Isolated Cervical Ruptured Radiculomedullary Artery Aneurysm Predominantly Presenting as Supratentorial Subarachnoid Hemorrhage: Case Report and Review of the Literature
Abstract
1. Introduction
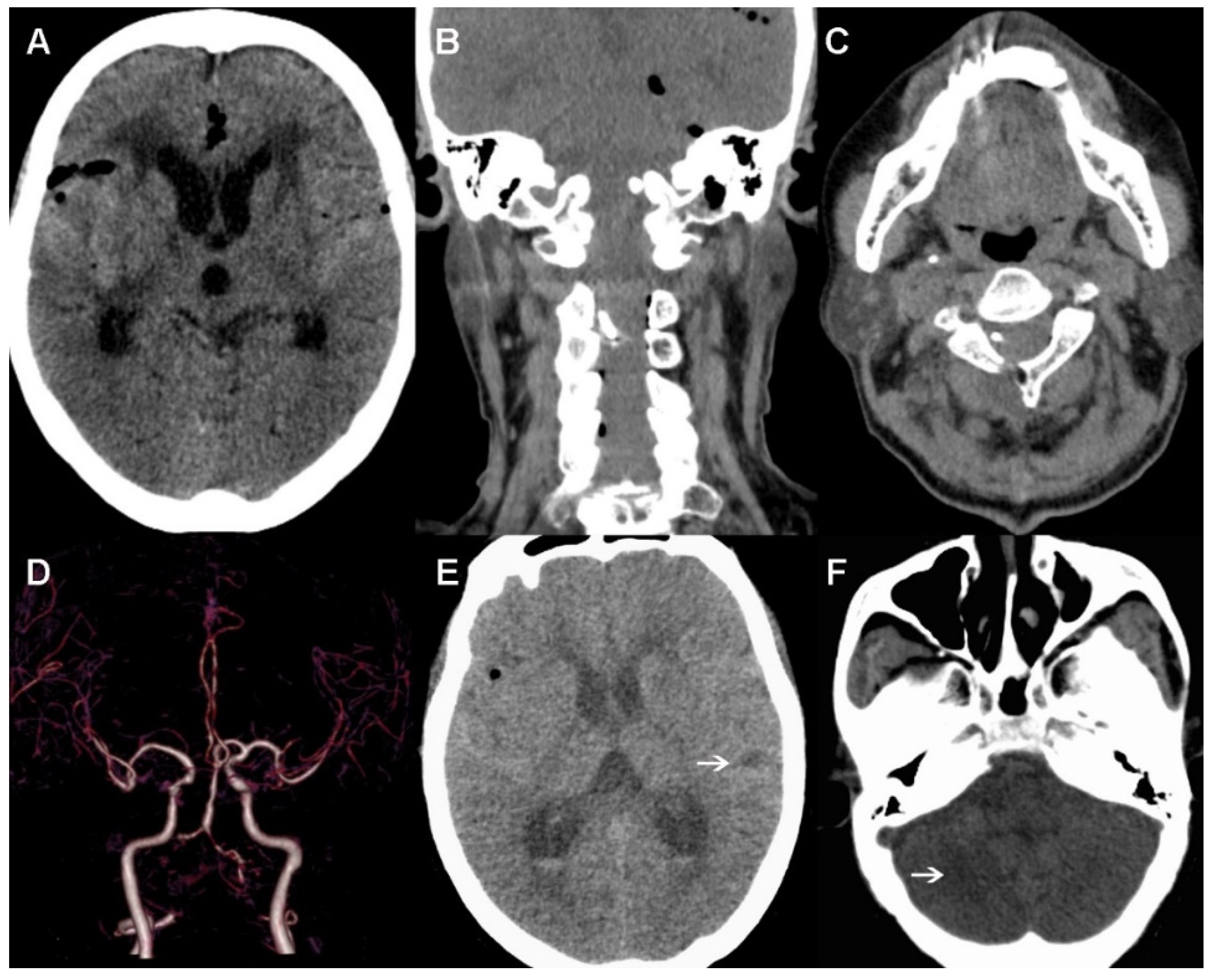
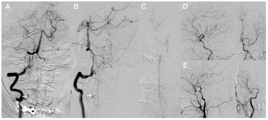
2. Case Presentation
3. Discussion
4. Conclusions
Author Contributions
Funding
Institutional Review Board Statement
Informed Consent Statement
Data Availability Statement
Conflicts of Interest
References
- Abdalkader, M.; Samuelsen, B.T.; Moore, J.M.; Cervantes-Arslanian, A.; Ong, C.J.; Setty, B.N.; Mian, A.Z.; Nguyen, T.N. Ruptured Spinal Aneurysms: Diagnosis and Management Paradigms. World Neurosurg. 2021, 146, e368–e377. [Google Scholar] [CrossRef] [PubMed]
- Nguyen, N.H.; Le, V.C.; Nguyen, T.Q.; Nguyen, T.H. Subarachnoid Hemorrhage due to Ruptured Spinal Artery Aneurysm: A Diagnostic Challenge. Case Rep. Neurol. 2020, 12, 169–175. [Google Scholar] [CrossRef] [PubMed]
- Yamazaki, D.; Hanaoka, Y.; Koyama, J.-I.; Suzuki, Y.; Agata, M.; Abe, D.; Nakamura, T.; Fujii, Y.; Ogiwara, T.; Horiuchi, T. Intraspinal canal platform system for coil embolization of anterior spinal artery aneurysm associated with spinal cord arteriovenous malformation: A case report and literature review. Br. J. Neurosurg. 2021, 1–6. [Google Scholar] [CrossRef]
- Hanakita, S.; Oya, S.; Tsuchiya, T.; Shojima, M.; Matsui, T. Extirpation of a Ruptured Anterior Spinal Artery Aneurysm Ac-companied by Dural Arteriovenous Fistula at the Craniovertebral Junction via a Posterolateral Approach: The Management of Extradural Venous Congestion. J. Neurol. Surg. Part B Skull Base 2019, 80, S344–S345. [Google Scholar] [CrossRef]
- Lucas, J.W.; Jones, J.; Farin, A.; Kim, P.; Giannotta, S.L. Cervical Spine Dural Arteriovenous Fistula With Coexisting Spinal Radiculopial Artery Aneurysm Presenting as Subarachnoid Hemorrhage: Case report. Neurosurgery 2011, 70, 259–263. [Google Scholar] [CrossRef]
- Singh, V.; Naik, S.; Shetty, G.S.; Phadke, R.V. Anterior spinal artery aneurysm in a case of Moyamoya disease. Acta Neurol. Belg. 2016, 116, 663–665. [Google Scholar] [CrossRef] [PubMed]
- Chonan, M.; Nishimura, S.; Kimura, N.; Ezura, M.; Uenohara, H.; Tominaga, T. A Ruptured Aneurysm Arising at the Leptomeningeal Collateral Circulation from the Extracranial Vertebral Artery to the Posterior Inferior Cerebellar Artery Associated with Bilateral Vertebral Artery Occlusion. J. Stroke Cerebrovasc. Dis. 2014, 23, e135–e139. [Google Scholar] [CrossRef]
- Erdi, F.; Keskin, F.; Kalkan, H.; Karatas, Y.; Koc, O. Ruptured spinal artery aneurysm associated with coarctation of the aorta. Spine J. 2016, 16, e23–e25. [Google Scholar] [CrossRef]
- Nakamura, H.; Kim, P.; Kanaya, H.; Kurokawa, R.; Murata, H.; Matsuda, H. Spinal Subarachnoid Hemorrhage Caused by a Mycotic Aneurysm of the Radiculomedullary Artery: A Case Report and Review of Literature. NMC Case Rep. J. 2015, 2, 49–52. [Google Scholar] [CrossRef][Green Version]
- Klingler, J.-H.; Gläsker, S.; Shah, M.J.; Van Velthoven, V. Rupture of a spinal artery aneurysm attributable to exacerbated sjögren syndrome. Neurosurgery 2009, 64, E1010–E1011. [Google Scholar] [CrossRef]
- Dabus, G.; Tosello, R.T.; Pereira, B.J.A.; Linfante, I.; Piske, R.L. Dissecting spinal aneurysms: Conservative management as a therapeutic option. J. NeuroInterv. Surg. 2018, 10, 451–454. [Google Scholar] [CrossRef] [PubMed]
- Rengachary, S.S.; Duke, D.A.; Tsai, F.Y.; Kragel, P.J. Spinal Arterial Aneurysm: Case report. Neurosurgery 1993, 33, 125–130. [Google Scholar] [CrossRef] [PubMed]
- Renieri, L.; Raz, E.; Lanzino, G.; Krings, T.; Shapiro, M.; Shirani, P.; Brinjikji, W. Spinal artery aneurysms: Clinical presentation, radiological findings and outcome. J. NeuroInterv. Surg. 2018, 10, 644–648. [Google Scholar] [CrossRef] [PubMed]
- Kim, H.J.; Choi, I.S. Dissecting Aneurysm of the Posterior Spinal Artery: Case report and review of the literature. Neurosurgery 2012, 71, E749–E756. [Google Scholar] [CrossRef] [PubMed]
- Ikeda, S.; Takai, K.; Kikkawa, Y.; Takeda, R.; Ikeda, T.; Kohyama, S.; Kurita, H. Ruptured posterior spinal artery aneurysm: Intraoperative and histologic findings with appreciable thrombosis. Spine J. 2016, 16, e215–e217. [Google Scholar] [CrossRef] [PubMed]
- Taniura, S.; Watanebe, T. A ruptured dissecting aneurysm of the anterior radiculomedullary artery caused by vertebral angiography. Neuroradiology 2000, 42, 539–542. [Google Scholar] [CrossRef]
- Fondop, J.; Blondel, B.; Rakotozanany, P.; Adetchessi, T.; Metellus, P.; Fuentes, S. Surgical management of cervical radiculomedullary arterial aneurysm with subarachnoid haemorrhage: A case report. Neurochirurgie 2014, 60, 265–268. [Google Scholar] [CrossRef]
- Shima, S.; Sato, S.; Motizuki, T.; Niimi, Y. Endovascular treatment for ruptured cervical anterior spinal artery aneurysm caused by occlusive disease of bilateral vertebral arteries: A case report and literature review. Clin. Neurol. Neurosurg. 2021, 208, 106862. [Google Scholar] [CrossRef]
- Bojanowski, M.W.; Stefanovic, K.; Bergeron, D.; Farzin, B.; Létourneau-Guillon, L.; Chaalala, C. Pregnancy as a Subgroup in the Pathophysiologic Classification of Spinal Aneurysms. World Neurosurg. 2021, 157, e264–e270. [Google Scholar] [CrossRef]
- Kawai, N.; Tatano, M.; Imoto, R.; Hirashita, K.; Yunoki, M.; Yoshino, K. A Case of Coil Embolization for a Ruptured Anterior Spinal Artery Aneurysm Associated with Bilateral Vertebral Artery Occlusion. NMC Case Rep. J. 2021, 8, 331–334. [Google Scholar] [CrossRef]
- Jethwa, P.R.; Gandhi, C.D.; Prestigiacomo, C.J. Cost-Effectiveness of Computed Tomographic Angiography in Screening for Aneurysm in Spontaneous Subarachnoid Hemorrhage. Neurosurgery 2014, 61, 137–144. [Google Scholar] [CrossRef]
- Priola, S.M.; Heyn, C.; Da Costa, L. Minimally Invasive Approach for the Removal of a Ruptured Radiculomedullary Artery Aneurysm: Case Report and Literature Review. World Neurosurg. 2019, 126, 605–610. [Google Scholar] [CrossRef]
- Ren, Y.; He, M.; You, C.; Li, J. Successful Surgical Resection of Spinal Artery Aneurysms: Report of 3 Cases. World Neurosurg. 2018, 109, 171–178. [Google Scholar] [CrossRef] [PubMed]
- Crobeddu, E.; Pilloni, G.; Zenga, F.; Cossandi, C.; Garbossa, D.; Lanotte, M. Dissecting Aneurysm of the L1 Radiculomedullary Artery Associated with Subarachnoid Hemorrhage: A Case Report. J. Neurol. Surg. Part A Cent. Eur. Neurosurg. 2021, 83, 99–103. [Google Scholar] [CrossRef] [PubMed]
- Simon-Gabriel, C.P.; Urbach, H.; Meckel, S. Ruptured Fusiform Aneurysm of the Anterior Spinal Artery: Successful Treatment with Flow Diverter Stent Placed in the Feeding Vertebral Artery. Clin. Neuroradiol. 2018, 28, 613–616. [Google Scholar] [CrossRef] [PubMed]
- Marbacher, S.; Kienzler, J.C.; Mendelowitsch, I.; D’Alonzo, D.; Andereggen, L.; Diepers, M.; Remonda, L.; Fandino, J. Comparison of Intra- and Postoperative 3-Dimensional Digital Subtraction Angiography in Evaluation of the Surgical Result After Intracranial Aneurysm Treatment. Neurosurgery 2019, 87, 689–696. [Google Scholar] [CrossRef] [PubMed]
- Marbacher, S.; Mendelowitsch, I.; Grüter, B.E.; Diepers, M.; Remonda, L.; Fandino, J. Comparison of 3D intraoperative digital subtraction angiography and intraoperative indocyanine green video angiography during intracranial aneurysm surgery. J. Neurosurg. 2019, 131, 64–71. [Google Scholar] [CrossRef]
- Jabbarli, R.; Pierscianek, D.; Rölz, R.; Oppong, M.D.; Kaier, K.; Shah, M.; Taschner, C.; Mönninghoff, C.; Urbach, H.; Beck, J.; et al. Endovascular treatment of cerebral vasospasm after subarachnoid hemorrhage: More is more. Neurology 2019, 93, e458–e466. [Google Scholar] [CrossRef]




| Reference Year | Age/Sex | Symptoms | Distribution of SAH | Aneurysm | Pathogenesis | Treatment | Outcome | Angiographic Follow-Up | |
|---|---|---|---|---|---|---|---|---|---|
| Location | Type | ||||||||
| [16], 2000 | 54/man | Neck pain | Spinal | Left C4-5 | Dissecting | Complication of DSA | Surgical wrapping | Good | Disappearance of aneurysm | 
| [17], 2014 | 30/female | Neck pain, headache | Posterior fossa | Left C6 | Saccular | Unclear | Surgical clipping | Good | Disappearance of aneurysm | 
| [9], 2015 | 59/female | Headache, tetraparesis | Spinal | Left C5 | Saccular | Mycotic | Surgical clipping | Death | / | 
| [11], 2018 | 36/female | Back pain | Spinal | Left C6/7 and C3/4 | Dissecting | Unclear | Conservative management | Good | Disappearance of aneurysm | 
| [10], 2009 | 46/female | Headache | Perimedullary | Right C3 | Dissecting | Sjogren syndrome -associated | Conservative management | Good | Disappearance of aneurysm | 
| This case | 68/female | Headache | Supra- and infratentorial | Right C2 | Saccular | Unclear | Surgical clipping | Death | / | 
| Publisher’s Note: MDPI stays neutral with regard to jurisdictional claims in published maps and institutional affiliations. | 
© 2022 by the authors. Licensee MDPI, Basel, Switzerland. This article is an open access article distributed under the terms and conditions of the Creative Commons Attribution (CC BY) license (https://creativecommons.org/licenses/by/4.0/).
Share and Cite
Chen, F.; Lu, W.; Lian, B.; Kang, D.; Dai, L. Isolated Cervical Ruptured Radiculomedullary Artery Aneurysm Predominantly Presenting as Supratentorial Subarachnoid Hemorrhage: Case Report and Review of the Literature. Brain Sci. 2022, 12, 519. https://doi.org/10.3390/brainsci12050519
Chen F, Lu W, Lian B, Kang D, Dai L. Isolated Cervical Ruptured Radiculomedullary Artery Aneurysm Predominantly Presenting as Supratentorial Subarachnoid Hemorrhage: Case Report and Review of the Literature. Brain Sciences. 2022; 12(5):519. https://doi.org/10.3390/brainsci12050519
Chicago/Turabian StyleChen, Fuxiang, Wen Lu, Baoqiang Lian, Dezhi Kang, and Linsun Dai. 2022. "Isolated Cervical Ruptured Radiculomedullary Artery Aneurysm Predominantly Presenting as Supratentorial Subarachnoid Hemorrhage: Case Report and Review of the Literature" Brain Sciences 12, no. 5: 519. https://doi.org/10.3390/brainsci12050519
APA StyleChen, F., Lu, W., Lian, B., Kang, D., & Dai, L. (2022). Isolated Cervical Ruptured Radiculomedullary Artery Aneurysm Predominantly Presenting as Supratentorial Subarachnoid Hemorrhage: Case Report and Review of the Literature. Brain Sciences, 12(5), 519. https://doi.org/10.3390/brainsci12050519
 
         
                                                
 
       