Ruptured Thoracolumbar Perimedullary Arteriovenous Fistula during Pregnancy Complicated by Cerebral Subarachnoid Hemorrhage and Brainstem Hematoma: A Case Report
Abstract
1. Introduction
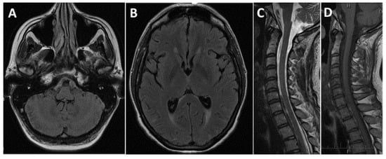
2. Case Report
3. Discussion
4. Conclusions
Author Contributions
Funding
Acknowledgments
Conflicts of Interest
References
- Kim, L.J.; Spetzler, R.F. Classification and Surgical Management of Spinal Arteriovenous Lesions: Arteriovenous Fistulae and Arteriovenous Malformations. Neurosurgery 2006, 59, S3-195–S3-201. [Google Scholar] [CrossRef]
- Brinjikji, W.; Lanzino, G. Endovascular treatment of spinal arteriovenous malformations. In Handbook of Clinical Neurology; Elsevier: Amsterdam, The Netherlands, 2017; Volume 143, pp. 161–174. ISBN 978-0-444-63640-9. [Google Scholar]
- Ji, T.; Guo, Y.; Shi, L.; Yu, J. Study and therapeutic progress on spinal cord perimedullary arteriovenous fistulas. Biomed. Rep. 2017, 7, 214–220. [Google Scholar] [CrossRef] [PubMed]
- Gross, B.A.; Du, R. Spinal Pial (Type IV) Arteriovenous Fistulae. Neurosurgery 2013, 73, 141–151. [Google Scholar] [CrossRef] [PubMed]
- Eskandar, E.N.; Borges, L.F.; Budzik, R.F.; Putman, C.M.; Ogilvy, C.S. Spinal dural arteriovenous fistulas: Experience with endovascular and surgical therapy. J. Neurosurg. 2002, 96, 162–167. [Google Scholar] [CrossRef]
- Heros, R.C.; Debrun, G.M.; Ojemann, R.G.; Lasjaunias, P.L.; Naessens, P.J. Direct spinal arteriovenous fistula: A new type of spinal AVM. Case report. J. Neurosurg. 1986, 64, 134–139. [Google Scholar] [CrossRef]
- Cenzato, M.; Debernardi, A.; Stefini, R.; D’Aliberti, G.; Piparo, M.; Talamonti, G.; Coppini, M.; Versari, P. Spinal dural arteriovenous fistulas: Outcome and prognostic factors. FOC 2012, 32, E11. [Google Scholar] [CrossRef]
- Hejčl, A.; Lodin, J.; Cihlář, F.; Sameš, M. Spontaneous Subarachnoid Hemorrhage in a Patient with a Co-Existe nt Posterior Communicating Artery Aneurysm and Cervical Spine Aneurysm Associated with Ventral Arterio-Venous Fistula. Brain Sci. 2020, 10, 70. [Google Scholar] [CrossRef]
- Germans, M.R.; Coert, B.A.; Majoie, C.B.L.M.; van den Berg, R.; Verbaan, D.; Vandertop, W.P. Spinal axis imaging in non-aneurysmal subarachnoid hemorrhage: A prospective cohort study. J. Neurol. 2014, 261, 2199–2203. [Google Scholar] [CrossRef]
- Ulrich, C.T.; Beck, J.; Seifert, V.; Marquardt, G. Ependymoma of conus medullaris presenting as subarachnoid haemorrhage. Acta Neurochir. 2008, 150, 185–188. [Google Scholar] [CrossRef] [PubMed]
- Parmar, H.; Pang, B.C.; Lim, C.C.T.; Chng, S.M.; Tan, K.K. Spinal schwannoma with acute subarachnoid hemorrhage: A diagnostic challenge. Am. J. Neuroradiol. 2004, 25, 846–850. [Google Scholar] [PubMed]
- Yue, H.; Ling, W.; Ou, Y.; Chen, H.; Po, Z.; Wang, B.; Yu, J.; Guo, D. Intracranial subarachnoid hemorrhage resulting from non-cervical spinal arteriovenous lesions: Analysis of possible cause of bleeding and literature review. Clin. Neurol. Neurosurg. 2019, 184, 105371. [Google Scholar] [CrossRef] [PubMed]
- Vates, G.E.; Quiñones-Hinojosa, A.; Halbach, V.V.; Lawton, M.T. Conus Perimedullary Arteriovenous Fistula with Intracranial Drainage: Case Report. Neurosurgery 2001, 49, 457–462. [Google Scholar] [CrossRef] [PubMed]
- Bagherpour, A.N.; Rodriguez, G.J.; Moorthy, C.; Trier, T.T.; Maud, A. Combined surgical and endovascular treatment of complex high-flow conus medullaris arteriovenous fistula associated with Parkes Weber syndrome: Case report. SPI 2016, 25, 234–238. [Google Scholar] [CrossRef] [PubMed]
- Akter, M.; Hirai, T.; Kitajima, M.; Kai, Y.; Morioka, M.; Sasao, A.; Utsunomiya, D.; Uetani, H.; Korogi, Y.; Yamashita, Y. Type 1 Perimedullary Arteriovenous Fistula with Subarachnoid Hemorrhage: Utility of Contrast-enhanced 3D Gradient-echo Technique. MRMS 2011, 10, 143–147. [Google Scholar] [CrossRef][Green Version]
- Ohmori, Y.; Hamada, J.; Morioka, M.; Yoshida, A. Spinal aneurysm arising from the feeding pedicle of a thoracic perimedullary arteriovenous fistula: Case report. Surg. Neurol. 2005, 64, 468–470. [Google Scholar] [CrossRef]
- Kenning, T.J.; Deshaies, E.M.; Adamo, M.A.; Waldman, J.B.; Boulos, A.S. Onyx embolization of a thoracolumbar perimedullary spinal arteriovenous fistula in an infant presenting with subarachnoid and intraventricular hemorrhage: Case report. PED 2009, 3, 211–214. [Google Scholar] [CrossRef]
- Barzó, P.; Vörös, E.; Bodosi, M. Intraventricular hemorrhage as a false localizing sign of a thoracolumbar arteriovenous malformation: Case report. Surg. Neurol. 1999, 51, 430–434. [Google Scholar] [CrossRef]
- Zhu, D.; Zhao, P.; Lv, N.; Li, Q.; Fang, Y.; Li, Z.; Zhang, H.; Duan, G.; Hong, B.; Xu, Y.; et al. Rupture Risk of Cerebral Arteriovenous Malformations During Pregnancy and Puerperium: A Single-Center Experience and Pooled Data Analysis. World Neurosurg. 2018, 111, e308–e315. [Google Scholar] [CrossRef]
- Kinoshita, M.; Asai, A.; Komeda, S.; Yoshimura, K.; Takeda, J.; Uesaka, T.; Yamanouchi, Y.; Kanzaki, H.; Kawamoto, K. Spontaneous Regression of a Spinal Extradural Arteriovenous Fistula After Delivery by Cesarean Section. Neurol. Med. Chir. 2009, 49, 313–315. [Google Scholar] [CrossRef]
- Thiele, C.E. Ruptured Spinal Arteriovenous Malformation: A Rare Cause of Paraplegia in Pregnancy. Case Rep. Obstet. Gynecol. 2018, 2018. [Google Scholar] [CrossRef]
- Staelens, A.S.E.; Van Cauwelaert, S.; Tomsin, K.; Mesens, T.; Malbrain, M.L.N.; Gyselaers, W. Intra-Abdominal Pressure Measurements in Term Pregnancy and Postpartum: An Observational Study. PLoS ONE 2014, 9, e104782. [Google Scholar] [CrossRef] [PubMed]
- Liu, X.; Ogata, A.; Masuoka, J.; Inoue, K.; Nakahara, Y.; Shimokawa, S.; Takase, Y.; Yakushiji, Y.; Hara, H.; Abe, T. Dural arteriovenous fistula manifesting as pontine hemorrhage at the craniocervical junction. Acta Neurochir. 2017, 159, 831–834. [Google Scholar] [CrossRef] [PubMed]




© 2020 by the authors. Licensee MDPI, Basel, Switzerland. This article is an open access article distributed under the terms and conditions of the Creative Commons Attribution (CC BY) license (http://creativecommons.org/licenses/by/4.0/).
Share and Cite
Sroubek, J.; Janouskova, L.; Klener, J. Ruptured Thoracolumbar Perimedullary Arteriovenous Fistula during Pregnancy Complicated by Cerebral Subarachnoid Hemorrhage and Brainstem Hematoma: A Case Report. Brain Sci. 2020, 10, 561. https://doi.org/10.3390/brainsci10080561
Sroubek J, Janouskova L, Klener J. Ruptured Thoracolumbar Perimedullary Arteriovenous Fistula during Pregnancy Complicated by Cerebral Subarachnoid Hemorrhage and Brainstem Hematoma: A Case Report. Brain Sciences. 2020; 10(8):561. https://doi.org/10.3390/brainsci10080561
Chicago/Turabian StyleSroubek, Jan, Ladislava Janouskova, and Jan Klener. 2020. "Ruptured Thoracolumbar Perimedullary Arteriovenous Fistula during Pregnancy Complicated by Cerebral Subarachnoid Hemorrhage and Brainstem Hematoma: A Case Report" Brain Sciences 10, no. 8: 561. https://doi.org/10.3390/brainsci10080561
APA StyleSroubek, J., Janouskova, L., & Klener, J. (2020). Ruptured Thoracolumbar Perimedullary Arteriovenous Fistula during Pregnancy Complicated by Cerebral Subarachnoid Hemorrhage and Brainstem Hematoma: A Case Report. Brain Sciences, 10(8), 561. https://doi.org/10.3390/brainsci10080561

