Investigation on a Freeze-Drying Process for Long-Term Stability of mRNA-LNPs
Abstract
1. Introduction
2. Materials and Methods
2.1. Preparation of mRNA-LNPs
2.2. Freeze-Drying
2.3. Stability Study
2.4. mRNA-LNPs Characterization
2.4.1. Encapsulation Efficiency (EE%)
2.4.2. Particle Size and Polydispersity Index (PDI)
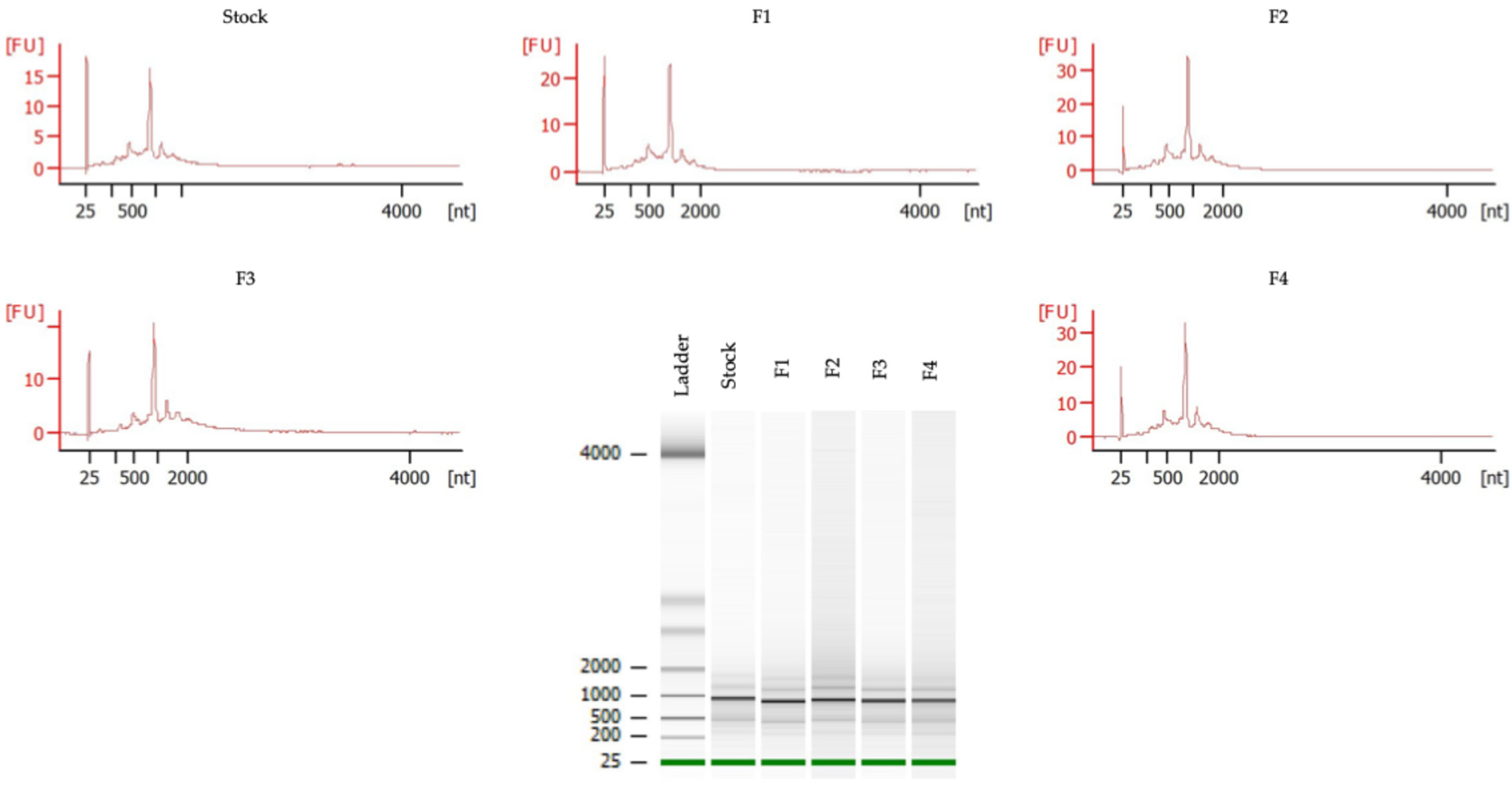
2.4.3. Capillary Electrophoresis for mRNA Integrity
2.5. In Vitro Assay for mRNA-LNPs
2.6. Statistical Analysis
3. Results
3.1. Preliminary Screening of Excipients During the Freeze-Drying of mRNA-LNPs
3.2. Long-Term Stability Study
4. Discussion
4.1. Impact of Manual Mixing on Initial mRNA-LNPs Physicochemical Properties
4.2. Freeze-Drying–Induced Stresses and Their Effects on mRNA-LNPs Stability
4.3. Role of Excipients in Preserving Particle Size and Polydispersity During Lyophilization
4.4. Structural Rearrangements of Lipid Nanoparticles During Freeze-Drying
4.5. Mechanistic Basis of Encapsulation Efficiency Loss in Excipient-Free Formulations
4.6. Sugars Are Better Cryoprotectants for mRNA-LNPs than Sugar Alcohols and Proteins (Gelatin)
4.7. Buffer-Dependent Modulation of pH, Ionic Strength, and LNP Integrity
4.8. Glass Transition and Vitrification Effects in Stabilizing mRNA-LNPs
4.9. Long-Term Stability of Freeze–Dried mRNA-LNPs at Subzero and Refrigerated Temperatures
4.10. Limitations of Ambient Temperature Storage (20 °C)
5. Conclusions
Supplementary Materials
Author Contributions
Funding
Data Availability Statement
Acknowledgments
Conflicts of Interest
References
- Li, M.; Jia, L.; Xie, Y.; Ma, W.; Yan, Z.; Liu, F.; Deng, J.; Zhu, A.; Siwei, X.; Su, W.; et al. Lyophilization process optimization and molecular dynamics simulation of mRNA-LNPs for SARS-CoV-2 vaccine. npj Vaccines 2023, 8, 153. [Google Scholar] [CrossRef]
- Youssef, M.; Hitti, C.; Fulber, J.P.C.; Khan, M.F.H.; Perumal, A.S.; Kamen, A.A. Preliminary Evaluation of Formulations for Stability of mRNA-LNPs Through Freeze-Thaw Stresses and Long-Term Storage. Preprint 2025. [Google Scholar] [CrossRef]
- Khan, M.F.H.; Baudin, F.; Perumal, A.S.; Kamen, A.A. Freeze-Drying of mRNA-LNPs Vaccines: A Review. Vaccines 2025, 13, 853. [Google Scholar] [CrossRef] [PubMed]
- Khan, M.F.H.; Youssef, M.; Nesdoly, S.; Kamen, A.A. Development of Robust Freeze-Drying Process for Long-Term Stability of rVSV-SARS-CoV-2 Vaccine. Viruses 2024, 16, 942. [Google Scholar] [CrossRef] [PubMed]
- Zhang, G.; Tang, T.; Chen, Y.; Huang, X.; Liang, T. mRNA vaccines in disease prevention and treatment. Signal Transduct. Target. Ther. 2023, 8, 365. [Google Scholar] [CrossRef]
- Pardi, N.; Hogan, M.J.; Porter, F.W.; Weissman, D. mRNA vaccines—A new era in vaccinology. Nat. Rev. Drug Discov. 2018, 17, 261–279. [Google Scholar] [CrossRef]
- Hashiba, K.; Taguchi, M.; Sakamoto, S.; Otsu, A.; Maeda, Y.; Ebe, H.; Okazaki, A.; Harashima, H.; Sato, Y. Overcoming thermostability challenges in mRNA–lipid nanoparticle systems with piperidine-based ionizable lipids. Commun. Biol. 2024, 7, 556. [Google Scholar] [CrossRef]
- Uddin, M.N.; Roni, M.A. Challenges of Storage and Stability of mRNA-Based COVID-19 Vaccines. Vaccines 2021, 9, 1033. [Google Scholar] [CrossRef]
- Decker, C.J.; Parker, R. Mechanisms of mRNA degradation in eukaryotes. Trends Biochem. Sci. 1994, 19, 336–340. [Google Scholar] [CrossRef]
- Schoenmaker, L.; Witzigmann, D.; Kulkarni, J.A.; Verbeke, R.; Kersten, G.; Jiskoot, W.; Crommelin, D.J. mRNA-lipid nanoparticle COVID-19 vaccines: Structure and stability. Int. J. Pharm. 2021, 601, 120586. [Google Scholar] [CrossRef]
- Young, R.E.; Hofbauer, S.I.; Riley, R.S. Overcoming the challenge of long-term storage of mRNA-lipid nanoparticle vaccines. Mol. Ther. 2022, 30, 1792–1793. [Google Scholar] [CrossRef] [PubMed]
- Sung, J.; Alghoul, Z.; Long, D.; Yang, C.; Merlin, D. Oral delivery of IL-22 mRNA-loaded lipid nanoparticles targeting the injured intestinal mucosa: A novel therapeutic solution to treat ulcerative colitis. Biomaterials 2022, 288, 121707. [Google Scholar] [CrossRef] [PubMed]
- Zhang, H.; Barz, M. Investigating the stability of RNA-lipid nanoparticles in biological fluids: Unveiling its crucial role for understanding LNP performance. J. Control. Release 2025, 381, 113559. [Google Scholar] [CrossRef] [PubMed]
- Blenke, E.O.; Örnskov, E.; Schöneich, C.; Nilsson, G.A.; Volkin, D.B.; Mastrobattista, E.; Almarsson, Ö.; Crommelin, D.J. The Storage and In-Use Stability of mRNA Vaccines and Therapeutics: Not A Cold Case. J. Pharm. Sci. 2023, 112, 386–403. [Google Scholar] [CrossRef]
- Cheng, F.; Wang, Y.; Bai, Y.; Liang, Z.; Mao, Q.; Liu, D.; Wu, X.; Xu, M. Research Advances on the Stability of mRNA Vaccines. Viruses 2023, 15, 668. [Google Scholar] [CrossRef]
- Alejo, T.; Toro-Córdova, A.; Fernández, L.; Rivero, A.; Stoian, A.M.; Pérez, L.; Navarro, V.; Martínez-Oliván, J.; de Miguel, D. Comprehensive Optimization of a Freeze-Drying Process Achieving Enhanced Long-Term Stability and In Vivo Performance of Lyophilized mRNA-LNPs. Int. J. Mol. Sci. 2024, 25, 10603. [Google Scholar] [CrossRef]
- Fan, Y.; Rigas, D.; Kim, L.J.; Chang, F.-P.; Zang, N.; McKee, K.; Kemball, C.C.; Yu, Z.; Winkler, P.; Su, W.-C.; et al. Physicochemical and structural insights into lyophilized mRNA-LNP from lyoprotectant and buffer screenings. J. Control. Release 2024, 373, 727–737. [Google Scholar] [CrossRef]
- Wang, T.; Yu, T.; Li, W.; Liu, Q.; Sung, T.-C.; Higuchi, A. Design and lyophilization of mRNA-encapsulating lipid nanoparticles. Int. J. Pharm. 2024, 662, 124514. [Google Scholar] [CrossRef]
- Meulewaeter, S.; Nuytten, G.; Cheng, M.H.; De Smedt, S.C.; Cullis, P.R.; De Beer, T.; Lentacker, I.; Verbeke, R. Continuous freeze-drying of messenger RNA lipid nanoparticles enables storage at higher temperatures. J. Control. Release 2023, 357, 149–160. [Google Scholar] [CrossRef]
- Ai, L.; Li, Y.; Zhou, L.; Yao, W.; Zhang, H.; Hu, Z.; Han, J.; Wang, W.; Wu, J.; Xu, P.; et al. Lyophilized mRNA-lipid nanoparticle vaccines with long-term stability and high antigenicity against SARS-CoV-2. Cell Discov. 2023, 9, 9. [Google Scholar] [CrossRef]
- Ruppl, A.; Kiesewetter, D.; Köll-Weber, M.; Lemazurier, T.; Süss, R.; Allmendinger, A. Formulation screening of lyophilized mRNA-lipid nanoparticles. Int. J. Pharm. 2025, 671, 125272. [Google Scholar] [CrossRef]
- Jiao, X.; He, X.; Qin, S.; Yin, X.; Song, T.; Duan, X.; Shi, H.; Jiang, S.; Zhang, Y.; Song, X. Insights into the formulation of lipid nanoparticles for the optimization of mRNA therapeutics. Wiley Interdiscip. Rev. Nanomed. Nanobiotechnol. 2024, 16, e1992. [Google Scholar] [CrossRef]
- Dash, S.; Farnós, O.; Yang, Z.; Perumal, A.S.; Fulber, J.P.C.; Venereo-Sánchez, A.; Leclerc, D.; Kamen, A.A. A rapid procedure to generate stably transfected HEK293 suspension cells for recombinant protein manufacturing: Yield improvements, bioreactor production and downstream processing. Protein Expr. Purif. 2023, 210, 106295. [Google Scholar] [CrossRef]
- Collins, T.J. ImageJ for microscopy. Biotechniques 2007, 43, S25–S30. [Google Scholar] [CrossRef] [PubMed]
- Petersen, D.M.S.; Chaudhary, N.; Arral, M.L.; Weiss, R.M.; Whitehead, K.A. The mixing method used to formulate lipid nanoparticles affects mRNA delivery efficacy and organ tropism. Eur. J. Pharm. Biopharm. 2023, 192, 126–135. [Google Scholar] [CrossRef] [PubMed]
- Heiser, B.J.; Lewis, M.M.; Zerankeshi, M.M.; Netemeyer, E.K.; Hernandez, A.M.; Marras, A.E.; Ghosh, D. Systematic screening of excipients to stabilize aerosolized lipid nanoparticles for enhanced mRNA delivery. RSC Pharm. 2025, 2, 1139–1154. [Google Scholar] [CrossRef] [PubMed]
- Henderson, M.I.; Eygeris, Y.; Jozic, A.; Herrera, M.; Sahay, G. Leveraging Biological Buffers for Efficient Messenger RNA Delivery via Lipid Nanoparticles. Mol. Pharm. 2022, 19, 4275–4285. [Google Scholar] [CrossRef]
- Simonsen, J.B. A perspective on bleb and empty LNP structures. J. Control. Release 2024, 373, 952–961. [Google Scholar] [CrossRef]
- Muramatsu, H.; Lam, K.; Bajusz, C.; Laczkó, D.; Karikó, K.; Schreiner, P.; Martin, A.; Lutwyche, P.; Heyes, J.; Pardi, N. Lyophilization provides long-term stability for a lipid nanoparticle-formulated, nucleoside-modified mRNA vaccine. Mol. Ther. 2022, 30, 1941–1951. [Google Scholar] [CrossRef]
- Khan, M.F.H.; Wagner, C.E.; Kamen, A.A. Development of Long-Term Stability of Enveloped rVSV Viral Vector Expressing SARS-CoV-2 Antigen Using a DOE-Guided Approach. Vaccines 2024, 12, 1240. [Google Scholar] [CrossRef]
- Dey, S.K.; Islam, R.; Islam, T.; Islam, S.; Hasan, N. Molecular Epidemiology of Influenza in Asia. East. J. Med. 2014, 19, 119–125. [Google Scholar]
- Ahmed, F.; Alim, A.; Alam, F.; Islam, T.; Talukder, A.A. Bio-Geo-Chemical Characterization of Bangladeshi Textile Effluents. Adv. Microbiol. 2015, 5, 317–324. [Google Scholar] [CrossRef]
- Mahmud, A.K.M.F.; Rahman, K.M.Z.; Dey, S.K.; Islam, T.; Talukder, A.A. Genome Annotation and Comparative Genomics of ORF Virus. Adv. Microbiol. 2014, 4, 1117–1131. [Google Scholar] [CrossRef]
- Islam, T.; Diba, F.; Miah, R.; Siddiqa, A.; Azmuda, N.; Nahar, S.; Adnan, N.; Dey, S.; Talukder, A. Optimization of Acetic Acid Production Rate by Thermotolerant acetobacter spp. Adv. Microbiol. 2017, 7, 749–759. [Google Scholar] [CrossRef]
- Liu, X.H.; Song, H.P.; Tao, L.L.; Zhai, Z.; Huang, J.X.; Cheng, Y.X. Trehalose-loaded LNPs enhance mRNA stability and bridge in vitro in vivo efficacy gap. npj Vaccines 2025, 10, 201. [Google Scholar] [CrossRef]
- Torge, A.; Grützmacher, P.; Mücklich, F.; Schneider, M. The influence of mannitol on morphology and disintegration of spray-dried nano-embedded microparticles. Eur. J. Pharm. Sci. 2017, 104, 171–179. [Google Scholar] [CrossRef]
- Ogawa, K.; Aikawa, O.; Tagami, T.; Ito, T.; Tahara, K.; Kawakami, S.; Ozeki, T. Stable and inhalable powder formulation of mRNA-LNPs using pH-modified spray-freeze drying. Int. J. Pharm. 2024, 665, 124632. [Google Scholar] [CrossRef]
- Identifying Critical Quality Attributes for mRNA/LNP. Available online: https://www.biophorum.com/news/an-industry-standard-for-mrna-lnp-analytics/ (accessed on 26 May 2025).
- Wayment-Steele, H.K.; Kim, D.S.; Choe, C.A.; Nicol, J.J.; Wellington-Oguri, R.; Watkins, A.M.; Sperberg, R.A.P.; Huang, P.-S.; Participants, E.; Das, R. Theoretical basis for stabilizing messenger RNA through secondary structure design. Nucleic Acids Res. 2021, 49, 10604–10617. [Google Scholar] [CrossRef]
- Shirane, D.; Tanaka, H.; Sakurai, Y.; Taneichi, S.; Nakai, Y.; Tange, K.; Ishii, I.; Akita, H. Development of an Alcohol Dilution–Lyophilization Method for the Preparation of mRNA-LNPs with Improved Storage Stability. Pharmaceutics 2023, 15, 1819. [Google Scholar] [CrossRef]
- Kim, B.; Hosn, R.R.; Remba, T.; Yun, D.; Li, N.; Abraham, W.; Melo, M.B.; Cortes, M.; Li, B.; Zhang, Y.; et al. Optimization of storage conditions for lipid nanoparticle-formulated self-replicating RNA vaccines. J. Control. Release 2023, 353, 241–253. [Google Scholar] [CrossRef]
- Kim, J.; Eygeris, Y.; Gupta, M.; Sahay, G. Self-assembled mRNA vaccines. Adv. Drug Deliv. Rev. 2021, 170, 83–112. [Google Scholar] [CrossRef]
- Zeng, C.; Zhang, C.; Walker, P.G.; Dong, Y. Formulation and Delivery Technologies for mRNA Vaccines. Curr. Top. Microbiol. Immunol. 2022, 440, 71–110. [Google Scholar] [CrossRef]
- Zhao, P.; Hou, X.; Yan, J.; Du, S.; Xue, Y.; Li, W.; Xiang, G.; Dong, Y. Long-term storage of lipid-like nanoparticles for mRNA delivery. Bioact. Mater. 2020, 5, 358–363. [Google Scholar] [CrossRef]










| Buffer | Concentration | Excipients | Concentration | Formulations |
|---|---|---|---|---|
| Tris | 5 mM | Sucrose | 10% | 1 |
| Sucrose | 20% | 2 | ||
| Trehalose | 10% | 3 | ||
| Trehalose | 20% | 4 | ||
| Mannitol | 10% | 5 | ||
| Mannitol | 20% | 6 | ||
| Gelatin | 0.5% | 7 | ||
| Gelatin | 1% | 8 | ||
| Histidine | 10 mM | Sucrose | 10% | 9 |
| Sucrose | 20% | 10 | ||
| Trehalose | 10% | 11 | ||
| Trehalose | 20% | 12 | ||
| Mannitol | 10% | 13 | ||
| Mannitol | 20% | 14 | ||
| Gelatin | 0.5% | 15 | ||
| Gelatin | 1% | 16 | ||
| PBS | 1 X | Sucrose | 10% | 17 |
| Sucrose | 20% | 18 | ||
| Trehalose | 10% | 19 | ||
| Trehalose | 20% | 20 | ||
| Mannitol | 10% | 21 | ||
| Mannitol | 20% | 22 | ||
| Gelatin | 0.5% | 23 | ||
| Gelatin | 1% | 24 |
| F1 | F2 | F3 | F4 |
|---|---|---|---|
| Sucrose 20% | Sucrose 20% | Trehalose 20% | Trehalose 20% |
| Tris 5 mM | Histidine 10 mM | Tris 5 mM | Histidine 10 mM |
| Freezing | Primary Drying | Secondary Drying | |
|---|---|---|---|
| Temperature | −50 °C | −30 °C | 20 °C |
| Pressure | - | 60 mTorr | 30 mTorr |
Disclaimer/Publisher’s Note: The statements, opinions and data contained in all publications are solely those of the individual author(s) and contributor(s) and not of MDPI and/or the editor(s). MDPI and/or the editor(s) disclaim responsibility for any injury to people or property resulting from any ideas, methods, instructions or products referred to in the content. |
© 2026 by the authors. Licensee MDPI, Basel, Switzerland. This article is an open access article distributed under the terms and conditions of the Creative Commons Attribution (CC BY) license.
Share and Cite
Khan, M.F.H.; Sudalaiyadum Perumal, A.; Kamen, A.A. Investigation on a Freeze-Drying Process for Long-Term Stability of mRNA-LNPs. Vaccines 2026, 14, 242. https://doi.org/10.3390/vaccines14030242
Khan MFH, Sudalaiyadum Perumal A, Kamen AA. Investigation on a Freeze-Drying Process for Long-Term Stability of mRNA-LNPs. Vaccines. 2026; 14(3):242. https://doi.org/10.3390/vaccines14030242
Chicago/Turabian StyleKhan, MD Faizul Hussain, Ayyappasamy Sudalaiyadum Perumal, and Amine A. Kamen. 2026. "Investigation on a Freeze-Drying Process for Long-Term Stability of mRNA-LNPs" Vaccines 14, no. 3: 242. https://doi.org/10.3390/vaccines14030242
APA StyleKhan, M. F. H., Sudalaiyadum Perumal, A., & Kamen, A. A. (2026). Investigation on a Freeze-Drying Process for Long-Term Stability of mRNA-LNPs. Vaccines, 14(3), 242. https://doi.org/10.3390/vaccines14030242

