Immunogenicity and Protective Activity of Pigeon Circovirus Recombinant Capsid Protein Virus-Like Particles (PiCV rCap-VLPs) in Pigeons (Columba livia) Experimentally Infected with PiCV
Abstract
1. Introduction
2. Materials and Methods
2.1. Cell Line
2.2. Construction of Recombinant Capsid Protein (rCap) for Escherichia coli and Mammalian Cell Expression System
2.3. E. coli Expression of rCap
2.4. Precipitation of Virus-Like Particles (VLPs)
2.5. Electron Microscopy
2.6. Pigeons and Ethics Statement
2.7. Sample Collection, Fixation, and Histopathological Examination
2.8. Indirect Enzyme-Linked Immunosorbent Assay
2.9. T-Cell Proliferation Analysis
2.10. Cytokine Analysis by RT-PCR
2.11. Detection of Viral Load Using qPCR
2.12. Statistical Analysis
3. Results
3.1. Protein Expression and Morphological Analysis of Virus-Like Particles (VLPs)
3.2. Antibody Titer in Pigeons Post-Immunization with PiCV rCap-VLPs
3.3. Virus Titer in Pigeons Challenged with Pigeon Circovirus (PiCV)
3.4. T-Cell Proliferation and Cytokine-Quantities Post-Vaccination
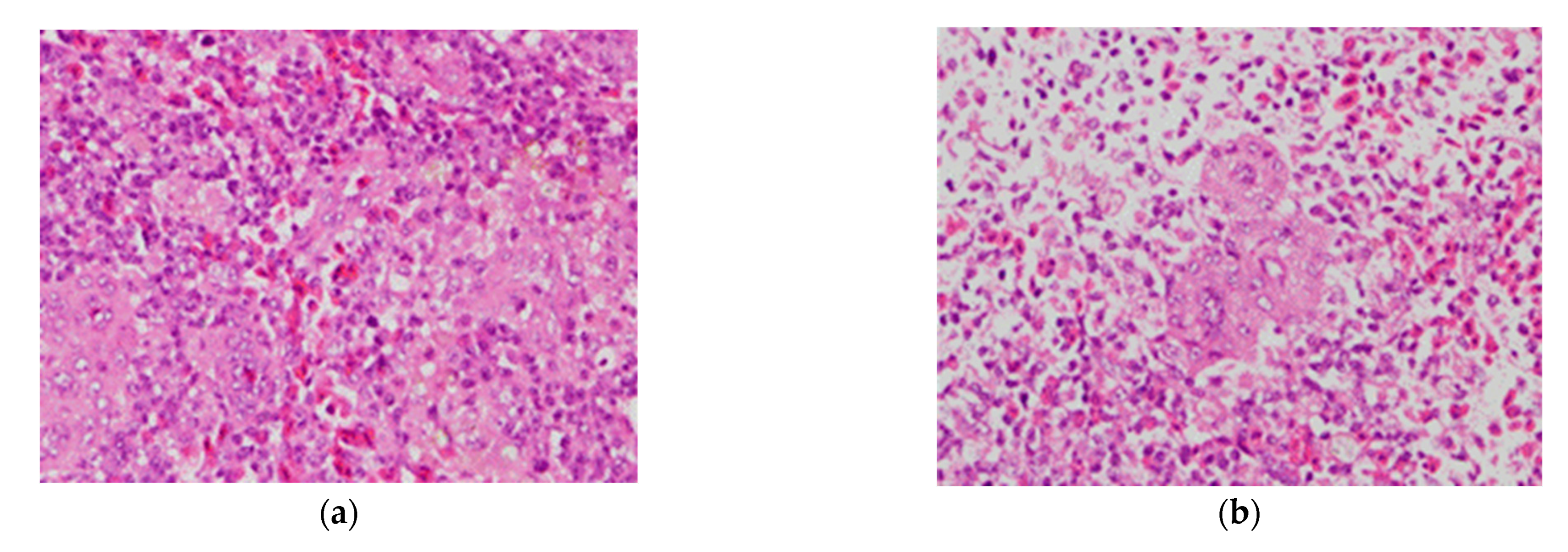
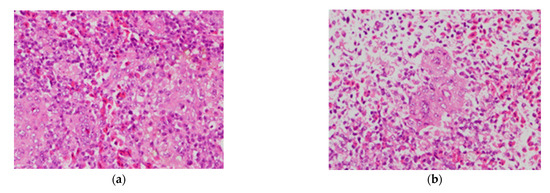
3.5. Histopathological Examination through Hematoxylin-Eosin Staining of Spleen Samples
4. Discussion
5. Conclusions
Author Contributions
Funding
Institutional Review Board Statement
Informed Consent Statement
Data Availability Statement
Acknowledgments
Conflicts of Interest
References
- Stenzel, T.; Dziewulska, D.; Śmiałek, M.; Tykałowski, B.; Kowalczyk, J.; Koncicki, A. Comparison of the Immune Response to Vaccination with Pigeon Circovirus Recombinant Capsid Protein (PiCV RCP) in Pigeons Uninfected and Subclinically Infected with PiCV. PLoS ONE 2019, 14, e0219175. [Google Scholar] [CrossRef]
- Mankertz, A.; Hattermann, K.; Ehlers, B.; Soike, D. Cloning and Sequencing of Columbid Circovirus (CoCV), a New Circovirus from Pigeons. Arch. Virol. 2000, 145, 2469–2479. [Google Scholar] [CrossRef]
- Todd, D.; Weston, J.H.; Soike, D.; Smyth, J.A. Genome Sequence Determinations and Analyses of Novel Circoviruses from Goose and Pigeon. Virology 2001, 286, 354–362. [Google Scholar] [CrossRef] [PubMed]
- Loiko, M.R.; Junqueira, D.M.; Varela, A.P.M.; Tochetto, C.; Scheffer, C.M.; Lima, D.A.; Morel, A.P.; Cerva, C.; Paim, W.P.; Mayer, F.Q.; et al. Columbid Circoviruses Detected in Free Ranging Pigeons from Southern Brazil: Insights on PiCV Evolution. Arch. Virol. 2018, 163, 3083–3090. [Google Scholar] [CrossRef] [PubMed]
- Tsai, S.S.; Chang, Y.L.; Huang, Y.L.; Liu, H.J.; Ke, G.M.; Chiou, C.J.; Hsieh, Y.C.; Chang, T.C.; Cheng, L.T.; Chuang, K.P. Development of a Loop-Mediated Isothermal Amplification Method for Rapid Detection of Pigeon Circovirus. Arch. Virol. 2014, 159, 921–926. [Google Scholar] [CrossRef] [PubMed]
- Wang, K.C.; Zhuang, Q.Y.; Qiu, Y.; Wang, T.; Chen, J.M. Genome Sequence Characterization of Pigeon Circoviruses in China. Virus Res. 2017, 233, 1–7. [Google Scholar] [CrossRef] [PubMed]
- Freick, M.; Müller, H.; Raue, R. Rapid Detection of Pigeon Herpesvirus, Fowl Adenovirus and Pigeon Circovirus in Young Racing Pigeons by Multiplex PCR. J. Virol. Methods 2008, 148, 226–231. [Google Scholar] [CrossRef]
- Woods, L.W.; Latimer, K.S. Circovirus Infection of Nonpsittacine Birds. J. Avian Med. Surg. 2000, 14, 154–163. [Google Scholar] [CrossRef]
- Huang, Y.L.; Castaneda, O.A.; Thongchan, D.; Khatri-Chhetri, R.; Tsai, S.S.; Wu, H.Y. Pigeon Circovirus Infection in Disqualified Racing Pigeons from Taiwan. Avian Pathol. 2017, 46, 359–366. [Google Scholar] [CrossRef]
- Raue, R.; Schmidt, V.; Freick, M.; Reinhardt, B.; Johne, R.; Kamphausen, L.; Kaleta, E.F.; Müller, H.; Krautwald-Junghanns, M.E. A Disease Complex Associated with Pigeon Circovirus Infection, Young Pigeon Disease Syndrome. Avian Pathol. 2005, 34, 418–425. [Google Scholar] [CrossRef]
- Bonne, N.; Shearer, P.; Sharp, M.; Clark, P.; Raidal, S. Assessment of Recombinant Beak and Feather Disease Virus Capsid Protein as a Vaccine for Psittacine Beak and Feather Disease. J. Gen. Virol. 2009, 90, 640–647. [Google Scholar] [CrossRef] [PubMed]
- Li, P.C.; Qiao, X.W.; Zheng, Q.S.; Hou, J.B. Immunogenicity and Immunoprotection of Porcine Circovirus Type 2 (PCV2) Cap Protein Displayed by Lactococcus Lactis. Vaccine 2016, 34, 696–702. [Google Scholar] [CrossRef] [PubMed]
- Stenzel, T.; Dziewulska, D.; Tykałowski, B.; Śmiałek, M.; Kowalczyk, J.; Koncicki, A. Immunogenicity of Pigeon Circovirus Recombinant Capsid Protein in Pigeons. Viruses 2018, 10, 596. [Google Scholar] [CrossRef] [PubMed]
- Duchatel, J.P.; Todd, D.; Smyth, J.; Costes, B.; Jauniaux, T.; Farnir, F.; Losson, B.; Vanderplasschen, A. Pigeon Circovirus: Baculovirus Expression of the Capsid Protein Gene, Specific Antibody and Viral Load Measured by Real Time Polymerase Chain Reaction. Isr. J. Vet. Med. 2011, 66, 26–31. [Google Scholar]
- Santos, H.M.; Chen, C.C.; Tsai, C.Y.; Hsish, Y.C.; Chung, F.C.; Tyan, Y.C.; Tayo, L.L.; Chuang, K.P. Influence of Pigeon Interferon Alpha (PiIFN-α) on Pigeon Circovirus (PiCV) Replication and Cytokine Expression in Columba Livia. Vet. Microbiol. 2020, 242, 108591. [Google Scholar] [CrossRef] [PubMed]
- Roy, P.; Dhillon, A.S.; Lauerman, L.; Shivaprasad, H.L. Detection of Pigeon Circovirus by Polymerase Chain Reaction. Avian Dis. 2003, 47, 218–222. [Google Scholar] [CrossRef]
- Smyth, J.A.; Weston, J.; Moffett, D.A.; Todd, D. Detection of Circovirus Infection in Pigeons by in Situ Hybridization Using Cloned DNA Probes. J. Vet. Diagnostic Investig. 2001, 13, 475–482. [Google Scholar] [CrossRef] [PubMed]
- Todd, D.; Duchatel, J.P.; Weston, J.H.; Ball, N.W.; Borghmans, B.J.; Moffett, D.A.; Smyth, J.A. Evaluation of Polymerase Chain Reaction and Dot Blot Hybridisation Tests in the Diagnosis of Pigeon Circovirus Infections. Vet. Microbiol. 2002, 89, 1–16. [Google Scholar] [CrossRef]
- Kushnir, N.; Streatfield, S.J.; Yusibov, V. Virus-like Particles as a Highly Efficient Vaccine Platform: Diversity of Targets and Production Systems and Advances in Clinical Development. Vaccine 2012, 31, 58–83. [Google Scholar] [CrossRef] [PubMed]
- Mohsen, M.O.; Zha, L.; Cabral-Miranda, G.; Bachmann, M.F. Major Findings and Recent Advances in Virus–like Particle (VLP)-Based Vaccines. Semin. Immunol. 2017, 34, 123–132. [Google Scholar] [CrossRef] [PubMed]
- Braun, M.; Jandus, C.; Maurer, P.; Hammann-Haenni, A.; Schwarz, K.; Bachmann, M.F.; Speiser, D.E.; Romero, P. Virus-like Particles Induce Robust Human T-Helper Cell Responses. Eur. J. Immunol. 2012, 42, 330–340. [Google Scholar] [CrossRef] [PubMed]
- Plummer, E.M.; Manchester, M. Viral Nanoparticles and Virus-like Particles: Platforms for Contemporary Vaccine Design. Wiley Interdiscip. Rev. Nanomed. Nanobiotechnol. 2011, 3, 174–196. [Google Scholar] [CrossRef] [PubMed]
- Crisci, E.; Bárcena, J.; Montoya, M. Virus-like Particles: The New Frontier of Vaccines for Animal Viral Infections. Vet. Immunol. Immunopathol. 2012, 148, 211–225. [Google Scholar] [CrossRef] [PubMed]
- Gai, W.; Zheng, W.; Zhao, Z.; Wong, G.; Sun, P.; Yan, L.; He, H.; Zheng, X. Assembly of Pigeon Circovirus-like Particles Using Baculovirus Expression System. Microb. Pathog. 2020, 139, 103905. [Google Scholar] [CrossRef] [PubMed]
- Fu, Y.; Li, J. A Novel Delivery Platform Based on Bacteriophage MS2 Virus-like Particles. Virus Res. 2016, 211, 9–16. [Google Scholar] [CrossRef]
- Franciosini, M.P.; Fringuelli, E.; Tarhuni, O.; Guelfi, G.; Todd, D.; Casagrande Proietti, P.; Falocci, N.; Asdrubali, G. Development of a Polymerase Chain Reaction-Based in Vivo Method in the Diagnosis of Subclinical Pigeon Circovirus Infection. Avian Dis. 2005, 49, 340–343. [Google Scholar] [CrossRef]
- Alvim, R.G.F.; Itabaiana, I.; Castilho, L.R. Zika Virus-like Particles (VLPs): Stable Cell Lines and Continuous Perfusion Processes as a New Potential Vaccine Manufacturing Platform. Vaccine 2019, 37, 6970–6977. [Google Scholar] [CrossRef]
- Blanchard, P.; Mahé, D.; Cariolet, R.; Keranflec’h, A.; Baudouard, M.A.; Cordioli, P.; Albina, E.; Jestin, A. Protection of Swine against Post-Weaning Multisystemic Wasting Syndrome (PMWS) by Porcine Circovirus Type 2 (PCV2) Proteins. Vaccine 2003, 21, 4565–4575. [Google Scholar] [CrossRef]
- Fort, M.; Sibila, M.; Pérez-Martín, E.; Nofrarías, M.; Mateu, E.; Segalés, J. One Dose of a Porcine Circovirus 2 (PCV2) Sub-Unit Vaccine Administered to 3-Week-Old Conventional Piglets Elicits Cell-Mediated Immunity and Significantly Reduces PCV2 Viremia in an Experimental Model. Vaccine 2009, 27, 4031–4037. [Google Scholar] [CrossRef]
- Yang, C.; Xu, Y.; Jia, R.; Li, P.; Zhang, L.; Wang, M.; Zhu, D.; Chen, S.; Liu, M.; Yin, Z.; et al. Prokaryotic Expression of a Codon-Optimized Capsid Gene from Duck Circovirus and Its Application to an Indirect ELISA. J. Virol. Methods 2017, 247, 1–5. [Google Scholar] [CrossRef]
- Zhu, S.; Zhang, C.; Wang, J.; Wei, L.; Quan, R.; Yang, J.; Yan, X.; Li, Z.; She, R.; Hu, F.; et al. Immunity Elicited by an Experimental Vaccine Based on Recombinant Flagellin-Porcine Circovirus Type 2 Cap Fusion Protein in Piglets. PLoS ONE 2016, 11, e0147432. [Google Scholar] [CrossRef] [PubMed]
- Urakami, A.; Sakurai, A.; Ishikawa, M.; Yap, M.L.; Flores-Garcia, Y.; Haseda, Y.; Aoshi, T.; Zavala, F.P.; Rossmann, M.G.; Kuno, S.; et al. Development of a Novel Virus-like Particle Vaccine Platform That Mimics the Immature Form of Alphavirus. Clin. Vaccine Immunol. 2017, 24. [Google Scholar] [CrossRef] [PubMed]
- Shirbaghaee, Z.; Bolhassani, A. Different Applications of Virus-like Particles in Biology and Medicine: Vaccination and Delivery Systems. Biopolymers 2016, 105, 113–132. [Google Scholar] [CrossRef] [PubMed]
- Hashiguchi, A.; Komatsu, S. Posttranslational Modifications and Plant–Environment Interaction, 1st ed.; Elsevier Inc.: Cambridge, MA, USA, 2017; Volume 586. [Google Scholar] [CrossRef]
- Liu, F.; Ge, S.; Li, L.; Wu, X.; Liu, Z.; Wang, Z. Virus-like Particles: Potential Veterinary Vaccine Immunogens. Res. Vet. Sci. 2012, 93, 553–559. [Google Scholar] [CrossRef] [PubMed]
- Wang, Y.; Wang, G.; Duan, W.T.; Sun, M.X.; Wang, M.H.; Wang, S.H.; Cai, X.H.; Tu, Y.B. Self-Assembly into Virus–like Particles of the Recombinant Capsid Protein of Porcine Circovirus Type 3 and Its Application on Antibodies Detection. AMB Express 2020, 10. [Google Scholar] [CrossRef]
- Lai, G.H.; Lin, Y.C.; Tsai, Y.L.; Lien, Y.Y.; Lin, M.K.; Chen, H.J.; Chang, W.T.; Tzen, J.T.C.; Lee, M.S. High Yield Production of Pigeon Circovirus Capsid Protein in the E. Coli by Evaluating the Key Parameters Needed for Protein Expression. BMC Vet. Res. 2014, 10, 1–11. [Google Scholar] [CrossRef]
- Heath, L.; Williamson, A.-L.; Rybicki, E.P. The Capsid Protein of Beak and Feather Disease Virus Binds to the Viral DNA and Is Responsible for Transporting the Replication-Associated Protein into the Nucleus. J. Virol. 2006, 80, 7219–7225. [Google Scholar] [CrossRef]
- Daum, I.; Finsterbusch, T.; Härtle, S.; Göbel, T.W.; Mankertz, A.; Korbel, R.; Grund, C. Cloning and Expression of a Truncated Pigeon Circovirus Capsid Protein Suitable for Antibody Detection in Infected Pigeons. Avian Pathol. 2009, 38, 135–141. [Google Scholar] [CrossRef]
- Trible, B.R.; Kerrigan, M.; Crossland, N.; Potter, M.; Faaberg, K.; Hesse, R.; Rowland, R.R.R. Antibody Recognition of Porcine Circovirus Type 2 Capsid Protein Epitopes after Vaccination, Infection, and Disease. Clin. Vaccine Immunol. 2011, 18, 749–757. [Google Scholar] [CrossRef]
- Zucchelli, E.; Pema, M.; Stornaiuolo, A.; Piovan, C.; Scavullo, C.; Giuliani, E.; Bossi, S.; Corna, S.; Asperti, C.; Bordignon, C.; et al. Codon Optimization Leads to Functional Impairment of RD114-TR Envelope Glycoprotein. Mol. Ther. Methods Clin. Dev. 2017, 4, 102–114. [Google Scholar] [CrossRef]
- Mutthi, P.; Theerawatanasirikul, S.; Roytrakul, S.; Paemanee, A.; Lekcharoensuk, C.; Hansoongnern, P.; Petcharat, N.; Thangthamniyom, N.; Lekcharoensuk, P. Interferon Gamma Induces Cellular Protein Alteration and Increases Replication of Porcine Circovirus Type 2 in PK-15 Cells. Arch. Virol. 2018, 163, 2947–2957. [Google Scholar] [CrossRef] [PubMed]
- Liu, X.; Liu, Y.; Zhang, Y.; Zhang, F.; Du, E. Incorporation of a Truncated Form of Flagellin (TFlg) into Porcine Circovirus Type 2 Virus-like Particles Enhances Immune Responses in Mice. BMC Vet. Res. 2020, 16, 1–10. [Google Scholar] [CrossRef] [PubMed]
- Zhu, Y.; Yao, S.; Chen, L. Cell Surface Signaling Molecules in the Control of Immune Responses: A Tide Model. Immunity 2011, 34, 466–478. [Google Scholar] [CrossRef] [PubMed]
- Yang, R.; Murillo, F.M.; Cui, H.; Blosser, R.; Uematsu, S.; Takeda, K.; Akira, S.; Viscidi, R.P.; Roden, R.B.S. Papillomavirus-Like Particles Stimulate Murine Bone Marrow-Derived Dendritic Cells To Produce Alpha Interferon and Th1 Immune Responses via MyD88. J. Virol. 2004, 78, 11152–11160. [Google Scholar] [CrossRef]
- Gilbert, R.W.D.; Vickaryous, M.K.; Viloria-Petit, A.M. Signalling by Transforming Growth Factor Beta Isoforms in Wound Healing and Tissue Regeneration. J. Dev. Biol. 2016, 4, 21. [Google Scholar] [CrossRef] [PubMed]
- Borghetti, P.; Morganti, M.; Saleri, R.; Ferrari, L.; De Angelis, E.; Cavalli, V.; Cacchioli, A.; Corradi, A.; Martelli, P. Innate pro-inflammatory and adaptive immune cytokines in PBMC of vaccinated and unvaccinated pigs naturally exposed to porcine circovirus type 2 (PCV2) infection vary with the occurrence of the disease and the viral burden. Vet. Microbiol. 2013, 163, 42–53. [Google Scholar] [CrossRef] [PubMed]






| Primer Name | Sequence | Size | Sequence ID | Template Position |
|---|---|---|---|---|
| PiCV | Forward: 5′ CTGACAGTGGGTCTCAACGC 3′ | 205 bp | GQ844278.1 | 217–236 |
| Reverse: 5′ CGTCAAAGTCCATGAGGGGG 3′ | 421–402 | |||
| β-actin | Forward: 5′ TCCTTCTTGGGTATGGAATCTGT 3′ | 203 bp | XM_005504502.2 | 806–828 |
| Reverse: 5′ TTTCATTGTGCTGGGTGCCA 3′ | 991–972 | |||
| IFN-γ | Forward: 5′ ATCCTGAGCCAGATTGTTTCCA 3′ | 144 bp | NM_001282845.1 | 211–232 |
| Reverse: 5′ GATCCTTGAGGTCTTGCAGC 3′ | 358–339 | |||
| IL-8 | Forward: 5′ GCCAGTGCATAGCCACTCAT 3′ | 172 bp | NM_001282837.1 | 98–117 |
| Reverse: 5′ GCATTTACAATCCGCTGGACC 3′ | 269–249 | |||
| TGF-β2 | Forward: 5′ TCACTTCCACTGTGCTCACC 3′ | 192 bp | EU737359.1 | 290–309 |
| Reverse: 5′ AGGTAAGTCCGAGCCCCATA 3′ | 481–462 |
Publisher’s Note: MDPI stays neutral with regard to jurisdictional claims in published maps and institutional affiliations. |
© 2021 by the authors. Licensee MDPI, Basel, Switzerland. This article is an open access article distributed under the terms and conditions of the Creative Commons Attribution (CC BY) license (http://creativecommons.org/licenses/by/4.0/).
Share and Cite
Huang, H.-Y.; Silva, B.B.I.; Tsai, S.-P.; Tsai, C.-Y.; Tyan, Y.-C.; Lin, T.-C.; Flores, R.J.D.; Chuang, K.-P. Immunogenicity and Protective Activity of Pigeon Circovirus Recombinant Capsid Protein Virus-Like Particles (PiCV rCap-VLPs) in Pigeons (Columba livia) Experimentally Infected with PiCV. Vaccines 2021, 9, 98. https://doi.org/10.3390/vaccines9020098
Huang H-Y, Silva BBI, Tsai S-P, Tsai C-Y, Tyan Y-C, Lin T-C, Flores RJD, Chuang K-P. Immunogenicity and Protective Activity of Pigeon Circovirus Recombinant Capsid Protein Virus-Like Particles (PiCV rCap-VLPs) in Pigeons (Columba livia) Experimentally Infected with PiCV. Vaccines. 2021; 9(2):98. https://doi.org/10.3390/vaccines9020098
Chicago/Turabian StyleHuang, Huai-Ying, Benji Brayan I. Silva, Shen-Pang Tsai, Ching-Yi Tsai, Yu-Chang Tyan, Tzu-Che Lin, Ronilo Jose D. Flores, and Kuo-Pin Chuang. 2021. "Immunogenicity and Protective Activity of Pigeon Circovirus Recombinant Capsid Protein Virus-Like Particles (PiCV rCap-VLPs) in Pigeons (Columba livia) Experimentally Infected with PiCV" Vaccines 9, no. 2: 98. https://doi.org/10.3390/vaccines9020098
APA StyleHuang, H.-Y., Silva, B. B. I., Tsai, S.-P., Tsai, C.-Y., Tyan, Y.-C., Lin, T.-C., Flores, R. J. D., & Chuang, K.-P. (2021). Immunogenicity and Protective Activity of Pigeon Circovirus Recombinant Capsid Protein Virus-Like Particles (PiCV rCap-VLPs) in Pigeons (Columba livia) Experimentally Infected with PiCV. Vaccines, 9(2), 98. https://doi.org/10.3390/vaccines9020098

