Construction and Evaluation of an Efficient Live Attenuated Salmonella Choleraesuis Vaccine and Its Ability as a Vaccine Carrier to Deliver Heterologous Antigens
Abstract
1. Introduction
2. Material and Methods
2.1. Growth Conditions, Medium, Plasmids, and Strains of Bacteria
2.2. Construction of Plasmids and Mutant Strain
2.3. Phenotypic Determination of Bacteria
2.4. Animals
2.5. Daily Observation of Mice
2.6. Immunity of Mice
2.7. Localization of S. Choleraesuis in Organs
2.8. Determination of Virulence of Mutants in Mice
2.9. Tissue Damage Caused by S. Choleraesuis
2.10. Ileal Loop Experiment on Rabbits
2.11. Survival Assay
2.12. Quantitative Analysis of Specific Antibody Levels by ELISA
2.13. Analysis of pSW-GDH and pSW-O9 Expression by Western Blot
2.14. Statistical Analysis
3. Results
3.1. Construction and Biological Characteristics of the C5000 Strain
3.2. Virulence Analysis of the C5000
3.3. Phenotype Determination and Histopathological Analysis Induced by C5001, C5002, C5003, and C5004
3.4. Immunogenicity Assessment Induced by C5001, C5002, C5003, and C5004
3.5. Construction of S. Choleraesuis Mutant Strains with Low Endotoxic Activity and Evaluations of Immunogenicity and Protection Rate
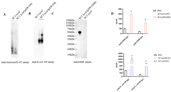
3.6. Evaluations of SC3 as a Vaccine Carrier to Deliver Heterologous Antigens
4. Discussion
Supplementary Materials
Author Contributions
Funding
Institutional Review Board Statement
Informed Consent Statement
Data Availability Statement
Acknowledgments
Conflicts of Interest
References
- Soliani, L.; Rugna, G.; Prosperi, A.; Chiapponi, C.; Luppi, A. Salmonella infection in pigs: Disease, prevalence, and a link between swine and human health. Pathogens 2023, 12, 1267. [Google Scholar] [CrossRef] [PubMed]
- Wang, J.; Vaddu, S.; Bhumanapalli, S.; Mishra, A.; Applegate, T.; Singh, M.; Thippareddi, H. A systematic review and meta-analysis of the sources of Salmonella in poultry production (pre-harvest) and their relative contributions to the microbial risk of poultry meat. Poultry Sci. 2023, 102, 102566. [Google Scholar] [CrossRef] [PubMed]
- Teklemariam, A.D.; Al-Hindi, R.R.; Albiheyri, R.S.; Alharbi, M.G.; Alghamdi, M.A.; Filimban, A.A.; Bhunia, A.K. Human Salmonellosis: A continuous global threat in the farm-to-fork food safety continuum. Foods 2023, 12, 1756. [Google Scholar] [CrossRef]
- Hajra, D.; Nair, A.V.; Chakravortty, D. Decoding the invasive nature of a tropical pathogen of concern: The invasive non-Typhoidal Salmonella strains causing host-restricted extraintestinal infections worldwide. Microbiol. Res. 2023, 277, 127488. [Google Scholar] [CrossRef] [PubMed]
- Roof, M.B.; Doitchinoff, D.D. Safety, efficacy, and duration of immunity induced in swine by use of an avirulent live Salmonella choleraesuis-containing vaccine. Am. J. Vet. Res. 1995, 56, 39–44. [Google Scholar] [CrossRef]
- Ku, Y.W.; McDonough, S.P.; Palaniappan, R.U.; Chang, C.F.; Chang, Y.F. Novel attenuated Salmonella enterica serovar Choleraesuis strains as live vaccine candidates generated by signature-tagged mutagenesis. Infect. Immun. 2005, 73, 8194–8203. [Google Scholar] [CrossRef]
- Alborali, G.L.; Ruggeri, J.; Pesciaroli, M.; Martinelli, N.; Chirullo, B.; Ammendola, S.; Pasquali, P. Prime-boost vaccination with attenuated Salmonella Typhimurium ΔznuABC and inactivated Salmonella Choleraesuis is protective against Salmonella Choleraesuis challenge infection in piglets. BMC Vet. Res. 2017, 13, 284. [Google Scholar] [CrossRef]
- Li, Y.A.; Chen, Y.; Du, Y.Z.; Guo, W.; Chu, D.; Fan, J.; Shi, H. Live-attenuated Salmonella enterica serotype Choleraesuis vaccine with regulated delayed fur mutation confer protection against Streptococcus suis in mice. BMC Vet. Res. 2020, 16, 129. [Google Scholar] [CrossRef]
- Liu, G.; Li, C.; Liao, S.; Guo, A.; Wu, B.; Chen, H. C500 variants conveying complete mucosal immunity against fatal infections of pigs with Salmonella enterica serovar Choleraesuis C78-1 or F18+ Shiga toxin-producing Escherichia coli. Front. Microbiol. 2023, 14, 1210358. [Google Scholar] [CrossRef]
- Xu, L.; Li, Q.; Liu, J.; Hu, Y.; Tao, M.; Jiao, X. Deficiency of is the major factor leading to attenuation of serovar Choleraesuis vaccine strain C500. Chin. J. Zoonoses 2015, 31, 908–913. [Google Scholar]
- Zhao, Z.; Xu, Y.; Wu, B.; Cheng, X.; Li, Y.; Tang, X.; Chen, H. Characterization of attenuated Salmonella C500 strain with a Dasd mutant and use as an Asd+ balanced-lethal host-vector system. Chin. J. Biotech. 2009, 25, 29–36. [Google Scholar]
- Coffey, J.W.; Gaiha, G.D.; Traverso, G. Oral biologic delivery: Advances toward oral subunit, DNA, and mRNA vaccines and the potential for mass vaccination during pandemics. Annu. Rev. Pharmacol. Toxicol. 2021, 61, 517–540. [Google Scholar] [CrossRef] [PubMed]
- Curtiss, R., III; Li, Y.; Kong, W.; Wanda, S.Y.; Gunn, B.; Wang, S. New technologies in using recombinant attenuated Salmonella vaccine vectors. Crit. Rev. Immunol. 2010, 30, 255–270. [Google Scholar] [CrossRef] [PubMed]
- Foster, J.W. The acid tolerance response of Salmonella typhimurium involves transient synthesis of key acid shock proteins. J. Bacteriol. 1993, 175, 1981–1987. [Google Scholar] [CrossRef]
- Burda, W.N.; Brenneman, K.E.; Gonzales, A.; Curtiss, R., III. Conversion of RpoS− attenuated Salmonella enterica serovar typhi vaccine strains to RpoS+ improves their resistance to host defense barriers. Msphere 2018, 3, e00006-18. [Google Scholar] [CrossRef]
- Shi, H.; Santander, J.; Brenneman, K.E.; Wanda, S.Y.; Wang, S.; Senechal, P.; Curtiss, R., III. Live recombinant Salmonella Typhi vaccines constructed to investigate the role of rpoS in eliciting immunity to a heterologous antigen. PLoS ONE 2010, 5, e11142. [Google Scholar] [CrossRef]
- Coynault, C.; Robbe-Saule, V.; Norel, F. Virulence and vaccine potential of Salmonella typhlmurium mutants deficient in the expression of the RpoS (σs) regulon. Mol. Microbiol. 1996, 22, 149–160. [Google Scholar] [CrossRef]
- Nickerson, C.A.; Curtiss, R., III. Role of sigma factor RpoS in initial stages of Salmonella typhimurium infection. Infect. Immun. 1997, 65, 1814–1823. [Google Scholar] [CrossRef] [PubMed]
- O’Byrne, C.P.; Dorman, C.J. The spv virulence operon of Salmonella typhimurium LT2 is regulated negatively by the cyclic AMP (cAMP)-cAMP receptor protein system. J. Bacteriol. 1994, 176, 905–912. [Google Scholar] [CrossRef]
- Zhang, X.; Kelly, S.M.; Bollen, W.S.; Curtiss, R., III. Characterization and immunogenicity of Salmonella typhimurium SL1344 and UK-1 Δcrp and Δcdt deletion mutants. Infect. Immun. 1997, 65, 5381–5387. [Google Scholar] [CrossRef]
- Ernst, J.F.; Bennett, R.L.; Rothfield, L.I. Constitutive expression of the iron-enterochelin and ferrichrome uptake systems in a mutant strain of Salmonella typhimurium. J. Bacteriol. 1978, 135, 928–934. [Google Scholar] [CrossRef]
- Foster, J.W.; Hall, H.K. Effect of Salmonella typhimurium ferric uptake regulator (fur) mutations on iron- and pH-regulated protein synthesis. J. Bacteriol. 1992, 174, 4317–4323. [Google Scholar] [CrossRef]
- Wilmes-Riesenberg, M.R.; Bearson, B.; Foster, J.W.; Curtis, R., III. Role of the acid tolerance response in virulence of Salmonella typhimurium. Infect. Immun. 1996, 64, 1085–1092. [Google Scholar] [CrossRef] [PubMed]
- Vishwakarma, V.; Pati, N.B.; Chandel, H.S.; Sahoo, S.S.; Saha, B.; Suar, M. Evaluation of Salmonella enterica serovar Typhimurium TTSS-2 deficient fur mutant as safe live-attenuated vaccine candidate for immunocompromised mice. PLoS ONE 2012, 7, e52043. [Google Scholar] [CrossRef]
- Miller, S.I.; Mekalanos, J.J.; Pulkkinen, W.S. Salmonella vaccines with mutations in the phoP virulence regulon. Res. Microbiol. 1990, 141, 817–821. [Google Scholar] [CrossRef]
- Lee, H.Y.; Cho, S.A.; Lee, I.S.; Park, J.H.; Seok, S.H.; Baek, M.W.; Park, J.H. Evaluation of phoP and rpoS mutants of Salmonella enterica serovar Typhi as attenuated typhoid vaccine candidates: Virulence and protective immune responses in intranasally immunized mice. FEMS Immunol. Med. Microbiol. 2007, 51, 310–318. [Google Scholar] [CrossRef]
- Miller, S.I.; Loomis, W.P.; Alpuche-Aranda, C.; Behlau, I.; Hohmann, E. The PhoP virulence regulon and live oral Salmonella vaccines. Vaccine 1993, 11, 122–125. [Google Scholar] [CrossRef] [PubMed]
- Müştak, İ.B.; Yardımcı, H. Construction and in vitro characterisation of aroA defective (aroA Δ) mutant Salmonella Infantis. Arch. Microbiol. 2019, 201, 1277–1284. [Google Scholar] [CrossRef] [PubMed]
- Trebichavsky, I.; Splichalova, A.; Rychlik, I.; Hojna, H.; Muneta, Y.; Mori, Y.; Splichal, I. Attenuated aroA Salmonella enterica serovar Typhimurium does not induce inflammatory response and early protection of gnotobiotic pigs against parental virulent LT2 strain. Vaccine 2006, 24, 4285–4289. [Google Scholar] [CrossRef]
- Raetz, C.R.; Whitfield, C. Lipopolysaccharide endotoxins. Annu. Eev. Biochem. 2002, 71, 635–700. [Google Scholar] [CrossRef]
- Kong, Q.; Six, D.A.; Roland, K.L.; Liu, Q.; Gu, L.; Reynolds, C.M.; Curtis, R., III. Salmonella synthesizing 1-monophosphorylated lipopolysaccharide exhibits low endotoxic activity while retaining its immunogenicity. J. Immunol. 2011, 187, 412–423. [Google Scholar] [CrossRef]
- Park, B.S.; Lee, J.O. Recognition of lipopolysaccharide pattern by TLR4 complexes. Exp. Mol. Med. 2013, 45, e66. [Google Scholar] [CrossRef] [PubMed]
- Garcon, N.; Van Mechelen, M. Recent clinical experience with vaccines using MPL- and QS-21-containing adjuvant systems. Expert Rev. Vaccines 2011, 10, 471–486. [Google Scholar] [CrossRef] [PubMed]
- Bertani, G. Studies on lysogenesis I: The mode of phage liberation by lysogenic Escherichia coli. J. Bacteriol. 1951, 62, 293–300. [Google Scholar] [CrossRef]
- Snavely, M.D.; Miller, C.G.; Maguire, M.E. The mgtB Mg2+ transport locus of Salmonella typhimurium encodes a P-type ATPase. J. Biol. Chem. 1991, 266, 815–823. [Google Scholar] [CrossRef] [PubMed]
- Edwards, R.A.; Keller, L.H.; Schifferli, D.M. Improved allelic exchange vectors and their use to analyze 987P fimbria gene expression. Gene 1998, 207, 149–157. [Google Scholar] [CrossRef]
- Liang, K.; Zhang, R.; Luo, H.; Zhang, J.; Tian, Z.; Zhang, X.; Kong, Q. Optimized attenuated Salmonella typhimurium suppressed tumor growth and improved survival in mice. Front. Microbiol. 2021, 12, 774490. [Google Scholar] [CrossRef]
- Kang, H.Y.; Srinivasan, J.; Curtiss, R., III. Immune responses to recombinant pneumococcal PspA antigen delivered by live attenuated Salmonella enterica serovar typhimurium vaccine. Infect. Immun. 2002, 70, 1739–1749. [Google Scholar] [CrossRef]
- Su, H.; Liu, Q.; Wang, S.; Curtiss, R., III; Kong, Q. Regulated delayed Shigella flexneri 2a O-antigen synthesis in live recombinant Salmonella enterica serovar Typhimurium Induces comparable levels of protective immune responses with constitutive antigen synthesis system. Theranostics 2019, 9, 3565–3579. [Google Scholar] [CrossRef]
- Roland, K.; Curtiss, R., III; Sizemore, D. Construction and evaluation of a Dcya Dcrp Salmonella typhimurium strain expressing avian pathogenic Escherichia coli O78 LPS as a vaccine to prevent airsacculitis in chickens. Avian Dis. 1999, 43, 429–441. [Google Scholar] [CrossRef]
- Liu, Q.; Liu, Q.; Zhao, X.; Liu, T.; Yi, J.; Liang, K.; Kong, Q. Immunogenicity and cross-protective efficacy induced by outer membrane proteins from Salmonella Typhimurium mutants with truncated LPS in mice. Int. J. Mol. Sci. 2016, 17, 416. [Google Scholar] [CrossRef]
- Eugene, C.Y.; Hackett, M. Rapid isolation method for lipopolysaccharide and lipid A from gram-negative bacteria. Analyst 2000, 125, 651–656. [Google Scholar]
- Hirschfeld, M.; Ma, Y.; Weis, J.H.; Vogel, S.N.; Weis, J.J. Cutting edge: Repurification of lipopolysaccharide eliminates signaling through both human and murine toll-like receptor 2. J. Immunol. 2000, 165, 618–622. [Google Scholar] [CrossRef]
- Hitchcock, P.J.; Brown, T.M. Morphological heterogeneity among Salmonella lipopolysaccharide chemotypes in silver-stained polyacrylamide gels. J. Bacteriol. 1983, 154, 269–277. [Google Scholar] [CrossRef]
- Kong, Q.; Yang, J.; Liu, Q.; Alamuri, P.; Roland, K.L.; Curtiss, R., III. Effect of deletion of genes involved in lipopolysaccharide core and O-antigen synthesis on virulence and immunogenicity of Salmonella enterica serovar Typhimurium. Infect. Immun. 2011, 79, 4227–4239. [Google Scholar] [CrossRef] [PubMed]
- Bliss, C.I. The toxicity of poisons applied jointly 1. Ann. Appl. Biol. 1939, 26, 585–615. [Google Scholar] [CrossRef]
- Liu, Q.; Liu, Q.; Yi, J.; Liang, K.; Liu, T.; Roland, K.L.; Kong, Q. Outer membrane vesicles derived from Salmonella Typhimurium mutants with truncated LPS induce cross-protective immune responses against infection of Salmonella enterica serovars in the mouse model. Int. J. Med. Microbiol. 2016, 306, 697–706. [Google Scholar] [CrossRef]
- Fang, X.; Li, Y.; Huang, C.; Zheng, M.; Feng, W.; Sun, W. Live vaccine against swine paratyphoid from the attenuated smooth strain C500 of Salmonella choleraesuis. Chin. J. Anim. Vet. Sci. 1981, 2, 99–106. [Google Scholar]
- Zhao, Z.; Xue, Y.; Wu, B.; Tang, X.; Hu, R.; Xu, Y.; Chen, H. Subcutaneous vaccination with attenuated Salmonella enterica serovar Choleraesuis C500 expressing recombinant filamentous hemagglutinin and pertactin antigens protects mice against fatal infections with both S. enterica serovar Choleraesuis and Bordetella bronchiseptica. Infect. Immun. 2008, 76, 2157–2163. [Google Scholar] [CrossRef] [PubMed]
- Li, Q.; Hu, Y.; Xu, L.; Tao, M.; Jiao, X. Complete genome sequence of Salmonella enterica serovar Choleraesuis vaccine strain C500 attenuated by chemical mutation. Genome Announc. 2014, 2, e01022-14. [Google Scholar] [CrossRef]
- Aganja, R.P.; Sivasankar, C.; Hewawaduge, C.; Lee, J.H. Safety assessment of compliant, highly invasive, lipid A-altered, O-antigen-defected Salmonella strains as prospective vaccine delivery systems. Vet. Res. 2022, 53, 76. [Google Scholar] [CrossRef] [PubMed]
- Kong, Q.; Liu, Q.; Roland, K.L.; Curtiss, R., III. Regulated delayed expression of rfaH in an attenuated Salmonella enterica serovar Typhimurium vaccine enhances immunogenicity of outer membrane proteins and a heterologous antigen. Infect. Immun. 2009, 77, 5572–5582. [Google Scholar] [CrossRef] [PubMed]
- Kong, Q.; Liu, Q.; Jansen, A.M.; Curtiss, R., III. Regulated delayed expression of rfc enhances the immunogenicity and protective efficacy of a heterologous antigen delivered by live attenuated Salmonella enterica vaccines. Vaccine 2010, 28, 6094–6103. [Google Scholar] [CrossRef] [PubMed]
- Curtiss, R., III; Wanda, S.Y.; Gunn, B.M.; Zhang, X.; Tinge, S.A.; Ananthnarayan, V.; Kong, W. Salmonella enterica serovar Typhimurium strains with regulated delayed attenuation in vivo. Infect. Immun. 2009, 77, 1071–1082. [Google Scholar] [CrossRef]







| Strains or Plasmids | Description | Source |
|---|---|---|
| Plasmids | ||
| pYA4278 | sacB mobRP4 R6K ori Cm+, pRE112 | [36] |
| pYA4284 | ΔpagL7 suicide plasmid | [31] |
| pYA4287 | ∆lpxR9 suicide plasmid | [31] |
| pYA4288 | ∆pagP8 suicide plasmid | [31] |
| pYA4295 | ∆pagP deletion, and Plpp lpxE (codon-optimized) insertion | [31] |
| pSW001 | rpoS gene insertion suicide plasmid | This study |
| pSW002 | Δcrp10 suicide plasmid | This study |
| pSW003 | Δfur9 suicide plasmid | This study |
| pSW004 | ΔphoP11 suicide plasmid | This study |
| pSW005 | ΔaroA12 suicide plasmid | This study |
| pSS021 | Δasd suicide plasmid | [37] |
| pYA3493 | Plasmid Asd+; pBRori β-lactamase signal sequence for periplasmic secretion | [38] |
| pG8R184 | Asd+ vector, pSC101 ori, Kan+ | [39] |
| pSW-GDH | Plasmid Asd+; pBRori β-lactamase signal sequence for periplasmic secretion, GDH of S. sui | This study |
| pSW-O9 | Asd+ vector carrying genes involved in the biosynthesis of E. coli O9 O-antigen (galF-gnd), pSC101 ori | This study |
| E. coli strains | ||
| χ7232 | endA1 hsdR17 (rK-,mK+) supE44 thi-1 recA1 gyrA relA1 Δ(lacZYA-argF) U169 λ pir deoR (Φ80dlacΔ(lacZ)M15) | [40] |
| χ7213 | thi-1 thr-1 leuB6 glnV44 tonA21 lacY1 recA1 RP4-2-Tc::μ λ pir ∆asdA4 ∆zhf-2::Tn10 | [40] |
| Strains for immunization | ||
| C500 | C500 vaccine strain | China Veterinary Culture Collection Center |
| C5000 | C500 rpoS+ | This study |
| C5001 | C500 rpoS+ Δcrp10 | This study |
| C5002 | C500 rpoS+ Δfur9 | This study |
| C5003 | C500 rpoS+ Δphop11 | This study |
| C5004 | C500 rpoS+ ΔaroA12 | This study |
| SC1 | C500 ΔpagL7 ΔpagP81:: Plpp lpxE ΔlpxR9 | This study |
| SC2 | C500 rpoS+ Δcrp10 ΔpagL7 ΔpagP81:: Plpp lpxE ΔlpxR9 | This study |
| SC30 | C500 rpoS+ Δfur9 Δpag7L ΔpagP81 ΔlpxR9 | This study |
| SC3 | C500 rpoS+ Δfur9 ΔpagL7 ΔpagP81:: Plpp lpxE ΔlpxR9 | This study |
| Strains for challenge | ||
| C3545 | Wild-type Salmonella enterica serotype Choleraesuis (S. Choleraesuis) strain, a clinical isolate from pig | S340 [41] |
Disclaimer/Publisher’s Note: The statements, opinions and data contained in all publications are solely those of the individual author(s) and contributor(s) and not of MDPI and/or the editor(s). MDPI and/or the editor(s) disclaim responsibility for any injury to people or property resulting from any ideas, methods, instructions or products referred to in the content. |
© 2024 by the authors. Licensee MDPI, Basel, Switzerland. This article is an open access article distributed under the terms and conditions of the Creative Commons Attribution (CC BY) license (https://creativecommons.org/licenses/by/4.0/).
Share and Cite
Bian, X.; Chen, J.; Chen, X.; Liu, C.; Ding, J.; Li, M.; Zhang, X.; Liu, Q.; Kong, Q. Construction and Evaluation of an Efficient Live Attenuated Salmonella Choleraesuis Vaccine and Its Ability as a Vaccine Carrier to Deliver Heterologous Antigens. Vaccines 2024, 12, 249. https://doi.org/10.3390/vaccines12030249
Bian X, Chen J, Chen X, Liu C, Ding J, Li M, Zhang X, Liu Q, Kong Q. Construction and Evaluation of an Efficient Live Attenuated Salmonella Choleraesuis Vaccine and Its Ability as a Vaccine Carrier to Deliver Heterologous Antigens. Vaccines. 2024; 12(3):249. https://doi.org/10.3390/vaccines12030249
Chicago/Turabian StyleBian, Xiaoping, Jin Chen, Xin Chen, Chengying Liu, Jianjun Ding, Mengru Li, Xiaofen Zhang, Qing Liu, and Qingke Kong. 2024. "Construction and Evaluation of an Efficient Live Attenuated Salmonella Choleraesuis Vaccine and Its Ability as a Vaccine Carrier to Deliver Heterologous Antigens" Vaccines 12, no. 3: 249. https://doi.org/10.3390/vaccines12030249
APA StyleBian, X., Chen, J., Chen, X., Liu, C., Ding, J., Li, M., Zhang, X., Liu, Q., & Kong, Q. (2024). Construction and Evaluation of an Efficient Live Attenuated Salmonella Choleraesuis Vaccine and Its Ability as a Vaccine Carrier to Deliver Heterologous Antigens. Vaccines, 12(3), 249. https://doi.org/10.3390/vaccines12030249

