Metabolites Profiling and Bioassays Reveal Bassia indica Ethanol Extract Protective Effect against Stomach Ulcers Development via HMGB1/TLR-4/NF-κB Pathway
Abstract
1. Introduction
2. Materials and Methods
2.1. Plant Material Collection, Authentication and Extraction
2.2. Animals
2.3. Drugs and Chemicals
2.4. Experimental Design
2.5. Index of Gastric Ulcers and Percentage Inhibition
2.6. Histological Examination
2.7. Immunohistochemical Analysis
2.8. Biochemical Evaluation (Production of a Stomach Homogenate)
2.9. Estimation of MDA and GSH Contents
2.10. Western Blot Assay of NF-κB, HMGB1
2.10.1. Protein Extraction Procedure
2.10.2. Protein Separation by Electrophoresis
2.10.3. Transferring Proteins from a Gel to a Membrane (Protein Blotting)
2.10.4. Quantitative Data Analysis and Imaging
2.11. Estimation of IL-1β and Nrf2 Contents
2.12. High-Resolution Ultra-Performance Liquid Chromatography-Mass Spectrometry Analysis (UPLC-ESI–Qtof-MS)
2.13. Statistical Analysis
3. Results
3.1. Effect of B. indica EtOH Extract on Ulcer Index
3.2. Effect of B. indica EtOH Extract on MDA and GSH Levels
3.3. Effect of B. indica EtOH Extract on Protein Expression of HMGB1 and NF-κB
3.4. Effect of B. indica EtOH Extract on IL-1β and Nuclear Nrf-2
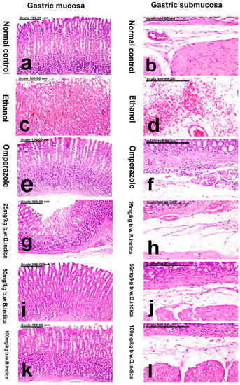
3.5. Effect of B. indica EtOH Extract on Stomach Morphological Changes induced by EtOH
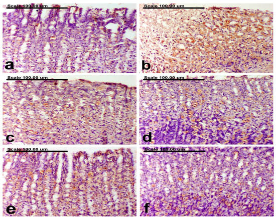
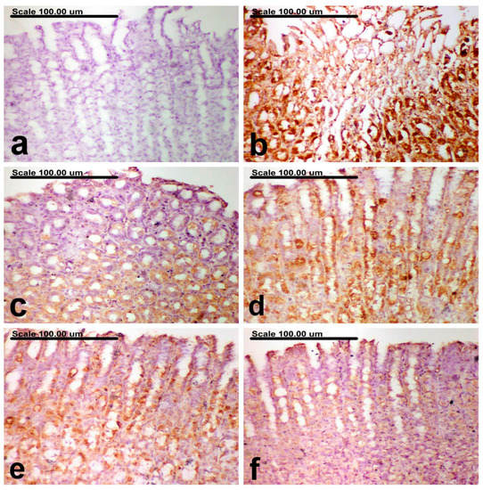
3.6. Effect of B. indica EtOH Extract on TLR4 and Caspase-3 Immunohistochemical Expression
3.7. Metabolites Profiling of B. indica EtOH Extract via UPLC-ESI–Qtof-MS
3.7.1. Identification of Flavonoids
3.7.2. Identification of Lipids
3.7.3. Identification of Amino Acids and Triterpenes
4. Discussion
5. Conclusions
Supplementary Materials
Author Contributions
Funding
Institutional Review Board Statement
Data Availability Statement
Acknowledgments
Conflicts of Interest
References
- Kim, J.; Lee, S.; Rhew, K. Association between gastrointestinal diseases and migraine. Int. J. Environ. Res. Public Health 2022, 19, 4018. [Google Scholar] [CrossRef] [PubMed]
- Lu, S.-Y.; Guo, S.; Chai, S.-B.; Yang, J.-Q.; Yue, Y.; Li, H.; Sun, P.-M.; Zhang, T.; Sun, H.-W.; Zhou, J.-L. Autophagy in gastric mucosa: The dual role and potential therapeutic target. BioMed Res. Int. 2021, 2021, 2648065. [Google Scholar] [CrossRef] [PubMed]
- Danai, P.; Patel, S.; Pandey, V.; Singh, P.; Yadav, G.; Kumar, A.; Agarwal, T. Antiulcerogenic activity of anogeissus pendula hydroalcoholic extract on pylorus ligated induced gastric ulcers in albino wistar rats. Phytomed. Plus 2021, 1, 100127. [Google Scholar] [CrossRef]
- Pham-Huy, C.; Huy, B.P. Food and Lifestyle in Health and Disease; CRC Press: Boca Raton, FL, USA, 2022. [Google Scholar]
- Beiranvand, M.; Bahramikia, S. Ameliorating and protective effects mesalazine on ethanol-induced gastric ulcers in experimental rats. Eur. J. Pharmacol. 2020, 888, 173573. [Google Scholar] [CrossRef] [PubMed]
- Zahid, R.; Akram, M.; Riaz, M.; Munir, N.; Shehzad, M. Phytotherapeutic Modalities for the Management of Helicobacter Pylori Associated Peptic Ulcer; SAGE Publications Sage: London, UK, 2020; p. 2058739220968308. [Google Scholar]
- Silva, D.F.; Empadinhas, N.; Cardoso, S.M.; Esteves, A.R. Neurodegenerative microbially-shaped diseases: Oxidative stress meets neuroinflammation. Antioxidants 2022, 11, 2141. [Google Scholar] [CrossRef]
- Vaughan, E.; Shimi, S.M. Benign disorders of the stomach. Oesophago-Gastric Surg. 2018, 2, 1. [Google Scholar]
- Ahmed, O.A.; Fahmy, U.A.; Bakhaidar, R.; El-Moselhy, M.A.; Alfaleh, M.A.; Ahmed, A.-S.F.; Hammad, A.S.; Aldawsari, H.; Alhakamy, N.A. Pumpkin oil–based nanostructured lipid carrier system for antiulcer effect in nsaid-induced gastric ulcer model in rats. Int. J. Nanomed. 2020, 15, 2529. [Google Scholar] [CrossRef]
- Tāckholm, V. Students Flora of Egypt; Cairo University, Cooperative Printing Company: Beirut, Lebanon, 1974. [Google Scholar]
- Youssef, R.S. Medicinal and non-medicinal uses of some plants found in the middle region of saudi arabia. J. Med. Plants Res. 2013, 7, 2501–2513. [Google Scholar]
- Othman, A.; Amen, Y.; Inoue, Y.; Shimizu, K. Phytochemical analysis, anti-inflammatory, and anticancer activities of the halophyte herb Bassia indica. Nat. Prod. Commun. 2022, 17, 1934578X221137412. [Google Scholar] [CrossRef]
- Othman, A.; Amen, Y.; Matsumoto, M.; Nagata, M.; Shimizu, K. Bassiamide a, a new alkaloid from xero-halophyte Bassia indica wight. Nat. Prod. Res. 2022, 36, 3610–3618. [Google Scholar] [CrossRef]
- Othman, A.; Sayed, A.M.; Amen, Y.; Shimizu, K. Possible neuroprotective effects of amide alkaloids from Bassia indica and agathophora alopecuroides: In vitro and in silico investigations. RSC Adv. 2022, 12, 18746–18758. [Google Scholar] [CrossRef] [PubMed]
- Wang, S.; Zhang, Y. Hmgb1 in inflammation and cancer. BioMed Cent. 2020, 13, 116. [Google Scholar] [CrossRef] [PubMed]
- Hazlett, L.D.; Mcclellan, S.; Somayajulu, M.; Bessert, D. Targeting inflammation driven by hmgb1 in bacterial keratitis—A review. Pathogens 2021, 10, 1235. [Google Scholar] [CrossRef] [PubMed]
- Zhou, M.; Aziz, M.; Wang, P. Damage-associated molecular patterns as double-edged swords in sepsis. Antioxid. Redox Signal. 2021, 35, 1308–1323. [Google Scholar] [CrossRef] [PubMed]
- Lee, A.; Shin, H.-Y.; Park, J.-H.; Koo, S.Y.; Kim, S.M.; Yang, S.-H. Fucoxanthin from microalgae phaeodactylum tricornutum inhibits pro-inflammatory cytokines by regulating both nf-κb and nlrp3 inflammasome activation. Sci. Rep. 2021, 11, 543. [Google Scholar] [CrossRef]
- Khalaf, M.M.; Hassan, S.M.; Sayed, A.M.; Abo-Youssef, A.M. Ameliorate impacts of scopoletin against vancomycin-induced intoxication in rat model through modulation of keap1-nrf2/ho-1 and iκbα-p65 nf-κb/p38 mapk signaling pathways: Molecular study, molecular docking evidence and network pharmacology analysis. Int. Immunopharmacol. 2022, 102, 108382. [Google Scholar] [CrossRef]
- Lebda, M.A.; Elmassry, I.H.; Taha, N.M.; Elfeky, M.S. Nanocurcumin alleviates inflammation and oxidative stress in lps-induced mastitis via activation of nrf2 and suppressing tlr4-mediated nf-κb and hmgb1 signaling pathways in rats. Environ. Sci. Pollut. Res. 2022, 29, 8294–8305. [Google Scholar] [CrossRef]
- Abbas, M.A.; Kandil, Y.I.; Disi, A.M.; Jaffal, S.M. Gastroprotective activity of loranthus acaciae flower extract in a rodent model of ethanol-induced ulcer. Appl. Physiol. Nutr. Metab. 2019, 44, 1283–1288. [Google Scholar] [CrossRef]
- Alzokaky, A.A.; Abdelkader, E.M.; El-Dessouki, A.M.; Khaleel, S.A.; Raslan, N.A. C-phycocyanin protects against ethanol-induced gastric ulcers in rats: Role of hmgb1/nlrp3/nf-κb pathway. Basic Clin. Pharmacol. Toxicol. 2020, 127, 265–277. [Google Scholar] [CrossRef]
- Takagi, K.; Okabe, S. The effects of drugs on the production and recovery processes of the stress ulcer. Jpn. J. Pharmacol. 1968, 18, 9–18. [Google Scholar] [CrossRef]
- Bhattamisra, S.K.; Yan, V.L.Y.; Lee, C.K.; Kuean, C.H.; Candasamy, M.; Liew, Y.K.; Sahu, P.S. Protective activity of geraniol against acetic acid and helicobacter pylori-induced gastric ulcers in rats. J. Tradit. Complement. Med. 2019, 9, 206–214. [Google Scholar] [CrossRef] [PubMed]
- Bancroft, J.D.; Gamble, M. Theory and Practice of Histological Techniques; Elsevier Health Sciences: Amsterdam, The Netherlands, 2008. [Google Scholar]
- Ohkawa, H.; Ohishi, N.; Yagi, K. Assay for lipid peroxides in animal tissues by thiobarbituric acid reaction. Anal. Biochem. 1979, 95, 351–358. [Google Scholar] [CrossRef]
- Tietze, F. Enzymic method for quantitative determination of nanogram amounts of total and oxidized glutathione: Applications to mammalian blood and other tissues. Anal. Biochem. 1969, 27, 502–522. [Google Scholar] [CrossRef] [PubMed]
- Purushothaman, B.; Arumugam, P.; Ju, H.; Kulsi, G.; Samson, A.A.S.; Song, J.M. Novel ruthenium (ii) triazine complex [ru (bdpta)(tpy)] 2+ co-targeting drug resistant grp78 and subcellular organelles in cancer stem cells. Eur. J. Med. Chem. 2018, 156, 747–759. [Google Scholar] [CrossRef]
- Elshamy, A.I.; Farrag, A.R.H.; Ayoub, I.M.; Mahdy, K.A.; Taher, R.F.; Gendy, A.E.-N.G.E.; Mohamed, T.A.; Al-Rejaie, S.S.; Ei-Amier, Y.A.; Abd-Eigawad, A.M. Uplc-qtof-ms phytochemical profile and antiulcer potential of cyperus conglomeratus rottb. Alcoholic extract. Molecules 2020, 25, 4234. [Google Scholar] [CrossRef]
- Hassan, H.A.; Ayoub, I.M.; Ragab, T.I.; Afifi, S.M.; El-Gendy, A.E.-N.G.; Farrag, A.R.H.; Abd-Elgawad, A.M.; Farag, M.; Elshamy, A.; Ammar, N.M. Metabolomics approach of symphyotrichum squamatum ethanol extract and its nano-ag formulation protective effect on gastric ulcer via bio-chemical and pathological analyses. Biomarkers 2023, 28, 190–205. [Google Scholar] [CrossRef] [PubMed]
- Grabowska, K.; Buzdygan, W.; Galanty, A.; Wróbel-Biedrawa, D.; Sobolewska, D.; Podolak, I. Current knowledge on genus Bassia All.: A comprehensive review on traditional use, phytochemistry, pharmacological activity, and nonmedical applications. Phytochem. Rev. 2023. [Google Scholar] [CrossRef]
- Serag, A.; Baky, M.H.; Döll, S.; Farag, M.A. Uhplc-ms metabolome based classification of umbelliferous fruit taxa: A prospect for phyto-equivalency of its different accessions and in response to roasting. RSC Adv. 2020, 10, 76–85. [Google Scholar] [CrossRef]
- Crespo, I.; Garcia-Mediavilla, M.V.; Gutiérrez, B.; Sánchez-Campos, S.; Tunon, M.J.; González-Gallego, J. A comparison of the effects of kaempferol and quercetin on cytokine-induced pro-inflammatory status of cultured human endothelial cells. Br. J. Nutr. 2008, 100, 968–976. [Google Scholar] [CrossRef]
- Abdel-Tawab, M.S.; Tork, O.M.; Mostafa-Hedeab, G.; Hassan, M.E.; Elberry, D.A. Protective effects of quercetin and melatonin on indomethacin induced gastric ulcers in rats. Rep. Biochem. Mol. Biol. 2020, 9, 278. [Google Scholar] [CrossRef]
- Othman, A.; Amen, Y.; Shimizu, K. A novel acylated flavonol tetraglycoside and rare oleanane saponins with a unique acetal-linked dicarboxylic acid substituent from the xero-halophyte Bassia indica. Fitoterapia 2021, 152, 104907. [Google Scholar] [CrossRef] [PubMed]
- Liu, G.; Jiang, C.; Li, D.; Yao, L.; Lin, Y.; Wang, B.; Qiu, J.; Wang, W.; Wang, W. Isorhamnetin alleviates esophageal mucosal injury in a chronic model of reflux esophagitis. Eur. J. Pharmacol. 2019, 864, 172720. [Google Scholar] [CrossRef] [PubMed]
- Kamel, M.S.; Mohamed, K.M.; Hassanean, H.A.; Ohtani, K.; Kasai, R.; Yamasaki, K. Acylated flavonoid glycosides from Bassia muricata. Phytochemistry 2001, 57, 1259–1262. [Google Scholar] [CrossRef]
- Liang, T.-Y.; Deng, R.-M.; Li, X.; Xu, X.; Chen, G. The role of nitric oxide in peptic ulcer: A narrative review. Med. Gas Res. 2021, 11, 42. [Google Scholar]
- Yatim, R.; Rais, B.; Shah, N. A study on the evaluation of the anti-ulcerogenic activity of hyaluronic acid against ethanol induced gastric mucosal injury in rats. Int. J. Med. Med. Sci. 2020, 10, 001–008. [Google Scholar]
- Xue, Q.; Liu, X.; Zhu, R.; Zhang, T.; Dong, X.; Jiang, Y. Comprehensive analysis of transcriptomics and metabolomics to understand chronic ethanol induced murine cardiotoxicity. Mol. Cell. Biochem. 2022, 478, 1345–1359. [Google Scholar] [CrossRef]
- Wu, H.; Li, W.; Hao, M.; Wang, Y.; Xue, L.; Ju, C.; Zhang, C. An epr-independent extravasation strategy: Deformable leukocytes as vehicles for improved solid tumor therapy. Adv. Drug Deliv. Rev. 2022, 187, 114380. [Google Scholar] [CrossRef]
- Hobani, Y.H.; Mohan, S.; Shaheen, E.; Abdelhaleem, A.; Ahmad, M.F.; Bhatia, S.; Abou-Elhamd, A.S. Gastroprotective effect of low dose eugenol in experimental rats against ethanol induced toxicity: Involvement of antiinflammatory and antioxidant mechanism. J. Ethnopharmacol. 2022, 289, 115055. [Google Scholar] [CrossRef]
- Chen, X.; Ding, C.; Liu, W.; Liu, X.; Zhao, Y.; Zheng, Y.; Dong, L.; Khatoon, S.; Hao, M.; Peng, X. Abscisic acid ameliorates oxidative stress, inflammation, and apoptosis in thioacetamide-induced hepatic fibrosis by regulating the nf-κb signaling pathway in mice. Eur. J. Pharmacol. 2021, 891, 173652. [Google Scholar] [CrossRef]
- Chen, R.; Kang, R.; Tang, D. The mechanism of hmgb1 secretion and release. Exp. Mol. Med. 2022, 54, 91–102. [Google Scholar] [CrossRef]
- Manivannan, S.; Wales, E.; Zaben, M. The role of hmgb1 in traumatic brain injury—Bridging the gap between the laboratory and clinical studies. Curr. Neurol. Neurosci. Rep. 2021, 21, 75. [Google Scholar] [CrossRef] [PubMed]
- Robertson, S.A.; Hutchinson, M.R.; Rice, K.C.; Chin, P.Y.; Moldenhauer, L.M.; Stark, M.J.; Olson, D.M.; Keelan, J.A. Targeting toll-like receptor-4 to tackle preterm birth and fetal inflammatory injury. Clin. Transl. Immunol. 2020, 9, e1121. [Google Scholar] [CrossRef] [PubMed]
- Aboudounya, M.M.; Heads, R.J. COVID-19 and toll-like receptor 4 (tlr4): SARS-CoV-2 may bind and activate tlr4 to increase ace2 expression, facilitating entry and causing hyperinflammation. Mediat. Inflamm. 2021, 2021, 8874339. [Google Scholar] [CrossRef]
- Park, C.; Cha, H.-J.; Lee, H.; Kim, G.-Y.; Choi, Y.H. The regulation of the tlr4/nf-κb and nrf2/ho-1 signaling pathways is involved in the inhibition of lipopolysaccharide-induced inflammation and oxidative reactions by morroniside in raw 264.7 macrophages. Arch. Biochem. Biophys. 2021, 706, 108926. [Google Scholar] [CrossRef]
- Shareef, S.M.; Hameed, Z.E.; Shareef, L.G.; Alsaraf, K.M. Gastroprotective effect of zinnia elegans extracts against ethanol-induced gastric mucosal damage through downregulation of tlr4 and inflammatory cytokines. F1000Research 2022, 11, 1260. [Google Scholar]
- Shirafkan, F.; Shokri-Shirvani, J.; Morakabati, P.; Alhooei, S.; Pirzadeh, M.; Barari, L.; Hamidian, S.M.T.; Cherati, M.R.; Rajabnia, M.; Nouri, H.R. Expression of tlr1, tlr3 and tlr7 genes remarkably down-regulated from erosion to peptic ulcer and gastric cancer development. Gene Rep. 2021, 24, 101229. [Google Scholar] [CrossRef]
- Maziero Alves, G.; Aires, R.; De Souza Santos, V.; Zambom Côco, L.; Peters, B.; De Leone Evangelista Monteiro Assis, A.; Ramos Athaydes, B.; Gobbi Amorim, F.; Valentim Nogueira, B.; De Ribeiro Gonçalves, R.C. Sildenafil attenuates nonsteroidal anti-inflammatory-induced gastric ulceration in mice via antioxidant and antigenotoxic mechanisms. Clin. Exp. Pharmacol. Physiol. 2021, 48, 401–411. [Google Scholar] [CrossRef] [PubMed]
- Meng, T.; Xiao, D.; Muhammed, A.; Deng, J.; Chen, L.; He, J. Anti-inflammatory action and mechanisms of resveratrol. Molecules 2021, 26, 229. [Google Scholar] [CrossRef]
- Raish, M.; Shahid, M.; Bin Jardan, Y.A.; Ansari, M.A.; Alkharfy, K.M.; Ahad, A.; Abdelrahman, I.A.; Ahmad, A.; Al-Jenoobi, F.I. Gastroprotective effect of sinapic acid on ethanol-induced gastric ulcers in rats: Involvement of nrf2/ho-1 and nf-κb signaling and antiapoptotic role. Front. Pharmacol. 2021, 12, 622815. [Google Scholar] [CrossRef]
- Shams, S.G.E.; Eissa, R.G. Amelioration of ethanol-induced gastric ulcer in rats by quercetin: Implication of nrf2/ho1 and hmgb1/tlr4/nf-κb pathways. Heliyon 2022, 8, e11159. [Google Scholar] [CrossRef]
- Bhoumik, D.; Masresha, B.; Mallik, A. Antiulcer properties of herbal drugs: A review. Int. J. Biomed. Res. 2017, 8, 116–124. [Google Scholar]
- Zhao, X.; Zhu, K.; Yi, R.; Peng, D.; Song, J.-L. Total flavonoid from ba lotus leaf protected the reserpine-induced gastric ulcer in mice. Biomed. Res. 2017, 28, 345–352. [Google Scholar]
- Panche, A.N.; Diwan, A.D.; Chandra, S.R. Flavonoids: An overview. J. Nutr. Sci. 2016, 5, e47. [Google Scholar] [CrossRef] [PubMed]
- Liu, C.-M.; Ma, J.-Q.; Xie, W.-R.; Liu, S.-S.; Feng, Z.-J.; Zheng, G.-H.; Wang, A.-M. Quercetin protects mouse liver against nickel-induced DNA methylation and inflammation associated with the nrf2/ho-1 and p38/stat1/nf-κb pathway. Food Chem. Toxicol. 2015, 82, 19–26. [Google Scholar] [CrossRef] [PubMed]
- Dong, F.; Wang, S.; Wang, Y.; Yang, X.; Jiang, J.; Wu, D.; Qu, X.; Fan, H.; Yao, R. Quercetin ameliorates learning and memory via the nrf2-are signaling pathway in d-galactose-induced neurotoxicity in mice. Biochem. Biophys. Res. Commun. 2017, 491, 636–641. [Google Scholar] [CrossRef]
- Sharma, A.; Parikh, M.; Shah, H.; Gandhi, T. Modulation of nrf2 by quercetin in doxorubicin-treated rats. Heliyon 2020, 6, e03803. [Google Scholar] [CrossRef]
- Zhou, D.; Yang, Q.; Tian, T.; Chang, Y.; Li, Y.; Duan, L.-R.; Li, H.; Wang, S.-W. Gastroprotective effect of gallic acid against ethanol-induced gastric ulcer in rats: Involvement of the nrf2/ho-1 signaling and anti-apoptosis role. Biomed. Pharmacother. 2020, 126, 110075. [Google Scholar] [CrossRef]
- Dong, L.-Y.; Chen, F.; Xu, M.; Yao, L.-P.; Zhang, Y.-J.; Zhuang, Y. Quercetin attenuates myocardial ischemia-reperfusion injury via downregulation of the hmgb1-tlr4-nf-κb signaling pathway. Am. J. Transl. Res. 2018, 10, 1273. [Google Scholar]
- Kim, K.-H.; Chen, C.-C.; Monzon, R.I.; Lau, L.F. Matricellular protein ccn1 promotes regression of liver fibrosis through induction of cellular senescence in hepatic myofibroblasts. Mol. Cell. Biol. 2013, 33, 2078–2090. [Google Scholar] [CrossRef]
- Qu, J.; Zhang, Z.; Zhang, P.; Zheng, C.; Zhou, W.; Cui, W.; Xu, L.; Gao, J. Downregulation of hmgb1 is required for the protective role of nrf2 in emt-mediated pf. J. Cell. Physiol. 2019, 234, 8862–8872. [Google Scholar] [CrossRef]
- Badr, A.M.; El-Orabi, N.F.; Ali, R.A. The implication of the crosstalk of nrf2 with noxs, and hmgb1 in ethanol-induced gastric ulcer: Potential protective effect is afforded by raspberry ketone. PLoS ONE 2019, 14, e0220548. [Google Scholar] [CrossRef] [PubMed]









| Groups | Overall Pathologic Score |
|---|---|
| Normal control group | 0.30 e ± 0.15 |
| Ethanol-induced group | 6.70 a ± 0.15 |
| Omeprazole group | 1.30 d ± 0.36 |
| B. indica EtOH extract (25 mg/kg b.w) | 2.50 c ± 0.42 |
| B. indica EtOH extract (50 mg/kg b.w) | 3.70 b ± 0.36 |
| B. indica EtOH extract (100 mg/kg b.w) | 1.30 d ± 0.36 |
| Groups | TLR4 Expression (% of Positive Cells/HPF) | Caspase-3 Expression (% of Positive Cells/HPF) |
|---|---|---|
| Normal control group | 0.80 d ± 0.20 | 0.66 d ± 0.21 |
| Ethanol-induced group | 2.60 a ± 0.22 | 2.80 a ± 0.13 |
| Omeprazole group | 0.90 c,d ± 0.23 | 1.20 c,d ± 0.20 |
| B. indica EtOH extract (25 mg/kg b.w) | 1.20 b ± 0.13 | 1.60 b ± 0.22 |
| B. indica EtOH extract (50 mg/kg b.w) | 1.20 b ± 0.29 | 1.50 b,c ± 0.22 |
| B. indica EtOH extract (100 mg/kg b.w) | 0.50 d ± 0.16 | 0.90 c,d ± 0.23 |
| No | RT (min) | Mol. Ion | Molecular Formula [M + H]+ | Error (ppm) | Name | Class | MS/MS |
|---|---|---|---|---|---|---|---|
| 1 | 1.02 | 118.0864 | C5H12NO2+ | −1.3 | Valine | Amino acid | -- |
| 2 | 1.04 | 205.082 | C7H13N2O5+ | −0.3 | Glutamylglycine | Amino acid | 187, 169 |
| 3 | 2.70 | 328.1379 | C15H22NO7+ | 3.7 | Fructosyl phenylalanine | Amino acid | 310, 166 |
| 4 | 4.00 | 1081.314 | C48H57O28+ | −9.7 | Cyanidin-O-hexosyl coumaryl-trihexoside | Flavonoid | 757, 595, 449, 325, 287 |
| 5 | 4.10 | 773.2123 | C33H41O21+ | 1.6 | Quercetin-O-hexosyl-hamnosyl-hexoside | Flavonoid | 611, 465, 303 |
| 6 | 4.20 | 787.2292 | C34H43O21+ | 0 | Isorhamnetin-O-rhamnosyl-di-hexoside | Flavonoid | 641, 479, 325, 317, 303 |
| 7 | 4.30 | 935.2677 | C39H51O26+ | −1.5 | Quercetin-O-rhamnosyl-tri-hexoside | Flavonoid | 611, 465, 303 |
| 8 | 4.31 | 757.2194 | C33H41O20+ | −1.1 | Kaempferol-O-rhamnosyl -di-hexoside | Flavonoid | 611, 449, 287 |
| 9 | 4.60 | 949.2825 | C40H53O26+ | −0.6 | Isorhamnetin-O-rhamnosyl-tri hexoside | Flavonoid | 625, 479, 317 |
| 10 | 4.80 | 597.1458 | C26H29O16+ | −1.3 | Quercetin-O-pentosyl-hexoside | Flavonoid | 465,303 |
| 11 | 5.20 | 611.1606 | C27H31O16+ | 0.1 | Quercetin-O-rhamnosyl-hexoside | Flavonoid | 465,303 |
| 12 | 5.60 | 465.103 | C21H21O12+ | −0.4 | Quercetin-O-hexoside | Flavonoid | 303 |
| 13 | 6.10 | 595.1657 | C27H31O15+ | 0 | Kaempferol-O-hexosyl-rhamnoside | Flavonoid | 449, 287 |
| 14 | 6.40 | 625.1757 | C28H33O16+ | 0.9 | Isorhamnetin-O-rhamnosyl -hexoside | Flavonoid | 479, 317 |
| 15 | 6.80 | 581.1864 | C27H33O14+ | 0.2 | Naringenin-O-hexoside | Flavonoid | 435, 273 |
| 16 | 7.00 | 449.1076 | C21H21O11+ | 0.6 | Kaempferol-O-hexoside | Flavonoid | 287 |
| 17 | 7.40 | 479.1179 | C22H23O12+ | 1 | Rhamnetin-O-hexoside | Flavonoid | 317 |
| 18 | 10.30 | 303.0493 | C15H11O7+ | 2 | Quercetin | Flavonoid | -- |
| 19 | 11.40 | 311.2216 | C18H31O4+ | 0.4 | Hydroxy-oxo-octadecadienoic acid | Oxylipid | 293, 275 |
| 20 | 11.42 | 347.2426 | C18H35O6+ | 0.7 | Dihydroxyoctadecanedioic acid | Oxylipid | 311, 293, 275 |
| 21 | 11.50 | 246.2423 | C14H32NO2+ | 1.9 | Tetradecasphinganine | Sphingolipid | -- |
| 22 | 11.70 | 334.2947 | C18H40NO4+ | 1.4 | Dihydroxy-sphinganine | Sphingolipid | -- |
| 23 | 11.80 | 295.2261 | C18H31O3+ | 2.1 | Hydroxy octadecatrienoic acid | Oxylipid | 277, 259, 241 |
| 24 | 12.30 | 274.2735 | C16H36NO2+ | 2.2 | Hexadecasphinganine | Sphingolipid | -- |
| 25 | 12.60 | 318.2996 | C18H40NO3+ | 2 | Phytosphingosine | Sphingolipid | 256 |
| 26 | 12.60 | 487.3414 | C30H47O5+ | 0.8 | Bassic acid | Triterpenes | 469, 441, 395 |
| 27 | 13.10 | 302.3046 | C18H40NO2+ | 2.6 | Sphinganine | Sphingolipid | -- |
| 28 | 13.30 | 331.2833 | C19H39O4+ | 2.9 | Glyceryl palmitate | Oxylipid | 313, 239 |
| 29 | 13.90 | 330.336 | C20H44NO2+ | 1.9 | Eicosasphinganine | Sphingolipid | -- |
| 30 | 14.10 | 356.352 | C22H46NO2+ | 0.9 | N-Oleyldiethanolamine | Nitrogenous lipid | -- |
| 31 | 15.30 | 295.2256 | C18H31O3+ | 3.8 | Hydroxy octadecatrienoic acid isomer | Oxylipid | 277 |
| 32 | 15.60 | 284.2948 | C18H38NO+ | 0.1 | Octadecanamide | Nitrogenous lipid | 261, 252 |
| 33 | 15.70 | 279.2315 | C18H31O2+ | 1.4 | Octadecatrienoic acid | Oxylipid | 261 |
| 34 | 15.90 | 299.2573 | C18H35O3+ | 2.5 | Hydroxyoctadecenoic acid | Oxylipid | 281, 263 |
| 35 | 16.00 | 272.2609 | C16H34NO2+ | −9.3 | Aminohexadecanoic acid | Nitrogenous lipid | -- |
| 36 | 16.40 | 254.248 | C16H32NO+ | −0.7 | Hexadecenamide | Nitrogenous lipid | 237, 219 |
| 37 | 16.70 | 279.2311 | C18H31O2+ | 2.7 | Octadecatrienoic acid isomer | Oxylipid | 263, 245 |
| 38 | 16.90 | 310.3097 | C20H40NO+ | 2.5 | Eicosenamide | Nitrogenous lipid | 291 |
| 39 | 16.93 | 300.2891 | C18H38NO2+ | 2.1 | Sphingosine | Sphingolipid | 283 |
| 40 | 17.30 | 256.2628 | C16H34NO+ | 2.7 | Palmitamide | Nitrogenous lipid | -- |
Disclaimer/Publisher’s Note: The statements, opinions and data contained in all publications are solely those of the individual author(s) and contributor(s) and not of MDPI and/or the editor(s). MDPI and/or the editor(s) disclaim responsibility for any injury to people or property resulting from any ideas, methods, instructions or products referred to in the content. |
© 2023 by the authors. Licensee MDPI, Basel, Switzerland. This article is an open access article distributed under the terms and conditions of the Creative Commons Attribution (CC BY) license (https://creativecommons.org/licenses/by/4.0/).
Share and Cite
El-Gendy, Z.A.; Taher, R.F.; Elgamal, A.M.; Serag, A.; Hassan, A.; Jaleel, G.A.A.; Farag, M.A.; Elshamy, A.I. Metabolites Profiling and Bioassays Reveal Bassia indica Ethanol Extract Protective Effect against Stomach Ulcers Development via HMGB1/TLR-4/NF-κB Pathway. Antioxidants 2023, 12, 1263. https://doi.org/10.3390/antiox12061263
El-Gendy ZA, Taher RF, Elgamal AM, Serag A, Hassan A, Jaleel GAA, Farag MA, Elshamy AI. Metabolites Profiling and Bioassays Reveal Bassia indica Ethanol Extract Protective Effect against Stomach Ulcers Development via HMGB1/TLR-4/NF-κB Pathway. Antioxidants. 2023; 12(6):1263. https://doi.org/10.3390/antiox12061263
Chicago/Turabian StyleEl-Gendy, Zeinab A., Rehab F. Taher, Abdelbaset M. Elgamal, Ahmed Serag, Azza Hassan, Gehad A. Abdel Jaleel, Mohamed A. Farag, and Abdelsamed I. Elshamy. 2023. "Metabolites Profiling and Bioassays Reveal Bassia indica Ethanol Extract Protective Effect against Stomach Ulcers Development via HMGB1/TLR-4/NF-κB Pathway" Antioxidants 12, no. 6: 1263. https://doi.org/10.3390/antiox12061263
APA StyleEl-Gendy, Z. A., Taher, R. F., Elgamal, A. M., Serag, A., Hassan, A., Jaleel, G. A. A., Farag, M. A., & Elshamy, A. I. (2023). Metabolites Profiling and Bioassays Reveal Bassia indica Ethanol Extract Protective Effect against Stomach Ulcers Development via HMGB1/TLR-4/NF-κB Pathway. Antioxidants, 12(6), 1263. https://doi.org/10.3390/antiox12061263

