Establishment of Vasculature in Hyper-Crosslinked Carbohydrate Polymer as Scaffolding for Tissue Engineering and Regeneration
Featured Application
Abstract
1. Introduction
2. Materials and Methods
2.1. Animals
2.2. Surgical Procedures
2.3. Histology
2.4. Color Image Processing and Channel Analysis
2.5. Vascular Density Analysis
2.6. Statistical Analysis
3. Results
3.1. Clinical Observations
3.2. Gross Morphology
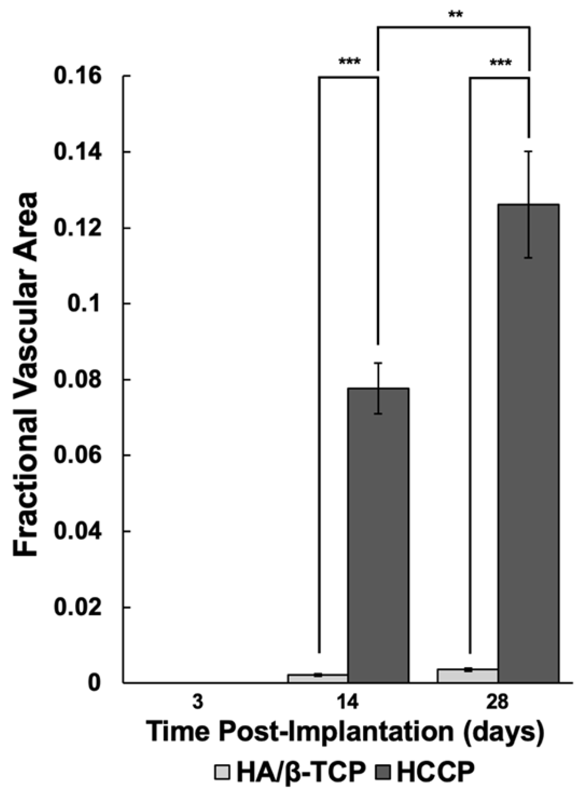
3.3. Implant Volume and Vascularity
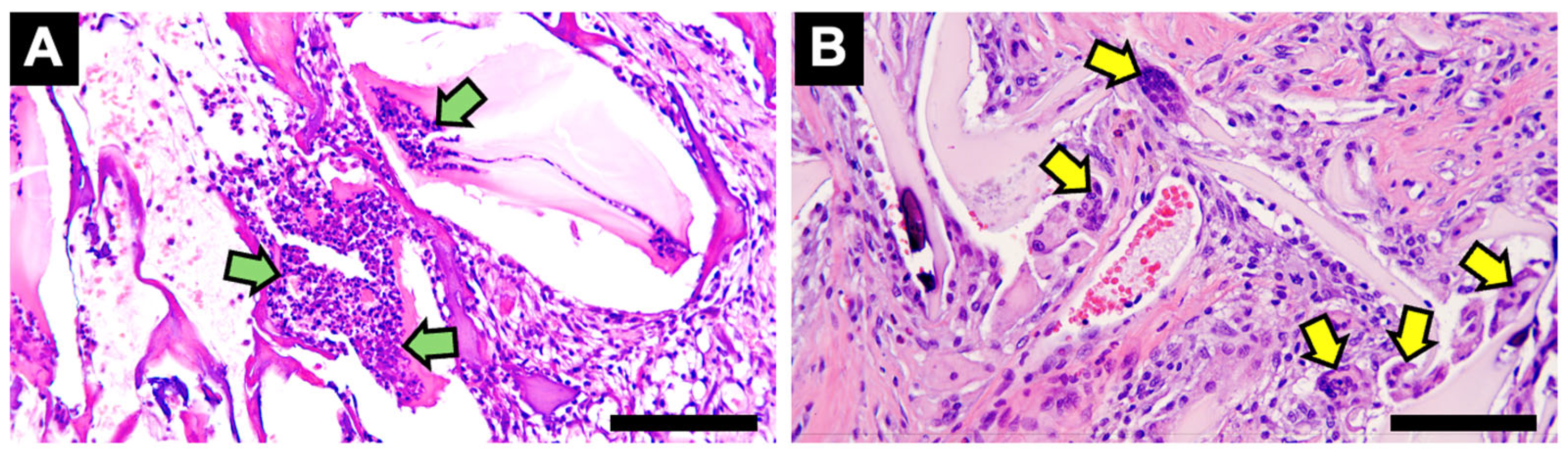
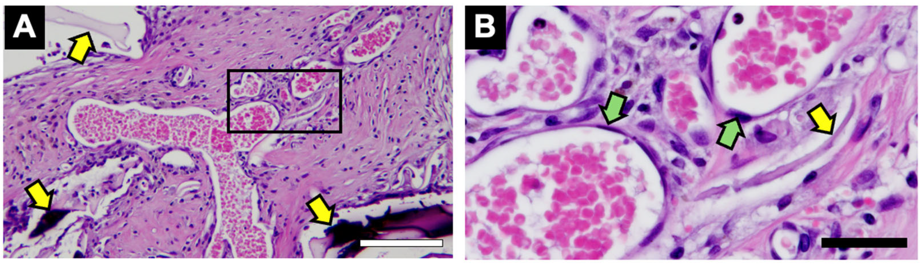
3.4. Histological Evaluation of Implant Sites
4. Discussion
4.1. Scaffold Architecture and Angiogenic Infiltration
4.2. Degradation Profiles and Immune Modulation
4.3. Role of Multinucleated Giant Cells in Scaffold Resorption
4.4. Implant Volume Dynamics Reflect Tissue Ingrowth
4.5. Temporal Dynamics of Angiogenesis
4.6. Limitations
4.7. Future
5. Conclusions
Author Contributions
Funding
Institutional Review Board Statement
Informed Consent Statement
Data Availability Statement
Acknowledgments
Conflicts of Interest
Abbreviations
| BGS | Bone graft substitute |
| b-TCP | Beta-tricalcium phosphate |
| ECM | Extracellular matrix |
| FWER | Family-wise error rate |
| GLP | Good Laboratory Practice |
| HA | Hydroxyapatite |
| HSD | Honestly Significant Difference |
| HCCP | Hyper-crosslinked carbohydrate polymer |
| IACUC | Institutional Animal Care and Use Committee (IACUC) |
| IL-1β | Interleukin-1β |
| IV | Intensity values |
| MNGCs | Multinucleated giant cells |
| RGB | Red, Green, Blue |
| TNF-α | Tumor necrosis factor-α |
References
- Shi, W.; Jiang, Y.; Wu, T.; Zhang, Y.; Li, T. Advancements in drug-loaded hydrogel systems for bone defect repair. Regen. Ther. 2024, 25, 174–185. [Google Scholar] [CrossRef] [PubMed]
- Gillman, C.E.; Jayasuriya, A.C. FDA-approved bone grafts and bone graft substitute devices in bone regeneration. Mater. Sci. Eng. C 2021, 130, 112466. [Google Scholar] [CrossRef] [PubMed]
- Schmidt, A.H. Autologous bone graft: Is it still the gold standard? Injury 2021, 52, S18–S22. [Google Scholar] [CrossRef] [PubMed]
- Baldwin, P.; Li, D.J.; Auston, D.A.; Mir, H.S.; Yoon, R.S.; Koval, K.J. Autograft, Allograft, and Bone Graft Substitutes: Clinical Evidence and Indications for Use in the Setting of Orthopaedic Trauma Surgery. J. Orthop. Trauma 2019, 33, 203–213. [Google Scholar] [CrossRef]
- Arrington, E.D.; Smith, W.J.; Chambers, H.G.; Bucknell, A.L.; Davino, N.A. Complications of iliac crest bone graft harvesting. Clin. Orthop. Relat. Res. 1996, 329, 300–309. [Google Scholar] [CrossRef]
- Greenwald, M.A.; Kuehnert, M.J.; Fishman, J.A. Infectious disease transmission during organ and tissue transplantation. Emerg. Infect. Dis. 2012, 18, e1. [Google Scholar] [CrossRef]
- Viola, A.; Appiah, J.; Donnally, C.J.; Kim, Y.H.; Shenoy, K. Bone Graft Options in Spinal Fusion: A Review of Current Options and the Use of Mesenchymal Cellular Bone Matrices. World Neurosurg. 2022, 158, 182–188. [Google Scholar] [CrossRef]
- Thiel, A.; Reumann, M.K.; Boskey, A.; Wischmann, J.; von Eisenhart-Rothe, R.; Mayer-Kuckuk, P. Osteoblast migration in vertebrate bone. Biol. Rev. Camb. Philos. Soc. 2018, 93, 350–363. [Google Scholar] [CrossRef]
- Clines, G.A. Prospects for osteoprogenitor stem cells in fracture repair and osteoporosis. Curr. Opin. Organ Transplant. 2010, 15, 73–78. [Google Scholar] [CrossRef]
- Usami, K.; Mizuno, H.; Okada, K.; Narita, Y.; Aoki, M.; Kondo, T.; Mizuno, D.; Mase, J.; Nishiguchi, H.; Kagami, H.; et al. Composite implantation of mesenchymal stem cells with endothelial progenitor cells enhances tissue-engineered bone formation. J. Biomed. Mater. Res. Part A 2009, 90, 730–741. [Google Scholar] [CrossRef]
- Trueta, J. The role of the vessels in osteogenesis. Plast. Reconstr. Surg. 1964, 33, 206. [Google Scholar] [CrossRef]
- Fang, T.D.; Salim, A.; Xia, W.; Nacamuli, R.P.; Guccione, S.; Song, H.M.; Carano, R.A.; Filvaroff, E.H.; Bednarski, M.D.; Giaccia, A.J.; et al. Angiogenesis is required for successful bone induction during distraction osteogenesis. J. Bone Miner. Res. 2005, 20, 1114–1124. [Google Scholar] [CrossRef] [PubMed]
- Hausman, M.R.; Schaffler, M.B.; Majeska, R.J. Prevention of fracture healing in rats by an inhibitor of angiogenesis. Bone 2001, 29, 560–564. [Google Scholar] [CrossRef] [PubMed]
- Horner, A.; Bishop, N.J.; Bord, S.; Beeton, C.; Kelsall, A.W.; Coleman, N.; Compston, J.E. Immunolocalisation of vascular endothelial growth factor (VEGF) in human neonatal growth plate cartilage. J. Anat. 2002, 194, 519–524. [Google Scholar] [CrossRef] [PubMed]
- Huang, F.; Wei, G.; Wang, H.; Zhang, Y.; Lan, W.; Xie, Y.; Wu, G. Fibroblasts inhibit osteogenesis by regulating nuclear-cytoplasmic shuttling of YAP in mesenchymal stem cells and secreting DKK1. Biol. Res. 2024, 57, 4. [Google Scholar] [CrossRef]
- Saran, U.; Piperni, S.G.; Chatterjee, S. Role of angiogenesis in bone repair. Arch. Biochem. Biophys. 2014, 561, 109–117. [Google Scholar] [CrossRef]
- Dickson, K.; Katzman, S.; Delgado, E.; Contreras, D. Delayed unions and nonunions of open tibial fractures: Correlation with arteriography results. Clin. Orthop. Relat. Res. 1994, 302, 189–193. [Google Scholar] [CrossRef]
- Hankenson, K.D.; Dishowitz, M.; Gray, C.; Schenker, M. Angiogenesis in bone regeneration. Injury 2011, 42, 556–561. [Google Scholar] [CrossRef]
- Brownlow, H.C.; Reed, A.; Simpson, A.H. The vascularity of atrophic non-unions. Injury 2002, 33, 145–150. [Google Scholar] [CrossRef]
- Giannoudis, P.V.; Kanakaris, N.K.; Dimitriou, R.; Gill, I.; Kolimarala, V.; Montgomery, R.J. The synergistic effect of autograft and BMP-7 in the treatment of atrophic nonunions. Clin. Orthop. Relat. Res. 2009, 467, 3239–3248. [Google Scholar] [CrossRef]
- Greco, M.J.; Kemnitzer, J.E.; Fox, J.D.; Choe, J.K.; Kohn, J.; Riley, D.J.; Poiani, G.J. Polymer of proline analogue with sustained antifibrotic activity in lung fibrosis. Am. J. Respir. Crit. Care Med. 1997, 155, 1391–1397. [Google Scholar] [CrossRef] [PubMed]
- Riccardo, A.A. Muzzarelli, Chitins and chitosans for the repair of wounded skin, nerve, cartilage and bone. Carbohydr. Polym. 2009, 76, 167–182. [Google Scholar] [CrossRef]
- Fischbach, C.; Mooney, D.J. Polymers for pro- and anti-angiogenic therapy. Biomaterials 2007, 28, 2069–2076. [Google Scholar] [CrossRef] [PubMed]
- Koleva, P.M.; Keefer, J.H.; Ayala, A.M.; Lorenzo, I.; Han, C.E.; Pham, K.; Ralston, S.E.; Kim, K.D.; Lee, C.C. Hyper-Crosslinked Carbohydrate Polymer for Repair of Critical-Sized Bone Defects. BioResearch Open Access 2019, 8, 111–120. [Google Scholar] [CrossRef] [PubMed]
- Scott, M.A.; Levi, B.; Askarinam, A.; Nguyen, A.; Rackohn, T.; Ting, K.; Soo, C.; James, A.W. Brief review of models of ectopic bone formation. Stem Cells Dev. 2012, 21, 655–667. [Google Scholar] [CrossRef] [PubMed]
- Karageorgiou, V.; Kaplan, D. Porosity of 3D biomaterial scaffolds and osteogenesis. Biomaterials 2005, 26, 5474–5491. [Google Scholar] [CrossRef]
- Bashoor-Zadeh, M.; Baround, G.; Bohner, M. Geometric analysis of porous bone substitutes using micro-computed tomography and fuzzy distance transform. Acta Biomater. 2010, 6, 864–875. [Google Scholar] [CrossRef]
- Xie, L.; Chen, W.; Chen, Q.; Jiang, Y.; Song, E.; Zhu, X.; Song, Y. Synergistic hydroxyl radical formation, system XC- inhibition and heat shock protein crosslinking tango in ferrotherapy: A prove-of-concept study of “sword and shield” theory. Mater. Today Bio 2022, 16, 100353. [Google Scholar] [CrossRef]
- Rouwkema, J.; Rivron, N.C.; van Blitterswijk, C.A. Vascularization in tissue engineering. Trends Biotechnol. 2008, 26, 434–441. [Google Scholar] [CrossRef]
- Laschke, M.W.; Menger, M.D. Vascularization in tissue engineering: Angiogenesis versus inosculation. Eur. Surg. Res. 2012, 48, 85–92. [Google Scholar] [CrossRef]
- Lovett, M.; Lee, K.; Edwards, A.; Kaplan, D.L. Vascularization strategies for tissue engineering. Tissue Eng. Part B 2009, 15, 353–370. [Google Scholar] [CrossRef] [PubMed]
- Călin, C.; Dima, O.; Ancuța, D.L.; Coman, C.; Pameijer, C.H.; Paulsen, F.; Sprenger, M.; Niță, T.; Didilescu, A.C. Guided bone regeneration using beta-tricalcium phosphate and leucocyte platelet-rich fibrin versus a novel biodegradable urethane composite in critical-size osseous defects in rabbit tibia: Histologic results of a pilot study. Ann. Anat. 2025, 260, 152672. [Google Scholar] [CrossRef]
- Xing, Y.; Li, Q.; Otto, E.L.; Campbell, P.G.; Ren, X. Glycosylation-enabled chemoselective growth factor engineering for biomaterial functionalization. Acta Biomater. 2025, 207, 221–232. [Google Scholar] [CrossRef] [PubMed]
- Omar, O.M.; Lenneras, M.E.; Suska, F.; Emanuelsson, L.; Hall, J.M.; Palmquist, A.; Thomsen, P. The correlation between gene expression of proinflammatory markers and bone formation during osseointegration with titanium implants. Biomaterials 2011, 32, 374–386. [Google Scholar] [CrossRef] [PubMed]
- Wooley, P.H.; Morren, R.; Andary, J.; Sud, S.; Yang, S.; Mayton, L.; Markel, D.; Sieving, A.; Nasser, S. Inflammatory responses to orthopaedic biomaterials in the murine air pouch. Biomaterials 2002, 23, 517–526. [Google Scholar] [CrossRef]
- Spiller, K.L.; Anfang, R.R.; Spiller, K.J.; Ng, J.; Nakazawa, K.R.; Daulton, J.W.; Vunjak-Novakovic, G. The role of macrophage phenotype in vascularization of tissue engineering scaffolds. Biomaterials 2014, 35, 4477–4488. [Google Scholar] [CrossRef]
- Place, E.S.; George, J.H.; Williams, C.K.; Stevens, M.M. Synthetic polymer scaffolds for tissue engineering. Chem. Soc. Rev. 2009, 38, 1139–1151. [Google Scholar] [CrossRef]
- Sheikh, Z.; Brooks, P.J.; Barzilay, O.; Fine, N.; Glogauer, M. Macrophages, foreign body giant cells and their response to implantable biomaterials. Materials 2015, 8, 5671–5701. [Google Scholar] [CrossRef]
- Anderson, J.M.; Rodriguez, A.; Chang, D.T. Foreign body reaction to biomaterials. Semin. Immunol. 2008, 20, 86–100. [Google Scholar] [CrossRef]
- McNally, A.K.; Anderson, J.M. Macrophage fusion and MNGCs of inflammation. Adv. Exp. Med. Bio 2011, 713, 97–111. [Google Scholar] [CrossRef]
- Liu, C.; Huang, Y.; Chen, J. The physicochemical properties of the solidification of calcium phosphate cement. J. Biomed. Mater. Res. 2004, 69, 73–78. [Google Scholar] [CrossRef]
- Ryu, W.; Min, S.; Hammerick, K.E.; Vyakarnam, M.; Greco, R.S.; Prinz, F.B.; Fasching, R.J. The construction of three-dimensional micro-fluidic scaffolds of biodegradable polymers by solvent vapor based bonding of micro-molded layers. Biomaterials 2007, 28, 1174–1184. [Google Scholar] [CrossRef]
- Jain, R.K.; Au, P.; Tam, J.; Duda, D.G.; Fukumura, D. Engineering vascularized tissue. Nat. Biotechnol. 2005, 23, 821–823. [Google Scholar] [CrossRef]
- Brum, I.S.; Frigo, L.; Ribeiro da Silva, J.F.; Ciambarella, B.T.; Nascimento, A.L.R.; Pereira, M.J.S.; Elias, C.N.; de Carvalho, J.J. Comparison Between Nano-Hydroxyapatite/Beta-Tricalcium Phosphate Composite and Autogenous Bone Graft in Bone Regeneration Applications: Biochemical Mechanisms and Morphological Analysis. Int. J. Mol. Sci. 2025, 26, 52. [Google Scholar] [CrossRef]
- De Mori, A.; Karali, A.; Daskalakis, E.; Hing, R.; Da Silva Bartolo, P.J.; Cooper, G.; Blunn, G. Poly-ε-Caprolactone 3D-Printed Porous Scaffold in a Femoral Condyle Defect Model Induces Early Osteo-Regeneration. Polymers 2024, 16, 66. [Google Scholar] [CrossRef]
- Maevskaia, E.; Guerrero, J.; Ghayor, C.; Bhattacharya, I.; Weber, F.E. Functionalization of Ceramic Scaffolds with Exosomes from Bone Marrow Mesenchymal Stromal Cells for Bone Tissue Engineering. Int. J. Mol. Sci. 2024, 25, 3826. [Google Scholar] [CrossRef]
- Ehret, C.; Aid, R.; Dos Santos, B.P.; Rey, S.; Letourneur, D.; Amédée Vilamitjana, J.; de Mones, E. Bone Regeneration in Small and Large Segmental Bone Defect Models after Radiotherapy Using Injectable Polymer-Based Biodegradable Materials Containing Strontium-Doped Hydroxyapatite Particles. Int. J. Mol. Sci. 2023, 24, 5429. [Google Scholar] [CrossRef]







Disclaimer/Publisher’s Note: The statements, opinions and data contained in all publications are solely those of the individual author(s) and contributor(s) and not of MDPI and/or the editor(s). MDPI and/or the editor(s) disclaim responsibility for any injury to people or property resulting from any ideas, methods, instructions or products referred to in the content. |
© 2026 by the authors. Licensee MDPI, Basel, Switzerland. This article is an open access article distributed under the terms and conditions of the Creative Commons Attribution (CC BY) license.
Share and Cite
Lee, E.T.; Koleva, P.M.; Kim, K.D.; Batchelder, C.A. Establishment of Vasculature in Hyper-Crosslinked Carbohydrate Polymer as Scaffolding for Tissue Engineering and Regeneration. Appl. Sci. 2026, 16, 722. https://doi.org/10.3390/app16020722
Lee ET, Koleva PM, Kim KD, Batchelder CA. Establishment of Vasculature in Hyper-Crosslinked Carbohydrate Polymer as Scaffolding for Tissue Engineering and Regeneration. Applied Sciences. 2026; 16(2):722. https://doi.org/10.3390/app16020722
Chicago/Turabian StyleLee, Evan T., Plamena M. Koleva, Kee D. Kim, and Cynthia A. Batchelder. 2026. "Establishment of Vasculature in Hyper-Crosslinked Carbohydrate Polymer as Scaffolding for Tissue Engineering and Regeneration" Applied Sciences 16, no. 2: 722. https://doi.org/10.3390/app16020722
APA StyleLee, E. T., Koleva, P. M., Kim, K. D., & Batchelder, C. A. (2026). Establishment of Vasculature in Hyper-Crosslinked Carbohydrate Polymer as Scaffolding for Tissue Engineering and Regeneration. Applied Sciences, 16(2), 722. https://doi.org/10.3390/app16020722

