Fabrication of Multiscale-Structure Wafer-Level Microlens Array Mold
Abstract
:1. Introduction
2. Materials and Methods
2.1. Fabrication Process
2.2. Characterization
3. Results and Discussion
3.1. 6061-T6 Aluminum Alloy MLA Mold
3.2. High-Purity Polycrystalline Aluminum Pin Mold
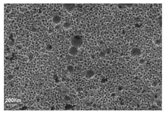
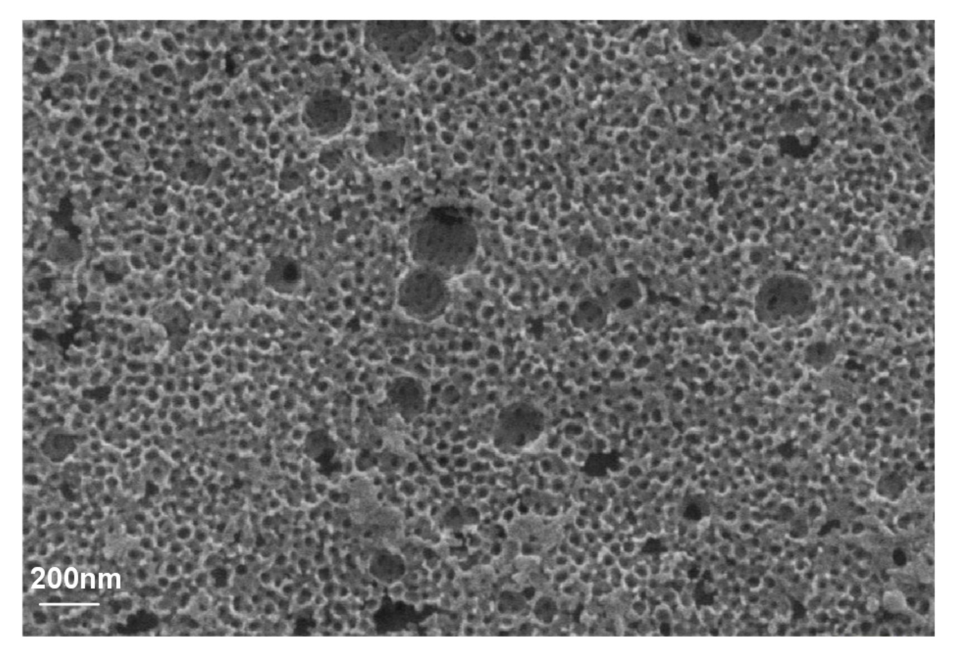
3.3. Pure Nanocrystalline Aluminum MLA Mold with Dense Array
4. Conclusions
Author Contributions
Funding
Acknowledgments
Conflicts of Interest
References
- Cho, M.; Daneshpanah, M.; Moon, I.; Javidi, B. Three-Dimensional Optical Sensing and Visualization Using Integral Imaging. Proc. IEEE 2011, 99, 556–575. [Google Scholar]
- Tanida, J.; Kitamura, Y.; Yamada, K.; Miyatake, S.; Miyamoto, M.; Morimoto, T.; Masaki, Y.; Kondou, N.; Miyazaki, D.; Ichioka, Y. Compact image capturing system based on compound imaging and digital reconstruction. Proc. SPIE 2001, 4455, 34–41. [Google Scholar]
- Aldalali, B.; Li, C.; Zhang, L.; Jiang, H. Micro Cameras Capable of Multiple Viewpoint Imaging Utilizing Photoresist Microlens Arrays. J. Microelectromech. Syst. 2012, 21, 945–952. [Google Scholar] [CrossRef]
- Buettner, A.; Zeitner, U.D. Wave optical analysis of light-emitting diode beam shaping using microlens arrays. Opt. Eng. 2002, 41, 2393–2401. [Google Scholar] [CrossRef]
- Seifert, L.; Liesener, J.; Tiziani, H.J. The adaptive Shack–Hartmann sensor. Opt. Commun. 2003, 216, 313–319. [Google Scholar] [CrossRef]
- Wippermann, F.; Zeitner, U.D.; Dannberg, P.; Bräuer, A.; Sinzinger, S. Beam homogenizers based on chirped microlens arrays. Opt. Express 2007, 15, 6218–6231. [Google Scholar] [CrossRef] [PubMed]
- Buschbeck, E.; Ehmer, B.; Hoy, R. Chunk versus point sampling: Visual imaging in a small insect. Science 1999, 286, 1178–1180. [Google Scholar] [CrossRef]
- Andreas, B.; Jacques, D.; Robert, L.; Peter, D.; Andreas, B.U.; Andreas, T. Thin wafer-level camera lenses inspired by insect compound eyes. Opt. Express 2010, 18, 24379–24394. [Google Scholar]
- Raut, H.K.; Ganesh, V.A.; Nair, A.S.; Ramakrishna, S. Anti-Reflective Coatings: A Critical, In-Depth Review. Energy Environ. Sci. 2011, 4, 3779–3804. [Google Scholar] [CrossRef]
- Walheim, S.; Schäffer, E.; Mlynek, J.; Steiner, U. Nanophase-Separated Polymer Films as High-Performance Antireflection Coatings. Science 1999, 283, 520–522. [Google Scholar] [CrossRef]
- Mano, I.; Uchida, T.; Taniguchi, J. Fabrication of the antireflection structure on aspheric lens surface and lens holder. Microelectron. Eng. 2018, 191, 97–103. [Google Scholar] [CrossRef]
- Bae, B.J.; Hong, S.H.; Kwak, S.U.; Lee, H. Fabrication of Moth-Eye Pattern on a Lens Using Nano Imprint Lithography and PVA Template. J. Korean Inst. Surf. Eng. 2009, 42, 41–173. [Google Scholar] [CrossRef]
- Tan, G.; Lee, J.H.; Lan, Y.H.; Wei, M.K.; Peng, L.H.; Cheng, I.; Wu, S.T. Broadband antireflection film with moth-eye-like structure for flexible display applications. Optica 2017, 4, 678. [Google Scholar] [CrossRef]
- Hung, S.Y.; Chang, T.Y.; Shen, M.H.; Yang, H. Tilted microlens fabrication method using two photoresists with different melting temperatures. J. Micromech. Microeng. 2014, 24, 68–75. [Google Scholar] [CrossRef]
- Kim, S.; Kim, H.; Kang, S. Development of an ultraviolet imprinting process for integrating a microlens array onto an image sensor. Opt. Lett. 2006, 31, 2710–2712. [Google Scholar] [CrossRef] [PubMed]
- Chen, L.; Kirchberg, S.; Jiang, B.Y.; Xie, L.; Jia, Y.L.; Sun, L.L. Fabrication of long-focal-length plano-convex microlens array by combining the micro-milling and injection molding processes. Appl. Opt. 2014, 53, 7369–7380. [Google Scholar] [CrossRef] [PubMed]
- Zhang, J.; Shen, S.; Dong, X.X.; Chen, L.S. Low-cost fabrication of large area sub-wavelength anti-reflective structures on polymer film using a soft PUA mold. Opt. Express 2014, 22, 1842–1851. [Google Scholar] [CrossRef]
- Chidambaram, N.; Kirchner, R.; Altana, M.; Schift, H. High fidelity 3D thermal nanoimprint with UV curable polydimethyl siloxane stamps. J. Vac. Sci. Technol. B 2016, 34, 6K401. [Google Scholar] [CrossRef]
- Guo, R.; Xiao, S.; Zhai, X.; Li, J.; Xia, A.; Huang, W. Micro lens fabrication by means of femtosecond two photon photopolymerization. Opt. Express 2006, 14, 810–816. [Google Scholar] [CrossRef]
- Yan, J.H.; Ou, W.; Ou, Y.; Zhao, L.J. Design and fabrication of novel microlens–micromirrors array for infrared focal plane array. Microw. Opt. Technol. Lett. 2012, 54, 879–884. [Google Scholar]
- Yi, A.Y.; Li, L. Design and fabrication of a microlens array by use of a slow tool servo. Opt. Lett. 2005, 30, 1707–1709. [Google Scholar] [CrossRef] [PubMed]
- Yi, A.Y.; Huang, C.; Klocke, F.; Brecher, C.; Pongs, G.; Winterschladen, M.; Demmer, A.; Lange, S.; Bergs, T.; Merz, M.; et al. Development of a compression molding process for three-dimensional tailored free-form glass optics. Appl. Opt. 2006, 45, 6511–6518. [Google Scholar] [CrossRef] [PubMed]
- Mukaida, M.; Yan, J. Fabrication of Hexagonal Microlens Arrays on Single-Crystal Silicon Using the Tool-Servo Driven Segment Turning Method. Micromachines 2017, 8, 323. [Google Scholar] [CrossRef] [PubMed]
- Chang, X.; Xu, K.; Xie, D.; Luo, S.; Shu, X.; Ding, H.; Zheng, K.; Li, B. Microforging technique for fabrication of spherical lens array mold. Int. J. Adv. Manuf. Technol. 2018, 96, 3843–3850. [Google Scholar] [CrossRef]
- Gao, P.; Liang, Z.; Wang, X.; Zhou, T.; Xie, J.; Li, S.; Shen, W. Fabrication of a Micro-Lens Array Mold by Micro Ball End-Milling and Its Hot Embossing. Micromachines 2018, 9, 96. [Google Scholar] [CrossRef] [PubMed]
- Feldman, M.; America, T.N. Wafer-Level Camera Technologies Shrink Camera Phone Handsets. Photonic Spectra 2009, 41, 58–60. [Google Scholar]
- Zhan, Z.; Liang, N.; Bian, R.; Zhao, M. Design and Manufacturing of Ultra-Hard Micro-Milling Tool. Trans. Tianjin Univ. 2014, 20, 415–421. [Google Scholar] [CrossRef]
- Huangfu, Y.; Zhan, W.; Hong, X.; Fang, X.; Ding, G.; Ye, H. Heteroepitaxy of Ge on Si(001) with pits and windows transferred from free-standing porous alumina mask. Nanotechnology 2013, 24, 185302. [Google Scholar] [CrossRef] [PubMed]
- Ding, J.; Zhu, Y.; Yuan, N.; Ding, G. Reduction of nanoparticle deposition during fabrication of porous anodic alumina. Thin Solid Film 2012, 520, 4321–4325. [Google Scholar] [CrossRef]









© 2019 by the authors. Licensee MDPI, Basel, Switzerland. This article is an open access article distributed under the terms and conditions of the Creative Commons Attribution (CC BY) license (http://creativecommons.org/licenses/by/4.0/).
Share and Cite
Xie, S.; Wan, X.; Wei, X. Fabrication of Multiscale-Structure Wafer-Level Microlens Array Mold. Appl. Sci. 2019, 9, 487. https://doi.org/10.3390/app9030487
Xie S, Wan X, Wei X. Fabrication of Multiscale-Structure Wafer-Level Microlens Array Mold. Applied Sciences. 2019; 9(3):487. https://doi.org/10.3390/app9030487
Chicago/Turabian StyleXie, Shuping, Xinjun Wan, and Xiaoxiao Wei. 2019. "Fabrication of Multiscale-Structure Wafer-Level Microlens Array Mold" Applied Sciences 9, no. 3: 487. https://doi.org/10.3390/app9030487
APA StyleXie, S., Wan, X., & Wei, X. (2019). Fabrication of Multiscale-Structure Wafer-Level Microlens Array Mold. Applied Sciences, 9(3), 487. https://doi.org/10.3390/app9030487
