Tic Cough in an Adolescent with Organic Brain Pathology—A Case Report and Literature Review
Abstract
1. Introduction
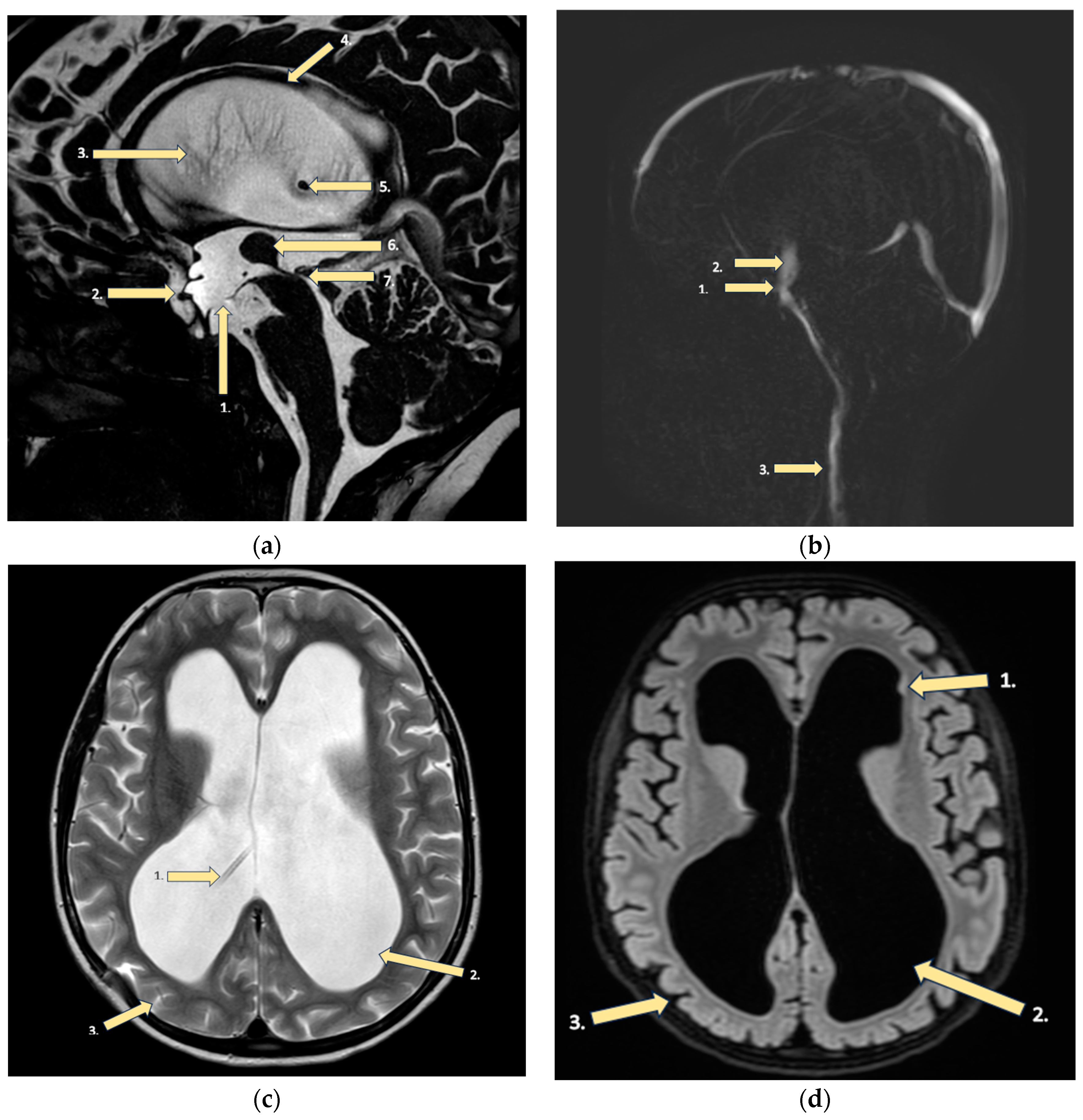
2. Case Presentation
3. Discussion
4. Conclusions
Author Contributions
Funding
Institutional Review Board Statement
Informed Consent Statement
Data Availability Statement
Conflicts of Interest
References
- On, P.C. Overview of chronic cough. Am. J. Manag. Care 2022, 28, 152–158. [Google Scholar]
- Chung, K.F.; McGarvey, L.; Song, W.J.; Chang, A.B.; Lai, K.; Canning, B.J.; Birring, S.S.; Smith, J.A.; Mazzone, S.B. Cough hypersensitivity and chronic cough. Nat. Rev. Dis. Primers 2022, 8, 45. [Google Scholar] [CrossRef] [PubMed]
- Weinberger, M. Chronic Cough and Causes in Children. J. Clin. Med. 2023, 12, 3947. [Google Scholar] [CrossRef] [PubMed]
- Morice, A.H.; Millqvist, E.; Bieksiene, K.; Birring, S.S.; Dicpinigaitis, P.; Domingo Ribas, C.; Hilton Boon, M.; Kantar, A.; Lai, K.; McGarvey, L.; et al. ERS guidelines on the diagnosis and treatment of chronic cough in adults and children. Eur. Respir. J. 2020, 55, 1901136. [Google Scholar] [CrossRef] [PubMed]
- Weinberger, M.; Fischer, A. Differential diagnosis of chronic cough in children. Allergy Asthma Proc. 2014, 35, 95–103. [Google Scholar] [CrossRef]
- Vertigan, A.E.; Murad, M.H.; Pringsheim, T.; Feinstein, A.; Chang, A.B.; Newcombe, P.A.; Rubin, B.K.; McGarvey, L.P.; Weir, K.; Altman, K.W.; et al. Somatic Cough Syndrome (Previously Referred to as Psychogenic Cough) and Tic Cough (Previously Referred to as Habit Cough) in Adults and Children: CHEST Guideline and Expert Panel Report. Chest 2015, 148, 24–31. [Google Scholar] [CrossRef]
- Chang, A.B.; Oppenheimer, J.J.; Kahrilas, P.J.; Kantar, A.; Rubin, B.K.; Weinberger, M.; Irwin, R.S. Chronic Cough and Gastroesophageal Reflux in Children: CHEST Guideline and Expert Panel Report. Chest 2019, 156, 131–140. [Google Scholar] [CrossRef]
- Yu, X.; Kong, L.; Jiang, W.; Dai, Y.; Wang, Y.; Huang, L.; Luo, W.; Lai, K.; Hao, C. Etiologies associated with chronic cough and its clinical characteristics in school-age children. J. Thorac. Dis. 2019, 11, 3093–3102. [Google Scholar] [CrossRef]
- Gallucci, M.; Pedretti, M.; Giannetti, A.; di Palmo, E.; Bertelli, L.; Pession, A.; Ricci, G. When the Cough Does Not Improve: A Review on Protracted Bacterial Bronchitis in Children. Front. Pediatr. 2020, 8, 433. [Google Scholar] [CrossRef]
- Liptzin, D.R.; Neemann, K.; McCulloh, R.; Singleton, R.; Smith, P.; Carlson, J.C. Controversies in Antibiotic Use for Chronic Wet Cough in Children. J. Pediatr. 2023, 264, 113762. [Google Scholar] [CrossRef]
- Martin, J.; Townshend, J.; Brodlie, M. Diagnosis and management of asthma in children. BMJ Paediatr. Open 2022, 6, e001277. [Google Scholar] [CrossRef]
- Fainardi, V.; Esposito, S.; Chetta, A.; Pisi, G. Asthma phenotypes and endotypes in childhood. Minerva Med. 2022, 113, 94–105. [Google Scholar] [CrossRef] [PubMed]
- Chang, A.B.; Robertson, C.F.; Van Asperen, P.P.; Glasgow, N.J.; Mellis, C.M.; Masters, I.B.; Teoh, L.; Tjhung, I.; Morris, P.S.; Petsky, H.L.; et al. A multicenter study on chronic cough in children: Burden and etiologies based on a standardized management pathway. Chest 2012, 142, 943–950. [Google Scholar] [CrossRef] [PubMed]
- Ozsezen, B.; Özcan, H.N.; Emiralioglu, N.; Ocak, E.; Ademhan Tural, D.; Sunman, B.; Nayir Buyuksahin, H.; Guzelkas, İ.; Cinel, G.; Orhan, D.; et al. Clinical radiological and pathological staging of children with hypersensitivity pneumonitis. Pediatr. Pulmonol. 2022, 57, 2344–2355. [Google Scholar] [CrossRef]
- Cassibba, J.; Epaud, R.; Berteloot, L.; Aberbache, S.; Bitton, L.; Fletcher, C.; Fleury, M.; Delestrain, C.; Corvol, H.; de Becdelièvre, A.; et al. The significance of multidisciplinary team meetings in diagnosing and managing childhood interstitial lung disease within the RespiRare network. Pediatr. Pulmonol. 2023; Online ahead of print. [Google Scholar] [CrossRef]
- Shah, K.; Nakafeero, J.; Kadota, J.L.; Wambi, P.; Nanyonga, G.; Kiconco, E.; Deus, A.; Sekadde, M.P.; Nabukenya-Mudiope, M.G.; Tukamuhebwa, H.A.; et al. The socioeconomic burden of pediatric tuberculosis and role of child-sensitive social protection. BMC Public Health 2023, 23, 2339. [Google Scholar] [CrossRef] [PubMed]
- Gasser, N.; Fritschi, N.; Egger, J.M.; Ritz, N.; Schoch, O.D.; Zellweger, J.P. Tuberculosis Case Detection and Guideline Adherence among Child Contacts in Switzerland: A Retrospective Observational Study. Respiration 2023, 102, 934–943. [Google Scholar] [CrossRef]
- Schultz, K.A.P.; Chintagumpala, M.; Piao, J.; Chen, K.S.; Shah, R.; Gartrell, R.D.; Christison-Lagay, E.; Pashnakar, F.; Berry, J.L.; O’Neill, A.F.; et al. Rare Tumors: Opportunities and challenges from the Children’s Oncology Group perspective. EJC Paediatr. Oncol. 2023, 2, 100024. [Google Scholar] [CrossRef]
- Karray, A.; Boussetta, A.; Sassi, F.; Cherifi, W.; Haouet, S.; Gargah, T. Type II pleuropulmonary blastoma mistaken for rhabdomyosarcoma: A case report. Int. J. Surg. Case Rep. 2023, 106, 108261. [Google Scholar] [CrossRef]
- Li, Y.; Wen, Y. Diagnosis of inflammatory myofibroblastic tumor in a pediatric patient initially suspected of tuberculosis. BMC Pediatr. 2023, 23, 597. [Google Scholar] [CrossRef]
- Bar-Yoseph, R.; Livnat, G.; Guilburd, J.; Vachyan, A.; Ilivitzky, A.; Bentur, L. Intractable cough in a preterm infant with ventriculoperitoneal shunt. Pediatr. Pulmonol. 2013, 48, 405–407. [Google Scholar] [CrossRef]
- Huhndorf, M.; Peters, S.; Cordt, J.; Margraf, N.G.; Salehi Ravesh, M.; Jansen, O.; Synowitz, M.; Cohrs, G. Venous 3D phase contrast magnetic resonance angiography increases diagnostic certainty in children with ventriculoperitoneal shunt and suspected shunt failure. Clin. Neuroradiol. 2023, 33, 1067–1074. [Google Scholar] [CrossRef] [PubMed]
- Albugami, S.M.; Alwadi, K.W.; Alrugaib, A.K.; Alsuwailim, A.M.; Aljared, T. Prevalence and characteristics of shunt malfunction without ventricular size change at King Abdulaziz Medical City in Riyadh. Neurosciences 2021, 26, 31–35. [Google Scholar] [CrossRef]
- ICD-10 Version: 2019. Available online: https://icd.who.int/browse10/2019/en (accessed on 20 October 2023).
- Velasco-Zúñiga, R.; Benito-Pastor, H.; Del Villar-Guerra, P.; Crespo-Valderrabano, L.; Fernández-Arribas, J.L.; Santamaría-Marcos, E. Psychogenic cough: A diagnosis of exclusion. Pediatr. Emerg. Care 2012, 28, 1218–1219. [Google Scholar] [CrossRef] [PubMed]
- Fujiki, R.B.; Wright, M.L.; Fujiki, A.E.; Thibeault, S.L. Factors influencing behavioral cough suppression therapy in children with nonspecific chronic cough. Pediatr. Pulmonol. 2023, 58, 3466–3477. [Google Scholar] [CrossRef]
- Weinberger, M.; Hurvitz, M. Diagnosis and management of chronic cough: Similarities and differences between children and adults. F1000Res 2020, 9, F1000. [Google Scholar] [CrossRef] [PubMed]
- Weinberger, M.; Lockshin, B. When is cough functional, and how should it be treated? Breathe 2017, 13, 22–30. [Google Scholar] [CrossRef]
- Tan, H.; Büyükavci, M.; Arik, A. Tourette’s syndrome manifests as chronic persistent cough. Yonsei Med. J. 2004, 45, 145–149. [Google Scholar] [CrossRef][Green Version]
- Duncan, K.L.; Faust, R.A. Tourette syndrome manifest as chronic cough. Int. J. Pediatr. Otorhinolaryngol. 2002, 65, 65–68. [Google Scholar] [CrossRef]
- Jones, K.S.; Saylam, E.; Ramphul, K. Tourette Syndrome and Other Tic Disorders. In StatPearls; StatPearls Publishing: Treasure Island, FL, USA, 2023. Available online: https://www.ncbi.nlm.nih.gov/books/NBK499958/ (accessed on 8 May 2023).
- Plessen, K.J.; Wentzel-Larsen, T.; Hugdahl, K.; Feineigle, P.; Klein, J.; Staib, L.H.; Leckman, J.F.; Bansal, R.; Peterson, B.S. Altered interhemispheric connectivity in individuals with Tourette’s disorder. Am. J. Psychiatry 2004, 161, 2028–2037. [Google Scholar] [CrossRef]
- Goldstein, A.; Covington, B.P.; Mahabadi, N.; Mesfin, F.B. Neuroanatomy, Corpus Callosum. In StatPearls; StatPearls Publishing: Treasure Island, FL, USA, 2023. Available online: https://www.ncbi.nlm.nih.gov/books/NBK448209/ (accessed on 3 April 2023).
- Urbanik, A.; Guz, W.; Gołębiowski, M.; Szurowska, E.; Majos, A.; Sąsiadek, M.; Stajgis, M.; Ostrogórska, M. Assessment of the corpus callosum size in male individuals with high intelligence quotient (members of Mensa International). Beurteilung der Größe des Corpus callosum bei männlichen Probanden mit einem hohen Intelligenzquotienten (Mitglieder von Mensa International). Radiologie 2023, 63, 49–54. [Google Scholar]
- Andronikou, S.; Pillay, T.; Gabuza, L.; Mahomed, N.; Naidoo, J.; Hlabangana, L.T.; du Plessis, V.; Prabhu, S.P. Corpus callosum thickness in children: An MR pattern-recognition approach on the midsagittal image. Pediatr. Radiol. 2015, 45, 258–272. [Google Scholar] [CrossRef] [PubMed]
- Kiene, H.; Hamre, H.J.; Kienle, G.S. In support of clinical case reports: A system of causality assessment. Glob. Adv. Health Med. 2013, 2, 64–75. [Google Scholar] [CrossRef]
- Abidi, K.T.; Kamal, N.M.; Bakkar, A.A.; Almarri, S.; Abdullah, R.; Alsufyani, M.; Alharbi, A. Vici syndrome with pathogenic homozygous EPG5 gene mutation: A case report and literature review. Medicine 2020, 99, e22302. [Google Scholar] [CrossRef]
- Leisman, G.; Sheldon, D. Tics and Emotions. Brain Sci. 2022, 12, 242. [Google Scholar] [CrossRef] [PubMed]
- Augustine, F.; Singer, H.S. Merging the Pathophysiology and Pharmacotherapy of Tics. Tremor Other Hyperkinet Mov. 2019, 8, 595. [Google Scholar] [CrossRef]
- Rahman, S.; Marwaha, R. Haloperidol. In StatPearls; StatPearls Publishing: Treasure Island, FL, USA, 2023. [Google Scholar]
- Saritha, D.; Elangovan, S. A case of vocal tics presented as chronic cough treated with risperidone. Indian. J. Psychiatry 2023, 65, 605–607. [Google Scholar] [CrossRef]
- Karakaya, I.; Şişmanlar, Ş.G. Tic disorders in the differential diagnosis of chronic cough in children in relation to four cases. Turk. Arch. Pediatr. 2015, 50, 176–179. [Google Scholar] [CrossRef] [PubMed]
- Cortes, A.A.; Landaeta, M.; Silva, C. An 11-year-old girl with up to 19,200 coughs per day: Broadening therapeutic strategies. Appl. Neuropsychol. Child 2015, 4, 72–78. [Google Scholar] [CrossRef]
- Yang, C.S.; Huang, H.; Zhang, L.L.; Zhu, C.R.; Guo, Q. Aripiprazole for the treatment of tic disorders in children: A systematic review and meta-analysis. BMC Psychiatry 2015, 15, 179. [Google Scholar] [CrossRef]
- Fleischhacker, W.W. Aripiprazole. Expert Opin. Pharmacother. 2005, 6, 2091–2101. [Google Scholar] [CrossRef]
- Gerasch, S.; Kanaan, A.S.; Jakubovski, E.; Müller-Vahl, K.R. Aripiprazole Improves Associated Comorbid Conditions in Addition to Tics in Adult Patients with Gilles de la Tourette Syndrome. Front. Neurosci. 2016, 10, 416. [Google Scholar] [CrossRef] [PubMed]
- Slovarp, L.J.; Jetté, M.E.; Gillespie, A.I.; Reynolds, J.E.; Barkmeier-Kraemer, J.M. Evaluation and Management Outcomes and Burdens in Patients with Refractory Chronic Cough Referred for Behavioral Cough Suppression Therapy. Lung 2021, 199, 263–271. [Google Scholar] [CrossRef] [PubMed]


| Type of Atrophy | |||
|---|---|---|---|
| Primary | Secondary | Focal | |
| Mechanism | Primary abnormality of myelination | Diffuse injury | Focal injury |
| Causes | Hypomyelinating leukoencephalopathies, Metabolic disorders affecting white matter, Microcephaly | Hypoxic–ischemic encephalopathy, HIV-induced encephalopathy, Hydrocephalus, Demyelinating diseases | Dysgenesis of corpus callosum, Localized metabolic disturbances, Hypoglycaemia, Prematurity-related injury of white matter, HIV-related atrophy, Brain infarction and vasculitis, Traumatic brain injury |
Disclaimer/Publisher’s Note: The statements, opinions and data contained in all publications are solely those of the individual author(s) and contributor(s) and not of MDPI and/or the editor(s). MDPI and/or the editor(s) disclaim responsibility for any injury to people or property resulting from any ideas, methods, instructions or products referred to in the content. |
© 2024 by the authors. Licensee MDPI, Basel, Switzerland. This article is an open access article distributed under the terms and conditions of the Creative Commons Attribution (CC BY) license (https://creativecommons.org/licenses/by/4.0/).
Share and Cite
Grinevica, A.; Udre, A.; Balodis, A.; Strumfa, I. Tic Cough in an Adolescent with Organic Brain Pathology—A Case Report and Literature Review. Brain Sci. 2024, 14, 79. https://doi.org/10.3390/brainsci14010079
Grinevica A, Udre A, Balodis A, Strumfa I. Tic Cough in an Adolescent with Organic Brain Pathology—A Case Report and Literature Review. Brain Sciences. 2024; 14(1):79. https://doi.org/10.3390/brainsci14010079
Chicago/Turabian StyleGrinevica, Agnese, Agnese Udre, Arturs Balodis, and Ilze Strumfa. 2024. "Tic Cough in an Adolescent with Organic Brain Pathology—A Case Report and Literature Review" Brain Sciences 14, no. 1: 79. https://doi.org/10.3390/brainsci14010079
APA StyleGrinevica, A., Udre, A., Balodis, A., & Strumfa, I. (2024). Tic Cough in an Adolescent with Organic Brain Pathology—A Case Report and Literature Review. Brain Sciences, 14(1), 79. https://doi.org/10.3390/brainsci14010079

