Characterization of Macular Structural and Microvascular Changes in Thalamic Infarction Patients: A Swept-Source Optical Coherence Tomography–Angiography Study
Abstract
1. Introduction
2. Materials and Methods
2.1. Study Participants and Clinical Data Collection
2.2. MRI Acquisition and Procession
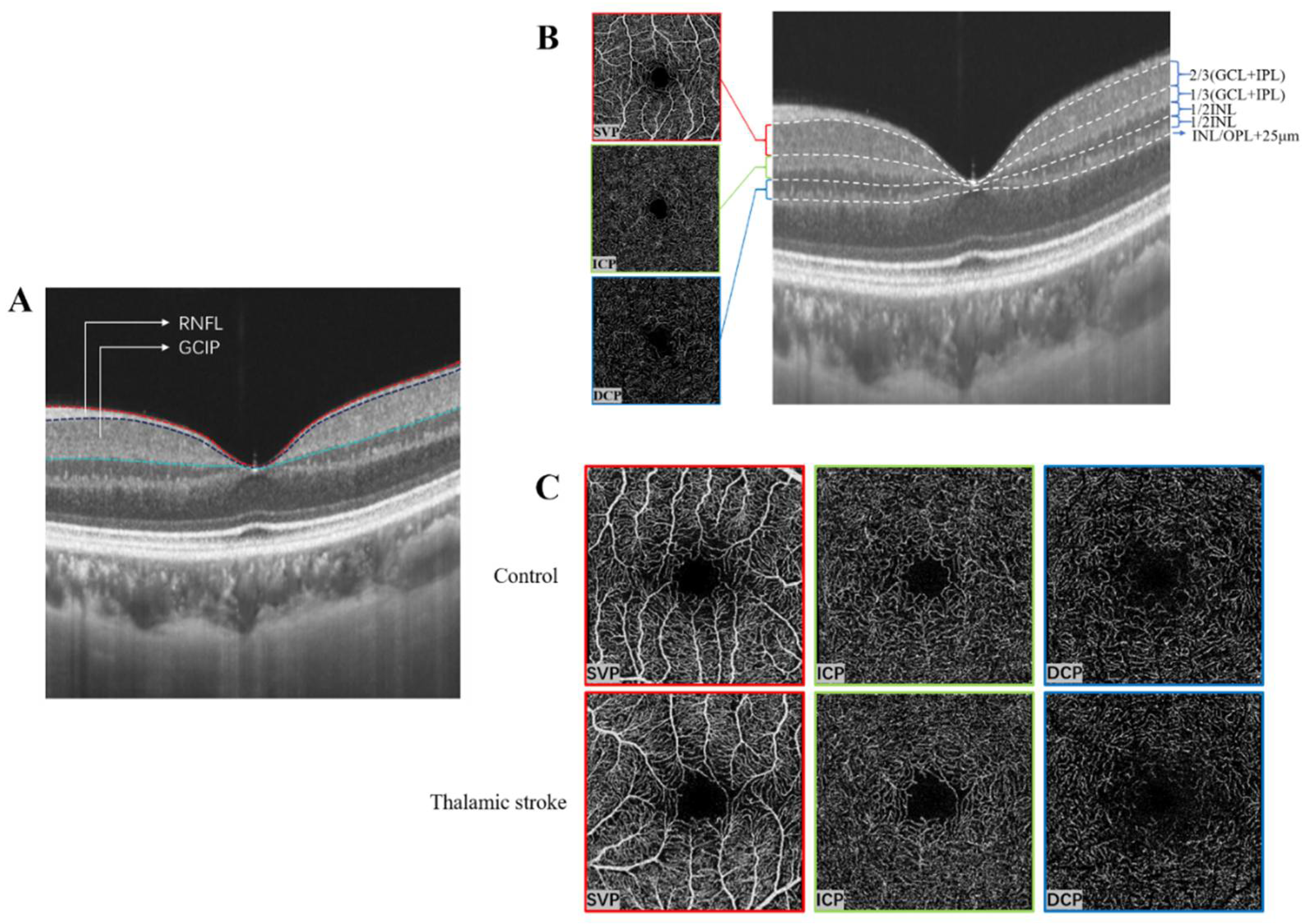
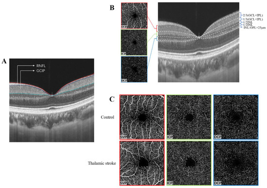
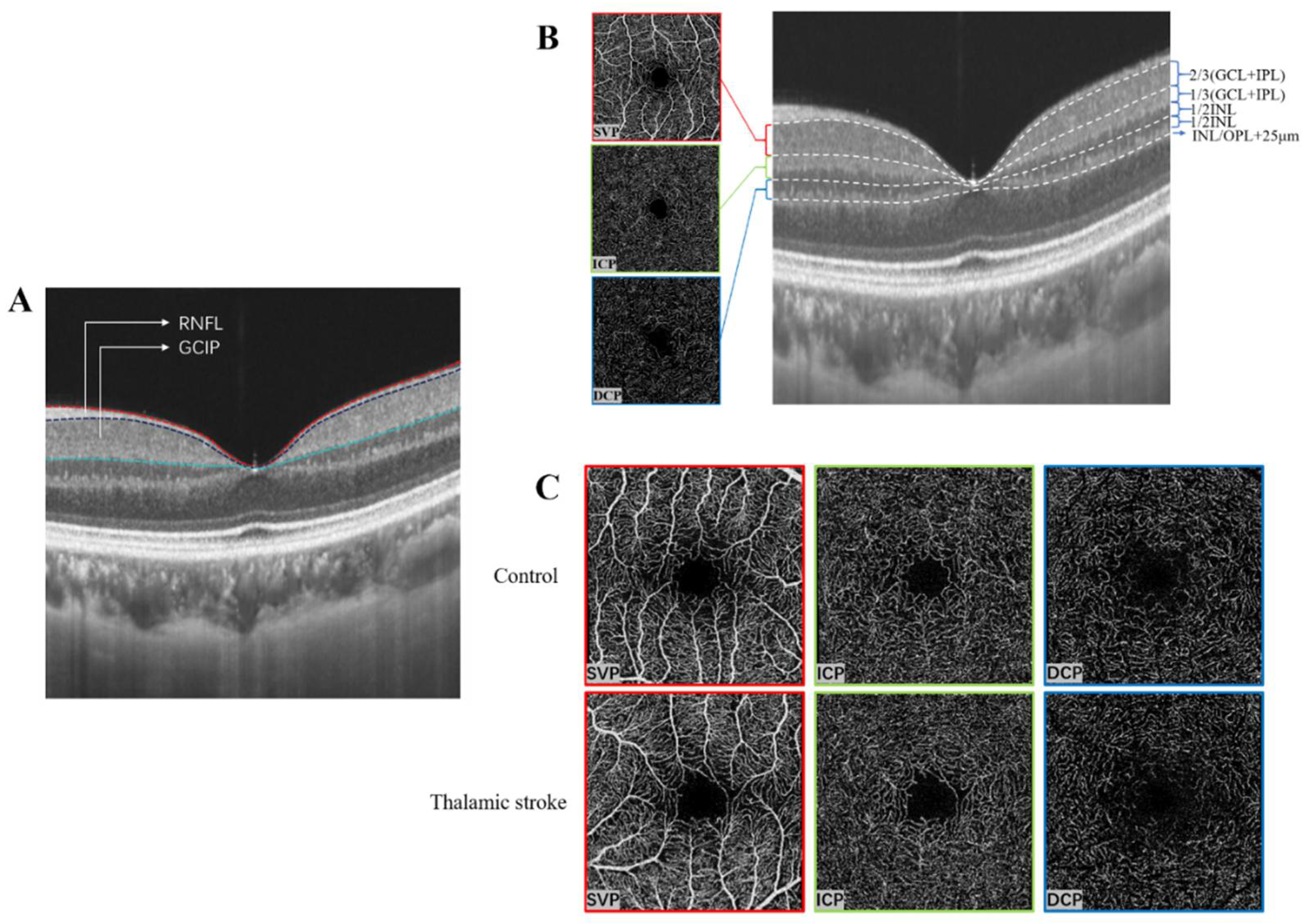
2.3. SS-OCT/OCTA Examination and Analysis
2.4. Statistical Analysis
3. Results
3.1. Baseline Characteristics
3.2. SS-OCT/SS-OCTA Changes among the Groups
3.3. Correlations of SS-OCT/OCTA Parameters with Lesion Size and Disease Duration in Thalamic Infarction Group
4. Discussion
5. Conclusions
Supplementary Materials
Author Contributions
Funding
Institutional Review Board Statement
Informed Consent Statement
Data Availability Statement
Conflicts of Interest
References
- Gorelick, P.B. The global burden of stroke: Persistent and disabling. Lancet Neurol. 2019, 18, 417–418. [Google Scholar] [CrossRef]
- Collaboorators, G.B.D.S. Global, regional, and national burden of stroke, 1990–2016: A systematic analysis for the Global Burden of Disease Study 2016. Lancet Neurol. 2019, 18, 439–458. [Google Scholar]
- Gurley, K.L.; Edlow, J.A. Avoiding Misdiagnosis in Patients With Posterior Circulation Ischemia: A Narrative Review. Acad. Emerg. Med. 2019, 26, 1273–1284. [Google Scholar] [CrossRef] [PubMed]
- Del Mar Sáez de Ocariz, M.; Nader, J.A.; Santos, J.A.; Bautista, M. Thalamic vascular lesions. Risk factors and clinical course for infarcts and hemorrhages. Stroke 1996, 27, 1530–1536. [Google Scholar] [CrossRef] [PubMed]
- Moon, Y.; Eah, K.S.; Lee, E.J.; Kang, D.W.; Kwon, S.U.; Kim, J.S.; Lim, H.T. Neuro-Ophthalmologic Features and Outcomes of Thalamic Infarction: A Single-Institutional 10-Year Experience. J. Neuroophthalmol. 2021, 41, 29–36. [Google Scholar] [CrossRef]
- Schmahmann, J.D. Vascular syndromes of the thalamus. Stroke 2003, 34, 2264–2278. [Google Scholar] [CrossRef]
- Annoni, J.M.; Khateb, A.; Gramigna, S.; Staub, F.; Carota, A.; Maeder, P.; Bogousslavsky, J. Chronic cognitive impairment following laterothalamic infarcts: A study of 9 cases. Arch. Neurol. 2003, 60, 1439–1443. [Google Scholar] [CrossRef][Green Version]
- Van Der Werf, Y.D.; Weerts, J.G.; Jolles, J.; Witter, M.P.; Lindeboom, J.; Scheltens, P. Neuropsychological correlates of a right unilateral lacunar thalamic infarction. J. Neurol. Neurosurg. Psychiatry 1999, 66, 36–42. [Google Scholar] [CrossRef]
- Vinychuk, S.; Prokopiv, M.; Trepet, L.M.; Fartushna, O. Thalamic stroke outcomes: A prospective hospital-based cohort study. Int. Neurol. J. 2019, 8, 12–16. [Google Scholar]
- Chen, X.Y.; Wang, Q.; Wang, X.; Wong, K.S. Clinical Features of Thalamic Stroke. Curr. Treat. Options Neurol. 2017, 19, 5. [Google Scholar] [CrossRef]
- Pezzini, A.; Del Zotto, E.; Archetti, S.; Albertini, A.; Gasparotti, R.; Magoni, M.; Vignolo, L.A.; Padovani, A. Thalamic infarcts in young adults: Relationship between clinical-topographic features and pathogenesis. Eur. Neurol. 2002, 47, 30–36. [Google Scholar] [CrossRef] [PubMed]
- Wang, X.; Fan, Y.H.; Lam, W.W.; Leung, T.W.; Wong, K.S. Clinical features, topographic patterns on DWI and etiology of thalamic infarcts. J. Neurol. Sci. 2008, 267, 147–153. [Google Scholar] [CrossRef] [PubMed]
- Roth, M.M.; Dahmen, J.C.; Muir, D.R.; Imhof, F.; Martini, F.J.; Hofer, S.B. Thalamic nuclei convey diverse contextual information to layer 1 of visual cortex. Nat. Neurosci. 2016, 19, 299–307. [Google Scholar] [CrossRef] [PubMed]
- Hwang, K.; Bertolero, M.; Liu, W.; D’Esposito, M. The Human Thalamus Is an Integrative Hub for Functional Brain Networks. J. Neurosci. 2017, 37, 0067-17. [Google Scholar] [CrossRef]
- Bogousslavsky, J.; Regli, F.; Uske, A. Thalamic infarcts: Clinical syndromes, etiology, and prognosis. Neurology 1988, 38, 837–848. [Google Scholar] [CrossRef]
- Kumral, E.; Deveci, E.E.; Çolak, A.Y.; Çağında, A.D.; Erdoğan, C. Multiple variant type thalamic infarcts: Pure and combined types. Acta Neurol. Scand. 2015, 131, 102–110. [Google Scholar] [CrossRef]
- London, A.; Benhar, I.; Schwartz, M. The retina as a window to the brain-from eye research to CNS disorders. Nat. Rev. Neurol. 2013, 9, 44–53. [Google Scholar] [CrossRef]
- Pula, J.H.; Yuen, C.A. Eyes and stroke: The visual aspects of cerebrovascular disease. Stroke Vasc. Neurol. 2017, 2, 210–220. [Google Scholar] [CrossRef]
- Cabrera DeBuc, D.; Somfai, G.M.; Koller, A. Retinal microvascular network alterations: Potential biomarkers of cerebrovascular and neural diseases. Am. J. Physiol. Heart Circ. Physiol. 2017, 312, H201–H212. [Google Scholar] [CrossRef]
- Zhang, Y.; Shi, C.; Chen, Y.; Wang, W.; Huang, S.; Han, Z.; Lin, X.; Lu, F.; Shen, M. Retinal Structural and Microvascular Alterations in Different Acute Ischemic Stroke Subtypes. J. Ophthalmol. 2020, 2020, 8850309. [Google Scholar] [CrossRef]
- Peng, C.; Kwapong, W.R.; Xu, S.; Muse, F.M.; Yan, J.; Qu, M.; Cao, Y.; Miao, H.; Zhen, Z.; Wu, B.; et al. Structural and Microvascular Changes in the Macular Are Associated With Severity of White Matter Lesions. Front. Neurol. 2020, 11, 521. [Google Scholar] [CrossRef] [PubMed]
- Kwapong, W.R.; Yan, Y.; Hao, Z.; Wu, B. Reduced Superficial Capillary Density in Cerebral Infarction Is Inversely Correlated With the NIHSS Score. Front. Aging Neurosci. 2021, 13, 74. [Google Scholar] [CrossRef] [PubMed]
- Wang, D.; Li, Y.; Wang, C.; Xu, L.; You, Q.S.; Wang, Y.X.; Zhao, L.; Wei, W.B.; Zhao, X.; Jonas, J.B. Localized retinal nerve fiber layer defects and stroke. Stroke 2014, 45, 1651–1656. [Google Scholar] [CrossRef] [PubMed]
- Park, H.Y.; Park, Y.G.; Cho, A.H.; Park, C.K. Transneuronal retrograde degeneration of the retinal ganglion cells in patients with cerebral infarction. Ophthalmology 2013, 120, 1292–1299. [Google Scholar] [CrossRef]
- Bridge, H.; Jindahra, P.; Barbur, J.; Plant, G.T. Imaging Reveals Optic Tract Degeneration in Hemianopia. Investig. Ophthalmol. Vis. Sci. 2011, 52, 382–388. [Google Scholar] [CrossRef]
- Millington, R.S.; Yasuda, C.L.; Jindahra, P.; Jenkinson, M.; Barbur, J.L.; Kennard, C.; Cendes, F.; Plant, G.T.; Bridge, H. Quantifying the pattern of optic tract degeneration in human hemianopia. J. Neurol. Neurosurg. Psychiatry 2014, 85, 379–386. [Google Scholar] [CrossRef]
- Mutlu, U.; Ikram, M.K.; Roshchupkin, G.V.; Bonnemaijer, P.W.M.; Colijn, J.M.; Vingerling, J.R.; Niessen, W.J.; Klaver, C.C.W.; Vernooij, M.W.; Ikram, M.A. Thinner retinal layers are associated with changes in the visual pathway: A population-based study. Hum. Brain Mapp. 2018, 39, 4290–4301. [Google Scholar] [CrossRef]
- Fahrenthold, B.K.; Cavanaugh, M.R.; Jang, S.; Murphy, A.J.; Ajina, S.; Bridge, H.; Huxlin, K.R. Optic Tract Shrinkage Limits Visual Restoration After Occipital Stroke. Stroke 2021, 52, 3642–3650. [Google Scholar] [CrossRef]
- Saionz, E.L.; Tadin, D.; Melnick, M.D.; Huxlin, K.R. Functional preservation and enhanced capacity for visual restoration in subacute occipital stroke. Brain 2020, 143, 1857–1872. [Google Scholar] [CrossRef]
- Bergsma, D.P.; Elshout, J.A.; van den Berg, A.V. Segregation of Spontaneous and Training Induced Recovery from Visual Field Defects in Subacute Stroke Patients. Front. Neurol. 2017, 8, 681. [Google Scholar] [CrossRef]
- Su, J.; Charalambakis, N.E.; Sabbagh, U.; Somaiya, R.D.; Monavarfeshani, A.; Guido, W.; Fox, M.A. Retinal inputs signal astrocytes to recruit interneurons into visual thalamus. Proc. Natl. Acad. Sci. USA 2020, 117, 2671–2682. [Google Scholar] [CrossRef]
- Adams, H.P., Jr.; Bendixen, B.H.; Kappelle, L.J.; Biller, J.; Love, B.B.; Gordon, D.L.; Marsh, E.E., 3rd. Classification of subtype of acute ischemic stroke. Definitions for use in a multicenter clinical trial. TOAST. Trial of Org 10172 in Acute Stroke Treatment. Stroke 1993, 24, 35–41. [Google Scholar] [CrossRef] [PubMed]
- Rorden, C.; Brett, M. Stereotaxic display of brain lesions. Behav. Neurol. 2000, 12, 191–200. [Google Scholar] [CrossRef] [PubMed]
- Garrity, S.T.; Iafe, N.A.; Phasukkijwatana, N.; Chen, X.; Sarraf, D. Quantitative Analysis of Three Distinct Retinal Capillary Plexuses in Healthy Eyes Using Optical Coherence Tomography Angiography. Investig. Ophthalmol. Vis. Sci. 2017, 58, 5548–5555. [Google Scholar] [CrossRef] [PubMed]
- Zhang, M.; Hwang, T.S.; Campbell, J.P.; Bailey, S.T.; Wilson, D.J.; Huang, D.; Jia, Y. Projection-resolved optical coherence tomographic angiography. Biomed. Opt. Express. 2016, 7, 816–828. [Google Scholar] [CrossRef] [PubMed]
- Lim, H.B.; Kim, Y.W.; Kim, J.M.; Jo, Y.J.; Kim, J.Y. The Importance of Signal Strength in Quantitative Assessment of Retinal Vessel Density Using Optical Coherence Tomography Angiography. Sci. Rep. 2018, 8, 12897. [Google Scholar] [CrossRef]
- Cruz-Herranz, A.; Balk, L.J.; Oberwahrenbrock, T.; Saidha, S.; Martinez-Lapiscina, E.H.; Lagreze, W.A.; Schuman, J.S.; Villoslada, P.; Calabresi, P.; Balcer, L.; et al. The APOSTEL recommendations for reporting quantitative optical coherence tomography studies. Neurology 2016, 86, 2303–2309. [Google Scholar] [CrossRef]
- Qu, M.; Kwapong, W.R.; Peng, C.; Cao, Y.; Lu, F.; Shen, M.; Han, Z. Retinal sublayer defect is independently associated with the severity of hypertensive white matter hyperintensity. Brain Behav. 2019, 10, e01521. [Google Scholar] [CrossRef]
- Costello, F.; Burton, J.M. Retinal imaging with optical coherence tomography: A biomarker in multiple sclerosis? Eye Brain 2018, 10, 47–63. [Google Scholar] [CrossRef]
- Prokopiv, M.M.; Fartushna, O.Y. Clinical syndromes of the thalamic stroke in the classical vascular territories: A prospective hospital-based cohort study. Wiad Lek 2020, 73, 489–493. [Google Scholar] [CrossRef]
- Jindahra, P.; Petrie, A.; Plant, G.T. Retrograde trans-synaptic retinal ganglion cell loss identified by optical coherence tomography. Brain 2009, 132 Pt 3, 628–634. [Google Scholar] [CrossRef] [PubMed]
- Caplan, L.R.; Wang, Q. Thalamic Lesions Caused by Deep Cerebral Venous Thrombosis: A Retrospective Study. Eur. Neurol. 2015, 74, 118–126. [Google Scholar] [CrossRef] [PubMed]
- Patton, N.; Aslam, T.; Macgillivray, T.; Pattie, A.; Deary, I.J.; Dhillon, B. Retinal vascular image analysis as a potential screening tool for cerebrovascular disease: A rationale based on homology between cerebral and retinal microvasculatures. J. Anat. 2005, 206, 319–348. [Google Scholar] [CrossRef] [PubMed]
- Nesper, P.L.; Fawzi, A.A. Human Parafoveal Capillary Vascular Anatomy and Connectivity Revealed by Optical Coherence Tomography Angiography. Investig. Ophthalmol. Vis. Sci. 2018, 59, 3858–3867. [Google Scholar] [CrossRef]
- Campbell, J.P.; Zhang, M.; Hwang, T.S.; Bailey, S.T.; Wilson, D.J.; Jia, Y.; Huang, D. Detailed Vascular Anatomy of the Human Retina by Projection-Resolved Optical Coherence Tomography Angiography. Sci. Rep. 2017, 7, 42201. [Google Scholar] [CrossRef] [PubMed]
- Yatsuya, H.; Folsom, A.R.; Wong, T.Y.; Klein, R.; Klein, B.E.; Sharrett, A.R. Retinal microvascular abnormalities and risk of lacunar stroke: Atherosclerosis Risk in Communities Study. Stroke 2010, 41, 1349–1355. [Google Scholar] [CrossRef]
- Wieberdink, R.G.; Ikram, M.K.; Koudstaal, P.J.; Hofman, A.; Vingerling, J.R.; Breteler, M.M. Retinal vascular calibers and the risk of intracerebral hemorrhage and cerebral infarction: The Rotterdam Study. Stroke 2010, 41, 2757–2761. [Google Scholar] [CrossRef]
- Klein, R.; Sharrett, A.R.; Klein, B.E.; Chambless, L.E.; Cooper, L.S.; Hubbard, L.D.; Evans, G. Are retinal arteriolar abnormalities related to atherosclerosis?: The Atherosclerosis Risk in Communities Study. Arterioscler. Thromb. Vasc. Biol. 2000, 20, 1644–1650. [Google Scholar] [CrossRef]
- Iwasaki, M.; Inomata, H. Relation between superficial capillaries and foveal structures in the human retina. Investig. Ophthalmol. Vis. Sci. 1986, 27, 1698–1705. [Google Scholar]
- Bonnin, S.; Mané, V.; Couturier, A.; Julien, M.; Paques, M.; Tadayoni, R.; Gaudric, A. New Insight into the Macular Deep Vascular Plexus Imaged by Optical Coherence Tomography Angiography. Retin.-J. Ret. Vit. Dis. 2015, 35, 2347–2352. [Google Scholar] [CrossRef]
- Wang, X.Y.; Li, M.; Ding, X.; Han, D.M. Application of optical coherence tomography angiography in evaluation of retinal microvascular changes in patients with obstructive sleep apnea syndrome. Zhonghua Yi Xue Za Zhi 2017, 97, 2501–2505. [Google Scholar]
- Kwapong, W.R.; Jiang, S.; Yan, Y.; Wan, J.; Wu, B. Macular Microvasculature Is Associated With Total Cerebral Small Vessel Disease Burden in Recent Single Subcortical Infarction. Front. Aging Neurosci. 2022, 13, 787775. [Google Scholar] [CrossRef] [PubMed]
- McGrory, S.; Ballerini, L.; Doubal, F.N.; Staals, J.; Allerhand, M.; Valdes-Hernandez, M.D.C.; Wang, X.; MacGillivray, T.; Doney, A.S.F.; Dhillon, B.; et al. Retinal microvasculature and cerebral small vessel disease in the Lothian Birth Cohort 1936 and Mild Stroke Study. Sci. Rep. 2019, 9, 6320. [Google Scholar] [CrossRef] [PubMed]
- Sacco, R.L.; Kasner, S.E.; Broderick, J.P.; Caplan, L.R.; Connors, J.J.; Culebras, A.; Elkind, M.S.; George, M.G.; Hamdan, A.D.; Higashida, R.T.; et al. An updated definition of stroke for the 21st century: A statement for healthcare professionals from the American Heart Association/American Stroke Association. Stroke 2013, 44, 2064–2089. [Google Scholar] [CrossRef] [PubMed]
- Pollock, A.; Hazelton, C.; Rowe, F.J.; Jonuscheit, S.; Kernohan, A.; Angilley, J.; Henderson, C.A.; Langhorne, P.; Campbell, P. Interventions for visual field defects in people with stroke. Cochrane Database Syst. Rev. 2019, 5, CD008388. [Google Scholar] [PubMed]
- Sahraie, A.; Smania, N.; Zihl, J. Use of NeuroEyeCoach to Improve Eye Movement Efficacy in Patients with Homonymous Visual Field Loss. Biomed Res. Int. 2016, 2016, 5186461. [Google Scholar] [CrossRef] [PubMed]
- Jindahra, P.; Petrie, A.; Plant, G.T. The time course of retrograde trans-synaptic degeneration following occipital lobe damage in humans. Brain 2012, 135 Pt 2, 534–541. [Google Scholar] [CrossRef]



| Thalamic Infarction (n = 35) | Control Participants (n = 31) | |
|---|---|---|
| Age, years | 60.26 ± 9.37 | 60.03 ± 6.71 |
| Gender (male), n | 24/11 | 20/11 |
| SBP, mmHg | 135.40 ± 22.51 | 134.96 ± 3.94 |
| DBP, mmHg | 84.11 ± 16.03 | 72.90 ± 8.46 |
| Hypertension, n | 21 | 14 |
| Type 2 Diabetes, n | 12 | 2 |
| Dyslipidemia, n | 10 | 6 |
| Current treatments, n | ||
| Antiplatelets | 35 | 1 |
| Anticoagulants | 0 | 0 |
| Antihypertension | 21 | 14 |
| Lipid-lowering | 35 | 6 |
| Antidiabetic drugs | 12 | 2 |
| Duration, months | 0.5 (0.1–8.5) | - |
| NIHSS score | 1 (0–4) | - |
| Lesion volume, cm3 | 0.32 (0.11–0.58) | - |
| Thalamic Infarction | Control Group | p | |
|---|---|---|---|
| SVP, mm2 | 0.202 ± 0.025 | 0.219 ± 0.019 | 0.001 |
| ICP, mm2 | 0.169 ± 0.018 | 0.186 ± 0.015 | 0.022 |
| DCP, mm2 | 0.118 ± 0.020 | 0.123 ± 0.013 | 0.763 |
| RNFL, µm | 17.388 ± 1.759 | 19.286 ± 1.162 | <0.001 |
| GCIPL, µm | 63.577 ± 8.298 | 71.277 ± 6.156 | 0.002 |
| Ipsilateral Eyes | Contralateral Eyes | p | |
|---|---|---|---|
| SVP, mm2 | 0.198 ± 0.023 | 0.205 ± 0.026 | 0.033 |
| ICP, mm2 | 0.169 ± 0.015 | 0.169 ± 0.021 | 0.650 |
| DCP, mm2 | 0.119 ± 0.020 | 0.117 ± 0.020 | 0.238 |
| RNFL, µm | 17.194 ± 1.742 | 17.552 ± 1.784 | 0.010 |
| GCIPL, µm | 62.397 ± 8.102 | 64.579 ± 8.454 | 0.043 |
| Lesion Volume | Duration, Months | |||
|---|---|---|---|---|
| B (95% CI) | p | B (95% CI) | p | |
| SVP, mm2 | 0.019 (0.010–0.028) | <0.001 | −0.001 (−0.003–0.001) | 0.321 |
| ICP, mm2 | 0.004 (0.001–0.008) | 0.026 | 0.0004 (−0.0005–0.001) | 0.372 |
| DCP, mm2 | −0.011 (−0.015–−0.007) | <0.001 | 0.0003 (−0.001–0.0003) | 0.278 |
| RNFL, µm | 1.321 (0.422–2.219) | 0.004 | −0.022 (−0.123–0.08) | 0.678 |
| GCIPL, µm | 7.226 (2.641–11.811) | 0.002 | −0.285 (−0.877–0.307) | 0.346 |
Publisher’s Note: MDPI stays neutral with regard to jurisdictional claims in published maps and institutional affiliations. |
© 2022 by the authors. Licensee MDPI, Basel, Switzerland. This article is an open access article distributed under the terms and conditions of the Creative Commons Attribution (CC BY) license (https://creativecommons.org/licenses/by/4.0/).
Share and Cite
Ye, C.; Kwapong, W.R.; Tao, W.; Lu, K.; Pan, R.; Wang, A.; Liu, J.; Liu, M.; Wu, B. Characterization of Macular Structural and Microvascular Changes in Thalamic Infarction Patients: A Swept-Source Optical Coherence Tomography–Angiography Study. Brain Sci. 2022, 12, 518. https://doi.org/10.3390/brainsci12050518
Ye C, Kwapong WR, Tao W, Lu K, Pan R, Wang A, Liu J, Liu M, Wu B. Characterization of Macular Structural and Microvascular Changes in Thalamic Infarction Patients: A Swept-Source Optical Coherence Tomography–Angiography Study. Brain Sciences. 2022; 12(5):518. https://doi.org/10.3390/brainsci12050518
Chicago/Turabian StyleYe, Chen, William Robert Kwapong, Wendan Tao, Kun Lu, Ruosu Pan, Anmo Wang, Junfeng Liu, Ming Liu, and Bo Wu. 2022. "Characterization of Macular Structural and Microvascular Changes in Thalamic Infarction Patients: A Swept-Source Optical Coherence Tomography–Angiography Study" Brain Sciences 12, no. 5: 518. https://doi.org/10.3390/brainsci12050518
APA StyleYe, C., Kwapong, W. R., Tao, W., Lu, K., Pan, R., Wang, A., Liu, J., Liu, M., & Wu, B. (2022). Characterization of Macular Structural and Microvascular Changes in Thalamic Infarction Patients: A Swept-Source Optical Coherence Tomography–Angiography Study. Brain Sciences, 12(5), 518. https://doi.org/10.3390/brainsci12050518

