The Role of Dendritic Cells in Adaptive Immune Response Induced by OVA/PDDA Nanoparticles
Abstract
1. Introduction
2. Materials and Methods
2.1. Antigens and Adjuvants
2.2. Experimental Groups
2.3. Endotoxin Removal in OVA and Protein Concentration Experiment
2.4. Preparation of PDDA/OVA Dispersions
2.5. Confirmation of the Mean Hydrodynamic Diameter of NPs by Dynamic Light Scanning (DLS) and Zeta Potential
2.6. Ultracentrifugation of OVA/PDDA-NPs
2.7. Immunization Protocol
2.8. Analysis of Plasma Cell and Memory B Cell Populations in Splenocyte Suspensions from Non-Immunized or Immunized Mice with OVA/Alum and OVA/PDDA-NPs
2.9. Analysis of the Expression of MHC Class II and Costimulatory Molecules in DCs from Cell Suspensions Obtained from Non-Immunized Mice or Mice Immunized with OVA/Alum or OVA/PDDA
2.10. Differentiation of DCs from Bone Marrow (iBM-DCs) of BALB/c Mice
2.11. In Vitro Experiment of iBM-DCs Stimulated with OVA, OVA/LPS, or OVA/PDDA-NPs
2.12. Evaluation of TNF-α, IL-6, IL-12, and IL-10 Production by ELISA
2.13. Flow Cytometry Analysis of Binding and Uptake of OVA/PDDA-NPs by iBM-DCs
2.14. Antigen-Specific CD4T+ Lymphocyte Proliferation Assay
2.15. Statistical Analysis
3. Results
3.1. OVA/PDDA Conjugation Produced a Colloidal Dispersion
3.2. OVA/PDDA Modulates OVA-Specific Adaptive Immune Response in Immunized Mice
3.3. OVA/PDDA-NPs Immunization Increases the Number of CD11c+ Cells Expressing Molecules Involved in Antigen Presentation in Draining Lymphoid Tissue of Mice
3.4. OVA/PDDA-NPs Did Not Exert Cytotoxicity on iBM-DCs in Culture
3.5. Binding and Uptake of OVA/PDDA-NPs by BM-DCs In Vitro
3.6. OVA/PDDA-NPs Induced BM-DCs Maturation In Vitro
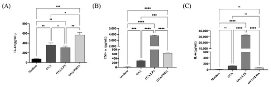
3.7. OVA/PDDA-NPs Induced Production of Pro-Inflammatory Cytokines by BM-DCs
3.8. High OVA-Specific CD4+T Cell Proliferation Induced by BM-DCs Incubated with OVA/PDDA-NPs
4. Discussion
5. Conclusions
Supplementary Materials
Author Contributions
Funding
Institutional Review Board Statement
Informed Consent Statement
Data Availability Statement
Acknowledgments
Conflicts of Interest
References
- Canouï, E.; Launay, O. History and principles of vaccination. Rev. Des. Mal. Respir. 2019, 36, 74–81. [Google Scholar] [CrossRef]
- Pollard, A.J.; Bijker, E.M. A guide to vaccinology: From basic principles to new developments. Nat. Rev. Immunol. 2020, 21, 1–18. [Google Scholar] [CrossRef]
- Awate, S.; Babiuk, L.A.; Mutwiri, G. Mechanisms of Action of Adjuvants. Front. Immunol. 2013, 4, 114. [Google Scholar] [CrossRef] [PubMed]
- Pulendran, B.; Arunachalam, P.S.; O’hagan, D.T. Emerging concepts in the science of vaccine adjuvants. Nat. Rev. Drug Discov. 2021, 20, 454–475. [Google Scholar] [CrossRef]
- Kondrat, C.; Hunter, C.A. Pathogen interactions with endothelial cells and the induction of innate and adaptive immunity. Eur. J. Immunol. 2018, 48, 1607–1620. [Google Scholar] [CrossRef]
- Bevers, S.; Kooijmans, S.A.A.; Van de Velde, E.; Evers, M.J.W.; Seghers, S.; Gitz-Francois, J.J.J.M.; van Kronenburg, N.C.H.; Fens, M.H.A.M.; Mastrobattista, E.; Hassler, L.; et al. mRNA-LNP vaccines tuned for systemic immunization induce strong antitumor immunity by engaging splenic immune cells. Mol. Ther. 2022, 30, 3078–3094. [Google Scholar] [CrossRef] [PubMed]
- Creighton, R.; Schuch, V.; Urbanski, A.H.; Giddaluru, J.; Costa-Martins, A.G.; Nakaya, H.I. Network vaccinology. Semin. Immunol. 2020, 50, 101420. [Google Scholar] [CrossRef]
- Zhao, T.; Cai, Y.; Jiang, Y.; He, X.; Wei, Y.; Yu, Y.; Tian, X. Vaccine adjuvants: Mechanisms and platforms. Signal Transduct. Target. Ther. 2023, 8, 283. [Google Scholar] [CrossRef]
- Guimarães, L.E.; Baker, B.; Perricone, C.; Shoenfeld, Y. Vaccines, adjuvants and autoimmunity. Pharmacol. Res. 2015, 100, 190–209. [Google Scholar] [CrossRef] [PubMed]
- Pulendran, B.; Ahmed, R. Immunological mechanisms of vaccination. Nat. Immunol. 2011, 12, 509–517. [Google Scholar] [CrossRef]
- Wang, S.; Suo, X. Still naïve or primed: Anticoccidial vaccines call for memory. Exp. Parasitol. 2020, 216, 107945. [Google Scholar] [CrossRef] [PubMed]
- Han, H.J.; Nwagwu, C.; Anyim, O.; Ekweremadu, C.; Kim, S. COVID-19 and cancer: From basic mechanisms to vaccine development using nanotechnology. Int. Immunopharmacol. 2021, 90, 107247. [Google Scholar] [CrossRef]
- Yuen, R.; Kuniholm, J.; Lisk, C.; Wetzler, L.M. Neisserial PorB immune enhancing activity and use as a vaccine adjuvant. Hum. Vaccin. Immunother. 2019, 15, 2778–2781. [Google Scholar] [CrossRef] [PubMed]
- Hafner, A.M.; Corthésy, B.; Merkle, H.P. Particulate formulations for the delivery of poly(I:C) as vaccine adjuvant. Adv. Drug Deliv. Rev. 2013, 65, 1386–1399. [Google Scholar] [CrossRef] [PubMed]
- Lee, H.-S.; Jeong, G.-S. Chrysophanol Mitigates T Cell Activation by Regulating the Expression of CD40 Ligand in Activated T Cells. Int. J. Mol. Sci. 2020, 21, 6122. [Google Scholar] [CrossRef]
- Nel, A.E. T-cell activation through the antigen receptor. Part 1: Signaling components, signaling pathways, and signal integration at the T-cell antigen receptor synapse. J. Allergy Clin. Immunol. 2002, 109, 758–770. [Google Scholar]
- Burkhardt, J.K.; Carrizosa, E.; Shaffer, M.H. The actin cytoskeleton in T cell activation. Annu. Rev. Immunol. 2008, 26, 233–259. [Google Scholar] [CrossRef]
- Del Giudice, G.; Rappuoli, R.; Didierlaurent, A.M. Correlates of adjuvanticity: A review on adjuvants in licensed vaccines. Semin. Immunol. 2018, 39, 14–21. [Google Scholar] [CrossRef] [PubMed]
- Hamdy, S.; Haddadi, A.; Hung, R.W.; Lavasanifar, A. Targeting dendritic cells with nano-particulate PLGA cancer vaccine formulations. Adv. Drug Deliv. Rev. 2011, 63, 943–955. [Google Scholar] [CrossRef]
- McCullough, K.C.; Bassi, I.; Démoulins, T.; Thomann-Harwood, L.J.; Ruggli, N. Functional RNA delivery targeted to dendritic cells by synthetic nanoparticles. Ther. Deliv. 2012, 3, 1077–1099. [Google Scholar] [CrossRef]
- Pérez-Betancourt, Y.; Araujo, P.M.; Távora, B.D.C.L.F.; Pereira, D.R.; Faquim-Mauro, E.L.; Carmona-Ribeiro, A.M. Cationic and Biocompatible Polymer/Lipid Nanoparticles as Immunoadjuvants. Pharmaceutics 2021, 13, 1859. [Google Scholar] [CrossRef] [PubMed]
- Carroll, E.C.; Jin, L.; Mori, A.; Muñoz-Wolf, N.; Oleszycka, E.; Moran, H.B.T.; Mansouri, S.; McEntee, C.P.; Lambe, E.; Agger, E.M.; et al. The Vaccine Adjuvant Chitosan Promotes Cellular Immunity via DNA Sensor cGAS-STING-Dependent Induction of Type I Interferons. Immunity 2016, 44, 597–608. [Google Scholar] [CrossRef]
- Shen, C.; Li, J.; Zhang, Y.; Li, Y.; Shen, G.; Zhu, J.; Tao, J. Polyethylenimine-based micro/nanoparticles as vaccine adjuvants. Int. J. Nanomed. 2017, 12, 5443–5460, Erratum in Int. J. Nanomed. 2017, 12, 7239. [Google Scholar] [CrossRef] [PubMed]
- Pérez-Betancourt, Y.; Távora, B.C.L.F.; Colombini, M.; Faquim-Mauro, E.L.; Carmona-Ribeiro, A.M. Simple Nanoparticles from the Assembly of Cationic Polymer and Antigen as Immunoadjuvants. Vaccines 2020, 8, 2020. [Google Scholar] [CrossRef]
- Favoretto, B.C.; Casabuono, A.A.C.; Portes-Junior, J.A.; Jacysyn, J.F.; Couto, A.S.; Faquim-Mauro, E.L. High molecular weight components containing N-linked oligosaccharides of Ascaris suum extract inhibit the dendritic cells activation through DC-SIGN and, M.R. Mol. Immunol. 2017, 87, 33–46. [Google Scholar] [CrossRef] [PubMed]
- Wang, M.; Huang, H.; Sun, Y.; Wang, M.; Yang, Z.; Shi, Y.; Liu, L. PEI functionalized cell membrane for tumor targeted and glutathione responsive gene delivery. Int. J. Biol. Macromol. 2024, 255, 128354. [Google Scholar] [CrossRef]
- Salari, N.; Faraji, F.; Torghabeh, F.M.; Faraji, F.; Mansouri, K.; Abam, F.; Shohaimi, S.; Akbari, H.; Mohammadi, M. Polymer-based drug delivery systems for anticancer drugs: A systematic review. Cancer Treat. Res. Commun. 2022, 32, 100605. [Google Scholar] [CrossRef] [PubMed]
- Ganem, M.B.; De Marzi, M.C.; Fernández-Lynch, M.J.; Jancic, C.; Vermeulen, M.; Geffner, J.; Mariuzza, R.A.; Fernández, M.M.; Malchiodi, E.L. Uptake and intracellular trafficking of superantigens in dendritic cells. PLoS ONE 2013, 8, e66244. [Google Scholar] [CrossRef] [PubMed]
- Kotsias, F.; Cebrian, I.; Alloatti, A. Antigen processing and presentation. Int. Rev. Cell Mol. Biol. 2019, 348, 69–121. [Google Scholar] [CrossRef] [PubMed]
- Pérez-Betancourt, Y.; Távora, B.C.L.F.; Faquim-Mauro, E.L.; Carmona-Ribeiro, A.M. Biocompatible Lipid Polymer Cationic Nanoparticles for Antigen Presentation. Polymers 2021, 13, 185. [Google Scholar] [CrossRef] [PubMed]
- Carmona-Ribeiro, A.M. Supramolecular Nanostructures for Vaccines. Biomimetics 2021, 7, 6. [Google Scholar] [CrossRef]
- Inoue, T.; Kurosaki, T. Memory B cells. Nat. Rev. Immunol. 2024, 24, 5–17. [Google Scholar] [CrossRef]
- Sutton, H.J.; Aye, R.; Idris, A.H.; Vistein, R.; Nduati, E.; Kai, O.; Mwacharo, J.; Li, X.; Gao, X.; Andrews, T.D.; et al. Atypical B cells are part of an alternative lineage of B cells that participates in responses to vaccination and infection in humans. Cell Rep. 2021, 34, 108684. [Google Scholar] [CrossRef] [PubMed]
- Akkaya, M.; Kwak, K.; Pierce, S.K. B cell memory: Building two walls of protection against pathogens. Nat. Rev. Immunol. 2020, 20, 229–238. [Google Scholar] [CrossRef] [PubMed]
- Irvine, D.J.; Read, B.J. Shaping humoral immunity to vaccines through antigen-displaying nanoparticles. Curr. Opin. Immunol. 2020, 65, 1–6. [Google Scholar] [CrossRef] [PubMed]
- McCraw, D.M.; Myers, M.L.; Gulati, N.M.; Prabhakaran, M.; Brand, J.; Andrews, S.; Gallagher, J.R.; Maldonado-Puga, S.; Kim, A.J.; Torian, U.; et al. Designed nanoparticles elicit cross-reactive antibody responses to conserved influenza virus hemagglutinin stem epitopes. PLoS Pathog. 2023, 19, e1011514. [Google Scholar] [CrossRef] [PubMed]
- Chang, T.Z.; Stadmiller, S.S.; Staskevicius, E.; Champion, J.A. Effects of ovalbumin protein nanoparticle vaccine size and coating on dendritic cell processing. Biomater. Sci. 2017, 5, 223–233. [Google Scholar] [CrossRef] [PubMed]
- Dong, C.; Wang, Y.; Zhu, W.; Ma, Y.; Kim, J.; Wei, L.; Gonzalez, G.X.; Wang, B.Z. Polycationic HA/CpG Nanoparticles Induce Cross-Protective Influenza Immunity in Mice. ACS Appl. Mater. Interfaces 2022, 14, 6331–6342. [Google Scholar] [CrossRef] [PubMed]
- Leylek, R.; Idoyaga, J. The versatile plasmacytoid dendritic cell: Function, heterogeneity, and plasticity. Int. Rev. Cell Mol. Biol. 2019, 349, 177–211. [Google Scholar] [CrossRef] [PubMed]
- Pishesha, N.; Harmand, T.J.; Ploegh, H.L. A guide to antigen processing and presentation. Nat. Rev. Immunol. 2022, 22, 1–14. [Google Scholar] [CrossRef] [PubMed]
- Donahue, N.D.; Acar, H.; Wilhelm, S. Concepts of nanoparticle cellular uptake, intracellular trafficking, and kinetics in nanomedicine. Adv. Drug Deliv. Rev. 2019, 143, 68–96. [Google Scholar] [CrossRef] [PubMed]
- Lin, J.; Alexander-Katz, A. Cell membranes open “doors” for cationic nanoparticles/biomolecules: Insights into uptake kinetics. ACS Nano 2013, 7, 10799–10808. [Google Scholar] [CrossRef] [PubMed]
- Xu, L.; Liu, Y.; Chen, Z.; Li, W.; Liu, Y.; Wang, L.; Liu, Y.; Wu, X.; Ji, Y.; Zhao, Y.; et al. Surface-engineered gold nanorods: Promising DNA vaccine adjuvant for HIV-1 treatment. Nano Lett. 2012, 12, 2003–2012. [Google Scholar] [CrossRef]
- Korsholm, K.S.; Agger, E.M.; Foged, C.; Christensen, D.; Dietrich, J.; Andersen, C.S.; Geisler, C.; Andersen, P. The adjuvant mechanism of cationic dimethyldioctadecylammonium liposomes. Immunology 2007, 121, 216–226. [Google Scholar] [CrossRef] [PubMed]
- Lu, Y.; Liu, Z.H.; Li, Y.X.; Xu, H.L.; Fang, W.H.; He, F. Targeted Delivery of Nanovaccine to Dendritic Cells via DC-Binding Peptides Induces Potent Antiviral Immunity in vivo. Int. J. Nanomed. 2022, 17, 1593–1608. [Google Scholar] [CrossRef] [PubMed]
- Marciani, D.J. Elucidating the Mechanisms of Action of Saponin-Derived Adjuvants. Trends Pharmacol. Sci. 2018, 39, 573–585. [Google Scholar] [CrossRef]
- Lei, H.; Alu, A.; Yang, J.; He, C.; Hong, W.; Cheng, Z.; Yang, L.; Li, J.; Wang, Z.; Wang, W.; et al. Cationic nanocarriers as potent adjuvants for recombinant S-RBD vaccine of SARS-CoV-2. Signal Transduct. Target. Ther. 2020, 5, 291. [Google Scholar] [CrossRef]
- Dong, H.; Wen, Z.F.; Chen, L.; Zhou, N.; Liu, H.; Dong, S.; Hu, H.M.; Mou, Y. Polyethyleneimine modification of aluminum hydroxide nanoparticle enhances antigen transportation and cross-presentation of dendritic cells. Int. J. Nanomed. 2018, 13, 3353–3365. [Google Scholar] [CrossRef]
- Jin, Z.; Dong, Y.T.; Liu, S.; Liu, J.; Qiu, X.R.; Zhang, Y.; Zong, H.; Hou, W.T.; Guo, S.Y.; Sun, Y.F.; et al. Potential of Polyethyleneimine as an Adjuvant To Prepare Long-Term and Potent Antifungal Nanovaccine. Front. Immunol. 2022, 13, 843684. [Google Scholar] [CrossRef]









Disclaimer/Publisher’s Note: The statements, opinions and data contained in all publications are solely those of the individual author(s) and contributor(s) and not of MDPI and/or the editor(s). MDPI and/or the editor(s) disclaim responsibility for any injury to people or property resulting from any ideas, methods, instructions or products referred to in the content. |
© 2025 by the authors. Licensee MDPI, Basel, Switzerland. This article is an open access article distributed under the terms and conditions of the Creative Commons Attribution (CC BY) license (https://creativecommons.org/licenses/by/4.0/).
Share and Cite
Pereira, D.R.; Pérez-Betancourt, Y.; Távora, B.C.L.F.; Magalhães, G.S.; Carmona-Ribeiro, A.M.; Faquim-Mauro, E.L. The Role of Dendritic Cells in Adaptive Immune Response Induced by OVA/PDDA Nanoparticles. Vaccines 2025, 13, 76. https://doi.org/10.3390/vaccines13010076
Pereira DR, Pérez-Betancourt Y, Távora BCLF, Magalhães GS, Carmona-Ribeiro AM, Faquim-Mauro EL. The Role of Dendritic Cells in Adaptive Immune Response Induced by OVA/PDDA Nanoparticles. Vaccines. 2025; 13(1):76. https://doi.org/10.3390/vaccines13010076
Chicago/Turabian StylePereira, Daniele R., Yunys Pérez-Betancourt, Bianca C. L. F. Távora, Geraldo S. Magalhães, Ana Maria Carmona-Ribeiro, and Eliana L. Faquim-Mauro. 2025. "The Role of Dendritic Cells in Adaptive Immune Response Induced by OVA/PDDA Nanoparticles" Vaccines 13, no. 1: 76. https://doi.org/10.3390/vaccines13010076
APA StylePereira, D. R., Pérez-Betancourt, Y., Távora, B. C. L. F., Magalhães, G. S., Carmona-Ribeiro, A. M., & Faquim-Mauro, E. L. (2025). The Role of Dendritic Cells in Adaptive Immune Response Induced by OVA/PDDA Nanoparticles. Vaccines, 13(1), 76. https://doi.org/10.3390/vaccines13010076

