AN as a New Polymer for the Preparation of Ligand–Nanoparticle Conjugates. J. Control. Release 2002, 83, 321–330. [Google Scholar] [CrossRef]
- Salman, H.H.; Gamazo, C.; Campanero, M.A.; Irache, J.M. Salmonella-like Bioadhesive Nanoparticles. J. Control. Release 2005, 106, 1–13. [Google Scholar] [CrossRef]
- Gómez, S.; Gamazo, C.; Roman, B.S.; Vauthier, C.; Ferrer, M.; Irache, J.M. Development of a Novel Vaccine Delivery System Based on Gantrez Nanoparticles. J. Nanosci. Nanotechnol. 2006, 6, 3283–3289. [Google Scholar] [CrossRef]
- Estevan, M.; Irache, J.M.; Grilló, M.J.; Blasco, J.M.; Gamazo, C. Encapsulation of Antigenic Extracts of Salmonella Enterica Serovar. Vet. Microbiol. 2006, 118, 124–132. [Google Scholar] [CrossRef]
- Tamayo, I.; Irache, J.M.; Mansilla, C.; Ochoa-Repáraz, J.; Lasarte, J.J.; Gamazo, C. Poly(Anhydride) Nanoparticles Act as Active Th1 Adjuvants through Toll-Like Receptor Exploitation. Clin. Vaccine Immunol. 2010, 17, 1356–1362. [Google Scholar] [CrossRef]
- Gamazo, C.; Ochoa-Reparaz, J.; Tamayo, I.; Camacho, A.; Irache, J.M. Development of a Bacterial Nanoparticle Vaccine. Methods Mol. Biol. 2015, 1225, 139–149. [Google Scholar]
- Laemmli, U.K. Cleavage of Structural Proteins during the Assembly of the Head of Bacteriophage T4. Nature 1970, 227, 680–685. [Google Scholar] [CrossRef] [PubMed]
- Fairbanks, G.; Steck, T.L.; Wallach, D.F.H. Electrophoretic Analysis of the Major Polypeptides of the Human Erythrocyte Membrane. Biochemistry 1971, 10, 2606–2617. [Google Scholar] [CrossRef] [PubMed]
- Arbós, P. Influence of the Surface Characteristics of PVM/MA Nanoparticles on Their Bioadhesive Properties. J. Control. Release 2003, 89, 19–30. [Google Scholar] [CrossRef]
- Ruiz-Gatón, L.; Espuelas, S.; Larrañeta, E.; Reviakine, I.; Yate, L.A.; Irache, J.M. Pegylated Poly(Anhydride) Nanoparticles for Oral Delivery of Docetaxel. Eur. J. Pharm. Sci. 2018, 118, 165–175. [Google Scholar] [CrossRef] [PubMed]
- Singh, M.; O’Hagan, D.T. Recent Advances in Veterinary Vaccine Adjuvants. Int. J. Parasitol. 2003, 33, 469–478. [Google Scholar] [CrossRef]
- Bose, R.J.; Kim, M.; Chang, J.H.; Paulmurugan, R.; Moon, J.J.; Koh, W.-G.; Lee, S.-H.; Park, H. Biodegradable Polymers for Modern Vaccine Development. J. Ind. Eng. Chem. 2019, 77, 12–24. [Google Scholar] [CrossRef]
- Murillo, M. Modulation of the Cellular Immune Response after Oral or Subcutaneous Immunization with Microparticles Containing Brucella Ovis Antigens. J. Control. Release 2002, 85, 237–246. [Google Scholar] [CrossRef]
- Harrison, J.A.; Villarreal-Ramos, B.; Mastroeni, P.; Demarco De Hormaeche, R.; Hormaeche, C.E. Correlates of Protection Induced by Live Aro− Salmonella Typhimurium Vaccines in the Murine Typhoid Model. Immunology 1997, 90, 618–625. [Google Scholar] [CrossRef]
- Sztein, M.B.; Wasserman, S.S.; Tacket, C.O.; Edelman, R.; Hone, D.; Lindberg, A.A.; Levine, M.M. Cytokine Production Patterns And Lymphoproliferative Responses In Volunteers Orally Immunized with Attenuated Vaccine Strains Of Salmonella Typhi. J. Infect. Dis. 1994, 170, 1508–1517. [Google Scholar] [CrossRef]
- Gamazo, C.; D’Amelio, C.; Gastaminza, G.; Ferrer, M.; Irache, J.M. Adjuvants for Allergy Immunotherapeutics. Hum. Vaccin. Immunother. 2017, 13, 2416–2427. [Google Scholar] [CrossRef]






| pH 5.5 1 | pH 8.5 1 | pH 6.9 (tap) 2 | |
|---|---|---|---|
| NP-HE | 202 | 106 | 122 |
Publisher’s Note: MDPI stays neutral with regard to jurisdictional claims in published maps and institutional affiliations. |
© 2021 by the authors. Licensee MDPI, Basel, Switzerland. This article is an open access article distributed under the terms and conditions of the Creative Commons Attribution (CC BY) license (http://creativecommons.org/licenses/by/4.0/).
Share and Cite
Ochoa-Repáraz, J.; Sebastià, E.; Sitjà, M.; Tamayo, I.; Irache, J.M.; Gamazo, C. Protection Conferred by Drinking Water Administration of a Nanoparticle-Based Vaccine against Salmonella Enteritidis in Hens. Vaccines 2021, 9, 216. https://doi.org/10.3390/vaccines9030216
Ochoa-Repáraz J, Sebastià E, Sitjà M, Tamayo I, Irache JM, Gamazo C. Protection Conferred by Drinking Water Administration of a Nanoparticle-Based Vaccine against Salmonella Enteritidis in Hens. Vaccines. 2021; 9(3):216. https://doi.org/10.3390/vaccines9030216
Chicago/Turabian StyleOchoa-Repáraz, Javier, Eduard Sebastià, Marta Sitjà, Ibai Tamayo, Juan Manuel Irache, and Carlos Gamazo. 2021. "Protection Conferred by Drinking Water Administration of a Nanoparticle-Based Vaccine against Salmonella Enteritidis in Hens" Vaccines 9, no. 3: 216. https://doi.org/10.3390/vaccines9030216
APA StyleOchoa-Repáraz, J., Sebastià, E., Sitjà, M., Tamayo, I., Irache, J. M., & Gamazo, C. (2021). Protection Conferred by Drinking Water Administration of a Nanoparticle-Based Vaccine against Salmonella Enteritidis in Hens. Vaccines, 9(3), 216. https://doi.org/10.3390/vaccines9030216

