Automatic Deep Feature Learning via Patch-Based Deep Belief Network for Vertebrae Segmentation in CT Images
Abstract
1. Introduction
Related Work
2. Methodology
2.1. Preprocessing
2.2. Patch Generation
2.3. PaDBN Model
2.3.1. Patch to Feature Vector Conversion
2.3.2. Training Scheme
2.3.3. Regression Model and Classification
2.4. Segmentation
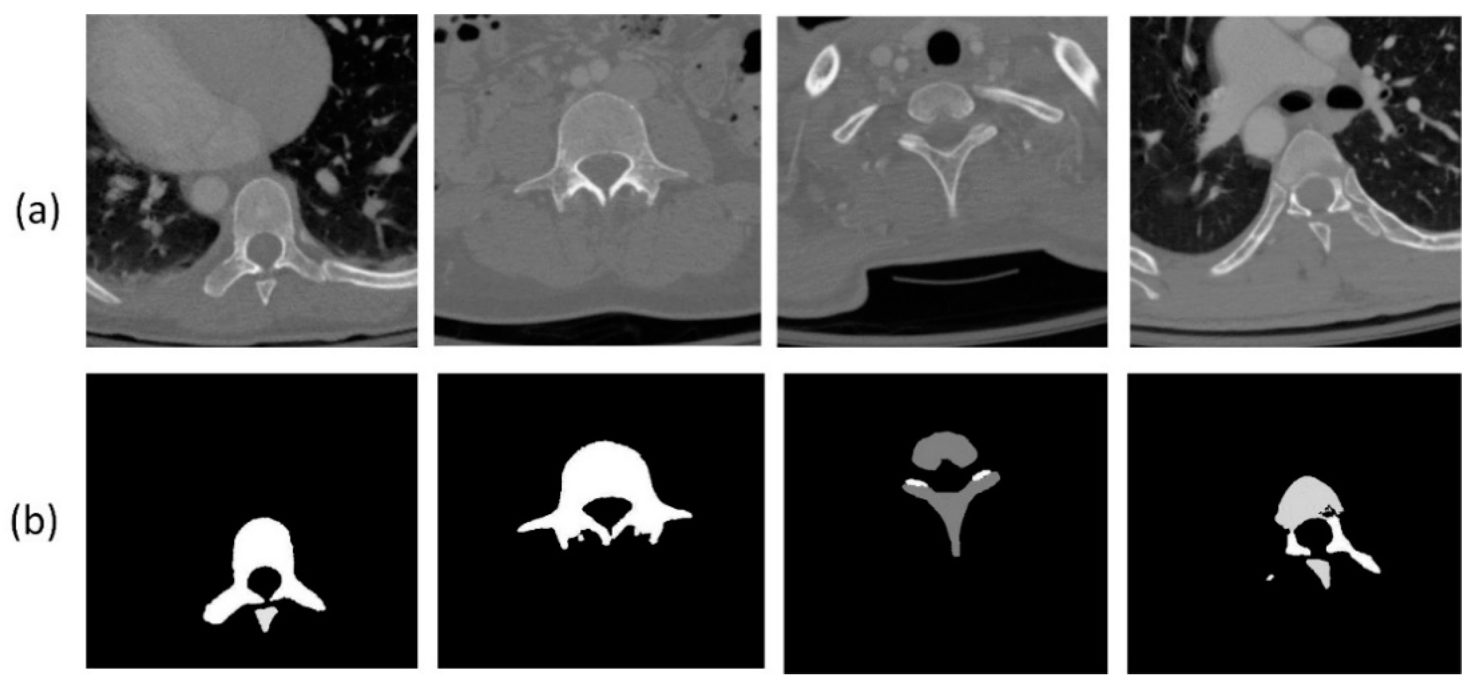
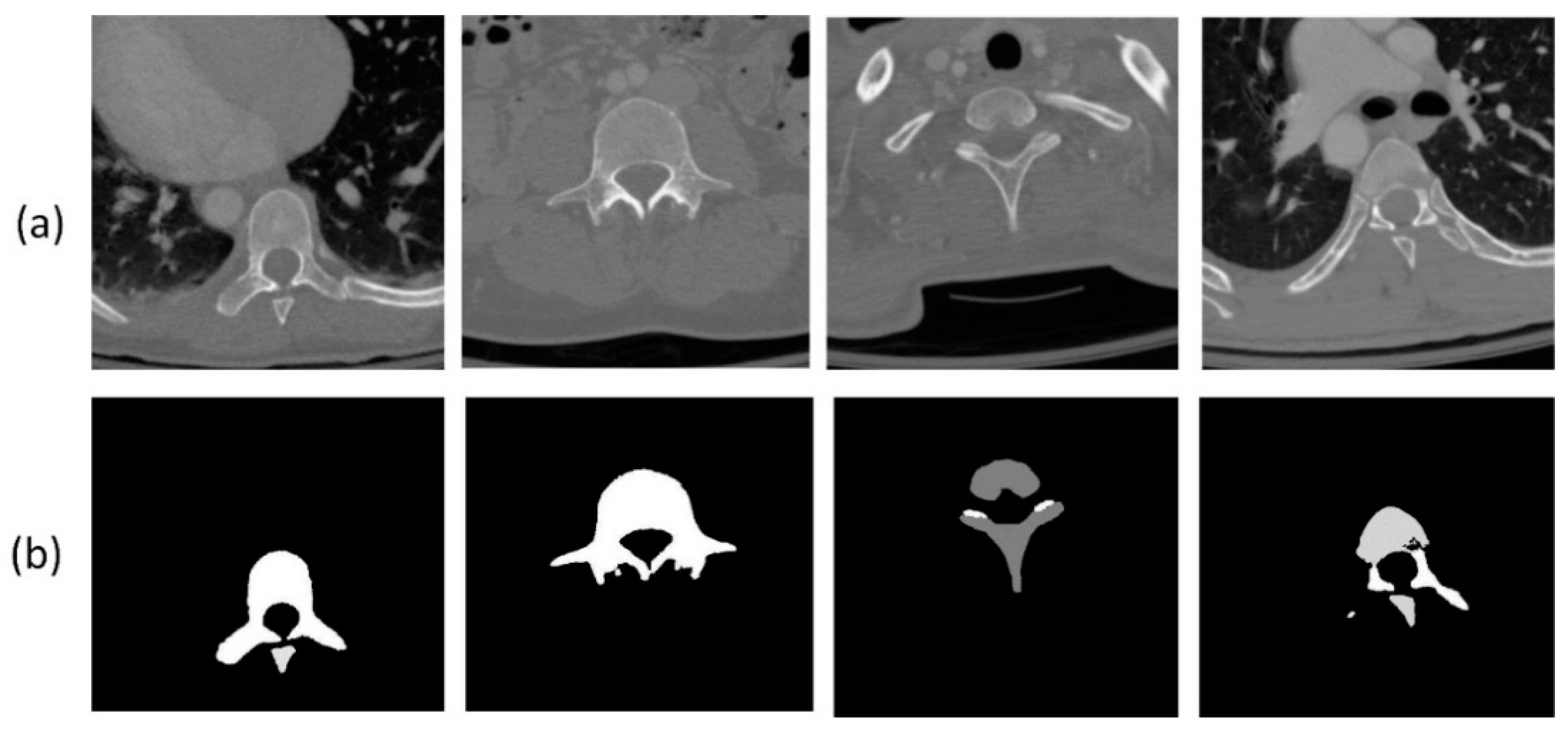
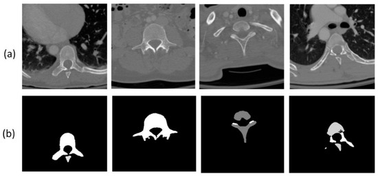
3. Experimental Results
Parameter Settings
4. Conclusions
Author Contributions
Funding
Conflicts of Interest
References
- Pereanez, M.; Lekadir, K.; Castro-Mateos, I.; Pozo, J.; Lazary, A.; Frangi, A. Accurate Segmentation of Vertebral Bodies and Processes using Statistical Shape Decomposition and Conditional Models. IEEE Trans. Med. Imaging 2015, 34, 1627–1639. [Google Scholar] [CrossRef] [PubMed]
- Klinder, T.; Ostermann, J.; Ehm, M.; Franz, A.; Kneser, R.; Lorenz, C. Automated model-based vertebra detection, identification, and segmentation in CT images. Med. Image Anal. 2009, 13, 471–482. [Google Scholar] [CrossRef] [PubMed]
- Forsberg, D. Atlas-based registration for accurate segmentation of thoracic and lumbar vertebrae in CT data. In Recent Advances in Computational Methods and Clinical Applications for Spine Imaging; Springer: Cham, Switzerland, 2015; pp. 49–59. [Google Scholar]
- Kadoury, S.; Labelle, H.; Paragios, N. Spine segmentation in medical images using manifold embeddings and higher-order MRFs. IEEE Trans. Med. Imaging 2013, 32, 1227–1238. [Google Scholar] [CrossRef] [PubMed]
- Ibragimov, B.; Korez, R.; Likar, B.; Pernuš, F.; Vrtovec, T. Interpolation-based detection of lumbar vertebrae in CT spine images. In Recent Advances in Computational Methods and Clinical Applications for Spine Imaging; Springer: Cham, Switzerland, 2015; pp. 73–84. [Google Scholar]
- Huang, J.; Jian, F.; Wu, H.; Li, H. An improved level set method for vertebra CT image segmentation. Biomed. Eng. Online 2013, 2, 48. [Google Scholar] [CrossRef] [PubMed]
- Lootus, M.; Kadir, T.; Zisserman, A. Automated radiological grading of spinal MRI. In Recent Advances in Computational Methods and Clinical Applications for Spine Imaging; Springer: Cham, Switzerland, 2015; pp. 119–130. [Google Scholar]
- Dietterich, T.G. Ensemble methods in machine learning. In International Workshop on Multiple Classifier Systems; Springer: Cagliari, Italy, 2000; pp. 1–15. [Google Scholar]
- Glocker, B.; Feulner, J.; Criminisi, A.; Haynor, D.R.; Konukoglu, E. Automatic localization and identification of vertebrae in arbitrary field-of-view CT scans. In International Conference on Medical Image Computing and Computer-Assisted Intervention; Springer: Nice, France, 2012; pp. 590–598. [Google Scholar]
- Suzani, A.; Rasoulian, A.; Seitel, A.; Fels, S.; Rohling, R.N.; Abolmaesumi, P. Deep learning for automatic localization, identification, and segmentation of vertebral bodies in volumetric MR images. In Medical Imaging 2015: Image-Guided Procedures, Robotic Interventions, and Modeling; International Society for Optics and Photonics: Bellingham, WA, USA, 2015; Volume 9415, p. 941514. [Google Scholar]
- Kang, Y.; Engelke, K.; Kalender, W.A. A new accurate and precise 3-D segmentation method for skeletal structures in volumetric CT data. IEEE Trans. Med. Imaging 2003, 22, 586–598. [Google Scholar] [CrossRef] [PubMed]
- Aslan, M.S.; Ali, A.; Rara, H.; Farag, A.A. An automated vertebra identification and segmentation in CT images. In Proceedings of the 2010 IEEE International Conference on Image Processing, Hong Kong, China, 26–29 September 2010; pp. 233–236. [Google Scholar]
- Li, H.; Wang, Z. A seepage flow model for vertebra CT image segmentation. In Proceedings of the 2005 IEEE Engineering in Medicine and Biology 27th Annual Conference, Shanghai, China, 17–18 January 2006; pp. 6364–6367. [Google Scholar]
- Lim, P.H.; Bagci, U.; Bai, L. Introducing willmore flow into level set segmentation of spinal vertebrae. IEEE Trans. Biomed. Eng. 2013, 60, 115–122. [Google Scholar] [CrossRef] [PubMed]
- Li, Y.; Liang, W.; Tan, J.; Zhang, Y. A novel automatically initialized level set approach based on region correlation for lumbar vertebrae CT image segmentation. In Proceedings of the 2015 IEEE International Symposium on Medical Measurements and Applications (MeMeA) Proceedings, Turin, Italy, 7–9 May 2015; pp. 291–296. [Google Scholar]
- Blumfield, A.; Blumfield, E. Automated Vertebral Body Image Segmentation for Medical Screening. Google Patents US8891848B2, 18 November 2014. [Google Scholar]
- Yao, J.; O’Connor, S.D.; Summers, R.M. Automated spinal column extraction and partitioning. In Proceedings of the 3rd IEEE International Symposium on Biomedical Imaging: Nano to Macro, 2006, Arlington, VA, USA, 6–9 April 2006; pp. 390–393. [Google Scholar]
- Naegel, B. Using mathematical morphology for the anatomical labeling of vertebrae from 3D CT-scan images. Comput. Med. Imaging Graph. 2007, 31, 141–156. [Google Scholar] [CrossRef]
- Ma, J.; Lu, L.; Zhan, Y.; Zhou, X.; Salganicoff, M.; Krishnan, A. Hierarchical segmentation and identification of thoracic vertebra using learning-based edge detection and coarse-to-fine deformable model. Med. Image Comput. Comput. Assist. Interv. 2010, 13, 19–27. [Google Scholar] [PubMed]
- Rasoulian, A.; Member, S.; Rohling, R.; Member, S. Lumbar Spine Segmentation Using a Statistical Multi-Vertebrae Anatomical Shape + Pose Model. IEEE Trans. Med. Imaging 2013, 32, 1890–1900. [Google Scholar] [CrossRef] [PubMed]
- Kim, Y.; Kim, D. A fully automatic vertebra segmentation method using 3D deformable fences. Comput. Med. Imaging Graph. 2009, 33, 343–352. [Google Scholar] [CrossRef]
- Kadoury, S.; Labelle, H.; Paragios, N. Automatic inference of articulated spine models in CT images using high-order Markov Random Fields. Med. Image Anal. 2011, 15, 426–437. [Google Scholar] [CrossRef] [PubMed]
- Ibragimov, B.; Likar, B.; Pernuš, F.; Vrtovec, T. Shape representation for efficient landmark-based segmentation in 3-D. IEEE Trans. Med. Imaging 2014, 33, 861–874. [Google Scholar] [CrossRef] [PubMed]
- Roberts, M.G.; Cootes, T.F.; Pacheco, E.; Oh, T.; Adams, J.E. Segmentation of lumbar vertebrae using part-based graphs and active appearance models. Med. Image Comput. Comput. Assist. Interv. 2009, 12, 1017–1024. [Google Scholar] [PubMed]
- Štern, D.; Likar, B.; Pernuš, F.; Vrtovec, T. Parametric modelling and segmentation of vertebral bodies in 3D CT and MR spine images. Phys. Med. Biol. 2011, 56, 7505. [Google Scholar] [CrossRef] [PubMed]
- Wang, Y.; Yao, J.; Roth, H.R.; Burns, J.E.; Summers, R.M. Multi-atlas segmentation with joint label fusion of osteoporotic vertebral compression fractures on CT. In International Workshop on Computational Methods and Clinical Applications for Spine Imaging; Springer: Germany, Munich, 2015; pp. 74–84. [Google Scholar]
- Huang, S.-H.; Chu, Y.-H.; Lai, S.-H.; Novak, C.L. Learning-based vertebra detection and iterative normalized-cut segmentation for spinal MRI. IEEE Trans. Med. Imaging 2009, 28, 1595–1605. [Google Scholar] [CrossRef] [PubMed]
- Bengio, Y.; Courville, A.; Vincent, P. Representation learning: A review and new perspectives. IEEE Trans. Pattern Anal. Mach. Intell. 2013, 35, 1798–1828. [Google Scholar] [CrossRef] [PubMed]
- Farabet, C.; Couprie, C.; Najman, L.; LeCun, Y. Learning hierarchical features for scene labeling. IEEE Trans. Pattern Anal. Mach. Intell. 2013, 35, 1915–1929. [Google Scholar] [CrossRef] [PubMed]
- Carneiro, G.; Nascimento, J.C.; Freitas, A. The segmentation of the left ventricle of the heart from ultrasound data using deep learning architectures and derivative-based search methods. IEEE Trans. Image Process. 2012, 21, 968–982. [Google Scholar] [CrossRef]
- Hinton, G.E.; Osindero, S.; Teh, Y.-W. A fast learning algorithm for deep belief nets. Neural Comput. 2006, 18, 1527–1554. [Google Scholar] [CrossRef]
- La Rosa, E.; Yu, W. Randomized algorithms for nonlinear system identification with deep learning modification. Inf. Sci. 2016, 364, 197–212. [Google Scholar] [CrossRef]
- Coupé, P.; Manjón, J.V.; Fonov, V.; Pruessner, J.; Robles, M.; Collins, D.L. Patch-based segmentation using expert priors: Application to hippocampus and ventricle segmentation. Neuroimage 2011, 54, 940–954. [Google Scholar] [CrossRef] [PubMed]
- Rousseau, F.; Habas, P.A.; Studholme, C. A supervised patch-based approach for human brain labeling. IEEE Trans. Med. Imaging 2011, 30, 1852–1862. [Google Scholar] [CrossRef] [PubMed]
- Freeman, W.T.; Jones, T.R.; Pasztor, E.C. Example-based super-resolution. IEEE Comput. Graph. Appl. 2002, 22, 56–65. [Google Scholar] [CrossRef]
- Efros, A.A.; Freeman, W.T. Image quilting for texture synthesis and transfer. In Proceedings of the 28th Annual Conference on Computer Graphics and Interactive Techniques, Los Angeles, CA, USA, 12–17 August 2001; pp. 341–346. [Google Scholar]
- Buades, A.; Coll, B.; Morel, J.-M. A non-local algorithm for image denoising. In Proceedings of the 2005 IEEE Computer Society Conference on Computer Vision and Pattern Recognition (CVPR’05), San Diego, CA, USA, 20–25 June 2005; Volume 2, pp. 60–65. [Google Scholar]
- Cordier, N.; Menze, B.; Delingette, H.; Ayache, N. Patch-based segmentation of brain tissues. In MICCAI Challenge on Multimodal Brain Tumor Segmentation; IEEE: Nagoya, Japan, 2013; pp. 6–17. [Google Scholar]
- Wang, Z.; Donoghue, C.; Rueckert, D. Patch-based segmentation without registration: Application to knee MRI. In International Workshop on Machine Learning in Medical Imaging; Springer: Nagoya, Japan, 2013; pp. 98–105. [Google Scholar]
- Al Arif, S.M.M.R.; Asad, M.; Gundry, M.; Knapp, K.; Slabaugh, G. Patch-based corner detection for cervical vertebrae in X-ray images. Signal. Process. Image Commun. 2017, 59, 27–36. [Google Scholar] [CrossRef]
- Al Arif, S.M.M.R.; Knapp, K.; Slabaugh, G. Fully automatic cervical vertebrae segmentation framework for X-ray images. Comput. Methods Programs Biomed. 2018, 157, 95–111. [Google Scholar] [CrossRef] [PubMed]
- Ahmad, M.; Yang, J.; Ai, D.; Qadri, S.F.; Wang, Y. Deep-stacked auto encoder for liver segmentation. In Chinese Conference on Image and Graphics Technologies; Springer: China, Beijing, 2017; pp. 243–251. [Google Scholar]
- Lessmann, N.; van Ginneken, B.; Išgum, I. Iterative convolutional neural networks for automatic vertebra identification and segmentation in CT images. In Medical Imaging 2018: Image Processing; International Society for Optics and Photonics: Bellingham, WA, USA, 2018; Volume 10574, p. 1057408. [Google Scholar]
- Qadri, S.F.; Ahmad, M.; Ai, D.; Yang, J.; Wang, Y. Deep Belief Network Based Vertebra Segmentation for CT Images. In Chinese Conference on Image and Graphics Technologies; Springer: China, Beijing, 2018; pp. 536–545. [Google Scholar]
- Yao, J.; Burns, J.E.; Forsberg, D.; Seitel, A.; Rasoulian, A.; Abolmaesumi, P.; Hammernik, K.; Urschler, M.; Ibragimov, B.; Korez, R.; et al. A multi-center milestone study of clinical vertebral CT segmentation. Comput. Med. Imaging Graph. 2016, 49, 16–28. [Google Scholar] [CrossRef] [PubMed]
- Available online: Index @ Spineweb.Digitalimaginggroup.Ca (accessed on 11 October 2018).
- Shen, W.; Yang, F.; Mu, W.; Yang, C.; Yang, X.; Tian, J. Automatic localization of vertebrae based on convolutional neural networks. In SPIE Medical Imaging; SPIE: Orlando, FL, USA, 2015; Volume 9413, p. 94132E. [Google Scholar]
- Pinaya, W.H.L.; Gadelha, A.; Doyle, O.M.; Noto, C.; Zugman, A.; Cordeiro, Q.; Jackowski, A.P.; Bressan, R.A.; Sato, J.R. Using deep belief network modelling to characterize differences in brain morphometry in schizophrenia. Sci. Rep. 2016, 6, 38897. [Google Scholar] [CrossRef]
- Khatami, A.; Khosravi, A.; Nguyen, T.; Lim, C.P.; Nahavandi, S. Medical image analysis using wavelet transform and deep belief networks. Expert Syst. Appl. 2017, 86, 190–198. [Google Scholar] [CrossRef]
- Li, J.; Xi, B.; Li, Y.; Du, Q.; Wang, K. Hyperspectral classification based on texture feature enhancement and deep belief networks. Remote Sens. 2018, 10, 396. [Google Scholar] [CrossRef]
- Kim, Y.; Lee, H.; Provost, E.M. Deep learning for robust feature generation in audiovisual emotion recognition. In Proceedings of the 2013 IEEE International Conference on Acoustics, Speech and Signal Processing, Vancouver, BC, Canada, 26–31 May 2013; pp. 3687–3691. [Google Scholar]
- Fischer, A.; Igel, C. Training restricted Boltzmann machines: An introduction. Pattern Recognit. 2014, 47, 25–39. [Google Scholar] [CrossRef]
- Bergstra, J.; Bengio, Y. Random search for hyper-parameter optimization. J. Mach. Learn. Res. 2012, 13, 281–305. [Google Scholar]
- Baldi, P.; Brunak, S.; Chauvin, Y.; Andersen, C.A.F.; Nielsen, H. Assessing the accuracy of prediction algorithms for classification: An overview. Bioinformatics 2000, 6, 412–424. [Google Scholar] [CrossRef]
- Dice, L.R. Measures of the amount of ecologic association between species. Ecology 1945, 26, 297–302. [Google Scholar] [CrossRef]
- Jaccard, P. Étude comparative de la distribution florale dans une portion des Alpes et des Jura. Bull. Soc. Vaudoise Sci. Nat. 1901, 37, 547–579. [Google Scholar]
- Seitel, A.; Rasoulian, A.; Rohling, R.; Abolmaesumi, P. Lumbar and Thoracic Spine Segmentation Using a Statistical Multi-object Shape + Pose Model. In Recent Advances in Computational Methods and Clinical Applications for Spine Imaging; Springer: Cham, Switzerland, 2015; pp. 221–225. [Google Scholar]
- Sekuboyina, A.; Kukačka, J.; Kirschke, J.S.; Menze, B.H.; Valentinitsch, A. Attention-driven deep learning for pathological spine segmentation. In International Workshop and Challenge on Computational Methods and Clinical Applications in Musculoskeletal Imaging; Springer: Quebec City, QC, Canada, 2017; pp. 108–119. [Google Scholar]










| Pretraining | Fine-Tuning | ||
|---|---|---|---|
| Hidden Layers | 2 | Scaling learning rate | 1 | 
| No. of neurons in each layer | 100-100 | No. of epochs | 3000 | 
| No. of epochs | 50 | Learning rate | 0.008 | 
| Learning rate | 0.05 | Momentum | 0.9 | 
| Momentum | 0.5 | Mini batch size | 128 | 
| Mini batch size | 128 | weightPenaltyL2 | 0.00001 | 
| Specificity (%) | Sensitivity (%) | Precision (%) | Overall Accuracy (%) | F1 Score (%) | Matthews Correlation Coefficient (MCC) (%) | |
|---|---|---|---|---|---|---|
| CT image 1 | 85.6 | 96.8 | 86.1 | 91.1 | 91.1 | 82.8 | 
| CT image 2 | 93.6 | 97.5 | 93.0 | 95.4 | 95.2 | 91.0 | 
| CT image 3 | 90.0 | 96.6 | 90.2 | 93.2 | 93.3 | 86.7 | 
| Overall | 89.7 | 96.9 | 89.7 | 93.2 | 93.2 | 86.8 | 
| DICE Similarity Index (DSI) | Jaccard Similarity Index (JSI) | |
|---|---|---|
| CT image 1 | 84.1 | 83.7 | 
| CT image 2 | 85.6 | 84.2 | 
| CT image 3 | 88.7 | 87.0 | 
| Overall | 86.1 | 84.9 | 
© 2018 by the authors. Licensee MDPI, Basel, Switzerland. This article is an open access article distributed under the terms and conditions of the Creative Commons Attribution (CC BY) license (http://creativecommons.org/licenses/by/4.0/).
Share and Cite
Furqan Qadri, S.; Ai, D.; Hu, G.; Ahmad, M.; Huang, Y.; Wang, Y.; Yang, J. Automatic Deep Feature Learning via Patch-Based Deep Belief Network for Vertebrae Segmentation in CT Images. Appl. Sci. 2019, 9, 69. https://doi.org/10.3390/app9010069
Furqan Qadri S, Ai D, Hu G, Ahmad M, Huang Y, Wang Y, Yang J. Automatic Deep Feature Learning via Patch-Based Deep Belief Network for Vertebrae Segmentation in CT Images. Applied Sciences. 2019; 9(1):69. https://doi.org/10.3390/app9010069
Chicago/Turabian StyleFurqan Qadri, Syed, Danni Ai, Guoyu Hu, Mubashir Ahmad, Yong Huang, Yongtian Wang, and Jian Yang. 2019. "Automatic Deep Feature Learning via Patch-Based Deep Belief Network for Vertebrae Segmentation in CT Images" Applied Sciences 9, no. 1: 69. https://doi.org/10.3390/app9010069
APA StyleFurqan Qadri, S., Ai, D., Hu, G., Ahmad, M., Huang, Y., Wang, Y., & Yang, J. (2019). Automatic Deep Feature Learning via Patch-Based Deep Belief Network for Vertebrae Segmentation in CT Images. Applied Sciences, 9(1), 69. https://doi.org/10.3390/app9010069
 
        



 
       