Therapy of Dysphagia by Prolonged Pharyngeal Electrical Stimulation (Phagenyx) in a Patient with Brainstem Infarction
Abstract
1. Introduction
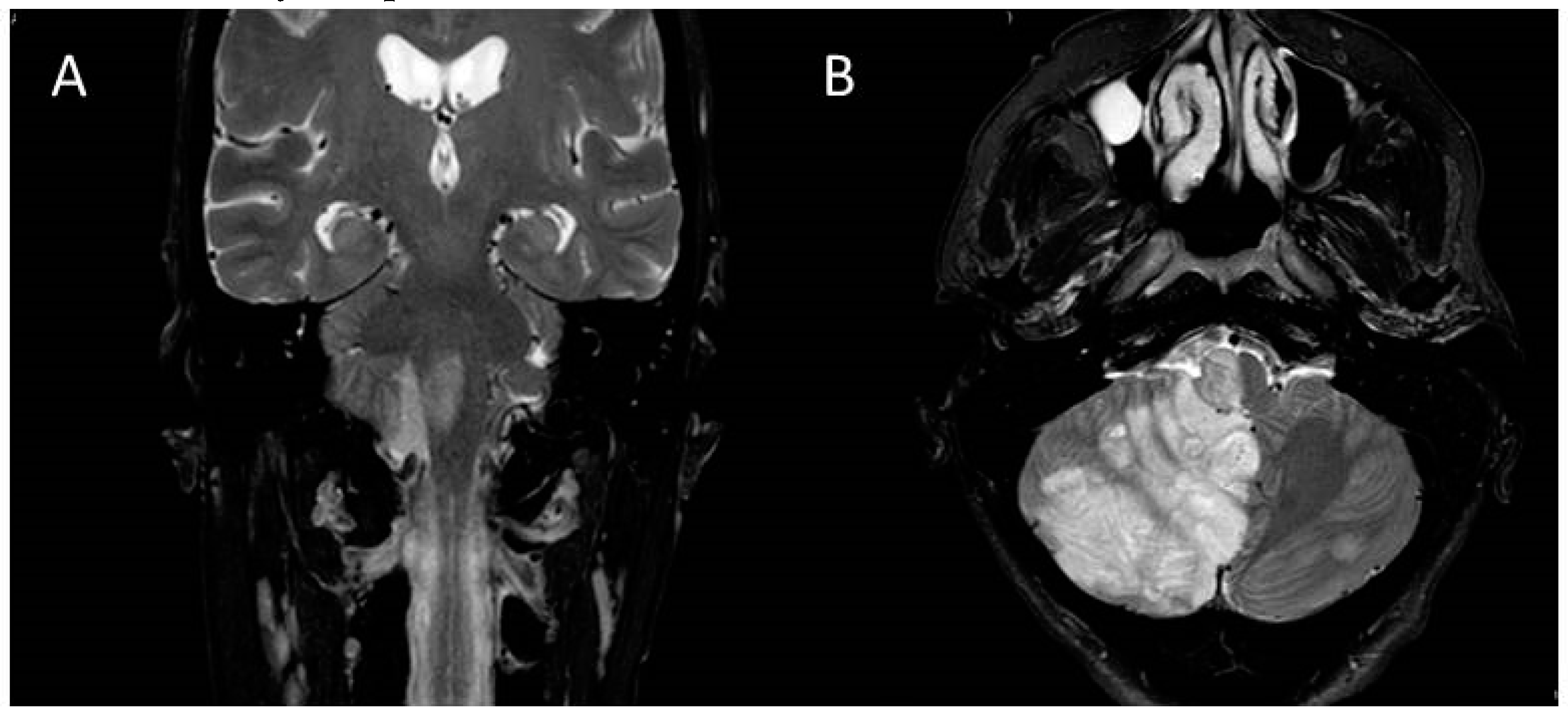
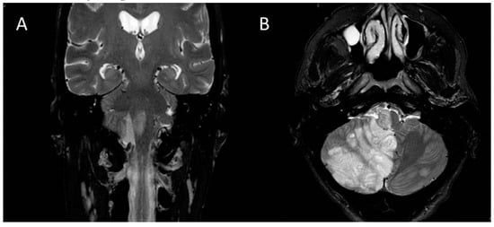
2. Case Report
3. Discussion
4. Conclusions
Author Contributions
Funding
Acknowledgments
Conflicts of Interest
Ethical Statement
References
- May, N.H.; Pisegna, J.M.; Marchina, S.; Langmore, S.E.; Kumar, S.; Pearson, W. Pharyngeal Swallowing Mechanics Secondary to Hemispheric Stroke. J. Stroke Cerebrovasc. Dis. 2016, 26, 952–961. [Google Scholar] [CrossRef] [PubMed]
- Restivo, D.; Hamdy, S. Pharyngeal electrical stimulation device for the treatment of neurogenic dysphagia: Technology update. Med. Devices Évid. Res. 2018, 11, 21–26. [Google Scholar] [CrossRef] [PubMed]
- Jayasekeran, V.; Singh, S.; Tyrrell, P.; Michou, E.; Jefferson, S.; Mistry, S.; Gamble, E.; Rothwell, J.C.; Thompson, D.; Hamdy, S. Adjunctive Functional Pharyngeal Electrical Stimulation Reverses Swallowing Disability After Brain Lesions. Gastroenterol 2010, 138, 1737–1746. [Google Scholar] [CrossRef] [PubMed]
- Scutt, P.; Lee, H.S.; Hamdy, S.; Bath, P.M. Pharyngeal Electrical Stimulation for Treatment of Poststroke Dysphagia: Individual Patient Data Meta-Analysis of Randomised Controlled Trials. Stroke Res. Treat. 2015, 2015, 1–8. [Google Scholar] [CrossRef]
- Bath, P.M.; Scutt, P.; Love, J.; Clavé, P.; Cohen, D.; Dziewas, R.; Iversen, H.K.; Ledl, C.; Ragab, S.; Soda, H.; et al. Pharyngeal Electrical Stimulation for Treatment of Dysphagia in Subacute Stroke. Stroke 2016, 47, 1562–1570. [Google Scholar] [CrossRef] [PubMed]
- Dziewas, R.; Stellato, R.; Van Der Tweel, I.; Walther, E.; Werner, C.J.; Braun, T.; Citerio, G.; Jandl, M.; Friedrichs, M.; Nötzel, K.; et al. Pharyngeal electrical stimulation for early decannulation in tracheotomised patients with neurogenic dysphagia after stroke (PHAST-TRAC): A prospective, single-blinded, randomised trial. Lancet Neurol. 2018, 17, 849–859. [Google Scholar] [CrossRef]
- Suntrup-Krueger, S.; Marian, T.; Schröder, J.B.; Suttrup, I.; Muhle, P.; Oelenberg, S.; Hamacher, C.; Minnerup, J.; Warnecke, T.; Dziewas, R. Electrical pharyngeal stimulation for dysphagia treatment in tracheotomized stroke patients: A randomized controlled trial. Intensiv. Care Med. 2015, 41, 1629–1637. [Google Scholar] [CrossRef] [PubMed]
- Warnecke, T.; Muhle, P.; Claus, I.; Schröder, J.B.; Labeit, B.; Lapa, S.; Suntrup-Krueger, S.; Dziewas, R. Inter-rater and test-retest reliability of the “standardized endoscopic swallowing evaluation for tracheostomy decannulation in critically ill neurologic patients”. Neurol. Res. Pract. 2020, 2, 1–7. [Google Scholar] [CrossRef]
- Rosenbek, J.C.; Robbins, J.A.; Roecker, E.B.; Coyle, J.L.; Wood, J.L. A penetration-aspiration scale. Dysphagia 1996, 11, 93–98. [Google Scholar] [CrossRef] [PubMed]
- Crary, M.A.; Mann, G.D.C.; Groher, M.E. Initial Psychometric Assessment of a Functional Oral Intake Scale for Dysphagia in Stroke Patients. Arch. Phys. Med. Rehabilitation 2005, 86, 1516–1520. [Google Scholar] [CrossRef] [PubMed]
- Bartolome, G. Grundlagen der funktionellen Dysphagietherapie (FDT). Schluckstörungen 2006, 245–370. [Google Scholar] [CrossRef]
- Muhle, P.; Suntrup-Krueger, S.; Bittner, S.; Ruck, T.; Claus, I.; Marian, T.; Schröder, J.B.; Minnerup, J.; Warnecke, T.; Meuth, S.G.; et al. Increase of Substance P Concentration in Saliva after Pharyngeal Electrical Stimulation in Severely Dysphagic Stroke Patients – an Indicator of Decannulation Success? Neurosignals 2017, 25, 74–87. [Google Scholar] [CrossRef] [PubMed]
- Hamdy, S.; Aziz, Q.; Rothwell, J.C.; Hobson, A.; Barlow, J.; Thompson, D.G. Cranial nerve modulation of human cortical swallowing motor pathways. Am. J. Physiol. Content 1997, 272, G802–G808. [Google Scholar] [CrossRef] [PubMed]
- Fraser, C.; Power, M.; Hamdy, S.; Rothwell, J.C.; Hobday, D.; Hollander, I.; Tyrell, P.; Hobson, A.; Williams, S.C.; Thompson, D. Driving plasticity in human adult motor cortex is associated with improved motor function after brain injury. Neuron 2002, 34, 831–840. [Google Scholar] [CrossRef]
- Takeishi, R.; Magara, J.; Watanabe, M.; Tsujimura, T.; Hayashi, H.; Hori, K.; Inoue, M. Effects of pharyngeal electrical stimulation on swallowing performance. PLoS ONE 2018, 13, e0190608. [Google Scholar] [CrossRef] [PubMed]
- Vasant, D.H.; Michou, E.; O’Leary, N.; Vail, A.; Mistry, S.; Hamdy, S. Greater Manchester Stroke Research Network Pharyngeal Electrical Stimulation in Dysphagia Poststroke. Neurorehabilit. Neural Repair 2016, 30, 866–875. [Google Scholar] [CrossRef] [PubMed]



| Test | Day 72 after Stroke | PES 1 (Days 100–115 after Stroke) | Day 123 after Stroke | PES 2 (Days 135–138 after Stroke) | Day 151 after Stroke |
|---|---|---|---|---|---|
| FEES | - massive aspiration of saliva - cannula should be blocked (cuffed) in the night - no oral food/drink intake | - retention of saliva in the valleculae, piriform recesses and retrocricoidally, with tendency towards aspiration - try de-blocked cannula in the night - no oral food/drink intake - try gustatory stimuli in logopedic therapy | - saliva swallowed without aspiration - ½ tsp. of purée aspirated with strong cough reflex, no aspiration with chin-tuck position - switch to uncuffed cannula - no oral food/drink intake - continue gustatory purée with chin-tuck in logopedic therapy | ||
| PAS | 4 (½ tsp.) | 2 (½ tsp.) | 1 (½ tsp.) | ||
| FOIS | 1 | 1 | 2 | ||
| BODS totalBODS 1/BODS 2 | BODS 14 (6 + 8) | BODS 12 (5 + 7) | BODS 11 (4 + 7) | ||
| Swallowing frequency in resting state | 0×/10 min | 1×/10 min | 3×/10 min | ||
| Before 1st PES | After 1st PES | After 2nd PES | |||
| Modified Evan’s blue dye test | Persistent aspiration | Persistent aspiration | No aspiration |
© 2020 by the authors. Licensee MDPI, Basel, Switzerland. This article is an open access article distributed under the terms and conditions of the Creative Commons Attribution (CC BY) license (http://creativecommons.org/licenses/by/4.0/).
Share and Cite
Florea, C.; Bräumann, C.; Mussger, C.; Leis, S.; Hauer, L.; Sellner, J.; Golaszewski, S.M. Therapy of Dysphagia by Prolonged Pharyngeal Electrical Stimulation (Phagenyx) in a Patient with Brainstem Infarction. Brain Sci. 2020, 10, 256. https://doi.org/10.3390/brainsci10050256
Florea C, Bräumann C, Mussger C, Leis S, Hauer L, Sellner J, Golaszewski SM. Therapy of Dysphagia by Prolonged Pharyngeal Electrical Stimulation (Phagenyx) in a Patient with Brainstem Infarction. Brain Sciences. 2020; 10(5):256. https://doi.org/10.3390/brainsci10050256
Chicago/Turabian StyleFlorea, Cristina, Christine Bräumann, Christine Mussger, Stefan Leis, Larissa Hauer, Johann Sellner, and Stefan M. Golaszewski. 2020. "Therapy of Dysphagia by Prolonged Pharyngeal Electrical Stimulation (Phagenyx) in a Patient with Brainstem Infarction" Brain Sciences 10, no. 5: 256. https://doi.org/10.3390/brainsci10050256
APA StyleFlorea, C., Bräumann, C., Mussger, C., Leis, S., Hauer, L., Sellner, J., & Golaszewski, S. M. (2020). Therapy of Dysphagia by Prolonged Pharyngeal Electrical Stimulation (Phagenyx) in a Patient with Brainstem Infarction. Brain Sciences, 10(5), 256. https://doi.org/10.3390/brainsci10050256

