A Pool of Bacterium-like Particles Displaying African Swine Fever Virus Antigens Induces Both Humoral and Cellular Immune Responses in Pigs
Abstract
1. Introduction
2. Materials and Methods
2.1. Plasmids and Bacterial Strains
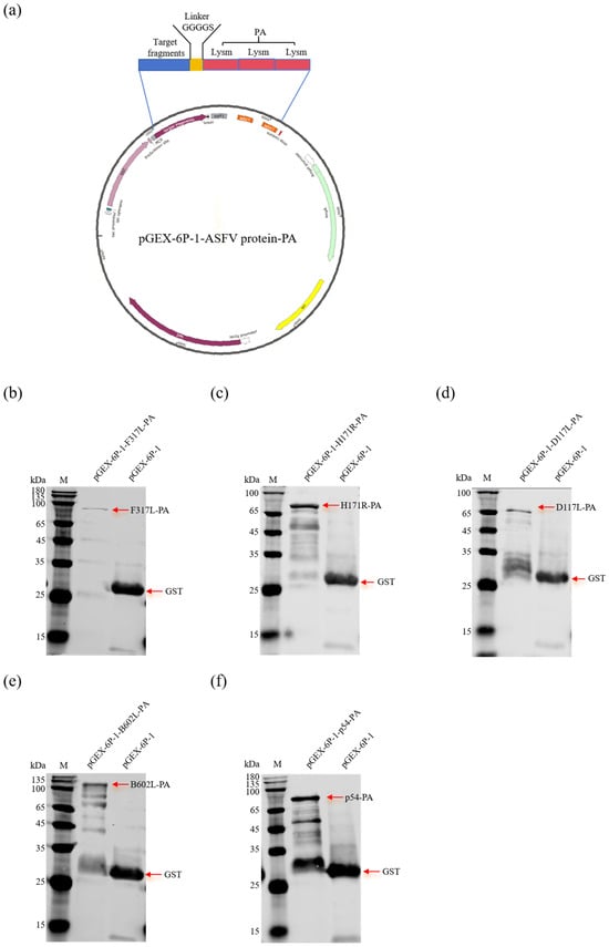
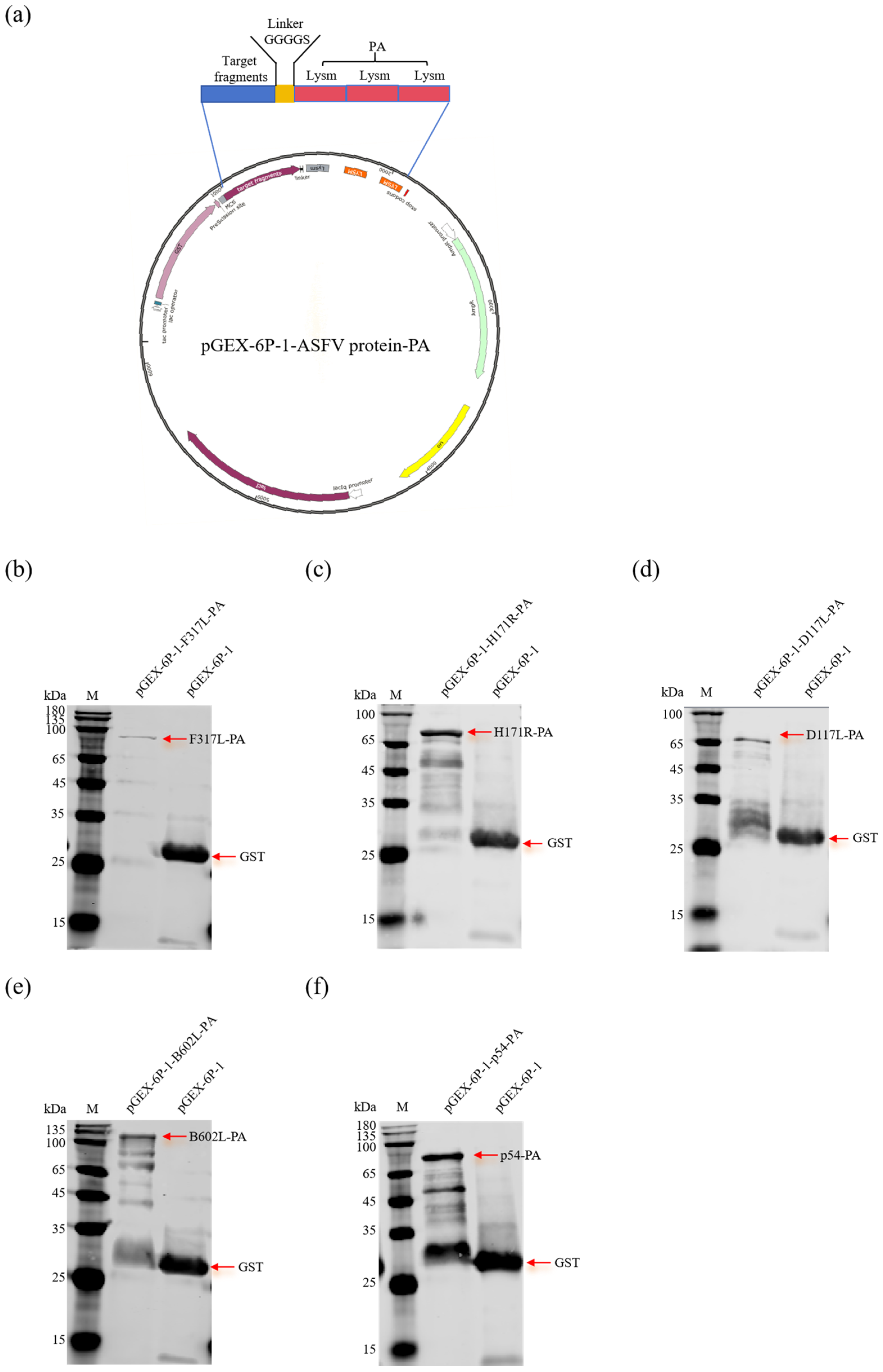
2.2. Construction of the Prokaryotic Expression Vectors Expressing Fusion Proteins
2.3. Prokaryotic Expression
2.4. Western Blotting
2.5. Preparation of the GEM
2.6. Binding of the Fusion Proteins to the GEM
2.7. Immunofluorescence Assay (IFA)
2.8. Transmission Electron Microscopy Analysis
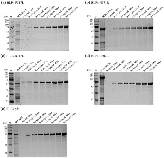
2.9. Quantification of the Maximum Loading Capacity of the GEM
2.10. Animal Experiments
2.11. Enzyme-Linked Immunosorbent Assay (ELISA)
2.12. Serum-Virus Neutralization Test
2.13. Enzyme-Linked Immunospot (ELIspot) Assay
2.14. Flow Cytometry
2.15. Data Analysis
3. Results
3.1. The Five Fusion Proteins Could Be Expressed in Soluble Form
3.2. The Fusion Proteins Could Be Anchored on the Surface of the GEM
3.3. Maximum Loading Capacity of the GEM for the Exogenous Proteins
3.4. BLPs-ASFV-Mix Induced High-Level Serum IgG in Piglets
3.5. BLPs-ASFV-Mix Induced Specific IFN-γ-Producing T Cells in Piglets
4. Discussion
5. Conclusions
Supplementary Materials
Author Contributions
Funding
Institutional Review Board Statement
Informed Consent Statement
Data Availability Statement
Acknowledgments
Conflicts of Interest
References
- Zhao, D.; Sun, E.; Huang, L.; Ding, L.; Zhu, Y.; Zhang, J.; Shen, D.; Zhang, X.; Zhang, Z.; Ren, T.; et al. Highly lethal genotype I and II recombinant African swine fever viruses detected in pigs. Nat. Commun. 2023, 14, 3096. [Google Scholar] [CrossRef] [PubMed]
- Duan, X.; Ru, Y.; Yang, W.; Ren, J.; Hao, R.; Qin, X.; Li, D.; Zheng, H. Research progress on the proteins involved in African swine fever virus infection and replication. Front. Immunol. 2022, 13, 947180. [Google Scholar] [CrossRef] [PubMed]
- Ruedas-Torres, I.; Thi, N.B.; Salguero, F.J. Pathogenicity and virulence of African swine fever virus. Virulence 2024, 15, 2375550. [Google Scholar] [CrossRef] [PubMed]
- Sun, E.; Zhang, Z.; Wang, Z.; He, X.; Zhang, X.; Wang, L.; Wang, W.; Huang, L.; Xi, F.; Huangfu, H.; et al. Emergence and prevalence of naturally occurring lower virulent African swine fever viruses in domestic pigs in China in 2020. Sci. China Life Sci. 2021, 64, 752–765. [Google Scholar] [CrossRef] [PubMed]
- Porras, N.; Sánchez-Vizcaíno, J.M.; Barasona, J.Á.; Gómez-Buendía, A.; Cadenas-Fernández, E.; Rodríguez-Bertos, A. Histopathologic evaluation system of African swine fever in wild boar infected with high (Arm07) and low virulence (Lv17/WB/Riel) isolates. Vet. Pathol. 2024, 30, 3009858241266944. [Google Scholar] [CrossRef]
- Tran, X.H.; Le, T.T.; Nguyen, Q.H.; Do, T.T.; Nguyen, V.D.; Gay, C.; Borca, M.V.; Gladue, D.P. African swine fever virus vaccine candidate ASFV-G-ΔI177L efficiently protects European and native pig breeds against circulating Vietnamese field strain. Transbound. Emerg. Dis. 2022, 69, e497–e504. [Google Scholar] [CrossRef] [PubMed]
- Shao, Z.; Yang, J.; Gao, Y.; Zhang, Y.; Zhao, X.; Shao, Q.; Zhang, W.; Cao, C.; Liu, H.; Gan, J. Structural and functional studies of PCNA from African swine fever virus. J. Virol. 2023, 97, e0074823. [Google Scholar] [CrossRef]
- Wang, Y.; Kang, W.; Yang, W.; Zhang, J.; Li, D.; Zheng, H. Structure of African swine fever virus and associated molecular mechanisms underlying infection and immunosuppression: A review. Front. Immunol. 2021, 12, 715582. [Google Scholar] [CrossRef]
- Wang, G.; Xie, M.; Wu, W.; Chen, Z. Structures and functional diversities of ASFV proteins. Viruses 2021, 13, 2124. [Google Scholar] [CrossRef]
- Li, H.; Liu, Q.; Shao, L.; Xiang, Y. Structural insights into the assembly of the African swine fever virus inner capsid. J. Virol. 2023, 97, e0026823. [Google Scholar] [CrossRef]
- Liu, S.; Luo, Y.; Wang, Y.; Li, S.; Zhao, Z.; Bi, Y.; Sun, J.; Peng, R.; Song, H.; Zhu, D.; et al. Cryo-EM structure of the African swine fever virus. Cell Host Microbe. 2019, 26, 836–843. [Google Scholar] [CrossRef]
- Chathuranga, K.; Lee, J.S. African swine fever virus (ASFV): Immunity and vaccine development. Vaccines 2023, 11, 199. [Google Scholar] [CrossRef]
- Chen, W.; Zhao, D.; He, X.; Liu, R.; Wang, Z.; Zhang, X.; Li, F.; Shan, D.; Chen, H.; Zhang, J.; et al. A seven-gene-deleted African swine fever virus is safe and effective as a live attenuated vaccine in pigs. Sci. China Life Sci. 2020, 63, 623–634. [Google Scholar] [CrossRef] [PubMed]
- Zajac, M.D.; Trujillo, J.D.; Yao, J.; Kumar, R.; Sangewar, N.; Lokhandwala, S.; Sang, H.; Mallen, K.; McCall, J.; Burton, L.; et al. Immunization of pigs with replication-incompetent adenovirus-vectored African swine fever virus multi-antigens induced humoral immune responses but no protection following contact challenge. Front. Vet. Sci. 2023, 10, 1208275. [Google Scholar] [CrossRef]
- Wang, Z.; Ai, Q.; Huang, S.; Ou, Y.; Gao, Y.; Tong, T.; Fan, H. Immune escape mechanism and vaccine research progress of African swine fever virus. Vaccines 2022, 10, 344. [Google Scholar] [CrossRef]
- Zhao, F.; Song, Q.; Wang, B.; Han, Y.; Zhou, Z. Purification and immobilization of the soluble and insoluble portions of recombinant lipase by Gram-positive enhancer matrix (GEM) particles. Int. J. Biol. Macromol. 2020, 45, 1099–1105. [Google Scholar] [CrossRef] [PubMed]
- Bosma, T.; Kanninga, R.; Neef, J.; Audouy, S.A.; van Roosmalen, M.L.; Steen, A.; Buist, G.; Kok, J.; Kuipers, O.P.; Robillard, G.; et al. Novel surface display system for proteins on non-genetically modified Gram-positive bacteria. Appl. Environ. Microbiol. 2006, 72, 880–889. [Google Scholar] [CrossRef]
- Wang, J.; Lan, Q.; Zong, X.; Zhu, G.; Yang, R.; Yang, G.; Jiang, Y.; Yang, W.; Huang, H.; Shi, C.; et al. Protection against genotype VII Newcastle disease virus by a mucosal subunit vaccination based on bacterium-like particles bearing the F or HN antigen. Int. J. Biol. Macromol. 2023, 244, 125293. [Google Scholar] [CrossRef] [PubMed]
- Van Braeckel-Budimir, N.; Haijema, B.J.; Leenhouts, K. Bacterium-like particles for efficient immune stimulation of existing vaccines and new subunit vaccines in mucosal applications. Front. Immunol. 2013, 4, 282. [Google Scholar] [CrossRef]
- Ortiz, M.R.; Raya, T.F.; Fukuyama, K.; Elean, M.; Tomokiyo, M.; Suda, Y.; Melnikov, V.; Kitazawa, H.; Villena, J. The respiratory commensal bacterium Corynebacterium pseudodiphtheriticum as a mucosal adjuvant for nasal vaccines. Vaccines 2023, 11, 611. [Google Scholar] [CrossRef]
- Heine, S.J.; Franco-Mahecha, O.L.; Chen, X.; Choudhari, S.; Blackwelder, W.C.; van Roosmalen, M.L.; Leenhouts, K.; Picking, W.L.; Pasetti, M.F. Shigella IpaB and IpaD displayed on L. lactis bacterium-like particles induce protective immunity in adult and infant mice. Immunol. Cell Biol. 2015, 93, 641–652. [Google Scholar] [CrossRef]
- Nganou-Makamdop, K.; van Roosmalen, M.L.; Audouy, S.A.; van Gemert, G.J.; Leenhouts, K.; Hermsen, C.C.; Sauerwein, R.W. Bacterium-like particles as multi-epitope delivery platform for Plasmodium berghei circumsporozoite protein induce complete protection against malaria in mice. Malar. J. 2012, 11, 50. [Google Scholar] [CrossRef] [PubMed]
- Jin, H.; Bai, Y.; Wang, J.; Jiao, C.; Liu, D.; Zhang, M.; Li, E.; Huang, P.; Gong, Z.; Song, Y.; et al. A bacterium-like particle vaccine displaying Zika virus prM-E induces systemic immune responses in mice. Transbound. Emerg. Dis. 2022, 69, e2516–e2529. [Google Scholar] [CrossRef]
- Li, E.; Chi, H.; Huang, P.; Yan, F.; Zhang, Y.; Liu, C.; Wang, Z.; Li, G.; Zhang, S.; Mo, R.; et al. A novel bacterium-like particle vaccine displaying the MERS-CoV receptor-binding domain induces specific mucosal and systemic immune responses in mice. Viruses 2019, 11, 799. [Google Scholar] [CrossRef] [PubMed]
- Wang, T.; Luo, R.; Zhang, J.; Lu, Z.; Li, L.F.; Zheng, Y.H.; Pan, L.; Lan, J.; Zhai, H.; Huang, S.; et al. The MGF300-2R protein of African swine fever virus is associated with viral pathogenicity by promoting the autophagic degradation of IKKα and IKKβ through the recruitment of TOLLIP. PLoS Pathog. 2023, 19, e1011580. [Google Scholar] [CrossRef]
- Zhou, X.; Gao, M.; De, X.; Sun, T.; Bai, Z.; Luo, J.; Wang, F.; Ge, J. Bacterium-like particles derived from probiotics: Progress, challenges and prospects. Front. Immunol. 2023, 14, 1263586. [Google Scholar] [CrossRef] [PubMed]
- Audouy, S.A.; van Selm, S.; van Roosmalen, M.L.; Post, E.; Kanninga, R.; Neef, J.; Estevão, S.; Nieuwenhuis, E.E.; Adrian, P.V.; Leenhouts, K.; et al. Development of lactococcal GEM-based pneumococcal vaccines. Vaccine 2007, 25, 2497–2506. [Google Scholar] [CrossRef]
- Ascough, S.; Vlachantoni, I.; Kalyan, M.; Haijema, B.J.; Wallin-Weber, S.; Dijkstra-Tiekstra, M.; Ahmed, M.S.; van Roosmalen, M.; Grimaldi, R.; Zhang, Q.; et al. Local and systemic immunity against respiratory syncytial virus induced by a novel intranasal vaccine. A randomized, double-blind, placebo-controlled clinical trial. Am. J. Respir. Crit. Care Med. 2019, 200, 481–492. [Google Scholar] [CrossRef] [PubMed]
- Kesidis, A.; Depping, P.; Lodé, A.; Vaitsopoulou, A.; Bill, R.M.; Goddard, A.D.; Rothnie, A.J. Expression of eukaryotic membrane proteins in eukaryotic and prokaryotic hosts. Methods 2020, 180, 3–18. [Google Scholar] [CrossRef] [PubMed]
- Escribano, J.M.; Galindo, I.; Alonso, C. Antibody-mediated neutralization of African swine fever virus: Myths and facts. Virus Res. 2013, 173, 101–109. [Google Scholar] [CrossRef] [PubMed]
- Song, J.; Wang, M.; Zhou, L.; Tian, P.; Sun, Z.; Sun, J.; Wang, X.; Zhuang, G.; Jiang, D.; Wu, Y.; et al. A candidate nanoparticle vaccine comprised of multiple epitopes of the African swine fever virus elicits a robust immune response. J. Nanobiotechnol. 2023, 21, 424. [Google Scholar] [CrossRef]
- Silva, E.B.; Krug, P.W.; Ramirez-Medina, E.; Valladares, A.; Rai, A.; Espinoza, N.; Gladue, D.P.; Borca, M.V. The presence of virus neutralizing antibodies is highly associated with protection against virulent challenge in domestic pigs immunized with ASFV live attenuated vaccine candidates. Pathogens 2022, 11, 1311. [Google Scholar] [CrossRef]
- Li, A.L.; Sun, Y.Q.; Du, P.; Meng, X.C.; Guo, L.; Li, S.; Zhang, C. The effect of Lactobacillus actobacillus peptidoglycan on bovine β-lactoglobulin-sensitized mice via TLR2/NF-κB pathway. Iran. J. Allergy Asthma Immunol. 2017, 16, 147–158. [Google Scholar]
- Rodriguez, F.; Alcaraz, C.; Eiras, A.; Yáñez, R.J.; Rodriguez, J.M.; Alonso, C.; Rodriguez, J.F.; Escribano, J.M. Characterization and molecular basis of heterogeneity of the African swine fever virus envelope protein p54. J. Virol. 1994, 68, 7244–7252. [Google Scholar] [CrossRef]
- Neilan, J.G.; Zsak, L.; Lu, Z.; Burrage, T.G.; Kutish, G.F.; Rock, D.L. Neutralizing antibodies to African swine fever virus proteins p30, p54, and p72 are not sufficient for antibody-mediated protection. Virology 2004, 319, 337–342. [Google Scholar] [CrossRef]
- Canter, J.A.; Aponte, T.; Ramirez-Medina, E.; Pruitt, S.; Gladue, D.P.; Borca, M.V.; Zhu, J.J. Serum neutralizing and enhancing effects on African swine fever virus infectivity in adherent pig PBMC. Viruses 2022, 14, 1249. [Google Scholar] [CrossRef]
- Ji, N.; Forsthuber, T.G. ELIspot techniques. Methods Mol. Biol. 2016, 1304, 63–71. [Google Scholar] [PubMed]
- Lee, W.; Suresh, M. Vaccine adjuvants to engage the cross-presentation pathway. Front. Immunol. 2022, 13, 940047. [Google Scholar] [CrossRef]
- Sudo, H.; Tokunoh, N.; Tsujii, A.; Kawashima, S.; Hayakawa, Y.; Fukushima, H.; Takahashi, K.; Koshizuka, T.; Inoue, N. The adjuvant effect of bacterium-like particles depends on the route of administration. Front. Immunol. 2023, 14, 1082273. [Google Scholar] [CrossRef]





| Names | Sequences (5′–3′) |
|---|---|
| F317L-PA-F | CACCAGGCGGCGGAGGTTCAATGGTTGAGACACAAATGGA |
| F317L-PA-R | CTATTGGATCCTCCGCCGCCTGTTGTGGACGATGCCTTTG |
| H171R-PA-F | CACCAGGCGGCGGAGGATCCATGGTAGTTTATGACTTGCT |
| H171R-PA-R | AATTCTGAACCTCCGCCGCCGTTTTTTATAGAAAACATGT |
| D117L-PA-F | CACCAGGCGGCGGAGGATCCATGGACACTGAAACGTCTCC |
| D117L-PA-R | AATTCTGAACCTCCGCCGCCTGAATGCGCAAGTTCAGCTA |
| B602L-PA-F | CACCAGGCGGCGGAGGATCCATGGCAGAATTTAATATTGA |
| B602L-PA-R | AATTCTGAACCTCCGCCGCCCAATTCTGCTTTTGTATATA |
| E183L-PA-F | CACCAGGCGGCGGAGGATCCATGGATTCTGAATTTTTTCA |
| E183L-PA-R | AATTCTGAACCTCCGCCGCCCAAGGAGTTTTCTAGGTCTT |
| Groups | Amounts | Immunogens | Doses |
|---|---|---|---|
| A | 3 | BLPs-ASFV-Mix | 5 U/2 mL |
| B | 3 | GEM | 5 U/2 mL |
| C | 2 | PBS | 2 mL |
Disclaimer/Publisher’s Note: The statements, opinions and data contained in all publications are solely those of the individual author(s) and contributor(s) and not of MDPI and/or the editor(s). MDPI and/or the editor(s) disclaim responsibility for any injury to people or property resulting from any ideas, methods, instructions or products referred to in the content. |
© 2024 by the authors. Licensee MDPI, Basel, Switzerland. This article is an open access article distributed under the terms and conditions of the Creative Commons Attribution (CC BY) license (https://creativecommons.org/licenses/by/4.0/).
Share and Cite
Huang, J.; Wu, H.; Gao, T.; Zhai, H.; Moon, A.; Song, X.; Li, S.; Lu, Z.; Lan, J.; Zhong, D.; et al. A Pool of Bacterium-like Particles Displaying African Swine Fever Virus Antigens Induces Both Humoral and Cellular Immune Responses in Pigs. Vaccines 2025, 13, 5. https://doi.org/10.3390/vaccines13010005
Huang J, Wu H, Gao T, Zhai H, Moon A, Song X, Li S, Lu Z, Lan J, Zhong D, et al. A Pool of Bacterium-like Particles Displaying African Swine Fever Virus Antigens Induces Both Humoral and Cellular Immune Responses in Pigs. Vaccines. 2025; 13(1):5. https://doi.org/10.3390/vaccines13010005
Chicago/Turabian StyleHuang, Jingshan, Hongxia Wu, Tianqi Gao, Huanjie Zhai, Assad Moon, Xin Song, Shuwen Li, Zhanhao Lu, Jing Lan, Dailang Zhong, and et al. 2025. "A Pool of Bacterium-like Particles Displaying African Swine Fever Virus Antigens Induces Both Humoral and Cellular Immune Responses in Pigs" Vaccines 13, no. 1: 5. https://doi.org/10.3390/vaccines13010005
APA StyleHuang, J., Wu, H., Gao, T., Zhai, H., Moon, A., Song, X., Li, S., Lu, Z., Lan, J., Zhong, D., Zhang, X., Qiu, H.-J., Li, Y., & Sun, Y. (2025). A Pool of Bacterium-like Particles Displaying African Swine Fever Virus Antigens Induces Both Humoral and Cellular Immune Responses in Pigs. Vaccines, 13(1), 5. https://doi.org/10.3390/vaccines13010005

